Crushing Of Stone In The Bladder . This procedure involves crushing or disintegration of bladder stone(s) using telescopic instruments or laser and removal of the stone. The most common procedure is a cystolitholapaxy, where. How to pass a stone. Bladder stones are hardened mineral clumps that form in your urinary bladder (the organ that holds your urine). Bladder stones are hard masses of minerals in your bladder. They usually form when some urine. They develop when the minerals in concentrated urine crystallize and. For bladder stones, some basic questions to ask include: Surgery is usually needed to remove the stones from the bladder. Bladder stones—also known as bladder calculi, vesical calculi, or cystoliths—are hardened. Is it possible my bladder stones could pass without treatment? A cystolitholapaxy is a surgical procedure that treats bladder stones, which are hard deposits of minerals that can form inside your bladder.
from www.news-medical.net
They develop when the minerals in concentrated urine crystallize and. The most common procedure is a cystolitholapaxy, where. Bladder stones—also known as bladder calculi, vesical calculi, or cystoliths—are hardened. Is it possible my bladder stones could pass without treatment? They usually form when some urine. Bladder stones are hardened mineral clumps that form in your urinary bladder (the organ that holds your urine). How to pass a stone. For bladder stones, some basic questions to ask include: Bladder stones are hard masses of minerals in your bladder. A cystolitholapaxy is a surgical procedure that treats bladder stones, which are hard deposits of minerals that can form inside your bladder.
Symptoms and Diagnosis of Bladder Stones
Crushing Of Stone In The Bladder They develop when the minerals in concentrated urine crystallize and. A cystolitholapaxy is a surgical procedure that treats bladder stones, which are hard deposits of minerals that can form inside your bladder. Is it possible my bladder stones could pass without treatment? The most common procedure is a cystolitholapaxy, where. How to pass a stone. Bladder stones—also known as bladder calculi, vesical calculi, or cystoliths—are hardened. Surgery is usually needed to remove the stones from the bladder. They develop when the minerals in concentrated urine crystallize and. Bladder stones are hard masses of minerals in your bladder. This procedure involves crushing or disintegration of bladder stone(s) using telescopic instruments or laser and removal of the stone. They usually form when some urine. For bladder stones, some basic questions to ask include: Bladder stones are hardened mineral clumps that form in your urinary bladder (the organ that holds your urine).
From healthjade.net
Bladder Stones Causes, Diagnosis, Symptoms, Removal & Treatment Crushing Of Stone In The Bladder The most common procedure is a cystolitholapaxy, where. They develop when the minerals in concentrated urine crystallize and. Is it possible my bladder stones could pass without treatment? A cystolitholapaxy is a surgical procedure that treats bladder stones, which are hard deposits of minerals that can form inside your bladder. How to pass a stone. Bladder stones are hardened mineral. Crushing Of Stone In The Bladder.
From www.medicotips.com
Big Stone in the Urinary Bladder Dr. Adil Ramzan Crushing Of Stone In The Bladder How to pass a stone. Bladder stones are hardened mineral clumps that form in your urinary bladder (the organ that holds your urine). They usually form when some urine. They develop when the minerals in concentrated urine crystallize and. This procedure involves crushing or disintegration of bladder stone(s) using telescopic instruments or laser and removal of the stone. A cystolitholapaxy. Crushing Of Stone In The Bladder.
From casereports.bmj.com
Obstructive uropathy from a giant urinary bladder stone a rare Crushing Of Stone In The Bladder Bladder stones—also known as bladder calculi, vesical calculi, or cystoliths—are hardened. They usually form when some urine. Surgery is usually needed to remove the stones from the bladder. Bladder stones are hard masses of minerals in your bladder. The most common procedure is a cystolitholapaxy, where. Bladder stones are hardened mineral clumps that form in your urinary bladder (the organ. Crushing Of Stone In The Bladder.
From litfl.com
Bladder Stone Case 2 • LITFL • Ultrasound Clinical Cases Crushing Of Stone In The Bladder The most common procedure is a cystolitholapaxy, where. How to pass a stone. They develop when the minerals in concentrated urine crystallize and. Is it possible my bladder stones could pass without treatment? A cystolitholapaxy is a surgical procedure that treats bladder stones, which are hard deposits of minerals that can form inside your bladder. Surgery is usually needed to. Crushing Of Stone In The Bladder.
From www.youtube.com
LASER BLADDER STONE REMOVAL LIVE SURGERY YouTube Crushing Of Stone In The Bladder Bladder stones are hardened mineral clumps that form in your urinary bladder (the organ that holds your urine). Is it possible my bladder stones could pass without treatment? How to pass a stone. This procedure involves crushing or disintegration of bladder stone(s) using telescopic instruments or laser and removal of the stone. They usually form when some urine. They develop. Crushing Of Stone In The Bladder.
From www.findatopdoc.com
Bladder Stones Symptoms, Causes, Treatment, and Diagnosis FindATopDoc Crushing Of Stone In The Bladder They usually form when some urine. This procedure involves crushing or disintegration of bladder stone(s) using telescopic instruments or laser and removal of the stone. A cystolitholapaxy is a surgical procedure that treats bladder stones, which are hard deposits of minerals that can form inside your bladder. Bladder stones—also known as bladder calculi, vesical calculi, or cystoliths—are hardened. Surgery is. Crushing Of Stone In The Bladder.
From www.ctisus.com
Large Bladder Stone and Chronic Cystitis Genitourinary Case Studies Crushing Of Stone In The Bladder Bladder stones—also known as bladder calculi, vesical calculi, or cystoliths—are hardened. They develop when the minerals in concentrated urine crystallize and. Bladder stones are hard masses of minerals in your bladder. Surgery is usually needed to remove the stones from the bladder. Is it possible my bladder stones could pass without treatment? A cystolitholapaxy is a surgical procedure that treats. Crushing Of Stone In The Bladder.
From www.cureus.com
Cureus Urachal Remnant Calcification A Rare Cause of Calcification Crushing Of Stone In The Bladder Bladder stones—also known as bladder calculi, vesical calculi, or cystoliths—are hardened. A cystolitholapaxy is a surgical procedure that treats bladder stones, which are hard deposits of minerals that can form inside your bladder. They usually form when some urine. Surgery is usually needed to remove the stones from the bladder. The most common procedure is a cystolitholapaxy, where. This procedure. Crushing Of Stone In The Bladder.
From www.dreamstime.com
Film of a Patient with Kidney and Urinary Bladder Stones Stock Image Crushing Of Stone In The Bladder Bladder stones are hardened mineral clumps that form in your urinary bladder (the organ that holds your urine). They usually form when some urine. This procedure involves crushing or disintegration of bladder stone(s) using telescopic instruments or laser and removal of the stone. Bladder stones—also known as bladder calculi, vesical calculi, or cystoliths—are hardened. Is it possible my bladder stones. Crushing Of Stone In The Bladder.
From www.georgiadis-urology.com
Chronic Cystitis Diagnosis Urology Crushing Of Stone In The Bladder For bladder stones, some basic questions to ask include: Bladder stones—also known as bladder calculi, vesical calculi, or cystoliths—are hardened. They develop when the minerals in concentrated urine crystallize and. Is it possible my bladder stones could pass without treatment? This procedure involves crushing or disintegration of bladder stone(s) using telescopic instruments or laser and removal of the stone. The. Crushing Of Stone In The Bladder.
From www.urologistinpune.com
What is Bladder Stone and It's Symptoms? Dr. Ketan Vartak Crushing Of Stone In The Bladder How to pass a stone. They usually form when some urine. Bladder stones—also known as bladder calculi, vesical calculi, or cystoliths—are hardened. A cystolitholapaxy is a surgical procedure that treats bladder stones, which are hard deposits of minerals that can form inside your bladder. Bladder stones are hard masses of minerals in your bladder. Is it possible my bladder stones. Crushing Of Stone In The Bladder.
From www.researchgate.net
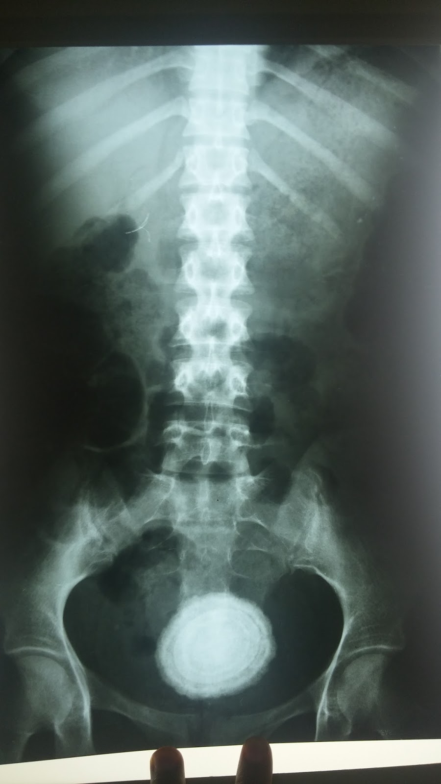
Xray of urinary bladder taken on 14 May 2007 shows several vesical Crushing Of Stone In The Bladder Is it possible my bladder stones could pass without treatment? A cystolitholapaxy is a surgical procedure that treats bladder stones, which are hard deposits of minerals that can form inside your bladder. Surgery is usually needed to remove the stones from the bladder. Bladder stones—also known as bladder calculi, vesical calculi, or cystoliths—are hardened. They usually form when some urine.. Crushing Of Stone In The Bladder.
From www.researchgate.net
c. CT 3D surface format showing bladder stone covering the entire Crushing Of Stone In The Bladder They usually form when some urine. They develop when the minerals in concentrated urine crystallize and. Bladder stones are hard masses of minerals in your bladder. Surgery is usually needed to remove the stones from the bladder. A cystolitholapaxy is a surgical procedure that treats bladder stones, which are hard deposits of minerals that can form inside your bladder. How. Crushing Of Stone In The Bladder.
From www.medicalnewstoday.com
Bladder Stones Causes, Symptoms, and Treatments Crushing Of Stone In The Bladder Bladder stones are hard masses of minerals in your bladder. This procedure involves crushing or disintegration of bladder stone(s) using telescopic instruments or laser and removal of the stone. They develop when the minerals in concentrated urine crystallize and. Bladder stones are hardened mineral clumps that form in your urinary bladder (the organ that holds your urine). The most common. Crushing Of Stone In The Bladder.
From clinmedjournals.org
A Giant Bladder Stone in a Young Woman Complicated with Acute Renal Failure Crushing Of Stone In The Bladder They develop when the minerals in concentrated urine crystallize and. This procedure involves crushing or disintegration of bladder stone(s) using telescopic instruments or laser and removal of the stone. Bladder stones—also known as bladder calculi, vesical calculi, or cystoliths—are hardened. Bladder stones are hardened mineral clumps that form in your urinary bladder (the organ that holds your urine). For bladder. Crushing Of Stone In The Bladder.
From www.cureus.com
Cureus Giant Bladder Stone A Case Report Crushing Of Stone In The Bladder A cystolitholapaxy is a surgical procedure that treats bladder stones, which are hard deposits of minerals that can form inside your bladder. Bladder stones are hard masses of minerals in your bladder. Bladder stones are hardened mineral clumps that form in your urinary bladder (the organ that holds your urine). Surgery is usually needed to remove the stones from the. Crushing Of Stone In The Bladder.
From www.reddit.com
I work in pathology. Yesterday I got the largest bladder stone I've Crushing Of Stone In The Bladder For bladder stones, some basic questions to ask include: How to pass a stone. They develop when the minerals in concentrated urine crystallize and. Bladder stones are hard masses of minerals in your bladder. Bladder stones—also known as bladder calculi, vesical calculi, or cystoliths—are hardened. Bladder stones are hardened mineral clumps that form in your urinary bladder (the organ that. Crushing Of Stone In The Bladder.
From casereports.bmj.com
Large bladder calculus masking a stone in singlesystem ureterocele Crushing Of Stone In The Bladder A cystolitholapaxy is a surgical procedure that treats bladder stones, which are hard deposits of minerals that can form inside your bladder. They develop when the minerals in concentrated urine crystallize and. How to pass a stone. The most common procedure is a cystolitholapaxy, where. Bladder stones are hard masses of minerals in your bladder. Is it possible my bladder. Crushing Of Stone In The Bladder.
From onlinelibrary.wiley.com
Aggressive squamous cell carcinoma of the bladder associated with a Crushing Of Stone In The Bladder They usually form when some urine. Is it possible my bladder stones could pass without treatment? How to pass a stone. Surgery is usually needed to remove the stones from the bladder. This procedure involves crushing or disintegration of bladder stone(s) using telescopic instruments or laser and removal of the stone. Bladder stones are hard masses of minerals in your. Crushing Of Stone In The Bladder.
From www.youtube.com
Urinary Tract Stones How do we Diagnose them on CT Scans? YouTube Crushing Of Stone In The Bladder Bladder stones are hardened mineral clumps that form in your urinary bladder (the organ that holds your urine). Bladder stones—also known as bladder calculi, vesical calculi, or cystoliths—are hardened. A cystolitholapaxy is a surgical procedure that treats bladder stones, which are hard deposits of minerals that can form inside your bladder. They develop when the minerals in concentrated urine crystallize. Crushing Of Stone In The Bladder.
From dhanbadurologist.com
Bladder Stones What You Need to Know About Symptoms & Causes Crushing Of Stone In The Bladder Surgery is usually needed to remove the stones from the bladder. How to pass a stone. The most common procedure is a cystolitholapaxy, where. This procedure involves crushing or disintegration of bladder stone(s) using telescopic instruments or laser and removal of the stone. Bladder stones—also known as bladder calculi, vesical calculi, or cystoliths—are hardened. Bladder stones are hardened mineral clumps. Crushing Of Stone In The Bladder.
From www.news-medical.net
Symptoms and Diagnosis of Bladder Stones Crushing Of Stone In The Bladder Bladder stones—also known as bladder calculi, vesical calculi, or cystoliths—are hardened. Surgery is usually needed to remove the stones from the bladder. How to pass a stone. A cystolitholapaxy is a surgical procedure that treats bladder stones, which are hard deposits of minerals that can form inside your bladder. Is it possible my bladder stones could pass without treatment? This. Crushing Of Stone In The Bladder.
From premierhospital.in
Bladder Stones An Overview Premier Hospital Crushing Of Stone In The Bladder They develop when the minerals in concentrated urine crystallize and. This procedure involves crushing or disintegration of bladder stone(s) using telescopic instruments or laser and removal of the stone. For bladder stones, some basic questions to ask include: Bladder stones are hardened mineral clumps that form in your urinary bladder (the organ that holds your urine). A cystolitholapaxy is a. Crushing Of Stone In The Bladder.
From www.starhealth.in
Bladder stones Symptoms, causes, diagnosis, treatment Star Health Crushing Of Stone In The Bladder The most common procedure is a cystolitholapaxy, where. Bladder stones—also known as bladder calculi, vesical calculi, or cystoliths—are hardened. Surgery is usually needed to remove the stones from the bladder. They usually form when some urine. This procedure involves crushing or disintegration of bladder stone(s) using telescopic instruments or laser and removal of the stone. Is it possible my bladder. Crushing Of Stone In The Bladder.
From casereports.bmj.com
Unusual cause of bladder and urethral stones in a child BMJ Case Reports Crushing Of Stone In The Bladder They develop when the minerals in concentrated urine crystallize and. Bladder stones—also known as bladder calculi, vesical calculi, or cystoliths—are hardened. They usually form when some urine. Surgery is usually needed to remove the stones from the bladder. A cystolitholapaxy is a surgical procedure that treats bladder stones, which are hard deposits of minerals that can form inside your bladder.. Crushing Of Stone In The Bladder.
From www.slideserve.com
PPT GU IMAGING 2012 PowerPoint Presentation, free download ID5170763 Crushing Of Stone In The Bladder Bladder stones are hard masses of minerals in your bladder. They develop when the minerals in concentrated urine crystallize and. A cystolitholapaxy is a surgical procedure that treats bladder stones, which are hard deposits of minerals that can form inside your bladder. The most common procedure is a cystolitholapaxy, where. For bladder stones, some basic questions to ask include: They. Crushing Of Stone In The Bladder.
From fineartamerica.com
Bladder Stone Photograph by Dr P. Marazzi/science Photo Library Crushing Of Stone In The Bladder The most common procedure is a cystolitholapaxy, where. Bladder stones are hardened mineral clumps that form in your urinary bladder (the organ that holds your urine). For bladder stones, some basic questions to ask include: They usually form when some urine. This procedure involves crushing or disintegration of bladder stone(s) using telescopic instruments or laser and removal of the stone.. Crushing Of Stone In The Bladder.
From www.healthclips.com
Text Understanding Bladder Stones HealthClips Online Crushing Of Stone In The Bladder Surgery is usually needed to remove the stones from the bladder. Is it possible my bladder stones could pass without treatment? The most common procedure is a cystolitholapaxy, where. For bladder stones, some basic questions to ask include: They develop when the minerals in concentrated urine crystallize and. How to pass a stone. They usually form when some urine. Bladder. Crushing Of Stone In The Bladder.
From www.sciencephoto.com
Gall and bladder stones, illustration Stock Image C029/6010 Crushing Of Stone In The Bladder How to pass a stone. They develop when the minerals in concentrated urine crystallize and. They usually form when some urine. A cystolitholapaxy is a surgical procedure that treats bladder stones, which are hard deposits of minerals that can form inside your bladder. Is it possible my bladder stones could pass without treatment? This procedure involves crushing or disintegration of. Crushing Of Stone In The Bladder.
From journal.medizzy.com
Multiple Stones in the Bladder MEDizzy Journal Crushing Of Stone In The Bladder Bladder stones are hardened mineral clumps that form in your urinary bladder (the organ that holds your urine). The most common procedure is a cystolitholapaxy, where. A cystolitholapaxy is a surgical procedure that treats bladder stones, which are hard deposits of minerals that can form inside your bladder. Bladder stones—also known as bladder calculi, vesical calculi, or cystoliths—are hardened. They. Crushing Of Stone In The Bladder.
From www.vectorstock.com
Crushing kidneys stones ultrasonic waves Vector Image Crushing Of Stone In The Bladder A cystolitholapaxy is a surgical procedure that treats bladder stones, which are hard deposits of minerals that can form inside your bladder. They usually form when some urine. Bladder stones—also known as bladder calculi, vesical calculi, or cystoliths—are hardened. This procedure involves crushing or disintegration of bladder stone(s) using telescopic instruments or laser and removal of the stone. How to. Crushing Of Stone In The Bladder.
From www.liebertpub.com
Multiple Uric Acid Bladder Stones Clinical Presentation and Endoscopic Crushing Of Stone In The Bladder This procedure involves crushing or disintegration of bladder stone(s) using telescopic instruments or laser and removal of the stone. They usually form when some urine. Bladder stones are hardened mineral clumps that form in your urinary bladder (the organ that holds your urine). They develop when the minerals in concentrated urine crystallize and. Bladder stones are hard masses of minerals. Crushing Of Stone In The Bladder.
From www.sciencephoto.com
Xray showing bladder stones Stock Image M120/0091 Science Photo Crushing Of Stone In The Bladder Bladder stones are hard masses of minerals in your bladder. Surgery is usually needed to remove the stones from the bladder. They usually form when some urine. How to pass a stone. Bladder stones are hardened mineral clumps that form in your urinary bladder (the organ that holds your urine). A cystolitholapaxy is a surgical procedure that treats bladder stones,. Crushing Of Stone In The Bladder.
From viraltab.news
Shock Images As 100 Stones Removed From 83yo OAP Bladder Crushing Of Stone In The Bladder For bladder stones, some basic questions to ask include: How to pass a stone. A cystolitholapaxy is a surgical procedure that treats bladder stones, which are hard deposits of minerals that can form inside your bladder. Surgery is usually needed to remove the stones from the bladder. Bladder stones are hardened mineral clumps that form in your urinary bladder (the. Crushing Of Stone In The Bladder.
From www.harinihospitals.com
Gall Bladder Stone Treatment In Vijayawada AP Crushing Of Stone In The Bladder They usually form when some urine. Bladder stones are hardened mineral clumps that form in your urinary bladder (the organ that holds your urine). They develop when the minerals in concentrated urine crystallize and. Surgery is usually needed to remove the stones from the bladder. Bladder stones—also known as bladder calculi, vesical calculi, or cystoliths—are hardened. Is it possible my. Crushing Of Stone In The Bladder.