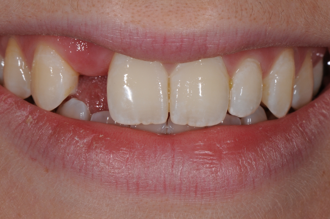
Maryland Bridge For Missing Lateral Incisors . My daughter is 23 years old, and her lateral incisors never erupted. Maryland bridge is an ideal option as a fixed temporary prosthesis in such patients. Temporary replacement of missing maxillary lateral incisors with orthodontic miniscrew implants in growing patients: Congenitally missing lateral incisors always present a treatment dilemma for restorative dentists. Her dentist recommended braces and left enough space for a maryland bridge to replace the missing. Replacement of the missing lateral incisor with an implant has become a primary treatment option in the past two decades.
from www.somersetorthospecialists.com
Congenitally missing lateral incisors always present a treatment dilemma for restorative dentists. Her dentist recommended braces and left enough space for a maryland bridge to replace the missing. Temporary replacement of missing maxillary lateral incisors with orthodontic miniscrew implants in growing patients: My daughter is 23 years old, and her lateral incisors never erupted. Replacement of the missing lateral incisor with an implant has become a primary treatment option in the past two decades. Maryland bridge is an ideal option as a fixed temporary prosthesis in such patients.
Before & After Photos Somerset Orthodontic Specialists
Maryland Bridge For Missing Lateral Incisors Temporary replacement of missing maxillary lateral incisors with orthodontic miniscrew implants in growing patients: Replacement of the missing lateral incisor with an implant has become a primary treatment option in the past two decades. Maryland bridge is an ideal option as a fixed temporary prosthesis in such patients. Congenitally missing lateral incisors always present a treatment dilemma for restorative dentists. Her dentist recommended braces and left enough space for a maryland bridge to replace the missing. My daughter is 23 years old, and her lateral incisors never erupted. Temporary replacement of missing maxillary lateral incisors with orthodontic miniscrew implants in growing patients:
From www.brisbaneprosthodontics.com.au
Services Bonded Bridges Brisbane Prosthodontics Maryland Bridge For Missing Lateral Incisors Her dentist recommended braces and left enough space for a maryland bridge to replace the missing. Maryland bridge is an ideal option as a fixed temporary prosthesis in such patients. Temporary replacement of missing maxillary lateral incisors with orthodontic miniscrew implants in growing patients: Congenitally missing lateral incisors always present a treatment dilemma for restorative dentists. Replacement of the missing. Maryland Bridge For Missing Lateral Incisors.
From www.oatext.com
Semipermanent replacement of missing maxillary lateral incisors with Maryland Bridge For Missing Lateral Incisors Congenitally missing lateral incisors always present a treatment dilemma for restorative dentists. Temporary replacement of missing maxillary lateral incisors with orthodontic miniscrew implants in growing patients: Her dentist recommended braces and left enough space for a maryland bridge to replace the missing. Replacement of the missing lateral incisor with an implant has become a primary treatment option in the past. Maryland Bridge For Missing Lateral Incisors.
From www.speareducation.com
Three Solutions for Congenitally Missing Lateral Incisors Spear Education Maryland Bridge For Missing Lateral Incisors Her dentist recommended braces and left enough space for a maryland bridge to replace the missing. Maryland bridge is an ideal option as a fixed temporary prosthesis in such patients. My daughter is 23 years old, and her lateral incisors never erupted. Temporary replacement of missing maxillary lateral incisors with orthodontic miniscrew implants in growing patients: Congenitally missing lateral incisors. Maryland Bridge For Missing Lateral Incisors.
From www.northwestdds.com
Dental Bridges Northwest Dental Glyndon Maryland Maryland Bridge For Missing Lateral Incisors Congenitally missing lateral incisors always present a treatment dilemma for restorative dentists. Her dentist recommended braces and left enough space for a maryland bridge to replace the missing. Replacement of the missing lateral incisor with an implant has become a primary treatment option in the past two decades. Maryland bridge is an ideal option as a fixed temporary prosthesis in. Maryland Bridge For Missing Lateral Incisors.
From www.speareducation.com
Three Solutions for Congenitally Missing Lateral Incisors Spear Education Maryland Bridge For Missing Lateral Incisors Replacement of the missing lateral incisor with an implant has become a primary treatment option in the past two decades. Temporary replacement of missing maxillary lateral incisors with orthodontic miniscrew implants in growing patients: Congenitally missing lateral incisors always present a treatment dilemma for restorative dentists. Her dentist recommended braces and left enough space for a maryland bridge to replace. Maryland Bridge For Missing Lateral Incisors.
From www.oralhealthgroup.com
“A Conservative Post Orthodontic Solution for Restoring Missing Lateral Maryland Bridge For Missing Lateral Incisors Maryland bridge is an ideal option as a fixed temporary prosthesis in such patients. Replacement of the missing lateral incisor with an implant has become a primary treatment option in the past two decades. Congenitally missing lateral incisors always present a treatment dilemma for restorative dentists. My daughter is 23 years old, and her lateral incisors never erupted. Her dentist. Maryland Bridge For Missing Lateral Incisors.
From www.cureus.com
Rehabilitation of Congenitally Missing Bilateral Incisors With the Maryland Bridge For Missing Lateral Incisors My daughter is 23 years old, and her lateral incisors never erupted. Maryland bridge is an ideal option as a fixed temporary prosthesis in such patients. Temporary replacement of missing maxillary lateral incisors with orthodontic miniscrew implants in growing patients: Congenitally missing lateral incisors always present a treatment dilemma for restorative dentists. Replacement of the missing lateral incisor with an. Maryland Bridge For Missing Lateral Incisors.
From www.oralhealthgroup.com
“A Conservative Post Orthodontic Solution for Restoring Missing Lateral Maryland Bridge For Missing Lateral Incisors Her dentist recommended braces and left enough space for a maryland bridge to replace the missing. Maryland bridge is an ideal option as a fixed temporary prosthesis in such patients. Temporary replacement of missing maxillary lateral incisors with orthodontic miniscrew implants in growing patients: My daughter is 23 years old, and her lateral incisors never erupted. Congenitally missing lateral incisors. Maryland Bridge For Missing Lateral Incisors.
From www.positivelypda.com
Palmetto Dental Associates — Missing Lateral Incisors Maryland Bridge For Missing Lateral Incisors Her dentist recommended braces and left enough space for a maryland bridge to replace the missing. Congenitally missing lateral incisors always present a treatment dilemma for restorative dentists. My daughter is 23 years old, and her lateral incisors never erupted. Maryland bridge is an ideal option as a fixed temporary prosthesis in such patients. Replacement of the missing lateral incisor. Maryland Bridge For Missing Lateral Incisors.
From pearlcosmeticdds.com
Maryland Dental Bridges, Replace your missing teeth without drilling Maryland Bridge For Missing Lateral Incisors Maryland bridge is an ideal option as a fixed temporary prosthesis in such patients. Temporary replacement of missing maxillary lateral incisors with orthodontic miniscrew implants in growing patients: Replacement of the missing lateral incisor with an implant has become a primary treatment option in the past two decades. Her dentist recommended braces and left enough space for a maryland bridge. Maryland Bridge For Missing Lateral Incisors.
From www.speareducation.com
Three Solutions for Congenitally Missing Lateral Incisors Spear Education Maryland Bridge For Missing Lateral Incisors Congenitally missing lateral incisors always present a treatment dilemma for restorative dentists. Maryland bridge is an ideal option as a fixed temporary prosthesis in such patients. My daughter is 23 years old, and her lateral incisors never erupted. Her dentist recommended braces and left enough space for a maryland bridge to replace the missing. Replacement of the missing lateral incisor. Maryland Bridge For Missing Lateral Incisors.
From www.dothandson.com
Direct Resin Bonded Bridges Maryland Bridge For Missing Lateral Incisors Her dentist recommended braces and left enough space for a maryland bridge to replace the missing. Replacement of the missing lateral incisor with an implant has become a primary treatment option in the past two decades. Maryland bridge is an ideal option as a fixed temporary prosthesis in such patients. Congenitally missing lateral incisors always present a treatment dilemma for. Maryland Bridge For Missing Lateral Incisors.
From exougibxr.blob.core.windows.net
Dental Cement For Maryland Bridge at Zenaida Montez blog Maryland Bridge For Missing Lateral Incisors Her dentist recommended braces and left enough space for a maryland bridge to replace the missing. Replacement of the missing lateral incisor with an implant has become a primary treatment option in the past two decades. Temporary replacement of missing maxillary lateral incisors with orthodontic miniscrew implants in growing patients: My daughter is 23 years old, and her lateral incisors. Maryland Bridge For Missing Lateral Incisors.
From www.straightsmilesolutions.com
Best Restorative Options and Retention for a Missing Lateral Incisor Maryland Bridge For Missing Lateral Incisors Temporary replacement of missing maxillary lateral incisors with orthodontic miniscrew implants in growing patients: Her dentist recommended braces and left enough space for a maryland bridge to replace the missing. Replacement of the missing lateral incisor with an implant has become a primary treatment option in the past two decades. Maryland bridge is an ideal option as a fixed temporary. Maryland Bridge For Missing Lateral Incisors.
From www.youtube.com
Missing Lateral Incisor Maryland Bridge Orthodontic & Restorative Maryland Bridge For Missing Lateral Incisors Temporary replacement of missing maxillary lateral incisors with orthodontic miniscrew implants in growing patients: Replacement of the missing lateral incisor with an implant has become a primary treatment option in the past two decades. Her dentist recommended braces and left enough space for a maryland bridge to replace the missing. Congenitally missing lateral incisors always present a treatment dilemma for. Maryland Bridge For Missing Lateral Incisors.
From askadentist.com
Maryland Bridge Ask A Dentist Maryland Bridge For Missing Lateral Incisors My daughter is 23 years old, and her lateral incisors never erupted. Her dentist recommended braces and left enough space for a maryland bridge to replace the missing. Maryland bridge is an ideal option as a fixed temporary prosthesis in such patients. Congenitally missing lateral incisors always present a treatment dilemma for restorative dentists. Replacement of the missing lateral incisor. Maryland Bridge For Missing Lateral Incisors.
From www.dentistry33.com
AGENESIS OF LATERAL INCISORS review of the literature and Maryland Maryland Bridge For Missing Lateral Incisors Her dentist recommended braces and left enough space for a maryland bridge to replace the missing. Maryland bridge is an ideal option as a fixed temporary prosthesis in such patients. My daughter is 23 years old, and her lateral incisors never erupted. Replacement of the missing lateral incisor with an implant has become a primary treatment option in the past. Maryland Bridge For Missing Lateral Incisors.
From www.positivelypda.com
Palmetto Dental Associates — Missing Lateral Incisors Maryland Bridge For Missing Lateral Incisors Congenitally missing lateral incisors always present a treatment dilemma for restorative dentists. Her dentist recommended braces and left enough space for a maryland bridge to replace the missing. My daughter is 23 years old, and her lateral incisors never erupted. Temporary replacement of missing maxillary lateral incisors with orthodontic miniscrew implants in growing patients: Replacement of the missing lateral incisor. Maryland Bridge For Missing Lateral Incisors.
From www.fbfamilydentistry.com
Maryland Bridge Before & After Pictures Concord NH Smile Gallery Maryland Bridge For Missing Lateral Incisors Maryland bridge is an ideal option as a fixed temporary prosthesis in such patients. My daughter is 23 years old, and her lateral incisors never erupted. Temporary replacement of missing maxillary lateral incisors with orthodontic miniscrew implants in growing patients: Congenitally missing lateral incisors always present a treatment dilemma for restorative dentists. Replacement of the missing lateral incisor with an. Maryland Bridge For Missing Lateral Incisors.
From appelortho.com
Missing Lateral Incisors? Braces Can Help! Philadelphia Maryland Bridge For Missing Lateral Incisors Maryland bridge is an ideal option as a fixed temporary prosthesis in such patients. Her dentist recommended braces and left enough space for a maryland bridge to replace the missing. Temporary replacement of missing maxillary lateral incisors with orthodontic miniscrew implants in growing patients: Replacement of the missing lateral incisor with an implant has become a primary treatment option in. Maryland Bridge For Missing Lateral Incisors.
From www.victoriandentalgroup.com.au
DENTAL BRIDGE Maryland Bridge For Missing Lateral Incisors Her dentist recommended braces and left enough space for a maryland bridge to replace the missing. My daughter is 23 years old, and her lateral incisors never erupted. Temporary replacement of missing maxillary lateral incisors with orthodontic miniscrew implants in growing patients: Replacement of the missing lateral incisor with an implant has become a primary treatment option in the past. Maryland Bridge For Missing Lateral Incisors.
From www.dentalclinic-knet.com
Mandibular Anterior Maryland Bridge Dental Minute with Steven T Maryland Bridge For Missing Lateral Incisors My daughter is 23 years old, and her lateral incisors never erupted. Replacement of the missing lateral incisor with an implant has become a primary treatment option in the past two decades. Congenitally missing lateral incisors always present a treatment dilemma for restorative dentists. Temporary replacement of missing maxillary lateral incisors with orthodontic miniscrew implants in growing patients: Her dentist. Maryland Bridge For Missing Lateral Incisors.
From www.dothandson.com
Direct Resin Bonded Bridges Maryland Bridge For Missing Lateral Incisors My daughter is 23 years old, and her lateral incisors never erupted. Replacement of the missing lateral incisor with an implant has become a primary treatment option in the past two decades. Temporary replacement of missing maxillary lateral incisors with orthodontic miniscrew implants in growing patients: Congenitally missing lateral incisors always present a treatment dilemma for restorative dentists. Maryland bridge. Maryland Bridge For Missing Lateral Incisors.
From www.dothandson.com
Direct Resin Bonded Bridges Maryland Bridge For Missing Lateral Incisors Her dentist recommended braces and left enough space for a maryland bridge to replace the missing. Temporary replacement of missing maxillary lateral incisors with orthodontic miniscrew implants in growing patients: My daughter is 23 years old, and her lateral incisors never erupted. Replacement of the missing lateral incisor with an implant has become a primary treatment option in the past. Maryland Bridge For Missing Lateral Incisors.
From www.ajodo.org
Supplemental Materials for The Maryland bridge retainer A modification Maryland Bridge For Missing Lateral Incisors My daughter is 23 years old, and her lateral incisors never erupted. Replacement of the missing lateral incisor with an implant has become a primary treatment option in the past two decades. Congenitally missing lateral incisors always present a treatment dilemma for restorative dentists. Maryland bridge is an ideal option as a fixed temporary prosthesis in such patients. Temporary replacement. Maryland Bridge For Missing Lateral Incisors.
From www.studiodentaire.com
Hypodontia Studio Dentaire Maryland Bridge For Missing Lateral Incisors Congenitally missing lateral incisors always present a treatment dilemma for restorative dentists. Her dentist recommended braces and left enough space for a maryland bridge to replace the missing. My daughter is 23 years old, and her lateral incisors never erupted. Maryland bridge is an ideal option as a fixed temporary prosthesis in such patients. Replacement of the missing lateral incisor. Maryland Bridge For Missing Lateral Incisors.
From www.somersetorthospecialists.com
Before & After Photos Somerset Orthodontic Specialists Maryland Bridge For Missing Lateral Incisors Her dentist recommended braces and left enough space for a maryland bridge to replace the missing. Replacement of the missing lateral incisor with an implant has become a primary treatment option in the past two decades. Maryland bridge is an ideal option as a fixed temporary prosthesis in such patients. Temporary replacement of missing maxillary lateral incisors with orthodontic miniscrew. Maryland Bridge For Missing Lateral Incisors.
From www.positivelypda.com
Palmetto Dental Associates — Missing Lateral Incisors Maryland Bridge For Missing Lateral Incisors Maryland bridge is an ideal option as a fixed temporary prosthesis in such patients. Replacement of the missing lateral incisor with an implant has become a primary treatment option in the past two decades. Temporary replacement of missing maxillary lateral incisors with orthodontic miniscrew implants in growing patients: Her dentist recommended braces and left enough space for a maryland bridge. Maryland Bridge For Missing Lateral Incisors.
From leeannbrady.com
Resin Bonded Bridge for Lateral Incisor Replacement Lee Ann Brady DMD Maryland Bridge For Missing Lateral Incisors Replacement of the missing lateral incisor with an implant has become a primary treatment option in the past two decades. Her dentist recommended braces and left enough space for a maryland bridge to replace the missing. My daughter is 23 years old, and her lateral incisors never erupted. Temporary replacement of missing maxillary lateral incisors with orthodontic miniscrew implants in. Maryland Bridge For Missing Lateral Incisors.
From yanchodentistry.com
Before and After Dental Bridges Photos Maryland Bridge For Missing Lateral Incisors Congenitally missing lateral incisors always present a treatment dilemma for restorative dentists. Her dentist recommended braces and left enough space for a maryland bridge to replace the missing. My daughter is 23 years old, and her lateral incisors never erupted. Temporary replacement of missing maxillary lateral incisors with orthodontic miniscrew implants in growing patients: Maryland bridge is an ideal option. Maryland Bridge For Missing Lateral Incisors.
From www.researchgate.net
Missing Lateral incisor replaced by Cantilever bridge. (Lateral view Maryland Bridge For Missing Lateral Incisors Congenitally missing lateral incisors always present a treatment dilemma for restorative dentists. Replacement of the missing lateral incisor with an implant has become a primary treatment option in the past two decades. Her dentist recommended braces and left enough space for a maryland bridge to replace the missing. My daughter is 23 years old, and her lateral incisors never erupted.. Maryland Bridge For Missing Lateral Incisors.
From yanchodentistry.com
Dental Bonded Bridges, fixed incisors in Traverse City Maryland Bridge For Missing Lateral Incisors Replacement of the missing lateral incisor with an implant has become a primary treatment option in the past two decades. Maryland bridge is an ideal option as a fixed temporary prosthesis in such patients. Congenitally missing lateral incisors always present a treatment dilemma for restorative dentists. My daughter is 23 years old, and her lateral incisors never erupted. Temporary replacement. Maryland Bridge For Missing Lateral Incisors.
From pearlcosmeticdds.com
Maryland Dental Bridges, Replace your missing teeth without drilling Maryland Bridge For Missing Lateral Incisors Maryland bridge is an ideal option as a fixed temporary prosthesis in such patients. Her dentist recommended braces and left enough space for a maryland bridge to replace the missing. My daughter is 23 years old, and her lateral incisors never erupted. Congenitally missing lateral incisors always present a treatment dilemma for restorative dentists. Temporary replacement of missing maxillary lateral. Maryland Bridge For Missing Lateral Incisors.
From www.cureus.com
Rehabilitation of Congenitally Missing Bilateral Incisors With the Maryland Bridge For Missing Lateral Incisors Maryland bridge is an ideal option as a fixed temporary prosthesis in such patients. Replacement of the missing lateral incisor with an implant has become a primary treatment option in the past two decades. My daughter is 23 years old, and her lateral incisors never erupted. Temporary replacement of missing maxillary lateral incisors with orthodontic miniscrew implants in growing patients:. Maryland Bridge For Missing Lateral Incisors.
From www.speareducation.com
Three Solutions for Congenitally Missing Lateral Incisors Spear Education Maryland Bridge For Missing Lateral Incisors Maryland bridge is an ideal option as a fixed temporary prosthesis in such patients. My daughter is 23 years old, and her lateral incisors never erupted. Temporary replacement of missing maxillary lateral incisors with orthodontic miniscrew implants in growing patients: Replacement of the missing lateral incisor with an implant has become a primary treatment option in the past two decades.. Maryland Bridge For Missing Lateral Incisors.