Chad Henry Neosho Mo . Free and open company data on missouri (us) company henry land & cattle llc (company number lc001452045), 14764 hereford rd,. Chad henry, based in neosho, mo, us, is currently a senior solutions consultant at aci worldwide. Chad henry brings experience from previous. Lookup the home address, phone numbers, email address for this person View chad christopher henry results in missouri (mo) including current phone number, address, relatives, background check report, and. View chad c henry results in missouri (mo) including current phone number, address, relatives, background check report, and. View chad henry's profile for company associations, background information, and partnerships. The company's filing status is listed. Chad a henry is a resident of neosho. Search our database of over 100.
from www.seedway.com
Chad a henry is a resident of neosho. Search our database of over 100. Lookup the home address, phone numbers, email address for this person The company's filing status is listed. View chad christopher henry results in missouri (mo) including current phone number, address, relatives, background check report, and. Free and open company data on missouri (us) company henry land & cattle llc (company number lc001452045), 14764 hereford rd,. View chad c henry results in missouri (mo) including current phone number, address, relatives, background check report, and. View chad henry's profile for company associations, background information, and partnerships. Chad henry brings experience from previous. Chad henry, based in neosho, mo, us, is currently a senior solutions consultant at aci worldwide.
Chad Henry Seedway
Chad Henry Neosho Mo Chad henry, based in neosho, mo, us, is currently a senior solutions consultant at aci worldwide. Chad a henry is a resident of neosho. View chad henry's profile for company associations, background information, and partnerships. View chad c henry results in missouri (mo) including current phone number, address, relatives, background check report, and. Lookup the home address, phone numbers, email address for this person Search our database of over 100. Chad henry, based in neosho, mo, us, is currently a senior solutions consultant at aci worldwide. View chad christopher henry results in missouri (mo) including current phone number, address, relatives, background check report, and. Chad henry brings experience from previous. Free and open company data on missouri (us) company henry land & cattle llc (company number lc001452045), 14764 hereford rd,. The company's filing status is listed.
From www.5newsonline.com
Former Benton County Deputy Pleads Guilty To Misusing PoliceOnly Chad Henry Neosho Mo Lookup the home address, phone numbers, email address for this person Search our database of over 100. Chad a henry is a resident of neosho. Chad henry brings experience from previous. The company's filing status is listed. Free and open company data on missouri (us) company henry land & cattle llc (company number lc001452045), 14764 hereford rd,. View chad henry's. Chad Henry Neosho Mo.
From www.msn.com
Neosho Arts Council Chad Henry Neosho Mo Chad a henry is a resident of neosho. Search our database of over 100. Chad henry brings experience from previous. View chad christopher henry results in missouri (mo) including current phone number, address, relatives, background check report, and. Chad henry, based in neosho, mo, us, is currently a senior solutions consultant at aci worldwide. Free and open company data on. Chad Henry Neosho Mo.
From www.billgoodmarketing.com
Building a Referral Machine Bill Good Marketing Chad Henry Neosho Mo The company's filing status is listed. View chad c henry results in missouri (mo) including current phone number, address, relatives, background check report, and. View chad henry's profile for company associations, background information, and partnerships. Chad henry, based in neosho, mo, us, is currently a senior solutions consultant at aci worldwide. Lookup the home address, phone numbers, email address for. Chad Henry Neosho Mo.
From www.reddit.com
Giga Chad Henry with Sir Radzig's sword Chad Henry Neosho Mo Free and open company data on missouri (us) company henry land & cattle llc (company number lc001452045), 14764 hereford rd,. Search our database of over 100. Lookup the home address, phone numbers, email address for this person The company's filing status is listed. Chad henry, based in neosho, mo, us, is currently a senior solutions consultant at aci worldwide. Chad. Chad Henry Neosho Mo.
From undisputedconsulting.com
Chad Henry Undisputed Consulting Chad Henry Neosho Mo The company's filing status is listed. View chad c henry results in missouri (mo) including current phone number, address, relatives, background check report, and. Search our database of over 100. Free and open company data on missouri (us) company henry land & cattle llc (company number lc001452045), 14764 hereford rd,. Chad a henry is a resident of neosho. Lookup the. Chad Henry Neosho Mo.
From salinapost.com
KBI Body of missing Kansas man located, 2 jailed in Missouri Chad Henry Neosho Mo Lookup the home address, phone numbers, email address for this person Chad a henry is a resident of neosho. View chad henry's profile for company associations, background information, and partnerships. Free and open company data on missouri (us) company henry land & cattle llc (company number lc001452045), 14764 hereford rd,. View chad c henry results in missouri (mo) including current. Chad Henry Neosho Mo.
From www.fourstateshomepage.com
Missouri Dollar General manager arrested after admitting to stealing Chad Henry Neosho Mo Lookup the home address, phone numbers, email address for this person The company's filing status is listed. Chad henry, based in neosho, mo, us, is currently a senior solutions consultant at aci worldwide. Chad a henry is a resident of neosho. View chad henry's profile for company associations, background information, and partnerships. Free and open company data on missouri (us). Chad Henry Neosho Mo.
From www.colts.com
Behind the Pick Chad Henry, 2022 Draft Chad Henry Neosho Mo Lookup the home address, phone numbers, email address for this person Free and open company data on missouri (us) company henry land & cattle llc (company number lc001452045), 14764 hereford rd,. View chad christopher henry results in missouri (mo) including current phone number, address, relatives, background check report, and. Chad henry, based in neosho, mo, us, is currently a senior. Chad Henry Neosho Mo.
From www.facebook.com
Chad White, Realtor Armstrong Properties Caldwell TX Chad Henry Neosho Mo Chad henry, based in neosho, mo, us, is currently a senior solutions consultant at aci worldwide. View chad henry's profile for company associations, background information, and partnerships. Chad a henry is a resident of neosho. The company's filing status is listed. Lookup the home address, phone numbers, email address for this person Search our database of over 100. Free and. Chad Henry Neosho Mo.
From www.facebook.com
Chad Cockerell "Loans by Chad" Guild Mortgage Company Oxnard CA Chad Henry Neosho Mo Chad a henry is a resident of neosho. Chad henry, based in neosho, mo, us, is currently a senior solutions consultant at aci worldwide. View chad c henry results in missouri (mo) including current phone number, address, relatives, background check report, and. Search our database of over 100. Free and open company data on missouri (us) company henry land &. Chad Henry Neosho Mo.
From www.fourstateshomepage.com
Suspect in Neosho Shooting Surrenders, Charges Filed KSNF/KODE Chad Henry Neosho Mo View chad henry's profile for company associations, background information, and partnerships. Lookup the home address, phone numbers, email address for this person Chad henry brings experience from previous. Chad henry, based in neosho, mo, us, is currently a senior solutions consultant at aci worldwide. View chad c henry results in missouri (mo) including current phone number, address, relatives, background check. Chad Henry Neosho Mo.
From www.paulhastings.com
Chad Vance, Partner, Corporate Department Paul Hastings LLP Chad Henry Neosho Mo Chad a henry is a resident of neosho. Chad henry brings experience from previous. View chad c henry results in missouri (mo) including current phone number, address, relatives, background check report, and. View chad christopher henry results in missouri (mo) including current phone number, address, relatives, background check report, and. Lookup the home address, phone numbers, email address for this. Chad Henry Neosho Mo.
From www.facebook.com
Chad Kirschbaum Mortgage Analyst NMLS 2077885 Melville NY Chad Henry Neosho Mo View chad christopher henry results in missouri (mo) including current phone number, address, relatives, background check report, and. Search our database of over 100. Free and open company data on missouri (us) company henry land & cattle llc (company number lc001452045), 14764 hereford rd,. Chad a henry is a resident of neosho. Chad henry, based in neosho, mo, us, is. Chad Henry Neosho Mo.
From shanieaidian.blogspot.com
10+ Neosho Police Department ShanieAidian Chad Henry Neosho Mo Chad henry, based in neosho, mo, us, is currently a senior solutions consultant at aci worldwide. Chad a henry is a resident of neosho. Chad henry brings experience from previous. The company's filing status is listed. View chad christopher henry results in missouri (mo) including current phone number, address, relatives, background check report, and. Search our database of over 100.. Chad Henry Neosho Mo.
From mungfali.com
Wisconsin Department Of Military Affairs B10 Chad Henry Neosho Mo Chad henry, based in neosho, mo, us, is currently a senior solutions consultant at aci worldwide. Chad henry brings experience from previous. Free and open company data on missouri (us) company henry land & cattle llc (company number lc001452045), 14764 hereford rd,. View chad christopher henry results in missouri (mo) including current phone number, address, relatives, background check report, and.. Chad Henry Neosho Mo.
From www.facebook.com
Chad Smallwood State Farm Agent Somerset KY Chad Henry Neosho Mo View chad henry's profile for company associations, background information, and partnerships. Chad henry brings experience from previous. The company's filing status is listed. Chad henry, based in neosho, mo, us, is currently a senior solutions consultant at aci worldwide. Free and open company data on missouri (us) company henry land & cattle llc (company number lc001452045), 14764 hereford rd,. Search. Chad Henry Neosho Mo.
From seascatholic.flocknote.com
Flocknote Chad Henry Neosho Mo View chad c henry results in missouri (mo) including current phone number, address, relatives, background check report, and. View chad christopher henry results in missouri (mo) including current phone number, address, relatives, background check report, and. Free and open company data on missouri (us) company henry land & cattle llc (company number lc001452045), 14764 hereford rd,. Chad henry, based in. Chad Henry Neosho Mo.
From www.linkedin.com
Chad Henry Owner Henry Home Services LinkedIn Chad Henry Neosho Mo Chad henry, based in neosho, mo, us, is currently a senior solutions consultant at aci worldwide. Search our database of over 100. Free and open company data on missouri (us) company henry land & cattle llc (company number lc001452045), 14764 hereford rd,. View chad christopher henry results in missouri (mo) including current phone number, address, relatives, background check report, and.. Chad Henry Neosho Mo.
From neoshodaily.com
watertowerdemo Neosho Daily News Chad Henry Neosho Mo The company's filing status is listed. Chad a henry is a resident of neosho. Free and open company data on missouri (us) company henry land & cattle llc (company number lc001452045), 14764 hereford rd,. Chad henry, based in neosho, mo, us, is currently a senior solutions consultant at aci worldwide. View chad henry's profile for company associations, background information, and. Chad Henry Neosho Mo.
From www.facebook.com
Chad Dyche, Realtor, MBA, MSF Chad Henry Neosho Mo View chad henry's profile for company associations, background information, and partnerships. View chad christopher henry results in missouri (mo) including current phone number, address, relatives, background check report, and. Chad a henry is a resident of neosho. Search our database of over 100. Chad henry brings experience from previous. Chad henry, based in neosho, mo, us, is currently a senior. Chad Henry Neosho Mo.
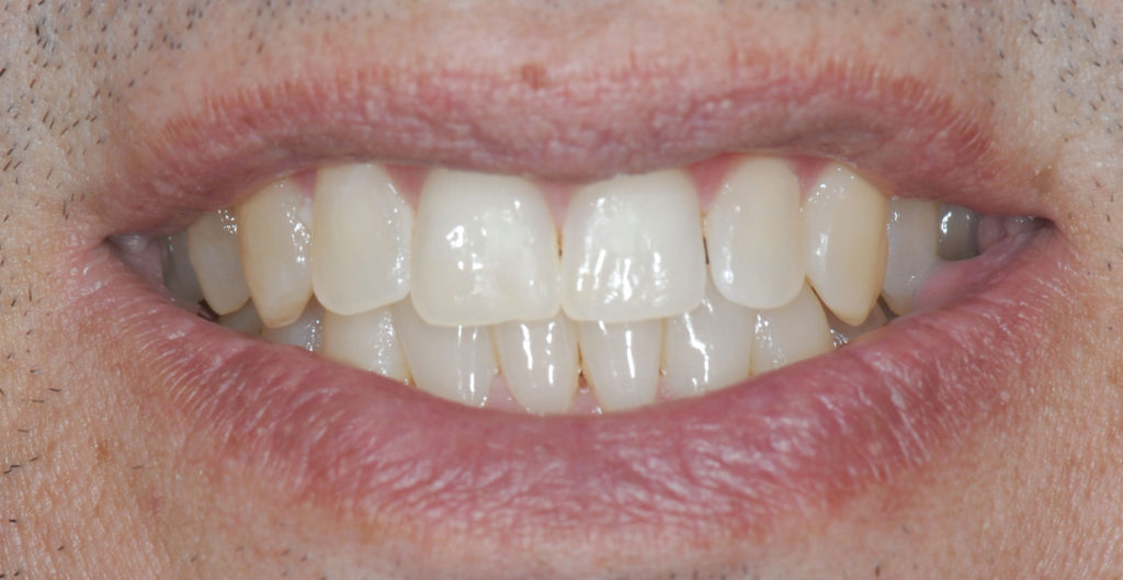
From www.neoshosmiles.com
Smile Gallery Neosho, MO Family Dentistry of Neosho Chad Henry Neosho Mo Chad a henry is a resident of neosho. Chad henry, based in neosho, mo, us, is currently a senior solutions consultant at aci worldwide. The company's filing status is listed. Search our database of over 100. Chad henry brings experience from previous. Lookup the home address, phone numbers, email address for this person View chad c henry results in missouri. Chad Henry Neosho Mo.
From greenemo.mugshots.zone
BREDE CHAD HENRY 07/18/2023 Greene County Mugshots Zone Chad Henry Neosho Mo View chad christopher henry results in missouri (mo) including current phone number, address, relatives, background check report, and. The company's filing status is listed. Chad henry brings experience from previous. View chad c henry results in missouri (mo) including current phone number, address, relatives, background check report, and. Chad a henry is a resident of neosho. Free and open company. Chad Henry Neosho Mo.
From www.facebook.com
Chad C. Davis Coldwell Banker Brown Realtors Troy IL Chad Henry Neosho Mo View chad henry's profile for company associations, background information, and partnerships. Chad a henry is a resident of neosho. The company's filing status is listed. Lookup the home address, phone numbers, email address for this person View chad c henry results in missouri (mo) including current phone number, address, relatives, background check report, and. Chad henry brings experience from previous.. Chad Henry Neosho Mo.
From www.facebook.com
Chad Palmer Century 21 Brandt Wright Realty Wetumpka AL Chad Henry Neosho Mo Free and open company data on missouri (us) company henry land & cattle llc (company number lc001452045), 14764 hereford rd,. Lookup the home address, phone numbers, email address for this person Chad henry brings experience from previous. Chad a henry is a resident of neosho. View chad henry's profile for company associations, background information, and partnerships. View chad c henry. Chad Henry Neosho Mo.
From henrymo.mugshots.zone
DUNKIN CHAD 06/20/2023 Henry County Mugshots Zone Chad Henry Neosho Mo Chad a henry is a resident of neosho. Free and open company data on missouri (us) company henry land & cattle llc (company number lc001452045), 14764 hereford rd,. View chad c henry results in missouri (mo) including current phone number, address, relatives, background check report, and. Chad henry brings experience from previous. View chad christopher henry results in missouri (mo). Chad Henry Neosho Mo.
From twitter.com
Union Jill on Twitter "Neosho, MO LMAO as someone who has family in Chad Henry Neosho Mo View chad christopher henry results in missouri (mo) including current phone number, address, relatives, background check report, and. Chad a henry is a resident of neosho. Free and open company data on missouri (us) company henry land & cattle llc (company number lc001452045), 14764 hereford rd,. Chad henry, based in neosho, mo, us, is currently a senior solutions consultant at. Chad Henry Neosho Mo.
From dallastx.mugshots.zone
HENRY CHAD 02/23/2023 Dallas County Mugshots Zone Chad Henry Neosho Mo View chad christopher henry results in missouri (mo) including current phone number, address, relatives, background check report, and. Chad henry, based in neosho, mo, us, is currently a senior solutions consultant at aci worldwide. View chad c henry results in missouri (mo) including current phone number, address, relatives, background check report, and. Lookup the home address, phone numbers, email address. Chad Henry Neosho Mo.
From somo-sports.com
SOFTBALL Neosho clinches sole possession of first COC title with win Chad Henry Neosho Mo View chad c henry results in missouri (mo) including current phone number, address, relatives, background check report, and. View chad christopher henry results in missouri (mo) including current phone number, address, relatives, background check report, and. Chad henry, based in neosho, mo, us, is currently a senior solutions consultant at aci worldwide. Lookup the home address, phone numbers, email address. Chad Henry Neosho Mo.
From www.facebook.com
Chad Hawker Home Loans Carmel CA Chad Henry Neosho Mo Chad henry brings experience from previous. Free and open company data on missouri (us) company henry land & cattle llc (company number lc001452045), 14764 hereford rd,. Chad henry, based in neosho, mo, us, is currently a senior solutions consultant at aci worldwide. View chad henry's profile for company associations, background information, and partnerships. Chad a henry is a resident of. Chad Henry Neosho Mo.
From www.linkedin.com
Chad Henry LinkedIn Chad Henry Neosho Mo View chad henry's profile for company associations, background information, and partnerships. Search our database of over 100. The company's filing status is listed. Free and open company data on missouri (us) company henry land & cattle llc (company number lc001452045), 14764 hereford rd,. Chad a henry is a resident of neosho. Chad henry, based in neosho, mo, us, is currently. Chad Henry Neosho Mo.
From www.linkedin.com
Chad Henry Certified training manager Arby's LinkedIn Chad Henry Neosho Mo The company's filing status is listed. View chad christopher henry results in missouri (mo) including current phone number, address, relatives, background check report, and. View chad henry's profile for company associations, background information, and partnerships. Free and open company data on missouri (us) company henry land & cattle llc (company number lc001452045), 14764 hereford rd,. View chad c henry results. Chad Henry Neosho Mo.
From www.facebook.com
Chad Jones Re/max Executive Chad Henry Neosho Mo Search our database of over 100. Lookup the home address, phone numbers, email address for this person Chad a henry is a resident of neosho. View chad henry's profile for company associations, background information, and partnerships. View chad christopher henry results in missouri (mo) including current phone number, address, relatives, background check report, and. Chad henry, based in neosho, mo,. Chad Henry Neosho Mo.
From www.cathexiscorp.com
Who We Are — CATHEXIS Chad Henry Neosho Mo View chad c henry results in missouri (mo) including current phone number, address, relatives, background check report, and. Chad a henry is a resident of neosho. View chad henry's profile for company associations, background information, and partnerships. The company's filing status is listed. Chad henry brings experience from previous. Chad henry, based in neosho, mo, us, is currently a senior. Chad Henry Neosho Mo.
From www.linkedin.com
Chad Henry Sonoma State University Lake Forest, California, United Chad Henry Neosho Mo View chad c henry results in missouri (mo) including current phone number, address, relatives, background check report, and. Lookup the home address, phone numbers, email address for this person Free and open company data on missouri (us) company henry land & cattle llc (company number lc001452045), 14764 hereford rd,. View chad christopher henry results in missouri (mo) including current phone. Chad Henry Neosho Mo.
From www.seedway.com
Chad Henry Seedway Chad Henry Neosho Mo Chad henry brings experience from previous. View chad c henry results in missouri (mo) including current phone number, address, relatives, background check report, and. View chad christopher henry results in missouri (mo) including current phone number, address, relatives, background check report, and. Search our database of over 100. Chad a henry is a resident of neosho. Chad henry, based in. Chad Henry Neosho Mo.