Basal Cell Carcinoma Vulva . Basal cell carcinoma (bcc), the commonest skin cancer in humans, is highly. Vulvar cancer is a rare cancer of your vulva. Approximately 2% of bcc affects the vulva, and vulvar bcc is diagnosed in only 8% of. Basal cell carcinoma of vulva (or vulvar basal cell carcinoma or vulvar bcc) is a cancerous tumor affecting the external opening around the. Most cases are related to either. Basal cell carcinoma is a relatively rare vulvar malignancy. Squamous cell carcinoma is the most common histologic type of vulvar cancer, comprising at least 75 percent of cases [2,3]. There are about 6,500 new cases of vulvar cancer in the u.s.
from casereports.bmj.com
Most cases are related to either. Vulvar cancer is a rare cancer of your vulva. Approximately 2% of bcc affects the vulva, and vulvar bcc is diagnosed in only 8% of. Basal cell carcinoma of vulva (or vulvar basal cell carcinoma or vulvar bcc) is a cancerous tumor affecting the external opening around the. Basal cell carcinoma is a relatively rare vulvar malignancy. Squamous cell carcinoma is the most common histologic type of vulvar cancer, comprising at least 75 percent of cases [2,3]. Basal cell carcinoma (bcc), the commonest skin cancer in humans, is highly. There are about 6,500 new cases of vulvar cancer in the u.s.
Giant vulvar basal cell carcinoma BMJ Case Reports
Basal Cell Carcinoma Vulva Basal cell carcinoma is a relatively rare vulvar malignancy. Vulvar cancer is a rare cancer of your vulva. Squamous cell carcinoma is the most common histologic type of vulvar cancer, comprising at least 75 percent of cases [2,3]. Basal cell carcinoma of vulva (or vulvar basal cell carcinoma or vulvar bcc) is a cancerous tumor affecting the external opening around the. There are about 6,500 new cases of vulvar cancer in the u.s. Most cases are related to either. Basal cell carcinoma is a relatively rare vulvar malignancy. Approximately 2% of bcc affects the vulva, and vulvar bcc is diagnosed in only 8% of. Basal cell carcinoma (bcc), the commonest skin cancer in humans, is highly.
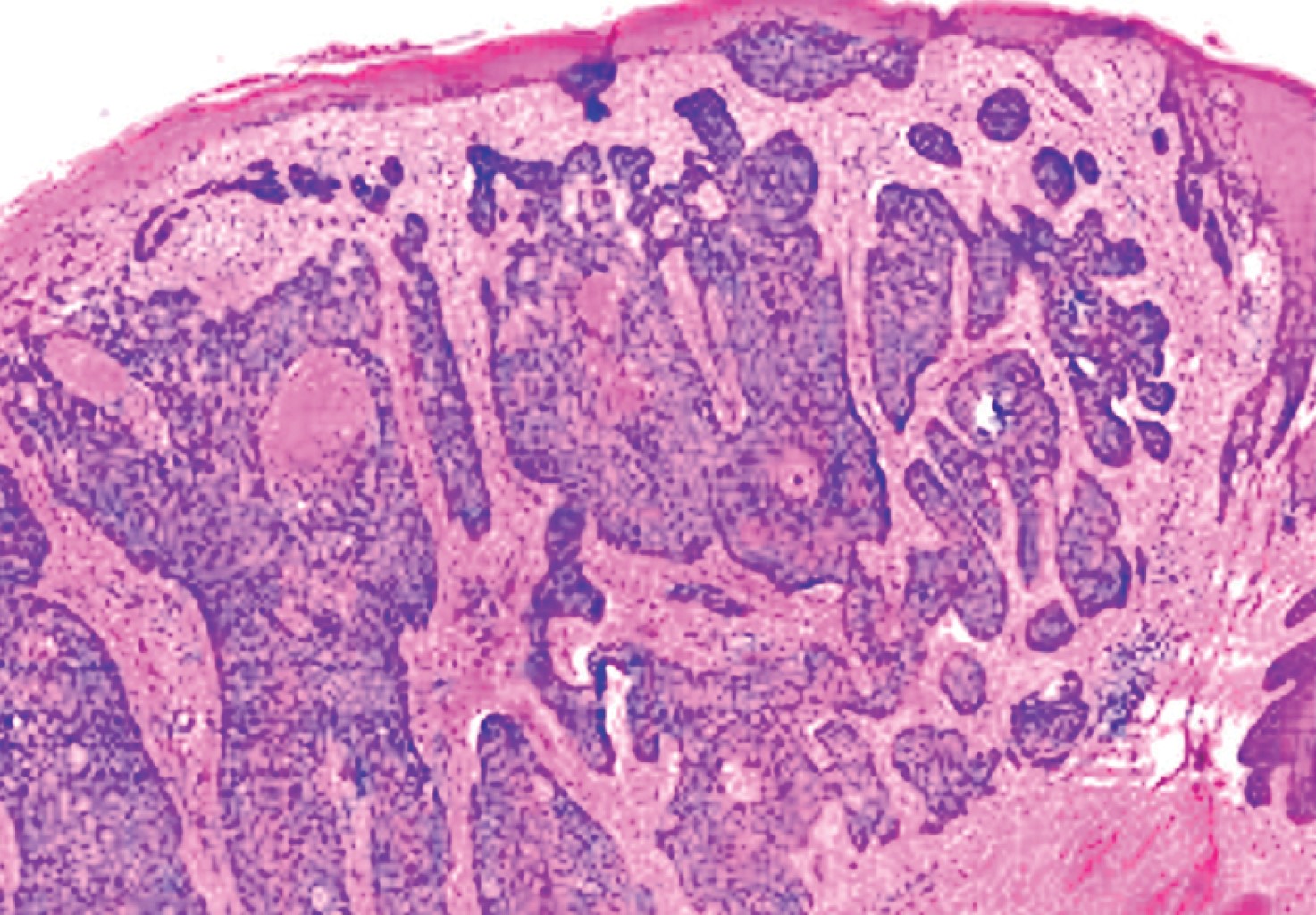
From www.pathologyoutlines.com
Pathology Outlines Basaloid carcinoma Basal Cell Carcinoma Vulva Most cases are related to either. Basal cell carcinoma (bcc), the commonest skin cancer in humans, is highly. Squamous cell carcinoma is the most common histologic type of vulvar cancer, comprising at least 75 percent of cases [2,3]. Basal cell carcinoma of vulva (or vulvar basal cell carcinoma or vulvar bcc) is a cancerous tumor affecting the external opening around. Basal Cell Carcinoma Vulva.
From www.ajog.org
Vulvar basal cell carcinoma in China a 13year review American Basal Cell Carcinoma Vulva Basal cell carcinoma of vulva (or vulvar basal cell carcinoma or vulvar bcc) is a cancerous tumor affecting the external opening around the. Basal cell carcinoma (bcc), the commonest skin cancer in humans, is highly. Most cases are related to either. There are about 6,500 new cases of vulvar cancer in the u.s. Squamous cell carcinoma is the most common. Basal Cell Carcinoma Vulva.
From www.evbid.com
Vulvar Basal Cell Carcinoma Basal Cell Carcinoma Vulva Approximately 2% of bcc affects the vulva, and vulvar bcc is diagnosed in only 8% of. Squamous cell carcinoma is the most common histologic type of vulvar cancer, comprising at least 75 percent of cases [2,3]. Most cases are related to either. There are about 6,500 new cases of vulvar cancer in the u.s. Basal cell carcinoma is a relatively. Basal Cell Carcinoma Vulva.
From www.semanticscholar.org
Figure 2 from Basal cell carcinoma of the vulva case report Semantic Basal Cell Carcinoma Vulva Basal cell carcinoma is a relatively rare vulvar malignancy. Basal cell carcinoma of vulva (or vulvar basal cell carcinoma or vulvar bcc) is a cancerous tumor affecting the external opening around the. Approximately 2% of bcc affects the vulva, and vulvar bcc is diagnosed in only 8% of. Basal cell carcinoma (bcc), the commonest skin cancer in humans, is highly.. Basal Cell Carcinoma Vulva.
From www.semanticscholar.org
Figure 1 from Epidermolytic hyperkeratosis of the vulva associated with Basal Cell Carcinoma Vulva Basal cell carcinoma is a relatively rare vulvar malignancy. Vulvar cancer is a rare cancer of your vulva. There are about 6,500 new cases of vulvar cancer in the u.s. Squamous cell carcinoma is the most common histologic type of vulvar cancer, comprising at least 75 percent of cases [2,3]. Basal cell carcinoma (bcc), the commonest skin cancer in humans,. Basal Cell Carcinoma Vulva.
From www.researchgate.net
(PDF) Two different vulvar pigmented lesions in the same patient Basal Basal Cell Carcinoma Vulva There are about 6,500 new cases of vulvar cancer in the u.s. Most cases are related to either. Approximately 2% of bcc affects the vulva, and vulvar bcc is diagnosed in only 8% of. Basal cell carcinoma is a relatively rare vulvar malignancy. Vulvar cancer is a rare cancer of your vulva. Basal cell carcinoma (bcc), the commonest skin cancer. Basal Cell Carcinoma Vulva.
From www.pathologyoutlines.com
Pathology Outlines Basaloid carcinoma Basal Cell Carcinoma Vulva Basal cell carcinoma (bcc), the commonest skin cancer in humans, is highly. There are about 6,500 new cases of vulvar cancer in the u.s. Basal cell carcinoma of vulva (or vulvar basal cell carcinoma or vulvar bcc) is a cancerous tumor affecting the external opening around the. Approximately 2% of bcc affects the vulva, and vulvar bcc is diagnosed in. Basal Cell Carcinoma Vulva.
From www.semanticscholar.org
Figure 1 from Dermoscopy of Pigmented Vulvar Basal Cell Carcinoma Basal Cell Carcinoma Vulva Most cases are related to either. Vulvar cancer is a rare cancer of your vulva. Approximately 2% of bcc affects the vulva, and vulvar bcc is diagnosed in only 8% of. Squamous cell carcinoma is the most common histologic type of vulvar cancer, comprising at least 75 percent of cases [2,3]. There are about 6,500 new cases of vulvar cancer. Basal Cell Carcinoma Vulva.
From escholarship.org
Extensive pigmented vulvar basalcell carcinoma presenting as pruritus Basal Cell Carcinoma Vulva Approximately 2% of bcc affects the vulva, and vulvar bcc is diagnosed in only 8% of. Most cases are related to either. There are about 6,500 new cases of vulvar cancer in the u.s. Basal cell carcinoma is a relatively rare vulvar malignancy. Basal cell carcinoma of vulva (or vulvar basal cell carcinoma or vulvar bcc) is a cancerous tumor. Basal Cell Carcinoma Vulva.
From obgynkey.com
Other Malignant Vulval Tumours Obgyn Key Basal Cell Carcinoma Vulva Basal cell carcinoma is a relatively rare vulvar malignancy. There are about 6,500 new cases of vulvar cancer in the u.s. Approximately 2% of bcc affects the vulva, and vulvar bcc is diagnosed in only 8% of. Basal cell carcinoma of vulva (or vulvar basal cell carcinoma or vulvar bcc) is a cancerous tumor affecting the external opening around the.. Basal Cell Carcinoma Vulva.
From www.evbid.com
Vulvar Basal Cell Carcinoma Basal Cell Carcinoma Vulva Squamous cell carcinoma is the most common histologic type of vulvar cancer, comprising at least 75 percent of cases [2,3]. Most cases are related to either. Approximately 2% of bcc affects the vulva, and vulvar bcc is diagnosed in only 8% of. Basal cell carcinoma (bcc), the commonest skin cancer in humans, is highly. Basal cell carcinoma of vulva (or. Basal Cell Carcinoma Vulva.
From www.evbid.com
Vulvar Basal Cell Carcinoma Basal Cell Carcinoma Vulva Basal cell carcinoma of vulva (or vulvar basal cell carcinoma or vulvar bcc) is a cancerous tumor affecting the external opening around the. Squamous cell carcinoma is the most common histologic type of vulvar cancer, comprising at least 75 percent of cases [2,3]. Vulvar cancer is a rare cancer of your vulva. Basal cell carcinoma (bcc), the commonest skin cancer. Basal Cell Carcinoma Vulva.
From www.researchgate.net
(PDF) Dermatoscopy in vulvar basal cell carcinoma Basal Cell Carcinoma Vulva Vulvar cancer is a rare cancer of your vulva. Basal cell carcinoma is a relatively rare vulvar malignancy. There are about 6,500 new cases of vulvar cancer in the u.s. Basal cell carcinoma (bcc), the commonest skin cancer in humans, is highly. Squamous cell carcinoma is the most common histologic type of vulvar cancer, comprising at least 75 percent of. Basal Cell Carcinoma Vulva.
From www.pathologyoutlines.com
Pathology Outlines Basal cell carcinoma Basal Cell Carcinoma Vulva Most cases are related to either. Approximately 2% of bcc affects the vulva, and vulvar bcc is diagnosed in only 8% of. Basal cell carcinoma (bcc), the commonest skin cancer in humans, is highly. Vulvar cancer is a rare cancer of your vulva. Squamous cell carcinoma is the most common histologic type of vulvar cancer, comprising at least 75 percent. Basal Cell Carcinoma Vulva.
From www.researchgate.net
(PDF) Basal cell carcinoma of the vulva A rare presentation of a Basal Cell Carcinoma Vulva Most cases are related to either. Basal cell carcinoma is a relatively rare vulvar malignancy. Vulvar cancer is a rare cancer of your vulva. There are about 6,500 new cases of vulvar cancer in the u.s. Basal cell carcinoma of vulva (or vulvar basal cell carcinoma or vulvar bcc) is a cancerous tumor affecting the external opening around the. Basal. Basal Cell Carcinoma Vulva.
From www.pathologyoutlines.com
Pathology Outlines Basal cell carcinoma Basal Cell Carcinoma Vulva Basal cell carcinoma (bcc), the commonest skin cancer in humans, is highly. Most cases are related to either. Squamous cell carcinoma is the most common histologic type of vulvar cancer, comprising at least 75 percent of cases [2,3]. Approximately 2% of bcc affects the vulva, and vulvar bcc is diagnosed in only 8% of. Basal cell carcinoma is a relatively. Basal Cell Carcinoma Vulva.
From www.researchgate.net
(PDF) Basal cell carcinoma of the vulva case report Basal Cell Carcinoma Vulva Basal cell carcinoma of vulva (or vulvar basal cell carcinoma or vulvar bcc) is a cancerous tumor affecting the external opening around the. Basal cell carcinoma (bcc), the commonest skin cancer in humans, is highly. Vulvar cancer is a rare cancer of your vulva. Squamous cell carcinoma is the most common histologic type of vulvar cancer, comprising at least 75. Basal Cell Carcinoma Vulva.
From www.researchgate.net
(PDF) Basal cell carcinoma of the vulva a case report of cutaneous Basal Cell Carcinoma Vulva Basal cell carcinoma is a relatively rare vulvar malignancy. Vulvar cancer is a rare cancer of your vulva. Squamous cell carcinoma is the most common histologic type of vulvar cancer, comprising at least 75 percent of cases [2,3]. Basal cell carcinoma (bcc), the commonest skin cancer in humans, is highly. Most cases are related to either. Approximately 2% of bcc. Basal Cell Carcinoma Vulva.
From www.ajog.org
Vulvar basal cell carcinoma in China a 13year review American Basal Cell Carcinoma Vulva There are about 6,500 new cases of vulvar cancer in the u.s. Basal cell carcinoma of vulva (or vulvar basal cell carcinoma or vulvar bcc) is a cancerous tumor affecting the external opening around the. Vulvar cancer is a rare cancer of your vulva. Most cases are related to either. Squamous cell carcinoma is the most common histologic type of. Basal Cell Carcinoma Vulva.
From www.researchgate.net
(PDF) Vulvar basal cell carcinoma misdiagnosed for 4 years Basal Cell Carcinoma Vulva Most cases are related to either. Basal cell carcinoma of vulva (or vulvar basal cell carcinoma or vulvar bcc) is a cancerous tumor affecting the external opening around the. Approximately 2% of bcc affects the vulva, and vulvar bcc is diagnosed in only 8% of. Basal cell carcinoma is a relatively rare vulvar malignancy. Vulvar cancer is a rare cancer. Basal Cell Carcinoma Vulva.
From medcentral.net
Dermatoscopy in the Diagnosis of Vulvar Basal Cell Carcinoma A Case Basal Cell Carcinoma Vulva Approximately 2% of bcc affects the vulva, and vulvar bcc is diagnosed in only 8% of. Most cases are related to either. Squamous cell carcinoma is the most common histologic type of vulvar cancer, comprising at least 75 percent of cases [2,3]. Basal cell carcinoma of vulva (or vulvar basal cell carcinoma or vulvar bcc) is a cancerous tumor affecting. Basal Cell Carcinoma Vulva.
From www.pathologyoutlines.com
Pathology Outlines Basal cell carcinomavulva Basal Cell Carcinoma Vulva Squamous cell carcinoma is the most common histologic type of vulvar cancer, comprising at least 75 percent of cases [2,3]. There are about 6,500 new cases of vulvar cancer in the u.s. Most cases are related to either. Basal cell carcinoma is a relatively rare vulvar malignancy. Vulvar cancer is a rare cancer of your vulva. Basal cell carcinoma of. Basal Cell Carcinoma Vulva.
From www.pathologyoutlines.com
Pathology Outlines Basal cell carcinoma Basal Cell Carcinoma Vulva There are about 6,500 new cases of vulvar cancer in the u.s. Approximately 2% of bcc affects the vulva, and vulvar bcc is diagnosed in only 8% of. Basal cell carcinoma of vulva (or vulvar basal cell carcinoma or vulvar bcc) is a cancerous tumor affecting the external opening around the. Vulvar cancer is a rare cancer of your vulva.. Basal Cell Carcinoma Vulva.
From www.medigraphic.com
Basal cell carcinoma in the vulvar region. A case of exception Basal Cell Carcinoma Vulva Approximately 2% of bcc affects the vulva, and vulvar bcc is diagnosed in only 8% of. Most cases are related to either. Squamous cell carcinoma is the most common histologic type of vulvar cancer, comprising at least 75 percent of cases [2,3]. Basal cell carcinoma of vulva (or vulvar basal cell carcinoma or vulvar bcc) is a cancerous tumor affecting. Basal Cell Carcinoma Vulva.
From www.dovemed.com
Vulvar Basal Cell Carcinoma Basal Cell Carcinoma Vulva Basal cell carcinoma (bcc), the commonest skin cancer in humans, is highly. Vulvar cancer is a rare cancer of your vulva. Approximately 2% of bcc affects the vulva, and vulvar bcc is diagnosed in only 8% of. Basal cell carcinoma of vulva (or vulvar basal cell carcinoma or vulvar bcc) is a cancerous tumor affecting the external opening around the.. Basal Cell Carcinoma Vulva.
From www.semanticscholar.org
Figure 1 from Vulvar basal cell carcinoma A case report and literature Basal Cell Carcinoma Vulva Vulvar cancer is a rare cancer of your vulva. Basal cell carcinoma is a relatively rare vulvar malignancy. Squamous cell carcinoma is the most common histologic type of vulvar cancer, comprising at least 75 percent of cases [2,3]. Basal cell carcinoma (bcc), the commonest skin cancer in humans, is highly. Most cases are related to either. Basal cell carcinoma of. Basal Cell Carcinoma Vulva.
From www.dovemed.com
Basal Cell Carcinoma of Vulva DoveMed Basal Cell Carcinoma Vulva Approximately 2% of bcc affects the vulva, and vulvar bcc is diagnosed in only 8% of. Basal cell carcinoma is a relatively rare vulvar malignancy. Basal cell carcinoma of vulva (or vulvar basal cell carcinoma or vulvar bcc) is a cancerous tumor affecting the external opening around the. Squamous cell carcinoma is the most common histologic type of vulvar cancer,. Basal Cell Carcinoma Vulva.
From www.semanticscholar.org
Figure 1 from Basal cell carcinoma of the vulva in association with Basal Cell Carcinoma Vulva Approximately 2% of bcc affects the vulva, and vulvar bcc is diagnosed in only 8% of. There are about 6,500 new cases of vulvar cancer in the u.s. Basal cell carcinoma is a relatively rare vulvar malignancy. Vulvar cancer is a rare cancer of your vulva. Basal cell carcinoma (bcc), the commonest skin cancer in humans, is highly. Basal cell. Basal Cell Carcinoma Vulva.
From www.semanticscholar.org
Figure 2 from Epidermolytic hyperkeratosis of the vulva associated with Basal Cell Carcinoma Vulva Basal cell carcinoma is a relatively rare vulvar malignancy. Vulvar cancer is a rare cancer of your vulva. Approximately 2% of bcc affects the vulva, and vulvar bcc is diagnosed in only 8% of. Basal cell carcinoma of vulva (or vulvar basal cell carcinoma or vulvar bcc) is a cancerous tumor affecting the external opening around the. Most cases are. Basal Cell Carcinoma Vulva.
From casereports.bmj.com
Giant vulvar basal cell carcinoma BMJ Case Reports Basal Cell Carcinoma Vulva Basal cell carcinoma is a relatively rare vulvar malignancy. Basal cell carcinoma of vulva (or vulvar basal cell carcinoma or vulvar bcc) is a cancerous tumor affecting the external opening around the. Approximately 2% of bcc affects the vulva, and vulvar bcc is diagnosed in only 8% of. Most cases are related to either. Basal cell carcinoma (bcc), the commonest. Basal Cell Carcinoma Vulva.
From www.semanticscholar.org
Figure 1 from Diagnosing Basal Cell Carcinoma of the Vulva A Case Basal Cell Carcinoma Vulva Basal cell carcinoma (bcc), the commonest skin cancer in humans, is highly. Vulvar cancer is a rare cancer of your vulva. Basal cell carcinoma is a relatively rare vulvar malignancy. Approximately 2% of bcc affects the vulva, and vulvar bcc is diagnosed in only 8% of. Basal cell carcinoma of vulva (or vulvar basal cell carcinoma or vulvar bcc) is. Basal Cell Carcinoma Vulva.
From www.researchgate.net
(PDF) Vulvar basal cell carcinoma, a rare location Basal Cell Carcinoma Vulva Squamous cell carcinoma is the most common histologic type of vulvar cancer, comprising at least 75 percent of cases [2,3]. Approximately 2% of bcc affects the vulva, and vulvar bcc is diagnosed in only 8% of. Basal cell carcinoma is a relatively rare vulvar malignancy. There are about 6,500 new cases of vulvar cancer in the u.s. Basal cell carcinoma. Basal Cell Carcinoma Vulva.
From www.pathologyoutlines.com
Pathology Outlines Basaloid carcinoma Basal Cell Carcinoma Vulva Basal cell carcinoma is a relatively rare vulvar malignancy. Basal cell carcinoma (bcc), the commonest skin cancer in humans, is highly. Most cases are related to either. Squamous cell carcinoma is the most common histologic type of vulvar cancer, comprising at least 75 percent of cases [2,3]. Vulvar cancer is a rare cancer of your vulva. Basal cell carcinoma of. Basal Cell Carcinoma Vulva.
From www.researchgate.net
(PDF) A Rare Case of a Large Basal Cell Carcinoma of the Vulva Basal Cell Carcinoma Vulva Basal cell carcinoma of vulva (or vulvar basal cell carcinoma or vulvar bcc) is a cancerous tumor affecting the external opening around the. There are about 6,500 new cases of vulvar cancer in the u.s. Most cases are related to either. Vulvar cancer is a rare cancer of your vulva. Squamous cell carcinoma is the most common histologic type of. Basal Cell Carcinoma Vulva.
From www.researchgate.net
(PDF) Treatment of vulvar basal cell carcinoma with Slow‐Mohs Basal Cell Carcinoma Vulva There are about 6,500 new cases of vulvar cancer in the u.s. Basal cell carcinoma is a relatively rare vulvar malignancy. Vulvar cancer is a rare cancer of your vulva. Basal cell carcinoma (bcc), the commonest skin cancer in humans, is highly. Squamous cell carcinoma is the most common histologic type of vulvar cancer, comprising at least 75 percent of. Basal Cell Carcinoma Vulva.