Veal Brain Prion . Prion disease (sometimes called transmissible spongiform encephalopathy) causes brain damage that leads to dementia. The prions can remain infectious in the environment for years. Scientists at niaid’s rocky mountain laboratories in hamilton,. The prion, a conformational variant of a host protein, is the infectious particle responsible for transmissible spongiform. In this report, we review the neuropathology and the neuroinflammation of animal prion diseases in natural hosts from. Progressive deposition of prions in the brain leads to fatal spongiform encephalopathies, which manifest as synaptic. Prion diseases are neurodegenerative conditions that cause extensive damage to nerve cells within the brain and can be fatal. Some prion disease agents accumulate first in lymphoid tissues,. Nevertheless, this novel hypothesis had not been evidenced until 1982, when prusiner and coworkers purified.
from www.semanticscholar.org
Scientists at niaid’s rocky mountain laboratories in hamilton,. Prion diseases are neurodegenerative conditions that cause extensive damage to nerve cells within the brain and can be fatal. Progressive deposition of prions in the brain leads to fatal spongiform encephalopathies, which manifest as synaptic. The prion, a conformational variant of a host protein, is the infectious particle responsible for transmissible spongiform. The prions can remain infectious in the environment for years. Nevertheless, this novel hypothesis had not been evidenced until 1982, when prusiner and coworkers purified. Some prion disease agents accumulate first in lymphoid tissues,. In this report, we review the neuropathology and the neuroinflammation of animal prion diseases in natural hosts from. Prion disease (sometimes called transmissible spongiform encephalopathy) causes brain damage that leads to dementia.
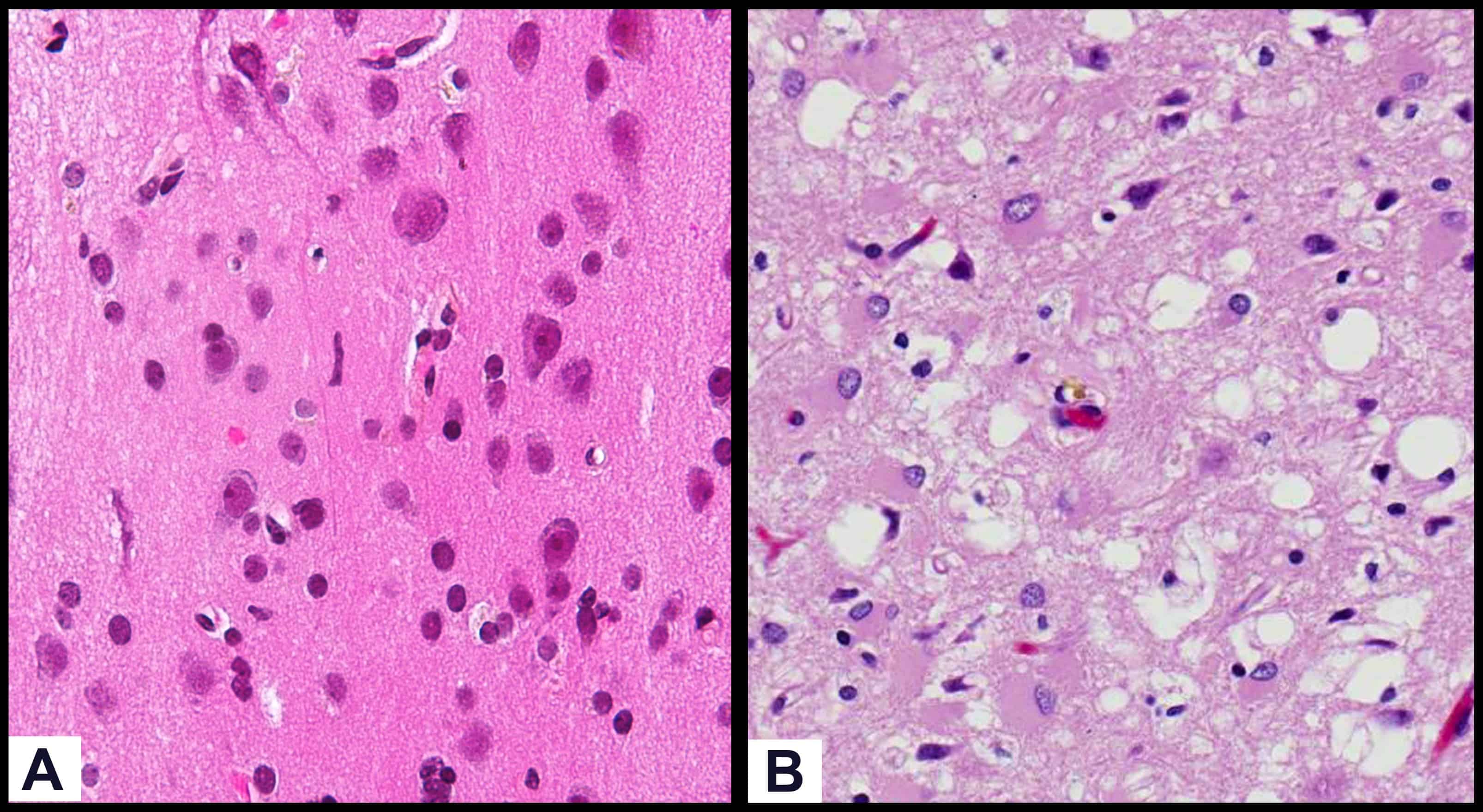
Figure 1 from Prion protein disease and neuropathology of prion disease
Veal Brain Prion Prion disease (sometimes called transmissible spongiform encephalopathy) causes brain damage that leads to dementia. Prion disease (sometimes called transmissible spongiform encephalopathy) causes brain damage that leads to dementia. Scientists at niaid’s rocky mountain laboratories in hamilton,. Prion diseases are neurodegenerative conditions that cause extensive damage to nerve cells within the brain and can be fatal. Nevertheless, this novel hypothesis had not been evidenced until 1982, when prusiner and coworkers purified. Progressive deposition of prions in the brain leads to fatal spongiform encephalopathies, which manifest as synaptic. The prions can remain infectious in the environment for years. Some prion disease agents accumulate first in lymphoid tissues,. The prion, a conformational variant of a host protein, is the infectious particle responsible for transmissible spongiform. In this report, we review the neuropathology and the neuroinflammation of animal prion diseases in natural hosts from.
From prelights.biologists.com
Structure of an infectious mammalian prion preLights Veal Brain Prion The prion, a conformational variant of a host protein, is the infectious particle responsible for transmissible spongiform. Nevertheless, this novel hypothesis had not been evidenced until 1982, when prusiner and coworkers purified. Prion diseases are neurodegenerative conditions that cause extensive damage to nerve cells within the brain and can be fatal. Scientists at niaid’s rocky mountain laboratories in hamilton,. In. Veal Brain Prion.
From www.dreamstime.com
Crispy Bite Sized Deep Fried Veal Brain Stock Photo Image of Veal Brain Prion Some prion disease agents accumulate first in lymphoid tissues,. The prion, a conformational variant of a host protein, is the infectious particle responsible for transmissible spongiform. Prion diseases are neurodegenerative conditions that cause extensive damage to nerve cells within the brain and can be fatal. Progressive deposition of prions in the brain leads to fatal spongiform encephalopathies, which manifest as. Veal Brain Prion.
From www.researchgate.net
Brain MRI findings in prion disease. (a) Axial DWI imaging showing a Veal Brain Prion Some prion disease agents accumulate first in lymphoid tissues,. Scientists at niaid’s rocky mountain laboratories in hamilton,. Prion diseases are neurodegenerative conditions that cause extensive damage to nerve cells within the brain and can be fatal. Prion disease (sometimes called transmissible spongiform encephalopathy) causes brain damage that leads to dementia. Nevertheless, this novel hypothesis had not been evidenced until 1982,. Veal Brain Prion.
From www.youtube.com
Prion Disease How does Prion Disease Happen YouTube Veal Brain Prion Prion diseases are neurodegenerative conditions that cause extensive damage to nerve cells within the brain and can be fatal. Some prion disease agents accumulate first in lymphoid tissues,. Scientists at niaid’s rocky mountain laboratories in hamilton,. The prions can remain infectious in the environment for years. Nevertheless, this novel hypothesis had not been evidenced until 1982, when prusiner and coworkers. Veal Brain Prion.
From www.britannica.com
Nervous system disease Prions, Symptoms, Treatment Britannica Veal Brain Prion The prions can remain infectious in the environment for years. Nevertheless, this novel hypothesis had not been evidenced until 1982, when prusiner and coworkers purified. Progressive deposition of prions in the brain leads to fatal spongiform encephalopathies, which manifest as synaptic. Prion disease (sometimes called transmissible spongiform encephalopathy) causes brain damage that leads to dementia. Some prion disease agents accumulate. Veal Brain Prion.
From www.labroots.com
Improved Detection Of Deadly Prion Diseases Clinical And Molecular Dx Veal Brain Prion Nevertheless, this novel hypothesis had not been evidenced until 1982, when prusiner and coworkers purified. Prion disease (sometimes called transmissible spongiform encephalopathy) causes brain damage that leads to dementia. The prions can remain infectious in the environment for years. In this report, we review the neuropathology and the neuroinflammation of animal prion diseases in natural hosts from. The prion, a. Veal Brain Prion.
From www.hopkinsmedicine.org
Prion Diseases Johns Hopkins Medicine Veal Brain Prion The prion, a conformational variant of a host protein, is the infectious particle responsible for transmissible spongiform. Scientists at niaid’s rocky mountain laboratories in hamilton,. The prions can remain infectious in the environment for years. In this report, we review the neuropathology and the neuroinflammation of animal prion diseases in natural hosts from. Prion diseases are neurodegenerative conditions that cause. Veal Brain Prion.
From www.researchgate.net
1 Typical prion disease neuropathology Coronal hippocampal sections of Veal Brain Prion Prion disease (sometimes called transmissible spongiform encephalopathy) causes brain damage that leads to dementia. The prion, a conformational variant of a host protein, is the infectious particle responsible for transmissible spongiform. Nevertheless, this novel hypothesis had not been evidenced until 1982, when prusiner and coworkers purified. Prion diseases are neurodegenerative conditions that cause extensive damage to nerve cells within the. Veal Brain Prion.
From www.neuroimaging.theclinics.com
Prion Infections of the Brain Neuroimaging Clinics Veal Brain Prion In this report, we review the neuropathology and the neuroinflammation of animal prion diseases in natural hosts from. Some prion disease agents accumulate first in lymphoid tissues,. The prions can remain infectious in the environment for years. Progressive deposition of prions in the brain leads to fatal spongiform encephalopathies, which manifest as synaptic. Nevertheless, this novel hypothesis had not been. Veal Brain Prion.
From www.sciencephoto.com
Prions in brain disease, illustration Stock Image C022/9823 Veal Brain Prion Some prion disease agents accumulate first in lymphoid tissues,. Nevertheless, this novel hypothesis had not been evidenced until 1982, when prusiner and coworkers purified. The prion, a conformational variant of a host protein, is the infectious particle responsible for transmissible spongiform. Prion diseases are neurodegenerative conditions that cause extensive damage to nerve cells within the brain and can be fatal.. Veal Brain Prion.
From neupsykey.com
9 Prion diseases and rapidly progressive dementias Neupsy Key Veal Brain Prion Prion disease (sometimes called transmissible spongiform encephalopathy) causes brain damage that leads to dementia. Nevertheless, this novel hypothesis had not been evidenced until 1982, when prusiner and coworkers purified. In this report, we review the neuropathology and the neuroinflammation of animal prion diseases in natural hosts from. The prion, a conformational variant of a host protein, is the infectious particle. Veal Brain Prion.
From www.researchgate.net
Neuropathological features of prion disease in mice. Brains from Veal Brain Prion Prion diseases are neurodegenerative conditions that cause extensive damage to nerve cells within the brain and can be fatal. Scientists at niaid’s rocky mountain laboratories in hamilton,. The prions can remain infectious in the environment for years. Prion disease (sometimes called transmissible spongiform encephalopathy) causes brain damage that leads to dementia. Progressive deposition of prions in the brain leads to. Veal Brain Prion.
From www.zmescience.com
What are prions the confusing protein Veal Brain Prion Progressive deposition of prions in the brain leads to fatal spongiform encephalopathies, which manifest as synaptic. Prion disease (sometimes called transmissible spongiform encephalopathy) causes brain damage that leads to dementia. Prion diseases are neurodegenerative conditions that cause extensive damage to nerve cells within the brain and can be fatal. Nevertheless, this novel hypothesis had not been evidenced until 1982, when. Veal Brain Prion.
From ucscsciencenotes.com
prion brain draft 3 UCSC Science Notes Veal Brain Prion The prions can remain infectious in the environment for years. Scientists at niaid’s rocky mountain laboratories in hamilton,. Nevertheless, this novel hypothesis had not been evidenced until 1982, when prusiner and coworkers purified. Prion disease (sometimes called transmissible spongiform encephalopathy) causes brain damage that leads to dementia. Prion diseases are neurodegenerative conditions that cause extensive damage to nerve cells within. Veal Brain Prion.
From gizmodo.com
Prion Disease Can Lurk in Your Brain for 30 Years Before Quickly Veal Brain Prion Scientists at niaid’s rocky mountain laboratories in hamilton,. Prion diseases are neurodegenerative conditions that cause extensive damage to nerve cells within the brain and can be fatal. In this report, we review the neuropathology and the neuroinflammation of animal prion diseases in natural hosts from. Nevertheless, this novel hypothesis had not been evidenced until 1982, when prusiner and coworkers purified.. Veal Brain Prion.
From owlcation.com
Prions in the Body and CreutzfeldtJakob Disease (CJD) Facts Owlcation Veal Brain Prion Progressive deposition of prions in the brain leads to fatal spongiform encephalopathies, which manifest as synaptic. Prion diseases are neurodegenerative conditions that cause extensive damage to nerve cells within the brain and can be fatal. In this report, we review the neuropathology and the neuroinflammation of animal prion diseases in natural hosts from. The prions can remain infectious in the. Veal Brain Prion.
From jnnp.bmj.com
PRION DISEASES Journal of Neurology, Neurosurgery & Psychiatry Veal Brain Prion Prion diseases are neurodegenerative conditions that cause extensive damage to nerve cells within the brain and can be fatal. Nevertheless, this novel hypothesis had not been evidenced until 1982, when prusiner and coworkers purified. Progressive deposition of prions in the brain leads to fatal spongiform encephalopathies, which manifest as synaptic. Prion disease (sometimes called transmissible spongiform encephalopathy) causes brain damage. Veal Brain Prion.
From www.semanticscholar.org
Figure 1 from Prion protein disease and neuropathology of prion disease Veal Brain Prion Nevertheless, this novel hypothesis had not been evidenced until 1982, when prusiner and coworkers purified. In this report, we review the neuropathology and the neuroinflammation of animal prion diseases in natural hosts from. Scientists at niaid’s rocky mountain laboratories in hamilton,. Prion disease (sometimes called transmissible spongiform encephalopathy) causes brain damage that leads to dementia. The prions can remain infectious. Veal Brain Prion.
From www.livescience.com
Here's How Dangerous, Deadly Prions Spread to the Brain Live Science Veal Brain Prion Nevertheless, this novel hypothesis had not been evidenced until 1982, when prusiner and coworkers purified. The prions can remain infectious in the environment for years. Some prion disease agents accumulate first in lymphoid tissues,. In this report, we review the neuropathology and the neuroinflammation of animal prion diseases in natural hosts from. Prion disease (sometimes called transmissible spongiform encephalopathy) causes. Veal Brain Prion.
From onlinelibrary.wiley.com
Imaging of prion diseases Letourneau‐Guillon 2012 Journal of Veal Brain Prion Scientists at niaid’s rocky mountain laboratories in hamilton,. Prion diseases are neurodegenerative conditions that cause extensive damage to nerve cells within the brain and can be fatal. Progressive deposition of prions in the brain leads to fatal spongiform encephalopathies, which manifest as synaptic. The prions can remain infectious in the environment for years. Prion disease (sometimes called transmissible spongiform encephalopathy). Veal Brain Prion.
From learn.genetics.utah.edu
Prions Veal Brain Prion Prion disease (sometimes called transmissible spongiform encephalopathy) causes brain damage that leads to dementia. In this report, we review the neuropathology and the neuroinflammation of animal prion diseases in natural hosts from. Prion diseases are neurodegenerative conditions that cause extensive damage to nerve cells within the brain and can be fatal. The prion, a conformational variant of a host protein,. Veal Brain Prion.
From www.slideserve.com
PPT Virology PowerPoint Presentation, free download ID9161596 Veal Brain Prion Scientists at niaid’s rocky mountain laboratories in hamilton,. Progressive deposition of prions in the brain leads to fatal spongiform encephalopathies, which manifest as synaptic. Some prion disease agents accumulate first in lymphoid tissues,. The prion, a conformational variant of a host protein, is the infectious particle responsible for transmissible spongiform. In this report, we review the neuropathology and the neuroinflammation. Veal Brain Prion.
From www.ucsf.edu
New Type of Prion May Cause, Transmit Neurodegeneration UC San Francisco Veal Brain Prion The prions can remain infectious in the environment for years. Scientists at niaid’s rocky mountain laboratories in hamilton,. In this report, we review the neuropathology and the neuroinflammation of animal prion diseases in natural hosts from. Prion diseases are neurodegenerative conditions that cause extensive damage to nerve cells within the brain and can be fatal. Progressive deposition of prions in. Veal Brain Prion.
From www.cell.com
A Route for Prion Neuroinvasion Neuron Veal Brain Prion Scientists at niaid’s rocky mountain laboratories in hamilton,. The prions can remain infectious in the environment for years. Prion diseases are neurodegenerative conditions that cause extensive damage to nerve cells within the brain and can be fatal. Nevertheless, this novel hypothesis had not been evidenced until 1982, when prusiner and coworkers purified. Progressive deposition of prions in the brain leads. Veal Brain Prion.
From www.brainkart.com
Prions and Disease Veal Brain Prion Nevertheless, this novel hypothesis had not been evidenced until 1982, when prusiner and coworkers purified. Scientists at niaid’s rocky mountain laboratories in hamilton,. Prion disease (sometimes called transmissible spongiform encephalopathy) causes brain damage that leads to dementia. The prions can remain infectious in the environment for years. In this report, we review the neuropathology and the neuroinflammation of animal prion. Veal Brain Prion.
From www.slideserve.com
PPT Prions PowerPoint Presentation, free download ID6709439 Veal Brain Prion Nevertheless, this novel hypothesis had not been evidenced until 1982, when prusiner and coworkers purified. Some prion disease agents accumulate first in lymphoid tissues,. The prions can remain infectious in the environment for years. Scientists at niaid’s rocky mountain laboratories in hamilton,. The prion, a conformational variant of a host protein, is the infectious particle responsible for transmissible spongiform. In. Veal Brain Prion.
From www.thelancet.com
The prion model for progression and diversity of neurodegenerative Veal Brain Prion Progressive deposition of prions in the brain leads to fatal spongiform encephalopathies, which manifest as synaptic. Nevertheless, this novel hypothesis had not been evidenced until 1982, when prusiner and coworkers purified. Prion diseases are neurodegenerative conditions that cause extensive damage to nerve cells within the brain and can be fatal. The prions can remain infectious in the environment for years.. Veal Brain Prion.
From jamanetwork.com
Human Prion Diseases Molecular and Clinical Aspects Infectious Veal Brain Prion Prion disease (sometimes called transmissible spongiform encephalopathy) causes brain damage that leads to dementia. In this report, we review the neuropathology and the neuroinflammation of animal prion diseases in natural hosts from. Progressive deposition of prions in the brain leads to fatal spongiform encephalopathies, which manifest as synaptic. The prion, a conformational variant of a host protein, is the infectious. Veal Brain Prion.
From pixels.com
Prion Causing Cjd On Ct Scan Of Brain Photograph by Alfred Pasieka Veal Brain Prion Prion diseases are neurodegenerative conditions that cause extensive damage to nerve cells within the brain and can be fatal. Progressive deposition of prions in the brain leads to fatal spongiform encephalopathies, which manifest as synaptic. Nevertheless, this novel hypothesis had not been evidenced until 1982, when prusiner and coworkers purified. The prion, a conformational variant of a host protein, is. Veal Brain Prion.
From www.researchgate.net
CD44 expression is upregulation in the brain during prion disease Veal Brain Prion The prion, a conformational variant of a host protein, is the infectious particle responsible for transmissible spongiform. Some prion disease agents accumulate first in lymphoid tissues,. Nevertheless, this novel hypothesis had not been evidenced until 1982, when prusiner and coworkers purified. The prions can remain infectious in the environment for years. Progressive deposition of prions in the brain leads to. Veal Brain Prion.
From onlinelibrary.wiley.com
Imaging of prion diseases Letourneau‐Guillon 2012 Journal of Veal Brain Prion Nevertheless, this novel hypothesis had not been evidenced until 1982, when prusiner and coworkers purified. Prion diseases are neurodegenerative conditions that cause extensive damage to nerve cells within the brain and can be fatal. Scientists at niaid’s rocky mountain laboratories in hamilton,. In this report, we review the neuropathology and the neuroinflammation of animal prion diseases in natural hosts from.. Veal Brain Prion.
From medicalxpress.com
The flexible tail of the prion protein poisons brain cells Veal Brain Prion The prion, a conformational variant of a host protein, is the infectious particle responsible for transmissible spongiform. Prion diseases are neurodegenerative conditions that cause extensive damage to nerve cells within the brain and can be fatal. Scientists at niaid’s rocky mountain laboratories in hamilton,. The prions can remain infectious in the environment for years. Prion disease (sometimes called transmissible spongiform. Veal Brain Prion.
From scitechdaily.com
How Toxic Aggregates Form and Kill Brain Cells in Prion Diseases Veal Brain Prion The prions can remain infectious in the environment for years. Prion diseases are neurodegenerative conditions that cause extensive damage to nerve cells within the brain and can be fatal. Prion disease (sometimes called transmissible spongiform encephalopathy) causes brain damage that leads to dementia. The prion, a conformational variant of a host protein, is the infectious particle responsible for transmissible spongiform.. Veal Brain Prion.
From www.researchgate.net
Prion replication in host tissue by Prion protein directs the Veal Brain Prion In this report, we review the neuropathology and the neuroinflammation of animal prion diseases in natural hosts from. Progressive deposition of prions in the brain leads to fatal spongiform encephalopathies, which manifest as synaptic. The prion, a conformational variant of a host protein, is the infectious particle responsible for transmissible spongiform. The prions can remain infectious in the environment for. Veal Brain Prion.
From www.pnas.org
Single treatment with RNAi against prion protein rescues early neuronal Veal Brain Prion The prion, a conformational variant of a host protein, is the infectious particle responsible for transmissible spongiform. Some prion disease agents accumulate first in lymphoid tissues,. The prions can remain infectious in the environment for years. Scientists at niaid’s rocky mountain laboratories in hamilton,. In this report, we review the neuropathology and the neuroinflammation of animal prion diseases in natural. Veal Brain Prion.