Animal Model For Ovarian Cancer . a study in plos genetics describes a new genetically engineered mouse model that develops hgsc with. an understanding of the molecular pathogenesis and heterogeneity of ovarian cancer holds promise for the. historically, ovarian cancer cell lines engrafted in immunocompromised mice were the first eoc mouse models.
from www.mdpi.com
historically, ovarian cancer cell lines engrafted in immunocompromised mice were the first eoc mouse models. a study in plos genetics describes a new genetically engineered mouse model that develops hgsc with. an understanding of the molecular pathogenesis and heterogeneity of ovarian cancer holds promise for the.
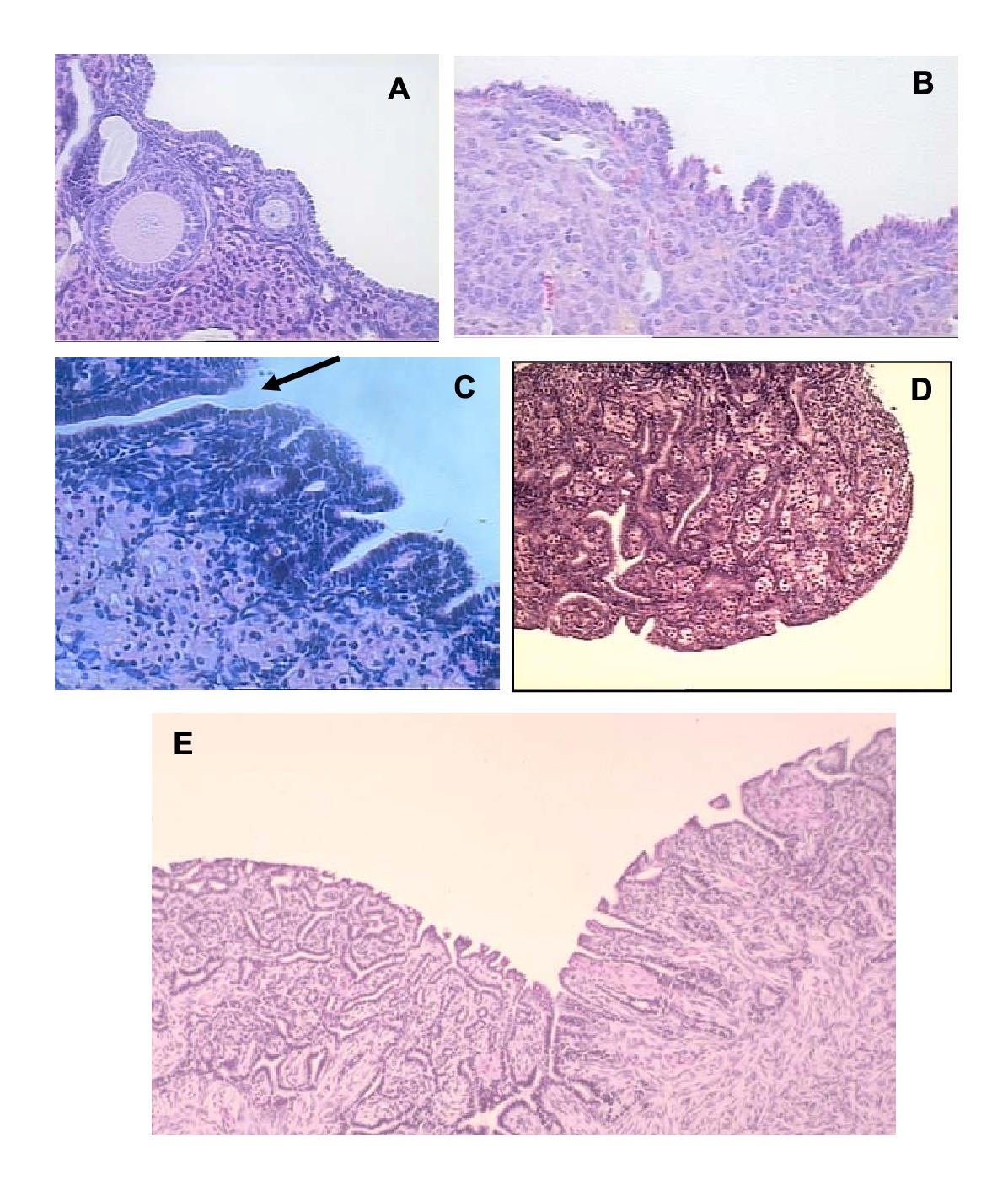
IJMS Free FullText Modelling Epithelial Ovarian Cancer in Mice
Animal Model For Ovarian Cancer a study in plos genetics describes a new genetically engineered mouse model that develops hgsc with. an understanding of the molecular pathogenesis and heterogeneity of ovarian cancer holds promise for the. historically, ovarian cancer cell lines engrafted in immunocompromised mice were the first eoc mouse models. a study in plos genetics describes a new genetically engineered mouse model that develops hgsc with.
From www.researchgate.net
STAT3 KO causes tumor growth inhibition in mouse xenograft models of Animal Model For Ovarian Cancer historically, ovarian cancer cell lines engrafted in immunocompromised mice were the first eoc mouse models. a study in plos genetics describes a new genetically engineered mouse model that develops hgsc with. an understanding of the molecular pathogenesis and heterogeneity of ovarian cancer holds promise for the. Animal Model For Ovarian Cancer.
From www.researchgate.net
(PDF) Evaluating the Progenitor Cells of Ovarian Cancer Analysis of Animal Model For Ovarian Cancer historically, ovarian cancer cell lines engrafted in immunocompromised mice were the first eoc mouse models. a study in plos genetics describes a new genetically engineered mouse model that develops hgsc with. an understanding of the molecular pathogenesis and heterogeneity of ovarian cancer holds promise for the. Animal Model For Ovarian Cancer.
From mavink.com
Ovarian Cancer Diagram Animal Model For Ovarian Cancer an understanding of the molecular pathogenesis and heterogeneity of ovarian cancer holds promise for the. historically, ovarian cancer cell lines engrafted in immunocompromised mice were the first eoc mouse models. a study in plos genetics describes a new genetically engineered mouse model that develops hgsc with. Animal Model For Ovarian Cancer.
From www.mdpi.com
IJMS Free FullText Modelling Epithelial Ovarian Cancer in Mice Animal Model For Ovarian Cancer historically, ovarian cancer cell lines engrafted in immunocompromised mice were the first eoc mouse models. an understanding of the molecular pathogenesis and heterogeneity of ovarian cancer holds promise for the. a study in plos genetics describes a new genetically engineered mouse model that develops hgsc with. Animal Model For Ovarian Cancer.
From ncifrederick.cancer.gov
New Mouse Model May Aid in Developing Effective Therapies for Ovarian Animal Model For Ovarian Cancer an understanding of the molecular pathogenesis and heterogeneity of ovarian cancer holds promise for the. historically, ovarian cancer cell lines engrafted in immunocompromised mice were the first eoc mouse models. a study in plos genetics describes a new genetically engineered mouse model that develops hgsc with. Animal Model For Ovarian Cancer.
From www.omicsonline.org
Current Preclinical Models of Ovarian Cancer Animal Model For Ovarian Cancer historically, ovarian cancer cell lines engrafted in immunocompromised mice were the first eoc mouse models. an understanding of the molecular pathogenesis and heterogeneity of ovarian cancer holds promise for the. a study in plos genetics describes a new genetically engineered mouse model that develops hgsc with. Animal Model For Ovarian Cancer.
From www.researchgate.net
EpCAMpositive ovarian cancer cells are correlated with tumor Animal Model For Ovarian Cancer a study in plos genetics describes a new genetically engineered mouse model that develops hgsc with. an understanding of the molecular pathogenesis and heterogeneity of ovarian cancer holds promise for the. historically, ovarian cancer cell lines engrafted in immunocompromised mice were the first eoc mouse models. Animal Model For Ovarian Cancer.
From www.frontiersin.org
Frontiers Recent Technological Advances in Using Mouse Models to Animal Model For Ovarian Cancer an understanding of the molecular pathogenesis and heterogeneity of ovarian cancer holds promise for the. historically, ovarian cancer cell lines engrafted in immunocompromised mice were the first eoc mouse models. a study in plos genetics describes a new genetically engineered mouse model that develops hgsc with. Animal Model For Ovarian Cancer.
From rbej.biomedcentral.com
Animal models of ovarian cancer Reproductive Biology and Animal Model For Ovarian Cancer historically, ovarian cancer cell lines engrafted in immunocompromised mice were the first eoc mouse models. an understanding of the molecular pathogenesis and heterogeneity of ovarian cancer holds promise for the. a study in plos genetics describes a new genetically engineered mouse model that develops hgsc with. Animal Model For Ovarian Cancer.
From www.researchgate.net
(PDF) Animal models of ovarian cancer Animal Model For Ovarian Cancer historically, ovarian cancer cell lines engrafted in immunocompromised mice were the first eoc mouse models. a study in plos genetics describes a new genetically engineered mouse model that develops hgsc with. an understanding of the molecular pathogenesis and heterogeneity of ovarian cancer holds promise for the. Animal Model For Ovarian Cancer.
From ar.iiarjournals.org
Characterization and Evaluation of Preclinical Suitability of a Animal Model For Ovarian Cancer historically, ovarian cancer cell lines engrafted in immunocompromised mice were the first eoc mouse models. an understanding of the molecular pathogenesis and heterogeneity of ovarian cancer holds promise for the. a study in plos genetics describes a new genetically engineered mouse model that develops hgsc with. Animal Model For Ovarian Cancer.
From orsuliclab.com
Research Orsulic Lab at UCLA Animal Model For Ovarian Cancer a study in plos genetics describes a new genetically engineered mouse model that develops hgsc with. historically, ovarian cancer cell lines engrafted in immunocompromised mice were the first eoc mouse models. an understanding of the molecular pathogenesis and heterogeneity of ovarian cancer holds promise for the. Animal Model For Ovarian Cancer.
From www.frontiersin.org
Frontiers Syrian hamster as an ideal animal model for evaluation of Animal Model For Ovarian Cancer historically, ovarian cancer cell lines engrafted in immunocompromised mice were the first eoc mouse models. a study in plos genetics describes a new genetically engineered mouse model that develops hgsc with. an understanding of the molecular pathogenesis and heterogeneity of ovarian cancer holds promise for the. Animal Model For Ovarian Cancer.
From www.pnas.org
Highgrade serous ovarian cancer arises from fallopian tube in a mouse Animal Model For Ovarian Cancer an understanding of the molecular pathogenesis and heterogeneity of ovarian cancer holds promise for the. historically, ovarian cancer cell lines engrafted in immunocompromised mice were the first eoc mouse models. a study in plos genetics describes a new genetically engineered mouse model that develops hgsc with. Animal Model For Ovarian Cancer.
From www.researchgate.net
Survival of an ovarian cancer xenograft mouse model treated with an Animal Model For Ovarian Cancer a study in plos genetics describes a new genetically engineered mouse model that develops hgsc with. historically, ovarian cancer cell lines engrafted in immunocompromised mice were the first eoc mouse models. an understanding of the molecular pathogenesis and heterogeneity of ovarian cancer holds promise for the. Animal Model For Ovarian Cancer.
From www.researchgate.net
Development of an advanced orthotopic model of ovarian cancer in mice Animal Model For Ovarian Cancer historically, ovarian cancer cell lines engrafted in immunocompromised mice were the first eoc mouse models. a study in plos genetics describes a new genetically engineered mouse model that develops hgsc with. an understanding of the molecular pathogenesis and heterogeneity of ovarian cancer holds promise for the. Animal Model For Ovarian Cancer.
From www.researchgate.net
(PDF) Therapeutic prospect on umbilical cord mesenchymal stem cells in Animal Model For Ovarian Cancer an understanding of the molecular pathogenesis and heterogeneity of ovarian cancer holds promise for the. a study in plos genetics describes a new genetically engineered mouse model that develops hgsc with. historically, ovarian cancer cell lines engrafted in immunocompromised mice were the first eoc mouse models. Animal Model For Ovarian Cancer.
From www.researchgate.net
Orthotopic mouse models of ovarian cancer. A, a photograph illustrates Animal Model For Ovarian Cancer historically, ovarian cancer cell lines engrafted in immunocompromised mice were the first eoc mouse models. a study in plos genetics describes a new genetically engineered mouse model that develops hgsc with. an understanding of the molecular pathogenesis and heterogeneity of ovarian cancer holds promise for the. Animal Model For Ovarian Cancer.
From www.researchgate.net
Overactivation of RalA in syngeneic mouse model for ovarian cancer. (A Animal Model For Ovarian Cancer a study in plos genetics describes a new genetically engineered mouse model that develops hgsc with. an understanding of the molecular pathogenesis and heterogeneity of ovarian cancer holds promise for the. historically, ovarian cancer cell lines engrafted in immunocompromised mice were the first eoc mouse models. Animal Model For Ovarian Cancer.
From www.researchgate.net
(PDF) Ovarian Cancer Animal Models for Preclinical Studies and Animal Model For Ovarian Cancer an understanding of the molecular pathogenesis and heterogeneity of ovarian cancer holds promise for the. historically, ovarian cancer cell lines engrafted in immunocompromised mice were the first eoc mouse models. a study in plos genetics describes a new genetically engineered mouse model that develops hgsc with. Animal Model For Ovarian Cancer.
From www.researchgate.net
Different patientderived in vitro models of ovarian cancer. Created Animal Model For Ovarian Cancer an understanding of the molecular pathogenesis and heterogeneity of ovarian cancer holds promise for the. a study in plos genetics describes a new genetically engineered mouse model that develops hgsc with. historically, ovarian cancer cell lines engrafted in immunocompromised mice were the first eoc mouse models. Animal Model For Ovarian Cancer.
From www.technologynetworks.com
Ovarian Cancer Treatment Proves Effective in Preclinical Model Animal Model For Ovarian Cancer historically, ovarian cancer cell lines engrafted in immunocompromised mice were the first eoc mouse models. a study in plos genetics describes a new genetically engineered mouse model that develops hgsc with. an understanding of the molecular pathogenesis and heterogeneity of ovarian cancer holds promise for the. Animal Model For Ovarian Cancer.
From ar.iiarjournals.org
Figure 1. The Effect of Surgical Wound on Ovarian Carcinoma Growth in Animal Model For Ovarian Cancer historically, ovarian cancer cell lines engrafted in immunocompromised mice were the first eoc mouse models. a study in plos genetics describes a new genetically engineered mouse model that develops hgsc with. an understanding of the molecular pathogenesis and heterogeneity of ovarian cancer holds promise for the. Animal Model For Ovarian Cancer.
From www.researchgate.net
(PDF) Emerging and Evolving Ovarian Cancer Animal Models Animal Model For Ovarian Cancer a study in plos genetics describes a new genetically engineered mouse model that develops hgsc with. an understanding of the molecular pathogenesis and heterogeneity of ovarian cancer holds promise for the. historically, ovarian cancer cell lines engrafted in immunocompromised mice were the first eoc mouse models. Animal Model For Ovarian Cancer.
From www.researchgate.net
The established syngeneic mouse model for epithelial ovarian cancer Animal Model For Ovarian Cancer an understanding of the molecular pathogenesis and heterogeneity of ovarian cancer holds promise for the. historically, ovarian cancer cell lines engrafted in immunocompromised mice were the first eoc mouse models. a study in plos genetics describes a new genetically engineered mouse model that develops hgsc with. Animal Model For Ovarian Cancer.
From ar.iiarjournals.org
Characterization and Evaluation of Preclinical Suitability of a Animal Model For Ovarian Cancer a study in plos genetics describes a new genetically engineered mouse model that develops hgsc with. an understanding of the molecular pathogenesis and heterogeneity of ovarian cancer holds promise for the. historically, ovarian cancer cell lines engrafted in immunocompromised mice were the first eoc mouse models. Animal Model For Ovarian Cancer.
From www.researchgate.net
Emodin reduces growth of ovarian cancer in a tumor mouse model. (A Animal Model For Ovarian Cancer historically, ovarian cancer cell lines engrafted in immunocompromised mice were the first eoc mouse models. an understanding of the molecular pathogenesis and heterogeneity of ovarian cancer holds promise for the. a study in plos genetics describes a new genetically engineered mouse model that develops hgsc with. Animal Model For Ovarian Cancer.
From www.researchgate.net
Quantitative analyses of ovarian cancer growths in xenografts of nude Animal Model For Ovarian Cancer historically, ovarian cancer cell lines engrafted in immunocompromised mice were the first eoc mouse models. an understanding of the molecular pathogenesis and heterogeneity of ovarian cancer holds promise for the. a study in plos genetics describes a new genetically engineered mouse model that develops hgsc with. Animal Model For Ovarian Cancer.
From www.researchgate.net
Model of ovarian cancer progression including cancer cell... Download Animal Model For Ovarian Cancer historically, ovarian cancer cell lines engrafted in immunocompromised mice were the first eoc mouse models. a study in plos genetics describes a new genetically engineered mouse model that develops hgsc with. an understanding of the molecular pathogenesis and heterogeneity of ovarian cancer holds promise for the. Animal Model For Ovarian Cancer.
From www.spandidos-publications.com
Advantages of the avian model for human ovarian cancer (Review) Animal Model For Ovarian Cancer historically, ovarian cancer cell lines engrafted in immunocompromised mice were the first eoc mouse models. a study in plos genetics describes a new genetically engineered mouse model that develops hgsc with. an understanding of the molecular pathogenesis and heterogeneity of ovarian cancer holds promise for the. Animal Model For Ovarian Cancer.
From www.poultrydvm.com
Ovarian tumors in Chickens Animal Model For Ovarian Cancer an understanding of the molecular pathogenesis and heterogeneity of ovarian cancer holds promise for the. historically, ovarian cancer cell lines engrafted in immunocompromised mice were the first eoc mouse models. a study in plos genetics describes a new genetically engineered mouse model that develops hgsc with. Animal Model For Ovarian Cancer.
From www.frontiersin.org
Frontiers Transgenic Mouse Models in Cancer Research Animal Model For Ovarian Cancer a study in plos genetics describes a new genetically engineered mouse model that develops hgsc with. an understanding of the molecular pathogenesis and heterogeneity of ovarian cancer holds promise for the. historically, ovarian cancer cell lines engrafted in immunocompromised mice were the first eoc mouse models. Animal Model For Ovarian Cancer.
From www.semanticscholar.org
Figure 1 from Dual modality imaging of a novel rat model of ovarian Animal Model For Ovarian Cancer an understanding of the molecular pathogenesis and heterogeneity of ovarian cancer holds promise for the. historically, ovarian cancer cell lines engrafted in immunocompromised mice were the first eoc mouse models. a study in plos genetics describes a new genetically engineered mouse model that develops hgsc with. Animal Model For Ovarian Cancer.
From www.researchgate.net
Comparison among the most common animal models used in ovarian cancer Animal Model For Ovarian Cancer a study in plos genetics describes a new genetically engineered mouse model that develops hgsc with. historically, ovarian cancer cell lines engrafted in immunocompromised mice were the first eoc mouse models. an understanding of the molecular pathogenesis and heterogeneity of ovarian cancer holds promise for the. Animal Model For Ovarian Cancer.
From www.semanticscholar.org
[PDF] Emerging and Evolving Ovarian Cancer Animal Models Semantic Scholar Animal Model For Ovarian Cancer historically, ovarian cancer cell lines engrafted in immunocompromised mice were the first eoc mouse models. an understanding of the molecular pathogenesis and heterogeneity of ovarian cancer holds promise for the. a study in plos genetics describes a new genetically engineered mouse model that develops hgsc with. Animal Model For Ovarian Cancer.