What Is A Deep Cleaning For Teeth Called . Find out who needs them, what to. Learn about tooth scaling and root planing, procedures that remove tartar and treat gum disease. What is a deep cleaning? Deep teeth cleaning is usually completed over two appointments. If the dentist finds a lot of plaque. Deep cleaning is a dental procedure that removes tartar and plaque from below the gumline to treat gum disease. This is because your dentist will use local anesthetic to numb and treat one side of your mouth in each appointment. Numbing the entire mouth would make it difficult to talk or eat or drink after your appointment. Learn how much it costs,. Learn about scaling and root planing, a deep cleaning procedure for gum disease that involves removing plaque and calculus below the gum line. During a regular teeth cleaning, the visible parts of the teeth are inspected, cleaned, and polished. Your first deep teeth cleaning appointment. Deep cleaning is the term used for a periodontal treatment called scaling and root planing (srp). Deep teeth cleaning is a procedure to remove bacteria under your gums and prevent or cure gum disease.
from gsdsmile.com
During a regular teeth cleaning, the visible parts of the teeth are inspected, cleaned, and polished. Numbing the entire mouth would make it difficult to talk or eat or drink after your appointment. Deep cleaning is a dental procedure that removes tartar and plaque from below the gumline to treat gum disease. Deep teeth cleaning is usually completed over two appointments. What is a deep cleaning? This is because your dentist will use local anesthetic to numb and treat one side of your mouth in each appointment. Learn how much it costs,. If the dentist finds a lot of plaque. Deep cleaning is the term used for a periodontal treatment called scaling and root planing (srp). Deep teeth cleaning is a procedure to remove bacteria under your gums and prevent or cure gum disease.
The Difference Between Deep Teeth Cleaning And Regular Cleaning
What Is A Deep Cleaning For Teeth Called What is a deep cleaning? During a regular teeth cleaning, the visible parts of the teeth are inspected, cleaned, and polished. Learn about tooth scaling and root planing, procedures that remove tartar and treat gum disease. Deep cleaning is a dental procedure that removes tartar and plaque from below the gumline to treat gum disease. Numbing the entire mouth would make it difficult to talk or eat or drink after your appointment. Learn about scaling and root planing, a deep cleaning procedure for gum disease that involves removing plaque and calculus below the gum line. Learn how much it costs,. What is a deep cleaning? This is because your dentist will use local anesthetic to numb and treat one side of your mouth in each appointment. Your first deep teeth cleaning appointment. Deep teeth cleaning is usually completed over two appointments. Deep cleaning is the term used for a periodontal treatment called scaling and root planing (srp). Find out who needs them, what to. Deep teeth cleaning is a procedure to remove bacteria under your gums and prevent or cure gum disease. If the dentist finds a lot of plaque.
From www.carolinasdentist.com
Signs You Need a Deep Dental Cleaning CarolinasDentist What Is A Deep Cleaning For Teeth Called Deep cleaning is a dental procedure that removes tartar and plaque from below the gumline to treat gum disease. If the dentist finds a lot of plaque. Numbing the entire mouth would make it difficult to talk or eat or drink after your appointment. Deep cleaning is the term used for a periodontal treatment called scaling and root planing (srp).. What Is A Deep Cleaning For Teeth Called.
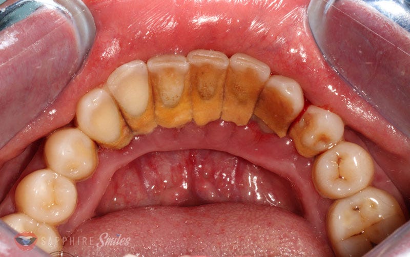
From www.hi-techsmiles.com
What Is Deep Teeth Cleaning? Dr. Parul Mehta & Associates What Is A Deep Cleaning For Teeth Called Learn how much it costs,. During a regular teeth cleaning, the visible parts of the teeth are inspected, cleaned, and polished. Find out who needs them, what to. Learn about scaling and root planing, a deep cleaning procedure for gum disease that involves removing plaque and calculus below the gum line. Numbing the entire mouth would make it difficult to. What Is A Deep Cleaning For Teeth Called.
From dentalhealthsociety.com
Deep Teeth Cleaning Before and After Dental Health Society What Is A Deep Cleaning For Teeth Called Deep cleaning is the term used for a periodontal treatment called scaling and root planing (srp). Learn about tooth scaling and root planing, procedures that remove tartar and treat gum disease. If the dentist finds a lot of plaque. During a regular teeth cleaning, the visible parts of the teeth are inspected, cleaned, and polished. What is a deep cleaning?. What Is A Deep Cleaning For Teeth Called.
From www.slideserve.com
PPT What Is The Procedure For Deep Cleaning Of Teeth? PowerPoint What Is A Deep Cleaning For Teeth Called Learn how much it costs,. Deep cleaning is the term used for a periodontal treatment called scaling and root planing (srp). Learn about scaling and root planing, a deep cleaning procedure for gum disease that involves removing plaque and calculus below the gum line. Deep teeth cleaning is a procedure to remove bacteria under your gums and prevent or cure. What Is A Deep Cleaning For Teeth Called.
From www.youtube.com
Dental Cleaning Dentist Deep Teeth Cleaning Plaque Cleaning and What Is A Deep Cleaning For Teeth Called If the dentist finds a lot of plaque. Learn about tooth scaling and root planing, procedures that remove tartar and treat gum disease. During a regular teeth cleaning, the visible parts of the teeth are inspected, cleaned, and polished. Learn about scaling and root planing, a deep cleaning procedure for gum disease that involves removing plaque and calculus below the. What Is A Deep Cleaning For Teeth Called.
From elitedentalmiami.com
Deep Cleaning Teeth before And After Amazing difference What Is A Deep Cleaning For Teeth Called Learn about scaling and root planing, a deep cleaning procedure for gum disease that involves removing plaque and calculus below the gum line. Numbing the entire mouth would make it difficult to talk or eat or drink after your appointment. Find out who needs them, what to. This is because your dentist will use local anesthetic to numb and treat. What Is A Deep Cleaning For Teeth Called.
From www.nwph.net
Everything You Need To Know About Deep Teeth Cleaning What Is A Deep Cleaning For Teeth Called Deep teeth cleaning is a procedure to remove bacteria under your gums and prevent or cure gum disease. This is because your dentist will use local anesthetic to numb and treat one side of your mouth in each appointment. Your first deep teeth cleaning appointment. Deep cleaning is the term used for a periodontal treatment called scaling and root planing. What Is A Deep Cleaning For Teeth Called.
From dentalhealthsociety.com
Deep Teeth Cleaning Before and After Dental Health Society What Is A Deep Cleaning For Teeth Called Learn how much it costs,. Numbing the entire mouth would make it difficult to talk or eat or drink after your appointment. Learn about tooth scaling and root planing, procedures that remove tartar and treat gum disease. If the dentist finds a lot of plaque. Deep cleaning is a dental procedure that removes tartar and plaque from below the gumline. What Is A Deep Cleaning For Teeth Called.
From www.youtube.com
Deep Teeth Cleaning Recovery Tips (How To Heal Fast) YouTube What Is A Deep Cleaning For Teeth Called Deep teeth cleaning is usually completed over two appointments. This is because your dentist will use local anesthetic to numb and treat one side of your mouth in each appointment. Learn about tooth scaling and root planing, procedures that remove tartar and treat gum disease. Find out who needs them, what to. Deep teeth cleaning is a procedure to remove. What Is A Deep Cleaning For Teeth Called.
From www.youtube.com
What To Expect From a DEEP Cleaning at the Dentist YouTube What Is A Deep Cleaning For Teeth Called Learn about tooth scaling and root planing, procedures that remove tartar and treat gum disease. Numbing the entire mouth would make it difficult to talk or eat or drink after your appointment. Learn about scaling and root planing, a deep cleaning procedure for gum disease that involves removing plaque and calculus below the gum line. What is a deep cleaning?. What Is A Deep Cleaning For Teeth Called.
From gsdsmile.com
The Difference Between Deep Teeth Cleaning And Regular Cleaning What Is A Deep Cleaning For Teeth Called This is because your dentist will use local anesthetic to numb and treat one side of your mouth in each appointment. Numbing the entire mouth would make it difficult to talk or eat or drink after your appointment. Learn about tooth scaling and root planing, procedures that remove tartar and treat gum disease. Deep cleaning is the term used for. What Is A Deep Cleaning For Teeth Called.
From everydaysmiles.com.au
What’s the difference between deep cleaning and regular cleaning at the What Is A Deep Cleaning For Teeth Called Numbing the entire mouth would make it difficult to talk or eat or drink after your appointment. Deep cleaning is the term used for a periodontal treatment called scaling and root planing (srp). Learn about tooth scaling and root planing, procedures that remove tartar and treat gum disease. Learn about scaling and root planing, a deep cleaning procedure for gum. What Is A Deep Cleaning For Teeth Called.
From dentalhealthsociety.com
Deep Teeth Cleaning Before and After Dental Health Society What Is A Deep Cleaning For Teeth Called Learn how much it costs,. During a regular teeth cleaning, the visible parts of the teeth are inspected, cleaned, and polished. Numbing the entire mouth would make it difficult to talk or eat or drink after your appointment. Deep cleaning is a dental procedure that removes tartar and plaque from below the gumline to treat gum disease. Your first deep. What Is A Deep Cleaning For Teeth Called.
From brenhamfamilydental.com
What Is Dental Deep Cleaning? What Is A Deep Cleaning For Teeth Called Deep cleaning is the term used for a periodontal treatment called scaling and root planing (srp). Learn about scaling and root planing, a deep cleaning procedure for gum disease that involves removing plaque and calculus below the gum line. Find out who needs them, what to. This is because your dentist will use local anesthetic to numb and treat one. What Is A Deep Cleaning For Teeth Called.
From www.ascentdental.com
What To Expect From A Deep Teeth Cleaning Ascent Dental Group What Is A Deep Cleaning For Teeth Called Learn about scaling and root planing, a deep cleaning procedure for gum disease that involves removing plaque and calculus below the gum line. Find out who needs them, what to. Deep teeth cleaning is usually completed over two appointments. What is a deep cleaning? This is because your dentist will use local anesthetic to numb and treat one side of. What Is A Deep Cleaning For Teeth Called.
From www.healthline.com
Disadvantages and Advantages of Deep Cleaning Teeth What Is A Deep Cleaning For Teeth Called This is because your dentist will use local anesthetic to numb and treat one side of your mouth in each appointment. During a regular teeth cleaning, the visible parts of the teeth are inspected, cleaned, and polished. Numbing the entire mouth would make it difficult to talk or eat or drink after your appointment. If the dentist finds a lot. What Is A Deep Cleaning For Teeth Called.
From cidentist.com
What Is Dental Deep Cleaning? 6 Advantages And Disadvantages What Is A Deep Cleaning For Teeth Called If the dentist finds a lot of plaque. What is a deep cleaning? Your first deep teeth cleaning appointment. Deep teeth cleaning is usually completed over two appointments. Deep teeth cleaning is a procedure to remove bacteria under your gums and prevent or cure gum disease. Learn how much it costs,. Deep cleaning is a dental procedure that removes tartar. What Is A Deep Cleaning For Teeth Called.
From www.rockville-all-smiles-dentistry.com
What is Deep Teeth Cleaning? What Is A Deep Cleaning For Teeth Called Your first deep teeth cleaning appointment. Deep cleaning is the term used for a periodontal treatment called scaling and root planing (srp). Numbing the entire mouth would make it difficult to talk or eat or drink after your appointment. Learn about tooth scaling and root planing, procedures that remove tartar and treat gum disease. Learn how much it costs,. This. What Is A Deep Cleaning For Teeth Called.
From www.sachardental.com
Dentist NYC Periodontal Treatment Sachar Dental NYC What Is A Deep Cleaning For Teeth Called Learn how much it costs,. Learn about tooth scaling and root planing, procedures that remove tartar and treat gum disease. Your first deep teeth cleaning appointment. What is a deep cleaning? Find out who needs them, what to. During a regular teeth cleaning, the visible parts of the teeth are inspected, cleaned, and polished. Deep teeth cleaning is a procedure. What Is A Deep Cleaning For Teeth Called.
From lasrydentalclinic.com
How Much Does Teeth Cleaning Cost? Here's What To Expect What Is A Deep Cleaning For Teeth Called Deep teeth cleaning is usually completed over two appointments. Learn about scaling and root planing, a deep cleaning procedure for gum disease that involves removing plaque and calculus below the gum line. What is a deep cleaning? Learn about tooth scaling and root planing, procedures that remove tartar and treat gum disease. Deep cleaning is a dental procedure that removes. What Is A Deep Cleaning For Teeth Called.
From medium.com
What Is The Procedure For Deep Cleaning Of Teeth? by Richardsgovan What Is A Deep Cleaning For Teeth Called Learn about scaling and root planing, a deep cleaning procedure for gum disease that involves removing plaque and calculus below the gum line. Learn about tooth scaling and root planing, procedures that remove tartar and treat gum disease. What is a deep cleaning? Your first deep teeth cleaning appointment. Deep teeth cleaning is usually completed over two appointments. Numbing the. What Is A Deep Cleaning For Teeth Called.
From www.youtube.com
What is deep cleaning teeth? What You Need to Know YouTube What Is A Deep Cleaning For Teeth Called Deep cleaning is a dental procedure that removes tartar and plaque from below the gumline to treat gum disease. Deep cleaning is the term used for a periodontal treatment called scaling and root planing (srp). During a regular teeth cleaning, the visible parts of the teeth are inspected, cleaned, and polished. What is a deep cleaning? Deep teeth cleaning is. What Is A Deep Cleaning For Teeth Called.
From www.dentistdiary.com
What Is The Importance Of Professional Teeth Cleaning? What Is A Deep Cleaning For Teeth Called Deep cleaning is a dental procedure that removes tartar and plaque from below the gumline to treat gum disease. During a regular teeth cleaning, the visible parts of the teeth are inspected, cleaned, and polished. Learn how much it costs,. Learn about scaling and root planing, a deep cleaning procedure for gum disease that involves removing plaque and calculus below. What Is A Deep Cleaning For Teeth Called.
From www.slideserve.com
PPT Why Do I Need Dental Deep Cleaning PowerPoint Presentation, free What Is A Deep Cleaning For Teeth Called Deep cleaning is a dental procedure that removes tartar and plaque from below the gumline to treat gum disease. Deep cleaning is the term used for a periodontal treatment called scaling and root planing (srp). Deep teeth cleaning is usually completed over two appointments. What is a deep cleaning? Your first deep teeth cleaning appointment. This is because your dentist. What Is A Deep Cleaning For Teeth Called.
From www.nwph.net
Everything You Need To Know About Deep Teeth Cleaning What Is A Deep Cleaning For Teeth Called Your first deep teeth cleaning appointment. During a regular teeth cleaning, the visible parts of the teeth are inspected, cleaned, and polished. Numbing the entire mouth would make it difficult to talk or eat or drink after your appointment. Deep cleaning is a dental procedure that removes tartar and plaque from below the gumline to treat gum disease. Deep cleaning. What Is A Deep Cleaning For Teeth Called.
From drquadri.com
Deep Cleaning Vs Regular Cleaning Teeth Dental Clinic What Is A Deep Cleaning For Teeth Called Deep cleaning is the term used for a periodontal treatment called scaling and root planing (srp). Find out who needs them, what to. Deep teeth cleaning is usually completed over two appointments. What is a deep cleaning? Learn about scaling and root planing, a deep cleaning procedure for gum disease that involves removing plaque and calculus below the gum line.. What Is A Deep Cleaning For Teeth Called.
From dentistforlife.net
How To Deep Cleaning Teeth At Home Dentist For Life What Is A Deep Cleaning For Teeth Called Deep cleaning is the term used for a periodontal treatment called scaling and root planing (srp). Deep cleaning is a dental procedure that removes tartar and plaque from below the gumline to treat gum disease. During a regular teeth cleaning, the visible parts of the teeth are inspected, cleaned, and polished. Learn about scaling and root planing, a deep cleaning. What Is A Deep Cleaning For Teeth Called.
From juitpelatin.weebly.com
deep cleaning teeth really needed What Is A Deep Cleaning For Teeth Called Deep cleaning is the term used for a periodontal treatment called scaling and root planing (srp). Learn about tooth scaling and root planing, procedures that remove tartar and treat gum disease. If the dentist finds a lot of plaque. Deep cleaning is a dental procedure that removes tartar and plaque from below the gumline to treat gum disease. Learn how. What Is A Deep Cleaning For Teeth Called.
From www.youtube.com
Teeth Cleaning vs Deep Cleaning Dentist Reviews How Teeth Are Cleaned What Is A Deep Cleaning For Teeth Called What is a deep cleaning? Learn about scaling and root planing, a deep cleaning procedure for gum disease that involves removing plaque and calculus below the gum line. Deep teeth cleaning is usually completed over two appointments. Your first deep teeth cleaning appointment. If the dentist finds a lot of plaque. Find out who needs them, what to. This is. What Is A Deep Cleaning For Teeth Called.
From www.drbrettlangston.com
When Do You Need Deep Teeth Cleaning? Dental Implant & Aesthetic What Is A Deep Cleaning For Teeth Called Numbing the entire mouth would make it difficult to talk or eat or drink after your appointment. What is a deep cleaning? Deep teeth cleaning is usually completed over two appointments. Learn about tooth scaling and root planing, procedures that remove tartar and treat gum disease. Learn how much it costs,. Find out who needs them, what to. Your first. What Is A Deep Cleaning For Teeth Called.
From www.emergencydentistsusa.com
Deep Cleaning Teeth at Home The Best Protocol What Is A Deep Cleaning For Teeth Called Deep cleaning is a dental procedure that removes tartar and plaque from below the gumline to treat gum disease. During a regular teeth cleaning, the visible parts of the teeth are inspected, cleaned, and polished. Deep teeth cleaning is a procedure to remove bacteria under your gums and prevent or cure gum disease. Numbing the entire mouth would make it. What Is A Deep Cleaning For Teeth Called.
From elitedentalmiami.com
Deep Cleaning Teeth before And After Amazing difference What Is A Deep Cleaning For Teeth Called During a regular teeth cleaning, the visible parts of the teeth are inspected, cleaned, and polished. What is a deep cleaning? Deep cleaning is a dental procedure that removes tartar and plaque from below the gumline to treat gum disease. Learn about tooth scaling and root planing, procedures that remove tartar and treat gum disease. Numbing the entire mouth would. What Is A Deep Cleaning For Teeth Called.
From www.elitedentalanddenture.com
Routine Cleaning Vs. Deep Cleaning Dental Appointments Dr. Raminder What Is A Deep Cleaning For Teeth Called Deep cleaning is a dental procedure that removes tartar and plaque from below the gumline to treat gum disease. Find out who needs them, what to. Deep teeth cleaning is a procedure to remove bacteria under your gums and prevent or cure gum disease. During a regular teeth cleaning, the visible parts of the teeth are inspected, cleaned, and polished.. What Is A Deep Cleaning For Teeth Called.
From torbeckdental.com
The Benefits of a Deep Cleaning Treatment For Your Teeth and Gums When What Is A Deep Cleaning For Teeth Called Deep cleaning is a dental procedure that removes tartar and plaque from below the gumline to treat gum disease. This is because your dentist will use local anesthetic to numb and treat one side of your mouth in each appointment. Deep cleaning is the term used for a periodontal treatment called scaling and root planing (srp). Your first deep teeth. What Is A Deep Cleaning For Teeth Called.
From www.dentalclinic-knet.com
Deep Cleaning vs Regular Cleaning (Dental Hygienist Explains) Dental What Is A Deep Cleaning For Teeth Called Deep cleaning is the term used for a periodontal treatment called scaling and root planing (srp). What is a deep cleaning? This is because your dentist will use local anesthetic to numb and treat one side of your mouth in each appointment. Deep teeth cleaning is usually completed over two appointments. Find out who needs them, what to. If the. What Is A Deep Cleaning For Teeth Called.