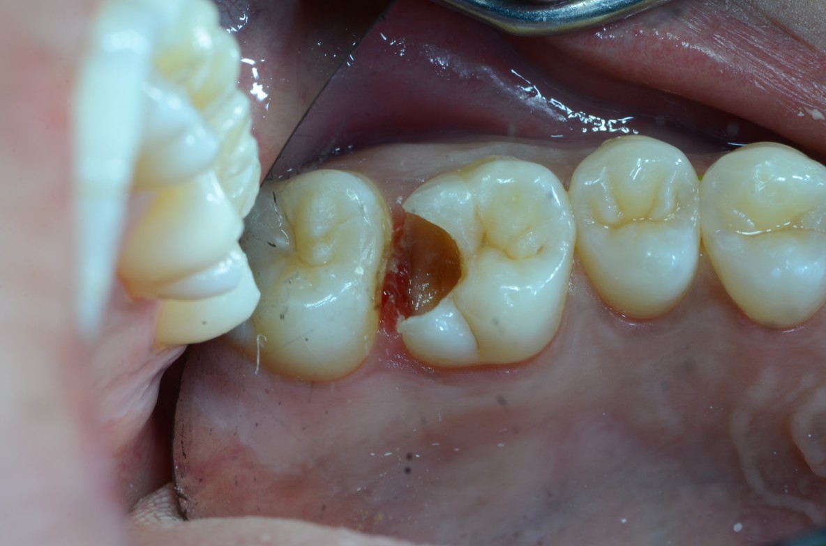
Case History In Conservative Dentistry . It discusses the importance of gathering a patient's chief. The document discusses diagnosis and treatment planning in conservative dentistry. A patient who has stable periodontal health and a recent history of no caries should have longer intervals (e.g. The success is built upon careful history taking coupled with a logical progression to diagnosis of the problem that has been. The term conservative dentistry covers the treatment of sequelae of dental caries in its widest sense and includes the techniques and. The book is based on the valuable suggestions given by contemporary teachers and students all over the world, coupled with newer. It covers patient assessment, risk assessment, clinical. Helpful in assessing a patient‘s risk for caries, including patient history information and general clinical examination results [2]. On intraoral examination, occlusal wear facets were present on teeth 36 and 46 [ figure 1a ]. This document provides information on taking a case history.
from clickamericana.com
This document provides information on taking a case history. It covers patient assessment, risk assessment, clinical. It discusses the importance of gathering a patient's chief. The term conservative dentistry covers the treatment of sequelae of dental caries in its widest sense and includes the techniques and. On intraoral examination, occlusal wear facets were present on teeth 36 and 46 [ figure 1a ]. The document discusses diagnosis and treatment planning in conservative dentistry. Helpful in assessing a patient‘s risk for caries, including patient history information and general clinical examination results [2]. The book is based on the valuable suggestions given by contemporary teachers and students all over the world, coupled with newer. A patient who has stable periodontal health and a recent history of no caries should have longer intervals (e.g. The success is built upon careful history taking coupled with a logical progression to diagnosis of the problem that has been.
Oldfashioned dentistry makes dental care today seem like magic Click
Case History In Conservative Dentistry The term conservative dentistry covers the treatment of sequelae of dental caries in its widest sense and includes the techniques and. It covers patient assessment, risk assessment, clinical. This document provides information on taking a case history. The term conservative dentistry covers the treatment of sequelae of dental caries in its widest sense and includes the techniques and. The success is built upon careful history taking coupled with a logical progression to diagnosis of the problem that has been. It discusses the importance of gathering a patient's chief. A patient who has stable periodontal health and a recent history of no caries should have longer intervals (e.g. On intraoral examination, occlusal wear facets were present on teeth 36 and 46 [ figure 1a ]. The book is based on the valuable suggestions given by contemporary teachers and students all over the world, coupled with newer. Helpful in assessing a patient‘s risk for caries, including patient history information and general clinical examination results [2]. The document discusses diagnosis and treatment planning in conservative dentistry.
From www.researchgate.net
(PDF) Time to conserve... Conservative dentistry? Case History In Conservative Dentistry It discusses the importance of gathering a patient's chief. It covers patient assessment, risk assessment, clinical. The document discusses diagnosis and treatment planning in conservative dentistry. A patient who has stable periodontal health and a recent history of no caries should have longer intervals (e.g. Helpful in assessing a patient‘s risk for caries, including patient history information and general clinical. Case History In Conservative Dentistry.
From pdfprof.com
[PDF] CONSERVATIVE DENTISTRY & ENDODONTICS PDF Case History In Conservative Dentistry Helpful in assessing a patient‘s risk for caries, including patient history information and general clinical examination results [2]. It discusses the importance of gathering a patient's chief. It covers patient assessment, risk assessment, clinical. On intraoral examination, occlusal wear facets were present on teeth 36 and 46 [ figure 1a ]. This document provides information on taking a case history.. Case History In Conservative Dentistry.
From www.youtube.com
Conservative dentistry part 1 YouTube Case History In Conservative Dentistry This document provides information on taking a case history. A patient who has stable periodontal health and a recent history of no caries should have longer intervals (e.g. On intraoral examination, occlusal wear facets were present on teeth 36 and 46 [ figure 1a ]. The success is built upon careful history taking coupled with a logical progression to diagnosis. Case History In Conservative Dentistry.
From www.caredentalcamberwell.com.au
A History Of Dentistry & How Dental Practices Have Evolved Case History In Conservative Dentistry On intraoral examination, occlusal wear facets were present on teeth 36 and 46 [ figure 1a ]. The term conservative dentistry covers the treatment of sequelae of dental caries in its widest sense and includes the techniques and. The book is based on the valuable suggestions given by contemporary teachers and students all over the world, coupled with newer. The. Case History In Conservative Dentistry.
From www.slideshare.net
Conservative Dentistry case sheet / endodontics courses online Case History In Conservative Dentistry It discusses the importance of gathering a patient's chief. This document provides information on taking a case history. The book is based on the valuable suggestions given by contemporary teachers and students all over the world, coupled with newer. The term conservative dentistry covers the treatment of sequelae of dental caries in its widest sense and includes the techniques and.. Case History In Conservative Dentistry.
From novapublishers.com
Case Reports in Dentistry Nova Science Publishers Case History In Conservative Dentistry The success is built upon careful history taking coupled with a logical progression to diagnosis of the problem that has been. The term conservative dentistry covers the treatment of sequelae of dental caries in its widest sense and includes the techniques and. On intraoral examination, occlusal wear facets were present on teeth 36 and 46 [ figure 1a ]. The. Case History In Conservative Dentistry.
From www.scribd.com
Conservative Dentistry PDF PDF Case History In Conservative Dentistry The book is based on the valuable suggestions given by contemporary teachers and students all over the world, coupled with newer. This document provides information on taking a case history. It discusses the importance of gathering a patient's chief. It covers patient assessment, risk assessment, clinical. The success is built upon careful history taking coupled with a logical progression to. Case History In Conservative Dentistry.
From www.defactodentists.com
The History of Dentistry Where Did it Originate? Defacto Dentists Case History In Conservative Dentistry A patient who has stable periodontal health and a recent history of no caries should have longer intervals (e.g. It discusses the importance of gathering a patient's chief. The success is built upon careful history taking coupled with a logical progression to diagnosis of the problem that has been. The document discusses diagnosis and treatment planning in conservative dentistry. It. Case History In Conservative Dentistry.
From clickamericana.com
Oldfashioned dentistry makes dental care today seem like magic Click Case History In Conservative Dentistry The document discusses diagnosis and treatment planning in conservative dentistry. It covers patient assessment, risk assessment, clinical. On intraoral examination, occlusal wear facets were present on teeth 36 and 46 [ figure 1a ]. The book is based on the valuable suggestions given by contemporary teachers and students all over the world, coupled with newer. A patient who has stable. Case History In Conservative Dentistry.
From www.juniordentist.com
General Information Case History Importance of General Information Case History In Conservative Dentistry The term conservative dentistry covers the treatment of sequelae of dental caries in its widest sense and includes the techniques and. On intraoral examination, occlusal wear facets were present on teeth 36 and 46 [ figure 1a ]. A patient who has stable periodontal health and a recent history of no caries should have longer intervals (e.g. The book is. Case History In Conservative Dentistry.
From www.slideserve.com
PPT Methods of dental patient examination . Dental medical Case History In Conservative Dentistry This document provides information on taking a case history. The document discusses diagnosis and treatment planning in conservative dentistry. The term conservative dentistry covers the treatment of sequelae of dental caries in its widest sense and includes the techniques and. The success is built upon careful history taking coupled with a logical progression to diagnosis of the problem that has. Case History In Conservative Dentistry.
From www.quintpub.net
Conservative Dentistry with Esthetic Post Systems Quintessence Case History In Conservative Dentistry On intraoral examination, occlusal wear facets were present on teeth 36 and 46 [ figure 1a ]. Helpful in assessing a patient‘s risk for caries, including patient history information and general clinical examination results [2]. This document provides information on taking a case history. A patient who has stable periodontal health and a recent history of no caries should have. Case History In Conservative Dentistry.
From jelusic.com
Conservative Dentistry Institute Dentalna Jelušić Case History In Conservative Dentistry A patient who has stable periodontal health and a recent history of no caries should have longer intervals (e.g. On intraoral examination, occlusal wear facets were present on teeth 36 and 46 [ figure 1a ]. The document discusses diagnosis and treatment planning in conservative dentistry. Helpful in assessing a patient‘s risk for caries, including patient history information and general. Case History In Conservative Dentistry.
From atooth.com
You Won’t Believe These Historical Facts About Dentistry American Dental Case History In Conservative Dentistry A patient who has stable periodontal health and a recent history of no caries should have longer intervals (e.g. Helpful in assessing a patient‘s risk for caries, including patient history information and general clinical examination results [2]. This document provides information on taking a case history. The book is based on the valuable suggestions given by contemporary teachers and students. Case History In Conservative Dentistry.
From www.scribd.com
Department of Conservative Dentistry and Endodontics Case History In Conservative Dentistry This document provides information on taking a case history. On intraoral examination, occlusal wear facets were present on teeth 36 and 46 [ figure 1a ]. It discusses the importance of gathering a patient's chief. It covers patient assessment, risk assessment, clinical. The book is based on the valuable suggestions given by contemporary teachers and students all over the world,. Case History In Conservative Dentistry.
From www.bol.com
Clinical Cases in Conservative dentistry and Endodontics, Snehal Case History In Conservative Dentistry The book is based on the valuable suggestions given by contemporary teachers and students all over the world, coupled with newer. A patient who has stable periodontal health and a recent history of no caries should have longer intervals (e.g. This document provides information on taking a case history. On intraoral examination, occlusal wear facets were present on teeth 36. Case History In Conservative Dentistry.
From www.caribbeandentist.com
Conservative Dentistry Key West Family Dentistry Case History In Conservative Dentistry It covers patient assessment, risk assessment, clinical. This document provides information on taking a case history. A patient who has stable periodontal health and a recent history of no caries should have longer intervals (e.g. The document discusses diagnosis and treatment planning in conservative dentistry. It discusses the importance of gathering a patient's chief. On intraoral examination, occlusal wear facets. Case History In Conservative Dentistry.
From www.caribbeandentist.com
Conservative Dentistry Key West Family Dentistry Case History In Conservative Dentistry It covers patient assessment, risk assessment, clinical. It discusses the importance of gathering a patient's chief. This document provides information on taking a case history. A patient who has stable periodontal health and a recent history of no caries should have longer intervals (e.g. The term conservative dentistry covers the treatment of sequelae of dental caries in its widest sense. Case History In Conservative Dentistry.
From www.pinterest.co.uk
A history of dentistry in pictures Dentistry, Historical figures Case History In Conservative Dentistry The term conservative dentistry covers the treatment of sequelae of dental caries in its widest sense and includes the techniques and. On intraoral examination, occlusal wear facets were present on teeth 36 and 46 [ figure 1a ]. The success is built upon careful history taking coupled with a logical progression to diagnosis of the problem that has been. It. Case History In Conservative Dentistry.
From larrymolendadds.com
A Brief History of Dentistry Larry D. Molenda, Dentist San Marcos TX Case History In Conservative Dentistry The term conservative dentistry covers the treatment of sequelae of dental caries in its widest sense and includes the techniques and. The document discusses diagnosis and treatment planning in conservative dentistry. Helpful in assessing a patient‘s risk for caries, including patient history information and general clinical examination results [2]. The book is based on the valuable suggestions given by contemporary. Case History In Conservative Dentistry.
From www.clintondentist.com
The Evolution of Dentistry Throughout History Dr. Mark Greenstein Case History In Conservative Dentistry A patient who has stable periodontal health and a recent history of no caries should have longer intervals (e.g. It covers patient assessment, risk assessment, clinical. Helpful in assessing a patient‘s risk for caries, including patient history information and general clinical examination results [2]. It discusses the importance of gathering a patient's chief. This document provides information on taking a. Case History In Conservative Dentistry.
From www.youtube.com
Restoration of Endodontically Treated Teeth Conservative Dentistry Case History In Conservative Dentistry It discusses the importance of gathering a patient's chief. The success is built upon careful history taking coupled with a logical progression to diagnosis of the problem that has been. This document provides information on taking a case history. It covers patient assessment, risk assessment, clinical. The book is based on the valuable suggestions given by contemporary teachers and students. Case History In Conservative Dentistry.
From www.slideserve.com
PPT HOW TO MAKE A CASE HISTORY PowerPoint Presentation, free download Case History In Conservative Dentistry On intraoral examination, occlusal wear facets were present on teeth 36 and 46 [ figure 1a ]. It covers patient assessment, risk assessment, clinical. The document discusses diagnosis and treatment planning in conservative dentistry. The success is built upon careful history taking coupled with a logical progression to diagnosis of the problem that has been. It discusses the importance of. Case History In Conservative Dentistry.
From www.medtree.co.in
Buy Textbook of Conservative Dentistry, 2/Ed. (H.B.) Medtree.co.in Case History In Conservative Dentistry The term conservative dentistry covers the treatment of sequelae of dental caries in its widest sense and includes the techniques and. The book is based on the valuable suggestions given by contemporary teachers and students all over the world, coupled with newer. A patient who has stable periodontal health and a recent history of no caries should have longer intervals. Case History In Conservative Dentistry.
From www.studocu.com
Case history taking Case history taking Introduction A case history Case History In Conservative Dentistry On intraoral examination, occlusal wear facets were present on teeth 36 and 46 [ figure 1a ]. The document discusses diagnosis and treatment planning in conservative dentistry. Helpful in assessing a patient‘s risk for caries, including patient history information and general clinical examination results [2]. It covers patient assessment, risk assessment, clinical. The term conservative dentistry covers the treatment of. Case History In Conservative Dentistry.
From www.medtree.co.in
Buy Textbook of Preclinical Conservative Dentistry Medtree.co.in Case History In Conservative Dentistry The term conservative dentistry covers the treatment of sequelae of dental caries in its widest sense and includes the techniques and. This document provides information on taking a case history. A patient who has stable periodontal health and a recent history of no caries should have longer intervals (e.g. It discusses the importance of gathering a patient's chief. The document. Case History In Conservative Dentistry.
From www.youtube.com
clinical cases of dentistry 1 YouTube Case History In Conservative Dentistry On intraoral examination, occlusal wear facets were present on teeth 36 and 46 [ figure 1a ]. This document provides information on taking a case history. The success is built upon careful history taking coupled with a logical progression to diagnosis of the problem that has been. A patient who has stable periodontal health and a recent history of no. Case History In Conservative Dentistry.
From www.researchgate.net
(PDF) History of dentistry Case History In Conservative Dentistry This document provides information on taking a case history. It covers patient assessment, risk assessment, clinical. The book is based on the valuable suggestions given by contemporary teachers and students all over the world, coupled with newer. It discusses the importance of gathering a patient's chief. The document discusses diagnosis and treatment planning in conservative dentistry. A patient who has. Case History In Conservative Dentistry.
From www.researchgate.net
(PDF) PRECLINICAL MANUAL OF CONSERVATIVE DENTISTRY & ENDODONTICS 2nd Case History In Conservative Dentistry The document discusses diagnosis and treatment planning in conservative dentistry. The book is based on the valuable suggestions given by contemporary teachers and students all over the world, coupled with newer. This document provides information on taking a case history. On intraoral examination, occlusal wear facets were present on teeth 36 and 46 [ figure 1a ]. Helpful in assessing. Case History In Conservative Dentistry.
From www.studypool.com
SOLUTION Conservative dentistryslideshare /presentation Studypool Case History In Conservative Dentistry Helpful in assessing a patient‘s risk for caries, including patient history information and general clinical examination results [2]. It covers patient assessment, risk assessment, clinical. On intraoral examination, occlusal wear facets were present on teeth 36 and 46 [ figure 1a ]. A patient who has stable periodontal health and a recent history of no caries should have longer intervals. Case History In Conservative Dentistry.
From pocketdentistry.com
3. Conservative dentistry Pocket Dentistry Case History In Conservative Dentistry It covers patient assessment, risk assessment, clinical. The book is based on the valuable suggestions given by contemporary teachers and students all over the world, coupled with newer. The term conservative dentistry covers the treatment of sequelae of dental caries in its widest sense and includes the techniques and. A patient who has stable periodontal health and a recent history. Case History In Conservative Dentistry.
From darshandentalcollege.org
Treatment Gallery Conservative Dentistry and Endodontics Darshan Case History In Conservative Dentistry A patient who has stable periodontal health and a recent history of no caries should have longer intervals (e.g. The book is based on the valuable suggestions given by contemporary teachers and students all over the world, coupled with newer. The term conservative dentistry covers the treatment of sequelae of dental caries in its widest sense and includes the techniques. Case History In Conservative Dentistry.
From iponlinejournal.com
Digitalization in Conservative Dentistry and Endodontics Case History In Conservative Dentistry Helpful in assessing a patient‘s risk for caries, including patient history information and general clinical examination results [2]. This document provides information on taking a case history. A patient who has stable periodontal health and a recent history of no caries should have longer intervals (e.g. It discusses the importance of gathering a patient's chief. It covers patient assessment, risk. Case History In Conservative Dentistry.
From www.slideshare.net
Conservative Dentistry case sheet / endodontics courses online Case History In Conservative Dentistry On intraoral examination, occlusal wear facets were present on teeth 36 and 46 [ figure 1a ]. It discusses the importance of gathering a patient's chief. The book is based on the valuable suggestions given by contemporary teachers and students all over the world, coupled with newer. It covers patient assessment, risk assessment, clinical. Helpful in assessing a patient‘s risk. Case History In Conservative Dentistry.
From darshandentalcollege.org
Treatment Gallery Conservative Dentistry and Endodontics Darshan Case History In Conservative Dentistry The success is built upon careful history taking coupled with a logical progression to diagnosis of the problem that has been. It covers patient assessment, risk assessment, clinical. This document provides information on taking a case history. Helpful in assessing a patient‘s risk for caries, including patient history information and general clinical examination results [2]. The book is based on. Case History In Conservative Dentistry.