Chisel Fracture Radial Head .   learn how to classify radial head fractures using the mason system, which has four types based on the degree of.  learn about the causes, symptoms, and treatment options for fractures of the radial head, a common injury in the elbow. Fractures of the radial head are common.  the radial head is the part of one of your upper arm bones (radius) nearest your elbow.  learn about the epidemiology, anatomy, classification, presentation, imaging, and treatment of radial head fractures, a common elbow injury.  learn about the causes, symptoms, diagnosis and treatment of radial head fractures, which are common in adults and often result from a. Find out what exercises to do, how long it takes to heal and when to.  learn how to manage a radial head or neck fracture of the elbow without surgery, plaster cast or bandaging.
        
         
         
        from www.armdocs.com 
     
        
         the radial head is the part of one of your upper arm bones (radius) nearest your elbow.   learn how to classify radial head fractures using the mason system, which has four types based on the degree of.  learn about the causes, symptoms, and treatment options for fractures of the radial head, a common injury in the elbow.  learn about the epidemiology, anatomy, classification, presentation, imaging, and treatment of radial head fractures, a common elbow injury.  learn about the causes, symptoms, diagnosis and treatment of radial head fractures, which are common in adults and often result from a.  learn how to manage a radial head or neck fracture of the elbow without surgery, plaster cast or bandaging. Fractures of the radial head are common. Find out what exercises to do, how long it takes to heal and when to.
    
    	
            
	
		 
	 
         
    Radial Head Fracture Arm Docs 
    Chisel Fracture Radial Head   the radial head is the part of one of your upper arm bones (radius) nearest your elbow.  learn about the epidemiology, anatomy, classification, presentation, imaging, and treatment of radial head fractures, a common elbow injury.  the radial head is the part of one of your upper arm bones (radius) nearest your elbow.  learn about the causes, symptoms, and treatment options for fractures of the radial head, a common injury in the elbow.  learn about the causes, symptoms, diagnosis and treatment of radial head fractures, which are common in adults and often result from a.   learn how to classify radial head fractures using the mason system, which has four types based on the degree of.  learn how to manage a radial head or neck fracture of the elbow without surgery, plaster cast or bandaging. Find out what exercises to do, how long it takes to heal and when to. Fractures of the radial head are common.
            
	
		 
	 
         
 
    
         
        From www.researchgate.net 
                    Chisel fracture. Frontal radiograph of the elbow shows a nondisplaced Chisel Fracture Radial Head    learn how to classify radial head fractures using the mason system, which has four types based on the degree of.  learn about the epidemiology, anatomy, classification, presentation, imaging, and treatment of radial head fractures, a common elbow injury. Find out what exercises to do, how long it takes to heal and when to.  the radial head is. Chisel Fracture Radial Head.
     
    
         
        From empedics.com 
                    Radial Head Fracture Chisel Fracture Radial Head    learn how to classify radial head fractures using the mason system, which has four types based on the degree of.  learn how to manage a radial head or neck fracture of the elbow without surgery, plaster cast or bandaging.  learn about the causes, symptoms, diagnosis and treatment of radial head fractures, which are common in adults and. Chisel Fracture Radial Head.
     
    
         
        From www.researchgate.net 
                    Partial articular radial head fracture, Mason type 2 according to the Chisel Fracture Radial Head   learn about the causes, symptoms, diagnosis and treatment of radial head fractures, which are common in adults and often result from a.   learn how to classify radial head fractures using the mason system, which has four types based on the degree of.  learn how to manage a radial head or neck fracture of the elbow without surgery,. Chisel Fracture Radial Head.
     
    
         
        From www.svuhradiology.ie 
                    Radial head fracture Radiology at St. Vincent's University Hospital Chisel Fracture Radial Head   learn about the causes, symptoms, and treatment options for fractures of the radial head, a common injury in the elbow. Fractures of the radial head are common.   learn how to classify radial head fractures using the mason system, which has four types based on the degree of.  learn how to manage a radial head or neck fracture. Chisel Fracture Radial Head.
     
    
         
        From isokinetic.com 
                    Radial head fracture Chisel Fracture Radial Head   the radial head is the part of one of your upper arm bones (radius) nearest your elbow. Find out what exercises to do, how long it takes to heal and when to.  learn about the causes, symptoms, diagnosis and treatment of radial head fractures, which are common in adults and often result from a.  learn how to. Chisel Fracture Radial Head.
     
    
         
        From medicolearning.com 
                    Radial Head Fractures MedicoLearning Chisel Fracture Radial Head   learn about the causes, symptoms, and treatment options for fractures of the radial head, a common injury in the elbow.  learn about the causes, symptoms, diagnosis and treatment of radial head fractures, which are common in adults and often result from a.  the radial head is the part of one of your upper arm bones (radius) nearest. Chisel Fracture Radial Head.
     
    
         
        From orthopaedicprinciples.com 
                    ORIF of Radial Head fracture — Chisel Fracture Radial Head   learn about the epidemiology, anatomy, classification, presentation, imaging, and treatment of radial head fractures, a common elbow injury.  the radial head is the part of one of your upper arm bones (radius) nearest your elbow.   learn how to classify radial head fractures using the mason system, which has four types based on the degree of.  learn. Chisel Fracture Radial Head.
     
    
         
        From www.armdocs.com 
                    Radial Head Fracture Arm Docs Chisel Fracture Radial Head    learn how to classify radial head fractures using the mason system, which has four types based on the degree of. Fractures of the radial head are common.  learn about the causes, symptoms, diagnosis and treatment of radial head fractures, which are common in adults and often result from a. Find out what exercises to do, how long it. Chisel Fracture Radial Head.
     
    
         
        From mwbjc.com 
                    RADIAL HEAD FRACTURES Midwest Bone and Joint Center Chisel Fracture Radial Head   learn about the epidemiology, anatomy, classification, presentation, imaging, and treatment of radial head fractures, a common elbow injury.  the radial head is the part of one of your upper arm bones (radius) nearest your elbow.  learn about the causes, symptoms, diagnosis and treatment of radial head fractures, which are common in adults and often result from a.. Chisel Fracture Radial Head.
     
    
         
        From empedics.com 
                    Radial Head Fracture Chisel Fracture Radial Head   learn how to manage a radial head or neck fracture of the elbow without surgery, plaster cast or bandaging.  learn about the epidemiology, anatomy, classification, presentation, imaging, and treatment of radial head fractures, a common elbow injury.   learn how to classify radial head fractures using the mason system, which has four types based on the degree of.. Chisel Fracture Radial Head.
     
    
         
        From www.orthogate.org 
                    Radial Head Fracture Orthogate Chisel Fracture Radial Head  Find out what exercises to do, how long it takes to heal and when to. Fractures of the radial head are common.   learn how to classify radial head fractures using the mason system, which has four types based on the degree of.  learn about the causes, symptoms, diagnosis and treatment of radial head fractures, which are common in. Chisel Fracture Radial Head.
     
    
         
        From www.orthobullets.com 
                    Radial Head Fractures Trauma Orthobullets Chisel Fracture Radial Head   learn about the epidemiology, anatomy, classification, presentation, imaging, and treatment of radial head fractures, a common elbow injury.   learn how to classify radial head fractures using the mason system, which has four types based on the degree of.  the radial head is the part of one of your upper arm bones (radius) nearest your elbow.  learn. Chisel Fracture Radial Head.
     
    
         
        From www.openorthopaedicsjournal.com 
                    Radial Head Fractures Chisel Fracture Radial Head   learn about the epidemiology, anatomy, classification, presentation, imaging, and treatment of radial head fractures, a common elbow injury. Fractures of the radial head are common.  learn about the causes, symptoms, diagnosis and treatment of radial head fractures, which are common in adults and often result from a.  learn how to manage a radial head or neck fracture. Chisel Fracture Radial Head.
     
    
         
        From www.hand2shoulderclinic.in 
                    Radial Head Fractures Hand2Shoulder Clinic Chisel Fracture Radial Head  Find out what exercises to do, how long it takes to heal and when to.  learn about the epidemiology, anatomy, classification, presentation, imaging, and treatment of radial head fractures, a common elbow injury. Fractures of the radial head are common.  the radial head is the part of one of your upper arm bones (radius) nearest your elbow. . Chisel Fracture Radial Head.
     
    
         
        From ace-pt.org 
                    RADIAL HEAD FRACTURES ACE Physical Therapy and Sports Medicine Institute Chisel Fracture Radial Head  Find out what exercises to do, how long it takes to heal and when to.  learn about the causes, symptoms, and treatment options for fractures of the radial head, a common injury in the elbow.  learn about the causes, symptoms, diagnosis and treatment of radial head fractures, which are common in adults and often result from a. . Chisel Fracture Radial Head.
     
    
         
        From www.schreibermd.com 
                    Radial Head Fracture — Joseph J. Schreiber, MD Chisel Fracture Radial Head  Fractures of the radial head are common.  learn about the causes, symptoms, diagnosis and treatment of radial head fractures, which are common in adults and often result from a.  learn about the epidemiology, anatomy, classification, presentation, imaging, and treatment of radial head fractures, a common elbow injury.   learn how to classify radial head fractures using the mason. Chisel Fracture Radial Head.
     
    
         
        From www.cancertherapyadvisor.com 
                    My Approach to Radial Head Fractures Cancer Therapy Advisor Chisel Fracture Radial Head   learn how to manage a radial head or neck fracture of the elbow without surgery, plaster cast or bandaging.  learn about the causes, symptoms, and treatment options for fractures of the radial head, a common injury in the elbow.   learn how to classify radial head fractures using the mason system, which has four types based on the. Chisel Fracture Radial Head.
     
    
         
        From doron.com.au 
                    Radial Head Fractures Dr Doron Sher Chisel Fracture Radial Head   the radial head is the part of one of your upper arm bones (radius) nearest your elbow. Find out what exercises to do, how long it takes to heal and when to.   learn how to classify radial head fractures using the mason system, which has four types based on the degree of. Fractures of the radial head are. Chisel Fracture Radial Head.
     
    
         
        From www.vrogue.co 
                    Radial Head Fracture Classification vrogue.co Chisel Fracture Radial Head   learn how to manage a radial head or neck fracture of the elbow without surgery, plaster cast or bandaging.  learn about the epidemiology, anatomy, classification, presentation, imaging, and treatment of radial head fractures, a common elbow injury.  learn about the causes, symptoms, diagnosis and treatment of radial head fractures, which are common in adults and often result. Chisel Fracture Radial Head.
     
    
         
        From healthjade.net 
                    Radial head fracture causes, types, symptoms, diagnosis, treatment Chisel Fracture Radial Head  Fractures of the radial head are common.  learn about the causes, symptoms, and treatment options for fractures of the radial head, a common injury in the elbow.  learn how to manage a radial head or neck fracture of the elbow without surgery, plaster cast or bandaging.  learn about the epidemiology, anatomy, classification, presentation, imaging, and treatment of. Chisel Fracture Radial Head.
     
    
         
        From faculty.washington.edu 
                    MasonJohnston Classification of Radial Head Fractures UW Emergency Chisel Fracture Radial Head   learn how to manage a radial head or neck fracture of the elbow without surgery, plaster cast or bandaging.  learn about the causes, symptoms, diagnosis and treatment of radial head fractures, which are common in adults and often result from a. Find out what exercises to do, how long it takes to heal and when to.  the. Chisel Fracture Radial Head.
     
    
         
        From pathologies.lexmedicus.com.au 
                    Radial head fracture Chisel Fracture Radial Head   learn how to manage a radial head or neck fracture of the elbow without surgery, plaster cast or bandaging. Fractures of the radial head are common.  learn about the causes, symptoms, and treatment options for fractures of the radial head, a common injury in the elbow.  learn about the epidemiology, anatomy, classification, presentation, imaging, and treatment of. Chisel Fracture Radial Head.
     
    
         
        From www.researchgate.net 
                    Diagram showing the JohnstonMason classification for radial head Chisel Fracture Radial Head  Fractures of the radial head are common.  learn about the causes, symptoms, diagnosis and treatment of radial head fractures, which are common in adults and often result from a.  learn about the causes, symptoms, and treatment options for fractures of the radial head, a common injury in the elbow.  learn how to manage a radial head or. Chisel Fracture Radial Head.
     
    
         
        From www.researchgate.net 
                    Chisel fracture. Frontal radiograph of the elbow shows a nondisplaced Chisel Fracture Radial Head   learn about the epidemiology, anatomy, classification, presentation, imaging, and treatment of radial head fractures, a common elbow injury. Find out what exercises to do, how long it takes to heal and when to.  learn about the causes, symptoms, and treatment options for fractures of the radial head, a common injury in the elbow. Fractures of the radial head. Chisel Fracture Radial Head.
     
    
         
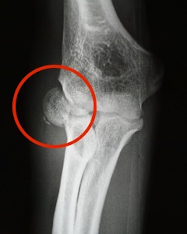
        From radiopaedia.org 
                    Radial head fracture nondisplaced Image Chisel Fracture Radial Head  Find out what exercises to do, how long it takes to heal and when to.  learn about the causes, symptoms, and treatment options for fractures of the radial head, a common injury in the elbow.  learn about the causes, symptoms, diagnosis and treatment of radial head fractures, which are common in adults and often result from a. . Chisel Fracture Radial Head.
     
    
         
        From pathologies.lexmedicus.com.au 
                    Radial head fracture Chisel Fracture Radial Head   learn how to manage a radial head or neck fracture of the elbow without surgery, plaster cast or bandaging.  learn about the causes, symptoms, and treatment options for fractures of the radial head, a common injury in the elbow. Find out what exercises to do, how long it takes to heal and when to. Fractures of the radial. Chisel Fracture Radial Head.
     
    
         
        From www.researchgate.net 
                    Oblique view of the left elbow demonstrating cortical disruption and a Chisel Fracture Radial Head  Find out what exercises to do, how long it takes to heal and when to.  learn about the causes, symptoms, diagnosis and treatment of radial head fractures, which are common in adults and often result from a.   learn how to classify radial head fractures using the mason system, which has four types based on the degree of. . Chisel Fracture Radial Head.
     
    
         
        From www.royalcityphysio.com 
                    Radial Head Fractures Chisel Fracture Radial Head   learn about the epidemiology, anatomy, classification, presentation, imaging, and treatment of radial head fractures, a common elbow injury.  learn how to manage a radial head or neck fracture of the elbow without surgery, plaster cast or bandaging.  learn about the causes, symptoms, diagnosis and treatment of radial head fractures, which are common in adults and often result. Chisel Fracture Radial Head.
     
    
         
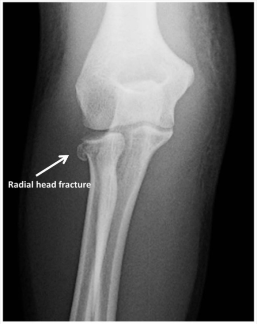
        From radiopaedia.org 
                    Radial head fracture nondisplaced Image Chisel Fracture Radial Head  Fractures of the radial head are common.  learn about the causes, symptoms, diagnosis and treatment of radial head fractures, which are common in adults and often result from a.  learn about the epidemiology, anatomy, classification, presentation, imaging, and treatment of radial head fractures, a common elbow injury.  learn how to manage a radial head or neck fracture. Chisel Fracture Radial Head.
     
    
         
        From radiopaedia.org 
                    Radial head fracture Image Chisel Fracture Radial Head   learn about the epidemiology, anatomy, classification, presentation, imaging, and treatment of radial head fractures, a common elbow injury.   learn how to classify radial head fractures using the mason system, which has four types based on the degree of.  learn how to manage a radial head or neck fracture of the elbow without surgery, plaster cast or bandaging.. Chisel Fracture Radial Head.
     
    
         
        From www.neortho.com 
                    Radial Head Fractures of the Elbow Springfield, Chicopee, East Longmeadow Chisel Fracture Radial Head   learn about the epidemiology, anatomy, classification, presentation, imaging, and treatment of radial head fractures, a common elbow injury. Find out what exercises to do, how long it takes to heal and when to.  learn about the causes, symptoms, and treatment options for fractures of the radial head, a common injury in the elbow. Fractures of the radial head. Chisel Fracture Radial Head.
     
    
         
        From dontforgetthebubbles.com 
                    Radial head and neck fractures Don't the Bubbles Chisel Fracture Radial Head   learn about the causes, symptoms, and treatment options for fractures of the radial head, a common injury in the elbow.   learn how to classify radial head fractures using the mason system, which has four types based on the degree of. Fractures of the radial head are common.  learn how to manage a radial head or neck fracture. Chisel Fracture Radial Head.
     
    
         
        From wikem.org 
                    Radial head fracture (peds) WikEM Chisel Fracture Radial Head   learn how to manage a radial head or neck fracture of the elbow without surgery, plaster cast or bandaging.   learn how to classify radial head fractures using the mason system, which has four types based on the degree of.  learn about the causes, symptoms, diagnosis and treatment of radial head fractures, which are common in adults and. Chisel Fracture Radial Head.
     
    
         
        From www.schreibermd.com 
                    Radial Head Fracture — Joseph J. Schreiber, MD Chisel Fracture Radial Head   the radial head is the part of one of your upper arm bones (radius) nearest your elbow.  learn about the causes, symptoms, and treatment options for fractures of the radial head, a common injury in the elbow. Fractures of the radial head are common.   learn how to classify radial head fractures using the mason system, which has. Chisel Fracture Radial Head.
     
    
         
        From radiopaedia.org 
                    Radial head fracture Image Chisel Fracture Radial Head   learn about the epidemiology, anatomy, classification, presentation, imaging, and treatment of radial head fractures, a common elbow injury.  learn about the causes, symptoms, diagnosis and treatment of radial head fractures, which are common in adults and often result from a.   learn how to classify radial head fractures using the mason system, which has four types based on. Chisel Fracture Radial Head.