Weight Loss After Gum Graft . Typically, your gum graft should heal within 14 days. Successful gum graft recovery comes down to these simple tips. Here's what you should expect after your gum graft surgery. When your wounds heal, the new tissue protects against or helps correct some of that recession. If you’re considering this procedure or have already undergone it, it’s important to know what to anticipate during gum graft recovery. Eventually, gum recession, if not treated, can cause tooth loss. After that, you can resume. To repair the damage and prevent further dental problems, a. After a gum graft, it is normal to experience some temporary symptoms such as discomfort, swelling, and bleeding. They are part of the natural healing process and should gradually. When can i eat my regular diet after a gum graft? (it's like a skin graft, but with gum tissue.) if your gums are receding, that might. After your gum graft is completed, the gums in the treatment area may appear white and different than what you’re used to seeing.
from www.periodontal-therapy.com
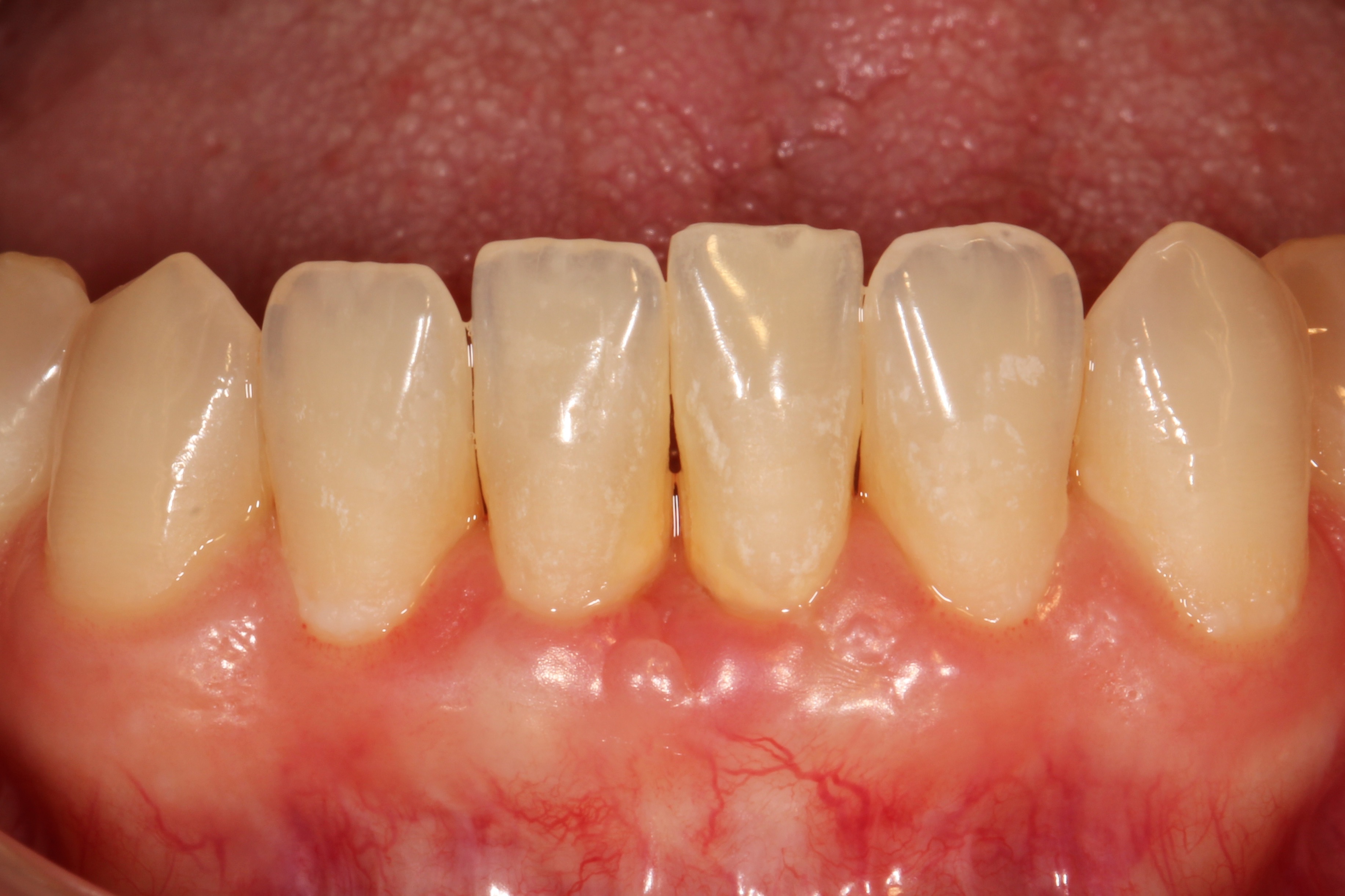
After your gum graft is completed, the gums in the treatment area may appear white and different than what you’re used to seeing. Eventually, gum recession, if not treated, can cause tooth loss. If you’re considering this procedure or have already undergone it, it’s important to know what to anticipate during gum graft recovery. Typically, your gum graft should heal within 14 days. When your wounds heal, the new tissue protects against or helps correct some of that recession. Here's what you should expect after your gum graft surgery. Successful gum graft recovery comes down to these simple tips. When can i eat my regular diet after a gum graft? (it's like a skin graft, but with gum tissue.) if your gums are receding, that might. To repair the damage and prevent further dental problems, a.
Gum Grafting Photos
Weight Loss After Gum Graft They are part of the natural healing process and should gradually. Successful gum graft recovery comes down to these simple tips. Here's what you should expect after your gum graft surgery. (it's like a skin graft, but with gum tissue.) if your gums are receding, that might. After that, you can resume. When your wounds heal, the new tissue protects against or helps correct some of that recession. After your gum graft is completed, the gums in the treatment area may appear white and different than what you’re used to seeing. Eventually, gum recession, if not treated, can cause tooth loss. After a gum graft, it is normal to experience some temporary symptoms such as discomfort, swelling, and bleeding. When can i eat my regular diet after a gum graft? If you’re considering this procedure or have already undergone it, it’s important to know what to anticipate during gum graft recovery. To repair the damage and prevent further dental problems, a. They are part of the natural healing process and should gradually. Typically, your gum graft should heal within 14 days.
From imgpile.com
Dental Gum Graft Restoring Healthy Gums And Preventing Tooth Loss Weight Loss After Gum Graft (it's like a skin graft, but with gum tissue.) if your gums are receding, that might. To repair the damage and prevent further dental problems, a. Typically, your gum graft should heal within 14 days. After that, you can resume. After a gum graft, it is normal to experience some temporary symptoms such as discomfort, swelling, and bleeding. After your. Weight Loss After Gum Graft.
From www.youtube.com
Alloderm Periodontal Surgery for Gum Recession/Grafting/Root Coverage Weight Loss After Gum Graft To repair the damage and prevent further dental problems, a. After that, you can resume. After a gum graft, it is normal to experience some temporary symptoms such as discomfort, swelling, and bleeding. After your gum graft is completed, the gums in the treatment area may appear white and different than what you’re used to seeing. Successful gum graft recovery. Weight Loss After Gum Graft.
From www.nocoperio.com
Gum Pain Gum Loss Grafting Weight Loss After Gum Graft Here's what you should expect after your gum graft surgery. Eventually, gum recession, if not treated, can cause tooth loss. After a gum graft, it is normal to experience some temporary symptoms such as discomfort, swelling, and bleeding. To repair the damage and prevent further dental problems, a. Typically, your gum graft should heal within 14 days. (it's like a. Weight Loss After Gum Graft.
From www.gumsurgery.com
Gum Grafting in NYC Gingival Grafting NJ Advanced Periodontics Weight Loss After Gum Graft When can i eat my regular diet after a gum graft? If you’re considering this procedure or have already undergone it, it’s important to know what to anticipate during gum graft recovery. They are part of the natural healing process and should gradually. Eventually, gum recession, if not treated, can cause tooth loss. Successful gum graft recovery comes down to. Weight Loss After Gum Graft.
From www.torreyhillsperio.com
Gum Grafting Torrey Hills Periodontal Group Periodontist San Diego, CA Weight Loss After Gum Graft If you’re considering this procedure or have already undergone it, it’s important to know what to anticipate during gum graft recovery. After your gum graft is completed, the gums in the treatment area may appear white and different than what you’re used to seeing. Here's what you should expect after your gum graft surgery. When can i eat my regular. Weight Loss After Gum Graft.
From newsquaredentist.co.uk
Before and After Images Dentist Cambridge Weight Loss After Gum Graft Successful gum graft recovery comes down to these simple tips. (it's like a skin graft, but with gum tissue.) if your gums are receding, that might. After that, you can resume. Here's what you should expect after your gum graft surgery. Eventually, gum recession, if not treated, can cause tooth loss. When your wounds heal, the new tissue protects against. Weight Loss After Gum Graft.
From www.periodontal-therapy.com
Gum Grafting Photos Weight Loss After Gum Graft Successful gum graft recovery comes down to these simple tips. If you’re considering this procedure or have already undergone it, it’s important to know what to anticipate during gum graft recovery. Eventually, gum recession, if not treated, can cause tooth loss. When your wounds heal, the new tissue protects against or helps correct some of that recession. (it's like a. Weight Loss After Gum Graft.
From www.3stepsmiles.com
Gum Tissue Graft Surgery procedure, causes, techniques and more Weight Loss After Gum Graft When can i eat my regular diet after a gum graft? Here's what you should expect after your gum graft surgery. Eventually, gum recession, if not treated, can cause tooth loss. After that, you can resume. After a gum graft, it is normal to experience some temporary symptoms such as discomfort, swelling, and bleeding. After your gum graft is completed,. Weight Loss After Gum Graft.
From www.drgallezperio.com
Grafting the Whole Jaw in One Appointment San Jose CA, Gum Grafting Weight Loss After Gum Graft Typically, your gum graft should heal within 14 days. They are part of the natural healing process and should gradually. Successful gum graft recovery comes down to these simple tips. After that, you can resume. To repair the damage and prevent further dental problems, a. If you’re considering this procedure or have already undergone it, it’s important to know what. Weight Loss After Gum Graft.
From www.huntingtonbeachperiodontics.com
Gum Grafting Huntington Beach Cosmetic Periodontics Dr. Braga Weight Loss After Gum Graft After that, you can resume. If you’re considering this procedure or have already undergone it, it’s important to know what to anticipate during gum graft recovery. Here's what you should expect after your gum graft surgery. After a gum graft, it is normal to experience some temporary symptoms such as discomfort, swelling, and bleeding. When your wounds heal, the new. Weight Loss After Gum Graft.
From www.periodontal-therapy.com
Gum Grafting Photos Weight Loss After Gum Graft To repair the damage and prevent further dental problems, a. After your gum graft is completed, the gums in the treatment area may appear white and different than what you’re used to seeing. Typically, your gum graft should heal within 14 days. If you’re considering this procedure or have already undergone it, it’s important to know what to anticipate during. Weight Loss After Gum Graft.
From www.ebnutritionconsulting.com
The amazing chewing gum diet for weight loss and detoxing — Energy Weight Loss After Gum Graft Successful gum graft recovery comes down to these simple tips. To repair the damage and prevent further dental problems, a. Here's what you should expect after your gum graft surgery. They are part of the natural healing process and should gradually. Typically, your gum graft should heal within 14 days. When your wounds heal, the new tissue protects against or. Weight Loss After Gum Graft.
From www.periodontal-therapy.com
Gum Grafting Photos Weight Loss After Gum Graft If you’re considering this procedure or have already undergone it, it’s important to know what to anticipate during gum graft recovery. When can i eat my regular diet after a gum graft? Here's what you should expect after your gum graft surgery. After that, you can resume. Eventually, gum recession, if not treated, can cause tooth loss. When your wounds. Weight Loss After Gum Graft.
From forestparkdental.com
Important Tips for Recovering From Gum Grafting Surgery Weight Loss After Gum Graft When can i eat my regular diet after a gum graft? After your gum graft is completed, the gums in the treatment area may appear white and different than what you’re used to seeing. Here's what you should expect after your gum graft surgery. (it's like a skin graft, but with gum tissue.) if your gums are receding, that might.. Weight Loss After Gum Graft.
From www.coastalperio.net
Gingival (Gum) Grafting Coastal Periodontics & Implant Dentistry Weight Loss After Gum Graft Typically, your gum graft should heal within 14 days. They are part of the natural healing process and should gradually. When your wounds heal, the new tissue protects against or helps correct some of that recession. Eventually, gum recession, if not treated, can cause tooth loss. When can i eat my regular diet after a gum graft? If you’re considering. Weight Loss After Gum Graft.
From exoegqfdw.blob.core.windows.net
Weight Loss After Gum Graft Surgery at Mary Conroy blog Weight Loss After Gum Graft They are part of the natural healing process and should gradually. Here's what you should expect after your gum graft surgery. When can i eat my regular diet after a gum graft? Successful gum graft recovery comes down to these simple tips. Eventually, gum recession, if not treated, can cause tooth loss. (it's like a skin graft, but with gum. Weight Loss After Gum Graft.
From www.thegumspecialists.com
Gum Grafting — The Gum Specialists Weight Loss After Gum Graft After that, you can resume. (it's like a skin graft, but with gum tissue.) if your gums are receding, that might. They are part of the natural healing process and should gradually. Typically, your gum graft should heal within 14 days. Here's what you should expect after your gum graft surgery. When can i eat my regular diet after a. Weight Loss After Gum Graft.
From premierperiodontics.com
Before and After Gum Grafting Photos Weight Loss After Gum Graft (it's like a skin graft, but with gum tissue.) if your gums are receding, that might. Typically, your gum graft should heal within 14 days. They are part of the natural healing process and should gradually. Here's what you should expect after your gum graft surgery. When your wounds heal, the new tissue protects against or helps correct some of. Weight Loss After Gum Graft.
From exoegqfdw.blob.core.windows.net
Weight Loss After Gum Graft Surgery at Mary Conroy blog Weight Loss After Gum Graft After a gum graft, it is normal to experience some temporary symptoms such as discomfort, swelling, and bleeding. Successful gum graft recovery comes down to these simple tips. When your wounds heal, the new tissue protects against or helps correct some of that recession. They are part of the natural healing process and should gradually. To repair the damage and. Weight Loss After Gum Graft.
From www.pinterest.com.mx
In gum grafting a periodontist places a healthy tissue beneath the Weight Loss After Gum Graft They are part of the natural healing process and should gradually. After your gum graft is completed, the gums in the treatment area may appear white and different than what you’re used to seeing. Here's what you should expect after your gum graft surgery. To repair the damage and prevent further dental problems, a. When can i eat my regular. Weight Loss After Gum Graft.
From www.alabamaperiodontics.com
Gum Grafting Procedure Gum Surgery Birmingham, AL Periodontist Weight Loss After Gum Graft If you’re considering this procedure or have already undergone it, it’s important to know what to anticipate during gum graft recovery. When can i eat my regular diet after a gum graft? After your gum graft is completed, the gums in the treatment area may appear white and different than what you’re used to seeing. Typically, your gum graft should. Weight Loss After Gum Graft.
From www.periodontal-therapy.com
Gum Grafting Photos Weight Loss After Gum Graft After a gum graft, it is normal to experience some temporary symptoms such as discomfort, swelling, and bleeding. After that, you can resume. After your gum graft is completed, the gums in the treatment area may appear white and different than what you’re used to seeing. To repair the damage and prevent further dental problems, a. When can i eat. Weight Loss After Gum Graft.
From www.huntingtonbeachperiodontics.com
Gum Grafting Huntington Beach Cosmetic Periodontics Dr. Braga Weight Loss After Gum Graft After your gum graft is completed, the gums in the treatment area may appear white and different than what you’re used to seeing. They are part of the natural healing process and should gradually. Eventually, gum recession, if not treated, can cause tooth loss. Here's what you should expect after your gum graft surgery. After a gum graft, it is. Weight Loss After Gum Graft.
From www.prestigedentalspecialists.com
Before and After Periodontics Annandale North VA Prestige Dental Weight Loss After Gum Graft After that, you can resume. Successful gum graft recovery comes down to these simple tips. Typically, your gum graft should heal within 14 days. Here's what you should expect after your gum graft surgery. After a gum graft, it is normal to experience some temporary symptoms such as discomfort, swelling, and bleeding. When your wounds heal, the new tissue protects. Weight Loss After Gum Graft.
From leefamdentistry.com
Gum Disease Improves with Weight Loss Lee Family Dentistry Weight Loss After Gum Graft If you’re considering this procedure or have already undergone it, it’s important to know what to anticipate during gum graft recovery. Typically, your gum graft should heal within 14 days. They are part of the natural healing process and should gradually. When your wounds heal, the new tissue protects against or helps correct some of that recession. After your gum. Weight Loss After Gum Graft.
From www.drfeldner.com
Gum Grafting Gallery Kearney NE, Barry D Feldner DDS Weight Loss After Gum Graft When your wounds heal, the new tissue protects against or helps correct some of that recession. After your gum graft is completed, the gums in the treatment area may appear white and different than what you’re used to seeing. After that, you can resume. To repair the damage and prevent further dental problems, a. If you’re considering this procedure or. Weight Loss After Gum Graft.
From premierperiodontics.com
Before and After Gum Grafting Photos Weight Loss After Gum Graft They are part of the natural healing process and should gradually. After your gum graft is completed, the gums in the treatment area may appear white and different than what you’re used to seeing. Eventually, gum recession, if not treated, can cause tooth loss. After a gum graft, it is normal to experience some temporary symptoms such as discomfort, swelling,. Weight Loss After Gum Graft.
From www.laudenbach.com
Gum Grafting Philadelphia PA Weight Loss After Gum Graft After your gum graft is completed, the gums in the treatment area may appear white and different than what you’re used to seeing. They are part of the natural healing process and should gradually. Typically, your gum graft should heal within 14 days. If you’re considering this procedure or have already undergone it, it’s important to know what to anticipate. Weight Loss After Gum Graft.
From exoegqfdw.blob.core.windows.net
Weight Loss After Gum Graft Surgery at Mary Conroy blog Weight Loss After Gum Graft To repair the damage and prevent further dental problems, a. They are part of the natural healing process and should gradually. When your wounds heal, the new tissue protects against or helps correct some of that recession. Here's what you should expect after your gum graft surgery. Successful gum graft recovery comes down to these simple tips. Eventually, gum recession,. Weight Loss After Gum Graft.
From exoegqfdw.blob.core.windows.net
Weight Loss After Gum Graft Surgery at Mary Conroy blog Weight Loss After Gum Graft They are part of the natural healing process and should gradually. After a gum graft, it is normal to experience some temporary symptoms such as discomfort, swelling, and bleeding. When can i eat my regular diet after a gum graft? Successful gum graft recovery comes down to these simple tips. If you’re considering this procedure or have already undergone it,. Weight Loss After Gum Graft.
From docfloss.com
Gingival (Gum) Grafting Dental Implants & Periodontics of CT Weight Loss After Gum Graft To repair the damage and prevent further dental problems, a. When can i eat my regular diet after a gum graft? (it's like a skin graft, but with gum tissue.) if your gums are receding, that might. After your gum graft is completed, the gums in the treatment area may appear white and different than what you’re used to seeing.. Weight Loss After Gum Graft.
From www.nocoperio.com
Gum Pain Gum Loss Grafting Weight Loss After Gum Graft If you’re considering this procedure or have already undergone it, it’s important to know what to anticipate during gum graft recovery. Successful gum graft recovery comes down to these simple tips. When your wounds heal, the new tissue protects against or helps correct some of that recession. Eventually, gum recession, if not treated, can cause tooth loss. After your gum. Weight Loss After Gum Graft.
From www.periodontal-therapy.com
Gum Grafting Photos Weight Loss After Gum Graft When your wounds heal, the new tissue protects against or helps correct some of that recession. (it's like a skin graft, but with gum tissue.) if your gums are receding, that might. After that, you can resume. They are part of the natural healing process and should gradually. After your gum graft is completed, the gums in the treatment area. Weight Loss After Gum Graft.
From www.nocoperio.com
Gum Pain Gum Loss Grafting Weight Loss After Gum Graft Here's what you should expect after your gum graft surgery. Eventually, gum recession, if not treated, can cause tooth loss. When can i eat my regular diet after a gum graft? After your gum graft is completed, the gums in the treatment area may appear white and different than what you’re used to seeing. They are part of the natural. Weight Loss After Gum Graft.
From www.periodontal-therapy.com
Gum Grafting Photos Weight Loss After Gum Graft Typically, your gum graft should heal within 14 days. When can i eat my regular diet after a gum graft? They are part of the natural healing process and should gradually. Successful gum graft recovery comes down to these simple tips. Here's what you should expect after your gum graft surgery. To repair the damage and prevent further dental problems,. Weight Loss After Gum Graft.