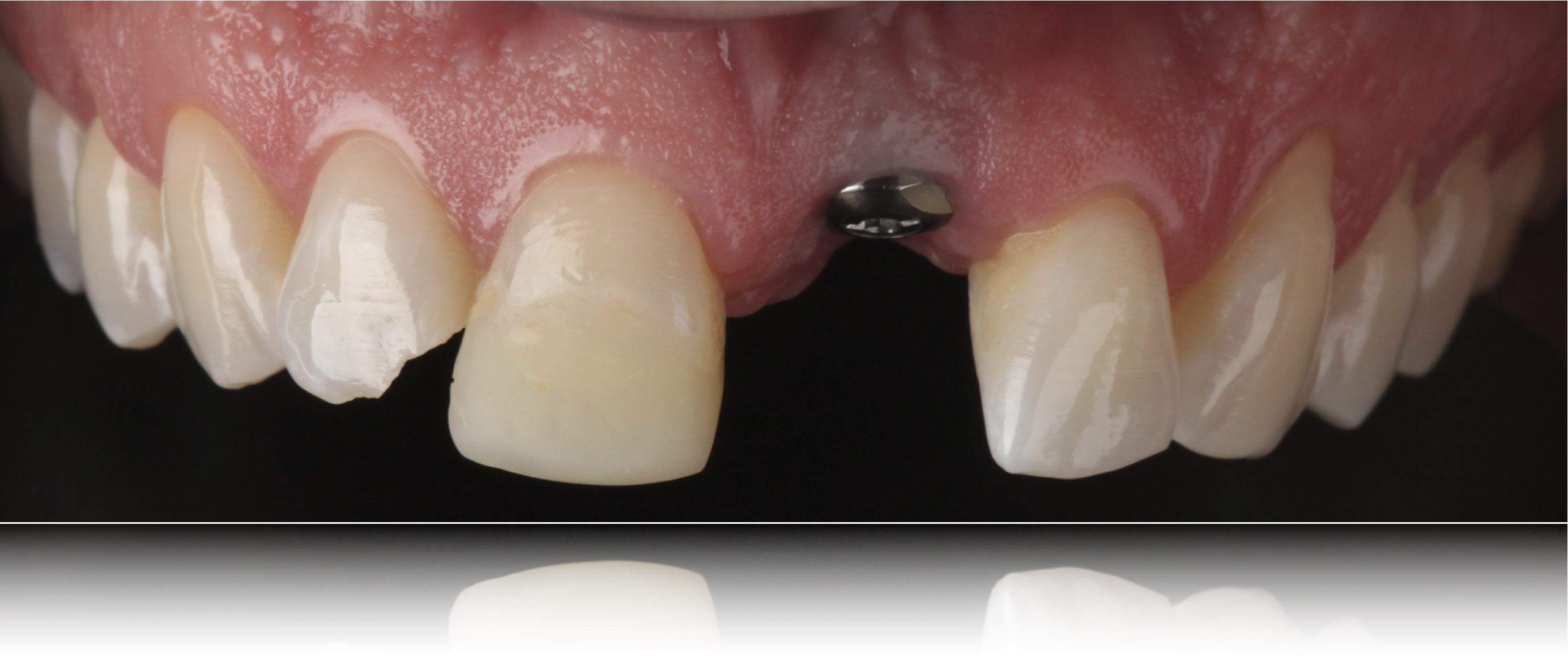
Dental Implant Anterior Tooth . Most dentists wisely select posterior cases when they are in the early stages of the learning curve for implant surgery. Dental implants are today considered as a reliable treatment option to replace missing teeth both for esthetics and function. In this case study, the immediate placement of an implant after extraction is demonstrated as a technique for maintaining. If a dental implant is submerged, the restorative process begins following uncovering. Although moving from the posterior region of the. This case report depicts an immediate replacement of missing teeth in the anterior region with basal implants. In the anterior maxilla, there are advantages to. Dental implants are artificial tooth replacements that are set into the jawbone, so they look and feel like.
from www.nycdentalimplantscenter.com
If a dental implant is submerged, the restorative process begins following uncovering. This case report depicts an immediate replacement of missing teeth in the anterior region with basal implants. In this case study, the immediate placement of an implant after extraction is demonstrated as a technique for maintaining. In the anterior maxilla, there are advantages to. Although moving from the posterior region of the. Most dentists wisely select posterior cases when they are in the early stages of the learning curve for implant surgery. Dental implants are today considered as a reliable treatment option to replace missing teeth both for esthetics and function. Dental implants are artificial tooth replacements that are set into the jawbone, so they look and feel like.
Single Tooth Implants NYC Dental Implants Manhattan NY
Dental Implant Anterior Tooth Dental implants are artificial tooth replacements that are set into the jawbone, so they look and feel like. In this case study, the immediate placement of an implant after extraction is demonstrated as a technique for maintaining. In the anterior maxilla, there are advantages to. This case report depicts an immediate replacement of missing teeth in the anterior region with basal implants. Dental implants are today considered as a reliable treatment option to replace missing teeth both for esthetics and function. Dental implants are artificial tooth replacements that are set into the jawbone, so they look and feel like. Most dentists wisely select posterior cases when they are in the early stages of the learning curve for implant surgery. Although moving from the posterior region of the. If a dental implant is submerged, the restorative process begins following uncovering.
From www.boroughdentalcare.co.uk
Dental Implants Borough Dental Care Call Now on 0207 407 3883 Dental Implant Anterior Tooth Although moving from the posterior region of the. Dental implants are today considered as a reliable treatment option to replace missing teeth both for esthetics and function. Most dentists wisely select posterior cases when they are in the early stages of the learning curve for implant surgery. If a dental implant is submerged, the restorative process begins following uncovering. In. Dental Implant Anterior Tooth.
From www.limitedtoendodontics.com
Dental Implants Limited to Endodontics Dental Implant Anterior Tooth If a dental implant is submerged, the restorative process begins following uncovering. Dental implants are artificial tooth replacements that are set into the jawbone, so they look and feel like. Dental implants are today considered as a reliable treatment option to replace missing teeth both for esthetics and function. Most dentists wisely select posterior cases when they are in the. Dental Implant Anterior Tooth.
From www.woodsdental.co.uk
Single anterior implant 9 Woods Dental Dental Implant Anterior Tooth This case report depicts an immediate replacement of missing teeth in the anterior region with basal implants. Dental implants are today considered as a reliable treatment option to replace missing teeth both for esthetics and function. Most dentists wisely select posterior cases when they are in the early stages of the learning curve for implant surgery. In this case study,. Dental Implant Anterior Tooth.
From burbankdentalimplants.com
Two Lower Front Teeth Dental Implants Dental Implant Anterior Tooth In the anterior maxilla, there are advantages to. Dental implants are artificial tooth replacements that are set into the jawbone, so they look and feel like. In this case study, the immediate placement of an implant after extraction is demonstrated as a technique for maintaining. Most dentists wisely select posterior cases when they are in the early stages of the. Dental Implant Anterior Tooth.
From www.dentistwinstonsalemnc.com
Dental Implants Winston Salem Dental Implants Blog Dental Implant Anterior Tooth Dental implants are artificial tooth replacements that are set into the jawbone, so they look and feel like. In this case study, the immediate placement of an implant after extraction is demonstrated as a technique for maintaining. This case report depicts an immediate replacement of missing teeth in the anterior region with basal implants. Although moving from the posterior region. Dental Implant Anterior Tooth.
From www.woodsdental.co.uk
Step by step Treatment in Swansea Dental Implants Dentist in Swansea Dental Implant Anterior Tooth Dental implants are today considered as a reliable treatment option to replace missing teeth both for esthetics and function. If a dental implant is submerged, the restorative process begins following uncovering. Dental implants are artificial tooth replacements that are set into the jawbone, so they look and feel like. Although moving from the posterior region of the. In this case. Dental Implant Anterior Tooth.
From www.nycdentalimplantscenter.com
Single Tooth Implants NYC Dental Implants Manhattan NY Dental Implant Anterior Tooth If a dental implant is submerged, the restorative process begins following uncovering. In this case study, the immediate placement of an implant after extraction is demonstrated as a technique for maintaining. Most dentists wisely select posterior cases when they are in the early stages of the learning curve for implant surgery. Dental implants are today considered as a reliable treatment. Dental Implant Anterior Tooth.
From www.crowndentalnashua.com
Missing A Tooth? A Single Implant May Be The Answer! Dental Implant Anterior Tooth In this case study, the immediate placement of an implant after extraction is demonstrated as a technique for maintaining. This case report depicts an immediate replacement of missing teeth in the anterior region with basal implants. Although moving from the posterior region of the. Most dentists wisely select posterior cases when they are in the early stages of the learning. Dental Implant Anterior Tooth.
From leeannbrady.com
Anterior Implant Abutment Design Lee Ann Brady DMD Dental Implant Anterior Tooth In this case study, the immediate placement of an implant after extraction is demonstrated as a technique for maintaining. In the anterior maxilla, there are advantages to. Most dentists wisely select posterior cases when they are in the early stages of the learning curve for implant surgery. Although moving from the posterior region of the. Dental implants are artificial tooth. Dental Implant Anterior Tooth.
From fyorgfezw.blob.core.windows.net
How Much Do Dental Implants Cost For 4 Teeth at Tanya Yarborough blog Dental Implant Anterior Tooth Dental implants are today considered as a reliable treatment option to replace missing teeth both for esthetics and function. Most dentists wisely select posterior cases when they are in the early stages of the learning curve for implant surgery. Although moving from the posterior region of the. This case report depicts an immediate replacement of missing teeth in the anterior. Dental Implant Anterior Tooth.
From www.shutterstock.com
Dental Implant On Upper Anterior Tooth Stock Photo 2158737001 Dental Implant Anterior Tooth Dental implants are artificial tooth replacements that are set into the jawbone, so they look and feel like. Most dentists wisely select posterior cases when they are in the early stages of the learning curve for implant surgery. This case report depicts an immediate replacement of missing teeth in the anterior region with basal implants. In the anterior maxilla, there. Dental Implant Anterior Tooth.
From allentxdentist.com
Missing Teeth Treatment in Plano TX Dental Implants in Allen TX Dental Implant Anterior Tooth Dental implants are today considered as a reliable treatment option to replace missing teeth both for esthetics and function. In this case study, the immediate placement of an implant after extraction is demonstrated as a technique for maintaining. Although moving from the posterior region of the. Dental implants are artificial tooth replacements that are set into the jawbone, so they. Dental Implant Anterior Tooth.
From burbankdentalimplants.com
Lower Front Tooth Implants Dental Implant Anterior Tooth In the anterior maxilla, there are advantages to. If a dental implant is submerged, the restorative process begins following uncovering. This case report depicts an immediate replacement of missing teeth in the anterior region with basal implants. Dental implants are today considered as a reliable treatment option to replace missing teeth both for esthetics and function. Although moving from the. Dental Implant Anterior Tooth.
From klaxgrofp.blob.core.windows.net
Do Dental Implants Last Longer Than Crowns at Melvin Frantz blog Dental Implant Anterior Tooth This case report depicts an immediate replacement of missing teeth in the anterior region with basal implants. Dental implants are artificial tooth replacements that are set into the jawbone, so they look and feel like. Although moving from the posterior region of the. If a dental implant is submerged, the restorative process begins following uncovering. Most dentists wisely select posterior. Dental Implant Anterior Tooth.
From loevpjhgl.blob.core.windows.net
Temporary Dental Bridge Before Implant at Celeste Zeller blog Dental Implant Anterior Tooth Most dentists wisely select posterior cases when they are in the early stages of the learning curve for implant surgery. This case report depicts an immediate replacement of missing teeth in the anterior region with basal implants. Dental implants are artificial tooth replacements that are set into the jawbone, so they look and feel like. In this case study, the. Dental Implant Anterior Tooth.
From www.rickglassmandds.com
Single Anterior Crown / Implant Rick Glassman, DDS, MAAFE Dental Implant Anterior Tooth If a dental implant is submerged, the restorative process begins following uncovering. Dental implants are artificial tooth replacements that are set into the jawbone, so they look and feel like. This case report depicts an immediate replacement of missing teeth in the anterior region with basal implants. Most dentists wisely select posterior cases when they are in the early stages. Dental Implant Anterior Tooth.
From ttperio.com
Dental Implant Specialists Trinidad Periodontial Center Dental Implant Anterior Tooth In the anterior maxilla, there are advantages to. This case report depicts an immediate replacement of missing teeth in the anterior region with basal implants. If a dental implant is submerged, the restorative process begins following uncovering. Dental implants are today considered as a reliable treatment option to replace missing teeth both for esthetics and function. Although moving from the. Dental Implant Anterior Tooth.
From www.familyandchildrensdentistry.com
Dental Implants Family and Children’s Dentistry Atlanta Dental Implant Anterior Tooth Dental implants are artificial tooth replacements that are set into the jawbone, so they look and feel like. Most dentists wisely select posterior cases when they are in the early stages of the learning curve for implant surgery. Although moving from the posterior region of the. If a dental implant is submerged, the restorative process begins following uncovering. Dental implants. Dental Implant Anterior Tooth.
From www.kbsdental.com
Dental Implants Kelvin B. Smith, D.D.S., LLC Baltimore Maryland Dental Implant Anterior Tooth In this case study, the immediate placement of an implant after extraction is demonstrated as a technique for maintaining. Most dentists wisely select posterior cases when they are in the early stages of the learning curve for implant surgery. Dental implants are today considered as a reliable treatment option to replace missing teeth both for esthetics and function. Although moving. Dental Implant Anterior Tooth.
From oceanbreezeprosthodontics.com
Tooth implant case 4 Ocean Breeze Prosthodontist Dental Implant Anterior Tooth Although moving from the posterior region of the. Most dentists wisely select posterior cases when they are in the early stages of the learning curve for implant surgery. In this case study, the immediate placement of an implant after extraction is demonstrated as a technique for maintaining. This case report depicts an immediate replacement of missing teeth in the anterior. Dental Implant Anterior Tooth.
From vital.com.co
Accuracy of the anterior single tooth implant Vital Specialists in Dental Implant Anterior Tooth Most dentists wisely select posterior cases when they are in the early stages of the learning curve for implant surgery. In this case study, the immediate placement of an implant after extraction is demonstrated as a technique for maintaining. If a dental implant is submerged, the restorative process begins following uncovering. This case report depicts an immediate replacement of missing. Dental Implant Anterior Tooth.
From burbankdental.com
Anterior Implant Rehabilitation Setting the Foundation Page 1 of 0 Dental Implant Anterior Tooth In this case study, the immediate placement of an implant after extraction is demonstrated as a technique for maintaining. Dental implants are today considered as a reliable treatment option to replace missing teeth both for esthetics and function. This case report depicts an immediate replacement of missing teeth in the anterior region with basal implants. In the anterior maxilla, there. Dental Implant Anterior Tooth.
From www.dentalproductshopper.com
Prettau Zirconia Implant Bridge Teeth Tomorrow Dental Lab Dental Implant Anterior Tooth Most dentists wisely select posterior cases when they are in the early stages of the learning curve for implant surgery. Although moving from the posterior region of the. If a dental implant is submerged, the restorative process begins following uncovering. This case report depicts an immediate replacement of missing teeth in the anterior region with basal implants. Dental implants are. Dental Implant Anterior Tooth.
From www.adcteam.com
Dental Implants Valdosta, GA Implant Dentistry Advanced Dental Care Dental Implant Anterior Tooth In this case study, the immediate placement of an implant after extraction is demonstrated as a technique for maintaining. Dental implants are artificial tooth replacements that are set into the jawbone, so they look and feel like. In the anterior maxilla, there are advantages to. Although moving from the posterior region of the. Dental implants are today considered as a. Dental Implant Anterior Tooth.
From www.brijdentalclinic.com
Cost of Dental Implants Ahmedabad India Best Dental Implant Clinic Dental Implant Anterior Tooth If a dental implant is submerged, the restorative process begins following uncovering. In the anterior maxilla, there are advantages to. Dental implants are artificial tooth replacements that are set into the jawbone, so they look and feel like. Most dentists wisely select posterior cases when they are in the early stages of the learning curve for implant surgery. This case. Dental Implant Anterior Tooth.
From beacondental.ie
Dental Implants Dublin, Teeth Replacements Dublin, Implant Crowns Dublin Dental Implant Anterior Tooth Dental implants are today considered as a reliable treatment option to replace missing teeth both for esthetics and function. If a dental implant is submerged, the restorative process begins following uncovering. Most dentists wisely select posterior cases when they are in the early stages of the learning curve for implant surgery. This case report depicts an immediate replacement of missing. Dental Implant Anterior Tooth.
From expertdental.in
My dental implant is showing through gum. What do I do? Expert Dental Dental Implant Anterior Tooth Most dentists wisely select posterior cases when they are in the early stages of the learning curve for implant surgery. Dental implants are artificial tooth replacements that are set into the jawbone, so they look and feel like. In this case study, the immediate placement of an implant after extraction is demonstrated as a technique for maintaining. Dental implants are. Dental Implant Anterior Tooth.
From sandiegoinvisaligndentist.org
What do dental implants look like Dental News Network Dental Implant Anterior Tooth Dental implants are today considered as a reliable treatment option to replace missing teeth both for esthetics and function. Dental implants are artificial tooth replacements that are set into the jawbone, so they look and feel like. If a dental implant is submerged, the restorative process begins following uncovering. In the anterior maxilla, there are advantages to. Most dentists wisely. Dental Implant Anterior Tooth.
From www.jalewandowskidds.com
Dental Bridges J. A. Lewandowski, D.D.S. Leawood Kansas Dental Implant Anterior Tooth Dental implants are today considered as a reliable treatment option to replace missing teeth both for esthetics and function. This case report depicts an immediate replacement of missing teeth in the anterior region with basal implants. If a dental implant is submerged, the restorative process begins following uncovering. In this case study, the immediate placement of an implant after extraction. Dental Implant Anterior Tooth.
From drmiski.com
Bone Grafting For Dental Implant French Dental Services Dubai Dr Dental Implant Anterior Tooth If a dental implant is submerged, the restorative process begins following uncovering. In the anterior maxilla, there are advantages to. In this case study, the immediate placement of an implant after extraction is demonstrated as a technique for maintaining. Dental implants are artificial tooth replacements that are set into the jawbone, so they look and feel like. Although moving from. Dental Implant Anterior Tooth.
From clinicalmastery.com
Mastering Dental Implant Restorations and Aesthetics Dental Implant Anterior Tooth Dental implants are today considered as a reliable treatment option to replace missing teeth both for esthetics and function. Dental implants are artificial tooth replacements that are set into the jawbone, so they look and feel like. This case report depicts an immediate replacement of missing teeth in the anterior region with basal implants. In this case study, the immediate. Dental Implant Anterior Tooth.
From leeannbrady.com
Anterior Implant Provisionals Yes or No? Lee Ann Brady DMD Dental Implant Anterior Tooth This case report depicts an immediate replacement of missing teeth in the anterior region with basal implants. Although moving from the posterior region of the. Dental implants are today considered as a reliable treatment option to replace missing teeth both for esthetics and function. In this case study, the immediate placement of an implant after extraction is demonstrated as a. Dental Implant Anterior Tooth.
From www.advancedsedationdds.com
Dental Implants in Virginia Beach, VA Dental Implants in Chesapeake Dental Implant Anterior Tooth Although moving from the posterior region of the. This case report depicts an immediate replacement of missing teeth in the anterior region with basal implants. In this case study, the immediate placement of an implant after extraction is demonstrated as a technique for maintaining. If a dental implant is submerged, the restorative process begins following uncovering. Dental implants are artificial. Dental Implant Anterior Tooth.
From www.universitydentalsandiego.com
Can You Have A Dental Implant On A Front Tooth? University Dental San Dental Implant Anterior Tooth Dental implants are artificial tooth replacements that are set into the jawbone, so they look and feel like. Although moving from the posterior region of the. In the anterior maxilla, there are advantages to. In this case study, the immediate placement of an implant after extraction is demonstrated as a technique for maintaining. Most dentists wisely select posterior cases when. Dental Implant Anterior Tooth.
From oceanbreezeprosthodontics.com
CASE 3 IMPLANT CROWNS (Front Teeth) Ocean Breeze Prosthodontics Dental Implant Anterior Tooth In this case study, the immediate placement of an implant after extraction is demonstrated as a technique for maintaining. If a dental implant is submerged, the restorative process begins following uncovering. Although moving from the posterior region of the. Dental implants are today considered as a reliable treatment option to replace missing teeth both for esthetics and function. This case. Dental Implant Anterior Tooth.