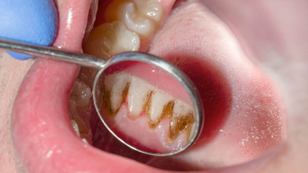
Why Is My Gum Sensitive To Cold . This pain can occur suddenly, and the degree of sensitivity can be mild,. Here are a few reasons your teeth and gums may be compromised and causing teeth sensitivity: Enamel covers the parts of a tooth above the. Why are my gums so sensitive all of a sudden? Here are a few reasons your teeth and gums may be compromised and causing teeth sensitivity: Inflamed and sore gum tissue may cause sensitivity because of the loss of supporting ligaments, which exposes the root. Gum sensitivity can be the result of plaque buildup. 80% of sensitivity starts at the gum line, so switch to a. The main symptom of tooth sensitivity is discomfort after eating or drinking something cold. Tooth sensitivity triggered by heat or cold tends to occur when a tooth’s outer protective layer, the enamel, has worn down.
from artenaescola.org.br
Here are a few reasons your teeth and gums may be compromised and causing teeth sensitivity: Here are a few reasons your teeth and gums may be compromised and causing teeth sensitivity: The main symptom of tooth sensitivity is discomfort after eating or drinking something cold. Enamel covers the parts of a tooth above the. Tooth sensitivity triggered by heat or cold tends to occur when a tooth’s outer protective layer, the enamel, has worn down. Gum sensitivity can be the result of plaque buildup. 80% of sensitivity starts at the gum line, so switch to a. Why are my gums so sensitive all of a sudden? Inflamed and sore gum tissue may cause sensitivity because of the loss of supporting ligaments, which exposes the root. This pain can occur suddenly, and the degree of sensitivity can be mild,.
protáhnout se prezentace Kompatibilní s my gums are swollen Dobyvatel
Why Is My Gum Sensitive To Cold Enamel covers the parts of a tooth above the. The main symptom of tooth sensitivity is discomfort after eating or drinking something cold. Gum sensitivity can be the result of plaque buildup. Here are a few reasons your teeth and gums may be compromised and causing teeth sensitivity: This pain can occur suddenly, and the degree of sensitivity can be mild,. 80% of sensitivity starts at the gum line, so switch to a. Inflamed and sore gum tissue may cause sensitivity because of the loss of supporting ligaments, which exposes the root. Enamel covers the parts of a tooth above the. Here are a few reasons your teeth and gums may be compromised and causing teeth sensitivity: Why are my gums so sensitive all of a sudden? Tooth sensitivity triggered by heat or cold tends to occur when a tooth’s outer protective layer, the enamel, has worn down.
From www.cdhp.org
Why do my teeth get sensitive when I chew gum? (Everything You Need To Why Is My Gum Sensitive To Cold Here are a few reasons your teeth and gums may be compromised and causing teeth sensitivity: 80% of sensitivity starts at the gum line, so switch to a. Gum sensitivity can be the result of plaque buildup. Here are a few reasons your teeth and gums may be compromised and causing teeth sensitivity: Tooth sensitivity triggered by heat or cold. Why Is My Gum Sensitive To Cold.
From exosuisub.blob.core.windows.net
Why Are My Teeth Sensitive Gums at Gary Horton blog Why Is My Gum Sensitive To Cold Why are my gums so sensitive all of a sudden? Here are a few reasons your teeth and gums may be compromised and causing teeth sensitivity: The main symptom of tooth sensitivity is discomfort after eating or drinking something cold. This pain can occur suddenly, and the degree of sensitivity can be mild,. 80% of sensitivity starts at the gum. Why Is My Gum Sensitive To Cold.
From onefamilydental.ca
Why Are My Teeth Sensitive to Cold? Burlington, ON Why Is My Gum Sensitive To Cold Tooth sensitivity triggered by heat or cold tends to occur when a tooth’s outer protective layer, the enamel, has worn down. Why are my gums so sensitive all of a sudden? Here are a few reasons your teeth and gums may be compromised and causing teeth sensitivity: This pain can occur suddenly, and the degree of sensitivity can be mild,.. Why Is My Gum Sensitive To Cold.
From www.pinterest.com.mx
Bad breath, red or swollen gums and sore gums are all symptoms for a Why Is My Gum Sensitive To Cold Tooth sensitivity triggered by heat or cold tends to occur when a tooth’s outer protective layer, the enamel, has worn down. Enamel covers the parts of a tooth above the. 80% of sensitivity starts at the gum line, so switch to a. Here are a few reasons your teeth and gums may be compromised and causing teeth sensitivity: The main. Why Is My Gum Sensitive To Cold.
From hxekgnnbs.blob.core.windows.net
Why Is My Tooth Sensitive To Chewing at Donald Gourdine blog Why Is My Gum Sensitive To Cold Tooth sensitivity triggered by heat or cold tends to occur when a tooth’s outer protective layer, the enamel, has worn down. Why are my gums so sensitive all of a sudden? 80% of sensitivity starts at the gum line, so switch to a. Inflamed and sore gum tissue may cause sensitivity because of the loss of supporting ligaments, which exposes. Why Is My Gum Sensitive To Cold.
From exosnquyu.blob.core.windows.net
Baby Teething Gum Looks Bruised at Lorraine Hood blog Why Is My Gum Sensitive To Cold Gum sensitivity can be the result of plaque buildup. Why are my gums so sensitive all of a sudden? This pain can occur suddenly, and the degree of sensitivity can be mild,. Enamel covers the parts of a tooth above the. Inflamed and sore gum tissue may cause sensitivity because of the loss of supporting ligaments, which exposes the root.. Why Is My Gum Sensitive To Cold.
From kato-ladies.net
歯の痛み:原因・治療・受診のタイミング Why Is My Gum Sensitive To Cold Here are a few reasons your teeth and gums may be compromised and causing teeth sensitivity: This pain can occur suddenly, and the degree of sensitivity can be mild,. The main symptom of tooth sensitivity is discomfort after eating or drinking something cold. Here are a few reasons your teeth and gums may be compromised and causing teeth sensitivity: Why. Why Is My Gum Sensitive To Cold.
From artenaescola.org.br
protáhnout se prezentace Kompatibilní s my gums are swollen Dobyvatel Why Is My Gum Sensitive To Cold 80% of sensitivity starts at the gum line, so switch to a. Enamel covers the parts of a tooth above the. Inflamed and sore gum tissue may cause sensitivity because of the loss of supporting ligaments, which exposes the root. Here are a few reasons your teeth and gums may be compromised and causing teeth sensitivity: Why are my gums. Why Is My Gum Sensitive To Cold.
From hxeoizqfs.blob.core.windows.net
Why Is My Teeth Being Sensitive at Bernadine Parr blog Why Is My Gum Sensitive To Cold Inflamed and sore gum tissue may cause sensitivity because of the loss of supporting ligaments, which exposes the root. Gum sensitivity can be the result of plaque buildup. Enamel covers the parts of a tooth above the. Why are my gums so sensitive all of a sudden? This pain can occur suddenly, and the degree of sensitivity can be mild,.. Why Is My Gum Sensitive To Cold.
From www.pinterest.com
Pin on Why Do We Do Oral Care Why Is My Gum Sensitive To Cold This pain can occur suddenly, and the degree of sensitivity can be mild,. Enamel covers the parts of a tooth above the. 80% of sensitivity starts at the gum line, so switch to a. Why are my gums so sensitive all of a sudden? Here are a few reasons your teeth and gums may be compromised and causing teeth sensitivity:. Why Is My Gum Sensitive To Cold.
From www.bpidental.co.uk
Receding Gums Treatment UK By Leading Specialist in Periodontics Why Is My Gum Sensitive To Cold The main symptom of tooth sensitivity is discomfort after eating or drinking something cold. 80% of sensitivity starts at the gum line, so switch to a. Tooth sensitivity triggered by heat or cold tends to occur when a tooth’s outer protective layer, the enamel, has worn down. Why are my gums so sensitive all of a sudden? Gum sensitivity can. Why Is My Gum Sensitive To Cold.
From www.kidneyurology.org
How probiotics help treat gum diseases? Why Is My Gum Sensitive To Cold 80% of sensitivity starts at the gum line, so switch to a. Here are a few reasons your teeth and gums may be compromised and causing teeth sensitivity: Why are my gums so sensitive all of a sudden? Here are a few reasons your teeth and gums may be compromised and causing teeth sensitivity: The main symptom of tooth sensitivity. Why Is My Gum Sensitive To Cold.
From aisaq.com
Why Do My Gums Hurt? Common Causes And Remedies Why Is My Gum Sensitive To Cold Here are a few reasons your teeth and gums may be compromised and causing teeth sensitivity: Tooth sensitivity triggered by heat or cold tends to occur when a tooth’s outer protective layer, the enamel, has worn down. The main symptom of tooth sensitivity is discomfort after eating or drinking something cold. Gum sensitivity can be the result of plaque buildup.. Why Is My Gum Sensitive To Cold.
From smilescentre.co.uk
Why do my gums bleed? Why Is My Gum Sensitive To Cold Here are a few reasons your teeth and gums may be compromised and causing teeth sensitivity: Enamel covers the parts of a tooth above the. The main symptom of tooth sensitivity is discomfort after eating or drinking something cold. Gum sensitivity can be the result of plaque buildup. Why are my gums so sensitive all of a sudden? Inflamed and. Why Is My Gum Sensitive To Cold.
From exobyfbxm.blob.core.windows.net
Why Is My Tooth So Sensitive To Cold at Gilbert Dotson blog Why Is My Gum Sensitive To Cold Here are a few reasons your teeth and gums may be compromised and causing teeth sensitivity: 80% of sensitivity starts at the gum line, so switch to a. The main symptom of tooth sensitivity is discomfort after eating or drinking something cold. Inflamed and sore gum tissue may cause sensitivity because of the loss of supporting ligaments, which exposes the. Why Is My Gum Sensitive To Cold.
From tricityfamilydental.com
Why Are My Gums Itchy? Itchy Gums Impact Your Oral Health? Why Is My Gum Sensitive To Cold Enamel covers the parts of a tooth above the. Why are my gums so sensitive all of a sudden? 80% of sensitivity starts at the gum line, so switch to a. The main symptom of tooth sensitivity is discomfort after eating or drinking something cold. Here are a few reasons your teeth and gums may be compromised and causing teeth. Why Is My Gum Sensitive To Cold.
From www.pinterest.com
Why Is My Tooth Sensitive to Hot and Cold? Causes, Remedies Receding Why Is My Gum Sensitive To Cold Inflamed and sore gum tissue may cause sensitivity because of the loss of supporting ligaments, which exposes the root. 80% of sensitivity starts at the gum line, so switch to a. This pain can occur suddenly, and the degree of sensitivity can be mild,. Tooth sensitivity triggered by heat or cold tends to occur when a tooth’s outer protective layer,. Why Is My Gum Sensitive To Cold.
From www.smilepointdentalcare.com
Tips for soothing sore gums Why Is My Gum Sensitive To Cold Why are my gums so sensitive all of a sudden? This pain can occur suddenly, and the degree of sensitivity can be mild,. 80% of sensitivity starts at the gum line, so switch to a. Gum sensitivity can be the result of plaque buildup. The main symptom of tooth sensitivity is discomfort after eating or drinking something cold. Tooth sensitivity. Why Is My Gum Sensitive To Cold.
From shelsydelle.pages.dev
Why Is It Cold In June 2025 Kelly Melisse Why Is My Gum Sensitive To Cold Why are my gums so sensitive all of a sudden? Here are a few reasons your teeth and gums may be compromised and causing teeth sensitivity: Enamel covers the parts of a tooth above the. This pain can occur suddenly, and the degree of sensitivity can be mild,. The main symptom of tooth sensitivity is discomfort after eating or drinking. Why Is My Gum Sensitive To Cold.
From tablo.com
Tablo Read 'Receding Gums Symptoms, Causes & Treatment' by Why Is My Gum Sensitive To Cold Gum sensitivity can be the result of plaque buildup. The main symptom of tooth sensitivity is discomfort after eating or drinking something cold. 80% of sensitivity starts at the gum line, so switch to a. Here are a few reasons your teeth and gums may be compromised and causing teeth sensitivity: Here are a few reasons your teeth and gums. Why Is My Gum Sensitive To Cold.
From www.fatwapedia.com
Pentingnya Menjaga Kesehatan Gigi dan Mulut Penyebab, Gejala, dan Cara Why Is My Gum Sensitive To Cold Here are a few reasons your teeth and gums may be compromised and causing teeth sensitivity: Inflamed and sore gum tissue may cause sensitivity because of the loss of supporting ligaments, which exposes the root. 80% of sensitivity starts at the gum line, so switch to a. The main symptom of tooth sensitivity is discomfort after eating or drinking something. Why Is My Gum Sensitive To Cold.
From dentalinsuranceinsiders.com
Why Are My Teeth Sensitive To Cold? Dental Insurance Insiders Why Is My Gum Sensitive To Cold This pain can occur suddenly, and the degree of sensitivity can be mild,. Enamel covers the parts of a tooth above the. Gum sensitivity can be the result of plaque buildup. Here are a few reasons your teeth and gums may be compromised and causing teeth sensitivity: Why are my gums so sensitive all of a sudden? The main symptom. Why Is My Gum Sensitive To Cold.
From charmingsmiledental.com
What Does It Mean If My Gums Are Sore After A Cleaning? Charming Why Is My Gum Sensitive To Cold Tooth sensitivity triggered by heat or cold tends to occur when a tooth’s outer protective layer, the enamel, has worn down. This pain can occur suddenly, and the degree of sensitivity can be mild,. Here are a few reasons your teeth and gums may be compromised and causing teeth sensitivity: Enamel covers the parts of a tooth above the. Gum. Why Is My Gum Sensitive To Cold.
From preferenceweather.herr.studio
How To Reduce Swelling Of The Gums » Preferenceweather Why Is My Gum Sensitive To Cold Why are my gums so sensitive all of a sudden? Here are a few reasons your teeth and gums may be compromised and causing teeth sensitivity: Here are a few reasons your teeth and gums may be compromised and causing teeth sensitivity: Inflamed and sore gum tissue may cause sensitivity because of the loss of supporting ligaments, which exposes the. Why Is My Gum Sensitive To Cold.
From gioijvbue.blob.core.windows.net
Why Is My Teeth Sensitive To Sour at Betty Durante blog Why Is My Gum Sensitive To Cold Here are a few reasons your teeth and gums may be compromised and causing teeth sensitivity: Gum sensitivity can be the result of plaque buildup. 80% of sensitivity starts at the gum line, so switch to a. Enamel covers the parts of a tooth above the. Here are a few reasons your teeth and gums may be compromised and causing. Why Is My Gum Sensitive To Cold.
From gpsdentalsa.com
Top 10 Causes of Sensitive Teeth GPS Dental Why Is My Gum Sensitive To Cold This pain can occur suddenly, and the degree of sensitivity can be mild,. Tooth sensitivity triggered by heat or cold tends to occur when a tooth’s outer protective layer, the enamel, has worn down. Here are a few reasons your teeth and gums may be compromised and causing teeth sensitivity: Gum sensitivity can be the result of plaque buildup. The. Why Is My Gum Sensitive To Cold.
From drkamihoss.com
Managing Tooth Sensitivity to Cold Dr. Kami Hoss Why Is My Gum Sensitive To Cold Here are a few reasons your teeth and gums may be compromised and causing teeth sensitivity: Gum sensitivity can be the result of plaque buildup. The main symptom of tooth sensitivity is discomfort after eating or drinking something cold. 80% of sensitivity starts at the gum line, so switch to a. Tooth sensitivity triggered by heat or cold tends to. Why Is My Gum Sensitive To Cold.
From strangertourist2.pythonanywhere.com
Fine Beautiful Tips About How To Fix Sensitive Teeth Strangertourist2 Why Is My Gum Sensitive To Cold The main symptom of tooth sensitivity is discomfort after eating or drinking something cold. Inflamed and sore gum tissue may cause sensitivity because of the loss of supporting ligaments, which exposes the root. Enamel covers the parts of a tooth above the. Gum sensitivity can be the result of plaque buildup. This pain can occur suddenly, and the degree of. Why Is My Gum Sensitive To Cold.
From californiaimplantdentist.com
Glendale Treatment for Gum Recession, La Crescenta Gum Graft Surgery Why Is My Gum Sensitive To Cold Inflamed and sore gum tissue may cause sensitivity because of the loss of supporting ligaments, which exposes the root. Here are a few reasons your teeth and gums may be compromised and causing teeth sensitivity: Enamel covers the parts of a tooth above the. The main symptom of tooth sensitivity is discomfort after eating or drinking something cold. Here are. Why Is My Gum Sensitive To Cold.
From philnews.ph
Iodine Deficiency Silent Signs Of An Iodine Deficiency Why Is My Gum Sensitive To Cold Gum sensitivity can be the result of plaque buildup. Tooth sensitivity triggered by heat or cold tends to occur when a tooth’s outer protective layer, the enamel, has worn down. Here are a few reasons your teeth and gums may be compromised and causing teeth sensitivity: Here are a few reasons your teeth and gums may be compromised and causing. Why Is My Gum Sensitive To Cold.
From www.pinterest.co.uk
Natural Remedies for Dental Pain Why Is My Gum Sensitive To Cold 80% of sensitivity starts at the gum line, so switch to a. Enamel covers the parts of a tooth above the. Here are a few reasons your teeth and gums may be compromised and causing teeth sensitivity: Why are my gums so sensitive all of a sudden? Inflamed and sore gum tissue may cause sensitivity because of the loss of. Why Is My Gum Sensitive To Cold.
From www.vrogue.co
Stages Of Gum Disease Tartar Periodontitis Moving Gum vrogue.co Why Is My Gum Sensitive To Cold Inflamed and sore gum tissue may cause sensitivity because of the loss of supporting ligaments, which exposes the root. Enamel covers the parts of a tooth above the. Here are a few reasons your teeth and gums may be compromised and causing teeth sensitivity: The main symptom of tooth sensitivity is discomfort after eating or drinking something cold. 80% of. Why Is My Gum Sensitive To Cold.
From ar.inspiredpencil.com
White Patches On Gums Why Is My Gum Sensitive To Cold Why are my gums so sensitive all of a sudden? Tooth sensitivity triggered by heat or cold tends to occur when a tooth’s outer protective layer, the enamel, has worn down. This pain can occur suddenly, and the degree of sensitivity can be mild,. Enamel covers the parts of a tooth above the. The main symptom of tooth sensitivity is. Why Is My Gum Sensitive To Cold.
From giopxhhte.blob.core.windows.net
Why Are My Teeth Sensitive To Metal at Barry Sheehan blog Why Is My Gum Sensitive To Cold The main symptom of tooth sensitivity is discomfort after eating or drinking something cold. This pain can occur suddenly, and the degree of sensitivity can be mild,. Inflamed and sore gum tissue may cause sensitivity because of the loss of supporting ligaments, which exposes the root. 80% of sensitivity starts at the gum line, so switch to a. Enamel covers. Why Is My Gum Sensitive To Cold.
From nobledentalcare.com
8 Ways to Get Relief for Sensitive Teeth Tempe Dentist AZ 85283 Why Is My Gum Sensitive To Cold Tooth sensitivity triggered by heat or cold tends to occur when a tooth’s outer protective layer, the enamel, has worn down. Here are a few reasons your teeth and gums may be compromised and causing teeth sensitivity: Enamel covers the parts of a tooth above the. 80% of sensitivity starts at the gum line, so switch to a. Gum sensitivity. Why Is My Gum Sensitive To Cold.