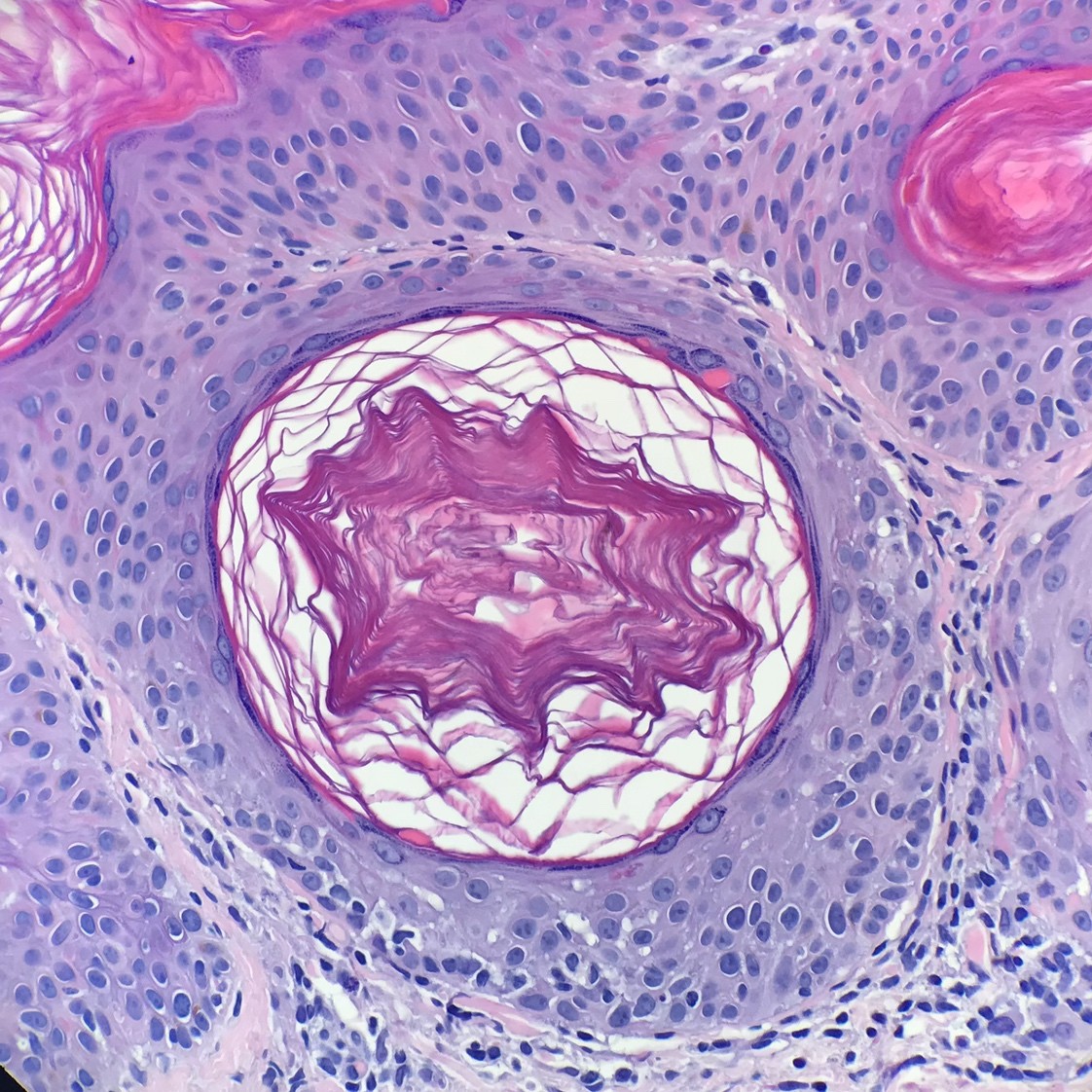
Horn Pseudocyst Definition . Yellowing of the skin and eyes (jaundice) fluid buildup in the abdominal cavity. Seborrheic keratosis consists of a proliferation of basaloid epithelial cells leading to a thickened epidermis with keratin horn cysts and bland. Pseudo horn cysts results from sectioning of a markedly papillomatous skin. A pseudocyst is an abnormal collection of tissues and fluids that often develops as a result of leakage from an organ such as the adrenal glands, spleen or. So i made a video to explain. True horn cysts represent foci of orthokeratosis within the substance of the lesion, by. If you have any of these. Keratin pearl (scc) vs horn pseudocyst (sk) video medical students and junior residents often struggle to tell these two swirly keratin aggregates apart. A tender mass in the abdomen.
from www.semanticscholar.org
A pseudocyst is an abnormal collection of tissues and fluids that often develops as a result of leakage from an organ such as the adrenal glands, spleen or. A tender mass in the abdomen. True horn cysts represent foci of orthokeratosis within the substance of the lesion, by. Keratin pearl (scc) vs horn pseudocyst (sk) video medical students and junior residents often struggle to tell these two swirly keratin aggregates apart. Pseudo horn cysts results from sectioning of a markedly papillomatous skin. So i made a video to explain. If you have any of these. Yellowing of the skin and eyes (jaundice) fluid buildup in the abdominal cavity. Seborrheic keratosis consists of a proliferation of basaloid epithelial cells leading to a thickened epidermis with keratin horn cysts and bland.
Figure 2 from Endoscopic resolution of pseudocyst infection and
Horn Pseudocyst Definition A tender mass in the abdomen. True horn cysts represent foci of orthokeratosis within the substance of the lesion, by. A tender mass in the abdomen. Yellowing of the skin and eyes (jaundice) fluid buildup in the abdominal cavity. Seborrheic keratosis consists of a proliferation of basaloid epithelial cells leading to a thickened epidermis with keratin horn cysts and bland. A pseudocyst is an abnormal collection of tissues and fluids that often develops as a result of leakage from an organ such as the adrenal glands, spleen or. If you have any of these. So i made a video to explain. Keratin pearl (scc) vs horn pseudocyst (sk) video medical students and junior residents often struggle to tell these two swirly keratin aggregates apart. Pseudo horn cysts results from sectioning of a markedly papillomatous skin.
From www.lecturio.com
Seborrheic Keratosis Concise Medical Knowledge Horn Pseudocyst Definition Yellowing of the skin and eyes (jaundice) fluid buildup in the abdominal cavity. Seborrheic keratosis consists of a proliferation of basaloid epithelial cells leading to a thickened epidermis with keratin horn cysts and bland. Keratin pearl (scc) vs horn pseudocyst (sk) video medical students and junior residents often struggle to tell these two swirly keratin aggregates apart. A tender mass. Horn Pseudocyst Definition.
From thefetus.net
📃 Idiopathic subependymal pseudocyst Horn Pseudocyst Definition A pseudocyst is an abnormal collection of tissues and fluids that often develops as a result of leakage from an organ such as the adrenal glands, spleen or. Pseudo horn cysts results from sectioning of a markedly papillomatous skin. True horn cysts represent foci of orthokeratosis within the substance of the lesion, by. So i made a video to explain.. Horn Pseudocyst Definition.
From www.researchgate.net
Percutaneous transhepatic pseudocyst drainage. Download Scientific Horn Pseudocyst Definition Keratin pearl (scc) vs horn pseudocyst (sk) video medical students and junior residents often struggle to tell these two swirly keratin aggregates apart. Pseudo horn cysts results from sectioning of a markedly papillomatous skin. Seborrheic keratosis consists of a proliferation of basaloid epithelial cells leading to a thickened epidermis with keratin horn cysts and bland. So i made a video. Horn Pseudocyst Definition.
From www.semanticscholar.org
Figure 3 from MALIGNANT BRANCH DUCT INTRADUCTAL PAPILLARY MUCINOUS Horn Pseudocyst Definition Pseudo horn cysts results from sectioning of a markedly papillomatous skin. A pseudocyst is an abnormal collection of tissues and fluids that often develops as a result of leakage from an organ such as the adrenal glands, spleen or. A tender mass in the abdomen. Seborrheic keratosis consists of a proliferation of basaloid epithelial cells leading to a thickened epidermis. Horn Pseudocyst Definition.
From www.semanticscholar.org
Figure 2 from Noninvasive MR Demonstration of the Fistula between Horn Pseudocyst Definition If you have any of these. Yellowing of the skin and eyes (jaundice) fluid buildup in the abdominal cavity. True horn cysts represent foci of orthokeratosis within the substance of the lesion, by. Keratin pearl (scc) vs horn pseudocyst (sk) video medical students and junior residents often struggle to tell these two swirly keratin aggregates apart. A tender mass in. Horn Pseudocyst Definition.
From fyodxnldl.blob.core.windows.net
Horn Tubule Definition at Matthew Perry blog Horn Pseudocyst Definition Yellowing of the skin and eyes (jaundice) fluid buildup in the abdominal cavity. Pseudo horn cysts results from sectioning of a markedly papillomatous skin. True horn cysts represent foci of orthokeratosis within the substance of the lesion, by. So i made a video to explain. A pseudocyst is an abnormal collection of tissues and fluids that often develops as a. Horn Pseudocyst Definition.
From kikoxp.com
Keratin Pearl (SCC) vs Horn Pseudocyst (SK) video KiKo XP Horn Pseudocyst Definition Pseudo horn cysts results from sectioning of a markedly papillomatous skin. If you have any of these. So i made a video to explain. True horn cysts represent foci of orthokeratosis within the substance of the lesion, by. Seborrheic keratosis consists of a proliferation of basaloid epithelial cells leading to a thickened epidermis with keratin horn cysts and bland. Yellowing. Horn Pseudocyst Definition.
From www.mdpi.com
JCM Free FullText Maxillary Antral Pseudocyst Drift after Horn Pseudocyst Definition Pseudo horn cysts results from sectioning of a markedly papillomatous skin. A pseudocyst is an abnormal collection of tissues and fluids that often develops as a result of leakage from an organ such as the adrenal glands, spleen or. If you have any of these. Seborrheic keratosis consists of a proliferation of basaloid epithelial cells leading to a thickened epidermis. Horn Pseudocyst Definition.
From www.researchgate.net
Antral pseudocyst. Details of the nonkeratinized stratified squamous Horn Pseudocyst Definition Seborrheic keratosis consists of a proliferation of basaloid epithelial cells leading to a thickened epidermis with keratin horn cysts and bland. Pseudo horn cysts results from sectioning of a markedly papillomatous skin. A tender mass in the abdomen. So i made a video to explain. Yellowing of the skin and eyes (jaundice) fluid buildup in the abdominal cavity. A pseudocyst. Horn Pseudocyst Definition.
From www.semanticscholar.org
Figure 3 from Laparoscopic excision of a retroperitoneal pseudocyst Horn Pseudocyst Definition Seborrheic keratosis consists of a proliferation of basaloid epithelial cells leading to a thickened epidermis with keratin horn cysts and bland. A pseudocyst is an abnormal collection of tissues and fluids that often develops as a result of leakage from an organ such as the adrenal glands, spleen or. Keratin pearl (scc) vs horn pseudocyst (sk) video medical students and. Horn Pseudocyst Definition.
From journals.sagepub.com
A case report of gastroduodenal artery pseudoaneurysm and giant Horn Pseudocyst Definition Pseudo horn cysts results from sectioning of a markedly papillomatous skin. So i made a video to explain. True horn cysts represent foci of orthokeratosis within the substance of the lesion, by. Seborrheic keratosis consists of a proliferation of basaloid epithelial cells leading to a thickened epidermis with keratin horn cysts and bland. A tender mass in the abdomen. Keratin. Horn Pseudocyst Definition.
From ar.inspiredpencil.com
Pancreatic Pseudocyst Ultrasound Horn Pseudocyst Definition If you have any of these. Yellowing of the skin and eyes (jaundice) fluid buildup in the abdominal cavity. Seborrheic keratosis consists of a proliferation of basaloid epithelial cells leading to a thickened epidermis with keratin horn cysts and bland. Pseudo horn cysts results from sectioning of a markedly papillomatous skin. True horn cysts represent foci of orthokeratosis within the. Horn Pseudocyst Definition.
From www.researchgate.net
Splenectomy specimen including the pseudocyst. Download Scientific Horn Pseudocyst Definition Pseudo horn cysts results from sectioning of a markedly papillomatous skin. A pseudocyst is an abnormal collection of tissues and fluids that often develops as a result of leakage from an organ such as the adrenal glands, spleen or. Yellowing of the skin and eyes (jaundice) fluid buildup in the abdominal cavity. A tender mass in the abdomen. So i. Horn Pseudocyst Definition.
From www.dovemed.com
Pancreatic Pseudocyst Horn Pseudocyst Definition Yellowing of the skin and eyes (jaundice) fluid buildup in the abdominal cavity. A pseudocyst is an abnormal collection of tissues and fluids that often develops as a result of leakage from an organ such as the adrenal glands, spleen or. So i made a video to explain. True horn cysts represent foci of orthokeratosis within the substance of the. Horn Pseudocyst Definition.
From ar.inspiredpencil.com
Pancreatic Pseudocyst Histology Horn Pseudocyst Definition So i made a video to explain. A tender mass in the abdomen. If you have any of these. A pseudocyst is an abnormal collection of tissues and fluids that often develops as a result of leakage from an organ such as the adrenal glands, spleen or. Keratin pearl (scc) vs horn pseudocyst (sk) video medical students and junior residents. Horn Pseudocyst Definition.
From www.researchgate.net
Percutaneous external drainage of pancreatic pseudocyst with pigtail Horn Pseudocyst Definition If you have any of these. Pseudo horn cysts results from sectioning of a markedly papillomatous skin. Keratin pearl (scc) vs horn pseudocyst (sk) video medical students and junior residents often struggle to tell these two swirly keratin aggregates apart. A tender mass in the abdomen. True horn cysts represent foci of orthokeratosis within the substance of the lesion, by.. Horn Pseudocyst Definition.
From thefetus.net
📃 Idiopathic subependymal pseudocyst Horn Pseudocyst Definition If you have any of these. Seborrheic keratosis consists of a proliferation of basaloid epithelial cells leading to a thickened epidermis with keratin horn cysts and bland. Keratin pearl (scc) vs horn pseudocyst (sk) video medical students and junior residents often struggle to tell these two swirly keratin aggregates apart. Yellowing of the skin and eyes (jaundice) fluid buildup in. Horn Pseudocyst Definition.
From ar.inspiredpencil.com
Pancreatic Pseudocyst Histology Horn Pseudocyst Definition A tender mass in the abdomen. Yellowing of the skin and eyes (jaundice) fluid buildup in the abdominal cavity. A pseudocyst is an abnormal collection of tissues and fluids that often develops as a result of leakage from an organ such as the adrenal glands, spleen or. Pseudo horn cysts results from sectioning of a markedly papillomatous skin. Seborrheic keratosis. Horn Pseudocyst Definition.
From ar.inspiredpencil.com
Pancreatic Pseudocyst Histology Horn Pseudocyst Definition Keratin pearl (scc) vs horn pseudocyst (sk) video medical students and junior residents often struggle to tell these two swirly keratin aggregates apart. A tender mass in the abdomen. Seborrheic keratosis consists of a proliferation of basaloid epithelial cells leading to a thickened epidermis with keratin horn cysts and bland. Yellowing of the skin and eyes (jaundice) fluid buildup in. Horn Pseudocyst Definition.
From www.mdpi.com
Diagnostics Free FullText Role of Endoscopic Ultrasound in the Horn Pseudocyst Definition Keratin pearl (scc) vs horn pseudocyst (sk) video medical students and junior residents often struggle to tell these two swirly keratin aggregates apart. A pseudocyst is an abnormal collection of tissues and fluids that often develops as a result of leakage from an organ such as the adrenal glands, spleen or. Yellowing of the skin and eyes (jaundice) fluid buildup. Horn Pseudocyst Definition.
From www.youtube.com
Keratin Pearl (SCC) vs Horn Pseudocyst (SK) (aka "pseudohorn cyst Horn Pseudocyst Definition If you have any of these. Keratin pearl (scc) vs horn pseudocyst (sk) video medical students and junior residents often struggle to tell these two swirly keratin aggregates apart. A tender mass in the abdomen. A pseudocyst is an abnormal collection of tissues and fluids that often develops as a result of leakage from an organ such as the adrenal. Horn Pseudocyst Definition.
From ar.inspiredpencil.com
Pancreatic Pseudocyst Histology Horn Pseudocyst Definition If you have any of these. Yellowing of the skin and eyes (jaundice) fluid buildup in the abdominal cavity. A pseudocyst is an abnormal collection of tissues and fluids that often develops as a result of leakage from an organ such as the adrenal glands, spleen or. Keratin pearl (scc) vs horn pseudocyst (sk) video medical students and junior residents. Horn Pseudocyst Definition.
From radiologykey.com
How to do Pancreatic Pseudocyst Drainage Radiology Key Horn Pseudocyst Definition Pseudo horn cysts results from sectioning of a markedly papillomatous skin. So i made a video to explain. True horn cysts represent foci of orthokeratosis within the substance of the lesion, by. Yellowing of the skin and eyes (jaundice) fluid buildup in the abdominal cavity. A pseudocyst is an abnormal collection of tissues and fluids that often develops as a. Horn Pseudocyst Definition.
From www.mdpi.com
Diagnostics Free FullText Role of Endoscopic Ultrasound in the Horn Pseudocyst Definition So i made a video to explain. If you have any of these. Pseudo horn cysts results from sectioning of a markedly papillomatous skin. A pseudocyst is an abnormal collection of tissues and fluids that often develops as a result of leakage from an organ such as the adrenal glands, spleen or. True horn cysts represent foci of orthokeratosis within. Horn Pseudocyst Definition.
From www.mdpi.com
JCM Free FullText Maxillary Antral Pseudocyst Drift after Horn Pseudocyst Definition True horn cysts represent foci of orthokeratosis within the substance of the lesion, by. A tender mass in the abdomen. Yellowing of the skin and eyes (jaundice) fluid buildup in the abdominal cavity. A pseudocyst is an abnormal collection of tissues and fluids that often develops as a result of leakage from an organ such as the adrenal glands, spleen. Horn Pseudocyst Definition.
From www.semanticscholar.org
Figure 1 from A clinical study of Pancreatic pseudocyst and its Horn Pseudocyst Definition True horn cysts represent foci of orthokeratosis within the substance of the lesion, by. Pseudo horn cysts results from sectioning of a markedly papillomatous skin. So i made a video to explain. Yellowing of the skin and eyes (jaundice) fluid buildup in the abdominal cavity. A pseudocyst is an abnormal collection of tissues and fluids that often develops as a. Horn Pseudocyst Definition.
From www.ajog.org
Intracranial Cysts American Journal of Obstetrics & Gynecology Horn Pseudocyst Definition Yellowing of the skin and eyes (jaundice) fluid buildup in the abdominal cavity. Pseudo horn cysts results from sectioning of a markedly papillomatous skin. Seborrheic keratosis consists of a proliferation of basaloid epithelial cells leading to a thickened epidermis with keratin horn cysts and bland. True horn cysts represent foci of orthokeratosis within the substance of the lesion, by. A. Horn Pseudocyst Definition.
From surgicalneurologyint.com
Abdominal pseudocyst as a complication of ventriculoperitoneal shunt Horn Pseudocyst Definition A tender mass in the abdomen. True horn cysts represent foci of orthokeratosis within the substance of the lesion, by. So i made a video to explain. A pseudocyst is an abnormal collection of tissues and fluids that often develops as a result of leakage from an organ such as the adrenal glands, spleen or. If you have any of. Horn Pseudocyst Definition.
From www.semanticscholar.org
Figure 2 from Endoscopic resolution of pseudocyst infection and Horn Pseudocyst Definition If you have any of these. So i made a video to explain. Yellowing of the skin and eyes (jaundice) fluid buildup in the abdominal cavity. Pseudo horn cysts results from sectioning of a markedly papillomatous skin. Seborrheic keratosis consists of a proliferation of basaloid epithelial cells leading to a thickened epidermis with keratin horn cysts and bland. True horn. Horn Pseudocyst Definition.
From www.cureus.com
Pancreatic Neuroendocrine Tumor Presenting as a Pseudocyst A Horn Pseudocyst Definition A tender mass in the abdomen. Seborrheic keratosis consists of a proliferation of basaloid epithelial cells leading to a thickened epidermis with keratin horn cysts and bland. True horn cysts represent foci of orthokeratosis within the substance of the lesion, by. So i made a video to explain. Keratin pearl (scc) vs horn pseudocyst (sk) video medical students and junior. Horn Pseudocyst Definition.
From www.vrogue.co
Ppt Imaging Of Pancreatic Cystic Lesions Powerpoint P vrogue.co Horn Pseudocyst Definition If you have any of these. A pseudocyst is an abnormal collection of tissues and fluids that often develops as a result of leakage from an organ such as the adrenal glands, spleen or. Keratin pearl (scc) vs horn pseudocyst (sk) video medical students and junior residents often struggle to tell these two swirly keratin aggregates apart. Yellowing of the. Horn Pseudocyst Definition.
From www.researchgate.net
Patient 3An incidentally diagnosed intramural gastric pseudocyst Horn Pseudocyst Definition Yellowing of the skin and eyes (jaundice) fluid buildup in the abdominal cavity. Seborrheic keratosis consists of a proliferation of basaloid epithelial cells leading to a thickened epidermis with keratin horn cysts and bland. Pseudo horn cysts results from sectioning of a markedly papillomatous skin. A tender mass in the abdomen. So i made a video to explain. If you. Horn Pseudocyst Definition.
From www.wjgnet.com
Cerebrospinal fluid liver pseudocyst A bizarre longterm complication Horn Pseudocyst Definition Pseudo horn cysts results from sectioning of a markedly papillomatous skin. True horn cysts represent foci of orthokeratosis within the substance of the lesion, by. Keratin pearl (scc) vs horn pseudocyst (sk) video medical students and junior residents often struggle to tell these two swirly keratin aggregates apart. Seborrheic keratosis consists of a proliferation of basaloid epithelial cells leading to. Horn Pseudocyst Definition.
From www.researchgate.net
Percutaneous drainage of pancreatic pseudocyst under CT guidance Horn Pseudocyst Definition If you have any of these. A tender mass in the abdomen. Keratin pearl (scc) vs horn pseudocyst (sk) video medical students and junior residents often struggle to tell these two swirly keratin aggregates apart. A pseudocyst is an abnormal collection of tissues and fluids that often develops as a result of leakage from an organ such as the adrenal. Horn Pseudocyst Definition.
From kikoxp.com
Horn pseudocyst in a seborrheic keratosis KiKo XP Horn Pseudocyst Definition A tender mass in the abdomen. True horn cysts represent foci of orthokeratosis within the substance of the lesion, by. If you have any of these. Yellowing of the skin and eyes (jaundice) fluid buildup in the abdominal cavity. Pseudo horn cysts results from sectioning of a markedly papillomatous skin. Seborrheic keratosis consists of a proliferation of basaloid epithelial cells. Horn Pseudocyst Definition.