What Is 3D Breast Imaging . It does so by detecting characteristic masses (tumors) or calcium deposits called microcalcifications that may be an early sign of breast cancer. Studies show that this technology increases the detection of invasive breast cancers. And it helps us see the cancer size much better than we could on a. The breast is positioned and compressed in the same way as a conventional mammogram. What is a 3d mammogram? Using 3d mammography makes it easier for doctors to catch breast cancer early. It also helps us catch more cancers. Your doctor might call it digital. A 3d mammogram is an advanced breast cancer screening tool. A 3d mammogram, also called digital breast tomosynthesis, is an imaging test in which the machine’s arm rotates in an.
from www.volusonclub.net
It also helps us catch more cancers. Studies show that this technology increases the detection of invasive breast cancers. And it helps us see the cancer size much better than we could on a. The breast is positioned and compressed in the same way as a conventional mammogram. A 3d mammogram, also called digital breast tomosynthesis, is an imaging test in which the machine’s arm rotates in an. Using 3d mammography makes it easier for doctors to catch breast cancer early. It does so by detecting characteristic masses (tumors) or calcium deposits called microcalcifications that may be an early sign of breast cancer. A 3d mammogram is an advanced breast cancer screening tool. What is a 3d mammogram? Your doctor might call it digital.
Saving Lives with 3D Breast Ultrasound & Mammography Empowered Women
What Is 3D Breast Imaging And it helps us see the cancer size much better than we could on a. What is a 3d mammogram? And it helps us see the cancer size much better than we could on a. Your doctor might call it digital. A 3d mammogram, also called digital breast tomosynthesis, is an imaging test in which the machine’s arm rotates in an. It does so by detecting characteristic masses (tumors) or calcium deposits called microcalcifications that may be an early sign of breast cancer. A 3d mammogram is an advanced breast cancer screening tool. Studies show that this technology increases the detection of invasive breast cancers. Using 3d mammography makes it easier for doctors to catch breast cancer early. It also helps us catch more cancers. The breast is positioned and compressed in the same way as a conventional mammogram.
From www.medicaldevice-network.com
Delphinus’ SoftVue 3D Whole Breast Ultrasound Tomography System What Is 3D Breast Imaging It also helps us catch more cancers. A 3d mammogram is an advanced breast cancer screening tool. It does so by detecting characteristic masses (tumors) or calcium deposits called microcalcifications that may be an early sign of breast cancer. What is a 3d mammogram? And it helps us see the cancer size much better than we could on a. Studies. What Is 3D Breast Imaging.
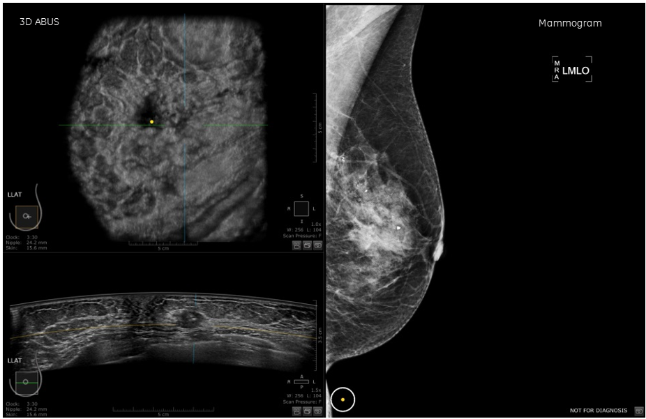
From www.cureus.com
Cureus A Breast Imaging Case of Steatocystoma Multiplex A Rare What Is 3D Breast Imaging Studies show that this technology increases the detection of invasive breast cancers. Using 3d mammography makes it easier for doctors to catch breast cancer early. And it helps us see the cancer size much better than we could on a. What is a 3d mammogram? It does so by detecting characteristic masses (tumors) or calcium deposits called microcalcifications that may. What Is 3D Breast Imaging.
From www.breastcancercourse.org
3D Mamograms (Breast Tomosynthesis)Breast Cancer School for Patients What Is 3D Breast Imaging What is a 3d mammogram? And it helps us see the cancer size much better than we could on a. Using 3d mammography makes it easier for doctors to catch breast cancer early. It does so by detecting characteristic masses (tumors) or calcium deposits called microcalcifications that may be an early sign of breast cancer. It also helps us catch. What Is 3D Breast Imaging.
From www.uclahealth.org
Breast Imaging 3D Mammography (Tomosynthesis) Breast Imaging UCLA What Is 3D Breast Imaging And it helps us see the cancer size much better than we could on a. The breast is positioned and compressed in the same way as a conventional mammogram. Your doctor might call it digital. A 3d mammogram is an advanced breast cancer screening tool. It also helps us catch more cancers. Studies show that this technology increases the detection. What Is 3D Breast Imaging.
From mana.md
3D Mammography (TM) Medical Associates of Northwest Arkansas What Is 3D Breast Imaging Studies show that this technology increases the detection of invasive breast cancers. The breast is positioned and compressed in the same way as a conventional mammogram. It does so by detecting characteristic masses (tumors) or calcium deposits called microcalcifications that may be an early sign of breast cancer. A 3d mammogram is an advanced breast cancer screening tool. A 3d. What Is 3D Breast Imaging.
From dximaging.com
3d mammography Diagnostic Outpatient Imaging What Is 3D Breast Imaging It does so by detecting characteristic masses (tumors) or calcium deposits called microcalcifications that may be an early sign of breast cancer. Using 3d mammography makes it easier for doctors to catch breast cancer early. The breast is positioned and compressed in the same way as a conventional mammogram. A 3d mammogram, also called digital breast tomosynthesis, is an imaging. What Is 3D Breast Imaging.
From www.hologic.com
3Dimensions™ Mammography System Hologic What Is 3D Breast Imaging And it helps us see the cancer size much better than we could on a. What is a 3d mammogram? The breast is positioned and compressed in the same way as a conventional mammogram. Using 3d mammography makes it easier for doctors to catch breast cancer early. Studies show that this technology increases the detection of invasive breast cancers. It. What Is 3D Breast Imaging.
From www.npr.org
3D Mammography Creates More Precise Images To Detect Breast Cancer What Is 3D Breast Imaging Your doctor might call it digital. What is a 3d mammogram? The breast is positioned and compressed in the same way as a conventional mammogram. A 3d mammogram is an advanced breast cancer screening tool. Using 3d mammography makes it easier for doctors to catch breast cancer early. Studies show that this technology increases the detection of invasive breast cancers.. What Is 3D Breast Imaging.
From cancerworld.info
3D Mammography Digital vs 3D Mammograms Cost and Benefits for Breast What Is 3D Breast Imaging It does so by detecting characteristic masses (tumors) or calcium deposits called microcalcifications that may be an early sign of breast cancer. Studies show that this technology increases the detection of invasive breast cancers. And it helps us see the cancer size much better than we could on a. Your doctor might call it digital. It also helps us catch. What Is 3D Breast Imaging.
From www.rad-imaging.com
Breast Cancer Screening with 3D Mammography or Tomosynthesis What Is 3D Breast Imaging It does so by detecting characteristic masses (tumors) or calcium deposits called microcalcifications that may be an early sign of breast cancer. What is a 3d mammogram? And it helps us see the cancer size much better than we could on a. Studies show that this technology increases the detection of invasive breast cancers. Your doctor might call it digital.. What Is 3D Breast Imaging.
From news.sanfordhealth.org
3D mammogram 5 reasons to get one Sanford Health News What Is 3D Breast Imaging Using 3d mammography makes it easier for doctors to catch breast cancer early. A 3d mammogram is an advanced breast cancer screening tool. Studies show that this technology increases the detection of invasive breast cancers. What is a 3d mammogram? It also helps us catch more cancers. The breast is positioned and compressed in the same way as a conventional. What Is 3D Breast Imaging.
From glossary.itnonline.com
3D Mammography What Is 3D Breast Imaging What is a 3d mammogram? And it helps us see the cancer size much better than we could on a. The breast is positioned and compressed in the same way as a conventional mammogram. Your doctor might call it digital. It does so by detecting characteristic masses (tumors) or calcium deposits called microcalcifications that may be an early sign of. What Is 3D Breast Imaging.
From www.prpimaging.com.au
3D Breast Tomosynthesis PRP Diagnostic Imaging What Is 3D Breast Imaging It also helps us catch more cancers. The breast is positioned and compressed in the same way as a conventional mammogram. It does so by detecting characteristic masses (tumors) or calcium deposits called microcalcifications that may be an early sign of breast cancer. And it helps us see the cancer size much better than we could on a. Studies show. What Is 3D Breast Imaging.
From www.mir.wustl.edu
Breast Imaging Archives Page 2 of 2 Mallinckrodt Institute of What Is 3D Breast Imaging A 3d mammogram is an advanced breast cancer screening tool. The breast is positioned and compressed in the same way as a conventional mammogram. A 3d mammogram, also called digital breast tomosynthesis, is an imaging test in which the machine’s arm rotates in an. And it helps us see the cancer size much better than we could on a. It. What Is 3D Breast Imaging.
From broadwaymedicalclinic.com
3D Mammography Broadway Medical Clinic What Is 3D Breast Imaging And it helps us see the cancer size much better than we could on a. Your doctor might call it digital. A 3d mammogram, also called digital breast tomosynthesis, is an imaging test in which the machine’s arm rotates in an. It also helps us catch more cancers. It does so by detecting characteristic masses (tumors) or calcium deposits called. What Is 3D Breast Imaging.
From pubs.rsna.org
Threedimensional Automated Breast US Facts and Artifacts RadioGraphics What Is 3D Breast Imaging What is a 3d mammogram? A 3d mammogram is an advanced breast cancer screening tool. The breast is positioned and compressed in the same way as a conventional mammogram. And it helps us see the cancer size much better than we could on a. It does so by detecting characteristic masses (tumors) or calcium deposits called microcalcifications that may be. What Is 3D Breast Imaging.
From www.sciencecodex.com
3D mammography significantly reduces breast biopsy rates Science Codex What Is 3D Breast Imaging And it helps us see the cancer size much better than we could on a. Using 3d mammography makes it easier for doctors to catch breast cancer early. What is a 3d mammogram? It does so by detecting characteristic masses (tumors) or calcium deposits called microcalcifications that may be an early sign of breast cancer. It also helps us catch. What Is 3D Breast Imaging.
From mungfali.com
Mammogram Clock Diagram Cheat Sheet What Is 3D Breast Imaging It does so by detecting characteristic masses (tumors) or calcium deposits called microcalcifications that may be an early sign of breast cancer. It also helps us catch more cancers. And it helps us see the cancer size much better than we could on a. Your doctor might call it digital. Studies show that this technology increases the detection of invasive. What Is 3D Breast Imaging.
From www.pennmedicine.org
Breast Imaging Radiology Penn Medicine What Is 3D Breast Imaging A 3d mammogram is an advanced breast cancer screening tool. It does so by detecting characteristic masses (tumors) or calcium deposits called microcalcifications that may be an early sign of breast cancer. And it helps us see the cancer size much better than we could on a. Your doctor might call it digital. A 3d mammogram, also called digital breast. What Is 3D Breast Imaging.
From www.healthcentral.com
Breast MRI What Is It, Procedure and Results What Is 3D Breast Imaging Your doctor might call it digital. The breast is positioned and compressed in the same way as a conventional mammogram. And it helps us see the cancer size much better than we could on a. A 3d mammogram is an advanced breast cancer screening tool. Using 3d mammography makes it easier for doctors to catch breast cancer early. It does. What Is 3D Breast Imaging.
From www.ogpnews.com
3D Mammography Improves Cancer Detection in Dense Breasts Obs Gynae What Is 3D Breast Imaging A 3d mammogram, also called digital breast tomosynthesis, is an imaging test in which the machine’s arm rotates in an. It does so by detecting characteristic masses (tumors) or calcium deposits called microcalcifications that may be an early sign of breast cancer. Using 3d mammography makes it easier for doctors to catch breast cancer early. Your doctor might call it. What Is 3D Breast Imaging.
From scnow.com
Early detection using 3D mammography improves survival Health What Is 3D Breast Imaging And it helps us see the cancer size much better than we could on a. A 3d mammogram, also called digital breast tomosynthesis, is an imaging test in which the machine’s arm rotates in an. It also helps us catch more cancers. A 3d mammogram is an advanced breast cancer screening tool. Your doctor might call it digital. The breast. What Is 3D Breast Imaging.
From www.nerad.com
Advanced 3D Breast Imaging Northeast Radiology What Is 3D Breast Imaging It also helps us catch more cancers. The breast is positioned and compressed in the same way as a conventional mammogram. What is a 3d mammogram? And it helps us see the cancer size much better than we could on a. Your doctor might call it digital. A 3d mammogram, also called digital breast tomosynthesis, is an imaging test in. What Is 3D Breast Imaging.
From www.radiologyofindiana.com
What is Breast Density, and Why is it Important? Radiology of Indiana What Is 3D Breast Imaging It does so by detecting characteristic masses (tumors) or calcium deposits called microcalcifications that may be an early sign of breast cancer. And it helps us see the cancer size much better than we could on a. What is a 3d mammogram? Your doctor might call it digital. Studies show that this technology increases the detection of invasive breast cancers.. What Is 3D Breast Imaging.
From www.nbcnews.com
Breast Cancer Breakthrough? 3D Mammograms Offer Sharper Results NBC News What Is 3D Breast Imaging A 3d mammogram, also called digital breast tomosynthesis, is an imaging test in which the machine’s arm rotates in an. A 3d mammogram is an advanced breast cancer screening tool. It also helps us catch more cancers. Your doctor might call it digital. Studies show that this technology increases the detection of invasive breast cancers. It does so by detecting. What Is 3D Breast Imaging.
From cbispecialists.com
Breast Density Carolina Breast Imaging Specialists What Is 3D Breast Imaging It does so by detecting characteristic masses (tumors) or calcium deposits called microcalcifications that may be an early sign of breast cancer. The breast is positioned and compressed in the same way as a conventional mammogram. A 3d mammogram, also called digital breast tomosynthesis, is an imaging test in which the machine’s arm rotates in an. A 3d mammogram is. What Is 3D Breast Imaging.
From health.sunnybrook.ca
3D mammograms may improve accuracy of breast cancer screening What Is 3D Breast Imaging It also helps us catch more cancers. Your doctor might call it digital. What is a 3d mammogram? Studies show that this technology increases the detection of invasive breast cancers. It does so by detecting characteristic masses (tumors) or calcium deposits called microcalcifications that may be an early sign of breast cancer. A 3d mammogram, also called digital breast tomosynthesis,. What Is 3D Breast Imaging.
From arsmed.lv
Digital mammography with tomosynthesis Medicīnas centrs ARS What Is 3D Breast Imaging The breast is positioned and compressed in the same way as a conventional mammogram. A 3d mammogram is an advanced breast cancer screening tool. It also helps us catch more cancers. What is a 3d mammogram? And it helps us see the cancer size much better than we could on a. It does so by detecting characteristic masses (tumors) or. What Is 3D Breast Imaging.
From www.northcountrypublicradio.org
When You Need A Mammogram, Should You Get One In '3D'? NCPR News What Is 3D Breast Imaging It also helps us catch more cancers. Studies show that this technology increases the detection of invasive breast cancers. And it helps us see the cancer size much better than we could on a. A 3d mammogram is an advanced breast cancer screening tool. Using 3d mammography makes it easier for doctors to catch breast cancer early. A 3d mammogram,. What Is 3D Breast Imaging.
From blog.carsontahoe.com
Advanced 3D Mammography Technology Now Available to Patients in Douglas What Is 3D Breast Imaging It also helps us catch more cancers. It does so by detecting characteristic masses (tumors) or calcium deposits called microcalcifications that may be an early sign of breast cancer. Using 3d mammography makes it easier for doctors to catch breast cancer early. What is a 3d mammogram? A 3d mammogram, also called digital breast tomosynthesis, is an imaging test in. What Is 3D Breast Imaging.
From memorialbreasthealthcenter.org
3D Mammography Harold & Dixie LePere Breast Health Center What Is 3D Breast Imaging Your doctor might call it digital. It does so by detecting characteristic masses (tumors) or calcium deposits called microcalcifications that may be an early sign of breast cancer. It also helps us catch more cancers. A 3d mammogram is an advanced breast cancer screening tool. What is a 3d mammogram? A 3d mammogram, also called digital breast tomosynthesis, is an. What Is 3D Breast Imaging.
From www.jeffersonhealth.org
Breast Imaging Jefferson Health What Is 3D Breast Imaging Using 3d mammography makes it easier for doctors to catch breast cancer early. What is a 3d mammogram? And it helps us see the cancer size much better than we could on a. It does so by detecting characteristic masses (tumors) or calcium deposits called microcalcifications that may be an early sign of breast cancer. A 3d mammogram, also called. What Is 3D Breast Imaging.
From www.volusonclub.net
Saving Lives with 3D Breast Ultrasound & Mammography Empowered Women What Is 3D Breast Imaging A 3d mammogram is an advanced breast cancer screening tool. It also helps us catch more cancers. Your doctor might call it digital. Studies show that this technology increases the detection of invasive breast cancers. What is a 3d mammogram? It does so by detecting characteristic masses (tumors) or calcium deposits called microcalcifications that may be an early sign of. What Is 3D Breast Imaging.
From oakstone.com
Comprehensive Review of Breast Imaging Radiology CME What Is 3D Breast Imaging And it helps us see the cancer size much better than we could on a. What is a 3d mammogram? It also helps us catch more cancers. A 3d mammogram is an advanced breast cancer screening tool. It does so by detecting characteristic masses (tumors) or calcium deposits called microcalcifications that may be an early sign of breast cancer. Studies. What Is 3D Breast Imaging.
From trgimaging.com
Breast Imaging Services in Oregon I The Radiology Group (TRG) What Is 3D Breast Imaging A 3d mammogram is an advanced breast cancer screening tool. The breast is positioned and compressed in the same way as a conventional mammogram. Studies show that this technology increases the detection of invasive breast cancers. It also helps us catch more cancers. Using 3d mammography makes it easier for doctors to catch breast cancer early. What is a 3d. What Is 3D Breast Imaging.