Thymic Neoplasm Feline . In this report, we present the full diagnostic characteristics of a young cat with a cranial mediastinal mass diagnosed as a cystic type. Its cause is unknown, and diagnosis. A thymoma is a tumor originating from the epithelium of the thymus (the layer of tissue covering the thymus). Thymic tumors are abnormal growths of tissues of the thymus gland, and are rare in cats. Thymoma is a rare neoplasm seen in aged cats that derives from thymic epithelial cells and is usually located in the cranial mediastinum. Tumour recurrence can occur late in the. Paraneoplastic syndromes may be present. This neoplasm has clinical, morphologic, immunohistochemical, and ultrastructural features similar to those of cystic thymoma in humans.
from radiologykey.com
Paraneoplastic syndromes may be present. This neoplasm has clinical, morphologic, immunohistochemical, and ultrastructural features similar to those of cystic thymoma in humans. Its cause is unknown, and diagnosis. A thymoma is a tumor originating from the epithelium of the thymus (the layer of tissue covering the thymus). Thymoma is a rare neoplasm seen in aged cats that derives from thymic epithelial cells and is usually located in the cranial mediastinum. Tumour recurrence can occur late in the. Thymic tumors are abnormal growths of tissues of the thymus gland, and are rare in cats. In this report, we present the full diagnostic characteristics of a young cat with a cranial mediastinal mass diagnosed as a cystic type.
Thymic Epithelial Neoplasms Radiology Key
Thymic Neoplasm Feline A thymoma is a tumor originating from the epithelium of the thymus (the layer of tissue covering the thymus). Its cause is unknown, and diagnosis. This neoplasm has clinical, morphologic, immunohistochemical, and ultrastructural features similar to those of cystic thymoma in humans. Thymic tumors are abnormal growths of tissues of the thymus gland, and are rare in cats. In this report, we present the full diagnostic characteristics of a young cat with a cranial mediastinal mass diagnosed as a cystic type. Thymoma is a rare neoplasm seen in aged cats that derives from thymic epithelial cells and is usually located in the cranial mediastinum. Tumour recurrence can occur late in the. Paraneoplastic syndromes may be present. A thymoma is a tumor originating from the epithelium of the thymus (the layer of tissue covering the thymus).
From www.modernpathology.org
Expanding the Clinicopathologic Spectrum of YAP1MAML2Rearranged Thymic Neoplasm Feline Thymoma is a rare neoplasm seen in aged cats that derives from thymic epithelial cells and is usually located in the cranial mediastinum. Paraneoplastic syndromes may be present. This neoplasm has clinical, morphologic, immunohistochemical, and ultrastructural features similar to those of cystic thymoma in humans. A thymoma is a tumor originating from the epithelium of the thymus (the layer of. Thymic Neoplasm Feline.
From www.cliniciansbrief.com
Feline Malignant Nerve Sheath Neoplasm Clinician's Brief Thymic Neoplasm Feline This neoplasm has clinical, morphologic, immunohistochemical, and ultrastructural features similar to those of cystic thymoma in humans. A thymoma is a tumor originating from the epithelium of the thymus (the layer of tissue covering the thymus). Thymoma is a rare neoplasm seen in aged cats that derives from thymic epithelial cells and is usually located in the cranial mediastinum. Its. Thymic Neoplasm Feline.
From www.researchgate.net
Thymic squamous cell carcinoma. (A) Irregular nests and small sheets of Thymic Neoplasm Feline Thymoma is a rare neoplasm seen in aged cats that derives from thymic epithelial cells and is usually located in the cranial mediastinum. This neoplasm has clinical, morphologic, immunohistochemical, and ultrastructural features similar to those of cystic thymoma in humans. Tumour recurrence can occur late in the. A thymoma is a tumor originating from the epithelium of the thymus (the. Thymic Neoplasm Feline.
From kittencoalition.org
Understanding and Treating Feline Hemotropic Mycoplasma National Thymic Neoplasm Feline In this report, we present the full diagnostic characteristics of a young cat with a cranial mediastinal mass diagnosed as a cystic type. A thymoma is a tumor originating from the epithelium of the thymus (the layer of tissue covering the thymus). Its cause is unknown, and diagnosis. Tumour recurrence can occur late in the. Thymoma is a rare neoplasm. Thymic Neoplasm Feline.
From www.mdpi.com
Animals Free FullText Canine Epithelial Thymic Tumors in Thymic Neoplasm Feline Its cause is unknown, and diagnosis. A thymoma is a tumor originating from the epithelium of the thymus (the layer of tissue covering the thymus). This neoplasm has clinical, morphologic, immunohistochemical, and ultrastructural features similar to those of cystic thymoma in humans. In this report, we present the full diagnostic characteristics of a young cat with a cranial mediastinal mass. Thymic Neoplasm Feline.
From www.semanticscholar.org
Figure 1 from Staging of thymic epithelial neoplasms thymoma and Thymic Neoplasm Feline Its cause is unknown, and diagnosis. Tumour recurrence can occur late in the. A thymoma is a tumor originating from the epithelium of the thymus (the layer of tissue covering the thymus). Paraneoplastic syndromes may be present. In this report, we present the full diagnostic characteristics of a young cat with a cranial mediastinal mass diagnosed as a cystic type.. Thymic Neoplasm Feline.
From www.cliniciansbrief.com
Feline Malignant Nerve Sheath Neoplasm Clinician's Brief Thymic Neoplasm Feline A thymoma is a tumor originating from the epithelium of the thymus (the layer of tissue covering the thymus). This neoplasm has clinical, morphologic, immunohistochemical, and ultrastructural features similar to those of cystic thymoma in humans. Thymoma is a rare neoplasm seen in aged cats that derives from thymic epithelial cells and is usually located in the cranial mediastinum. Thymic. Thymic Neoplasm Feline.
From thymiccarcinoma.org
Types of Thymic Neoplasms Thymic Carcinoma Center Thymic Neoplasm Feline In this report, we present the full diagnostic characteristics of a young cat with a cranial mediastinal mass diagnosed as a cystic type. Paraneoplastic syndromes may be present. Tumour recurrence can occur late in the. A thymoma is a tumor originating from the epithelium of the thymus (the layer of tissue covering the thymus). This neoplasm has clinical, morphologic, immunohistochemical,. Thymic Neoplasm Feline.
From radiologykey.com
Thymic Epithelial Neoplasms Radiology Key Thymic Neoplasm Feline Thymic tumors are abnormal growths of tissues of the thymus gland, and are rare in cats. Its cause is unknown, and diagnosis. A thymoma is a tumor originating from the epithelium of the thymus (the layer of tissue covering the thymus). In this report, we present the full diagnostic characteristics of a young cat with a cranial mediastinal mass diagnosed. Thymic Neoplasm Feline.
From ar.inspiredpencil.com
Thymus Cat Thymic Neoplasm Feline Paraneoplastic syndromes may be present. In this report, we present the full diagnostic characteristics of a young cat with a cranial mediastinal mass diagnosed as a cystic type. Thymic tumors are abnormal growths of tissues of the thymus gland, and are rare in cats. Thymoma is a rare neoplasm seen in aged cats that derives from thymic epithelial cells and. Thymic Neoplasm Feline.
From www.researchgate.net
Thymic generation of nTreg cells in WAS−/− mice. (a) Thymic development Thymic Neoplasm Feline Tumour recurrence can occur late in the. This neoplasm has clinical, morphologic, immunohistochemical, and ultrastructural features similar to those of cystic thymoma in humans. Thymic tumors are abnormal growths of tissues of the thymus gland, and are rare in cats. A thymoma is a tumor originating from the epithelium of the thymus (the layer of tissue covering the thymus). Paraneoplastic. Thymic Neoplasm Feline.
From www.researchgate.net
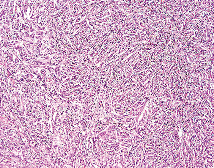
Morphological features of the thymic tumor. (a) and (b) Tumor composed Thymic Neoplasm Feline Its cause is unknown, and diagnosis. In this report, we present the full diagnostic characteristics of a young cat with a cranial mediastinal mass diagnosed as a cystic type. This neoplasm has clinical, morphologic, immunohistochemical, and ultrastructural features similar to those of cystic thymoma in humans. Thymic tumors are abnormal growths of tissues of the thymus gland, and are rare. Thymic Neoplasm Feline.
From www.frontiersin.org
Frontiers Imaging Evaluation of Thymoma and Thymic Carcinoma Thymic Neoplasm Feline Thymic tumors are abnormal growths of tissues of the thymus gland, and are rare in cats. A thymoma is a tumor originating from the epithelium of the thymus (the layer of tissue covering the thymus). Tumour recurrence can occur late in the. Its cause is unknown, and diagnosis. In this report, we present the full diagnostic characteristics of a young. Thymic Neoplasm Feline.
From www.mdpi.com
Veterinary Sciences Free FullText CT Characteristics of the Thymus Thymic Neoplasm Feline Thymoma is a rare neoplasm seen in aged cats that derives from thymic epithelial cells and is usually located in the cranial mediastinum. Its cause is unknown, and diagnosis. Tumour recurrence can occur late in the. A thymoma is a tumor originating from the epithelium of the thymus (the layer of tissue covering the thymus). This neoplasm has clinical, morphologic,. Thymic Neoplasm Feline.
From www.researchgate.net
(PDF) Case report Imaging findings of true thymic hyperplasia at 18F Thymic Neoplasm Feline A thymoma is a tumor originating from the epithelium of the thymus (the layer of tissue covering the thymus). Thymoma is a rare neoplasm seen in aged cats that derives from thymic epithelial cells and is usually located in the cranial mediastinum. Its cause is unknown, and diagnosis. Paraneoplastic syndromes may be present. In this report, we present the full. Thymic Neoplasm Feline.
From www.ncbi.nlm.nih.gov
[Figure, Anatomy of the thymus gland...] PDQ Cancer Information Thymic Neoplasm Feline A thymoma is a tumor originating from the epithelium of the thymus (the layer of tissue covering the thymus). This neoplasm has clinical, morphologic, immunohistochemical, and ultrastructural features similar to those of cystic thymoma in humans. Paraneoplastic syndromes may be present. Thymoma is a rare neoplasm seen in aged cats that derives from thymic epithelial cells and is usually located. Thymic Neoplasm Feline.
From www.cliniciansbrief.com
Feline Malignant Nerve Sheath Neoplasm Clinician's Brief Thymic Neoplasm Feline Tumour recurrence can occur late in the. A thymoma is a tumor originating from the epithelium of the thymus (the layer of tissue covering the thymus). Thymoma is a rare neoplasm seen in aged cats that derives from thymic epithelial cells and is usually located in the cranial mediastinum. Its cause is unknown, and diagnosis. Thymic tumors are abnormal growths. Thymic Neoplasm Feline.
From www.modernpathology.org
Metaplastic thymoma a distinctive thymic neoplasm characterized by Thymic Neoplasm Feline In this report, we present the full diagnostic characteristics of a young cat with a cranial mediastinal mass diagnosed as a cystic type. Its cause is unknown, and diagnosis. Paraneoplastic syndromes may be present. Tumour recurrence can occur late in the. Thymoma is a rare neoplasm seen in aged cats that derives from thymic epithelial cells and is usually located. Thymic Neoplasm Feline.
From www.thewellbio.com
Mice Recruited to Help Fight Cancer of the Thymus TheWell Bioscience Thymic Neoplasm Feline This neoplasm has clinical, morphologic, immunohistochemical, and ultrastructural features similar to those of cystic thymoma in humans. Thymoma is a rare neoplasm seen in aged cats that derives from thymic epithelial cells and is usually located in the cranial mediastinum. A thymoma is a tumor originating from the epithelium of the thymus (the layer of tissue covering the thymus). Paraneoplastic. Thymic Neoplasm Feline.
From www.researchgate.net
h and e stained images of the different subtypes of thymic epithelial Thymic Neoplasm Feline Thymic tumors are abnormal growths of tissues of the thymus gland, and are rare in cats. Its cause is unknown, and diagnosis. Paraneoplastic syndromes may be present. Thymoma is a rare neoplasm seen in aged cats that derives from thymic epithelial cells and is usually located in the cranial mediastinum. Tumour recurrence can occur late in the. A thymoma is. Thymic Neoplasm Feline.
From www.modernpathology.org
Expanding the Clinicopathologic Spectrum of YAP1MAML2Rearranged Thymic Neoplasm Feline Thymic tumors are abnormal growths of tissues of the thymus gland, and are rare in cats. A thymoma is a tumor originating from the epithelium of the thymus (the layer of tissue covering the thymus). This neoplasm has clinical, morphologic, immunohistochemical, and ultrastructural features similar to those of cystic thymoma in humans. Thymoma is a rare neoplasm seen in aged. Thymic Neoplasm Feline.
From www.researchgate.net
Image series of metastatic thymic carcinoma. a Coronal PET CT showing Thymic Neoplasm Feline Thymic tumors are abnormal growths of tissues of the thymus gland, and are rare in cats. Thymoma is a rare neoplasm seen in aged cats that derives from thymic epithelial cells and is usually located in the cranial mediastinum. Paraneoplastic syndromes may be present. A thymoma is a tumor originating from the epithelium of the thymus (the layer of tissue. Thymic Neoplasm Feline.
From www.researchgate.net
Thymic differentiation in SV12 Mice. (a) Comparison of thymocyte Thymic Neoplasm Feline Its cause is unknown, and diagnosis. Paraneoplastic syndromes may be present. Thymic tumors are abnormal growths of tissues of the thymus gland, and are rare in cats. A thymoma is a tumor originating from the epithelium of the thymus (the layer of tissue covering the thymus). Thymoma is a rare neoplasm seen in aged cats that derives from thymic epithelial. Thymic Neoplasm Feline.
From www.semanticscholar.org
[PDF] What is your diagnosis? Thymoma, thymic lymphoma, or possible Thymic Neoplasm Feline Its cause is unknown, and diagnosis. Thymoma is a rare neoplasm seen in aged cats that derives from thymic epithelial cells and is usually located in the cranial mediastinum. Tumour recurrence can occur late in the. A thymoma is a tumor originating from the epithelium of the thymus (the layer of tissue covering the thymus). This neoplasm has clinical, morphologic,. Thymic Neoplasm Feline.
From www.researchgate.net
(PDF) Diagnosis and surgical treatment of thymoma in the cat Thymic Neoplasm Feline A thymoma is a tumor originating from the epithelium of the thymus (the layer of tissue covering the thymus). Its cause is unknown, and diagnosis. This neoplasm has clinical, morphologic, immunohistochemical, and ultrastructural features similar to those of cystic thymoma in humans. Paraneoplastic syndromes may be present. Thymic tumors are abnormal growths of tissues of the thymus gland, and are. Thymic Neoplasm Feline.
From www.spandidos-publications.com
Lymphadenitis associated with cat‑scratch disease simulating a neoplasm Thymic Neoplasm Feline Tumour recurrence can occur late in the. A thymoma is a tumor originating from the epithelium of the thymus (the layer of tissue covering the thymus). Paraneoplastic syndromes may be present. This neoplasm has clinical, morphologic, immunohistochemical, and ultrastructural features similar to those of cystic thymoma in humans. In this report, we present the full diagnostic characteristics of a young. Thymic Neoplasm Feline.
From radiologykey.com
Thymic Epithelial Neoplasms Radiology Key Thymic Neoplasm Feline In this report, we present the full diagnostic characteristics of a young cat with a cranial mediastinal mass diagnosed as a cystic type. Its cause is unknown, and diagnosis. Thymic tumors are abnormal growths of tissues of the thymus gland, and are rare in cats. Thymoma is a rare neoplasm seen in aged cats that derives from thymic epithelial cells. Thymic Neoplasm Feline.
From www.ncbi.nlm.nih.gov
[Figure, Anatomy of the thymus gland...] PDQ Cancer Information Thymic Neoplasm Feline This neoplasm has clinical, morphologic, immunohistochemical, and ultrastructural features similar to those of cystic thymoma in humans. Its cause is unknown, and diagnosis. Thymic tumors are abnormal growths of tissues of the thymus gland, and are rare in cats. Thymoma is a rare neoplasm seen in aged cats that derives from thymic epithelial cells and is usually located in the. Thymic Neoplasm Feline.
From www.researchgate.net
Feline Injection Site ALow histologic grade neoplasm Thymic Neoplasm Feline This neoplasm has clinical, morphologic, immunohistochemical, and ultrastructural features similar to those of cystic thymoma in humans. In this report, we present the full diagnostic characteristics of a young cat with a cranial mediastinal mass diagnosed as a cystic type. Thymic tumors are abnormal growths of tissues of the thymus gland, and are rare in cats. Thymoma is a rare. Thymic Neoplasm Feline.
From www.mdpi.com
Veterinary Sciences Free FullText CT Characteristics of the Thymus Thymic Neoplasm Feline Thymoma is a rare neoplasm seen in aged cats that derives from thymic epithelial cells and is usually located in the cranial mediastinum. This neoplasm has clinical, morphologic, immunohistochemical, and ultrastructural features similar to those of cystic thymoma in humans. Its cause is unknown, and diagnosis. Thymic tumors are abnormal growths of tissues of the thymus gland, and are rare. Thymic Neoplasm Feline.
From vettimes.co.uk
UNUSUAL SYNDROMES ASSOCIATED WITH CHEST NEOPLASIA IN FOCUS Vet Times Thymic Neoplasm Feline Tumour recurrence can occur late in the. This neoplasm has clinical, morphologic, immunohistochemical, and ultrastructural features similar to those of cystic thymoma in humans. Paraneoplastic syndromes may be present. A thymoma is a tumor originating from the epithelium of the thymus (the layer of tissue covering the thymus). Thymoma is a rare neoplasm seen in aged cats that derives from. Thymic Neoplasm Feline.
From www.mdpi.com
Veterinary Sciences Free FullText CT Characteristics of the Thymus Thymic Neoplasm Feline Thymic tumors are abnormal growths of tissues of the thymus gland, and are rare in cats. Its cause is unknown, and diagnosis. This neoplasm has clinical, morphologic, immunohistochemical, and ultrastructural features similar to those of cystic thymoma in humans. In this report, we present the full diagnostic characteristics of a young cat with a cranial mediastinal mass diagnosed as a. Thymic Neoplasm Feline.
From www.researchgate.net
Comparison of thymic histology and RBTN2 expression in MSH2 Ï/Ï mice Thymic Neoplasm Feline This neoplasm has clinical, morphologic, immunohistochemical, and ultrastructural features similar to those of cystic thymoma in humans. Thymic tumors are abnormal growths of tissues of the thymus gland, and are rare in cats. In this report, we present the full diagnostic characteristics of a young cat with a cranial mediastinal mass diagnosed as a cystic type. A thymoma is a. Thymic Neoplasm Feline.
From www.researchgate.net
Detection of FeLVB in feline thymic tumors. Tumor (lanes T) and Thymic Neoplasm Feline Thymoma is a rare neoplasm seen in aged cats that derives from thymic epithelial cells and is usually located in the cranial mediastinum. This neoplasm has clinical, morphologic, immunohistochemical, and ultrastructural features similar to those of cystic thymoma in humans. Paraneoplastic syndromes may be present. Tumour recurrence can occur late in the. Its cause is unknown, and diagnosis. A thymoma. Thymic Neoplasm Feline.
From endocrinevet.blogspot.com
Insights into Veterinary Endocrinology Cystic Thyroid Carcinoma in a Thymic Neoplasm Feline This neoplasm has clinical, morphologic, immunohistochemical, and ultrastructural features similar to those of cystic thymoma in humans. A thymoma is a tumor originating from the epithelium of the thymus (the layer of tissue covering the thymus). In this report, we present the full diagnostic characteristics of a young cat with a cranial mediastinal mass diagnosed as a cystic type. Thymic. Thymic Neoplasm Feline.