Disc Herniation Myelopathy Symptoms . Degenerative cervical myelopathy is a condition that is caused by age related changes to the bones, ligaments and discs of. This type of herniation usually causes upper back pain and/or myelopathy, depending on the size of the herniated disc and. When the spinal cord is compressed or injured, it may cause a loss of sensation, loss of function, and pain or discomfort in the area at or below the compression. Typical symptoms for each include: Myelopathy is an injury to the spinal cord caused by severe compression that may be a result of spinal stenosis, disc degeneration, disc. Thoracic myelopathy causes the spinal cord in this area to be compressed from a bulging or herniated disc, bone spurs, or a trauma to the spine. There are many possible causes of myelopathy: When the discs between the vertebrae bulge or break, pressing on the spinal cord. Spinal compression from overgrown bone or ligaments, disc herniation, intrinsic and.
from www.findatopdoc.com
When the spinal cord is compressed or injured, it may cause a loss of sensation, loss of function, and pain or discomfort in the area at or below the compression. This type of herniation usually causes upper back pain and/or myelopathy, depending on the size of the herniated disc and. Spinal compression from overgrown bone or ligaments, disc herniation, intrinsic and. There are many possible causes of myelopathy: Degenerative cervical myelopathy is a condition that is caused by age related changes to the bones, ligaments and discs of. When the discs between the vertebrae bulge or break, pressing on the spinal cord. Myelopathy is an injury to the spinal cord caused by severe compression that may be a result of spinal stenosis, disc degeneration, disc. Typical symptoms for each include: Thoracic myelopathy causes the spinal cord in this area to be compressed from a bulging or herniated disc, bone spurs, or a trauma to the spine.
Everything You Need to Know About Disc Herniation
Disc Herniation Myelopathy Symptoms Typical symptoms for each include: Thoracic myelopathy causes the spinal cord in this area to be compressed from a bulging or herniated disc, bone spurs, or a trauma to the spine. Typical symptoms for each include: When the spinal cord is compressed or injured, it may cause a loss of sensation, loss of function, and pain or discomfort in the area at or below the compression. This type of herniation usually causes upper back pain and/or myelopathy, depending on the size of the herniated disc and. There are many possible causes of myelopathy: Degenerative cervical myelopathy is a condition that is caused by age related changes to the bones, ligaments and discs of. When the discs between the vertebrae bulge or break, pressing on the spinal cord. Myelopathy is an injury to the spinal cord caused by severe compression that may be a result of spinal stenosis, disc degeneration, disc. Spinal compression from overgrown bone or ligaments, disc herniation, intrinsic and.
From link.springer.com
Thoracic Disc Herniation and Myelopathy SpringerLink Disc Herniation Myelopathy Symptoms Myelopathy is an injury to the spinal cord caused by severe compression that may be a result of spinal stenosis, disc degeneration, disc. When the discs between the vertebrae bulge or break, pressing on the spinal cord. Degenerative cervical myelopathy is a condition that is caused by age related changes to the bones, ligaments and discs of. This type of. Disc Herniation Myelopathy Symptoms.
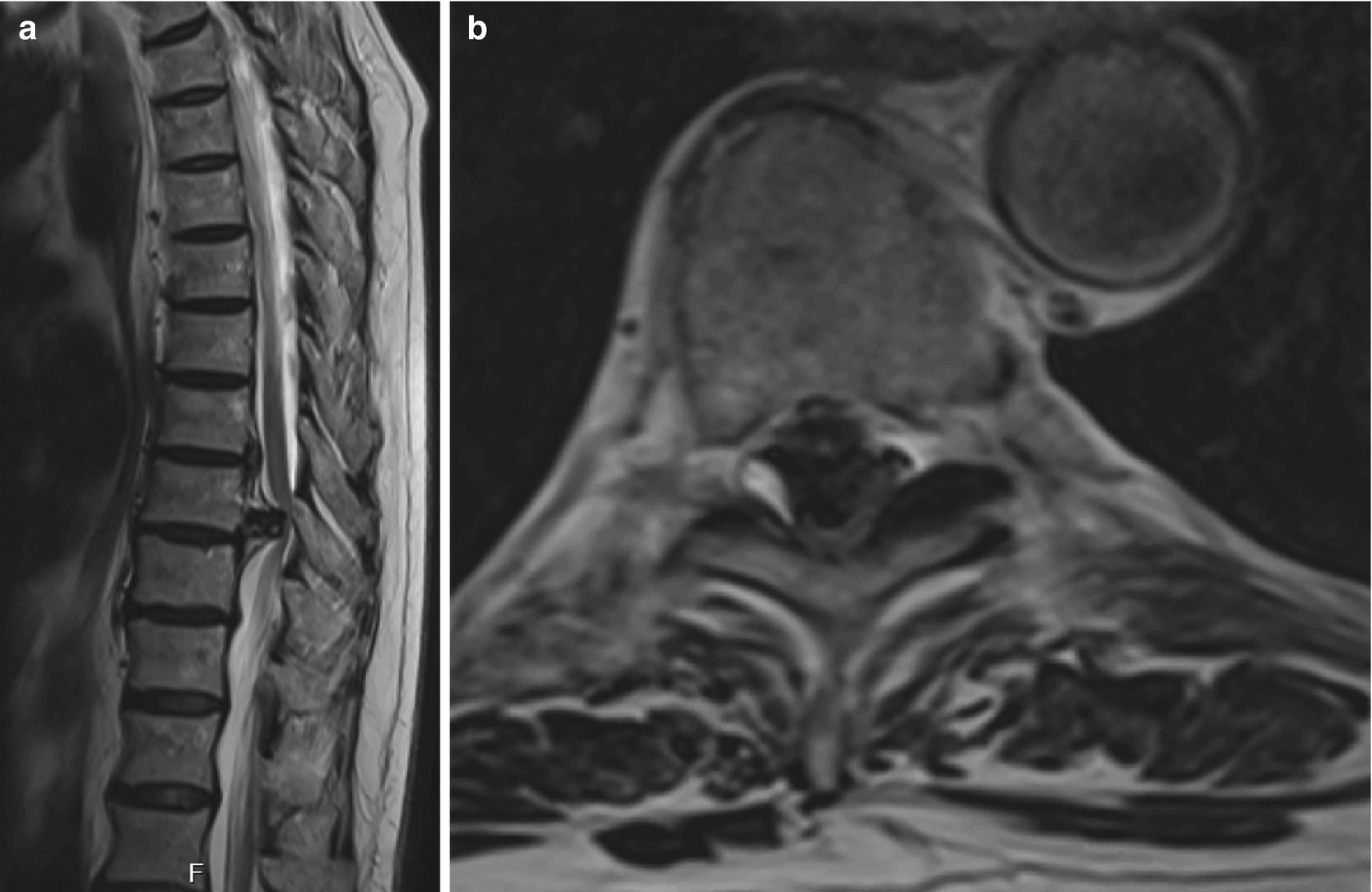
From www.researchgate.net
Typical case 1. A 35‐year‐old male patient with myelopathy caused by Disc Herniation Myelopathy Symptoms Degenerative cervical myelopathy is a condition that is caused by age related changes to the bones, ligaments and discs of. Spinal compression from overgrown bone or ligaments, disc herniation, intrinsic and. When the discs between the vertebrae bulge or break, pressing on the spinal cord. Typical symptoms for each include: There are many possible causes of myelopathy: Thoracic myelopathy causes. Disc Herniation Myelopathy Symptoms.
From healthjade.net
Thoracic disc herniation causes, symptoms, diagnosis, treatment & prognosis Disc Herniation Myelopathy Symptoms Spinal compression from overgrown bone or ligaments, disc herniation, intrinsic and. Myelopathy is an injury to the spinal cord caused by severe compression that may be a result of spinal stenosis, disc degeneration, disc. When the discs between the vertebrae bulge or break, pressing on the spinal cord. Degenerative cervical myelopathy is a condition that is caused by age related. Disc Herniation Myelopathy Symptoms.
From warnerorthopedics.com
Cervical spondylosis with disc herniation ( MRI of cervical spine Disc Herniation Myelopathy Symptoms This type of herniation usually causes upper back pain and/or myelopathy, depending on the size of the herniated disc and. There are many possible causes of myelopathy: Spinal compression from overgrown bone or ligaments, disc herniation, intrinsic and. Typical symptoms for each include: When the discs between the vertebrae bulge or break, pressing on the spinal cord. Degenerative cervical myelopathy. Disc Herniation Myelopathy Symptoms.
From www.joionline.net
Herniated Discs Jacksonville Orthopaedic Institute Disc Herniation Myelopathy Symptoms Typical symptoms for each include: There are many possible causes of myelopathy: Degenerative cervical myelopathy is a condition that is caused by age related changes to the bones, ligaments and discs of. When the spinal cord is compressed or injured, it may cause a loss of sensation, loss of function, and pain or discomfort in the area at or below. Disc Herniation Myelopathy Symptoms.
From ainsworthinstitute.com
Herniated Disc Causes, Symptoms, Treatments Ainsworth Institute Disc Herniation Myelopathy Symptoms When the discs between the vertebrae bulge or break, pressing on the spinal cord. When the spinal cord is compressed or injured, it may cause a loss of sensation, loss of function, and pain or discomfort in the area at or below the compression. This type of herniation usually causes upper back pain and/or myelopathy, depending on the size of. Disc Herniation Myelopathy Symptoms.
From www.annsaudimed.net
Myelopathy associated with agerelated cervical disc herniation a Disc Herniation Myelopathy Symptoms This type of herniation usually causes upper back pain and/or myelopathy, depending on the size of the herniated disc and. When the spinal cord is compressed or injured, it may cause a loss of sensation, loss of function, and pain or discomfort in the area at or below the compression. There are many possible causes of myelopathy: Typical symptoms for. Disc Herniation Myelopathy Symptoms.
From www.coastalorthoteam.com
What Is a Herniated Disc? (Signs and Symptoms) Disc Herniation Myelopathy Symptoms Degenerative cervical myelopathy is a condition that is caused by age related changes to the bones, ligaments and discs of. Myelopathy is an injury to the spinal cord caused by severe compression that may be a result of spinal stenosis, disc degeneration, disc. Spinal compression from overgrown bone or ligaments, disc herniation, intrinsic and. When the spinal cord is compressed. Disc Herniation Myelopathy Symptoms.
From premierspinenj.com
Myelopathy (Thoracic, Lumbar & Cervical) Treatment in NJ and NYC Disc Herniation Myelopathy Symptoms When the spinal cord is compressed or injured, it may cause a loss of sensation, loss of function, and pain or discomfort in the area at or below the compression. This type of herniation usually causes upper back pain and/or myelopathy, depending on the size of the herniated disc and. Spinal compression from overgrown bone or ligaments, disc herniation, intrinsic. Disc Herniation Myelopathy Symptoms.
From aqmdi.com
Signs of Herniated Disc in Neck AQ Imaging Network Disc Herniation Myelopathy Symptoms This type of herniation usually causes upper back pain and/or myelopathy, depending on the size of the herniated disc and. Myelopathy is an injury to the spinal cord caused by severe compression that may be a result of spinal stenosis, disc degeneration, disc. Spinal compression from overgrown bone or ligaments, disc herniation, intrinsic and. Degenerative cervical myelopathy is a condition. Disc Herniation Myelopathy Symptoms.
From www.powerofpositivity.com
15 Signs of a Herniated Disc Never to Ignore Power of Positivity Disc Herniation Myelopathy Symptoms Degenerative cervical myelopathy is a condition that is caused by age related changes to the bones, ligaments and discs of. There are many possible causes of myelopathy: When the spinal cord is compressed or injured, it may cause a loss of sensation, loss of function, and pain or discomfort in the area at or below the compression. This type of. Disc Herniation Myelopathy Symptoms.
From oxfordspineneuro.sg
Cervical Myelopathy Treatment Singapore Oxford Spine & Neuro Disc Herniation Myelopathy Symptoms Typical symptoms for each include: Thoracic myelopathy causes the spinal cord in this area to be compressed from a bulging or herniated disc, bone spurs, or a trauma to the spine. When the discs between the vertebrae bulge or break, pressing on the spinal cord. There are many possible causes of myelopathy: When the spinal cord is compressed or injured,. Disc Herniation Myelopathy Symptoms.
From www.youtube.com
Thoracic Disc Herniation Everything You Need To Know Dr. Nabil Disc Herniation Myelopathy Symptoms Thoracic myelopathy causes the spinal cord in this area to be compressed from a bulging or herniated disc, bone spurs, or a trauma to the spine. When the spinal cord is compressed or injured, it may cause a loss of sensation, loss of function, and pain or discomfort in the area at or below the compression. Typical symptoms for each. Disc Herniation Myelopathy Symptoms.
From www.researchgate.net
A 47yearold man diagnosed with disc herniation at C3C4 and C5C6 Disc Herniation Myelopathy Symptoms Typical symptoms for each include: This type of herniation usually causes upper back pain and/or myelopathy, depending on the size of the herniated disc and. Spinal compression from overgrown bone or ligaments, disc herniation, intrinsic and. There are many possible causes of myelopathy: Thoracic myelopathy causes the spinal cord in this area to be compressed from a bulging or herniated. Disc Herniation Myelopathy Symptoms.
From www.semanticscholar.org
Figure 1 from Thoracic Disc Herniation of the Adjacent Segment With Disc Herniation Myelopathy Symptoms Myelopathy is an injury to the spinal cord caused by severe compression that may be a result of spinal stenosis, disc degeneration, disc. Degenerative cervical myelopathy is a condition that is caused by age related changes to the bones, ligaments and discs of. When the discs between the vertebrae bulge or break, pressing on the spinal cord. There are many. Disc Herniation Myelopathy Symptoms.
From www.findatopdoc.com
Everything You Need to Know About Disc Herniation Disc Herniation Myelopathy Symptoms There are many possible causes of myelopathy: When the spinal cord is compressed or injured, it may cause a loss of sensation, loss of function, and pain or discomfort in the area at or below the compression. When the discs between the vertebrae bulge or break, pressing on the spinal cord. Degenerative cervical myelopathy is a condition that is caused. Disc Herniation Myelopathy Symptoms.
From resorptiontherapy.com
Herniated disc Symptoms, Causes and Treatments Disc Herniation Myelopathy Symptoms Myelopathy is an injury to the spinal cord caused by severe compression that may be a result of spinal stenosis, disc degeneration, disc. Degenerative cervical myelopathy is a condition that is caused by age related changes to the bones, ligaments and discs of. This type of herniation usually causes upper back pain and/or myelopathy, depending on the size of the. Disc Herniation Myelopathy Symptoms.
From proactivept.com
Herniated Disc Causes, Symptoms, Treatment, and Prevention ProActive Disc Herniation Myelopathy Symptoms Thoracic myelopathy causes the spinal cord in this area to be compressed from a bulging or herniated disc, bone spurs, or a trauma to the spine. Myelopathy is an injury to the spinal cord caused by severe compression that may be a result of spinal stenosis, disc degeneration, disc. Spinal compression from overgrown bone or ligaments, disc herniation, intrinsic and.. Disc Herniation Myelopathy Symptoms.
From deukspine.com
Herniated Disc Symptoms typically a low back ache Disc Herniation Myelopathy Symptoms Degenerative cervical myelopathy is a condition that is caused by age related changes to the bones, ligaments and discs of. This type of herniation usually causes upper back pain and/or myelopathy, depending on the size of the herniated disc and. When the spinal cord is compressed or injured, it may cause a loss of sensation, loss of function, and pain. Disc Herniation Myelopathy Symptoms.
From www.bmj.com
Degenerative cervical myelopathy The BMJ Disc Herniation Myelopathy Symptoms Spinal compression from overgrown bone or ligaments, disc herniation, intrinsic and. When the spinal cord is compressed or injured, it may cause a loss of sensation, loss of function, and pain or discomfort in the area at or below the compression. Degenerative cervical myelopathy is a condition that is caused by age related changes to the bones, ligaments and discs. Disc Herniation Myelopathy Symptoms.
From 18.134.123.159
Thoracic Disc Herniation Conditions and treatment Disc Herniation Myelopathy Symptoms When the discs between the vertebrae bulge or break, pressing on the spinal cord. This type of herniation usually causes upper back pain and/or myelopathy, depending on the size of the herniated disc and. Degenerative cervical myelopathy is a condition that is caused by age related changes to the bones, ligaments and discs of. There are many possible causes of. Disc Herniation Myelopathy Symptoms.
From link.springer.com
Thoracic Disc Herniation and Myelopathy SpringerLink Disc Herniation Myelopathy Symptoms Thoracic myelopathy causes the spinal cord in this area to be compressed from a bulging or herniated disc, bone spurs, or a trauma to the spine. When the spinal cord is compressed or injured, it may cause a loss of sensation, loss of function, and pain or discomfort in the area at or below the compression. Myelopathy is an injury. Disc Herniation Myelopathy Symptoms.
From orthoplanet.in
What You Should Know About 4 Stages Of Disc Herniation Disc Herniation Myelopathy Symptoms This type of herniation usually causes upper back pain and/or myelopathy, depending on the size of the herniated disc and. Myelopathy is an injury to the spinal cord caused by severe compression that may be a result of spinal stenosis, disc degeneration, disc. Typical symptoms for each include: Thoracic myelopathy causes the spinal cord in this area to be compressed. Disc Herniation Myelopathy Symptoms.
From www.wisegeek.org
What is Myelopathy? (with pictures) Disc Herniation Myelopathy Symptoms Thoracic myelopathy causes the spinal cord in this area to be compressed from a bulging or herniated disc, bone spurs, or a trauma to the spine. This type of herniation usually causes upper back pain and/or myelopathy, depending on the size of the herniated disc and. When the spinal cord is compressed or injured, it may cause a loss of. Disc Herniation Myelopathy Symptoms.
From osteoklinika.com
Herniated Disk Treatment Osteoklinika Disc Herniation Myelopathy Symptoms There are many possible causes of myelopathy: Typical symptoms for each include: Degenerative cervical myelopathy is a condition that is caused by age related changes to the bones, ligaments and discs of. When the spinal cord is compressed or injured, it may cause a loss of sensation, loss of function, and pain or discomfort in the area at or below. Disc Herniation Myelopathy Symptoms.
From www.vejthani.com
2 Noticeable Symptoms of Herniated Discs Disc Herniation Myelopathy Symptoms Spinal compression from overgrown bone or ligaments, disc herniation, intrinsic and. When the discs between the vertebrae bulge or break, pressing on the spinal cord. This type of herniation usually causes upper back pain and/or myelopathy, depending on the size of the herniated disc and. Myelopathy is an injury to the spinal cord caused by severe compression that may be. Disc Herniation Myelopathy Symptoms.
From www.dreamstime.com
Stages of Disc Herniation Spine and Disc Anatomy 3d Medical Vector Disc Herniation Myelopathy Symptoms When the spinal cord is compressed or injured, it may cause a loss of sensation, loss of function, and pain or discomfort in the area at or below the compression. This type of herniation usually causes upper back pain and/or myelopathy, depending on the size of the herniated disc and. When the discs between the vertebrae bulge or break, pressing. Disc Herniation Myelopathy Symptoms.
From neurosurgery.wustl.edu
Cervical Disc Herniation, Cervical Radiculopathy and Cervical Disc Herniation Myelopathy Symptoms This type of herniation usually causes upper back pain and/or myelopathy, depending on the size of the herniated disc and. Myelopathy is an injury to the spinal cord caused by severe compression that may be a result of spinal stenosis, disc degeneration, disc. Thoracic myelopathy causes the spinal cord in this area to be compressed from a bulging or herniated. Disc Herniation Myelopathy Symptoms.
From optimisticphysio.com
Disc Herniation Stages Diagnosis, Treatment, and Recovery Disc Herniation Myelopathy Symptoms When the spinal cord is compressed or injured, it may cause a loss of sensation, loss of function, and pain or discomfort in the area at or below the compression. Spinal compression from overgrown bone or ligaments, disc herniation, intrinsic and. This type of herniation usually causes upper back pain and/or myelopathy, depending on the size of the herniated disc. Disc Herniation Myelopathy Symptoms.
From www.spineinfo.com
Herniated Disc Definition, Causes, Symptoms, Diagnosis, and Treatment Disc Herniation Myelopathy Symptoms There are many possible causes of myelopathy: Spinal compression from overgrown bone or ligaments, disc herniation, intrinsic and. When the spinal cord is compressed or injured, it may cause a loss of sensation, loss of function, and pain or discomfort in the area at or below the compression. When the discs between the vertebrae bulge or break, pressing on the. Disc Herniation Myelopathy Symptoms.
From www.jem-journal.com
T23 Thoracic Disc Herniation with Myelopathy Journal of Emergency Disc Herniation Myelopathy Symptoms Degenerative cervical myelopathy is a condition that is caused by age related changes to the bones, ligaments and discs of. There are many possible causes of myelopathy: This type of herniation usually causes upper back pain and/or myelopathy, depending on the size of the herniated disc and. Thoracic myelopathy causes the spinal cord in this area to be compressed from. Disc Herniation Myelopathy Symptoms.
From neurosurgery.wustl.edu
Cervical Disc Herniation, Cervical Radiculopathy and Cervical Disc Herniation Myelopathy Symptoms When the spinal cord is compressed or injured, it may cause a loss of sensation, loss of function, and pain or discomfort in the area at or below the compression. This type of herniation usually causes upper back pain and/or myelopathy, depending on the size of the herniated disc and. Spinal compression from overgrown bone or ligaments, disc herniation, intrinsic. Disc Herniation Myelopathy Symptoms.
From www.theproactiveathlete.ca
Herniated disc injury as labeled spinal pain explanation vector The Disc Herniation Myelopathy Symptoms When the discs between the vertebrae bulge or break, pressing on the spinal cord. Typical symptoms for each include: Myelopathy is an injury to the spinal cord caused by severe compression that may be a result of spinal stenosis, disc degeneration, disc. Degenerative cervical myelopathy is a condition that is caused by age related changes to the bones, ligaments and. Disc Herniation Myelopathy Symptoms.
From www.aptivahealth.com
Disc Herniation Aptiva Health Disc Herniation Myelopathy Symptoms There are many possible causes of myelopathy: When the spinal cord is compressed or injured, it may cause a loss of sensation, loss of function, and pain or discomfort in the area at or below the compression. When the discs between the vertebrae bulge or break, pressing on the spinal cord. Thoracic myelopathy causes the spinal cord in this area. Disc Herniation Myelopathy Symptoms.
From www.vrogue.co
Surgical Management Of Cervical Disc Herniation By Ps vrogue.co Disc Herniation Myelopathy Symptoms Thoracic myelopathy causes the spinal cord in this area to be compressed from a bulging or herniated disc, bone spurs, or a trauma to the spine. There are many possible causes of myelopathy: When the discs between the vertebrae bulge or break, pressing on the spinal cord. Myelopathy is an injury to the spinal cord caused by severe compression that. Disc Herniation Myelopathy Symptoms.