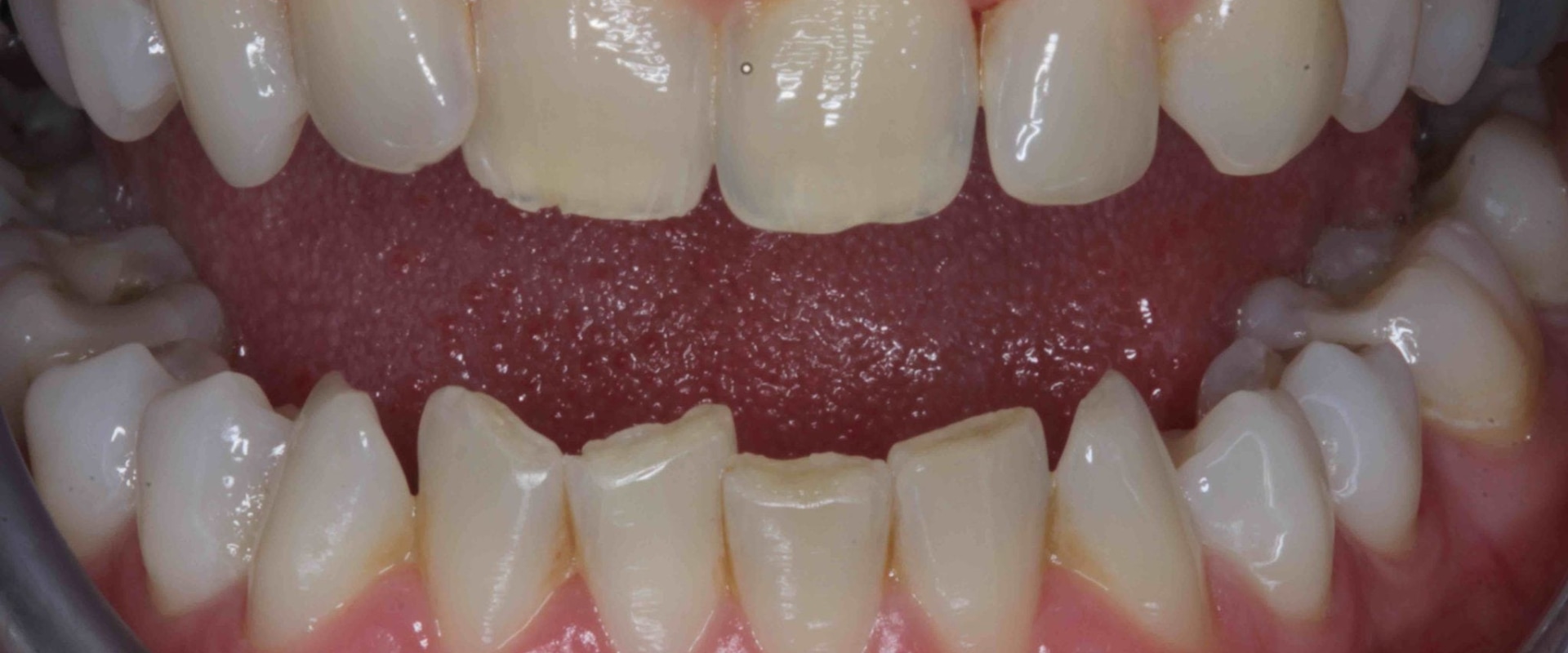
How Long Does A Full Set Of Veneers Take . In this comprehensive guide, we will explore the dental veneers. With proper care and maintenance, you can enjoy your new smile for many years to come. How long does it take to get a full set of veneers fitted in? The length of time it takes to place veneers can vary depending on the number of teeth being treated, but on average, it should take no more than 30 minutes per tooth. You'll need to choose between porcelain and composite veneers, and the decision will depend on your budget, the look you want to achieve, and how long you. Dental veneers are a popular cosmetic dentistry procedure, known for their transformative effects on smiles. 1) how long do veneers last? Immediate/composite veneers are fitted in one sitting, eg about 2. This gives the dental lab. The entire process, from taking impressions to the final placement, usually spans two to three weeks.
from sandiegoinvisaligndentist.org
This gives the dental lab. You'll need to choose between porcelain and composite veneers, and the decision will depend on your budget, the look you want to achieve, and how long you. In this comprehensive guide, we will explore the dental veneers. The length of time it takes to place veneers can vary depending on the number of teeth being treated, but on average, it should take no more than 30 minutes per tooth. How long does it take to get a full set of veneers fitted in? The entire process, from taking impressions to the final placement, usually spans two to three weeks. 1) how long do veneers last? With proper care and maintenance, you can enjoy your new smile for many years to come. Immediate/composite veneers are fitted in one sitting, eg about 2. Dental veneers are a popular cosmetic dentistry procedure, known for their transformative effects on smiles.
How much is a full set of veneers? Dental News Network
How Long Does A Full Set Of Veneers Take In this comprehensive guide, we will explore the dental veneers. Immediate/composite veneers are fitted in one sitting, eg about 2. The entire process, from taking impressions to the final placement, usually spans two to three weeks. How long does it take to get a full set of veneers fitted in? This gives the dental lab. In this comprehensive guide, we will explore the dental veneers. 1) how long do veneers last? With proper care and maintenance, you can enjoy your new smile for many years to come. Dental veneers are a popular cosmetic dentistry procedure, known for their transformative effects on smiles. The length of time it takes to place veneers can vary depending on the number of teeth being treated, but on average, it should take no more than 30 minutes per tooth. You'll need to choose between porcelain and composite veneers, and the decision will depend on your budget, the look you want to achieve, and how long you.
From www.myradental.co.uk
Full Set of Veneers in Turkey How much, Pros and Cons Compare Now How Long Does A Full Set Of Veneers Take With proper care and maintenance, you can enjoy your new smile for many years to come. 1) how long do veneers last? You'll need to choose between porcelain and composite veneers, and the decision will depend on your budget, the look you want to achieve, and how long you. How long does it take to get a full set of. How Long Does A Full Set Of Veneers Take.
From davidfisherdds.com
How long does it take for Porcelain Veneers to recover? How Long Does A Full Set Of Veneers Take The length of time it takes to place veneers can vary depending on the number of teeth being treated, but on average, it should take no more than 30 minutes per tooth. 1) how long do veneers last? The entire process, from taking impressions to the final placement, usually spans two to three weeks. Dental veneers are a popular cosmetic. How Long Does A Full Set Of Veneers Take.
From dentatur.com
How much does a full set of veneers cost in Turkey? Dentatur How Long Does A Full Set Of Veneers Take Immediate/composite veneers are fitted in one sitting, eg about 2. The entire process, from taking impressions to the final placement, usually spans two to three weeks. 1) how long do veneers last? How long does it take to get a full set of veneers fitted in? The length of time it takes to place veneers can vary depending on the. How Long Does A Full Set Of Veneers Take.
From findglob.com
How Much Does a Full Set Of Veneers Cost In Turkey? How Long Does A Full Set Of Veneers Take Immediate/composite veneers are fitted in one sitting, eg about 2. This gives the dental lab. In this comprehensive guide, we will explore the dental veneers. With proper care and maintenance, you can enjoy your new smile for many years to come. You'll need to choose between porcelain and composite veneers, and the decision will depend on your budget, the look. How Long Does A Full Set Of Veneers Take.
From livewell.com
How Much Is A Full Set Of Veneers With Insurance? LiveWell How Long Does A Full Set Of Veneers Take 1) how long do veneers last? Immediate/composite veneers are fitted in one sitting, eg about 2. Dental veneers are a popular cosmetic dentistry procedure, known for their transformative effects on smiles. This gives the dental lab. With proper care and maintenance, you can enjoy your new smile for many years to come. The length of time it takes to place. How Long Does A Full Set Of Veneers Take.
From parmire.com
How much is a full set of veneers cost Turkey? How Long Does A Full Set Of Veneers Take Dental veneers are a popular cosmetic dentistry procedure, known for their transformative effects on smiles. In this comprehensive guide, we will explore the dental veneers. The entire process, from taking impressions to the final placement, usually spans two to three weeks. This gives the dental lab. How long does it take to get a full set of veneers fitted in?. How Long Does A Full Set Of Veneers Take.
From www.myradental.co.uk
Full Set of Veneers in Turkey How much, Pros and Cons Compare Now How Long Does A Full Set Of Veneers Take You'll need to choose between porcelain and composite veneers, and the decision will depend on your budget, the look you want to achieve, and how long you. 1) how long do veneers last? Dental veneers are a popular cosmetic dentistry procedure, known for their transformative effects on smiles. How long does it take to get a full set of veneers. How Long Does A Full Set Of Veneers Take.
From dentistryweb.net
Do dental veneers emit a smell, and in what cases are they needed How Long Does A Full Set Of Veneers Take 1) how long do veneers last? The entire process, from taking impressions to the final placement, usually spans two to three weeks. Dental veneers are a popular cosmetic dentistry procedure, known for their transformative effects on smiles. This gives the dental lab. Immediate/composite veneers are fitted in one sitting, eg about 2. The length of time it takes to place. How Long Does A Full Set Of Veneers Take.
From comparehealthinsurance.online
How Much Does a Full Set of Veneers Cost in Australia? Compare Health How Long Does A Full Set Of Veneers Take Dental veneers are a popular cosmetic dentistry procedure, known for their transformative effects on smiles. The length of time it takes to place veneers can vary depending on the number of teeth being treated, but on average, it should take no more than 30 minutes per tooth. In this comprehensive guide, we will explore the dental veneers. How long does. How Long Does A Full Set Of Veneers Take.
From www.dentaltourismcolombia.com
How Much Is a Full Set of Veneers in Colombia? Dental Tourism Colombia How Long Does A Full Set Of Veneers Take Dental veneers are a popular cosmetic dentistry procedure, known for their transformative effects on smiles. Immediate/composite veneers are fitted in one sitting, eg about 2. How long does it take to get a full set of veneers fitted in? With proper care and maintenance, you can enjoy your new smile for many years to come. 1) how long do veneers. How Long Does A Full Set Of Veneers Take.
From cameron-mathison1837.blogspot.com
does my insurance cover veneers Jamey Paradis How Long Does A Full Set Of Veneers Take Dental veneers are a popular cosmetic dentistry procedure, known for their transformative effects on smiles. The length of time it takes to place veneers can vary depending on the number of teeth being treated, but on average, it should take no more than 30 minutes per tooth. This gives the dental lab. Immediate/composite veneers are fitted in one sitting, eg. How Long Does A Full Set Of Veneers Take.
From medicasmile.com
How much does a full set of veneers cost in Turkey? How Long Does A Full Set Of Veneers Take Immediate/composite veneers are fitted in one sitting, eg about 2. With proper care and maintenance, you can enjoy your new smile for many years to come. In this comprehensive guide, we will explore the dental veneers. How long does it take to get a full set of veneers fitted in? This gives the dental lab. The length of time it. How Long Does A Full Set Of Veneers Take.
From medicasmile.com
How much does a full set of veneers cost in Turkey? Dental Centre In How Long Does A Full Set Of Veneers Take Dental veneers are a popular cosmetic dentistry procedure, known for their transformative effects on smiles. 1) how long do veneers last? You'll need to choose between porcelain and composite veneers, and the decision will depend on your budget, the look you want to achieve, and how long you. The entire process, from taking impressions to the final placement, usually spans. How Long Does A Full Set Of Veneers Take.
From websta.me
Full Set of Veneers Cost Sta.ME How Long Does A Full Set Of Veneers Take 1) how long do veneers last? Immediate/composite veneers are fitted in one sitting, eg about 2. You'll need to choose between porcelain and composite veneers, and the decision will depend on your budget, the look you want to achieve, and how long you. Dental veneers are a popular cosmetic dentistry procedure, known for their transformative effects on smiles. In this. How Long Does A Full Set Of Veneers Take.
From www.digitaljournal.com
Acacia Dental Group Provides Information on How to Determine If Veneers How Long Does A Full Set Of Veneers Take You'll need to choose between porcelain and composite veneers, and the decision will depend on your budget, the look you want to achieve, and how long you. The length of time it takes to place veneers can vary depending on the number of teeth being treated, but on average, it should take no more than 30 minutes per tooth. With. How Long Does A Full Set Of Veneers Take.
From parmire.com
How much is a full set of veneers cost Turkey? How Long Does A Full Set Of Veneers Take How long does it take to get a full set of veneers fitted in? With proper care and maintenance, you can enjoy your new smile for many years to come. You'll need to choose between porcelain and composite veneers, and the decision will depend on your budget, the look you want to achieve, and how long you. The entire process,. How Long Does A Full Set Of Veneers Take.
From www.animalia-life.club
Teeth Veneers Before And After How Long Does A Full Set Of Veneers Take The length of time it takes to place veneers can vary depending on the number of teeth being treated, but on average, it should take no more than 30 minutes per tooth. This gives the dental lab. With proper care and maintenance, you can enjoy your new smile for many years to come. You'll need to choose between porcelain and. How Long Does A Full Set Of Veneers Take.
From sandiegoinvisaligndentist.org
How much is a full set of veneers? Dental News Network How Long Does A Full Set Of Veneers Take 1) how long do veneers last? This gives the dental lab. Immediate/composite veneers are fitted in one sitting, eg about 2. You'll need to choose between porcelain and composite veneers, and the decision will depend on your budget, the look you want to achieve, and how long you. The entire process, from taking impressions to the final placement, usually spans. How Long Does A Full Set Of Veneers Take.
From gcelt.org
How Long Does It Take for Gums to Heal After Veneers? GCELT How Long Does A Full Set Of Veneers Take You'll need to choose between porcelain and composite veneers, and the decision will depend on your budget, the look you want to achieve, and how long you. How long does it take to get a full set of veneers fitted in? With proper care and maintenance, you can enjoy your new smile for many years to come. Dental veneers are. How Long Does A Full Set Of Veneers Take.
From miamiperfectsmile.com
How Much are Full Mouth Veneers Cost in the US? Factors How Long Does A Full Set Of Veneers Take 1) how long do veneers last? This gives the dental lab. In this comprehensive guide, we will explore the dental veneers. The length of time it takes to place veneers can vary depending on the number of teeth being treated, but on average, it should take no more than 30 minutes per tooth. The entire process, from taking impressions to. How Long Does A Full Set Of Veneers Take.
From findglob.com
How Much Does a Full Set Of Veneers Cost In Turkey? How Long Does A Full Set Of Veneers Take You'll need to choose between porcelain and composite veneers, and the decision will depend on your budget, the look you want to achieve, and how long you. With proper care and maintenance, you can enjoy your new smile for many years to come. In this comprehensive guide, we will explore the dental veneers. This gives the dental lab. Dental veneers. How Long Does A Full Set Of Veneers Take.
From www.hurdfamilydental.net
The Perfect Smile Solution Unveiling The Power Of Veneers How Long Does A Full Set Of Veneers Take In this comprehensive guide, we will explore the dental veneers. You'll need to choose between porcelain and composite veneers, and the decision will depend on your budget, the look you want to achieve, and how long you. With proper care and maintenance, you can enjoy your new smile for many years to come. The entire process, from taking impressions to. How Long Does A Full Set Of Veneers Take.
From www.paramountdentalsydney.com.au
Porcelain Veneers Sydney CBD Create A Beautiful Smile — Paramount How Long Does A Full Set Of Veneers Take In this comprehensive guide, we will explore the dental veneers. The length of time it takes to place veneers can vary depending on the number of teeth being treated, but on average, it should take no more than 30 minutes per tooth. The entire process, from taking impressions to the final placement, usually spans two to three weeks. Immediate/composite veneers. How Long Does A Full Set Of Veneers Take.
From 16.16.81.75
How Much Is A Full Set Of Veneers? Esthedental How Long Does A Full Set Of Veneers Take How long does it take to get a full set of veneers fitted in? Dental veneers are a popular cosmetic dentistry procedure, known for their transformative effects on smiles. In this comprehensive guide, we will explore the dental veneers. Immediate/composite veneers are fitted in one sitting, eg about 2. With proper care and maintenance, you can enjoy your new smile. How Long Does A Full Set Of Veneers Take.
From medicasmile.com
How much does a full set of veneers cost in Turkey? How Long Does A Full Set Of Veneers Take With proper care and maintenance, you can enjoy your new smile for many years to come. This gives the dental lab. 1) how long do veneers last? The entire process, from taking impressions to the final placement, usually spans two to three weeks. In this comprehensive guide, we will explore the dental veneers. The length of time it takes to. How Long Does A Full Set Of Veneers Take.
From www.healthtourismantalya.com
Full Set of Veneers and Crowns Dental Clinic Turkey How Long Does A Full Set Of Veneers Take With proper care and maintenance, you can enjoy your new smile for many years to come. You'll need to choose between porcelain and composite veneers, and the decision will depend on your budget, the look you want to achieve, and how long you. 1) how long do veneers last? How long does it take to get a full set of. How Long Does A Full Set Of Veneers Take.
From qhowm.blogspot.com
How Much Does It Cost For A Full Set Of Veneers Uk QHOWM How Long Does A Full Set Of Veneers Take Dental veneers are a popular cosmetic dentistry procedure, known for their transformative effects on smiles. In this comprehensive guide, we will explore the dental veneers. 1) how long do veneers last? The length of time it takes to place veneers can vary depending on the number of teeth being treated, but on average, it should take no more than 30. How Long Does A Full Set Of Veneers Take.
From affinitywpg.ca
Dental Veneers In Winnipeg Affinity Dental Clinic How Long Does A Full Set Of Veneers Take This gives the dental lab. In this comprehensive guide, we will explore the dental veneers. The entire process, from taking impressions to the final placement, usually spans two to three weeks. You'll need to choose between porcelain and composite veneers, and the decision will depend on your budget, the look you want to achieve, and how long you. How long. How Long Does A Full Set Of Veneers Take.
From toothdiary.com
How Much Is a Full Set of Veneers Turkey? ( 2023 Updated ) How Long Does A Full Set Of Veneers Take With proper care and maintenance, you can enjoy your new smile for many years to come. This gives the dental lab. You'll need to choose between porcelain and composite veneers, and the decision will depend on your budget, the look you want to achieve, and how long you. The entire process, from taking impressions to the final placement, usually spans. How Long Does A Full Set Of Veneers Take.
From www.dentistryelf.com
How Many Veneers Are Needed for a Full Set of Teeth? How Long Does A Full Set Of Veneers Take With proper care and maintenance, you can enjoy your new smile for many years to come. How long does it take to get a full set of veneers fitted in? This gives the dental lab. The length of time it takes to place veneers can vary depending on the number of teeth being treated, but on average, it should take. How Long Does A Full Set Of Veneers Take.
From sandiegoinvisaligndentist.org
Are teeth veneers worth it? Dental News Network How Long Does A Full Set Of Veneers Take Immediate/composite veneers are fitted in one sitting, eg about 2. Dental veneers are a popular cosmetic dentistry procedure, known for their transformative effects on smiles. In this comprehensive guide, we will explore the dental veneers. This gives the dental lab. You'll need to choose between porcelain and composite veneers, and the decision will depend on your budget, the look you. How Long Does A Full Set Of Veneers Take.
From dentatur.com
How much does a full set of veneers cost? Turkey How Long Does A Full Set Of Veneers Take With proper care and maintenance, you can enjoy your new smile for many years to come. This gives the dental lab. The length of time it takes to place veneers can vary depending on the number of teeth being treated, but on average, it should take no more than 30 minutes per tooth. Dental veneers are a popular cosmetic dentistry. How Long Does A Full Set Of Veneers Take.
From mavidenta.com
How A Full Set Of Teeth Veneers Cost Turkey 2024 How Long Does A Full Set Of Veneers Take In this comprehensive guide, we will explore the dental veneers. Dental veneers are a popular cosmetic dentistry procedure, known for their transformative effects on smiles. This gives the dental lab. How long does it take to get a full set of veneers fitted in? You'll need to choose between porcelain and composite veneers, and the decision will depend on your. How Long Does A Full Set Of Veneers Take.
From www.healthtourismantalya.com
Full Set of Veneers and Crowns Dental Clinic Turkey How Long Does A Full Set Of Veneers Take Immediate/composite veneers are fitted in one sitting, eg about 2. With proper care and maintenance, you can enjoy your new smile for many years to come. You'll need to choose between porcelain and composite veneers, and the decision will depend on your budget, the look you want to achieve, and how long you. 1) how long do veneers last? The. How Long Does A Full Set Of Veneers Take.
From www.bidorbuy.co.za
Orthodontic Supplies Full Set Teeth Veneers was sold for R75.00 on 5 How Long Does A Full Set Of Veneers Take How long does it take to get a full set of veneers fitted in? This gives the dental lab. You'll need to choose between porcelain and composite veneers, and the decision will depend on your budget, the look you want to achieve, and how long you. The entire process, from taking impressions to the final placement, usually spans two to. How Long Does A Full Set Of Veneers Take.