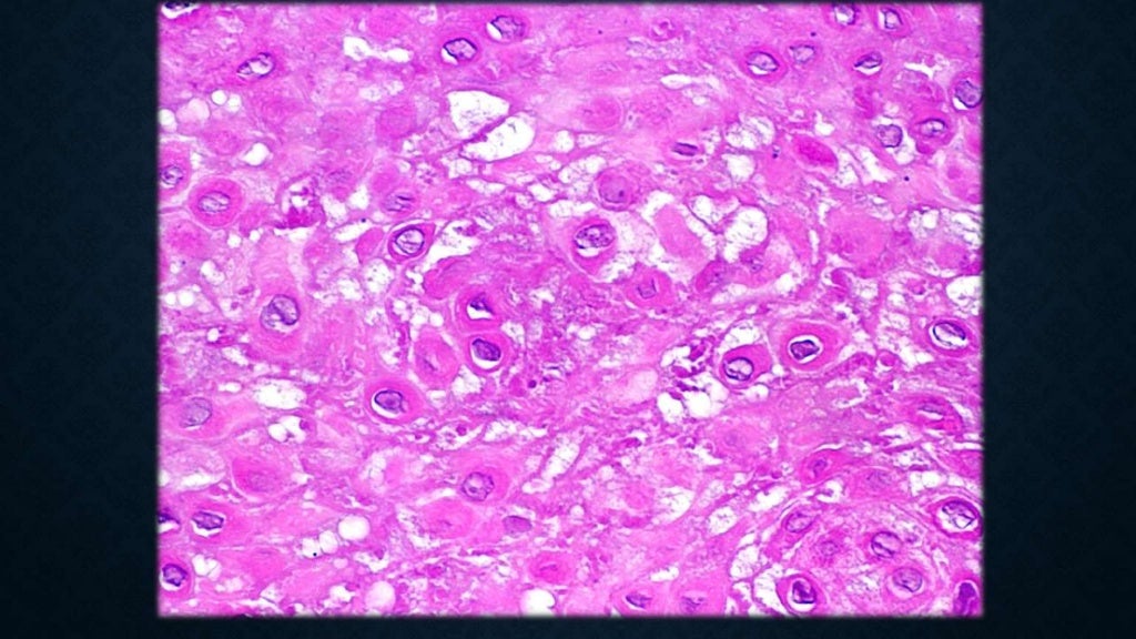
Oral White Sponge Nevus Histology . White sponge nevus (wsn) in the oral mucosa is a rare autosomal dominant genetic disease. The involved mucosa is white or greyish,. The involved mucosa is white or greyish,. The surface of the plaque is thick, folded and may. White sponge nevus (wsn) in the oral mucosa is a rare autosomal dominant genetic disease. White sponge nevus (wsn) is an uncommon, hereditary benign keratinization defect that primarily affects the oral mucosa and occasionally, though rarely, the skin or other mucosal sites, such as the nose, esophagus and White sponge nevus is an autosomal dominant skin disorder characterized by white, irregular, diffuse plaques mainly affecting the oral. Benign keratinization defect leading to white plaques on mucosa. White sponge nevus (wsn) is a rare, autosomal dominant hereditary disorder with a high degree of penetrance and variable expression. Leukoedema and white spongy nevus are two conditions with a similar histologic feature showing hyperparakeratosis, acanthosis, and.
from ar.inspiredpencil.com
Leukoedema and white spongy nevus are two conditions with a similar histologic feature showing hyperparakeratosis, acanthosis, and. The involved mucosa is white or greyish,. White sponge nevus (wsn) in the oral mucosa is a rare autosomal dominant genetic disease. White sponge nevus is an autosomal dominant skin disorder characterized by white, irregular, diffuse plaques mainly affecting the oral. The surface of the plaque is thick, folded and may. White sponge nevus (wsn) in the oral mucosa is a rare autosomal dominant genetic disease. White sponge nevus (wsn) is an uncommon, hereditary benign keratinization defect that primarily affects the oral mucosa and occasionally, though rarely, the skin or other mucosal sites, such as the nose, esophagus and Benign keratinization defect leading to white plaques on mucosa. White sponge nevus (wsn) is a rare, autosomal dominant hereditary disorder with a high degree of penetrance and variable expression. The involved mucosa is white or greyish,.
White Sponge Nevus Histology
Oral White Sponge Nevus Histology White sponge nevus (wsn) is a rare, autosomal dominant hereditary disorder with a high degree of penetrance and variable expression. The surface of the plaque is thick, folded and may. White sponge nevus (wsn) is an uncommon, hereditary benign keratinization defect that primarily affects the oral mucosa and occasionally, though rarely, the skin or other mucosal sites, such as the nose, esophagus and The involved mucosa is white or greyish,. Leukoedema and white spongy nevus are two conditions with a similar histologic feature showing hyperparakeratosis, acanthosis, and. White sponge nevus (wsn) in the oral mucosa is a rare autosomal dominant genetic disease. White sponge nevus (wsn) in the oral mucosa is a rare autosomal dominant genetic disease. The involved mucosa is white or greyish,. White sponge nevus (wsn) is a rare, autosomal dominant hereditary disorder with a high degree of penetrance and variable expression. White sponge nevus is an autosomal dominant skin disorder characterized by white, irregular, diffuse plaques mainly affecting the oral. Benign keratinization defect leading to white plaques on mucosa.
From mungfali.com
Buccal Mucosa Histology Oral White Sponge Nevus Histology White sponge nevus (wsn) is an uncommon, hereditary benign keratinization defect that primarily affects the oral mucosa and occasionally, though rarely, the skin or other mucosal sites, such as the nose, esophagus and Benign keratinization defect leading to white plaques on mucosa. Leukoedema and white spongy nevus are two conditions with a similar histologic feature showing hyperparakeratosis, acanthosis, and. White. Oral White Sponge Nevus Histology.
From casereports.bmj.com
White sponge naevus an oral white lesion BMJ Case Reports Oral White Sponge Nevus Histology White sponge nevus is an autosomal dominant skin disorder characterized by white, irregular, diffuse plaques mainly affecting the oral. White sponge nevus (wsn) is a rare, autosomal dominant hereditary disorder with a high degree of penetrance and variable expression. The surface of the plaque is thick, folded and may. White sponge nevus (wsn) is an uncommon, hereditary benign keratinization defect. Oral White Sponge Nevus Histology.
From www.indiamart.com
White Sponge Nevus Prepared Microscope Slide at Rs 800/piece Oral White Sponge Nevus Histology The surface of the plaque is thick, folded and may. White sponge nevus (wsn) is an uncommon, hereditary benign keratinization defect that primarily affects the oral mucosa and occasionally, though rarely, the skin or other mucosal sites, such as the nose, esophagus and The involved mucosa is white or greyish,. White sponge nevus (wsn) is a rare, autosomal dominant hereditary. Oral White Sponge Nevus Histology.
From ar.inspiredpencil.com
White Sponge Nevus Histology Oral White Sponge Nevus Histology The surface of the plaque is thick, folded and may. Leukoedema and white spongy nevus are two conditions with a similar histologic feature showing hyperparakeratosis, acanthosis, and. White sponge nevus is an autosomal dominant skin disorder characterized by white, irregular, diffuse plaques mainly affecting the oral. The involved mucosa is white or greyish,. White sponge nevus (wsn) is an uncommon,. Oral White Sponge Nevus Histology.
From www.researchgate.net
Clinical presentation and histo pathology. ( A ) White ``spongy'' oral Oral White Sponge Nevus Histology Leukoedema and white spongy nevus are two conditions with a similar histologic feature showing hyperparakeratosis, acanthosis, and. The involved mucosa is white or greyish,. The involved mucosa is white or greyish,. White sponge nevus is an autosomal dominant skin disorder characterized by white, irregular, diffuse plaques mainly affecting the oral. White sponge nevus (wsn) in the oral mucosa is a. Oral White Sponge Nevus Histology.
From www.semanticscholar.org
Figure 1 from Familial case of oral white sponge nevusa rare Oral White Sponge Nevus Histology White sponge nevus is an autosomal dominant skin disorder characterized by white, irregular, diffuse plaques mainly affecting the oral. White sponge nevus (wsn) in the oral mucosa is a rare autosomal dominant genetic disease. The surface of the plaque is thick, folded and may. Leukoedema and white spongy nevus are two conditions with a similar histologic feature showing hyperparakeratosis, acanthosis,. Oral White Sponge Nevus Histology.
From ar.inspiredpencil.com
White Sponge Nevus Histology Oral White Sponge Nevus Histology The involved mucosa is white or greyish,. Benign keratinization defect leading to white plaques on mucosa. White sponge nevus is an autosomal dominant skin disorder characterized by white, irregular, diffuse plaques mainly affecting the oral. White sponge nevus (wsn) in the oral mucosa is a rare autosomal dominant genetic disease. The involved mucosa is white or greyish,. Leukoedema and white. Oral White Sponge Nevus Histology.
From www.mdpi.com
Genes Free FullText White Sponge Nevus Caused by Keratin 4 Gene Oral White Sponge Nevus Histology The involved mucosa is white or greyish,. White sponge nevus is an autosomal dominant skin disorder characterized by white, irregular, diffuse plaques mainly affecting the oral. White sponge nevus (wsn) is an uncommon, hereditary benign keratinization defect that primarily affects the oral mucosa and occasionally, though rarely, the skin or other mucosal sites, such as the nose, esophagus and The. Oral White Sponge Nevus Histology.
From escholarship.org
White sponge nevus in a patient with EEC syndrome Oral White Sponge Nevus Histology The surface of the plaque is thick, folded and may. White sponge nevus (wsn) is an uncommon, hereditary benign keratinization defect that primarily affects the oral mucosa and occasionally, though rarely, the skin or other mucosal sites, such as the nose, esophagus and Leukoedema and white spongy nevus are two conditions with a similar histologic feature showing hyperparakeratosis, acanthosis, and.. Oral White Sponge Nevus Histology.
From ar.inspiredpencil.com
White Sponge Nevus Histology Oral White Sponge Nevus Histology The surface of the plaque is thick, folded and may. The involved mucosa is white or greyish,. White sponge nevus (wsn) is an uncommon, hereditary benign keratinization defect that primarily affects the oral mucosa and occasionally, though rarely, the skin or other mucosal sites, such as the nose, esophagus and White sponge nevus (wsn) in the oral mucosa is a. Oral White Sponge Nevus Histology.
From ar.inspiredpencil.com
White Sponge Nevus Tongue Oral White Sponge Nevus Histology The involved mucosa is white or greyish,. White sponge nevus is an autosomal dominant skin disorder characterized by white, irregular, diffuse plaques mainly affecting the oral. The involved mucosa is white or greyish,. The surface of the plaque is thick, folded and may. White sponge nevus (wsn) is an uncommon, hereditary benign keratinization defect that primarily affects the oral mucosa. Oral White Sponge Nevus Histology.
From eaom.eu
White Sponge Nevus European Association of Oral Medicine Oral White Sponge Nevus Histology White sponge nevus (wsn) in the oral mucosa is a rare autosomal dominant genetic disease. The surface of the plaque is thick, folded and may. Leukoedema and white spongy nevus are two conditions with a similar histologic feature showing hyperparakeratosis, acanthosis, and. Benign keratinization defect leading to white plaques on mucosa. White sponge nevus (wsn) in the oral mucosa is. Oral White Sponge Nevus Histology.
From ar.inspiredpencil.com
White Sponge Nevus Histology Oral White Sponge Nevus Histology White sponge nevus (wsn) is an uncommon, hereditary benign keratinization defect that primarily affects the oral mucosa and occasionally, though rarely, the skin or other mucosal sites, such as the nose, esophagus and White sponge nevus (wsn) in the oral mucosa is a rare autosomal dominant genetic disease. White sponge nevus (wsn) in the oral mucosa is a rare autosomal. Oral White Sponge Nevus Histology.
From www.slideshare.net
White sponge nevus Oral White Sponge Nevus Histology White sponge nevus (wsn) in the oral mucosa is a rare autosomal dominant genetic disease. Leukoedema and white spongy nevus are two conditions with a similar histologic feature showing hyperparakeratosis, acanthosis, and. The surface of the plaque is thick, folded and may. The involved mucosa is white or greyish,. White sponge nevus (wsn) is an uncommon, hereditary benign keratinization defect. Oral White Sponge Nevus Histology.
From www.jomos.org
Two white sponge nevus in a single family case report Journal of Oral White Sponge Nevus Histology The surface of the plaque is thick, folded and may. White sponge nevus (wsn) is a rare, autosomal dominant hereditary disorder with a high degree of penetrance and variable expression. The involved mucosa is white or greyish,. Benign keratinization defect leading to white plaques on mucosa. White sponge nevus (wsn) in the oral mucosa is a rare autosomal dominant genetic. Oral White Sponge Nevus Histology.
From www.oooojournal.net
White sponge nevus report of a threegeneration family Oral Surgery Oral White Sponge Nevus Histology The involved mucosa is white or greyish,. White sponge nevus (wsn) is a rare, autosomal dominant hereditary disorder with a high degree of penetrance and variable expression. Leukoedema and white spongy nevus are two conditions with a similar histologic feature showing hyperparakeratosis, acanthosis, and. The surface of the plaque is thick, folded and may. White sponge nevus (wsn) in the. Oral White Sponge Nevus Histology.
From ar.inspiredpencil.com
White Sponge Nevus Histology Oral White Sponge Nevus Histology The involved mucosa is white or greyish,. White sponge nevus (wsn) in the oral mucosa is a rare autosomal dominant genetic disease. White sponge nevus is an autosomal dominant skin disorder characterized by white, irregular, diffuse plaques mainly affecting the oral. The involved mucosa is white or greyish,. White sponge nevus (wsn) in the oral mucosa is a rare autosomal. Oral White Sponge Nevus Histology.
From dermatology.cdlib.org
White sponge nevus in a patient with EEC syndrome Oral White Sponge Nevus Histology The involved mucosa is white or greyish,. White sponge nevus is an autosomal dominant skin disorder characterized by white, irregular, diffuse plaques mainly affecting the oral. Benign keratinization defect leading to white plaques on mucosa. White sponge nevus (wsn) is a rare, autosomal dominant hereditary disorder with a high degree of penetrance and variable expression. White sponge nevus (wsn) is. Oral White Sponge Nevus Histology.
From ar.inspiredpencil.com
White Sponge Nevus Histology Oral White Sponge Nevus Histology White sponge nevus is an autosomal dominant skin disorder characterized by white, irregular, diffuse plaques mainly affecting the oral. Benign keratinization defect leading to white plaques on mucosa. The involved mucosa is white or greyish,. White sponge nevus (wsn) is a rare, autosomal dominant hereditary disorder with a high degree of penetrance and variable expression. The surface of the plaque. Oral White Sponge Nevus Histology.
From ar.inspiredpencil.com
White Sponge Nevus Gingiva Oral White Sponge Nevus Histology White sponge nevus (wsn) in the oral mucosa is a rare autosomal dominant genetic disease. The involved mucosa is white or greyish,. White sponge nevus (wsn) is a rare, autosomal dominant hereditary disorder with a high degree of penetrance and variable expression. Leukoedema and white spongy nevus are two conditions with a similar histologic feature showing hyperparakeratosis, acanthosis, and. The. Oral White Sponge Nevus Histology.
From www.slideshare.net
White sponge nevus Oral White Sponge Nevus Histology White sponge nevus (wsn) in the oral mucosa is a rare autosomal dominant genetic disease. White sponge nevus (wsn) in the oral mucosa is a rare autosomal dominant genetic disease. Leukoedema and white spongy nevus are two conditions with a similar histologic feature showing hyperparakeratosis, acanthosis, and. The involved mucosa is white or greyish,. White sponge nevus is an autosomal. Oral White Sponge Nevus Histology.
From www.scienceopen.com
White Sponge Nevus A Case Report ScienceOpen Oral White Sponge Nevus Histology The involved mucosa is white or greyish,. The involved mucosa is white or greyish,. White sponge nevus (wsn) in the oral mucosa is a rare autosomal dominant genetic disease. White sponge nevus (wsn) in the oral mucosa is a rare autosomal dominant genetic disease. White sponge nevus (wsn) is a rare, autosomal dominant hereditary disorder with a high degree of. Oral White Sponge Nevus Histology.
From www.oooojournal.net
White sponge nevus report of a threegeneration family Oral Surgery Oral White Sponge Nevus Histology Leukoedema and white spongy nevus are two conditions with a similar histologic feature showing hyperparakeratosis, acanthosis, and. White sponge nevus is an autosomal dominant skin disorder characterized by white, irregular, diffuse plaques mainly affecting the oral. White sponge nevus (wsn) in the oral mucosa is a rare autosomal dominant genetic disease. Benign keratinization defect leading to white plaques on mucosa.. Oral White Sponge Nevus Histology.
From www.oooojournal.net
White sponge nevus report of a threegeneration family Oral Surgery Oral White Sponge Nevus Histology White sponge nevus is an autosomal dominant skin disorder characterized by white, irregular, diffuse plaques mainly affecting the oral. Benign keratinization defect leading to white plaques on mucosa. White sponge nevus (wsn) in the oral mucosa is a rare autosomal dominant genetic disease. White sponge nevus (wsn) is a rare, autosomal dominant hereditary disorder with a high degree of penetrance. Oral White Sponge Nevus Histology.
From diseaeseshows.com
white sponge nevus pictures, photos Oral White Sponge Nevus Histology White sponge nevus (wsn) in the oral mucosa is a rare autosomal dominant genetic disease. Benign keratinization defect leading to white plaques on mucosa. The involved mucosa is white or greyish,. White sponge nevus is an autosomal dominant skin disorder characterized by white, irregular, diffuse plaques mainly affecting the oral. White sponge nevus (wsn) is a rare, autosomal dominant hereditary. Oral White Sponge Nevus Histology.
From www.semanticscholar.org
Figure 2 from A Rare Clinical Case of Oral White Sponge Nevus and the Oral White Sponge Nevus Histology Leukoedema and white spongy nevus are two conditions with a similar histologic feature showing hyperparakeratosis, acanthosis, and. White sponge nevus (wsn) is an uncommon, hereditary benign keratinization defect that primarily affects the oral mucosa and occasionally, though rarely, the skin or other mucosal sites, such as the nose, esophagus and White sponge nevus is an autosomal dominant skin disorder characterized. Oral White Sponge Nevus Histology.
From ar.inspiredpencil.com
White Sponge Nevus Histology Oral White Sponge Nevus Histology The involved mucosa is white or greyish,. White sponge nevus (wsn) in the oral mucosa is a rare autosomal dominant genetic disease. White sponge nevus (wsn) in the oral mucosa is a rare autosomal dominant genetic disease. The surface of the plaque is thick, folded and may. White sponge nevus is an autosomal dominant skin disorder characterized by white, irregular,. Oral White Sponge Nevus Histology.
From ar.inspiredpencil.com
White Sponge Nevus Histology Oral White Sponge Nevus Histology Benign keratinization defect leading to white plaques on mucosa. White sponge nevus (wsn) in the oral mucosa is a rare autosomal dominant genetic disease. The surface of the plaque is thick, folded and may. Leukoedema and white spongy nevus are two conditions with a similar histologic feature showing hyperparakeratosis, acanthosis, and. The involved mucosa is white or greyish,. White sponge. Oral White Sponge Nevus Histology.
From www.slideserve.com
PPT 1. White lesions of the oral mucosa 2. Solitary oral ulcer and Oral White Sponge Nevus Histology The involved mucosa is white or greyish,. White sponge nevus (wsn) is a rare, autosomal dominant hereditary disorder with a high degree of penetrance and variable expression. White sponge nevus is an autosomal dominant skin disorder characterized by white, irregular, diffuse plaques mainly affecting the oral. White sponge nevus (wsn) is an uncommon, hereditary benign keratinization defect that primarily affects. Oral White Sponge Nevus Histology.
From www.semanticscholar.org
Figure 2 from Familial case of oral white sponge nevusa rare Oral White Sponge Nevus Histology The surface of the plaque is thick, folded and may. White sponge nevus is an autosomal dominant skin disorder characterized by white, irregular, diffuse plaques mainly affecting the oral. The involved mucosa is white or greyish,. White sponge nevus (wsn) in the oral mucosa is a rare autosomal dominant genetic disease. Leukoedema and white spongy nevus are two conditions with. Oral White Sponge Nevus Histology.
From www.oooojournal.net
White sponge nevus report of a threegeneration family Oral Surgery Oral White Sponge Nevus Histology The involved mucosa is white or greyish,. White sponge nevus (wsn) in the oral mucosa is a rare autosomal dominant genetic disease. White sponge nevus (wsn) is a rare, autosomal dominant hereditary disorder with a high degree of penetrance and variable expression. Benign keratinization defect leading to white plaques on mucosa. White sponge nevus (wsn) in the oral mucosa is. Oral White Sponge Nevus Histology.
From www.mdpi.com
Oral Free FullText White Sponge Nevus, a Rare but Important Entity Oral White Sponge Nevus Histology White sponge nevus (wsn) is an uncommon, hereditary benign keratinization defect that primarily affects the oral mucosa and occasionally, though rarely, the skin or other mucosal sites, such as the nose, esophagus and White sponge nevus is an autosomal dominant skin disorder characterized by white, irregular, diffuse plaques mainly affecting the oral. The involved mucosa is white or greyish,. White. Oral White Sponge Nevus Histology.
From www.rdhmag.com
White sponge nevus Registered Dental Hygenist (RDH) Magazine Oral White Sponge Nevus Histology The surface of the plaque is thick, folded and may. White sponge nevus (wsn) is a rare, autosomal dominant hereditary disorder with a high degree of penetrance and variable expression. Leukoedema and white spongy nevus are two conditions with a similar histologic feature showing hyperparakeratosis, acanthosis, and. White sponge nevus (wsn) in the oral mucosa is a rare autosomal dominant. Oral White Sponge Nevus Histology.
From dermatology.cdlib.org
White sponge nevus in a patient with EEC syndrome Oral White Sponge Nevus Histology White sponge nevus (wsn) is a rare, autosomal dominant hereditary disorder with a high degree of penetrance and variable expression. White sponge nevus (wsn) is an uncommon, hereditary benign keratinization defect that primarily affects the oral mucosa and occasionally, though rarely, the skin or other mucosal sites, such as the nose, esophagus and The involved mucosa is white or greyish,.. Oral White Sponge Nevus Histology.
From ar.inspiredpencil.com
White Sponge Nevus Histology Oral White Sponge Nevus Histology White sponge nevus is an autosomal dominant skin disorder characterized by white, irregular, diffuse plaques mainly affecting the oral. White sponge nevus (wsn) in the oral mucosa is a rare autosomal dominant genetic disease. The surface of the plaque is thick, folded and may. Leukoedema and white spongy nevus are two conditions with a similar histologic feature showing hyperparakeratosis, acanthosis,. Oral White Sponge Nevus Histology.