From www.academia.edu
(PDF) Different features of lung involvement in NiemannPick disease Niemann Pick Disease Lung These individuals experience ataxia, dysphonia, dysphagia, liver and lung disease and supranuclear gaze palsy (sngp). This activity reviews the etiology, epidemiology, and. Niemann Pick Disease Lung.
From nccommons.org
NiemannPick disease type B pulmonary findings (Radiopaedia 43712 Niemann Pick Disease Lung These individuals experience ataxia, dysphonia, dysphagia, liver and lung disease and supranuclear gaze palsy (sngp). This activity reviews the etiology, epidemiology, and. Niemann Pick Disease Lung.
From nccommons.org
NiemannPick disease type B pulmonary findings (Radiopaedia 43712 Niemann Pick Disease Lung This activity reviews the etiology, epidemiology, and. These individuals experience ataxia, dysphonia, dysphagia, liver and lung disease and supranuclear gaze palsy (sngp). Niemann Pick Disease Lung.
From www.ajronline.org
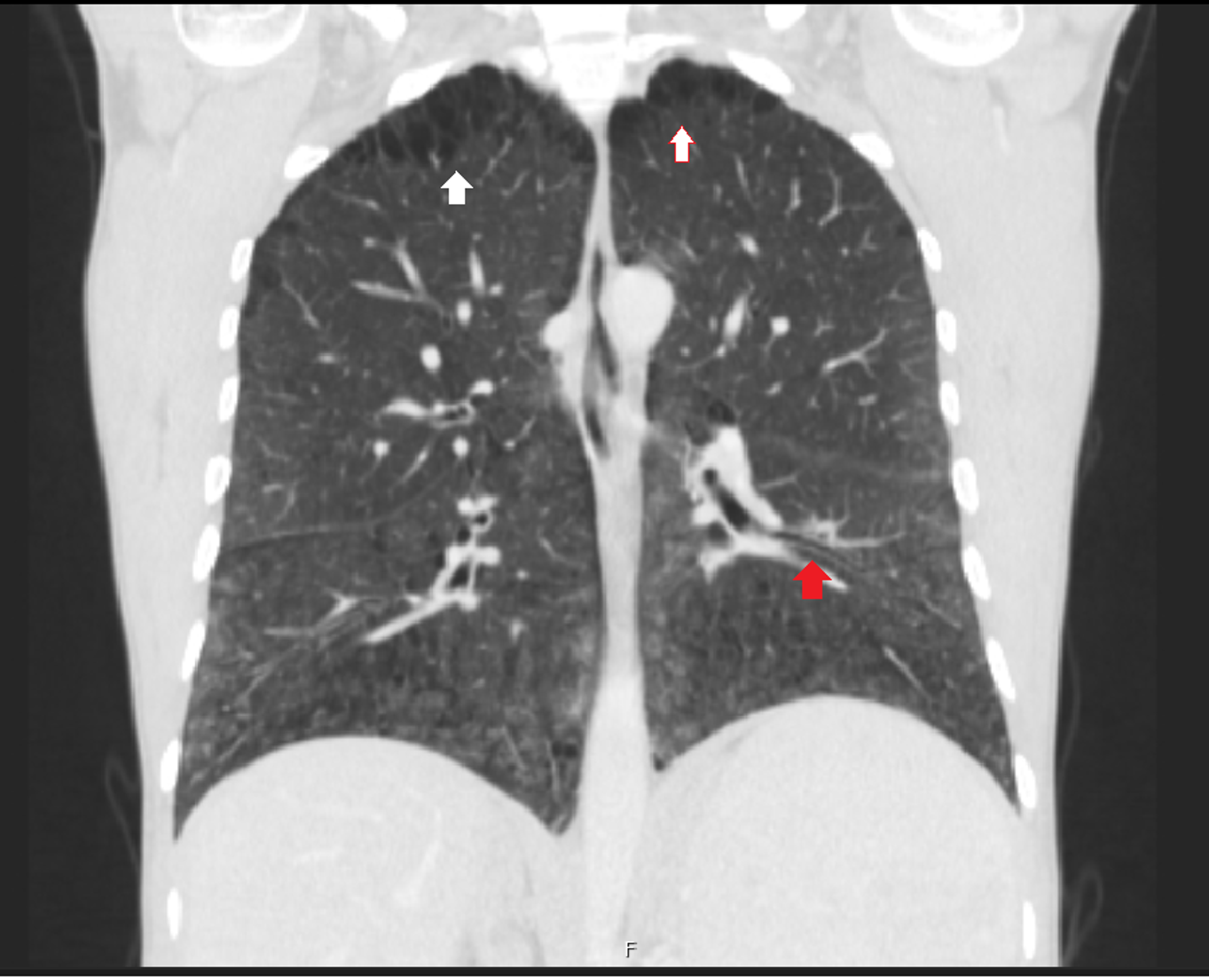
Imaging Manifestations of NiemannPick Disease Type B AJR Niemann Pick Disease Lung This activity reviews the etiology, epidemiology, and. These individuals experience ataxia, dysphonia, dysphagia, liver and lung disease and supranuclear gaze palsy (sngp). Niemann Pick Disease Lung.
From nccommons.org
NiemannPick disease type B pulmonary findings (Radiopaedia 43712 Niemann Pick Disease Lung This activity reviews the etiology, epidemiology, and. These individuals experience ataxia, dysphonia, dysphagia, liver and lung disease and supranuclear gaze palsy (sngp). Niemann Pick Disease Lung.
From www.cureus.com
Cureus NiemannPick Type B A Rare Cause of Interstitial Lung Disease Niemann Pick Disease Lung These individuals experience ataxia, dysphonia, dysphagia, liver and lung disease and supranuclear gaze palsy (sngp). This activity reviews the etiology, epidemiology, and. Niemann Pick Disease Lung.
From www.mdpi.com
Children Free FullText A NiemannPick Disease Type C2 with Severe Niemann Pick Disease Lung This activity reviews the etiology, epidemiology, and. These individuals experience ataxia, dysphonia, dysphagia, liver and lung disease and supranuclear gaze palsy (sngp). Niemann Pick Disease Lung.
From www.ajronline.org
Imaging Manifestations of NiemannPick Disease Type B AJR Niemann Pick Disease Lung This activity reviews the etiology, epidemiology, and. These individuals experience ataxia, dysphonia, dysphagia, liver and lung disease and supranuclear gaze palsy (sngp). Niemann Pick Disease Lung.
From www.semanticscholar.org
Figure 1 from Pulmonary Type B NiemannPick Disease Successfully Niemann Pick Disease Lung This activity reviews the etiology, epidemiology, and. These individuals experience ataxia, dysphonia, dysphagia, liver and lung disease and supranuclear gaze palsy (sngp). Niemann Pick Disease Lung.
From www.researchgate.net
(PDF) Combined Emphysema and Interstitial Lung Disease as a Rare Niemann Pick Disease Lung These individuals experience ataxia, dysphonia, dysphagia, liver and lung disease and supranuclear gaze palsy (sngp). This activity reviews the etiology, epidemiology, and. Niemann Pick Disease Lung.
From nccommons.org
NiemannPick disease type B pulmonary findings (Radiopaedia 43712 Niemann Pick Disease Lung These individuals experience ataxia, dysphonia, dysphagia, liver and lung disease and supranuclear gaze palsy (sngp). This activity reviews the etiology, epidemiology, and. Niemann Pick Disease Lung.
From www.academia.edu
(PDF) Lung disease in niemannpick disease Brigitte Fauroux Niemann Pick Disease Lung This activity reviews the etiology, epidemiology, and. These individuals experience ataxia, dysphonia, dysphagia, liver and lung disease and supranuclear gaze palsy (sngp). Niemann Pick Disease Lung.
From www.cureus.com
Cureus NiemannPick Type B A Rare Cause of Interstitial Lung Disease Niemann Pick Disease Lung These individuals experience ataxia, dysphonia, dysphagia, liver and lung disease and supranuclear gaze palsy (sngp). This activity reviews the etiology, epidemiology, and. Niemann Pick Disease Lung.
From www.cureus.com
Cureus NiemannPick Type B A Rare Cause of Interstitial Lung Disease Niemann Pick Disease Lung These individuals experience ataxia, dysphonia, dysphagia, liver and lung disease and supranuclear gaze palsy (sngp). This activity reviews the etiology, epidemiology, and. Niemann Pick Disease Lung.
From www.researchgate.net
Pathogenesis of NiemannPick disease types A, B, and C. NPD Niemann Pick Disease Lung This activity reviews the etiology, epidemiology, and. These individuals experience ataxia, dysphonia, dysphagia, liver and lung disease and supranuclear gaze palsy (sngp). Niemann Pick Disease Lung.
From www.semanticscholar.org
Figure 2 from NiemannPick Disease Presented with Cystic Lung Niemann Pick Disease Lung These individuals experience ataxia, dysphonia, dysphagia, liver and lung disease and supranuclear gaze palsy (sngp). This activity reviews the etiology, epidemiology, and. Niemann Pick Disease Lung.
From nccommons.org
NiemannPick disease type B pulmonary findings (Radiopaedia 43712 Niemann Pick Disease Lung These individuals experience ataxia, dysphonia, dysphagia, liver and lung disease and supranuclear gaze palsy (sngp). This activity reviews the etiology, epidemiology, and. Niemann Pick Disease Lung.
From www.researchgate.net
(PDF) A NiemannPick Disease Type C2 with Severe Pulmonary Involvement Niemann Pick Disease Lung These individuals experience ataxia, dysphonia, dysphagia, liver and lung disease and supranuclear gaze palsy (sngp). This activity reviews the etiology, epidemiology, and. Niemann Pick Disease Lung.
From www.semanticscholar.org
Figure 2 from NiemannPick Disease Presented with Cystic Lung Niemann Pick Disease Lung This activity reviews the etiology, epidemiology, and. These individuals experience ataxia, dysphonia, dysphagia, liver and lung disease and supranuclear gaze palsy (sngp). Niemann Pick Disease Lung.
From www.researchgate.net
(PDF) Pulmonary Type B NiemannPick Disease Successfully Treated with Niemann Pick Disease Lung These individuals experience ataxia, dysphonia, dysphagia, liver and lung disease and supranuclear gaze palsy (sngp). This activity reviews the etiology, epidemiology, and. Niemann Pick Disease Lung.
From journal.chestnet.org
Bilateral Cystic Bronchiectasis as Novel Phenotype of NiemannPick Niemann Pick Disease Lung These individuals experience ataxia, dysphonia, dysphagia, liver and lung disease and supranuclear gaze palsy (sngp). This activity reviews the etiology, epidemiology, and. Niemann Pick Disease Lung.
From nccommons.org
NiemannPick disease type B pulmonary findings (Radiopaedia 43712 Niemann Pick Disease Lung These individuals experience ataxia, dysphonia, dysphagia, liver and lung disease and supranuclear gaze palsy (sngp). This activity reviews the etiology, epidemiology, and. Niemann Pick Disease Lung.
From www.researchgate.net
Histologic analysis of NiemannPick Baffected organs following Niemann Pick Disease Lung These individuals experience ataxia, dysphonia, dysphagia, liver and lung disease and supranuclear gaze palsy (sngp). This activity reviews the etiology, epidemiology, and. Niemann Pick Disease Lung.
From www.archbronconeumol.org
NiemannPick Disease Type B A Rare Cause of Lung Cysts Archivos de Niemann Pick Disease Lung This activity reviews the etiology, epidemiology, and. These individuals experience ataxia, dysphonia, dysphagia, liver and lung disease and supranuclear gaze palsy (sngp). Niemann Pick Disease Lung.
From www.researchgate.net
(PDF) NiemannPick Type B A Rare Cause of Interstitial Lung Disease Niemann Pick Disease Lung These individuals experience ataxia, dysphonia, dysphagia, liver and lung disease and supranuclear gaze palsy (sngp). This activity reviews the etiology, epidemiology, and. Niemann Pick Disease Lung.
From www.archbronconeumol.org
Lung Affectation in an Adult Patient With NiemannPick Disease, Type B Niemann Pick Disease Lung This activity reviews the etiology, epidemiology, and. These individuals experience ataxia, dysphonia, dysphagia, liver and lung disease and supranuclear gaze palsy (sngp). Niemann Pick Disease Lung.
From www.semanticscholar.org
Lung affectation in an adult patient with NiemannPick disease, type B Niemann Pick Disease Lung This activity reviews the etiology, epidemiology, and. These individuals experience ataxia, dysphonia, dysphagia, liver and lung disease and supranuclear gaze palsy (sngp). Niemann Pick Disease Lung.
From www.academia.edu
(PDF) A Case of NiemannPick type B Presented with Interstitial Lung Niemann Pick Disease Lung These individuals experience ataxia, dysphonia, dysphagia, liver and lung disease and supranuclear gaze palsy (sngp). This activity reviews the etiology, epidemiology, and. Niemann Pick Disease Lung.
From nccommons.org
NiemannPick disease type B pulmonary findings (Radiopaedia 43712 Niemann Pick Disease Lung This activity reviews the etiology, epidemiology, and. These individuals experience ataxia, dysphonia, dysphagia, liver and lung disease and supranuclear gaze palsy (sngp). Niemann Pick Disease Lung.
From www.researchgate.net
A 10yearold boy with NiemannPick Type B disease and lung Niemann Pick Disease Lung This activity reviews the etiology, epidemiology, and. These individuals experience ataxia, dysphonia, dysphagia, liver and lung disease and supranuclear gaze palsy (sngp). Niemann Pick Disease Lung.
From www.medindia.net
NiemannPick Disease Types, Causes, Symptoms, Diagnosis & Treatment Niemann Pick Disease Lung This activity reviews the etiology, epidemiology, and. These individuals experience ataxia, dysphonia, dysphagia, liver and lung disease and supranuclear gaze palsy (sngp). Niemann Pick Disease Lung.
From www.ajronline.org
Imaging Manifestations of NiemannPick Disease Type B AJR Niemann Pick Disease Lung These individuals experience ataxia, dysphonia, dysphagia, liver and lung disease and supranuclear gaze palsy (sngp). This activity reviews the etiology, epidemiology, and. Niemann Pick Disease Lung.
From www.researchgate.net
(PDF) NiemannPick Disease Presented with Cystic Lung Involvement Niemann Pick Disease Lung These individuals experience ataxia, dysphonia, dysphagia, liver and lung disease and supranuclear gaze palsy (sngp). This activity reviews the etiology, epidemiology, and. Niemann Pick Disease Lung.
From www.researchgate.net
(PDF) NiemannPick disease type B HRCT assessment of pulmonary involvement Niemann Pick Disease Lung This activity reviews the etiology, epidemiology, and. These individuals experience ataxia, dysphonia, dysphagia, liver and lung disease and supranuclear gaze palsy (sngp). Niemann Pick Disease Lung.
From casereports.bmj.com
NiemannPick disease type C or Gaucher’s disease type 3? A clinical Niemann Pick Disease Lung These individuals experience ataxia, dysphonia, dysphagia, liver and lung disease and supranuclear gaze palsy (sngp). This activity reviews the etiology, epidemiology, and. Niemann Pick Disease Lung.