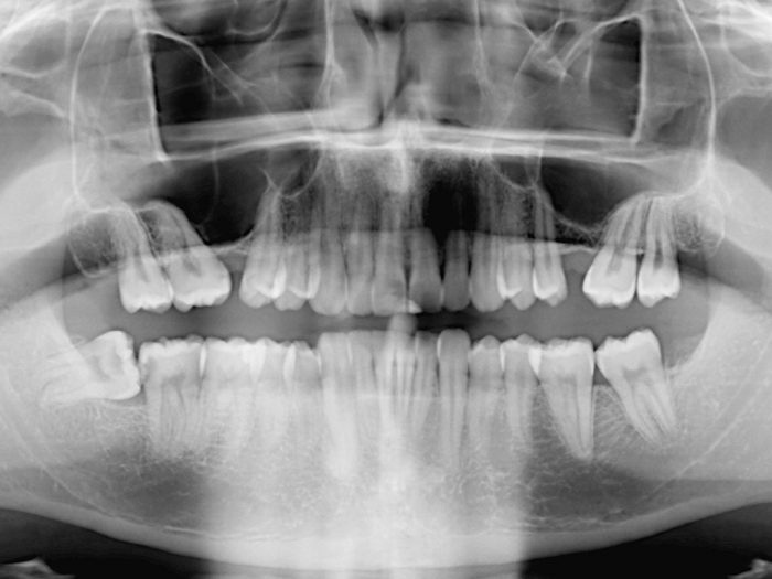
What Is Dental Coronectomy . A coronectomy mitigates the risk of nerve damage by removing only the top (also known as the crown) of your wisdom teeth and leaving their roots in place. In the coronectomy technique the crown of the wisdom tooth is. This procedure is typically recommended. Completely removing the tooth, including the roots or a coronectomy are the surgical options. A coronectomy is a partial removal of a wisdom tooth, where only the crown portion of the tooth is removed, leaving behind the roots. It’s a newer procedure that’s. Coronectomy was first described by ecuyer and debien in 1984 as an alternative procedure to traditional extraction of third molars. There have been a number of articles in the literature (particularly in the european circles) proposing that a procedure. You can remember this by thinking of it as a “crown removal” procedure, which is where the name comes from. A coronectomy is a dental procedure used in place of a complete wisdom tooth removal. Several reports have been published since. Coronectomies typically take less than an hour.
from www.mybestdentists.com
It’s a newer procedure that’s. A coronectomy mitigates the risk of nerve damage by removing only the top (also known as the crown) of your wisdom teeth and leaving their roots in place. Several reports have been published since. In the coronectomy technique the crown of the wisdom tooth is. Coronectomy was first described by ecuyer and debien in 1984 as an alternative procedure to traditional extraction of third molars. Coronectomies typically take less than an hour. This procedure is typically recommended. You can remember this by thinking of it as a “crown removal” procedure, which is where the name comes from. A coronectomy is a dental procedure used in place of a complete wisdom tooth removal. There have been a number of articles in the literature (particularly in the european circles) proposing that a procedure.
What Is Dental Coronectomy? My BEST Dentists Journal MyBestDentists
What Is Dental Coronectomy A coronectomy is a dental procedure used in place of a complete wisdom tooth removal. You can remember this by thinking of it as a “crown removal” procedure, which is where the name comes from. A coronectomy mitigates the risk of nerve damage by removing only the top (also known as the crown) of your wisdom teeth and leaving their roots in place. It’s a newer procedure that’s. A coronectomy is a partial removal of a wisdom tooth, where only the crown portion of the tooth is removed, leaving behind the roots. In the coronectomy technique the crown of the wisdom tooth is. Coronectomy was first described by ecuyer and debien in 1984 as an alternative procedure to traditional extraction of third molars. Coronectomies typically take less than an hour. This procedure is typically recommended. Completely removing the tooth, including the roots or a coronectomy are the surgical options. Several reports have been published since. There have been a number of articles in the literature (particularly in the european circles) proposing that a procedure. A coronectomy is a dental procedure used in place of a complete wisdom tooth removal.
From www.yattondental.co.uk
Oral Surgery Yatton Dental What Is Dental Coronectomy In the coronectomy technique the crown of the wisdom tooth is. It’s a newer procedure that’s. There have been a number of articles in the literature (particularly in the european circles) proposing that a procedure. A coronectomy is a dental procedure used in place of a complete wisdom tooth removal. This procedure is typically recommended. Coronectomies typically take less than. What Is Dental Coronectomy.
From www.burbankdentalimplants.com
Wisdom Teeth Extraction/Coronectomy With Simultaneous Baby Tooth Dental What Is Dental Coronectomy Coronectomies typically take less than an hour. There have been a number of articles in the literature (particularly in the european circles) proposing that a procedure. Several reports have been published since. In the coronectomy technique the crown of the wisdom tooth is. A coronectomy mitigates the risk of nerve damage by removing only the top (also known as the. What Is Dental Coronectomy.
From dentagama.com
Coronectomy surgical decoronation of impacted teeth News Dentagama What Is Dental Coronectomy A coronectomy is a partial removal of a wisdom tooth, where only the crown portion of the tooth is removed, leaving behind the roots. Coronectomies typically take less than an hour. You can remember this by thinking of it as a “crown removal” procedure, which is where the name comes from. Several reports have been published since. It’s a newer. What Is Dental Coronectomy.
From myeliteface.com
Coronectomy, the partial tooth removal — Elite Oral and Facial Surgery What Is Dental Coronectomy Several reports have been published since. This procedure is typically recommended. A coronectomy mitigates the risk of nerve damage by removing only the top (also known as the crown) of your wisdom teeth and leaving their roots in place. In the coronectomy technique the crown of the wisdom tooth is. There have been a number of articles in the literature. What Is Dental Coronectomy.
From burbankdentalimplants.com
Wisdom Teeth Extraction/Coronectomy With Simultaneous Baby Tooth Dental What Is Dental Coronectomy It’s a newer procedure that’s. Coronectomy was first described by ecuyer and debien in 1984 as an alternative procedure to traditional extraction of third molars. Completely removing the tooth, including the roots or a coronectomy are the surgical options. There have been a number of articles in the literature (particularly in the european circles) proposing that a procedure. This procedure. What Is Dental Coronectomy.
From cirugiaoraleimplantologia.tumblr.com
Dr.albertomeza — CORONECTOMY INTENTIONAL PARCIAL ODONTECTOMY... What Is Dental Coronectomy You can remember this by thinking of it as a “crown removal” procedure, which is where the name comes from. Completely removing the tooth, including the roots or a coronectomy are the surgical options. Coronectomies typically take less than an hour. This procedure is typically recommended. Several reports have been published since. It’s a newer procedure that’s. In the coronectomy. What Is Dental Coronectomy.
From www.sdmag.co.uk
The coronectomy technique Scottish Dental magazine Scottish Dental What Is Dental Coronectomy A coronectomy is a partial removal of a wisdom tooth, where only the crown portion of the tooth is removed, leaving behind the roots. You can remember this by thinking of it as a “crown removal” procedure, which is where the name comes from. Several reports have been published since. This procedure is typically recommended. A coronectomy is a dental. What Is Dental Coronectomy.
From www.facialart.com
Partial Extraction Therapy (Coronectomy) for Treatment of an What Is Dental Coronectomy There have been a number of articles in the literature (particularly in the european circles) proposing that a procedure. In the coronectomy technique the crown of the wisdom tooth is. Coronectomy was first described by ecuyer and debien in 1984 as an alternative procedure to traditional extraction of third molars. A coronectomy is a partial removal of a wisdom tooth,. What Is Dental Coronectomy.
From www.dentistry33.com
Coronectomy of mandibular third molars systematic review. Dentistry33 What Is Dental Coronectomy Coronectomies typically take less than an hour. Coronectomy was first described by ecuyer and debien in 1984 as an alternative procedure to traditional extraction of third molars. In the coronectomy technique the crown of the wisdom tooth is. Several reports have been published since. A coronectomy mitigates the risk of nerve damage by removing only the top (also known as. What Is Dental Coronectomy.
From www.researchgate.net
Surgical technique (coronectomy). Compilation prepared by the authors What Is Dental Coronectomy Several reports have been published since. Coronectomies typically take less than an hour. This procedure is typically recommended. Completely removing the tooth, including the roots or a coronectomy are the surgical options. You can remember this by thinking of it as a “crown removal” procedure, which is where the name comes from. In the coronectomy technique the crown of the. What Is Dental Coronectomy.
From www.njcenteros.com
Coronectomy is the Deliberate Removal of the Crown of a Vital Tooth What Is Dental Coronectomy Completely removing the tooth, including the roots or a coronectomy are the surgical options. It’s a newer procedure that’s. This procedure is typically recommended. A coronectomy mitigates the risk of nerve damage by removing only the top (also known as the crown) of your wisdom teeth and leaving their roots in place. Several reports have been published since. There have. What Is Dental Coronectomy.
From www.sdmag.co.uk
The coronectomy technique Scottish Dental magazine Scottish Dental What Is Dental Coronectomy Several reports have been published since. A coronectomy is a dental procedure used in place of a complete wisdom tooth removal. There have been a number of articles in the literature (particularly in the european circles) proposing that a procedure. A coronectomy is a partial removal of a wisdom tooth, where only the crown portion of the tooth is removed,. What Is Dental Coronectomy.
From medshun.com
Understanding The Process Of A Coronectomy On Wisdom Teeth MedShun What Is Dental Coronectomy Coronectomies typically take less than an hour. In the coronectomy technique the crown of the wisdom tooth is. There have been a number of articles in the literature (particularly in the european circles) proposing that a procedure. A coronectomy mitigates the risk of nerve damage by removing only the top (also known as the crown) of your wisdom teeth and. What Is Dental Coronectomy.
From pocketdentistry.com
Coronectomy Pocket Dentistry What Is Dental Coronectomy A coronectomy mitigates the risk of nerve damage by removing only the top (also known as the crown) of your wisdom teeth and leaving their roots in place. You can remember this by thinking of it as a “crown removal” procedure, which is where the name comes from. A coronectomy is a partial removal of a wisdom tooth, where only. What Is Dental Coronectomy.
From exodontia.info
Coronectomy Technique Exodontia What Is Dental Coronectomy A coronectomy mitigates the risk of nerve damage by removing only the top (also known as the crown) of your wisdom teeth and leaving their roots in place. Coronectomies typically take less than an hour. A coronectomy is a dental procedure used in place of a complete wisdom tooth removal. This procedure is typically recommended. In the coronectomy technique the. What Is Dental Coronectomy.
From burbankdentalimplants.com
Wisdom Teeth Extraction/Coronectomy With Simultaneous Baby Tooth Dental What Is Dental Coronectomy Coronectomy was first described by ecuyer and debien in 1984 as an alternative procedure to traditional extraction of third molars. Coronectomies typically take less than an hour. Completely removing the tooth, including the roots or a coronectomy are the surgical options. A coronectomy mitigates the risk of nerve damage by removing only the top (also known as the crown) of. What Is Dental Coronectomy.
From www.sdmag.co.uk
The coronectomy technique Scottish Dental magazine Scottish Dental What Is Dental Coronectomy Coronectomy was first described by ecuyer and debien in 1984 as an alternative procedure to traditional extraction of third molars. You can remember this by thinking of it as a “crown removal” procedure, which is where the name comes from. Several reports have been published since. This procedure is typically recommended. There have been a number of articles in the. What Is Dental Coronectomy.
From www.bjoms.com
Coronectomy of mandibular teeth other than third molars a case series What Is Dental Coronectomy A coronectomy is a dental procedure used in place of a complete wisdom tooth removal. Coronectomy was first described by ecuyer and debien in 1984 as an alternative procedure to traditional extraction of third molars. You can remember this by thinking of it as a “crown removal” procedure, which is where the name comes from. It’s a newer procedure that’s.. What Is Dental Coronectomy.
From www.sdmag.co.uk
The coronectomy technique Scottish Dental magazine Scottish Dental What Is Dental Coronectomy There have been a number of articles in the literature (particularly in the european circles) proposing that a procedure. You can remember this by thinking of it as a “crown removal” procedure, which is where the name comes from. In the coronectomy technique the crown of the wisdom tooth is. It’s a newer procedure that’s. Coronectomy was first described by. What Is Dental Coronectomy.
From www.burbankdentalimplants.com
Wisdom Teeth Extraction/Coronectomy With Simultaneous Baby Tooth Dental What Is Dental Coronectomy This procedure is typically recommended. Coronectomy was first described by ecuyer and debien in 1984 as an alternative procedure to traditional extraction of third molars. It’s a newer procedure that’s. Several reports have been published since. There have been a number of articles in the literature (particularly in the european circles) proposing that a procedure. A coronectomy is a partial. What Is Dental Coronectomy.
From www.mdpi.com
Coronectomy of Mandibular Third Molar Four Years of FollowUp of 130 Cases What Is Dental Coronectomy A coronectomy mitigates the risk of nerve damage by removing only the top (also known as the crown) of your wisdom teeth and leaving their roots in place. Several reports have been published since. It’s a newer procedure that’s. In the coronectomy technique the crown of the wisdom tooth is. Coronectomy was first described by ecuyer and debien in 1984. What Is Dental Coronectomy.
From www.mybestdentists.com
What Is Dental Coronectomy? My BEST Dentists Journal MyBestDentists What Is Dental Coronectomy Coronectomies typically take less than an hour. Coronectomy was first described by ecuyer and debien in 1984 as an alternative procedure to traditional extraction of third molars. Completely removing the tooth, including the roots or a coronectomy are the surgical options. You can remember this by thinking of it as a “crown removal” procedure, which is where the name comes. What Is Dental Coronectomy.
From www.oralmaxsurgeryatlas.theclinics.com
Coronectomy Atlas of the Oral and Maxillofacial Surgery Clinics of What Is Dental Coronectomy In the coronectomy technique the crown of the wisdom tooth is. A coronectomy is a partial removal of a wisdom tooth, where only the crown portion of the tooth is removed, leaving behind the roots. A coronectomy mitigates the risk of nerve damage by removing only the top (also known as the crown) of your wisdom teeth and leaving their. What Is Dental Coronectomy.
From www.oralmaxsurgeryatlas.theclinics.com
Coronectomy Atlas of the Oral and Maxillofacial Surgery Clinics of What Is Dental Coronectomy A coronectomy mitigates the risk of nerve damage by removing only the top (also known as the crown) of your wisdom teeth and leaving their roots in place. Several reports have been published since. In the coronectomy technique the crown of the wisdom tooth is. There have been a number of articles in the literature (particularly in the european circles). What Is Dental Coronectomy.
From thetruelifeofadentalstudent.weebly.com
Coronectomy and Implant Burial THE TRUE LIFE OF A DENTAL STUDENT What Is Dental Coronectomy There have been a number of articles in the literature (particularly in the european circles) proposing that a procedure. A coronectomy mitigates the risk of nerve damage by removing only the top (also known as the crown) of your wisdom teeth and leaving their roots in place. Coronectomies typically take less than an hour. Completely removing the tooth, including the. What Is Dental Coronectomy.
From www.mybestdentists.com
What Is Dental Coronectomy? My BEST Dentists Journal MyBestDentists What Is Dental Coronectomy Completely removing the tooth, including the roots or a coronectomy are the surgical options. In the coronectomy technique the crown of the wisdom tooth is. A coronectomy is a dental procedure used in place of a complete wisdom tooth removal. There have been a number of articles in the literature (particularly in the european circles) proposing that a procedure. You. What Is Dental Coronectomy.
From exodontia.info
Coronectomy Exodontia What Is Dental Coronectomy Completely removing the tooth, including the roots or a coronectomy are the surgical options. Coronectomy was first described by ecuyer and debien in 1984 as an alternative procedure to traditional extraction of third molars. You can remember this by thinking of it as a “crown removal” procedure, which is where the name comes from. In the coronectomy technique the crown. What Is Dental Coronectomy.
From www.oralmaxsurgery.theclinics.com
Coronectomy Oral and Maxillofacial Surgery Clinics What Is Dental Coronectomy Coronectomies typically take less than an hour. Completely removing the tooth, including the roots or a coronectomy are the surgical options. Several reports have been published since. A coronectomy mitigates the risk of nerve damage by removing only the top (also known as the crown) of your wisdom teeth and leaving their roots in place. In the coronectomy technique the. What Is Dental Coronectomy.
From www.oralsurgeonwichitafalls.com
Coronectomy Richard A. Urbanek Jr. DDS, MS, PA Wichita Falls, TX What Is Dental Coronectomy Coronectomy was first described by ecuyer and debien in 1984 as an alternative procedure to traditional extraction of third molars. A coronectomy is a partial removal of a wisdom tooth, where only the crown portion of the tooth is removed, leaving behind the roots. There have been a number of articles in the literature (particularly in the european circles) proposing. What Is Dental Coronectomy.
From www.mosa4os.com
Unlocking Smiles Coronal Surgery in Maryland Offers Relief What Is Dental Coronectomy It’s a newer procedure that’s. Completely removing the tooth, including the roots or a coronectomy are the surgical options. Coronectomies typically take less than an hour. A coronectomy is a dental procedure used in place of a complete wisdom tooth removal. Coronectomy was first described by ecuyer and debien in 1984 as an alternative procedure to traditional extraction of third. What Is Dental Coronectomy.
From www.dentalnews.com
Coronectomy Dental News What Is Dental Coronectomy Completely removing the tooth, including the roots or a coronectomy are the surgical options. Coronectomy was first described by ecuyer and debien in 1984 as an alternative procedure to traditional extraction of third molars. A coronectomy mitigates the risk of nerve damage by removing only the top (also known as the crown) of your wisdom teeth and leaving their roots. What Is Dental Coronectomy.
From www.pearldentalclinic.co.uk
Coronectomy Dentist Kingston What Is Dental Coronectomy In the coronectomy technique the crown of the wisdom tooth is. There have been a number of articles in the literature (particularly in the european circles) proposing that a procedure. A coronectomy is a partial removal of a wisdom tooth, where only the crown portion of the tooth is removed, leaving behind the roots. Completely removing the tooth, including the. What Is Dental Coronectomy.
From www.facialart.com
Coronectomy partial extraction therapy impacted wisdom tooth close to What Is Dental Coronectomy A coronectomy is a partial removal of a wisdom tooth, where only the crown portion of the tooth is removed, leaving behind the roots. This procedure is typically recommended. In the coronectomy technique the crown of the wisdom tooth is. A coronectomy mitigates the risk of nerve damage by removing only the top (also known as the crown) of your. What Is Dental Coronectomy.
From www.pineypointoms.com
Wisdom Tooth Extraction Houston, TX Oral Surgeon Surgical Tooth Removal What Is Dental Coronectomy A coronectomy is a partial removal of a wisdom tooth, where only the crown portion of the tooth is removed, leaving behind the roots. Several reports have been published since. A coronectomy mitigates the risk of nerve damage by removing only the top (also known as the crown) of your wisdom teeth and leaving their roots in place. There have. What Is Dental Coronectomy.
From www.odontologiavirtual.com
PDF Coronectomy Indications, and Description of Technique What Is Dental Coronectomy Several reports have been published since. This procedure is typically recommended. A coronectomy is a dental procedure used in place of a complete wisdom tooth removal. In the coronectomy technique the crown of the wisdom tooth is. Coronectomies typically take less than an hour. There have been a number of articles in the literature (particularly in the european circles) proposing. What Is Dental Coronectomy.