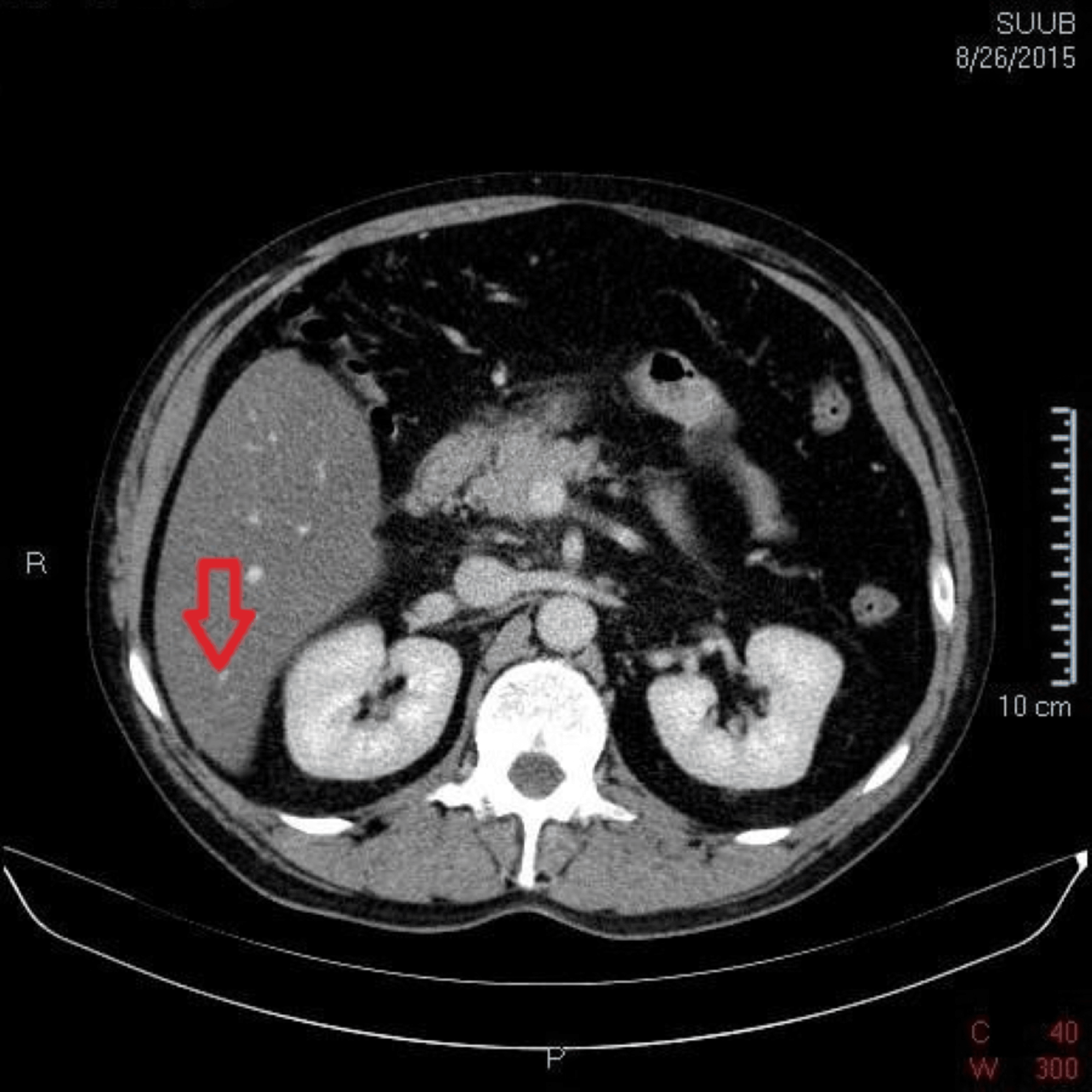
What Is Riedel Lobe . the differential diagnoses include hepatomegaly and accessory liver lobes. Here we report a case of 38 years old female with an incidental. Although most accessory lobes are. riedel's lobe is a normal variant form of right liver lobe rarely found. riedel’s lobe is a rare anatomical variant of the liver with a downward projection of the anterior right.
from radiopaedia.org
Although most accessory lobes are. the differential diagnoses include hepatomegaly and accessory liver lobes. riedel’s lobe is a rare anatomical variant of the liver with a downward projection of the anterior right. Here we report a case of 38 years old female with an incidental. riedel's lobe is a normal variant form of right liver lobe rarely found.
Riedel lobe Image
What Is Riedel Lobe riedel's lobe is a normal variant form of right liver lobe rarely found. Here we report a case of 38 years old female with an incidental. riedel’s lobe is a rare anatomical variant of the liver with a downward projection of the anterior right. riedel's lobe is a normal variant form of right liver lobe rarely found. Although most accessory lobes are. the differential diagnoses include hepatomegaly and accessory liver lobes.
From www.pinterest.com
riedel's lobe What Is Riedel Lobe riedel's lobe is a normal variant form of right liver lobe rarely found. Here we report a case of 38 years old female with an incidental. riedel’s lobe is a rare anatomical variant of the liver with a downward projection of the anterior right. Although most accessory lobes are. the differential diagnoses include hepatomegaly and accessory liver. What Is Riedel Lobe.
From www.youtube.com
Riedel's lobe Anatomy Named After People 🔊 YouTube What Is Riedel Lobe Although most accessory lobes are. riedel’s lobe is a rare anatomical variant of the liver with a downward projection of the anterior right. the differential diagnoses include hepatomegaly and accessory liver lobes. Here we report a case of 38 years old female with an incidental. riedel's lobe is a normal variant form of right liver lobe rarely. What Is Riedel Lobe.
From radiopaedia.ir
Riedel lobe Radiopaedia What Is Riedel Lobe the differential diagnoses include hepatomegaly and accessory liver lobes. riedel’s lobe is a rare anatomical variant of the liver with a downward projection of the anterior right. riedel's lobe is a normal variant form of right liver lobe rarely found. Here we report a case of 38 years old female with an incidental. Although most accessory lobes. What Is Riedel Lobe.
From docslib.org
Riedel's Lobe Clinical Importance of a Rare Variant in Liver What Is Riedel Lobe Here we report a case of 38 years old female with an incidental. the differential diagnoses include hepatomegaly and accessory liver lobes. Although most accessory lobes are. riedel’s lobe is a rare anatomical variant of the liver with a downward projection of the anterior right. riedel's lobe is a normal variant form of right liver lobe rarely. What Is Riedel Lobe.
From www.pinterest.com
Riedel's lobe of liver Ultrasound, Liver, Gallbladder What Is Riedel Lobe riedel’s lobe is a rare anatomical variant of the liver with a downward projection of the anterior right. Here we report a case of 38 years old female with an incidental. the differential diagnoses include hepatomegaly and accessory liver lobes. riedel's lobe is a normal variant form of right liver lobe rarely found. Although most accessory lobes. What Is Riedel Lobe.
From radiopaedia.org
Riedel lobe Image What Is Riedel Lobe riedel’s lobe is a rare anatomical variant of the liver with a downward projection of the anterior right. riedel's lobe is a normal variant form of right liver lobe rarely found. Here we report a case of 38 years old female with an incidental. the differential diagnoses include hepatomegaly and accessory liver lobes. Although most accessory lobes. What Is Riedel Lobe.
From www.eurorad.org
Riedel\'s Lobe Did you know these facts? Eurorad What Is Riedel Lobe riedel’s lobe is a rare anatomical variant of the liver with a downward projection of the anterior right. Although most accessory lobes are. the differential diagnoses include hepatomegaly and accessory liver lobes. Here we report a case of 38 years old female with an incidental. riedel's lobe is a normal variant form of right liver lobe rarely. What Is Riedel Lobe.
From www.semanticscholar.org
Figure 1 from Large Riedel’s lobe and atrophic left liver in a donor What Is Riedel Lobe riedel’s lobe is a rare anatomical variant of the liver with a downward projection of the anterior right. Although most accessory lobes are. Here we report a case of 38 years old female with an incidental. the differential diagnoses include hepatomegaly and accessory liver lobes. riedel's lobe is a normal variant form of right liver lobe rarely. What Is Riedel Lobe.
From www.cureus.com
Cureus Coexistence of Riedel’s Lobe and Supernumerary Kidney as What Is Riedel Lobe the differential diagnoses include hepatomegaly and accessory liver lobes. riedel's lobe is a normal variant form of right liver lobe rarely found. Although most accessory lobes are. Here we report a case of 38 years old female with an incidental. riedel’s lobe is a rare anatomical variant of the liver with a downward projection of the anterior. What Is Riedel Lobe.
From www.researchgate.net
(PDF) Riedel’s Lobe of Liver — a Rare Entity What Is Riedel Lobe the differential diagnoses include hepatomegaly and accessory liver lobes. Although most accessory lobes are. riedel’s lobe is a rare anatomical variant of the liver with a downward projection of the anterior right. Here we report a case of 38 years old female with an incidental. riedel's lobe is a normal variant form of right liver lobe rarely. What Is Riedel Lobe.
From www.cureus.com
Incidental Finding of Riedel’s Lobe of the Liver and Intrahepatic What Is Riedel Lobe Although most accessory lobes are. riedel's lobe is a normal variant form of right liver lobe rarely found. Here we report a case of 38 years old female with an incidental. riedel’s lobe is a rare anatomical variant of the liver with a downward projection of the anterior right. the differential diagnoses include hepatomegaly and accessory liver. What Is Riedel Lobe.
From radiopaedia.org
Riedel lobe Image What Is Riedel Lobe riedel’s lobe is a rare anatomical variant of the liver with a downward projection of the anterior right. Although most accessory lobes are. the differential diagnoses include hepatomegaly and accessory liver lobes. Here we report a case of 38 years old female with an incidental. riedel's lobe is a normal variant form of right liver lobe rarely. What Is Riedel Lobe.
From www.semanticscholar.org
[PDF] Riedel's Lobe of the Liver Semantic Scholar What Is Riedel Lobe riedel's lobe is a normal variant form of right liver lobe rarely found. riedel’s lobe is a rare anatomical variant of the liver with a downward projection of the anterior right. Although most accessory lobes are. the differential diagnoses include hepatomegaly and accessory liver lobes. Here we report a case of 38 years old female with an. What Is Riedel Lobe.
From www.researchgate.net
(PDF) Study about Riedel's Lobe An Approach to Morphology and Its What Is Riedel Lobe the differential diagnoses include hepatomegaly and accessory liver lobes. riedel’s lobe is a rare anatomical variant of the liver with a downward projection of the anterior right. Although most accessory lobes are. Here we report a case of 38 years old female with an incidental. riedel's lobe is a normal variant form of right liver lobe rarely. What Is Riedel Lobe.
From radiopaedia.org
Riedel lobe Image What Is Riedel Lobe Here we report a case of 38 years old female with an incidental. riedel’s lobe is a rare anatomical variant of the liver with a downward projection of the anterior right. Although most accessory lobes are. riedel's lobe is a normal variant form of right liver lobe rarely found. the differential diagnoses include hepatomegaly and accessory liver. What Is Riedel Lobe.
From www.researchgate.net
(PDF) Riedel's Lobe of the Liver What Is Riedel Lobe riedel's lobe is a normal variant form of right liver lobe rarely found. riedel’s lobe is a rare anatomical variant of the liver with a downward projection of the anterior right. Here we report a case of 38 years old female with an incidental. the differential diagnoses include hepatomegaly and accessory liver lobes. Although most accessory lobes. What Is Riedel Lobe.
From www.eurorad.org
Riedel\'s Lobe Did you know these facts? Eurorad What Is Riedel Lobe the differential diagnoses include hepatomegaly and accessory liver lobes. Although most accessory lobes are. riedel’s lobe is a rare anatomical variant of the liver with a downward projection of the anterior right. Here we report a case of 38 years old female with an incidental. riedel's lobe is a normal variant form of right liver lobe rarely. What Is Riedel Lobe.
From www.pinterest.ca
Enlarged liver (Riedel lobe) Radiology Case What Is Riedel Lobe riedel's lobe is a normal variant form of right liver lobe rarely found. riedel’s lobe is a rare anatomical variant of the liver with a downward projection of the anterior right. the differential diagnoses include hepatomegaly and accessory liver lobes. Although most accessory lobes are. Here we report a case of 38 years old female with an. What Is Riedel Lobe.
From www.cureus.com
Cureus Unveiling the Unexpected Cooccurrence of Acute Pancreatitis What Is Riedel Lobe riedel's lobe is a normal variant form of right liver lobe rarely found. riedel’s lobe is a rare anatomical variant of the liver with a downward projection of the anterior right. Here we report a case of 38 years old female with an incidental. Although most accessory lobes are. the differential diagnoses include hepatomegaly and accessory liver. What Is Riedel Lobe.
From www.youtube.com
Liver part 2 Anatomical & Physiological lobes YouTube What Is Riedel Lobe the differential diagnoses include hepatomegaly and accessory liver lobes. Although most accessory lobes are. riedel's lobe is a normal variant form of right liver lobe rarely found. riedel’s lobe is a rare anatomical variant of the liver with a downward projection of the anterior right. Here we report a case of 38 years old female with an. What Is Riedel Lobe.
From www.youtube.com
Study about Riedel’s Lobe An Approach to Morphology and Its Clinical What Is Riedel Lobe the differential diagnoses include hepatomegaly and accessory liver lobes. riedel’s lobe is a rare anatomical variant of the liver with a downward projection of the anterior right. Although most accessory lobes are. Here we report a case of 38 years old female with an incidental. riedel's lobe is a normal variant form of right liver lobe rarely. What Is Riedel Lobe.
From www.slideshare.net
Riedel’s lobe of liver What Is Riedel Lobe the differential diagnoses include hepatomegaly and accessory liver lobes. riedel’s lobe is a rare anatomical variant of the liver with a downward projection of the anterior right. riedel's lobe is a normal variant form of right liver lobe rarely found. Here we report a case of 38 years old female with an incidental. Although most accessory lobes. What Is Riedel Lobe.
From www.cureus.com
Cureus Riedel’s Lobe and Beaver Tail Variant A Cadaveric Case Report What Is Riedel Lobe the differential diagnoses include hepatomegaly and accessory liver lobes. riedel's lobe is a normal variant form of right liver lobe rarely found. Although most accessory lobes are. riedel’s lobe is a rare anatomical variant of the liver with a downward projection of the anterior right. Here we report a case of 38 years old female with an. What Is Riedel Lobe.
From www.pinterest.com
Riedel lobe Radiology Reference Article Radiology What Is Riedel Lobe the differential diagnoses include hepatomegaly and accessory liver lobes. Here we report a case of 38 years old female with an incidental. riedel’s lobe is a rare anatomical variant of the liver with a downward projection of the anterior right. riedel's lobe is a normal variant form of right liver lobe rarely found. Although most accessory lobes. What Is Riedel Lobe.
From matsushita-er.blogspot.com
松下 ER ランチ・カンファレンス リーデル葉 Riedel's lobe What Is Riedel Lobe the differential diagnoses include hepatomegaly and accessory liver lobes. riedel's lobe is a normal variant form of right liver lobe rarely found. Although most accessory lobes are. Here we report a case of 38 years old female with an incidental. riedel’s lobe is a rare anatomical variant of the liver with a downward projection of the anterior. What Is Riedel Lobe.
From healthncare.info
Riedel's Lobe Location, Symptoms, Complications, Surgery What Is Riedel Lobe Here we report a case of 38 years old female with an incidental. riedel's lobe is a normal variant form of right liver lobe rarely found. riedel’s lobe is a rare anatomical variant of the liver with a downward projection of the anterior right. the differential diagnoses include hepatomegaly and accessory liver lobes. Although most accessory lobes. What Is Riedel Lobe.
From www.shutterstock.com
Riedels Lobe Liver Stock Illustration 1777418417 Shutterstock What Is Riedel Lobe Although most accessory lobes are. riedel's lobe is a normal variant form of right liver lobe rarely found. Here we report a case of 38 years old female with an incidental. riedel’s lobe is a rare anatomical variant of the liver with a downward projection of the anterior right. the differential diagnoses include hepatomegaly and accessory liver. What Is Riedel Lobe.
From www.eurorad.org
Riedel\'s Lobe Did you know these facts? Eurorad What Is Riedel Lobe riedel's lobe is a normal variant form of right liver lobe rarely found. the differential diagnoses include hepatomegaly and accessory liver lobes. Here we report a case of 38 years old female with an incidental. riedel’s lobe is a rare anatomical variant of the liver with a downward projection of the anterior right. Although most accessory lobes. What Is Riedel Lobe.
From www.slideshare.net
Riedel’s lobe of liver What Is Riedel Lobe Although most accessory lobes are. the differential diagnoses include hepatomegaly and accessory liver lobes. Here we report a case of 38 years old female with an incidental. riedel's lobe is a normal variant form of right liver lobe rarely found. riedel’s lobe is a rare anatomical variant of the liver with a downward projection of the anterior. What Is Riedel Lobe.
From www.wikidoc.org
Riedel's lobe wikidoc What Is Riedel Lobe Here we report a case of 38 years old female with an incidental. riedel’s lobe is a rare anatomical variant of the liver with a downward projection of the anterior right. riedel's lobe is a normal variant form of right liver lobe rarely found. the differential diagnoses include hepatomegaly and accessory liver lobes. Although most accessory lobes. What Is Riedel Lobe.
From www.researchgate.net
Shows accessory lobes of liver. RL right lobe, LL left lobe, RDL What Is Riedel Lobe Here we report a case of 38 years old female with an incidental. riedel's lobe is a normal variant form of right liver lobe rarely found. the differential diagnoses include hepatomegaly and accessory liver lobes. Although most accessory lobes are. riedel’s lobe is a rare anatomical variant of the liver with a downward projection of the anterior. What Is Riedel Lobe.
From www.surgjournal.com
Pancreaticoduodenectomy in the presence of Riedel lobe with accessory What Is Riedel Lobe riedel's lobe is a normal variant form of right liver lobe rarely found. Although most accessory lobes are. Here we report a case of 38 years old female with an incidental. riedel’s lobe is a rare anatomical variant of the liver with a downward projection of the anterior right. the differential diagnoses include hepatomegaly and accessory liver. What Is Riedel Lobe.
From www.pinterest.com
. ⚠️𝗥𝗶𝗲𝗱𝗲𝗹 𝗹𝗼𝗯𝗲 𝗼𝗳 𝗹𝗶𝘃𝗲𝗿 ️ Riedel lobe is the most wellknown of What Is Riedel Lobe Although most accessory lobes are. Here we report a case of 38 years old female with an incidental. riedel's lobe is a normal variant form of right liver lobe rarely found. the differential diagnoses include hepatomegaly and accessory liver lobes. riedel’s lobe is a rare anatomical variant of the liver with a downward projection of the anterior. What Is Riedel Lobe.
From radiopaedia.org
Beaver tail liver and Riedel lobe Image What Is Riedel Lobe riedel's lobe is a normal variant form of right liver lobe rarely found. Although most accessory lobes are. riedel’s lobe is a rare anatomical variant of the liver with a downward projection of the anterior right. Here we report a case of 38 years old female with an incidental. the differential diagnoses include hepatomegaly and accessory liver. What Is Riedel Lobe.
From www.slideserve.com
PPT What is The LIVER ? PowerPoint Presentation ID373722 What Is Riedel Lobe the differential diagnoses include hepatomegaly and accessory liver lobes. riedel's lobe is a normal variant form of right liver lobe rarely found. Although most accessory lobes are. Here we report a case of 38 years old female with an incidental. riedel’s lobe is a rare anatomical variant of the liver with a downward projection of the anterior. What Is Riedel Lobe.