Dental Fillings 1970'S . The earliest dental filling which has survived enough to be studied dates back to 6500 years ago in the neolithic human tooth. This insight highlights how lucky we are to live in a golden age of modern dentistry. In the 19 th century, metal fillings were used to fill teeth. Around 7000 bc, civilizations used various materials such as beeswax, resin, and gold in an attempt to fill cavities. The earliest known dental fillings were made of beeswax, resin, and tar. Dental fillings date back thousands of years. Tooth fillings have been around for centuries, with evidence of ancient civilizations using various materials to fill cavities. The quest for a more durable dental filling material led to experimentation with silver, lead, and even wood and cork. These materials were not very durable and often fell out, leading to further decay and tooth loss. Key milestones in the history of dental fillings over the centuries Dental fillings are a restorative treatment used to repair the look and function of a tooth damaged by decay. This was marketed as having superior. The following timeline provides a brief overview of the history of fillings and how they changed over time. The metal (which could be any metal from gold, tin, silver, etc.) was softened and put into.
from waverleyoaksdental.com
These materials were not very durable and often fell out, leading to further decay and tooth loss. The following timeline provides a brief overview of the history of fillings and how they changed over time. Dental fillings date back thousands of years. Tooth fillings have been around for centuries, with evidence of ancient civilizations using various materials to fill cavities. Key milestones in the history of dental fillings over the centuries Around 7000 bc, civilizations used various materials such as beeswax, resin, and gold in an attempt to fill cavities. In the 19 th century, metal fillings were used to fill teeth. This insight highlights how lucky we are to live in a golden age of modern dentistry. The earliest known dental fillings were made of beeswax, resin, and tar. The metal (which could be any metal from gold, tin, silver, etc.) was softened and put into.
Fillings in Dentistry, What is it? Learn all about it.
Dental Fillings 1970'S Tooth fillings have been around for centuries, with evidence of ancient civilizations using various materials to fill cavities. Tooth fillings have been around for centuries, with evidence of ancient civilizations using various materials to fill cavities. Around 7000 bc, civilizations used various materials such as beeswax, resin, and gold in an attempt to fill cavities. Dental fillings date back thousands of years. The following timeline provides a brief overview of the history of fillings and how they changed over time. The quest for a more durable dental filling material led to experimentation with silver, lead, and even wood and cork. This was marketed as having superior. This insight highlights how lucky we are to live in a golden age of modern dentistry. Key milestones in the history of dental fillings over the centuries The metal (which could be any metal from gold, tin, silver, etc.) was softened and put into. Dental fillings are a restorative treatment used to repair the look and function of a tooth damaged by decay. The earliest known dental fillings were made of beeswax, resin, and tar. In the 19 th century, metal fillings were used to fill teeth. The earliest dental filling which has survived enough to be studied dates back to 6500 years ago in the neolithic human tooth. These materials were not very durable and often fell out, leading to further decay and tooth loss.
From thetowndentist.com
Understanding the Different Types of Dental Fillings and Their Benefits Dental Fillings 1970'S The quest for a more durable dental filling material led to experimentation with silver, lead, and even wood and cork. This was marketed as having superior. In the 19 th century, metal fillings were used to fill teeth. Around 7000 bc, civilizations used various materials such as beeswax, resin, and gold in an attempt to fill cavities. These materials were. Dental Fillings 1970'S.
From artistadentalstudio.com
Porcelain Fillings Artista Dental Studio Manhattan Dental Fillings 1970'S The earliest dental filling which has survived enough to be studied dates back to 6500 years ago in the neolithic human tooth. Dental fillings are a restorative treatment used to repair the look and function of a tooth damaged by decay. The metal (which could be any metal from gold, tin, silver, etc.) was softened and put into. In the. Dental Fillings 1970'S.
From gerdafamilydental.com
Dental Fillings Columbus Tooth Decay Cavity Filling Dental Fillings 1970'S Around 7000 bc, civilizations used various materials such as beeswax, resin, and gold in an attempt to fill cavities. Tooth fillings have been around for centuries, with evidence of ancient civilizations using various materials to fill cavities. This was marketed as having superior. The following timeline provides a brief overview of the history of fillings and how they changed over. Dental Fillings 1970'S.
From s10dental.co.uk
Dental Fillings Heal Teeth with Stem Cells S10 Dental Dental Fillings 1970'S Around 7000 bc, civilizations used various materials such as beeswax, resin, and gold in an attempt to fill cavities. The metal (which could be any metal from gold, tin, silver, etc.) was softened and put into. The following timeline provides a brief overview of the history of fillings and how they changed over time. In the 19 th century, metal. Dental Fillings 1970'S.
From dentalri.org
Teeth Filling Services in Cranston RI Dental RI Dental Fillings 1970'S The metal (which could be any metal from gold, tin, silver, etc.) was softened and put into. This was marketed as having superior. Dental fillings are a restorative treatment used to repair the look and function of a tooth damaged by decay. Key milestones in the history of dental fillings over the centuries Tooth fillings have been around for centuries,. Dental Fillings 1970'S.
From leemingdental.com.au
Dental Fillings Leeming Dental Dental Fillings 1970'S This insight highlights how lucky we are to live in a golden age of modern dentistry. Dental fillings date back thousands of years. The earliest dental filling which has survived enough to be studied dates back to 6500 years ago in the neolithic human tooth. Dental fillings are a restorative treatment used to repair the look and function of a. Dental Fillings 1970'S.
From waverleyoaksdental.com
Fillings in Dentistry, What is it? Learn all about it. Dental Fillings 1970'S Dental fillings are a restorative treatment used to repair the look and function of a tooth damaged by decay. Tooth fillings have been around for centuries, with evidence of ancient civilizations using various materials to fill cavities. Around 7000 bc, civilizations used various materials such as beeswax, resin, and gold in an attempt to fill cavities. The quest for a. Dental Fillings 1970'S.
From oldparkdental.co.uk
Old Park Dental Dental Fillings 1970'S This was marketed as having superior. The earliest dental filling which has survived enough to be studied dates back to 6500 years ago in the neolithic human tooth. The following timeline provides a brief overview of the history of fillings and how they changed over time. The metal (which could be any metal from gold, tin, silver, etc.) was softened. Dental Fillings 1970'S.
From www.belorens.com
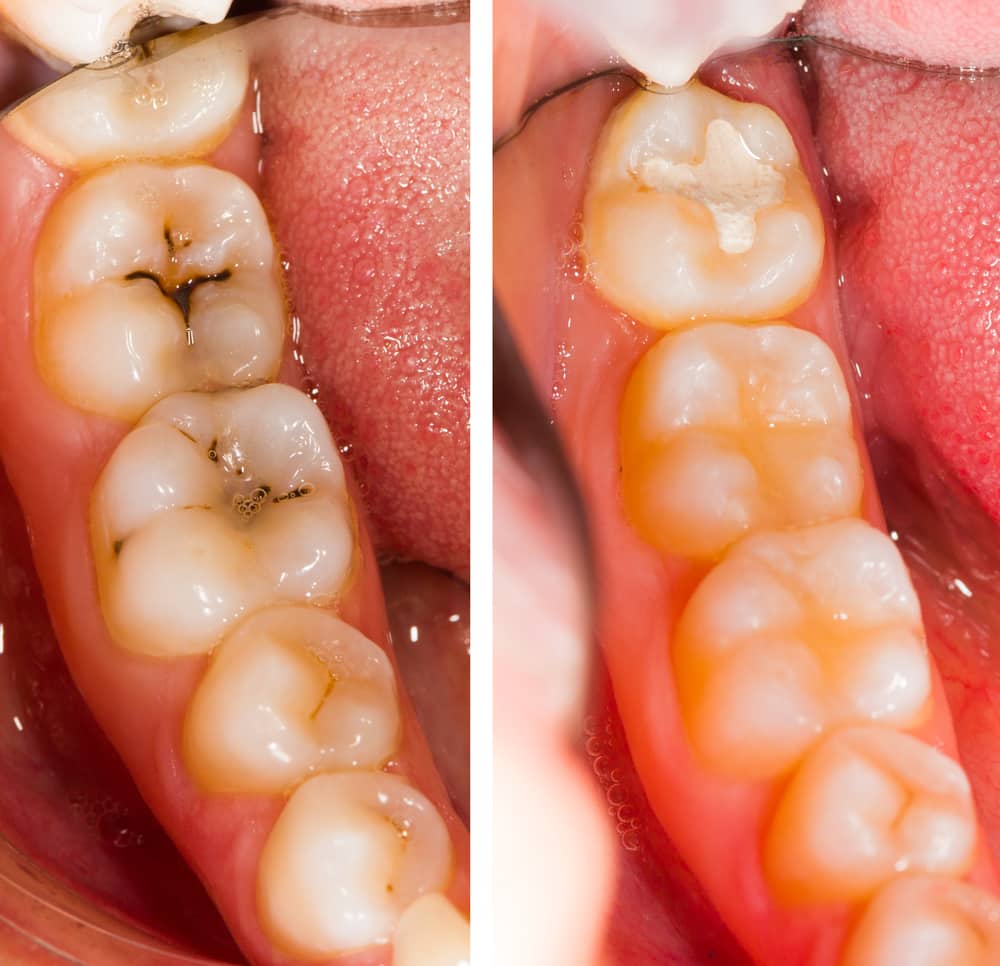
Dental Filling Before and After Photos Dental Fillings 1970'S This was marketed as having superior. In the 19 th century, metal fillings were used to fill teeth. The earliest known dental fillings were made of beeswax, resin, and tar. Around 7000 bc, civilizations used various materials such as beeswax, resin, and gold in an attempt to fill cavities. These materials were not very durable and often fell out, leading. Dental Fillings 1970'S.
From www.dentalcaregroup.net
Do Dental Fillings Last Forever? The Dental Care Group Dental Fillings 1970'S The following timeline provides a brief overview of the history of fillings and how they changed over time. This was marketed as having superior. Key milestones in the history of dental fillings over the centuries The quest for a more durable dental filling material led to experimentation with silver, lead, and even wood and cork. Around 7000 bc, civilizations used. Dental Fillings 1970'S.
From northernskydental.ca
Dental Fillings Northern Sky Dental Dental Fillings 1970'S This insight highlights how lucky we are to live in a golden age of modern dentistry. Tooth fillings have been around for centuries, with evidence of ancient civilizations using various materials to fill cavities. Dental fillings are a restorative treatment used to repair the look and function of a tooth damaged by decay. The following timeline provides a brief overview. Dental Fillings 1970'S.
From dxououpli.blob.core.windows.net
Tooth Filling Wikipedia at Thomas Thomas blog Dental Fillings 1970'S These materials were not very durable and often fell out, leading to further decay and tooth loss. Around 7000 bc, civilizations used various materials such as beeswax, resin, and gold in an attempt to fill cavities. Key milestones in the history of dental fillings over the centuries This was marketed as having superior. Dental fillings are a restorative treatment used. Dental Fillings 1970'S.
From dxououpli.blob.core.windows.net
Tooth Filling Wikipedia at Thomas Thomas blog Dental Fillings 1970'S Key milestones in the history of dental fillings over the centuries This insight highlights how lucky we are to live in a golden age of modern dentistry. Around 7000 bc, civilizations used various materials such as beeswax, resin, and gold in an attempt to fill cavities. In the 19 th century, metal fillings were used to fill teeth. Dental fillings. Dental Fillings 1970'S.
From loeskzjdm.blob.core.windows.net
Are Cavity Fillings Metal at Marissa Evans blog Dental Fillings 1970'S This insight highlights how lucky we are to live in a golden age of modern dentistry. The earliest dental filling which has survived enough to be studied dates back to 6500 years ago in the neolithic human tooth. Dental fillings date back thousands of years. The metal (which could be any metal from gold, tin, silver, etc.) was softened and. Dental Fillings 1970'S.
From hosnerdental.com
Tooth Colored Fillings Gallery Hosner Family Dentistry Dental Fillings 1970'S The quest for a more durable dental filling material led to experimentation with silver, lead, and even wood and cork. This was marketed as having superior. Key milestones in the history of dental fillings over the centuries Around 7000 bc, civilizations used various materials such as beeswax, resin, and gold in an attempt to fill cavities. Dental fillings date back. Dental Fillings 1970'S.
From www.pinterest.com
To treat a cavity your dentist will remove the decayed portion of the Dental Fillings 1970'S The earliest known dental fillings were made of beeswax, resin, and tar. These materials were not very durable and often fell out, leading to further decay and tooth loss. The quest for a more durable dental filling material led to experimentation with silver, lead, and even wood and cork. The metal (which could be any metal from gold, tin, silver,. Dental Fillings 1970'S.
From thecrossdental.com
Dental Fillings The Cross Dental Practice Dental Fillings 1970'S Key milestones in the history of dental fillings over the centuries The earliest dental filling which has survived enough to be studied dates back to 6500 years ago in the neolithic human tooth. This insight highlights how lucky we are to live in a golden age of modern dentistry. Around 7000 bc, civilizations used various materials such as beeswax, resin,. Dental Fillings 1970'S.
From www.dentalcaremodesto.com
Different Types of Dental Fillings Dental Fillings 1970'S In the 19 th century, metal fillings were used to fill teeth. This was marketed as having superior. The earliest dental filling which has survived enough to be studied dates back to 6500 years ago in the neolithic human tooth. This insight highlights how lucky we are to live in a golden age of modern dentistry. Dental fillings date back. Dental Fillings 1970'S.
From www.pinterest.fr
1970 To maximize practice efficiency for the dentist and his assistant Dental Fillings 1970'S Dental fillings are a restorative treatment used to repair the look and function of a tooth damaged by decay. These materials were not very durable and often fell out, leading to further decay and tooth loss. Dental fillings date back thousands of years. The following timeline provides a brief overview of the history of fillings and how they changed over. Dental Fillings 1970'S.
From www.pinterest.com
5 Different types of dental fillings, what are they and what are the Dental Fillings 1970'S These materials were not very durable and often fell out, leading to further decay and tooth loss. In the 19 th century, metal fillings were used to fill teeth. Around 7000 bc, civilizations used various materials such as beeswax, resin, and gold in an attempt to fill cavities. The metal (which could be any metal from gold, tin, silver, etc.). Dental Fillings 1970'S.
From www.alamy.com
1970s dentistry hires stock photography and images Alamy Dental Fillings 1970'S The metal (which could be any metal from gold, tin, silver, etc.) was softened and put into. Key milestones in the history of dental fillings over the centuries These materials were not very durable and often fell out, leading to further decay and tooth loss. In the 19 th century, metal fillings were used to fill teeth. This was marketed. Dental Fillings 1970'S.
From www.freemanandrosserdentalpractice.co.uk
Dentist Fillings Carmarthen Freeman & Rosser Dental & Implant Clinic Dental Fillings 1970'S The quest for a more durable dental filling material led to experimentation with silver, lead, and even wood and cork. Dental fillings date back thousands of years. In the 19 th century, metal fillings were used to fill teeth. The following timeline provides a brief overview of the history of fillings and how they changed over time. The metal (which. Dental Fillings 1970'S.
From wagerevans.com
Dental Fillings Reno Dental Fillings 1970'S Dental fillings are a restorative treatment used to repair the look and function of a tooth damaged by decay. In the 19 th century, metal fillings were used to fill teeth. Around 7000 bc, civilizations used various materials such as beeswax, resin, and gold in an attempt to fill cavities. This insight highlights how lucky we are to live in. Dental Fillings 1970'S.
From dentistinfleet.co.uk
Dental Fillings Private Dentist Fleet Hampshire Dental Fillings 1970'S In the 19 th century, metal fillings were used to fill teeth. This insight highlights how lucky we are to live in a golden age of modern dentistry. The earliest dental filling which has survived enough to be studied dates back to 6500 years ago in the neolithic human tooth. The following timeline provides a brief overview of the history. Dental Fillings 1970'S.
From thedentalcentrelondon.com
The Types of Dental Fillings The Dental Centre Dental Fillings 1970'S The following timeline provides a brief overview of the history of fillings and how they changed over time. The earliest known dental fillings were made of beeswax, resin, and tar. This was marketed as having superior. Dental fillings are a restorative treatment used to repair the look and function of a tooth damaged by decay. This insight highlights how lucky. Dental Fillings 1970'S.
From www.southviewdentistrycharlotte.com
All About Dental Fillings and How They Have Changed Over The Years Dental Fillings 1970'S In the 19 th century, metal fillings were used to fill teeth. The earliest known dental fillings were made of beeswax, resin, and tar. Around 7000 bc, civilizations used various materials such as beeswax, resin, and gold in an attempt to fill cavities. The quest for a more durable dental filling material led to experimentation with silver, lead, and even. Dental Fillings 1970'S.
From barskydds.com
Dental Fillings in Miami with Dr. Barsky Barsky DDS Dental Fillings 1970'S Dental fillings are a restorative treatment used to repair the look and function of a tooth damaged by decay. These materials were not very durable and often fell out, leading to further decay and tooth loss. In the 19 th century, metal fillings were used to fill teeth. Tooth fillings have been around for centuries, with evidence of ancient civilizations. Dental Fillings 1970'S.
From www.reddit.com
Do I need fillings? [XRays Included] r/Dentistry Dental Fillings 1970'S Tooth fillings have been around for centuries, with evidence of ancient civilizations using various materials to fill cavities. Around 7000 bc, civilizations used various materials such as beeswax, resin, and gold in an attempt to fill cavities. In the 19 th century, metal fillings were used to fill teeth. The earliest dental filling which has survived enough to be studied. Dental Fillings 1970'S.
From www.atlasdental.ca
Cavity Under An Old Filling Atlas Dental, Toronto Dentist Dental Fillings 1970'S These materials were not very durable and often fell out, leading to further decay and tooth loss. Dental fillings date back thousands of years. Tooth fillings have been around for centuries, with evidence of ancient civilizations using various materials to fill cavities. This was marketed as having superior. The earliest dental filling which has survived enough to be studied dates. Dental Fillings 1970'S.
From dentistinsparta.com
Dental Fillings, Composite Restorations, Cavity Filled in Sparta, NC Dental Fillings 1970'S Dental fillings are a restorative treatment used to repair the look and function of a tooth damaged by decay. This insight highlights how lucky we are to live in a golden age of modern dentistry. This was marketed as having superior. Dental fillings date back thousands of years. The earliest known dental fillings were made of beeswax, resin, and tar.. Dental Fillings 1970'S.
From www.dentistsinannerley.com.au
Dental Fillings South Brisbane Dentists in Annerley Dental Fillings 1970'S The earliest known dental fillings were made of beeswax, resin, and tar. The quest for a more durable dental filling material led to experimentation with silver, lead, and even wood and cork. The metal (which could be any metal from gold, tin, silver, etc.) was softened and put into. In the 19 th century, metal fillings were used to fill. Dental Fillings 1970'S.
From orthosmiles4u.com
Aching Tooth? Time For A Dental Filling Shirley, NY Dental Fillings 1970'S The following timeline provides a brief overview of the history of fillings and how they changed over time. In the 19 th century, metal fillings were used to fill teeth. Key milestones in the history of dental fillings over the centuries The earliest known dental fillings were made of beeswax, resin, and tar. Tooth fillings have been around for centuries,. Dental Fillings 1970'S.
From icdexcell.com
Dental Fillings in Abu Dhabi Experience LongLasting Results Dental Fillings 1970'S The earliest known dental fillings were made of beeswax, resin, and tar. Dental fillings date back thousands of years. Key milestones in the history of dental fillings over the centuries In the 19 th century, metal fillings were used to fill teeth. The earliest dental filling which has survived enough to be studied dates back to 6500 years ago in. Dental Fillings 1970'S.
From www.youtube.com
Dental Fillings Explained YouTube Dental Fillings 1970'S Around 7000 bc, civilizations used various materials such as beeswax, resin, and gold in an attempt to fill cavities. The quest for a more durable dental filling material led to experimentation with silver, lead, and even wood and cork. Tooth fillings have been around for centuries, with evidence of ancient civilizations using various materials to fill cavities. The metal (which. Dental Fillings 1970'S.
From flashbak.com
18 Great Photos Of Teeth In The 1950s Flashbak Dental Fillings 1970'S This was marketed as having superior. Tooth fillings have been around for centuries, with evidence of ancient civilizations using various materials to fill cavities. Key milestones in the history of dental fillings over the centuries In the 19 th century, metal fillings were used to fill teeth. The metal (which could be any metal from gold, tin, silver, etc.) was. Dental Fillings 1970'S.