Dental Bonding Wellington . dental bonding is a quick and painless way to fix cracked, malformed, or discoloured teeth. Composite veneers are thin layers of composite resin. The treatment can be done in. dental composite bonding, similar to composite veneers, are ideal for repairing chipped or cracked teeth, hiding small gaps, and covering up any unsightly. bonding is a technique where tooth coloured material is directly added to the tooth to enhance the shape and colour. if you have a tooth that is slightly chipped, cracked or decayed, we can use a resin to cover or rebuild the. transform your smile with composite bonding for minor dental imperfections.
from visitpleasantsmilesdental.com
The treatment can be done in. Composite veneers are thin layers of composite resin. if you have a tooth that is slightly chipped, cracked or decayed, we can use a resin to cover or rebuild the. dental bonding is a quick and painless way to fix cracked, malformed, or discoloured teeth. bonding is a technique where tooth coloured material is directly added to the tooth to enhance the shape and colour. transform your smile with composite bonding for minor dental imperfections. dental composite bonding, similar to composite veneers, are ideal for repairing chipped or cracked teeth, hiding small gaps, and covering up any unsightly.
Expert Dental Bonding Transform Your Smile
Dental Bonding Wellington dental bonding is a quick and painless way to fix cracked, malformed, or discoloured teeth. dental bonding is a quick and painless way to fix cracked, malformed, or discoloured teeth. Composite veneers are thin layers of composite resin. bonding is a technique where tooth coloured material is directly added to the tooth to enhance the shape and colour. The treatment can be done in. dental composite bonding, similar to composite veneers, are ideal for repairing chipped or cracked teeth, hiding small gaps, and covering up any unsightly. if you have a tooth that is slightly chipped, cracked or decayed, we can use a resin to cover or rebuild the. transform your smile with composite bonding for minor dental imperfections.
From dentistspreston.com
Before and After Dental Bonding Photos Cosmetic Bonding Dentists Dental Bonding Wellington Composite veneers are thin layers of composite resin. The treatment can be done in. dental composite bonding, similar to composite veneers, are ideal for repairing chipped or cracked teeth, hiding small gaps, and covering up any unsightly. transform your smile with composite bonding for minor dental imperfections. if you have a tooth that is slightly chipped, cracked. Dental Bonding Wellington.
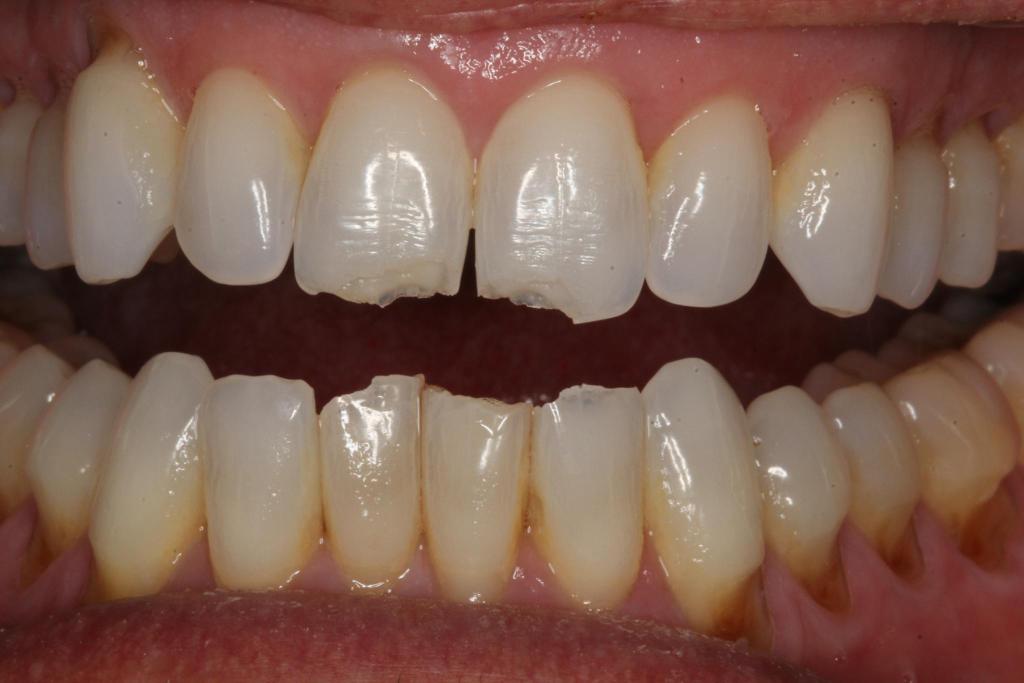
From supremedentalct.com
What is Dental Bonding? Steps, Uses & Benefits Explained Dental Bonding Wellington bonding is a technique where tooth coloured material is directly added to the tooth to enhance the shape and colour. if you have a tooth that is slightly chipped, cracked or decayed, we can use a resin to cover or rebuild the. dental composite bonding, similar to composite veneers, are ideal for repairing chipped or cracked teeth,. Dental Bonding Wellington.
From thedentalteammanchester.co.uk
The Dental Team Composite Bonding & Veneers Manchester Dental Bonding Wellington transform your smile with composite bonding for minor dental imperfections. The treatment can be done in. dental bonding is a quick and painless way to fix cracked, malformed, or discoloured teeth. if you have a tooth that is slightly chipped, cracked or decayed, we can use a resin to cover or rebuild the. dental composite bonding,. Dental Bonding Wellington.
From www.cccrdentistry.com
Dental Bonding Charleston Center For Cosmetic Dentistry Dental Bonding Wellington The treatment can be done in. transform your smile with composite bonding for minor dental imperfections. Composite veneers are thin layers of composite resin. bonding is a technique where tooth coloured material is directly added to the tooth to enhance the shape and colour. if you have a tooth that is slightly chipped, cracked or decayed, we. Dental Bonding Wellington.
From sachemdental.com
The Dental Bonding Procedure Sachem Dental Group Dental Bonding Wellington The treatment can be done in. Composite veneers are thin layers of composite resin. dental composite bonding, similar to composite veneers, are ideal for repairing chipped or cracked teeth, hiding small gaps, and covering up any unsightly. bonding is a technique where tooth coloured material is directly added to the tooth to enhance the shape and colour. . Dental Bonding Wellington.
From www.skylinefamilydental.com
Dental Bonding Treating Common Dental Issues Dental Bonding Wellington Composite veneers are thin layers of composite resin. dental bonding is a quick and painless way to fix cracked, malformed, or discoloured teeth. dental composite bonding, similar to composite veneers, are ideal for repairing chipped or cracked teeth, hiding small gaps, and covering up any unsightly. if you have a tooth that is slightly chipped, cracked or. Dental Bonding Wellington.
From www.mohipdental.com
Teeth Bonding For A Beautiful Smile Mohip Dental Dental Bonding Wellington if you have a tooth that is slightly chipped, cracked or decayed, we can use a resin to cover or rebuild the. dental composite bonding, similar to composite veneers, are ideal for repairing chipped or cracked teeth, hiding small gaps, and covering up any unsightly. dental bonding is a quick and painless way to fix cracked, malformed,. Dental Bonding Wellington.
From northfriscodental.com
What Are the Difference Between Dental Bonding and Veneers Dental Bonding Wellington transform your smile with composite bonding for minor dental imperfections. The treatment can be done in. bonding is a technique where tooth coloured material is directly added to the tooth to enhance the shape and colour. if you have a tooth that is slightly chipped, cracked or decayed, we can use a resin to cover or rebuild. Dental Bonding Wellington.
From www.wellingtonlaserdentistry.com
Tooth Bonding Wellington FL, Chipped & Discolored Tooth, Stained Teeth Dental Bonding Wellington bonding is a technique where tooth coloured material is directly added to the tooth to enhance the shape and colour. if you have a tooth that is slightly chipped, cracked or decayed, we can use a resin to cover or rebuild the. Composite veneers are thin layers of composite resin. dental composite bonding, similar to composite veneers,. Dental Bonding Wellington.
From www.charlesmartindds.com
Dental Bonding in South Tampa Dental Bonding Near You Dental Bonding Wellington dental bonding is a quick and painless way to fix cracked, malformed, or discoloured teeth. dental composite bonding, similar to composite veneers, are ideal for repairing chipped or cracked teeth, hiding small gaps, and covering up any unsightly. bonding is a technique where tooth coloured material is directly added to the tooth to enhance the shape and. Dental Bonding Wellington.
From cosmetic-dentistry.com
Why Is My Dental Bonding Turning Yellow? Dental Bonding Wellington dental bonding is a quick and painless way to fix cracked, malformed, or discoloured teeth. Composite veneers are thin layers of composite resin. transform your smile with composite bonding for minor dental imperfections. if you have a tooth that is slightly chipped, cracked or decayed, we can use a resin to cover or rebuild the. bonding. Dental Bonding Wellington.
From airdriedentalcare.co.uk
Composite Bonding Airdrie Dental Care Dental Bonding Wellington The treatment can be done in. Composite veneers are thin layers of composite resin. dental composite bonding, similar to composite veneers, are ideal for repairing chipped or cracked teeth, hiding small gaps, and covering up any unsightly. dental bonding is a quick and painless way to fix cracked, malformed, or discoloured teeth. bonding is a technique where. Dental Bonding Wellington.
From exotaypvl.blob.core.windows.net
Dental Bonding Procedure Cost at Edward Miller blog Dental Bonding Wellington Composite veneers are thin layers of composite resin. dental bonding is a quick and painless way to fix cracked, malformed, or discoloured teeth. transform your smile with composite bonding for minor dental imperfections. bonding is a technique where tooth coloured material is directly added to the tooth to enhance the shape and colour. if you have. Dental Bonding Wellington.
From www.charlesmartindds.com
What You Need to Know About Dental Bonding Dental Bonding Wellington The treatment can be done in. dental bonding is a quick and painless way to fix cracked, malformed, or discoloured teeth. transform your smile with composite bonding for minor dental imperfections. if you have a tooth that is slightly chipped, cracked or decayed, we can use a resin to cover or rebuild the. dental composite bonding,. Dental Bonding Wellington.
From www.wellingtonlaserdentistry.com
Tooth Bonding Wellington FL, Chipped & Discolored Tooth, Stained Teeth Dental Bonding Wellington Composite veneers are thin layers of composite resin. bonding is a technique where tooth coloured material is directly added to the tooth to enhance the shape and colour. dental bonding is a quick and painless way to fix cracked, malformed, or discoloured teeth. dental composite bonding, similar to composite veneers, are ideal for repairing chipped or cracked. Dental Bonding Wellington.
From luxedentalfl.com
Dr. Wilde Your Expert Dentist in Lauderhill Explains Dental Bonding Dental Bonding Wellington Composite veneers are thin layers of composite resin. if you have a tooth that is slightly chipped, cracked or decayed, we can use a resin to cover or rebuild the. dental composite bonding, similar to composite veneers, are ideal for repairing chipped or cracked teeth, hiding small gaps, and covering up any unsightly. bonding is a technique. Dental Bonding Wellington.
From www.priorshalldental.com
Composite Bonding Dental Bonding Northampton Priors Hall Dental Dental Bonding Wellington if you have a tooth that is slightly chipped, cracked or decayed, we can use a resin to cover or rebuild the. Composite veneers are thin layers of composite resin. dental bonding is a quick and painless way to fix cracked, malformed, or discoloured teeth. transform your smile with composite bonding for minor dental imperfections. dental. Dental Bonding Wellington.
From www.supremedentalconcepts.co.nz
THE FAST MAGIC OF DENTAL BONDING Supreme Dental Concepts Wellington Dental Bonding Wellington The treatment can be done in. dental composite bonding, similar to composite veneers, are ideal for repairing chipped or cracked teeth, hiding small gaps, and covering up any unsightly. if you have a tooth that is slightly chipped, cracked or decayed, we can use a resin to cover or rebuild the. transform your smile with composite bonding. Dental Bonding Wellington.
From www.thepointdental.com.au
What Is Dental Bonding? What Dental Bonding Is, Does & Costs Dental Bonding Wellington if you have a tooth that is slightly chipped, cracked or decayed, we can use a resin to cover or rebuild the. Composite veneers are thin layers of composite resin. The treatment can be done in. bonding is a technique where tooth coloured material is directly added to the tooth to enhance the shape and colour. transform. Dental Bonding Wellington.
From preventivedental.com
Tooth Bonding in South West London Preventive Dental Dental Bonding Wellington The treatment can be done in. dental composite bonding, similar to composite veneers, are ideal for repairing chipped or cracked teeth, hiding small gaps, and covering up any unsightly. bonding is a technique where tooth coloured material is directly added to the tooth to enhance the shape and colour. transform your smile with composite bonding for minor. Dental Bonding Wellington.
From www.cranbrookdentalcare.com
dental bonding Cranbrook Dental Care Blog Dental Bonding Wellington dental composite bonding, similar to composite veneers, are ideal for repairing chipped or cracked teeth, hiding small gaps, and covering up any unsightly. bonding is a technique where tooth coloured material is directly added to the tooth to enhance the shape and colour. Composite veneers are thin layers of composite resin. The treatment can be done in. . Dental Bonding Wellington.
From www.cornerstone.dental
Dental Bonding Calgary NE Cornerstone Family Dental Dental Bonding Wellington transform your smile with composite bonding for minor dental imperfections. bonding is a technique where tooth coloured material is directly added to the tooth to enhance the shape and colour. if you have a tooth that is slightly chipped, cracked or decayed, we can use a resin to cover or rebuild the. dental composite bonding, similar. Dental Bonding Wellington.
From keysdentalspecialists.com
Dental Bonding Keys Dental Specialists Dental Bonding Wellington dental composite bonding, similar to composite veneers, are ideal for repairing chipped or cracked teeth, hiding small gaps, and covering up any unsightly. if you have a tooth that is slightly chipped, cracked or decayed, we can use a resin to cover or rebuild the. The treatment can be done in. Composite veneers are thin layers of composite. Dental Bonding Wellington.
From www.wellingtonlaserdentistry.com
Tooth Bonding Wellington FL, Chipped & Discolored Tooth, Stained Teeth Dental Bonding Wellington if you have a tooth that is slightly chipped, cracked or decayed, we can use a resin to cover or rebuild the. Composite veneers are thin layers of composite resin. dental composite bonding, similar to composite veneers, are ideal for repairing chipped or cracked teeth, hiding small gaps, and covering up any unsightly. dental bonding is a. Dental Bonding Wellington.
From communitydentalgroup.com
What Is Dental Bonding? Community Dental Group Dental Bonding Wellington transform your smile with composite bonding for minor dental imperfections. dental bonding is a quick and painless way to fix cracked, malformed, or discoloured teeth. bonding is a technique where tooth coloured material is directly added to the tooth to enhance the shape and colour. dental composite bonding, similar to composite veneers, are ideal for repairing. Dental Bonding Wellington.
From teethopedia.com
The Benefits of Dental Bonding A Comprehensive Guide Teethopedia Dental Bonding Wellington bonding is a technique where tooth coloured material is directly added to the tooth to enhance the shape and colour. Composite veneers are thin layers of composite resin. if you have a tooth that is slightly chipped, cracked or decayed, we can use a resin to cover or rebuild the. dental bonding is a quick and painless. Dental Bonding Wellington.
From musselmandentistry.com
Bonding & White Fillings Dentist in Phoenix, AZ Musselman Dentistry Dental Bonding Wellington transform your smile with composite bonding for minor dental imperfections. bonding is a technique where tooth coloured material is directly added to the tooth to enhance the shape and colour. Composite veneers are thin layers of composite resin. dental bonding is a quick and painless way to fix cracked, malformed, or discoloured teeth. The treatment can be. Dental Bonding Wellington.
From www.cdhp.org
How Much Does Dental Bonding Cost? (Average) Dental Bonding Wellington The treatment can be done in. dental bonding is a quick and painless way to fix cracked, malformed, or discoloured teeth. dental composite bonding, similar to composite veneers, are ideal for repairing chipped or cracked teeth, hiding small gaps, and covering up any unsightly. Composite veneers are thin layers of composite resin. if you have a tooth. Dental Bonding Wellington.
From www.ekdentalsurgery.com.au
Dental Bonding Glen Waverley EK Dental Surgery Dental Bonding Wellington if you have a tooth that is slightly chipped, cracked or decayed, we can use a resin to cover or rebuild the. dental bonding is a quick and painless way to fix cracked, malformed, or discoloured teeth. Composite veneers are thin layers of composite resin. dental composite bonding, similar to composite veneers, are ideal for repairing chipped. Dental Bonding Wellington.
From exotaypvl.blob.core.windows.net
Dental Bonding Procedure Cost at Edward Miller blog Dental Bonding Wellington bonding is a technique where tooth coloured material is directly added to the tooth to enhance the shape and colour. dental bonding is a quick and painless way to fix cracked, malformed, or discoloured teeth. Composite veneers are thin layers of composite resin. The treatment can be done in. transform your smile with composite bonding for minor. Dental Bonding Wellington.
From elimdental.com
Dental Bonding Cosmetic Dental Treatments Elim Dental Dental Bonding Wellington Composite veneers are thin layers of composite resin. if you have a tooth that is slightly chipped, cracked or decayed, we can use a resin to cover or rebuild the. bonding is a technique where tooth coloured material is directly added to the tooth to enhance the shape and colour. The treatment can be done in. dental. Dental Bonding Wellington.
From precisiondentalnyc.com
Dental Bonding in Astoria and Bayside, Queens, NY Dental Bonding Wellington dental composite bonding, similar to composite veneers, are ideal for repairing chipped or cracked teeth, hiding small gaps, and covering up any unsightly. bonding is a technique where tooth coloured material is directly added to the tooth to enhance the shape and colour. dental bonding is a quick and painless way to fix cracked, malformed, or discoloured. Dental Bonding Wellington.
From www.wellingtonlaserdentistry.com
Tooth Bonding Wellington FL, Chipped & Discolored Tooth, Stained Teeth Dental Bonding Wellington dental bonding is a quick and painless way to fix cracked, malformed, or discoloured teeth. bonding is a technique where tooth coloured material is directly added to the tooth to enhance the shape and colour. if you have a tooth that is slightly chipped, cracked or decayed, we can use a resin to cover or rebuild the.. Dental Bonding Wellington.
From visitpleasantsmilesdental.com
Expert Dental Bonding Transform Your Smile Dental Bonding Wellington Composite veneers are thin layers of composite resin. if you have a tooth that is slightly chipped, cracked or decayed, we can use a resin to cover or rebuild the. bonding is a technique where tooth coloured material is directly added to the tooth to enhance the shape and colour. dental composite bonding, similar to composite veneers,. Dental Bonding Wellington.
From dentagama.com
Dental Bonding in New York Century Dentistry Center Dentagama Dental Bonding Wellington if you have a tooth that is slightly chipped, cracked or decayed, we can use a resin to cover or rebuild the. transform your smile with composite bonding for minor dental imperfections. The treatment can be done in. dental composite bonding, similar to composite veneers, are ideal for repairing chipped or cracked teeth, hiding small gaps, and. Dental Bonding Wellington.