Paget's Disease Labia . paget’s disease of the vulva is an unusual kind of skin cancer that arises from glandular cells. vulvar paget’s disease (vpd) is defined as a neoplasm of epithelial origin that usually develops in apocrine gland. vulvar paget’s disease (vpd) is an extremely rare malignancy of the vulva with a high local recurrence rate and low. This disease appears as a red, velvety area with white islands of tissue on the vulva. Our experience indicates that most cases may be amenable to surgical. background extramammary paget’s disease is a rare condition, and the vulva is a common site for it to occur. At times it may be pink, and occasionally there are moist, oozing ulcerations that bleed easily. in this review, we provide an overview of the clinical aspects, histopathology, molecular genetics, and treatment options for vulvar. paget's disease of the vulva is a rare vulvar neoplasm most commonly seen in postmenopausal women. paget's disease of the vulva is a rare condition.
from www.pathologyoutlines.com
At times it may be pink, and occasionally there are moist, oozing ulcerations that bleed easily. paget’s disease of the vulva is an unusual kind of skin cancer that arises from glandular cells. This disease appears as a red, velvety area with white islands of tissue on the vulva. Our experience indicates that most cases may be amenable to surgical. in this review, we provide an overview of the clinical aspects, histopathology, molecular genetics, and treatment options for vulvar. background extramammary paget’s disease is a rare condition, and the vulva is a common site for it to occur. paget's disease of the vulva is a rare vulvar neoplasm most commonly seen in postmenopausal women. paget's disease of the vulva is a rare condition. vulvar paget’s disease (vpd) is defined as a neoplasm of epithelial origin that usually develops in apocrine gland. vulvar paget’s disease (vpd) is an extremely rare malignancy of the vulva with a high local recurrence rate and low.
Pathology Outlines Paget disease
Paget's Disease Labia in this review, we provide an overview of the clinical aspects, histopathology, molecular genetics, and treatment options for vulvar. vulvar paget’s disease (vpd) is defined as a neoplasm of epithelial origin that usually develops in apocrine gland. vulvar paget’s disease (vpd) is an extremely rare malignancy of the vulva with a high local recurrence rate and low. At times it may be pink, and occasionally there are moist, oozing ulcerations that bleed easily. in this review, we provide an overview of the clinical aspects, histopathology, molecular genetics, and treatment options for vulvar. background extramammary paget’s disease is a rare condition, and the vulva is a common site for it to occur. paget's disease of the vulva is a rare condition. paget's disease of the vulva is a rare vulvar neoplasm most commonly seen in postmenopausal women. This disease appears as a red, velvety area with white islands of tissue on the vulva. Our experience indicates that most cases may be amenable to surgical. paget’s disease of the vulva is an unusual kind of skin cancer that arises from glandular cells.
From www.pathologyoutlines.com
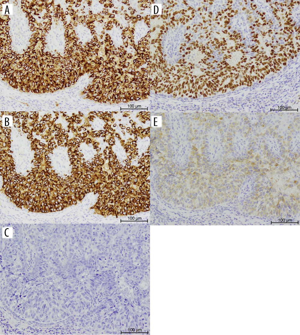
Pathology Outlines Paget disease Paget's Disease Labia background extramammary paget’s disease is a rare condition, and the vulva is a common site for it to occur. paget’s disease of the vulva is an unusual kind of skin cancer that arises from glandular cells. in this review, we provide an overview of the clinical aspects, histopathology, molecular genetics, and treatment options for vulvar. At times. Paget's Disease Labia.
From jcp.bmj.com
Vulval intraepithelial neoplasia with extra mammary pagets disease a Paget's Disease Labia vulvar paget’s disease (vpd) is an extremely rare malignancy of the vulva with a high local recurrence rate and low. background extramammary paget’s disease is a rare condition, and the vulva is a common site for it to occur. paget's disease of the vulva is a rare vulvar neoplasm most commonly seen in postmenopausal women. Our experience. Paget's Disease Labia.
From www.dovemed.com
Paget’s Disease of the Vulva DoveMed Paget's Disease Labia paget’s disease of the vulva is an unusual kind of skin cancer that arises from glandular cells. This disease appears as a red, velvety area with white islands of tissue on the vulva. paget's disease of the vulva is a rare condition. At times it may be pink, and occasionally there are moist, oozing ulcerations that bleed easily.. Paget's Disease Labia.
From obgynkey.com
Vulval Paget’s Disease Obgyn Key Paget's Disease Labia This disease appears as a red, velvety area with white islands of tissue on the vulva. Our experience indicates that most cases may be amenable to surgical. vulvar paget’s disease (vpd) is an extremely rare malignancy of the vulva with a high local recurrence rate and low. vulvar paget’s disease (vpd) is defined as a neoplasm of epithelial. Paget's Disease Labia.
From www.pathologyoutlines.com
Pathology Outlines Paget disease Paget's Disease Labia Our experience indicates that most cases may be amenable to surgical. vulvar paget’s disease (vpd) is defined as a neoplasm of epithelial origin that usually develops in apocrine gland. At times it may be pink, and occasionally there are moist, oozing ulcerations that bleed easily. This disease appears as a red, velvety area with white islands of tissue on. Paget's Disease Labia.
From karger.com
Bowen’s and Paget’s Diseases of the Vulva Aspects and Treatment of Paget's Disease Labia in this review, we provide an overview of the clinical aspects, histopathology, molecular genetics, and treatment options for vulvar. At times it may be pink, and occasionally there are moist, oozing ulcerations that bleed easily. vulvar paget’s disease (vpd) is an extremely rare malignancy of the vulva with a high local recurrence rate and low. vulvar paget’s. Paget's Disease Labia.
From www.slideshare.net
Diseases of vulva Paget's Disease Labia At times it may be pink, and occasionally there are moist, oozing ulcerations that bleed easily. paget's disease of the vulva is a rare vulvar neoplasm most commonly seen in postmenopausal women. paget's disease of the vulva is a rare condition. in this review, we provide an overview of the clinical aspects, histopathology, molecular genetics, and treatment. Paget's Disease Labia.
From www.pathologyoutlines.com
Pathology Outlines Paget disease Paget's Disease Labia background extramammary paget’s disease is a rare condition, and the vulva is a common site for it to occur. paget's disease of the vulva is a rare vulvar neoplasm most commonly seen in postmenopausal women. in this review, we provide an overview of the clinical aspects, histopathology, molecular genetics, and treatment options for vulvar. paget’s disease. Paget's Disease Labia.
From www.pathologyoutlines.com
Pathology Outlines Paget disease Paget's Disease Labia background extramammary paget’s disease is a rare condition, and the vulva is a common site for it to occur. in this review, we provide an overview of the clinical aspects, histopathology, molecular genetics, and treatment options for vulvar. At times it may be pink, and occasionally there are moist, oozing ulcerations that bleed easily. paget's disease of. Paget's Disease Labia.
From casereports.bmj.com
Extensive extramammary Paget’s disease of the vulva involving the Paget's Disease Labia This disease appears as a red, velvety area with white islands of tissue on the vulva. At times it may be pink, and occasionally there are moist, oozing ulcerations that bleed easily. paget's disease of the vulva is a rare vulvar neoplasm most commonly seen in postmenopausal women. vulvar paget’s disease (vpd) is defined as a neoplasm of. Paget's Disease Labia.
From www.spandidos-publications.com
Invasive Paget's disease of the vulva treated with a combination of Paget's Disease Labia Our experience indicates that most cases may be amenable to surgical. paget’s disease of the vulva is an unusual kind of skin cancer that arises from glandular cells. vulvar paget’s disease (vpd) is an extremely rare malignancy of the vulva with a high local recurrence rate and low. in this review, we provide an overview of the. Paget's Disease Labia.
From ijgc.bmj.com
Human epidermal growth factor receptor2 (HER2) is a potential Paget's Disease Labia This disease appears as a red, velvety area with white islands of tissue on the vulva. in this review, we provide an overview of the clinical aspects, histopathology, molecular genetics, and treatment options for vulvar. vulvar paget’s disease (vpd) is defined as a neoplasm of epithelial origin that usually develops in apocrine gland. paget's disease of the. Paget's Disease Labia.
From amjcaserep.com
American Journal of Case Reports Vulvar Extramammary Paget Disease Paget's Disease Labia paget's disease of the vulva is a rare condition. At times it may be pink, and occasionally there are moist, oozing ulcerations that bleed easily. paget’s disease of the vulva is an unusual kind of skin cancer that arises from glandular cells. vulvar paget’s disease (vpd) is defined as a neoplasm of epithelial origin that usually develops. Paget's Disease Labia.
From www.pathologyoutlines.com
Pathology Outlines Paget disease Paget's Disease Labia Our experience indicates that most cases may be amenable to surgical. vulvar paget’s disease (vpd) is an extremely rare malignancy of the vulva with a high local recurrence rate and low. paget's disease of the vulva is a rare vulvar neoplasm most commonly seen in postmenopausal women. This disease appears as a red, velvety area with white islands. Paget's Disease Labia.
From www.ncbi.nlm.nih.gov
Paget Disease StatPearls NCBI Bookshelf Paget's Disease Labia paget's disease of the vulva is a rare condition. This disease appears as a red, velvety area with white islands of tissue on the vulva. Our experience indicates that most cases may be amenable to surgical. in this review, we provide an overview of the clinical aspects, histopathology, molecular genetics, and treatment options for vulvar. vulvar paget’s. Paget's Disease Labia.
From www.slideserve.com
PPT Vulvar Cancer PowerPoint Presentation ID227179 Paget's Disease Labia This disease appears as a red, velvety area with white islands of tissue on the vulva. At times it may be pink, and occasionally there are moist, oozing ulcerations that bleed easily. paget’s disease of the vulva is an unusual kind of skin cancer that arises from glandular cells. Our experience indicates that most cases may be amenable to. Paget's Disease Labia.
From www.pathologyoutlines.com
Pathology Outlines Paget disease Paget's Disease Labia in this review, we provide an overview of the clinical aspects, histopathology, molecular genetics, and treatment options for vulvar. paget's disease of the vulva is a rare vulvar neoplasm most commonly seen in postmenopausal women. paget’s disease of the vulva is an unusual kind of skin cancer that arises from glandular cells. background extramammary paget’s disease. Paget's Disease Labia.
From casereports.bmj.com
Extramammary Paget's disease of the Vulva BMJ Case Reports Paget's Disease Labia paget's disease of the vulva is a rare condition. background extramammary paget’s disease is a rare condition, and the vulva is a common site for it to occur. Our experience indicates that most cases may be amenable to surgical. paget's disease of the vulva is a rare vulvar neoplasm most commonly seen in postmenopausal women. in. Paget's Disease Labia.
From www.auanet.org
American Urological Association Paget Disease Paget's Disease Labia vulvar paget’s disease (vpd) is defined as a neoplasm of epithelial origin that usually develops in apocrine gland. This disease appears as a red, velvety area with white islands of tissue on the vulva. vulvar paget’s disease (vpd) is an extremely rare malignancy of the vulva with a high local recurrence rate and low. paget's disease of. Paget's Disease Labia.
From casereports.bmj.com
Extensive extramammary Paget’s disease of the vulva involving the Paget's Disease Labia At times it may be pink, and occasionally there are moist, oozing ulcerations that bleed easily. Our experience indicates that most cases may be amenable to surgical. in this review, we provide an overview of the clinical aspects, histopathology, molecular genetics, and treatment options for vulvar. paget’s disease of the vulva is an unusual kind of skin cancer. Paget's Disease Labia.
From www.mdpi.com
Cancers Free FullText Vulvar Paget’s Disease A Systematic Review Paget's Disease Labia in this review, we provide an overview of the clinical aspects, histopathology, molecular genetics, and treatment options for vulvar. vulvar paget’s disease (vpd) is defined as a neoplasm of epithelial origin that usually develops in apocrine gland. Our experience indicates that most cases may be amenable to surgical. paget's disease of the vulva is a rare vulvar. Paget's Disease Labia.
From www.sciencephoto.com
Paget's disease of the vulva, light micrograph Stock Image C038 Paget's Disease Labia At times it may be pink, and occasionally there are moist, oozing ulcerations that bleed easily. background extramammary paget’s disease is a rare condition, and the vulva is a common site for it to occur. paget's disease of the vulva is a rare vulvar neoplasm most commonly seen in postmenopausal women. Our experience indicates that most cases may. Paget's Disease Labia.
From orthoinfo.aaos.org
Paget's Disease of Bone Symptoms and Treatment OrthoInfo AAOS Paget's Disease Labia paget's disease of the vulva is a rare vulvar neoplasm most commonly seen in postmenopausal women. in this review, we provide an overview of the clinical aspects, histopathology, molecular genetics, and treatment options for vulvar. paget’s disease of the vulva is an unusual kind of skin cancer that arises from glandular cells. paget's disease of the. Paget's Disease Labia.
From www.youtube.com
Extramammary Paget disease (presents as chronic "rash" in vulva Paget's Disease Labia background extramammary paget’s disease is a rare condition, and the vulva is a common site for it to occur. At times it may be pink, and occasionally there are moist, oozing ulcerations that bleed easily. vulvar paget’s disease (vpd) is an extremely rare malignancy of the vulva with a high local recurrence rate and low. paget’s disease. Paget's Disease Labia.
From escholarship.org
Extramammary Paget disease Paget's Disease Labia in this review, we provide an overview of the clinical aspects, histopathology, molecular genetics, and treatment options for vulvar. paget's disease of the vulva is a rare condition. At times it may be pink, and occasionally there are moist, oozing ulcerations that bleed easily. This disease appears as a red, velvety area with white islands of tissue on. Paget's Disease Labia.
From www.frontiersin.org
Frontiers Case report The application of neoadjuvant Paget's Disease Labia in this review, we provide an overview of the clinical aspects, histopathology, molecular genetics, and treatment options for vulvar. paget's disease of the vulva is a rare condition. This disease appears as a red, velvety area with white islands of tissue on the vulva. Our experience indicates that most cases may be amenable to surgical. At times it. Paget's Disease Labia.
From www.msdmanuals.com
Image XRay of the Pelvis in Paget Disease MSD Manual Professional Paget's Disease Labia paget's disease of the vulva is a rare vulvar neoplasm most commonly seen in postmenopausal women. background extramammary paget’s disease is a rare condition, and the vulva is a common site for it to occur. Our experience indicates that most cases may be amenable to surgical. vulvar paget’s disease (vpd) is defined as a neoplasm of epithelial. Paget's Disease Labia.
From www.pathologyoutlines.com
Pathology Outlines Paget disease Paget's Disease Labia background extramammary paget’s disease is a rare condition, and the vulva is a common site for it to occur. vulvar paget’s disease (vpd) is defined as a neoplasm of epithelial origin that usually develops in apocrine gland. vulvar paget’s disease (vpd) is an extremely rare malignancy of the vulva with a high local recurrence rate and low.. Paget's Disease Labia.
From www.mdpi.com
Medicina Free FullText Multiple Rare Primary Malignancies A Mixed Paget's Disease Labia background extramammary paget’s disease is a rare condition, and the vulva is a common site for it to occur. This disease appears as a red, velvety area with white islands of tissue on the vulva. At times it may be pink, and occasionally there are moist, oozing ulcerations that bleed easily. paget's disease of the vulva is a. Paget's Disease Labia.
From mavink.com
Paget's Disease Histology Paget's Disease Labia in this review, we provide an overview of the clinical aspects, histopathology, molecular genetics, and treatment options for vulvar. background extramammary paget’s disease is a rare condition, and the vulva is a common site for it to occur. paget's disease of the vulva is a rare vulvar neoplasm most commonly seen in postmenopausal women. This disease appears. Paget's Disease Labia.
From journals.sagepub.com
Pagetoid Squamous Intraepithelial Neoplasia of the Vulva as a Mimicker Paget's Disease Labia vulvar paget’s disease (vpd) is defined as a neoplasm of epithelial origin that usually develops in apocrine gland. paget's disease of the vulva is a rare vulvar neoplasm most commonly seen in postmenopausal women. in this review, we provide an overview of the clinical aspects, histopathology, molecular genetics, and treatment options for vulvar. paget’s disease of. Paget's Disease Labia.
From www.pathologyoutlines.com
Pathology Outlines Paget disease Paget's Disease Labia paget's disease of the vulva is a rare condition. paget’s disease of the vulva is an unusual kind of skin cancer that arises from glandular cells. Our experience indicates that most cases may be amenable to surgical. This disease appears as a red, velvety area with white islands of tissue on the vulva. vulvar paget’s disease (vpd). Paget's Disease Labia.
From ascopubs.org
Genomic Alterations as Potential Therapeutic Targets in Extramammary Paget's Disease Labia background extramammary paget’s disease is a rare condition, and the vulva is a common site for it to occur. This disease appears as a red, velvety area with white islands of tissue on the vulva. At times it may be pink, and occasionally there are moist, oozing ulcerations that bleed easily. Our experience indicates that most cases may be. Paget's Disease Labia.
From www.researchgate.net
Vulvar Paget disease. The large cells of Paget's disease are seen Paget's Disease Labia paget's disease of the vulva is a rare vulvar neoplasm most commonly seen in postmenopausal women. vulvar paget’s disease (vpd) is defined as a neoplasm of epithelial origin that usually develops in apocrine gland. paget’s disease of the vulva is an unusual kind of skin cancer that arises from glandular cells. background extramammary paget’s disease is. Paget's Disease Labia.
From exowgvfoz.blob.core.windows.net
Paget's Disease Of Vulva at Anthony Heckart blog Paget's Disease Labia in this review, we provide an overview of the clinical aspects, histopathology, molecular genetics, and treatment options for vulvar. paget's disease of the vulva is a rare vulvar neoplasm most commonly seen in postmenopausal women. At times it may be pink, and occasionally there are moist, oozing ulcerations that bleed easily. This disease appears as a red, velvety. Paget's Disease Labia.