Ring Enhancement In Brain . What are ring enhancing lesions? They are most commonly found either subcortical or deeper in the hemisphere (fig. Magnetic resonance imaging (mri) of the brain showed no evidence of infarction, but the most notable finding was a focus of altered signal with ring enhancement. The differential for peripheral or ring enhancing cerebral lesions includes:
from www.researchgate.net
Magnetic resonance imaging (mri) of the brain showed no evidence of infarction, but the most notable finding was a focus of altered signal with ring enhancement. What are ring enhancing lesions? They are most commonly found either subcortical or deeper in the hemisphere (fig. The differential for peripheral or ring enhancing cerebral lesions includes:
Brain MRI demonstrating a 9 mm ringenhancing lesion in the right
Ring Enhancement In Brain They are most commonly found either subcortical or deeper in the hemisphere (fig. They are most commonly found either subcortical or deeper in the hemisphere (fig. Magnetic resonance imaging (mri) of the brain showed no evidence of infarction, but the most notable finding was a focus of altered signal with ring enhancement. What are ring enhancing lesions? The differential for peripheral or ring enhancing cerebral lesions includes:
From awesomeenglish.edu.vn
Aggregate 134+ ring enhancing lesion brain causes super hot Ring Enhancement In Brain Magnetic resonance imaging (mri) of the brain showed no evidence of infarction, but the most notable finding was a focus of altered signal with ring enhancement. They are most commonly found either subcortical or deeper in the hemisphere (fig. The differential for peripheral or ring enhancing cerebral lesions includes: What are ring enhancing lesions? Ring Enhancement In Brain.
From www.researchgate.net
MRI of the brain (coronal view) shows a right cerebellar ringenhancing Ring Enhancement In Brain The differential for peripheral or ring enhancing cerebral lesions includes: What are ring enhancing lesions? They are most commonly found either subcortical or deeper in the hemisphere (fig. Magnetic resonance imaging (mri) of the brain showed no evidence of infarction, but the most notable finding was a focus of altered signal with ring enhancement. Ring Enhancement In Brain.
From www.cureus.com
Cureus Streptococcus constellatus Brain Abscess in a MiddleAged Man Ring Enhancement In Brain The differential for peripheral or ring enhancing cerebral lesions includes: They are most commonly found either subcortical or deeper in the hemisphere (fig. Magnetic resonance imaging (mri) of the brain showed no evidence of infarction, but the most notable finding was a focus of altered signal with ring enhancement. What are ring enhancing lesions? Ring Enhancement In Brain.
From www.researchgate.net
Case 2 CT scan of brain revealing a ringenhancing lesion in the right Ring Enhancement In Brain What are ring enhancing lesions? The differential for peripheral or ring enhancing cerebral lesions includes: Magnetic resonance imaging (mri) of the brain showed no evidence of infarction, but the most notable finding was a focus of altered signal with ring enhancement. They are most commonly found either subcortical or deeper in the hemisphere (fig. Ring Enhancement In Brain.
From www.reddit.com
Table Summary Ring Enhancing Brain Lesions for the USMLE r/step1 Ring Enhancement In Brain The differential for peripheral or ring enhancing cerebral lesions includes: Magnetic resonance imaging (mri) of the brain showed no evidence of infarction, but the most notable finding was a focus of altered signal with ring enhancement. They are most commonly found either subcortical or deeper in the hemisphere (fig. What are ring enhancing lesions? Ring Enhancement In Brain.
From www.radassisstant.com
The Radiology Assistant Enhancement Patterns in CNS disease Ring Enhancement In Brain What are ring enhancing lesions? The differential for peripheral or ring enhancing cerebral lesions includes: They are most commonly found either subcortical or deeper in the hemisphere (fig. Magnetic resonance imaging (mri) of the brain showed no evidence of infarction, but the most notable finding was a focus of altered signal with ring enhancement. Ring Enhancement In Brain.
From www.slideshare.net
Ring Enhancing Lesions Ring Enhancement In Brain The differential for peripheral or ring enhancing cerebral lesions includes: Magnetic resonance imaging (mri) of the brain showed no evidence of infarction, but the most notable finding was a focus of altered signal with ring enhancement. What are ring enhancing lesions? They are most commonly found either subcortical or deeper in the hemisphere (fig. Ring Enhancement In Brain.
From www.amjmedsci.com
An Cause of RingEnhancing Brain Lesion Cerebral Ring Enhancement In Brain Magnetic resonance imaging (mri) of the brain showed no evidence of infarction, but the most notable finding was a focus of altered signal with ring enhancement. The differential for peripheral or ring enhancing cerebral lesions includes: They are most commonly found either subcortical or deeper in the hemisphere (fig. What are ring enhancing lesions? Ring Enhancement In Brain.
From www.researchgate.net
MRI of brain showing ring‐enhancing lesion in cerebellar hemisphere Ring Enhancement In Brain They are most commonly found either subcortical or deeper in the hemisphere (fig. What are ring enhancing lesions? The differential for peripheral or ring enhancing cerebral lesions includes: Magnetic resonance imaging (mri) of the brain showed no evidence of infarction, but the most notable finding was a focus of altered signal with ring enhancement. Ring Enhancement In Brain.
From www.researchgate.net
Axial images of the brain MRI showing a ringenhancing lesion in the Ring Enhancement In Brain What are ring enhancing lesions? The differential for peripheral or ring enhancing cerebral lesions includes: They are most commonly found either subcortical or deeper in the hemisphere (fig. Magnetic resonance imaging (mri) of the brain showed no evidence of infarction, but the most notable finding was a focus of altered signal with ring enhancement. Ring Enhancement In Brain.
From www.researchgate.net
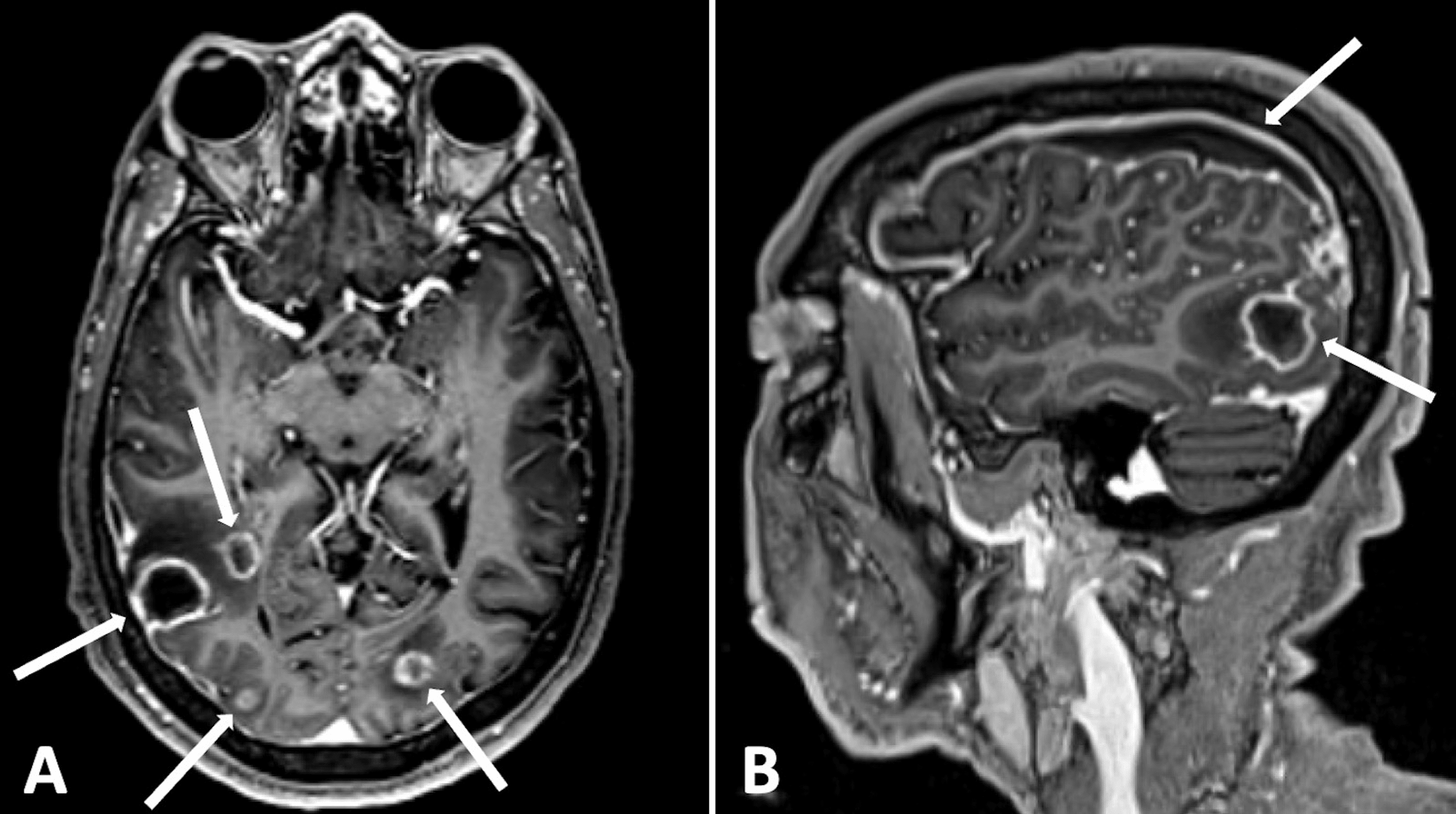
Multiple ringenhancing lesions in a patient with toxoplasmosis are Ring Enhancement In Brain They are most commonly found either subcortical or deeper in the hemisphere (fig. The differential for peripheral or ring enhancing cerebral lesions includes: Magnetic resonance imaging (mri) of the brain showed no evidence of infarction, but the most notable finding was a focus of altered signal with ring enhancement. What are ring enhancing lesions? Ring Enhancement In Brain.
From www.youtube.com
Brain Scans Lord of the Ring Enhancing Lesions 101 YouTube Ring Enhancement In Brain The differential for peripheral or ring enhancing cerebral lesions includes: What are ring enhancing lesions? Magnetic resonance imaging (mri) of the brain showed no evidence of infarction, but the most notable finding was a focus of altered signal with ring enhancement. They are most commonly found either subcortical or deeper in the hemisphere (fig. Ring Enhancement In Brain.
From www.researchgate.net
CT brain showing ring enhancing lesions in the right occipital and left Ring Enhancement In Brain What are ring enhancing lesions? Magnetic resonance imaging (mri) of the brain showed no evidence of infarction, but the most notable finding was a focus of altered signal with ring enhancement. They are most commonly found either subcortical or deeper in the hemisphere (fig. The differential for peripheral or ring enhancing cerebral lesions includes: Ring Enhancement In Brain.
From www.ccjm.org
Ringenhancing cerebral lesions Cleveland Clinic Journal of Medicine Ring Enhancement In Brain What are ring enhancing lesions? Magnetic resonance imaging (mri) of the brain showed no evidence of infarction, but the most notable finding was a focus of altered signal with ring enhancement. They are most commonly found either subcortical or deeper in the hemisphere (fig. The differential for peripheral or ring enhancing cerebral lesions includes: Ring Enhancement In Brain.
From casereports.bmj.com
Ring enhancing brain lesions in a patient with Acquired Ring Enhancement In Brain Magnetic resonance imaging (mri) of the brain showed no evidence of infarction, but the most notable finding was a focus of altered signal with ring enhancement. They are most commonly found either subcortical or deeper in the hemisphere (fig. The differential for peripheral or ring enhancing cerebral lesions includes: What are ring enhancing lesions? Ring Enhancement In Brain.
From casereports.bmj.com
Ring enhancing brain lesions in a patient with Acquired Ring Enhancement In Brain Magnetic resonance imaging (mri) of the brain showed no evidence of infarction, but the most notable finding was a focus of altered signal with ring enhancement. What are ring enhancing lesions? They are most commonly found either subcortical or deeper in the hemisphere (fig. The differential for peripheral or ring enhancing cerebral lesions includes: Ring Enhancement In Brain.
From www.researchgate.net
Axial images of the brain MRI showing a ringenhancing lesion in the Ring Enhancement In Brain Magnetic resonance imaging (mri) of the brain showed no evidence of infarction, but the most notable finding was a focus of altered signal with ring enhancement. They are most commonly found either subcortical or deeper in the hemisphere (fig. What are ring enhancing lesions? The differential for peripheral or ring enhancing cerebral lesions includes: Ring Enhancement In Brain.
From jnnp.bmj.com
Multiple ring enhancing lesions in brain MRI of a patient with AIDS Ring Enhancement In Brain Magnetic resonance imaging (mri) of the brain showed no evidence of infarction, but the most notable finding was a focus of altered signal with ring enhancement. They are most commonly found either subcortical or deeper in the hemisphere (fig. What are ring enhancing lesions? The differential for peripheral or ring enhancing cerebral lesions includes: Ring Enhancement In Brain.
From www.researchgate.net
Brain CT scan showing irregular ring enhancing lesion in the right Ring Enhancement In Brain The differential for peripheral or ring enhancing cerebral lesions includes: What are ring enhancing lesions? They are most commonly found either subcortical or deeper in the hemisphere (fig. Magnetic resonance imaging (mri) of the brain showed no evidence of infarction, but the most notable finding was a focus of altered signal with ring enhancement. Ring Enhancement In Brain.
From www.researchgate.net
(a) CT brain showing ringenhancing lesion on the left frontal lobe Ring Enhancement In Brain What are ring enhancing lesions? The differential for peripheral or ring enhancing cerebral lesions includes: They are most commonly found either subcortical or deeper in the hemisphere (fig. Magnetic resonance imaging (mri) of the brain showed no evidence of infarction, but the most notable finding was a focus of altered signal with ring enhancement. Ring Enhancement In Brain.
From www.victoriana.com
Vergütung Bewohner Erde ring enhancing lesion brain Vater Anzahlung Samstag Ring Enhancement In Brain They are most commonly found either subcortical or deeper in the hemisphere (fig. What are ring enhancing lesions? Magnetic resonance imaging (mri) of the brain showed no evidence of infarction, but the most notable finding was a focus of altered signal with ring enhancement. The differential for peripheral or ring enhancing cerebral lesions includes: Ring Enhancement In Brain.
From www.pinterest.com
Radionecrosis ring enhancing Radiology Case Ring Enhancement In Brain The differential for peripheral or ring enhancing cerebral lesions includes: They are most commonly found either subcortical or deeper in the hemisphere (fig. What are ring enhancing lesions? Magnetic resonance imaging (mri) of the brain showed no evidence of infarction, but the most notable finding was a focus of altered signal with ring enhancement. Ring Enhancement In Brain.
From www.victoriana.com
Vergütung Bewohner Erde ring enhancing lesion brain Vater Anzahlung Samstag Ring Enhancement In Brain What are ring enhancing lesions? The differential for peripheral or ring enhancing cerebral lesions includes: Magnetic resonance imaging (mri) of the brain showed no evidence of infarction, but the most notable finding was a focus of altered signal with ring enhancement. They are most commonly found either subcortical or deeper in the hemisphere (fig. Ring Enhancement In Brain.
From www.jns-journal.com
Tumefactive demyelinating brain lesions with multiple closedring Ring Enhancement In Brain Magnetic resonance imaging (mri) of the brain showed no evidence of infarction, but the most notable finding was a focus of altered signal with ring enhancement. They are most commonly found either subcortical or deeper in the hemisphere (fig. The differential for peripheral or ring enhancing cerebral lesions includes: What are ring enhancing lesions? Ring Enhancement In Brain.
From www.emergencymedicinekenya.org
Ring enhancing brain lesions Ring Enhancement In Brain The differential for peripheral or ring enhancing cerebral lesions includes: What are ring enhancing lesions? They are most commonly found either subcortical or deeper in the hemisphere (fig. Magnetic resonance imaging (mri) of the brain showed no evidence of infarction, but the most notable finding was a focus of altered signal with ring enhancement. Ring Enhancement In Brain.
From www.researchgate.net
Brain MRI demonstrating a 9 mm ringenhancing lesion in the right Ring Enhancement In Brain What are ring enhancing lesions? Magnetic resonance imaging (mri) of the brain showed no evidence of infarction, but the most notable finding was a focus of altered signal with ring enhancement. They are most commonly found either subcortical or deeper in the hemisphere (fig. The differential for peripheral or ring enhancing cerebral lesions includes: Ring Enhancement In Brain.
From www.victoriana.com
Vergütung Bewohner Erde ring enhancing lesion brain Vater Anzahlung Samstag Ring Enhancement In Brain They are most commonly found either subcortical or deeper in the hemisphere (fig. Magnetic resonance imaging (mri) of the brain showed no evidence of infarction, but the most notable finding was a focus of altered signal with ring enhancement. What are ring enhancing lesions? The differential for peripheral or ring enhancing cerebral lesions includes: Ring Enhancement In Brain.
From mavink.com
Brain Lesions Mri Ring Enhancement In Brain What are ring enhancing lesions? The differential for peripheral or ring enhancing cerebral lesions includes: Magnetic resonance imaging (mri) of the brain showed no evidence of infarction, but the most notable finding was a focus of altered signal with ring enhancement. They are most commonly found either subcortical or deeper in the hemisphere (fig. Ring Enhancement In Brain.
From casereports.bmj.com
Ringenhancing lesions in the brain and spinal cord BMJ Case Reports Ring Enhancement In Brain Magnetic resonance imaging (mri) of the brain showed no evidence of infarction, but the most notable finding was a focus of altered signal with ring enhancement. The differential for peripheral or ring enhancing cerebral lesions includes: They are most commonly found either subcortical or deeper in the hemisphere (fig. What are ring enhancing lesions? Ring Enhancement In Brain.
From awesomeenglish.edu.vn
Aggregate 134+ ring enhancing lesion brain causes super hot Ring Enhancement In Brain The differential for peripheral or ring enhancing cerebral lesions includes: What are ring enhancing lesions? Magnetic resonance imaging (mri) of the brain showed no evidence of infarction, but the most notable finding was a focus of altered signal with ring enhancement. They are most commonly found either subcortical or deeper in the hemisphere (fig. Ring Enhancement In Brain.
From www.semanticscholar.org
Figure 2 from Differential diagnosis of ring enhancing lesions in Ring Enhancement In Brain The differential for peripheral or ring enhancing cerebral lesions includes: They are most commonly found either subcortical or deeper in the hemisphere (fig. What are ring enhancing lesions? Magnetic resonance imaging (mri) of the brain showed no evidence of infarction, but the most notable finding was a focus of altered signal with ring enhancement. Ring Enhancement In Brain.
From www.youtube.com
Cerebral Ring enhancing lesions, Let's Master the RingsDr.Umamaheswara Ring Enhancement In Brain What are ring enhancing lesions? They are most commonly found either subcortical or deeper in the hemisphere (fig. The differential for peripheral or ring enhancing cerebral lesions includes: Magnetic resonance imaging (mri) of the brain showed no evidence of infarction, but the most notable finding was a focus of altered signal with ring enhancement. Ring Enhancement In Brain.
From casereports.bmj.com
Solitary ring enhancing brain lesion in a patient with AIDS BMJ Case Ring Enhancement In Brain What are ring enhancing lesions? Magnetic resonance imaging (mri) of the brain showed no evidence of infarction, but the most notable finding was a focus of altered signal with ring enhancement. They are most commonly found either subcortical or deeper in the hemisphere (fig. The differential for peripheral or ring enhancing cerebral lesions includes: Ring Enhancement In Brain.
From www.researchgate.net
Postgadolinium T1 weighted Brain MRI. Ringenhancing 3.7 × 3 ×3 cm Ring Enhancement In Brain What are ring enhancing lesions? The differential for peripheral or ring enhancing cerebral lesions includes: Magnetic resonance imaging (mri) of the brain showed no evidence of infarction, but the most notable finding was a focus of altered signal with ring enhancement. They are most commonly found either subcortical or deeper in the hemisphere (fig. Ring Enhancement In Brain.
From radiogyan.com
Causes Of Cerebral Rim Enhancing Lesions Visual Mnemonics RadioGyan Ring Enhancement In Brain The differential for peripheral or ring enhancing cerebral lesions includes: What are ring enhancing lesions? Magnetic resonance imaging (mri) of the brain showed no evidence of infarction, but the most notable finding was a focus of altered signal with ring enhancement. They are most commonly found either subcortical or deeper in the hemisphere (fig. Ring Enhancement In Brain.