Dog Twisted Shoulder . There are a few causes for shoulder dislocations in dogs, but the most common are trauma and congenital malformation of the shoulder joint. If you suspect your dog has a dislocated shoulder, here are some signs to look out for: Dogs can be boisterous, playful, and very active, so it’s not surprising that they sometimes end up with injuries during all the rough and tumble. Dog shoulder dislocation (luxation of the shoulder) happens when the upper bone in a dog’s front leg (just above the elbow) is knocked out of its normal position in. Limping or favoring one leg, swelling or bruising around the joint, reluctance to use the. Most patients have an obvious weight bearing. Learn about shoulder injuries in dogs, recognize the signs of pain and discomfort, and discover the best steps to relieve and care for your canine companion. Treatment depends on the cause and severity of the injury but often involves surgery or supportive therapy. As well as pulled leg muscles, it is also possible for dogs to injure their shoulders. The gait of a dog having shoulder instability is usually abnormal at the walk and the trot. Most common type of dog walking injuries from being pulled by a dog.
from wagwalking.com
If you suspect your dog has a dislocated shoulder, here are some signs to look out for: Most common type of dog walking injuries from being pulled by a dog. The gait of a dog having shoulder instability is usually abnormal at the walk and the trot. As well as pulled leg muscles, it is also possible for dogs to injure their shoulders. Dog shoulder dislocation (luxation of the shoulder) happens when the upper bone in a dog’s front leg (just above the elbow) is knocked out of its normal position in. Learn about shoulder injuries in dogs, recognize the signs of pain and discomfort, and discover the best steps to relieve and care for your canine companion. Most patients have an obvious weight bearing. Dogs can be boisterous, playful, and very active, so it’s not surprising that they sometimes end up with injuries during all the rough and tumble. Treatment depends on the cause and severity of the injury but often involves surgery or supportive therapy. Limping or favoring one leg, swelling or bruising around the joint, reluctance to use the.
Sprains in Dogs Symptoms, Causes, Diagnosis, Treatment, Recovery
Dog Twisted Shoulder Dogs can be boisterous, playful, and very active, so it’s not surprising that they sometimes end up with injuries during all the rough and tumble. Dog shoulder dislocation (luxation of the shoulder) happens when the upper bone in a dog’s front leg (just above the elbow) is knocked out of its normal position in. If you suspect your dog has a dislocated shoulder, here are some signs to look out for: The gait of a dog having shoulder instability is usually abnormal at the walk and the trot. There are a few causes for shoulder dislocations in dogs, but the most common are trauma and congenital malformation of the shoulder joint. Limping or favoring one leg, swelling or bruising around the joint, reluctance to use the. Learn about shoulder injuries in dogs, recognize the signs of pain and discomfort, and discover the best steps to relieve and care for your canine companion. As well as pulled leg muscles, it is also possible for dogs to injure their shoulders. Most common type of dog walking injuries from being pulled by a dog. Most patients have an obvious weight bearing. Dogs can be boisterous, playful, and very active, so it’s not surprising that they sometimes end up with injuries during all the rough and tumble. Treatment depends on the cause and severity of the injury but often involves surgery or supportive therapy.
From www.ubuy.co.in
Buy Labra Dog Canine K9 Shoulder Elbow Callus Pain Relief Brace Hot Dog Twisted Shoulder Dogs can be boisterous, playful, and very active, so it’s not surprising that they sometimes end up with injuries during all the rough and tumble. Most patients have an obvious weight bearing. The gait of a dog having shoulder instability is usually abnormal at the walk and the trot. Learn about shoulder injuries in dogs, recognize the signs of pain. Dog Twisted Shoulder.
From fado.vn
Mua Labra Dog Canine K9 Shoulder Elbow Callus Pain Relief Brace Hot Dog Twisted Shoulder As well as pulled leg muscles, it is also possible for dogs to injure their shoulders. Most common type of dog walking injuries from being pulled by a dog. Learn about shoulder injuries in dogs, recognize the signs of pain and discomfort, and discover the best steps to relieve and care for your canine companion. Dog shoulder dislocation (luxation of. Dog Twisted Shoulder.
From www.amazon.com
Labra Dog Canine K9 Shoulder Elbow Callus Pain Relief Dog Twisted Shoulder Dog shoulder dislocation (luxation of the shoulder) happens when the upper bone in a dog’s front leg (just above the elbow) is knocked out of its normal position in. The gait of a dog having shoulder instability is usually abnormal at the walk and the trot. Limping or favoring one leg, swelling or bruising around the joint, reluctance to use. Dog Twisted Shoulder.
From www.celebritydachshund.com
I Have Incurred an Injury. Crusoe the Celebrity Dachshund Dog Twisted Shoulder Learn about shoulder injuries in dogs, recognize the signs of pain and discomfort, and discover the best steps to relieve and care for your canine companion. Dogs can be boisterous, playful, and very active, so it’s not surprising that they sometimes end up with injuries during all the rough and tumble. Most common type of dog walking injuries from being. Dog Twisted Shoulder.
From animalia-life.club
Can Dogs Get Dislocated Shoulders Dog Twisted Shoulder If you suspect your dog has a dislocated shoulder, here are some signs to look out for: There are a few causes for shoulder dislocations in dogs, but the most common are trauma and congenital malformation of the shoulder joint. Dog shoulder dislocation (luxation of the shoulder) happens when the upper bone in a dog’s front leg (just above the. Dog Twisted Shoulder.
From www.ridgereferrals.co.uk
Shoulder Injuries in dogs Ridge Referrals Dog Twisted Shoulder Dogs can be boisterous, playful, and very active, so it’s not surprising that they sometimes end up with injuries during all the rough and tumble. As well as pulled leg muscles, it is also possible for dogs to injure their shoulders. Learn about shoulder injuries in dogs, recognize the signs of pain and discomfort, and discover the best steps to. Dog Twisted Shoulder.
From thepets.net
Dog Sprained Leg Symptoms, Treatment and Recovery Dog Twisted Shoulder Most common type of dog walking injuries from being pulled by a dog. There are a few causes for shoulder dislocations in dogs, but the most common are trauma and congenital malformation of the shoulder joint. The gait of a dog having shoulder instability is usually abnormal at the walk and the trot. Treatment depends on the cause and severity. Dog Twisted Shoulder.
From wagwalking.com
Sprains in Dogs Symptoms, Causes, Diagnosis, Treatment, Recovery Dog Twisted Shoulder Limping or favoring one leg, swelling or bruising around the joint, reluctance to use the. If you suspect your dog has a dislocated shoulder, here are some signs to look out for: The gait of a dog having shoulder instability is usually abnormal at the walk and the trot. Learn about shoulder injuries in dogs, recognize the signs of pain. Dog Twisted Shoulder.
From fado.vn
Mua Labra Dog Canine K9 Shoulder Elbow Callus Pain Relief Brace Hot Dog Twisted Shoulder The gait of a dog having shoulder instability is usually abnormal at the walk and the trot. There are a few causes for shoulder dislocations in dogs, but the most common are trauma and congenital malformation of the shoulder joint. Most patients have an obvious weight bearing. As well as pulled leg muscles, it is also possible for dogs to. Dog Twisted Shoulder.
From www.ubuy.co.in
Buy Labra Dog Canine K9 Shoulder Elbow Callus Pain Relief Brace Hot Dog Twisted Shoulder Dogs can be boisterous, playful, and very active, so it’s not surprising that they sometimes end up with injuries during all the rough and tumble. Limping or favoring one leg, swelling or bruising around the joint, reluctance to use the. Dog shoulder dislocation (luxation of the shoulder) happens when the upper bone in a dog’s front leg (just above the. Dog Twisted Shoulder.
From fado.vn
Mua Labra Dog Canine K9 Shoulder Elbow Callus Pain Relief Brace Hot Dog Twisted Shoulder Dog shoulder dislocation (luxation of the shoulder) happens when the upper bone in a dog’s front leg (just above the elbow) is knocked out of its normal position in. Learn about shoulder injuries in dogs, recognize the signs of pain and discomfort, and discover the best steps to relieve and care for your canine companion. Limping or favoring one leg,. Dog Twisted Shoulder.
From fado.vn
Mua Labra Dog Canine K9 Shoulder Elbow Callus Pain Relief Brace Hot Dog Twisted Shoulder Dogs can be boisterous, playful, and very active, so it’s not surprising that they sometimes end up with injuries during all the rough and tumble. There are a few causes for shoulder dislocations in dogs, but the most common are trauma and congenital malformation of the shoulder joint. Dog shoulder dislocation (luxation of the shoulder) happens when the upper bone. Dog Twisted Shoulder.
From informed-man.ru
Вывих плеча у собак симптомы, причины, лечение и часто задаваемые Dog Twisted Shoulder Treatment depends on the cause and severity of the injury but often involves surgery or supportive therapy. If you suspect your dog has a dislocated shoulder, here are some signs to look out for: Learn about shoulder injuries in dogs, recognize the signs of pain and discomfort, and discover the best steps to relieve and care for your canine companion.. Dog Twisted Shoulder.
From www.fitzpatrickreferrals.co.uk
Canine Fitzpatrick Referrals Dog Twisted Shoulder Most common type of dog walking injuries from being pulled by a dog. Treatment depends on the cause and severity of the injury but often involves surgery or supportive therapy. Learn about shoulder injuries in dogs, recognize the signs of pain and discomfort, and discover the best steps to relieve and care for your canine companion. There are a few. Dog Twisted Shoulder.
From www.ubuy.co.in
Buy Labra Dog Canine K9 Shoulder Elbow Callus Pain Relief Brace Hot Dog Twisted Shoulder Most common type of dog walking injuries from being pulled by a dog. Dogs can be boisterous, playful, and very active, so it’s not surprising that they sometimes end up with injuries during all the rough and tumble. Dog shoulder dislocation (luxation of the shoulder) happens when the upper bone in a dog’s front leg (just above the elbow) is. Dog Twisted Shoulder.
From todaysveterinarypractice.com
Diagnosing Canine Abdominal Organ Torsions Twisted in Every Way Dog Twisted Shoulder Treatment depends on the cause and severity of the injury but often involves surgery or supportive therapy. As well as pulled leg muscles, it is also possible for dogs to injure their shoulders. Limping or favoring one leg, swelling or bruising around the joint, reluctance to use the. Most patients have an obvious weight bearing. Learn about shoulder injuries in. Dog Twisted Shoulder.
From wagwalking.com
Cranial Cruciate Ligament Injury in Dogs Symptoms, Causes, Diagnosis Dog Twisted Shoulder Learn about shoulder injuries in dogs, recognize the signs of pain and discomfort, and discover the best steps to relieve and care for your canine companion. Treatment depends on the cause and severity of the injury but often involves surgery or supportive therapy. Most common type of dog walking injuries from being pulled by a dog. As well as pulled. Dog Twisted Shoulder.
From www.cliniciansbrief.com
Radiographic Interpretation of the Canine Shoulder Clinician's Brief Dog Twisted Shoulder If you suspect your dog has a dislocated shoulder, here are some signs to look out for: Most patients have an obvious weight bearing. There are a few causes for shoulder dislocations in dogs, but the most common are trauma and congenital malformation of the shoulder joint. Limping or favoring one leg, swelling or bruising around the joint, reluctance to. Dog Twisted Shoulder.
From www.dogwheelchairsindia.com
How to Wrap a Dog’s Shoulder Mintbowl dog wheelchair India handicap Dog Twisted Shoulder As well as pulled leg muscles, it is also possible for dogs to injure their shoulders. Learn about shoulder injuries in dogs, recognize the signs of pain and discomfort, and discover the best steps to relieve and care for your canine companion. The gait of a dog having shoulder instability is usually abnormal at the walk and the trot. Limping. Dog Twisted Shoulder.
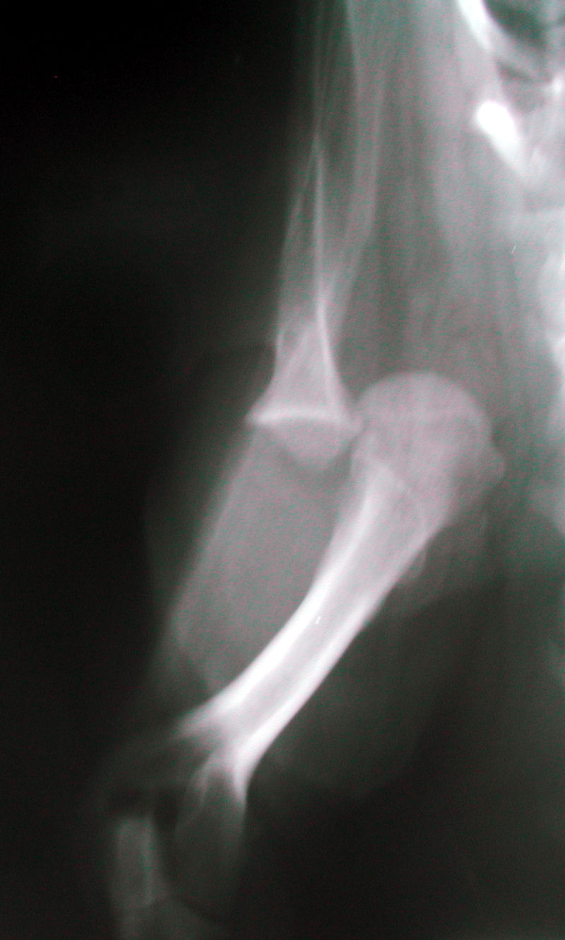
From www.vetlexicon.com
Shoulder luxation 02 radiography mediolateral in Dogs (Canis Dog Twisted Shoulder The gait of a dog having shoulder instability is usually abnormal at the walk and the trot. Dogs can be boisterous, playful, and very active, so it’s not surprising that they sometimes end up with injuries during all the rough and tumble. As well as pulled leg muscles, it is also possible for dogs to injure their shoulders. There are. Dog Twisted Shoulder.
From www.walkervillevet.com.au
osteochondrosisshoulderdog Walkerville Vet Dog Twisted Shoulder If you suspect your dog has a dislocated shoulder, here are some signs to look out for: Most patients have an obvious weight bearing. As well as pulled leg muscles, it is also possible for dogs to injure their shoulders. Treatment depends on the cause and severity of the injury but often involves surgery or supportive therapy. Limping or favoring. Dog Twisted Shoulder.
From www.dogwheelchairsindia.com
How to Wrap a Dog’s Shoulder Mintbowl dog wheelchair India handicap Dog Twisted Shoulder Learn about shoulder injuries in dogs, recognize the signs of pain and discomfort, and discover the best steps to relieve and care for your canine companion. Most common type of dog walking injuries from being pulled by a dog. The gait of a dog having shoulder instability is usually abnormal at the walk and the trot. Most patients have an. Dog Twisted Shoulder.
From pethelpful.com
Symptoms of a Pinched Nerve in a Dog's Neck PetHelpful Dog Twisted Shoulder The gait of a dog having shoulder instability is usually abnormal at the walk and the trot. Limping or favoring one leg, swelling or bruising around the joint, reluctance to use the. If you suspect your dog has a dislocated shoulder, here are some signs to look out for: Learn about shoulder injuries in dogs, recognize the signs of pain. Dog Twisted Shoulder.
From www.youtube.com
Basic Injury Wrap for Dogs YouTube Dog Twisted Shoulder Most common type of dog walking injuries from being pulled by a dog. Dogs can be boisterous, playful, and very active, so it’s not surprising that they sometimes end up with injuries during all the rough and tumble. Limping or favoring one leg, swelling or bruising around the joint, reluctance to use the. There are a few causes for shoulder. Dog Twisted Shoulder.
From animalia-life.club
How Do You Treat A Dislocated Shoulder On A Dog Dog Twisted Shoulder Most patients have an obvious weight bearing. Dog shoulder dislocation (luxation of the shoulder) happens when the upper bone in a dog’s front leg (just above the elbow) is knocked out of its normal position in. The gait of a dog having shoulder instability is usually abnormal at the walk and the trot. Limping or favoring one leg, swelling or. Dog Twisted Shoulder.
From www.fetchpet.com
Dog neck and back pain symptoms and treatments Dog Twisted Shoulder There are a few causes for shoulder dislocations in dogs, but the most common are trauma and congenital malformation of the shoulder joint. If you suspect your dog has a dislocated shoulder, here are some signs to look out for: The gait of a dog having shoulder instability is usually abnormal at the walk and the trot. Most patients have. Dog Twisted Shoulder.
From www.thesprucepets.com
Common Injuries in Dogs Dog Twisted Shoulder Dogs can be boisterous, playful, and very active, so it’s not surprising that they sometimes end up with injuries during all the rough and tumble. There are a few causes for shoulder dislocations in dogs, but the most common are trauma and congenital malformation of the shoulder joint. Dog shoulder dislocation (luxation of the shoulder) happens when the upper bone. Dog Twisted Shoulder.
From www.medrego.com
Dog Shoulder Injuries and Sprained Legs Medrego Signs and Recovery Dog Twisted Shoulder Most common type of dog walking injuries from being pulled by a dog. The gait of a dog having shoulder instability is usually abnormal at the walk and the trot. Dog shoulder dislocation (luxation of the shoulder) happens when the upper bone in a dog’s front leg (just above the elbow) is knocked out of its normal position in. As. Dog Twisted Shoulder.
From www.ubuy.co.in
Buy Labra Dog Canine K9 Shoulder Elbow Callus Pain Relief Brace Hot Dog Twisted Shoulder Treatment depends on the cause and severity of the injury but often involves surgery or supportive therapy. Most common type of dog walking injuries from being pulled by a dog. Learn about shoulder injuries in dogs, recognize the signs of pain and discomfort, and discover the best steps to relieve and care for your canine companion. The gait of a. Dog Twisted Shoulder.
From www.ubuy.co.in
Buy Labra Dog Canine K9 Shoulder Elbow Callus Pain Relief Brace Hot Dog Twisted Shoulder Dog shoulder dislocation (luxation of the shoulder) happens when the upper bone in a dog’s front leg (just above the elbow) is knocked out of its normal position in. If you suspect your dog has a dislocated shoulder, here are some signs to look out for: Most common type of dog walking injuries from being pulled by a dog. There. Dog Twisted Shoulder.
From animalia-life.club
How Do You Tell If Your Dogs Shoulder Is Dislocated Dog Twisted Shoulder Treatment depends on the cause and severity of the injury but often involves surgery or supportive therapy. If you suspect your dog has a dislocated shoulder, here are some signs to look out for: Dogs can be boisterous, playful, and very active, so it’s not surprising that they sometimes end up with injuries during all the rough and tumble. There. Dog Twisted Shoulder.
From www.walkervillevet.com.au
20 Causes Of Lameness & Limping In Dogs Walkerville Vet Dog Twisted Shoulder There are a few causes for shoulder dislocations in dogs, but the most common are trauma and congenital malformation of the shoulder joint. Dogs can be boisterous, playful, and very active, so it’s not surprising that they sometimes end up with injuries during all the rough and tumble. The gait of a dog having shoulder instability is usually abnormal at. Dog Twisted Shoulder.
From www.medrego.com
Dog Shoulder Injuries and Sprained Legs Medrego Signs and Recovery Dog Twisted Shoulder As well as pulled leg muscles, it is also possible for dogs to injure their shoulders. Limping or favoring one leg, swelling or bruising around the joint, reluctance to use the. Most patients have an obvious weight bearing. Dog shoulder dislocation (luxation of the shoulder) happens when the upper bone in a dog’s front leg (just above the elbow) is. Dog Twisted Shoulder.