What Are Nodules On Chest X-Ray . Pulmonary nodules are small, rounded opacities within the pulmonary interstitium. They're typically smaller than 3 centimeters in diameter. A lung nodule is a small mass of dense tissue on the lung. Pulmonary nodules are abnormal growths that form in the lung. A ct scan gives a more detailed image and can show. Lung nodules often are discovered. The phrase ‘lung nodule’ describes a small, denser area of the lung which appears as a round spot on the image. Nodules are areas that are denser than normal lung tissue and usually don't cause symptoms. Lung nodules are commonly found after a patient undergoes.
from www.mdpi.com
Nodules are areas that are denser than normal lung tissue and usually don't cause symptoms. A lung nodule is a small mass of dense tissue on the lung. Pulmonary nodules are abnormal growths that form in the lung. A ct scan gives a more detailed image and can show. Lung nodules are commonly found after a patient undergoes. The phrase ‘lung nodule’ describes a small, denser area of the lung which appears as a round spot on the image. Pulmonary nodules are small, rounded opacities within the pulmonary interstitium. They're typically smaller than 3 centimeters in diameter. Lung nodules often are discovered.
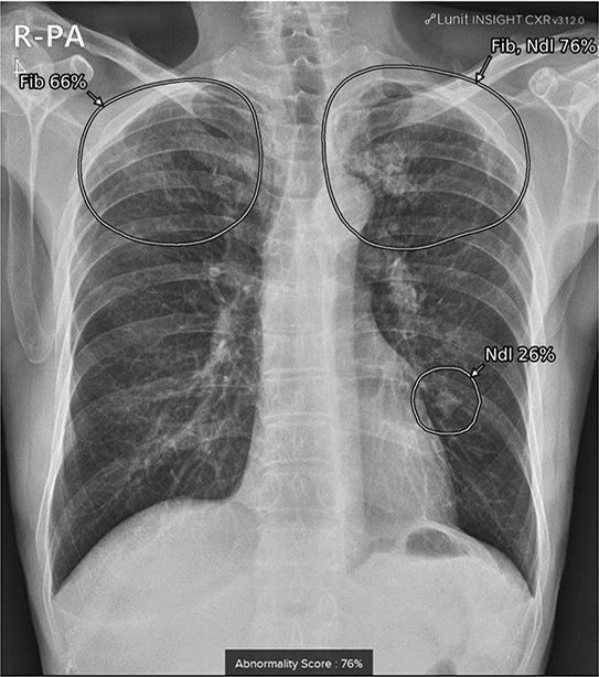
Sensors Free FullText Weak Localization of Radiographic
What Are Nodules On Chest X-Ray Nodules are areas that are denser than normal lung tissue and usually don't cause symptoms. A lung nodule is a small mass of dense tissue on the lung. Lung nodules often are discovered. The phrase ‘lung nodule’ describes a small, denser area of the lung which appears as a round spot on the image. Pulmonary nodules are small, rounded opacities within the pulmonary interstitium. They're typically smaller than 3 centimeters in diameter. A ct scan gives a more detailed image and can show. Lung nodules are commonly found after a patient undergoes. Nodules are areas that are denser than normal lung tissue and usually don't cause symptoms. Pulmonary nodules are abnormal growths that form in the lung.
From fineartamerica.com
Miliary Nodules Photograph by Rajaaisya/science Photo Library Fine What Are Nodules On Chest X-Ray The phrase ‘lung nodule’ describes a small, denser area of the lung which appears as a round spot on the image. Lung nodules often are discovered. Nodules are areas that are denser than normal lung tissue and usually don't cause symptoms. They're typically smaller than 3 centimeters in diameter. A ct scan gives a more detailed image and can show.. What Are Nodules On Chest X-Ray.
From www.verywellhealth.com
Chest XRay for the Diagnosis of Lung Cancer What Are Nodules On Chest X-Ray The phrase ‘lung nodule’ describes a small, denser area of the lung which appears as a round spot on the image. Pulmonary nodules are small, rounded opacities within the pulmonary interstitium. They're typically smaller than 3 centimeters in diameter. Nodules are areas that are denser than normal lung tissue and usually don't cause symptoms. Lung nodules often are discovered. Lung. What Are Nodules On Chest X-Ray.
From www.researchgate.net
Chest xray showed bilateral hilar lymphadenopathies (arrows What Are Nodules On Chest X-Ray Nodules are areas that are denser than normal lung tissue and usually don't cause symptoms. Pulmonary nodules are small, rounded opacities within the pulmonary interstitium. Lung nodules often are discovered. Pulmonary nodules are abnormal growths that form in the lung. The phrase ‘lung nodule’ describes a small, denser area of the lung which appears as a round spot on the. What Are Nodules On Chest X-Ray.
From medicalxpress.com
AI improves lung nodule detection on chest Xrays What Are Nodules On Chest X-Ray Pulmonary nodules are small, rounded opacities within the pulmonary interstitium. A ct scan gives a more detailed image and can show. A lung nodule is a small mass of dense tissue on the lung. The phrase ‘lung nodule’ describes a small, denser area of the lung which appears as a round spot on the image. Nodules are areas that are. What Are Nodules On Chest X-Ray.
From www.bmj.com
The role of chest radiography in confirming covid19 pneumonia The BMJ What Are Nodules On Chest X-Ray Lung nodules often are discovered. A lung nodule is a small mass of dense tissue on the lung. Nodules are areas that are denser than normal lung tissue and usually don't cause symptoms. The phrase ‘lung nodule’ describes a small, denser area of the lung which appears as a round spot on the image. Pulmonary nodules are small, rounded opacities. What Are Nodules On Chest X-Ray.
From openpress.usask.ca
Multiple Lung Nodules Undergraduate Diagnostic Imaging Fundamentals What Are Nodules On Chest X-Ray They're typically smaller than 3 centimeters in diameter. A lung nodule is a small mass of dense tissue on the lung. A ct scan gives a more detailed image and can show. Nodules are areas that are denser than normal lung tissue and usually don't cause symptoms. The phrase ‘lung nodule’ describes a small, denser area of the lung which. What Are Nodules On Chest X-Ray.
From www.researchgate.net
Chest radiograph showing right upper lobe cavitary lung lesion and What Are Nodules On Chest X-Ray Lung nodules often are discovered. Lung nodules are commonly found after a patient undergoes. They're typically smaller than 3 centimeters in diameter. The phrase ‘lung nodule’ describes a small, denser area of the lung which appears as a round spot on the image. A ct scan gives a more detailed image and can show. A lung nodule is a small. What Are Nodules On Chest X-Ray.
From www.researchgate.net
Chest Xray — numerous pulmonary nodules, up to 1 cm in diameter What Are Nodules On Chest X-Ray Lung nodules are commonly found after a patient undergoes. The phrase ‘lung nodule’ describes a small, denser area of the lung which appears as a round spot on the image. Lung nodules often are discovered. Nodules are areas that are denser than normal lung tissue and usually don't cause symptoms. Pulmonary nodules are small, rounded opacities within the pulmonary interstitium.. What Are Nodules On Chest X-Ray.
From srkiqtfwqzfwzf.blogspot.com
Anatomy Of Chest X Ray Normal Chest Xray Stock Photo Download Image What Are Nodules On Chest X-Ray Nodules are areas that are denser than normal lung tissue and usually don't cause symptoms. Lung nodules are commonly found after a patient undergoes. Pulmonary nodules are abnormal growths that form in the lung. The phrase ‘lung nodule’ describes a small, denser area of the lung which appears as a round spot on the image. They're typically smaller than 3. What Are Nodules On Chest X-Ray.
From www.youtube.com
Chest XRay Lung Normal Vs Abnormal Image Appearances Part 1 TB What Are Nodules On Chest X-Ray Nodules are areas that are denser than normal lung tissue and usually don't cause symptoms. Pulmonary nodules are small, rounded opacities within the pulmonary interstitium. Lung nodules often are discovered. A ct scan gives a more detailed image and can show. A lung nodule is a small mass of dense tissue on the lung. The phrase ‘lung nodule’ describes a. What Are Nodules On Chest X-Ray.
From www.bmj.com
Investigating the solitary pulmonary nodule The BMJ What Are Nodules On Chest X-Ray The phrase ‘lung nodule’ describes a small, denser area of the lung which appears as a round spot on the image. They're typically smaller than 3 centimeters in diameter. Nodules are areas that are denser than normal lung tissue and usually don't cause symptoms. A ct scan gives a more detailed image and can show. Pulmonary nodules are abnormal growths. What Are Nodules On Chest X-Ray.
From radiologyai.com
AI detects incidental lung nodules on chest xrays Radiology AI What Are Nodules On Chest X-Ray They're typically smaller than 3 centimeters in diameter. A lung nodule is a small mass of dense tissue on the lung. Nodules are areas that are denser than normal lung tissue and usually don't cause symptoms. Lung nodules are commonly found after a patient undergoes. Lung nodules often are discovered. A ct scan gives a more detailed image and can. What Are Nodules On Chest X-Ray.
From craftbodyscan.com
What are Pulmonary Nodules? Craft Body Scan What Are Nodules On Chest X-Ray Lung nodules are commonly found after a patient undergoes. They're typically smaller than 3 centimeters in diameter. Lung nodules often are discovered. The phrase ‘lung nodule’ describes a small, denser area of the lung which appears as a round spot on the image. Nodules are areas that are denser than normal lung tissue and usually don't cause symptoms. A lung. What Are Nodules On Chest X-Ray.
From www.healthline.com
Lung Nodule Size Chart What the Size of Nodules Indicates What Are Nodules On Chest X-Ray They're typically smaller than 3 centimeters in diameter. Nodules are areas that are denser than normal lung tissue and usually don't cause symptoms. Lung nodules are commonly found after a patient undergoes. The phrase ‘lung nodule’ describes a small, denser area of the lung which appears as a round spot on the image. A lung nodule is a small mass. What Are Nodules On Chest X-Ray.
From www.wikidoc.org
Pulmonary nodule XRay Findings wikidoc What Are Nodules On Chest X-Ray Pulmonary nodules are abnormal growths that form in the lung. The phrase ‘lung nodule’ describes a small, denser area of the lung which appears as a round spot on the image. Lung nodules are commonly found after a patient undergoes. A ct scan gives a more detailed image and can show. Nodules are areas that are denser than normal lung. What Are Nodules On Chest X-Ray.
From www.researchgate.net
Chest Xray displaying multiple widespread pulmonary nodules What Are Nodules On Chest X-Ray Nodules are areas that are denser than normal lung tissue and usually don't cause symptoms. Lung nodules often are discovered. A lung nodule is a small mass of dense tissue on the lung. They're typically smaller than 3 centimeters in diameter. Lung nodules are commonly found after a patient undergoes. The phrase ‘lung nodule’ describes a small, denser area of. What Are Nodules On Chest X-Ray.
From www.researchgate.net
Chest xray at presentation showing multiple bilateral pulmonary What Are Nodules On Chest X-Ray Pulmonary nodules are abnormal growths that form in the lung. Nodules are areas that are denser than normal lung tissue and usually don't cause symptoms. They're typically smaller than 3 centimeters in diameter. The phrase ‘lung nodule’ describes a small, denser area of the lung which appears as a round spot on the image. Pulmonary nodules are small, rounded opacities. What Are Nodules On Chest X-Ray.
From radiologyinplainenglish.com
Lung Nodule Under One Centimeter On Chest XRay Radiology In Plain What Are Nodules On Chest X-Ray The phrase ‘lung nodule’ describes a small, denser area of the lung which appears as a round spot on the image. Pulmonary nodules are abnormal growths that form in the lung. They're typically smaller than 3 centimeters in diameter. Lung nodules often are discovered. Pulmonary nodules are small, rounded opacities within the pulmonary interstitium. A lung nodule is a small. What Are Nodules On Chest X-Ray.
From www.svuhradiology.ie
Lung cancer CXR Radiology at St. Vincent's University Hospital What Are Nodules On Chest X-Ray Lung nodules are commonly found after a patient undergoes. A ct scan gives a more detailed image and can show. Pulmonary nodules are abnormal growths that form in the lung. They're typically smaller than 3 centimeters in diameter. Lung nodules often are discovered. A lung nodule is a small mass of dense tissue on the lung. Pulmonary nodules are small,. What Are Nodules On Chest X-Ray.
From radiologykey.com
Solitary and Multiple Pulmonary Nodules Radiology Key What Are Nodules On Chest X-Ray A lung nodule is a small mass of dense tissue on the lung. The phrase ‘lung nodule’ describes a small, denser area of the lung which appears as a round spot on the image. They're typically smaller than 3 centimeters in diameter. Pulmonary nodules are small, rounded opacities within the pulmonary interstitium. Nodules are areas that are denser than normal. What Are Nodules On Chest X-Ray.
From medschool.co
Pulmonary Nodules and Masses Chest XRay MedSchool What Are Nodules On Chest X-Ray Lung nodules often are discovered. They're typically smaller than 3 centimeters in diameter. A lung nodule is a small mass of dense tissue on the lung. The phrase ‘lung nodule’ describes a small, denser area of the lung which appears as a round spot on the image. Lung nodules are commonly found after a patient undergoes. Pulmonary nodules are small,. What Are Nodules On Chest X-Ray.
From www.shutterstock.com
Chest Xray Film Patient Lung Nodule库存照片797258731 Shutterstock What Are Nodules On Chest X-Ray Pulmonary nodules are small, rounded opacities within the pulmonary interstitium. Lung nodules often are discovered. Nodules are areas that are denser than normal lung tissue and usually don't cause symptoms. Lung nodules are commonly found after a patient undergoes. A lung nodule is a small mass of dense tissue on the lung. They're typically smaller than 3 centimeters in diameter.. What Are Nodules On Chest X-Ray.
From www.diagnosticimaging.com
FDA Clears AI Software for Enhanced Lung Nodule Detection on Chest XRays What Are Nodules On Chest X-Ray Pulmonary nodules are small, rounded opacities within the pulmonary interstitium. Lung nodules often are discovered. Lung nodules are commonly found after a patient undergoes. Nodules are areas that are denser than normal lung tissue and usually don't cause symptoms. Pulmonary nodules are abnormal growths that form in the lung. A lung nodule is a small mass of dense tissue on. What Are Nodules On Chest X-Ray.
From finwise.edu.vn
List 94+ Pictures The Lungs Are Posterior To The Ribs Superb What Are Nodules On Chest X-Ray Pulmonary nodules are small, rounded opacities within the pulmonary interstitium. Lung nodules are commonly found after a patient undergoes. A ct scan gives a more detailed image and can show. They're typically smaller than 3 centimeters in diameter. Pulmonary nodules are abnormal growths that form in the lung. Nodules are areas that are denser than normal lung tissue and usually. What Are Nodules On Chest X-Ray.
From sumerdoc.blogspot.com
Solitary Pulmonary NoduleCT Sumer's Radiology Blog What Are Nodules On Chest X-Ray Pulmonary nodules are small, rounded opacities within the pulmonary interstitium. Lung nodules are commonly found after a patient undergoes. Nodules are areas that are denser than normal lung tissue and usually don't cause symptoms. A lung nodule is a small mass of dense tissue on the lung. Lung nodules often are discovered. The phrase ‘lung nodule’ describes a small, denser. What Are Nodules On Chest X-Ray.
From www.researchgate.net
Frontal chest radiograph demonstrates multiple lung nodules. The What Are Nodules On Chest X-Ray Pulmonary nodules are abnormal growths that form in the lung. A ct scan gives a more detailed image and can show. Lung nodules often are discovered. A lung nodule is a small mass of dense tissue on the lung. Lung nodules are commonly found after a patient undergoes. Pulmonary nodules are small, rounded opacities within the pulmonary interstitium. The phrase. What Are Nodules On Chest X-Ray.
From www.researchgate.net
Chest Xrays after 4 months of therapy shows that the lung nodules have What Are Nodules On Chest X-Ray The phrase ‘lung nodule’ describes a small, denser area of the lung which appears as a round spot on the image. Pulmonary nodules are small, rounded opacities within the pulmonary interstitium. A lung nodule is a small mass of dense tissue on the lung. A ct scan gives a more detailed image and can show. They're typically smaller than 3. What Are Nodules On Chest X-Ray.
From www.researchgate.net
(A) Chest Xray revealing a nodule in the middle part of the upper left What Are Nodules On Chest X-Ray The phrase ‘lung nodule’ describes a small, denser area of the lung which appears as a round spot on the image. They're typically smaller than 3 centimeters in diameter. Pulmonary nodules are abnormal growths that form in the lung. Lung nodules are commonly found after a patient undergoes. A ct scan gives a more detailed image and can show. Pulmonary. What Are Nodules On Chest X-Ray.
From www.scienceopen.com
The calcified lung nodule What does it mean? ScienceOpen What Are Nodules On Chest X-Ray Lung nodules are commonly found after a patient undergoes. They're typically smaller than 3 centimeters in diameter. The phrase ‘lung nodule’ describes a small, denser area of the lung which appears as a round spot on the image. Pulmonary nodules are abnormal growths that form in the lung. A ct scan gives a more detailed image and can show. Nodules. What Are Nodules On Chest X-Ray.
From buyxraysonline.com
SARCOIDOSIS NODULES What Are Nodules On Chest X-Ray A lung nodule is a small mass of dense tissue on the lung. The phrase ‘lung nodule’ describes a small, denser area of the lung which appears as a round spot on the image. Pulmonary nodules are small, rounded opacities within the pulmonary interstitium. Nodules are areas that are denser than normal lung tissue and usually don't cause symptoms. Lung. What Are Nodules On Chest X-Ray.
From www.sharp.com
Can a CT Scan Tell if a Nodule Is Cancerous? Sharp HealthCare What Are Nodules On Chest X-Ray Pulmonary nodules are small, rounded opacities within the pulmonary interstitium. Lung nodules are commonly found after a patient undergoes. Nodules are areas that are denser than normal lung tissue and usually don't cause symptoms. A ct scan gives a more detailed image and can show. The phrase ‘lung nodule’ describes a small, denser area of the lung which appears as. What Are Nodules On Chest X-Ray.
From www.researchgate.net
A Chest XRay of case 4 shows nodular opacity in both lungs. B Chest What Are Nodules On Chest X-Ray Pulmonary nodules are abnormal growths that form in the lung. Nodules are areas that are denser than normal lung tissue and usually don't cause symptoms. Pulmonary nodules are small, rounded opacities within the pulmonary interstitium. The phrase ‘lung nodule’ describes a small, denser area of the lung which appears as a round spot on the image. A lung nodule is. What Are Nodules On Chest X-Ray.
From www.mdpi.com
Sensors Free FullText Weak Localization of Radiographic What Are Nodules On Chest X-Ray Lung nodules often are discovered. Lung nodules are commonly found after a patient undergoes. The phrase ‘lung nodule’ describes a small, denser area of the lung which appears as a round spot on the image. A lung nodule is a small mass of dense tissue on the lung. They're typically smaller than 3 centimeters in diameter. Nodules are areas that. What Are Nodules On Chest X-Ray.
From pubs.rsna.org
Solitary Pulmonary Nodules Part I. Morphologic Evaluation for What Are Nodules On Chest X-Ray A lung nodule is a small mass of dense tissue on the lung. Lung nodules are commonly found after a patient undergoes. Nodules are areas that are denser than normal lung tissue and usually don't cause symptoms. The phrase ‘lung nodule’ describes a small, denser area of the lung which appears as a round spot on the image. A ct. What Are Nodules On Chest X-Ray.
From www.mdedge.com
Innumerable pulmonary nodules MDedge Family Medicine What Are Nodules On Chest X-Ray A lung nodule is a small mass of dense tissue on the lung. Lung nodules are commonly found after a patient undergoes. Nodules are areas that are denser than normal lung tissue and usually don't cause symptoms. Lung nodules often are discovered. Pulmonary nodules are small, rounded opacities within the pulmonary interstitium. The phrase ‘lung nodule’ describes a small, denser. What Are Nodules On Chest X-Ray.