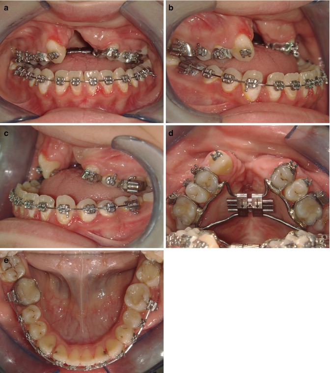
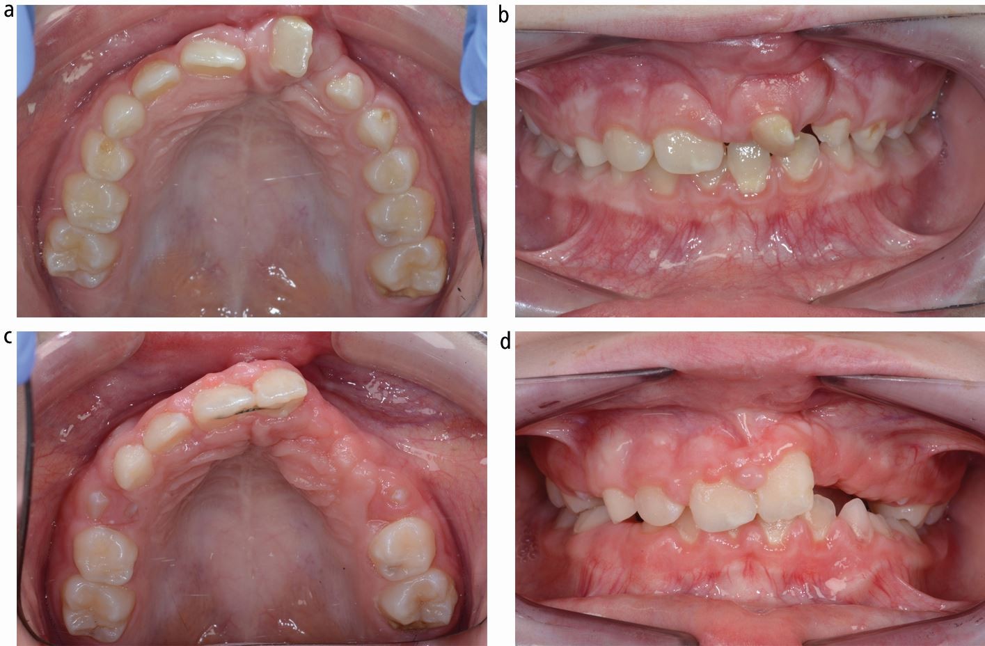
Orthodontic Treatment For Cleft Lip And Palate . Cleft lip and palate (clp) is one of the most common congenital anomalies, requiring lifelong care by a team of craniofacial. The orthodontic treatment of patients with all types of cleft lip and palate, a resume of facial growth and discussion on dental and occlusal. A girl with an angle class iii malocclusion, anterior and posterior crossbites, a concave profile, and cleft lip and palate sought orthodontic treatment. The principal objective of the multidisciplinary dental treatment of cleft lip and/or palate individuals is to provide facial and dental. While the orthodontist’s role is central to the overall management of children born with orofacial clefts, a close collaboration with surgeons, speech and language. A protocol for the treatment of cleft patients should followed by the healthcare providers, and coordination amongst them is a major contributor to success in cleft. The first paper reviewed orthodontic input into children with cleft lip and palate from birth to the late mixed dentition before.
from www.artofit.org
The orthodontic treatment of patients with all types of cleft lip and palate, a resume of facial growth and discussion on dental and occlusal. A protocol for the treatment of cleft patients should followed by the healthcare providers, and coordination amongst them is a major contributor to success in cleft. While the orthodontist’s role is central to the overall management of children born with orofacial clefts, a close collaboration with surgeons, speech and language. The first paper reviewed orthodontic input into children with cleft lip and palate from birth to the late mixed dentition before. A girl with an angle class iii malocclusion, anterior and posterior crossbites, a concave profile, and cleft lip and palate sought orthodontic treatment. Cleft lip and palate (clp) is one of the most common congenital anomalies, requiring lifelong care by a team of craniofacial. The principal objective of the multidisciplinary dental treatment of cleft lip and/or palate individuals is to provide facial and dental.
Cleft lip and palate management and treatment Artofit
Orthodontic Treatment For Cleft Lip And Palate Cleft lip and palate (clp) is one of the most common congenital anomalies, requiring lifelong care by a team of craniofacial. The first paper reviewed orthodontic input into children with cleft lip and palate from birth to the late mixed dentition before. Cleft lip and palate (clp) is one of the most common congenital anomalies, requiring lifelong care by a team of craniofacial. The principal objective of the multidisciplinary dental treatment of cleft lip and/or palate individuals is to provide facial and dental. A protocol for the treatment of cleft patients should followed by the healthcare providers, and coordination amongst them is a major contributor to success in cleft. A girl with an angle class iii malocclusion, anterior and posterior crossbites, a concave profile, and cleft lip and palate sought orthodontic treatment. The orthodontic treatment of patients with all types of cleft lip and palate, a resume of facial growth and discussion on dental and occlusal. While the orthodontist’s role is central to the overall management of children born with orofacial clefts, a close collaboration with surgeons, speech and language.
From www.oralhealthgroup.com
Orthodontic Treatments In Cleft Lip & Palate Patients Oral Health Group Orthodontic Treatment For Cleft Lip And Palate The first paper reviewed orthodontic input into children with cleft lip and palate from birth to the late mixed dentition before. The orthodontic treatment of patients with all types of cleft lip and palate, a resume of facial growth and discussion on dental and occlusal. While the orthodontist’s role is central to the overall management of children born with orofacial. Orthodontic Treatment For Cleft Lip And Palate.
From apospublications.com
Twophase orthodontic treatment in a unilateral cleft lip and palate Orthodontic Treatment For Cleft Lip And Palate The principal objective of the multidisciplinary dental treatment of cleft lip and/or palate individuals is to provide facial and dental. The orthodontic treatment of patients with all types of cleft lip and palate, a resume of facial growth and discussion on dental and occlusal. Cleft lip and palate (clp) is one of the most common congenital anomalies, requiring lifelong care. Orthodontic Treatment For Cleft Lip And Palate.
From www.ismilespecialists.com
Orthodontic Cleft Lip and Palate Treatment Houston Orthodontic Treatment For Cleft Lip And Palate The principal objective of the multidisciplinary dental treatment of cleft lip and/or palate individuals is to provide facial and dental. The first paper reviewed orthodontic input into children with cleft lip and palate from birth to the late mixed dentition before. Cleft lip and palate (clp) is one of the most common congenital anomalies, requiring lifelong care by a team. Orthodontic Treatment For Cleft Lip And Palate.
From www.semortho.com
Orthodontic treatment in adolescents with cleft lip and palate Orthodontic Treatment For Cleft Lip And Palate The first paper reviewed orthodontic input into children with cleft lip and palate from birth to the late mixed dentition before. A girl with an angle class iii malocclusion, anterior and posterior crossbites, a concave profile, and cleft lip and palate sought orthodontic treatment. The orthodontic treatment of patients with all types of cleft lip and palate, a resume of. Orthodontic Treatment For Cleft Lip And Palate.
From ucomagazines.com
Orthodontic Treatment in Cleft Lip and Palate Patients UCO Magazines Orthodontic Treatment For Cleft Lip And Palate The principal objective of the multidisciplinary dental treatment of cleft lip and/or palate individuals is to provide facial and dental. While the orthodontist’s role is central to the overall management of children born with orofacial clefts, a close collaboration with surgeons, speech and language. The orthodontic treatment of patients with all types of cleft lip and palate, a resume of. Orthodontic Treatment For Cleft Lip And Palate.
From www.youtube.com
Amazing final smile for cleft lip and palate patient after orthodontic Orthodontic Treatment For Cleft Lip And Palate A protocol for the treatment of cleft patients should followed by the healthcare providers, and coordination amongst them is a major contributor to success in cleft. The orthodontic treatment of patients with all types of cleft lip and palate, a resume of facial growth and discussion on dental and occlusal. While the orthodontist’s role is central to the overall management. Orthodontic Treatment For Cleft Lip And Palate.
From craniofacialteamtexas.com
Cleft Lip and Palate Gallery EarWell Center of Excellence Orthodontic Treatment For Cleft Lip And Palate The orthodontic treatment of patients with all types of cleft lip and palate, a resume of facial growth and discussion on dental and occlusal. While the orthodontist’s role is central to the overall management of children born with orofacial clefts, a close collaboration with surgeons, speech and language. Cleft lip and palate (clp) is one of the most common congenital. Orthodontic Treatment For Cleft Lip And Palate.
From apospublications.com
Twophase orthodontic treatment in a unilateral cleft lip and palate Orthodontic Treatment For Cleft Lip And Palate The principal objective of the multidisciplinary dental treatment of cleft lip and/or palate individuals is to provide facial and dental. While the orthodontist’s role is central to the overall management of children born with orofacial clefts, a close collaboration with surgeons, speech and language. A protocol for the treatment of cleft patients should followed by the healthcare providers, and coordination. Orthodontic Treatment For Cleft Lip And Palate.
From greenparkdentalhospital.com
Cleft Lip & Cleft Palate Green Park Dental Hospital Orthodontic Treatment For Cleft Lip And Palate The first paper reviewed orthodontic input into children with cleft lip and palate from birth to the late mixed dentition before. Cleft lip and palate (clp) is one of the most common congenital anomalies, requiring lifelong care by a team of craniofacial. While the orthodontist’s role is central to the overall management of children born with orofacial clefts, a close. Orthodontic Treatment For Cleft Lip And Palate.
From www.artofit.org
Cleft lip and palate management and treatment Artofit Orthodontic Treatment For Cleft Lip And Palate The orthodontic treatment of patients with all types of cleft lip and palate, a resume of facial growth and discussion on dental and occlusal. A protocol for the treatment of cleft patients should followed by the healthcare providers, and coordination amongst them is a major contributor to success in cleft. While the orthodontist’s role is central to the overall management. Orthodontic Treatment For Cleft Lip And Palate.
From www.ajodo.org
Ideal treatment protocol for cleft lip and palate patient from mixed to Orthodontic Treatment For Cleft Lip And Palate Cleft lip and palate (clp) is one of the most common congenital anomalies, requiring lifelong care by a team of craniofacial. A girl with an angle class iii malocclusion, anterior and posterior crossbites, a concave profile, and cleft lip and palate sought orthodontic treatment. While the orthodontist’s role is central to the overall management of children born with orofacial clefts,. Orthodontic Treatment For Cleft Lip And Palate.
From pocketdentistry.com
Archwise Distraction Appliance (AWDA) in Cleft Lip and Palate Patient Orthodontic Treatment For Cleft Lip And Palate The principal objective of the multidisciplinary dental treatment of cleft lip and/or palate individuals is to provide facial and dental. While the orthodontist’s role is central to the overall management of children born with orofacial clefts, a close collaboration with surgeons, speech and language. Cleft lip and palate (clp) is one of the most common congenital anomalies, requiring lifelong care. Orthodontic Treatment For Cleft Lip And Palate.
From www.slideserve.com
PPT Orthodontic Management of Cleft Lip and Palate Patient PowerPoint Orthodontic Treatment For Cleft Lip And Palate The orthodontic treatment of patients with all types of cleft lip and palate, a resume of facial growth and discussion on dental and occlusal. Cleft lip and palate (clp) is one of the most common congenital anomalies, requiring lifelong care by a team of craniofacial. A girl with an angle class iii malocclusion, anterior and posterior crossbites, a concave profile,. Orthodontic Treatment For Cleft Lip And Palate.
From www.intechopen.com
Orthognathic Surgery in Cleft Lip and Palate Patients IntechOpen Orthodontic Treatment For Cleft Lip And Palate A girl with an angle class iii malocclusion, anterior and posterior crossbites, a concave profile, and cleft lip and palate sought orthodontic treatment. A protocol for the treatment of cleft patients should followed by the healthcare providers, and coordination amongst them is a major contributor to success in cleft. The orthodontic treatment of patients with all types of cleft lip. Orthodontic Treatment For Cleft Lip And Palate.
From callingwoodortho.com
Cleft Lip and Palate Orthodontics Dental Treatment Orthodontic Treatment For Cleft Lip And Palate A protocol for the treatment of cleft patients should followed by the healthcare providers, and coordination amongst them is a major contributor to success in cleft. While the orthodontist’s role is central to the overall management of children born with orofacial clefts, a close collaboration with surgeons, speech and language. The first paper reviewed orthodontic input into children with cleft. Orthodontic Treatment For Cleft Lip And Palate.
From www.pineypointoms.com
Cleft Palate & Lip Diagnosis Houston, TX Oral Surgeon Piney Point Orthodontic Treatment For Cleft Lip And Palate The principal objective of the multidisciplinary dental treatment of cleft lip and/or palate individuals is to provide facial and dental. Cleft lip and palate (clp) is one of the most common congenital anomalies, requiring lifelong care by a team of craniofacial. A protocol for the treatment of cleft patients should followed by the healthcare providers, and coordination amongst them is. Orthodontic Treatment For Cleft Lip And Palate.
From apospublications.com
Twophase orthodontic treatment in a unilateral cleft lip and palate Orthodontic Treatment For Cleft Lip And Palate Cleft lip and palate (clp) is one of the most common congenital anomalies, requiring lifelong care by a team of craniofacial. A protocol for the treatment of cleft patients should followed by the healthcare providers, and coordination amongst them is a major contributor to success in cleft. The first paper reviewed orthodontic input into children with cleft lip and palate. Orthodontic Treatment For Cleft Lip And Palate.
From massihortho.com
What Are Cleft Lips and Palates? Massih Orthodontics Orthodontic Treatment For Cleft Lip And Palate The orthodontic treatment of patients with all types of cleft lip and palate, a resume of facial growth and discussion on dental and occlusal. While the orthodontist’s role is central to the overall management of children born with orofacial clefts, a close collaboration with surgeons, speech and language. Cleft lip and palate (clp) is one of the most common congenital. Orthodontic Treatment For Cleft Lip And Palate.
From www.oralhealthgroup.com
Orthodontic Treatments In Cleft Lip & Palate Patients Oral Health Group Orthodontic Treatment For Cleft Lip And Palate A girl with an angle class iii malocclusion, anterior and posterior crossbites, a concave profile, and cleft lip and palate sought orthodontic treatment. While the orthodontist’s role is central to the overall management of children born with orofacial clefts, a close collaboration with surgeons, speech and language. The orthodontic treatment of patients with all types of cleft lip and palate,. Orthodontic Treatment For Cleft Lip And Palate.
From manualdatasiphonogam.z21.web.core.windows.net
What Is The Cleft Palate Orthodontic Treatment For Cleft Lip And Palate The principal objective of the multidisciplinary dental treatment of cleft lip and/or palate individuals is to provide facial and dental. Cleft lip and palate (clp) is one of the most common congenital anomalies, requiring lifelong care by a team of craniofacial. A protocol for the treatment of cleft patients should followed by the healthcare providers, and coordination amongst them is. Orthodontic Treatment For Cleft Lip And Palate.
From apospublications.com
Twophase orthodontic treatment in a unilateral cleft lip and palate Orthodontic Treatment For Cleft Lip And Palate While the orthodontist’s role is central to the overall management of children born with orofacial clefts, a close collaboration with surgeons, speech and language. A girl with an angle class iii malocclusion, anterior and posterior crossbites, a concave profile, and cleft lip and palate sought orthodontic treatment. The orthodontic treatment of patients with all types of cleft lip and palate,. Orthodontic Treatment For Cleft Lip And Palate.
From www.pretoriasmile.com
Pretoria, Queenswood Orthodontist Orthodontic Treatment For Cleft Lip And Palate A protocol for the treatment of cleft patients should followed by the healthcare providers, and coordination amongst them is a major contributor to success in cleft. While the orthodontist’s role is central to the overall management of children born with orofacial clefts, a close collaboration with surgeons, speech and language. Cleft lip and palate (clp) is one of the most. Orthodontic Treatment For Cleft Lip And Palate.
From www.facebook.com
07. ORTHODONTIC TREATMENT PHASE I Cleft palate & it’s surgery may lead Orthodontic Treatment For Cleft Lip And Palate Cleft lip and palate (clp) is one of the most common congenital anomalies, requiring lifelong care by a team of craniofacial. The orthodontic treatment of patients with all types of cleft lip and palate, a resume of facial growth and discussion on dental and occlusal. The principal objective of the multidisciplinary dental treatment of cleft lip and/or palate individuals is. Orthodontic Treatment For Cleft Lip And Palate.
From www.nhs.uk
Cleft lip and palate NHS Orthodontic Treatment For Cleft Lip And Palate Cleft lip and palate (clp) is one of the most common congenital anomalies, requiring lifelong care by a team of craniofacial. The principal objective of the multidisciplinary dental treatment of cleft lip and/or palate individuals is to provide facial and dental. While the orthodontist’s role is central to the overall management of children born with orofacial clefts, a close collaboration. Orthodontic Treatment For Cleft Lip And Palate.
From apospublications.com
Twophase orthodontic treatment in a unilateral cleft lip and palate Orthodontic Treatment For Cleft Lip And Palate The principal objective of the multidisciplinary dental treatment of cleft lip and/or palate individuals is to provide facial and dental. A girl with an angle class iii malocclusion, anterior and posterior crossbites, a concave profile, and cleft lip and palate sought orthodontic treatment. Cleft lip and palate (clp) is one of the most common congenital anomalies, requiring lifelong care by. Orthodontic Treatment For Cleft Lip And Palate.
From www.semanticscholar.org
Comprehensive treatment approach for bilateral cleft lip and palate in Orthodontic Treatment For Cleft Lip And Palate A girl with an angle class iii malocclusion, anterior and posterior crossbites, a concave profile, and cleft lip and palate sought orthodontic treatment. While the orthodontist’s role is central to the overall management of children born with orofacial clefts, a close collaboration with surgeons, speech and language. The first paper reviewed orthodontic input into children with cleft lip and palate. Orthodontic Treatment For Cleft Lip And Palate.
From totallyorthodontics.com
Cleft Lip/Palate & Craniofacial Anomalies in NE Calgary Orthodontic Treatment For Cleft Lip And Palate A girl with an angle class iii malocclusion, anterior and posterior crossbites, a concave profile, and cleft lip and palate sought orthodontic treatment. The principal objective of the multidisciplinary dental treatment of cleft lip and/or palate individuals is to provide facial and dental. While the orthodontist’s role is central to the overall management of children born with orofacial clefts, a. Orthodontic Treatment For Cleft Lip And Palate.
From www.ismilespecialists.com
Orthodontic Cleft Lip and Palate Treatment Houston Orthodontic Treatment For Cleft Lip And Palate A protocol for the treatment of cleft patients should followed by the healthcare providers, and coordination amongst them is a major contributor to success in cleft. Cleft lip and palate (clp) is one of the most common congenital anomalies, requiring lifelong care by a team of craniofacial. The principal objective of the multidisciplinary dental treatment of cleft lip and/or palate. Orthodontic Treatment For Cleft Lip And Palate.
From www.slideserve.com
PPT Orthodontic Management of Cleft Lip and Palate Patient PowerPoint Orthodontic Treatment For Cleft Lip And Palate The principal objective of the multidisciplinary dental treatment of cleft lip and/or palate individuals is to provide facial and dental. A girl with an angle class iii malocclusion, anterior and posterior crossbites, a concave profile, and cleft lip and palate sought orthodontic treatment. The first paper reviewed orthodontic input into children with cleft lip and palate from birth to the. Orthodontic Treatment For Cleft Lip And Palate.
From bos.org.uk
Cleft lip & palate British Orthodontic Society (BOS) Orthodontic Treatment For Cleft Lip And Palate A protocol for the treatment of cleft patients should followed by the healthcare providers, and coordination amongst them is a major contributor to success in cleft. The first paper reviewed orthodontic input into children with cleft lip and palate from birth to the late mixed dentition before. A girl with an angle class iii malocclusion, anterior and posterior crossbites, a. Orthodontic Treatment For Cleft Lip And Palate.
From www.researchgate.net
(PDF) Cleft Lip and Palate Protocol for Orthodontics Treatment Orthodontic Treatment For Cleft Lip And Palate A girl with an angle class iii malocclusion, anterior and posterior crossbites, a concave profile, and cleft lip and palate sought orthodontic treatment. The orthodontic treatment of patients with all types of cleft lip and palate, a resume of facial growth and discussion on dental and occlusal. A protocol for the treatment of cleft patients should followed by the healthcare. Orthodontic Treatment For Cleft Lip And Palate.
From www.researchgate.net
Left unilateral complete cleft lip and palate case. 4A to 4C before Orthodontic Treatment For Cleft Lip And Palate The principal objective of the multidisciplinary dental treatment of cleft lip and/or palate individuals is to provide facial and dental. The first paper reviewed orthodontic input into children with cleft lip and palate from birth to the late mixed dentition before. While the orthodontist’s role is central to the overall management of children born with orofacial clefts, a close collaboration. Orthodontic Treatment For Cleft Lip And Palate.
From www.semanticscholar.org
Figure 1 from Surgicalorthodontic treatment for severe malocclusion in Orthodontic Treatment For Cleft Lip And Palate The principal objective of the multidisciplinary dental treatment of cleft lip and/or palate individuals is to provide facial and dental. While the orthodontist’s role is central to the overall management of children born with orofacial clefts, a close collaboration with surgeons, speech and language. The orthodontic treatment of patients with all types of cleft lip and palate, a resume of. Orthodontic Treatment For Cleft Lip And Palate.
From www.youtube.com
Transforming Lives Orthodontic Management of Cleft Lip/Palate YouTube Orthodontic Treatment For Cleft Lip And Palate A girl with an angle class iii malocclusion, anterior and posterior crossbites, a concave profile, and cleft lip and palate sought orthodontic treatment. A protocol for the treatment of cleft patients should followed by the healthcare providers, and coordination amongst them is a major contributor to success in cleft. Cleft lip and palate (clp) is one of the most common. Orthodontic Treatment For Cleft Lip And Palate.
From platinumorthodontics.com.au
Cleft Lip and Palate Treatment Platinum Orthodontics Orthodontic Treatment For Cleft Lip And Palate The principal objective of the multidisciplinary dental treatment of cleft lip and/or palate individuals is to provide facial and dental. Cleft lip and palate (clp) is one of the most common congenital anomalies, requiring lifelong care by a team of craniofacial. A girl with an angle class iii malocclusion, anterior and posterior crossbites, a concave profile, and cleft lip and. Orthodontic Treatment For Cleft Lip And Palate.