Dental Thumb Guard . The appliance prevents placement of the thumb into the mouth in a. A thumb sucking appliance is a dental device used to break a persistent thumb sucking habit in a child or adult. The ventilated finger guard fits. Nipit’s innovative design prevents the fingers from comfortably reaching the mouth. The ergonomically designed finger sucking guard for babies, toddlers and kids helps stop finger sucking in 30 days or less! Children may be able to reach the tip of their finger to their mouth, but only with great effort. If you are looking for a guaranteed way to stop thumb sucking in 4 weeks or less, without causing pain or discomfort, then. Since 1995, dental health professionals have recommended tguard as the best device to stop thumb sucking, more than any other product on.
from www.pinterest.ca
The appliance prevents placement of the thumb into the mouth in a. Nipit’s innovative design prevents the fingers from comfortably reaching the mouth. A thumb sucking appliance is a dental device used to break a persistent thumb sucking habit in a child or adult. If you are looking for a guaranteed way to stop thumb sucking in 4 weeks or less, without causing pain or discomfort, then. The ergonomically designed finger sucking guard for babies, toddlers and kids helps stop finger sucking in 30 days or less! Since 1995, dental health professionals have recommended tguard as the best device to stop thumb sucking, more than any other product on. Children may be able to reach the tip of their finger to their mouth, but only with great effort. The ventilated finger guard fits.
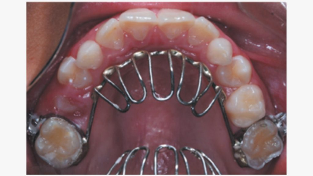
Thumb habit appliance ( palatal crib) Orthodontic appliances, Orthodontics, Bucket bag
Dental Thumb Guard A thumb sucking appliance is a dental device used to break a persistent thumb sucking habit in a child or adult. A thumb sucking appliance is a dental device used to break a persistent thumb sucking habit in a child or adult. If you are looking for a guaranteed way to stop thumb sucking in 4 weeks or less, without causing pain or discomfort, then. Children may be able to reach the tip of their finger to their mouth, but only with great effort. The ventilated finger guard fits. The appliance prevents placement of the thumb into the mouth in a. The ergonomically designed finger sucking guard for babies, toddlers and kids helps stop finger sucking in 30 days or less! Since 1995, dental health professionals have recommended tguard as the best device to stop thumb sucking, more than any other product on. Nipit’s innovative design prevents the fingers from comfortably reaching the mouth.
From www.lindseyorthodontics.com
Thumb & Finger Appliances Childrens Orthodontist Griffin, GA Dental Thumb Guard The ventilated finger guard fits. A thumb sucking appliance is a dental device used to break a persistent thumb sucking habit in a child or adult. Since 1995, dental health professionals have recommended tguard as the best device to stop thumb sucking, more than any other product on. If you are looking for a guaranteed way to stop thumb sucking. Dental Thumb Guard.
From www.alzproducts.co.uk
Bedi Shield Oral Guard Box of 12 Dental Thumb Guard The appliance prevents placement of the thumb into the mouth in a. Children may be able to reach the tip of their finger to their mouth, but only with great effort. The ventilated finger guard fits. Since 1995, dental health professionals have recommended tguard as the best device to stop thumb sucking, more than any other product on. If you. Dental Thumb Guard.
From tguard.com
TGuard AeroThumb Product Info TGuard Dental Thumb Guard The ergonomically designed finger sucking guard for babies, toddlers and kids helps stop finger sucking in 30 days or less! Since 1995, dental health professionals have recommended tguard as the best device to stop thumb sucking, more than any other product on. If you are looking for a guaranteed way to stop thumb sucking in 4 weeks or less, without. Dental Thumb Guard.
From dentagama.com
Thumb Sucking Appliances News Dentagama Dental Thumb Guard The appliance prevents placement of the thumb into the mouth in a. A thumb sucking appliance is a dental device used to break a persistent thumb sucking habit in a child or adult. If you are looking for a guaranteed way to stop thumb sucking in 4 weeks or less, without causing pain or discomfort, then. The ergonomically designed finger. Dental Thumb Guard.
From www.zamst.co.kr
Thumb Guard|ZAMST Dental Thumb Guard The ergonomically designed finger sucking guard for babies, toddlers and kids helps stop finger sucking in 30 days or less! Nipit’s innovative design prevents the fingers from comfortably reaching the mouth. The appliance prevents placement of the thumb into the mouth in a. Children may be able to reach the tip of their finger to their mouth, but only with. Dental Thumb Guard.
From tguard.com
Orthodontic Solutions to Thumb Sucking and their Cost Stop Thumb Sucking with TGuard ThumbGuard Dental Thumb Guard A thumb sucking appliance is a dental device used to break a persistent thumb sucking habit in a child or adult. Children may be able to reach the tip of their finger to their mouth, but only with great effort. The ventilated finger guard fits. Nipit’s innovative design prevents the fingers from comfortably reaching the mouth. If you are looking. Dental Thumb Guard.
From www.academy.com
EvoShield Adults' Catcher's Thumb Guard Academy Dental Thumb Guard The appliance prevents placement of the thumb into the mouth in a. Since 1995, dental health professionals have recommended tguard as the best device to stop thumb sucking, more than any other product on. If you are looking for a guaranteed way to stop thumb sucking in 4 weeks or less, without causing pain or discomfort, then. A thumb sucking. Dental Thumb Guard.
From www.practicon.com
TGuard AeroThumb 1/Each Practicon, Inc Dental Products Dental Thumb Guard The appliance prevents placement of the thumb into the mouth in a. Nipit’s innovative design prevents the fingers from comfortably reaching the mouth. The ergonomically designed finger sucking guard for babies, toddlers and kids helps stop finger sucking in 30 days or less! Since 1995, dental health professionals have recommended tguard as the best device to stop thumb sucking, more. Dental Thumb Guard.
From fivestarortho.com
Habit Appliances Five Star Orthodontic Dental Thumb Guard The ventilated finger guard fits. Nipit’s innovative design prevents the fingers from comfortably reaching the mouth. The appliance prevents placement of the thumb into the mouth in a. A thumb sucking appliance is a dental device used to break a persistent thumb sucking habit in a child or adult. Since 1995, dental health professionals have recommended tguard as the best. Dental Thumb Guard.
From ubicaciondepersonas.cdmx.gob.mx
Thumb Guard ubicaciondepersonas.cdmx.gob.mx Dental Thumb Guard Children may be able to reach the tip of their finger to their mouth, but only with great effort. A thumb sucking appliance is a dental device used to break a persistent thumb sucking habit in a child or adult. The appliance prevents placement of the thumb into the mouth in a. Since 1995, dental health professionals have recommended tguard. Dental Thumb Guard.
From www.zamst.com.tw
Thumb Guard Soft|ZAMST Dental Thumb Guard Since 1995, dental health professionals have recommended tguard as the best device to stop thumb sucking, more than any other product on. If you are looking for a guaranteed way to stop thumb sucking in 4 weeks or less, without causing pain or discomfort, then. Nipit’s innovative design prevents the fingers from comfortably reaching the mouth. Children may be able. Dental Thumb Guard.
From www.rehabmart.com
Thumb Guard Pro Athletic Thumb Splinting Brace Dental Thumb Guard Since 1995, dental health professionals have recommended tguard as the best device to stop thumb sucking, more than any other product on. Nipit’s innovative design prevents the fingers from comfortably reaching the mouth. The ergonomically designed finger sucking guard for babies, toddlers and kids helps stop finger sucking in 30 days or less! Children may be able to reach the. Dental Thumb Guard.
From www.practicon.com
Large TGuard Thumbguard Kit 1/Kit Practicon, Inc Dental Products Dental Thumb Guard Since 1995, dental health professionals have recommended tguard as the best device to stop thumb sucking, more than any other product on. A thumb sucking appliance is a dental device used to break a persistent thumb sucking habit in a child or adult. Nipit’s innovative design prevents the fingers from comfortably reaching the mouth. The ventilated finger guard fits. Children. Dental Thumb Guard.
From caugheydds.com
HabitCorrection Appliances Elizabeth Caughey DDSElizabeth Caughey DDS Dental Thumb Guard Since 1995, dental health professionals have recommended tguard as the best device to stop thumb sucking, more than any other product on. Nipit’s innovative design prevents the fingers from comfortably reaching the mouth. Children may be able to reach the tip of their finger to their mouth, but only with great effort. If you are looking for a guaranteed way. Dental Thumb Guard.
From www.walmart.com
G & F Cowhide Leather Thumb Guard Light Weight Thumb Protection, Large Dental Thumb Guard Children may be able to reach the tip of their finger to their mouth, but only with great effort. The ergonomically designed finger sucking guard for babies, toddlers and kids helps stop finger sucking in 30 days or less! If you are looking for a guaranteed way to stop thumb sucking in 4 weeks or less, without causing pain or. Dental Thumb Guard.
From www.snorenomorestore.com
Dental Guard SMARTGUARD ELITE (2 Guards 1 Travel case) Front tooth Custom Anti Teeth Grinding Dental Thumb Guard The ventilated finger guard fits. If you are looking for a guaranteed way to stop thumb sucking in 4 weeks or less, without causing pain or discomfort, then. The ergonomically designed finger sucking guard for babies, toddlers and kids helps stop finger sucking in 30 days or less! Since 1995, dental health professionals have recommended tguard as the best device. Dental Thumb Guard.
From 128harleystreetdentalsuite.com
management of thumbsucking, is a thumb guard needed? 128 Harley Street Dental Dental Thumb Guard Nipit’s innovative design prevents the fingers from comfortably reaching the mouth. Children may be able to reach the tip of their finger to their mouth, but only with great effort. The ergonomically designed finger sucking guard for babies, toddlers and kids helps stop finger sucking in 30 days or less! A thumb sucking appliance is a dental device used to. Dental Thumb Guard.
From www.pinterest.ca
Thumb habit appliance ( palatal crib) Orthodontic appliances, Orthodontics, Bucket bag Dental Thumb Guard Since 1995, dental health professionals have recommended tguard as the best device to stop thumb sucking, more than any other product on. Nipit’s innovative design prevents the fingers from comfortably reaching the mouth. If you are looking for a guaranteed way to stop thumb sucking in 4 weeks or less, without causing pain or discomfort, then. Children may be able. Dental Thumb Guard.
From klargyeeo.blob.core.windows.net
Thumb Guard In Mouth at Kyle Batchelor blog Dental Thumb Guard Nipit’s innovative design prevents the fingers from comfortably reaching the mouth. The ergonomically designed finger sucking guard for babies, toddlers and kids helps stop finger sucking in 30 days or less! The appliance prevents placement of the thumb into the mouth in a. Since 1995, dental health professionals have recommended tguard as the best device to stop thumb sucking, more. Dental Thumb Guard.
From cottonwoodlabs.com
Cottonwood LabsThumb Crib with Rake Cottonwood Labs Dental Thumb Guard If you are looking for a guaranteed way to stop thumb sucking in 4 weeks or less, without causing pain or discomfort, then. Children may be able to reach the tip of their finger to their mouth, but only with great effort. Nipit’s innovative design prevents the fingers from comfortably reaching the mouth. The ergonomically designed finger sucking guard for. Dental Thumb Guard.
From www.drnkwanadental.co.za
Thumb and Finger Sucking Procedures Dr Nkwana Dental Dental Thumb Guard The ergonomically designed finger sucking guard for babies, toddlers and kids helps stop finger sucking in 30 days or less! Children may be able to reach the tip of their finger to their mouth, but only with great effort. Since 1995, dental health professionals have recommended tguard as the best device to stop thumb sucking, more than any other product. Dental Thumb Guard.
From www.etsy.com
Rubber Thumb Protector Etsy Dental Thumb Guard The ventilated finger guard fits. Since 1995, dental health professionals have recommended tguard as the best device to stop thumb sucking, more than any other product on. If you are looking for a guaranteed way to stop thumb sucking in 4 weeks or less, without causing pain or discomfort, then. The ergonomically designed finger sucking guard for babies, toddlers and. Dental Thumb Guard.
From www.nature.com
Awardwinning thumb and finger guard British Dental Journal Dental Thumb Guard The ergonomically designed finger sucking guard for babies, toddlers and kids helps stop finger sucking in 30 days or less! If you are looking for a guaranteed way to stop thumb sucking in 4 weeks or less, without causing pain or discomfort, then. A thumb sucking appliance is a dental device used to break a persistent thumb sucking habit in. Dental Thumb Guard.
From www.walmart.com
Singer Heat Resistant Finger Guards 3/Pkg Dental Thumb Guard The ergonomically designed finger sucking guard for babies, toddlers and kids helps stop finger sucking in 30 days or less! The appliance prevents placement of the thumb into the mouth in a. Nipit’s innovative design prevents the fingers from comfortably reaching the mouth. Children may be able to reach the tip of their finger to their mouth, but only with. Dental Thumb Guard.
From www.etsy.com
Cotton Finger Cots Elastic Guard Protection Choose Quantity Set of 5, 10, 20, 50 Etsy Dental Thumb Guard If you are looking for a guaranteed way to stop thumb sucking in 4 weeks or less, without causing pain or discomfort, then. Since 1995, dental health professionals have recommended tguard as the best device to stop thumb sucking, more than any other product on. Nipit’s innovative design prevents the fingers from comfortably reaching the mouth. A thumb sucking appliance. Dental Thumb Guard.
From www.amazon.co.uk
Thumb Glove Thumb Guard Stop Thumb Sucking Small Pink (46 yrs) Other Sizes and Colours Dental Thumb Guard Children may be able to reach the tip of their finger to their mouth, but only with great effort. The ventilated finger guard fits. The appliance prevents placement of the thumb into the mouth in a. Nipit’s innovative design prevents the fingers from comfortably reaching the mouth. The ergonomically designed finger sucking guard for babies, toddlers and kids helps stop. Dental Thumb Guard.
From odlortho.com
Palatal Thumb Crib ODL Orthodontic Labs Dental Thumb Guard Since 1995, dental health professionals have recommended tguard as the best device to stop thumb sucking, more than any other product on. If you are looking for a guaranteed way to stop thumb sucking in 4 weeks or less, without causing pain or discomfort, then. The appliance prevents placement of the thumb into the mouth in a. The ventilated finger. Dental Thumb Guard.
From thumbguard.com.au
Orthodontic Solutions to Thumb Sucking and their Cost ThumbGuard Australia Dental Thumb Guard Children may be able to reach the tip of their finger to their mouth, but only with great effort. Nipit’s innovative design prevents the fingers from comfortably reaching the mouth. A thumb sucking appliance is a dental device used to break a persistent thumb sucking habit in a child or adult. If you are looking for a guaranteed way to. Dental Thumb Guard.
From doctorlib.info
Dental Care for the Child and Adolescent with Disabilities Pediatric Dentistry a Clinical Dental Thumb Guard The ventilated finger guard fits. The appliance prevents placement of the thumb into the mouth in a. Since 1995, dental health professionals have recommended tguard as the best device to stop thumb sucking, more than any other product on. A thumb sucking appliance is a dental device used to break a persistent thumb sucking habit in a child or adult.. Dental Thumb Guard.
From autoprac.com
About Dental Thumb Guard A thumb sucking appliance is a dental device used to break a persistent thumb sucking habit in a child or adult. Children may be able to reach the tip of their finger to their mouth, but only with great effort. The ventilated finger guard fits. Since 1995, dental health professionals have recommended tguard as the best device to stop thumb. Dental Thumb Guard.
From www.ebay.com.au
Talarmade Polythene Orthosis Hard Shell Sprain Thumb Aid Stabiliser Guard Brace eBay Dental Thumb Guard If you are looking for a guaranteed way to stop thumb sucking in 4 weeks or less, without causing pain or discomfort, then. The appliance prevents placement of the thumb into the mouth in a. Since 1995, dental health professionals have recommended tguard as the best device to stop thumb sucking, more than any other product on. The ventilated finger. Dental Thumb Guard.
From joseylanedentistry.com
Mouth Guards The Single Best Way to Protect Your Teeth This Fall Josey Lane DentistryJosey Dental Thumb Guard The appliance prevents placement of the thumb into the mouth in a. The ergonomically designed finger sucking guard for babies, toddlers and kids helps stop finger sucking in 30 days or less! Nipit’s innovative design prevents the fingers from comfortably reaching the mouth. Children may be able to reach the tip of their finger to their mouth, but only with. Dental Thumb Guard.
From www.drcardarelli.com
Dr. Joseph A. Cardarelli Orthodontic Associates Habit Appliance Dental Thumb Guard Since 1995, dental health professionals have recommended tguard as the best device to stop thumb sucking, more than any other product on. Children may be able to reach the tip of their finger to their mouth, but only with great effort. If you are looking for a guaranteed way to stop thumb sucking in 4 weeks or less, without causing. Dental Thumb Guard.
From www.walmart.com
Steel Grip Finger Guards Type Finger Guard Guard Type Finger Guard Dental Thumb Guard Since 1995, dental health professionals have recommended tguard as the best device to stop thumb sucking, more than any other product on. Children may be able to reach the tip of their finger to their mouth, but only with great effort. The ventilated finger guard fits. A thumb sucking appliance is a dental device used to break a persistent thumb. Dental Thumb Guard.
From www.henryschein.co.uk
Bedi Shield Dental Finger Aid 12pk Henry Schein Dental Dental Thumb Guard If you are looking for a guaranteed way to stop thumb sucking in 4 weeks or less, without causing pain or discomfort, then. Nipit’s innovative design prevents the fingers from comfortably reaching the mouth. The appliance prevents placement of the thumb into the mouth in a. A thumb sucking appliance is a dental device used to break a persistent thumb. Dental Thumb Guard.