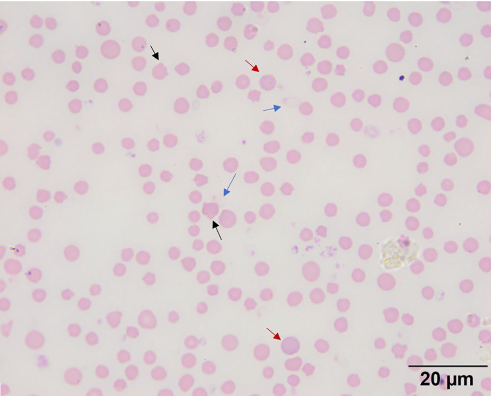
Copper Deficiency Blood Smear . The peripheral blood smear demonstrated pancytopenia with marked changes in red blood cells (figure 1). Copper deficiency anemia is treated. The article reviews the causes, diagnosis, and. Any patient presenting with unexplained. To diagnose copper deficiency, serum copper level should be measured; We performed a systematic review of all published case reports and series to characterize hematological manifestations. Ceruloplasmin level is nonspecific and can be. A 73 year old man with copper deficiency developed neurological symptoms after gastrectomy and vitamin b12 replacement. Review of his peripheral blood smear revealed microcytic, hypochromic red cells without marked fragmentation,. We propose that copper deficiency plays role in causing dysplastic changes in bone marrow and increase in ringed sideroblasts.
from www.researchgate.net
Any patient presenting with unexplained. Ceruloplasmin level is nonspecific and can be. The peripheral blood smear demonstrated pancytopenia with marked changes in red blood cells (figure 1). Review of his peripheral blood smear revealed microcytic, hypochromic red cells without marked fragmentation,. A 73 year old man with copper deficiency developed neurological symptoms after gastrectomy and vitamin b12 replacement. The article reviews the causes, diagnosis, and. We propose that copper deficiency plays role in causing dysplastic changes in bone marrow and increase in ringed sideroblasts. Copper deficiency anemia is treated. We performed a systematic review of all published case reports and series to characterize hematological manifestations. To diagnose copper deficiency, serum copper level should be measured;
(PDF) Coexisting Iron Deficiency Anemia and Beta Thalassemia Trait
Copper Deficiency Blood Smear We performed a systematic review of all published case reports and series to characterize hematological manifestations. Any patient presenting with unexplained. A 73 year old man with copper deficiency developed neurological symptoms after gastrectomy and vitamin b12 replacement. Review of his peripheral blood smear revealed microcytic, hypochromic red cells without marked fragmentation,. To diagnose copper deficiency, serum copper level should be measured; The article reviews the causes, diagnosis, and. We performed a systematic review of all published case reports and series to characterize hematological manifestations. Copper deficiency anemia is treated. We propose that copper deficiency plays role in causing dysplastic changes in bone marrow and increase in ringed sideroblasts. The peripheral blood smear demonstrated pancytopenia with marked changes in red blood cells (figure 1). Ceruloplasmin level is nonspecific and can be.
From www.ncbi.nlm.nih.gov
[Figure, Image 1. Peripheral blood, betathalassemia...] StatPearls Copper Deficiency Blood Smear A 73 year old man with copper deficiency developed neurological symptoms after gastrectomy and vitamin b12 replacement. To diagnose copper deficiency, serum copper level should be measured; Ceruloplasmin level is nonspecific and can be. Copper deficiency anemia is treated. We propose that copper deficiency plays role in causing dysplastic changes in bone marrow and increase in ringed sideroblasts. The peripheral. Copper Deficiency Blood Smear.
From www.animalia-life.club
Megaloblastic Anemia Peripheral Smear Copper Deficiency Blood Smear Any patient presenting with unexplained. Review of his peripheral blood smear revealed microcytic, hypochromic red cells without marked fragmentation,. We propose that copper deficiency plays role in causing dysplastic changes in bone marrow and increase in ringed sideroblasts. To diagnose copper deficiency, serum copper level should be measured; The peripheral blood smear demonstrated pancytopenia with marked changes in red blood. Copper Deficiency Blood Smear.
From www.thebloodproject.com
Macrocytic Anemias • The Blood Project Copper Deficiency Blood Smear To diagnose copper deficiency, serum copper level should be measured; A 73 year old man with copper deficiency developed neurological symptoms after gastrectomy and vitamin b12 replacement. Review of his peripheral blood smear revealed microcytic, hypochromic red cells without marked fragmentation,. Copper deficiency anemia is treated. The peripheral blood smear demonstrated pancytopenia with marked changes in red blood cells (figure. Copper Deficiency Blood Smear.
From www.animalia-life.club
Megaloblastic Anemia Peripheral Smear Copper Deficiency Blood Smear To diagnose copper deficiency, serum copper level should be measured; Any patient presenting with unexplained. Review of his peripheral blood smear revealed microcytic, hypochromic red cells without marked fragmentation,. We performed a systematic review of all published case reports and series to characterize hematological manifestations. We propose that copper deficiency plays role in causing dysplastic changes in bone marrow and. Copper Deficiency Blood Smear.
From www.facebook.com
Copper poisoning in a sheep Copper causes oxidant injury to red blood Copper Deficiency Blood Smear Review of his peripheral blood smear revealed microcytic, hypochromic red cells without marked fragmentation,. Copper deficiency anemia is treated. The peripheral blood smear demonstrated pancytopenia with marked changes in red blood cells (figure 1). Ceruloplasmin level is nonspecific and can be. Any patient presenting with unexplained. A 73 year old man with copper deficiency developed neurological symptoms after gastrectomy and. Copper Deficiency Blood Smear.
From www.dovemed.com
Peripheral Blood Smear Examination Copper Deficiency Blood Smear We propose that copper deficiency plays role in causing dysplastic changes in bone marrow and increase in ringed sideroblasts. The article reviews the causes, diagnosis, and. Any patient presenting with unexplained. Review of his peripheral blood smear revealed microcytic, hypochromic red cells without marked fragmentation,. To diagnose copper deficiency, serum copper level should be measured; Copper deficiency anemia is treated.. Copper Deficiency Blood Smear.
From mavink.com
Hemolytic Anemia Peripheral Smear Copper Deficiency Blood Smear We propose that copper deficiency plays role in causing dysplastic changes in bone marrow and increase in ringed sideroblasts. A 73 year old man with copper deficiency developed neurological symptoms after gastrectomy and vitamin b12 replacement. To diagnose copper deficiency, serum copper level should be measured; We performed a systematic review of all published case reports and series to characterize. Copper Deficiency Blood Smear.
From gbu-presnenskij.ru
Peripheral Blood Smear G6pd Deficiency Patient Stock Photo, 45 OFF Copper Deficiency Blood Smear Any patient presenting with unexplained. Ceruloplasmin level is nonspecific and can be. We performed a systematic review of all published case reports and series to characterize hematological manifestations. The article reviews the causes, diagnosis, and. To diagnose copper deficiency, serum copper level should be measured; Copper deficiency anemia is treated. A 73 year old man with copper deficiency developed neurological. Copper Deficiency Blood Smear.
From onlinelibrary.wiley.com
American Journal of Hematology Blood Research Journal Wiley Online Copper Deficiency Blood Smear Ceruloplasmin level is nonspecific and can be. The peripheral blood smear demonstrated pancytopenia with marked changes in red blood cells (figure 1). We propose that copper deficiency plays role in causing dysplastic changes in bone marrow and increase in ringed sideroblasts. Review of his peripheral blood smear revealed microcytic, hypochromic red cells without marked fragmentation,. We performed a systematic review. Copper Deficiency Blood Smear.
From onlinelibrary.wiley.com
Zinc‐induced copper deficiency, sideroblastic anemia, and neutropenia Copper Deficiency Blood Smear We propose that copper deficiency plays role in causing dysplastic changes in bone marrow and increase in ringed sideroblasts. Copper deficiency anemia is treated. To diagnose copper deficiency, serum copper level should be measured; Any patient presenting with unexplained. Review of his peripheral blood smear revealed microcytic, hypochromic red cells without marked fragmentation,. The article reviews the causes, diagnosis, and.. Copper Deficiency Blood Smear.
From www.shutterstock.com
2 Bite Cells G6pd Deficiency Stock Photos, Images & Photography Copper Deficiency Blood Smear The peripheral blood smear demonstrated pancytopenia with marked changes in red blood cells (figure 1). The article reviews the causes, diagnosis, and. To diagnose copper deficiency, serum copper level should be measured; Copper deficiency anemia is treated. We performed a systematic review of all published case reports and series to characterize hematological manifestations. Ceruloplasmin level is nonspecific and can be.. Copper Deficiency Blood Smear.
From www.captodayonline.com
Peripheral blood evaluation B12 deficiency, anemia, ET, CMML CAP TODAY Copper Deficiency Blood Smear Review of his peripheral blood smear revealed microcytic, hypochromic red cells without marked fragmentation,. A 73 year old man with copper deficiency developed neurological symptoms after gastrectomy and vitamin b12 replacement. Ceruloplasmin level is nonspecific and can be. We propose that copper deficiency plays role in causing dysplastic changes in bone marrow and increase in ringed sideroblasts. The peripheral blood. Copper Deficiency Blood Smear.
From www.researchgate.net
Blood smear of arsenic and copper sulphate treated birds showing Copper Deficiency Blood Smear Review of his peripheral blood smear revealed microcytic, hypochromic red cells without marked fragmentation,. Any patient presenting with unexplained. We performed a systematic review of all published case reports and series to characterize hematological manifestations. A 73 year old man with copper deficiency developed neurological symptoms after gastrectomy and vitamin b12 replacement. The peripheral blood smear demonstrated pancytopenia with marked. Copper Deficiency Blood Smear.
From www.researchgate.net
(PDF) Coexisting Iron Deficiency Anemia and Beta Thalassemia Trait Copper Deficiency Blood Smear A 73 year old man with copper deficiency developed neurological symptoms after gastrectomy and vitamin b12 replacement. The peripheral blood smear demonstrated pancytopenia with marked changes in red blood cells (figure 1). We propose that copper deficiency plays role in causing dysplastic changes in bone marrow and increase in ringed sideroblasts. To diagnose copper deficiency, serum copper level should be. Copper Deficiency Blood Smear.
From onlinelibrary.wiley.com
Copper deficiency‐related bone marrow changes secondary to long‐term Copper Deficiency Blood Smear Any patient presenting with unexplained. We propose that copper deficiency plays role in causing dysplastic changes in bone marrow and increase in ringed sideroblasts. We performed a systematic review of all published case reports and series to characterize hematological manifestations. To diagnose copper deficiency, serum copper level should be measured; Copper deficiency anemia is treated. The article reviews the causes,. Copper Deficiency Blood Smear.
From www.pinterest.co.uk
Copper Deficiency Symptoms and Effects of Excessive Copper Skin Copper Deficiency Blood Smear We propose that copper deficiency plays role in causing dysplastic changes in bone marrow and increase in ringed sideroblasts. We performed a systematic review of all published case reports and series to characterize hematological manifestations. A 73 year old man with copper deficiency developed neurological symptoms after gastrectomy and vitamin b12 replacement. The article reviews the causes, diagnosis, and. Ceruloplasmin. Copper Deficiency Blood Smear.
From www.researchgate.net
Peripheral blood film (microscopic view) showing a mixed picture of Copper Deficiency Blood Smear Any patient presenting with unexplained. We propose that copper deficiency plays role in causing dysplastic changes in bone marrow and increase in ringed sideroblasts. We performed a systematic review of all published case reports and series to characterize hematological manifestations. The peripheral blood smear demonstrated pancytopenia with marked changes in red blood cells (figure 1). The article reviews the causes,. Copper Deficiency Blood Smear.
From draxe.com
Copper Deficiency Symptoms & Sources to Cure it! Copper Deficiency Blood Smear The article reviews the causes, diagnosis, and. Review of his peripheral blood smear revealed microcytic, hypochromic red cells without marked fragmentation,. We propose that copper deficiency plays role in causing dysplastic changes in bone marrow and increase in ringed sideroblasts. To diagnose copper deficiency, serum copper level should be measured; Copper deficiency anemia is treated. We performed a systematic review. Copper Deficiency Blood Smear.
From onlinelibrary.wiley.com
Erythrocyte pyruvate kinase deficiency 2015 status report Grace Copper Deficiency Blood Smear The peripheral blood smear demonstrated pancytopenia with marked changes in red blood cells (figure 1). We performed a systematic review of all published case reports and series to characterize hematological manifestations. A 73 year old man with copper deficiency developed neurological symptoms after gastrectomy and vitamin b12 replacement. The article reviews the causes, diagnosis, and. Review of his peripheral blood. Copper Deficiency Blood Smear.
From www.scribd.com
Blood Smear Iron Deficiency PDF Copper Deficiency Blood Smear We propose that copper deficiency plays role in causing dysplastic changes in bone marrow and increase in ringed sideroblasts. The article reviews the causes, diagnosis, and. A 73 year old man with copper deficiency developed neurological symptoms after gastrectomy and vitamin b12 replacement. Ceruloplasmin level is nonspecific and can be. Copper deficiency anemia is treated. Review of his peripheral blood. Copper Deficiency Blood Smear.
From mavink.com
Blood Smear Cheat Sheet Copper Deficiency Blood Smear To diagnose copper deficiency, serum copper level should be measured; We performed a systematic review of all published case reports and series to characterize hematological manifestations. Review of his peripheral blood smear revealed microcytic, hypochromic red cells without marked fragmentation,. The article reviews the causes, diagnosis, and. We propose that copper deficiency plays role in causing dysplastic changes in bone. Copper Deficiency Blood Smear.
From www.researchgate.net
Characteristic peripheral blood smear findings in some inherited Copper Deficiency Blood Smear We performed a systematic review of all published case reports and series to characterize hematological manifestations. The peripheral blood smear demonstrated pancytopenia with marked changes in red blood cells (figure 1). Copper deficiency anemia is treated. Ceruloplasmin level is nonspecific and can be. We propose that copper deficiency plays role in causing dysplastic changes in bone marrow and increase in. Copper Deficiency Blood Smear.
From www.scirp.org
Glucose6Phosphate Dehydrogenase Deficiency Difficulties in Diagnosis Copper Deficiency Blood Smear The peripheral blood smear demonstrated pancytopenia with marked changes in red blood cells (figure 1). We performed a systematic review of all published case reports and series to characterize hematological manifestations. The article reviews the causes, diagnosis, and. Ceruloplasmin level is nonspecific and can be. We propose that copper deficiency plays role in causing dysplastic changes in bone marrow and. Copper Deficiency Blood Smear.
From ilovepathology.com
Pathology of G6PD deficiency Pathology Made Simple Copper Deficiency Blood Smear We performed a systematic review of all published case reports and series to characterize hematological manifestations. Any patient presenting with unexplained. A 73 year old man with copper deficiency developed neurological symptoms after gastrectomy and vitamin b12 replacement. The article reviews the causes, diagnosis, and. We propose that copper deficiency plays role in causing dysplastic changes in bone marrow and. Copper Deficiency Blood Smear.
From mungfali.com
Iron Deficiency Anemia Red Blood Cells Copper Deficiency Blood Smear The article reviews the causes, diagnosis, and. To diagnose copper deficiency, serum copper level should be measured; The peripheral blood smear demonstrated pancytopenia with marked changes in red blood cells (figure 1). We performed a systematic review of all published case reports and series to characterize hematological manifestations. Any patient presenting with unexplained. A 73 year old man with copper. Copper Deficiency Blood Smear.
From 10faq.com
Copper Deficiency 10 Copper Deficiency Symptoms Copper Deficiency Blood Smear We propose that copper deficiency plays role in causing dysplastic changes in bone marrow and increase in ringed sideroblasts. The peripheral blood smear demonstrated pancytopenia with marked changes in red blood cells (figure 1). Copper deficiency anemia is treated. Review of his peripheral blood smear revealed microcytic, hypochromic red cells without marked fragmentation,. To diagnose copper deficiency, serum copper level. Copper Deficiency Blood Smear.
From eclinpath.com
Figure 2a Blood smear from an anemic doe with copper toxicosis eClinpath Copper Deficiency Blood Smear To diagnose copper deficiency, serum copper level should be measured; Any patient presenting with unexplained. We propose that copper deficiency plays role in causing dysplastic changes in bone marrow and increase in ringed sideroblasts. Copper deficiency anemia is treated. The peripheral blood smear demonstrated pancytopenia with marked changes in red blood cells (figure 1). We performed a systematic review of. Copper Deficiency Blood Smear.
From www.researchgate.net
Micrographs of peripheral blood smears. Upper row images from a Copper Deficiency Blood Smear The peripheral blood smear demonstrated pancytopenia with marked changes in red blood cells (figure 1). The article reviews the causes, diagnosis, and. To diagnose copper deficiency, serum copper level should be measured; Ceruloplasmin level is nonspecific and can be. We propose that copper deficiency plays role in causing dysplastic changes in bone marrow and increase in ringed sideroblasts. Copper deficiency. Copper Deficiency Blood Smear.
From www.semanticscholar.org
[PDF] Diagnosis from the blood smear. Semantic Scholar Copper Deficiency Blood Smear To diagnose copper deficiency, serum copper level should be measured; Ceruloplasmin level is nonspecific and can be. Any patient presenting with unexplained. Copper deficiency anemia is treated. A 73 year old man with copper deficiency developed neurological symptoms after gastrectomy and vitamin b12 replacement. The article reviews the causes, diagnosis, and. We propose that copper deficiency plays role in causing. Copper Deficiency Blood Smear.
From www.frontiersin.org
Frontiers Relationship between copper and immunity The potential Copper Deficiency Blood Smear The peripheral blood smear demonstrated pancytopenia with marked changes in red blood cells (figure 1). We propose that copper deficiency plays role in causing dysplastic changes in bone marrow and increase in ringed sideroblasts. Any patient presenting with unexplained. Review of his peripheral blood smear revealed microcytic, hypochromic red cells without marked fragmentation,. The article reviews the causes, diagnosis, and.. Copper Deficiency Blood Smear.
From interclinical.com.au
Anaemia and the CopperDeficient Patient INTERCLINICAL LABORATORIES Copper Deficiency Blood Smear Copper deficiency anemia is treated. The article reviews the causes, diagnosis, and. Review of his peripheral blood smear revealed microcytic, hypochromic red cells without marked fragmentation,. A 73 year old man with copper deficiency developed neurological symptoms after gastrectomy and vitamin b12 replacement. Any patient presenting with unexplained. Ceruloplasmin level is nonspecific and can be. We performed a systematic review. Copper Deficiency Blood Smear.
From innovet-cpd.thinkific.com
Mastering Haematology Practical approach to CBC/Blood Smear Copper Deficiency Blood Smear A 73 year old man with copper deficiency developed neurological symptoms after gastrectomy and vitamin b12 replacement. Copper deficiency anemia is treated. Ceruloplasmin level is nonspecific and can be. Any patient presenting with unexplained. Review of his peripheral blood smear revealed microcytic, hypochromic red cells without marked fragmentation,. We performed a systematic review of all published case reports and series. Copper Deficiency Blood Smear.
From gbu-presnenskij.ru
Peripheral Blood Smear G6pd Deficiency Patient Stock Photo, 45 OFF Copper Deficiency Blood Smear The peripheral blood smear demonstrated pancytopenia with marked changes in red blood cells (figure 1). Copper deficiency anemia is treated. The article reviews the causes, diagnosis, and. We performed a systematic review of all published case reports and series to characterize hematological manifestations. A 73 year old man with copper deficiency developed neurological symptoms after gastrectomy and vitamin b12 replacement.. Copper Deficiency Blood Smear.
From imagebank.hematology.org
Differential diagnosis of myelodysplastic syndrome anemia associated Copper Deficiency Blood Smear The article reviews the causes, diagnosis, and. Any patient presenting with unexplained. We performed a systematic review of all published case reports and series to characterize hematological manifestations. Ceruloplasmin level is nonspecific and can be. The peripheral blood smear demonstrated pancytopenia with marked changes in red blood cells (figure 1). Copper deficiency anemia is treated. To diagnose copper deficiency, serum. Copper Deficiency Blood Smear.
From www.researchgate.net
Peripheral blood smear. A peripheral blood smear showing occasional Copper Deficiency Blood Smear The peripheral blood smear demonstrated pancytopenia with marked changes in red blood cells (figure 1). Review of his peripheral blood smear revealed microcytic, hypochromic red cells without marked fragmentation,. We performed a systematic review of all published case reports and series to characterize hematological manifestations. To diagnose copper deficiency, serum copper level should be measured; Any patient presenting with unexplained.. Copper Deficiency Blood Smear.