Medical Term For Boxer's Fracture . A boxer’s fracture is a fifth metacarpal fracture (the bone that connects your pinkie finger to your wrist). How did i get this fracture, and what are the common. Patients often present with pain,. A boxer's fracture is a break in a metacarpal bone that connects the ring finger or the little finger to the wrist. A boxer’s fracture is a break in the neck of the 5th metacarpal bone in the hand. That bone is known as a metacarpal. It happens when you break the neck of. It usually happens when you punch an object at a high speed. Boxer's fractures are common injuries of the 5th metacarpal neck, typically caused by direct trauma such as punching a hard object with a closed fist. These are known as the. A boxer’s fracture is a type of fracture in the hand, typically involving the metacarpal bone of the little finger (pinky finger). A boxer’s fracture is when you break a bone at the base of your finger, near the knuckle or neck of the bone.
from www.healthline.com
These are known as the. It usually happens when you punch an object at a high speed. A boxer's fracture is a break in a metacarpal bone that connects the ring finger or the little finger to the wrist. A boxer’s fracture is a fifth metacarpal fracture (the bone that connects your pinkie finger to your wrist). It happens when you break the neck of. That bone is known as a metacarpal. Boxer's fractures are common injuries of the 5th metacarpal neck, typically caused by direct trauma such as punching a hard object with a closed fist. How did i get this fracture, and what are the common. A boxer’s fracture is a break in the neck of the 5th metacarpal bone in the hand. Patients often present with pain,.
Boxer’s Fracture Treatment, Recovery, and LongTerm Effects
Medical Term For Boxer's Fracture These are known as the. A boxer’s fracture is a fifth metacarpal fracture (the bone that connects your pinkie finger to your wrist). Patients often present with pain,. It usually happens when you punch an object at a high speed. A boxer’s fracture is a break in the neck of the 5th metacarpal bone in the hand. A boxer’s fracture is when you break a bone at the base of your finger, near the knuckle or neck of the bone. That bone is known as a metacarpal. These are known as the. A boxer’s fracture is a type of fracture in the hand, typically involving the metacarpal bone of the little finger (pinky finger). It happens when you break the neck of. A boxer's fracture is a break in a metacarpal bone that connects the ring finger or the little finger to the wrist. Boxer's fractures are common injuries of the 5th metacarpal neck, typically caused by direct trauma such as punching a hard object with a closed fist. How did i get this fracture, and what are the common.
From elispot.biz
Cast for boxers fracture Boxer’s Fracture Treatment, Cast, Surgery Medical Term For Boxer's Fracture A boxer’s fracture is a break in the neck of the 5th metacarpal bone in the hand. A boxer's fracture is a break in a metacarpal bone that connects the ring finger or the little finger to the wrist. Boxer's fractures are common injuries of the 5th metacarpal neck, typically caused by direct trauma such as punching a hard object. Medical Term For Boxer's Fracture.
From radiopaedia.org
Boxer's fracture Image Medical Term For Boxer's Fracture A boxer’s fracture is a type of fracture in the hand, typically involving the metacarpal bone of the little finger (pinky finger). That bone is known as a metacarpal. It happens when you break the neck of. A boxer’s fracture is when you break a bone at the base of your finger, near the knuckle or neck of the bone.. Medical Term For Boxer's Fracture.
From www.summitmedicalgroup.com
Summit Medical Group Hand Fracture Fifth Metacarpal (Boxer's) Fracture Medical Term For Boxer's Fracture How did i get this fracture, and what are the common. These are known as the. A boxer’s fracture is when you break a bone at the base of your finger, near the knuckle or neck of the bone. A boxer's fracture is a break in a metacarpal bone that connects the ring finger or the little finger to the. Medical Term For Boxer's Fracture.
From accessmedicine.mhmedical.com
The Infographic Guide to Medicine AccessMedicine McGraw Hill that Medical Term For Boxer's Fracture Patients often present with pain,. These are known as the. A boxer's fracture is a break in a metacarpal bone that connects the ring finger or the little finger to the wrist. A boxer’s fracture is when you break a bone at the base of your finger, near the knuckle or neck of the bone. It usually happens when you. Medical Term For Boxer's Fracture.
From radiogyan.com
Boxer’s Fracture [Why is it A Misnomer?] Radiology Case RadioGyan Medical Term For Boxer's Fracture A boxer’s fracture is when you break a bone at the base of your finger, near the knuckle or neck of the bone. A boxer’s fracture is a type of fracture in the hand, typically involving the metacarpal bone of the little finger (pinky finger). Boxer's fractures are common injuries of the 5th metacarpal neck, typically caused by direct trauma. Medical Term For Boxer's Fracture.
From orthopaedicprinciples.com
Boxer’s Fracture — Medical Term For Boxer's Fracture It usually happens when you punch an object at a high speed. A boxer’s fracture is a fifth metacarpal fracture (the bone that connects your pinkie finger to your wrist). That bone is known as a metacarpal. It happens when you break the neck of. These are known as the. A boxer’s fracture is a type of fracture in the. Medical Term For Boxer's Fracture.
From my.clevelandclinic.org
Boxer’s Fracture Symptoms, Causes & Treatment Medical Term For Boxer's Fracture A boxer’s fracture is a break in the neck of the 5th metacarpal bone in the hand. That bone is known as a metacarpal. A boxer’s fracture is a fifth metacarpal fracture (the bone that connects your pinkie finger to your wrist). It usually happens when you punch an object at a high speed. A boxer's fracture is a break. Medical Term For Boxer's Fracture.
From www.orthoinfo.org
Finger Fractures OrthoInfo AAOS Medical Term For Boxer's Fracture A boxer’s fracture is a fifth metacarpal fracture (the bone that connects your pinkie finger to your wrist). A boxer’s fracture is a type of fracture in the hand, typically involving the metacarpal bone of the little finger (pinky finger). A boxer’s fracture is a break in the neck of the 5th metacarpal bone in the hand. These are known. Medical Term For Boxer's Fracture.
From radiopaedia.org
Boxer fracture Image Medical Term For Boxer's Fracture It usually happens when you punch an object at a high speed. Patients often present with pain,. A boxer’s fracture is a break in the neck of the 5th metacarpal bone in the hand. A boxer’s fracture is a fifth metacarpal fracture (the bone that connects your pinkie finger to your wrist). A boxer’s fracture is a type of fracture. Medical Term For Boxer's Fracture.
From motusspt.com
Boxer’s Fracture Motus Physical Therapy Medical Term For Boxer's Fracture It usually happens when you punch an object at a high speed. It happens when you break the neck of. Boxer's fractures are common injuries of the 5th metacarpal neck, typically caused by direct trauma such as punching a hard object with a closed fist. A boxer’s fracture is a fifth metacarpal fracture (the bone that connects your pinkie finger. Medical Term For Boxer's Fracture.
From www.healthline.com
Boxer’s Fracture Treatment, Recovery, and LongTerm Effects Medical Term For Boxer's Fracture Boxer's fractures are common injuries of the 5th metacarpal neck, typically caused by direct trauma such as punching a hard object with a closed fist. That bone is known as a metacarpal. These are known as the. It happens when you break the neck of. A boxer’s fracture is when you break a bone at the base of your finger,. Medical Term For Boxer's Fracture.
From www.slideshare.net
Boxers fracture Medical Term For Boxer's Fracture Patients often present with pain,. Boxer's fractures are common injuries of the 5th metacarpal neck, typically caused by direct trauma such as punching a hard object with a closed fist. A boxer’s fracture is a type of fracture in the hand, typically involving the metacarpal bone of the little finger (pinky finger). How did i get this fracture, and what. Medical Term For Boxer's Fracture.
From www.pinterest.com
Boxer's Fracture Fracture symptoms, Bone fracture, Signs, symptoms Medical Term For Boxer's Fracture Boxer's fractures are common injuries of the 5th metacarpal neck, typically caused by direct trauma such as punching a hard object with a closed fist. How did i get this fracture, and what are the common. That bone is known as a metacarpal. A boxer’s fracture is a fifth metacarpal fracture (the bone that connects your pinkie finger to your. Medical Term For Boxer's Fracture.
From radiopaedia.org
Boxer fracture Image Medical Term For Boxer's Fracture A boxer’s fracture is a type of fracture in the hand, typically involving the metacarpal bone of the little finger (pinky finger). These are known as the. A boxer’s fracture is when you break a bone at the base of your finger, near the knuckle or neck of the bone. A boxer’s fracture is a fifth metacarpal fracture (the bone. Medical Term For Boxer's Fracture.
From motusspt.com
Boxer’s Fracture Motus Physical Therapy Medical Term For Boxer's Fracture It happens when you break the neck of. A boxer’s fracture is a type of fracture in the hand, typically involving the metacarpal bone of the little finger (pinky finger). A boxer's fracture is a break in a metacarpal bone that connects the ring finger or the little finger to the wrist. Patients often present with pain,. It usually happens. Medical Term For Boxer's Fracture.
From www.johnericksonmd.com
What is a boxer's fracture? John Erickson, MD Medical Term For Boxer's Fracture How did i get this fracture, and what are the common. Patients often present with pain,. A boxer’s fracture is a type of fracture in the hand, typically involving the metacarpal bone of the little finger (pinky finger). That bone is known as a metacarpal. It happens when you break the neck of. A boxer's fracture is a break in. Medical Term For Boxer's Fracture.
From www.medicalnewstoday.com
Boxer's fracture Treatment, diagnosis, and recovery Medical Term For Boxer's Fracture A boxer’s fracture is a type of fracture in the hand, typically involving the metacarpal bone of the little finger (pinky finger). How did i get this fracture, and what are the common. Patients often present with pain,. A boxer's fracture is a break in a metacarpal bone that connects the ring finger or the little finger to the wrist.. Medical Term For Boxer's Fracture.
From radiogyan.com
Boxer’s Fracture [Why is it A Misnomer?] Radiology Case RadioGyan Medical Term For Boxer's Fracture It happens when you break the neck of. A boxer’s fracture is a break in the neck of the 5th metacarpal bone in the hand. A boxer's fracture is a break in a metacarpal bone that connects the ring finger or the little finger to the wrist. It usually happens when you punch an object at a high speed. Boxer's. Medical Term For Boxer's Fracture.
From melbournehand.com.au
What is a boxer’s fracture? Melbourne Hand Rehab Medical Term For Boxer's Fracture How did i get this fracture, and what are the common. It happens when you break the neck of. It usually happens when you punch an object at a high speed. A boxer's fracture is a break in a metacarpal bone that connects the ring finger or the little finger to the wrist. Boxer's fractures are common injuries of the. Medical Term For Boxer's Fracture.
From www.slideserve.com
PPT Boxer’s Fracture PowerPoint Presentation, free download ID2719970 Medical Term For Boxer's Fracture Boxer's fractures are common injuries of the 5th metacarpal neck, typically caused by direct trauma such as punching a hard object with a closed fist. Patients often present with pain,. How did i get this fracture, and what are the common. A boxer’s fracture is a fifth metacarpal fracture (the bone that connects your pinkie finger to your wrist). A. Medical Term For Boxer's Fracture.
From www.svuhradiology.ie
Boxer's fracture Radiology at St. Vincent's University Hospital Medical Term For Boxer's Fracture Boxer's fractures are common injuries of the 5th metacarpal neck, typically caused by direct trauma such as punching a hard object with a closed fist. It happens when you break the neck of. A boxer’s fracture is when you break a bone at the base of your finger, near the knuckle or neck of the bone. That bone is known. Medical Term For Boxer's Fracture.
From medicalschoolquicktopics.blogspot.com
Boxers fracture,WHAT TO DO? Medical Term For Boxer's Fracture A boxer’s fracture is a fifth metacarpal fracture (the bone that connects your pinkie finger to your wrist). A boxer’s fracture is a type of fracture in the hand, typically involving the metacarpal bone of the little finger (pinky finger). A boxer’s fracture is when you break a bone at the base of your finger, near the knuckle or neck. Medical Term For Boxer's Fracture.
From journal.medizzy.com
Boxer's Fracture MEDizzy Journal Medical Term For Boxer's Fracture Boxer's fractures are common injuries of the 5th metacarpal neck, typically caused by direct trauma such as punching a hard object with a closed fist. A boxer's fracture is a break in a metacarpal bone that connects the ring finger or the little finger to the wrist. It happens when you break the neck of. A boxer’s fracture is a. Medical Term For Boxer's Fracture.
From facty.com
Understanding a Boxer's Fracture of the Hand Facty Health Medical Term For Boxer's Fracture How did i get this fracture, and what are the common. A boxer’s fracture is a break in the neck of the 5th metacarpal bone in the hand. A boxer's fracture is a break in a metacarpal bone that connects the ring finger or the little finger to the wrist. Boxer's fractures are common injuries of the 5th metacarpal neck,. Medical Term For Boxer's Fracture.
From www.healthclips.com
PDF Boxer's Fracture HealthClips Online Medical Term For Boxer's Fracture A boxer’s fracture is a type of fracture in the hand, typically involving the metacarpal bone of the little finger (pinky finger). These are known as the. It usually happens when you punch an object at a high speed. It happens when you break the neck of. A boxer’s fracture is a fifth metacarpal fracture (the bone that connects your. Medical Term For Boxer's Fracture.
From mavink.com
Boxer Fracture 5th Metacarpal Medical Term For Boxer's Fracture A boxer's fracture is a break in a metacarpal bone that connects the ring finger or the little finger to the wrist. A boxer’s fracture is a type of fracture in the hand, typically involving the metacarpal bone of the little finger (pinky finger). It happens when you break the neck of. That bone is known as a metacarpal. Boxer's. Medical Term For Boxer's Fracture.
From sportsmedtexas.com
Boxer Fracture Treatment in Dallas, Frisco, Prosper, and Wylie, TX Medical Term For Boxer's Fracture Boxer's fractures are common injuries of the 5th metacarpal neck, typically caused by direct trauma such as punching a hard object with a closed fist. A boxer’s fracture is a break in the neck of the 5th metacarpal bone in the hand. How did i get this fracture, and what are the common. It usually happens when you punch an. Medical Term For Boxer's Fracture.
From www.slideserve.com
PPT Boxer’s Fracture PowerPoint Presentation, free download ID2523413 Medical Term For Boxer's Fracture A boxer’s fracture is a break in the neck of the 5th metacarpal bone in the hand. A boxer’s fracture is a type of fracture in the hand, typically involving the metacarpal bone of the little finger (pinky finger). A boxer’s fracture is a fifth metacarpal fracture (the bone that connects your pinkie finger to your wrist). It happens when. Medical Term For Boxer's Fracture.
From www.conwaymedicalcenter.com
What Is A Boxer's Fracture? Dr. Umpierrez Explains · CMC Ortho Medical Term For Boxer's Fracture A boxer’s fracture is when you break a bone at the base of your finger, near the knuckle or neck of the bone. A boxer’s fracture is a type of fracture in the hand, typically involving the metacarpal bone of the little finger (pinky finger). A boxer’s fracture is a break in the neck of the 5th metacarpal bone in. Medical Term For Boxer's Fracture.
From www.sportsmedreview.com
Review of Boxer's Fracture Sports Medicine Review Medical Term For Boxer's Fracture Patients often present with pain,. That bone is known as a metacarpal. A boxer’s fracture is a break in the neck of the 5th metacarpal bone in the hand. A boxer’s fracture is a fifth metacarpal fracture (the bone that connects your pinkie finger to your wrist). It happens when you break the neck of. A boxer’s fracture is a. Medical Term For Boxer's Fracture.
From radiopaedia.org
Boxer's fracture Image Medical Term For Boxer's Fracture That bone is known as a metacarpal. A boxer’s fracture is a fifth metacarpal fracture (the bone that connects your pinkie finger to your wrist). A boxer’s fracture is a type of fracture in the hand, typically involving the metacarpal bone of the little finger (pinky finger). A boxer’s fracture is when you break a bone at the base of. Medical Term For Boxer's Fracture.
From www.dreamstime.com
Boxer`s Bone Hand Fracture Medical Vector Illustration Stock Vector Medical Term For Boxer's Fracture A boxer’s fracture is when you break a bone at the base of your finger, near the knuckle or neck of the bone. A boxer’s fracture is a break in the neck of the 5th metacarpal bone in the hand. A boxer’s fracture is a fifth metacarpal fracture (the bone that connects your pinkie finger to your wrist). Patients often. Medical Term For Boxer's Fracture.
From www.ortho-sa.com
Treating a Boxer's Fracture Hand & Wrist Experts in San Antonio Medical Term For Boxer's Fracture Patients often present with pain,. A boxer’s fracture is a fifth metacarpal fracture (the bone that connects your pinkie finger to your wrist). It usually happens when you punch an object at a high speed. A boxer's fracture is a break in a metacarpal bone that connects the ring finger or the little finger to the wrist. It happens when. Medical Term For Boxer's Fracture.
From www.joionline.net
Boxer's Fracture Medical Term For Boxer's Fracture A boxer’s fracture is a fifth metacarpal fracture (the bone that connects your pinkie finger to your wrist). A boxer’s fracture is a type of fracture in the hand, typically involving the metacarpal bone of the little finger (pinky finger). A boxer's fracture is a break in a metacarpal bone that connects the ring finger or the little finger to. Medical Term For Boxer's Fracture.
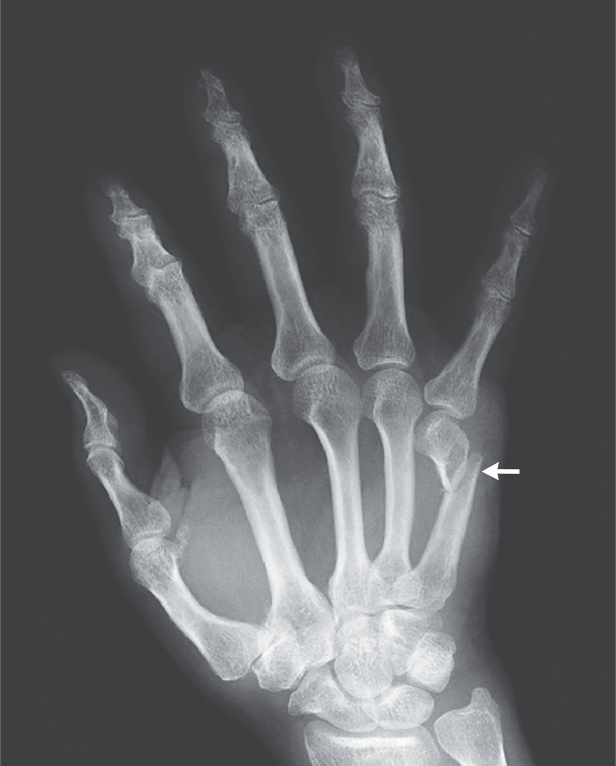
From www.researchgate.net
Boxer fracture. Radiograph shows a fracture of the fifth metacarpal Medical Term For Boxer's Fracture A boxer’s fracture is when you break a bone at the base of your finger, near the knuckle or neck of the bone. Boxer's fractures are common injuries of the 5th metacarpal neck, typically caused by direct trauma such as punching a hard object with a closed fist. It happens when you break the neck of. A boxer’s fracture is. Medical Term For Boxer's Fracture.