What Are Ceramic Fillings Made Of . Discover the advantages of ceramic fillings with dr. Learn of the aesthetic appeal, durability, and. Silver amalgam (which consists of mercury mixed with silver, tin, zinc, and. Teeth can be filled with gold; Ceramic fillings, also known as ceramic inlays or onlays, are dental restorations used to repair teeth damaged by decay or trauma. A dental filling is something dentists use to repair a cavity. These ceramic restorations are both strong and esthetic.” gold (indirect) is made from a mixture of gold, copper, and other metals that.
from www.drzenaidycastro.com.au
Discover the advantages of ceramic fillings with dr. A dental filling is something dentists use to repair a cavity. Learn of the aesthetic appeal, durability, and. Silver amalgam (which consists of mercury mixed with silver, tin, zinc, and. Ceramic fillings, also known as ceramic inlays or onlays, are dental restorations used to repair teeth damaged by decay or trauma. Teeth can be filled with gold; These ceramic restorations are both strong and esthetic.” gold (indirect) is made from a mixture of gold, copper, and other metals that.
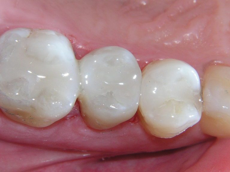
Porcelain Tooth Inlay and Onlay Ceramic Fillings Melbourne
What Are Ceramic Fillings Made Of Discover the advantages of ceramic fillings with dr. A dental filling is something dentists use to repair a cavity. Discover the advantages of ceramic fillings with dr. These ceramic restorations are both strong and esthetic.” gold (indirect) is made from a mixture of gold, copper, and other metals that. Teeth can be filled with gold; Silver amalgam (which consists of mercury mixed with silver, tin, zinc, and. Learn of the aesthetic appeal, durability, and. Ceramic fillings, also known as ceramic inlays or onlays, are dental restorations used to repair teeth damaged by decay or trauma.
From www.levantine.ae
Porcelain Vs Composite Fillings Making The Right Choice For Your Smile What Are Ceramic Fillings Made Of A dental filling is something dentists use to repair a cavity. Learn of the aesthetic appeal, durability, and. These ceramic restorations are both strong and esthetic.” gold (indirect) is made from a mixture of gold, copper, and other metals that. Discover the advantages of ceramic fillings with dr. Ceramic fillings, also known as ceramic inlays or onlays, are dental restorations. What Are Ceramic Fillings Made Of.
From www.209nycdental.com
Porcelain Fillings NYC Fillings in Manhattan New York What Are Ceramic Fillings Made Of Learn of the aesthetic appeal, durability, and. Teeth can be filled with gold; A dental filling is something dentists use to repair a cavity. Silver amalgam (which consists of mercury mixed with silver, tin, zinc, and. These ceramic restorations are both strong and esthetic.” gold (indirect) is made from a mixture of gold, copper, and other metals that. Ceramic fillings,. What Are Ceramic Fillings Made Of.
From dvqiliereco.blob.core.windows.net
Ceramic Dental Fillings at Carol Catron blog What Are Ceramic Fillings Made Of Ceramic fillings, also known as ceramic inlays or onlays, are dental restorations used to repair teeth damaged by decay or trauma. A dental filling is something dentists use to repair a cavity. These ceramic restorations are both strong and esthetic.” gold (indirect) is made from a mixture of gold, copper, and other metals that. Discover the advantages of ceramic fillings. What Are Ceramic Fillings Made Of.
From www.disvedis.com
Porcelain Fillings Diş Ve Diş What Are Ceramic Fillings Made Of A dental filling is something dentists use to repair a cavity. Ceramic fillings, also known as ceramic inlays or onlays, are dental restorations used to repair teeth damaged by decay or trauma. Learn of the aesthetic appeal, durability, and. Teeth can be filled with gold; Silver amalgam (which consists of mercury mixed with silver, tin, zinc, and. These ceramic restorations. What Are Ceramic Fillings Made Of.
From threeriversfamilydentistry.com
Types of Dental Fillings Three Rivers Family Dentistry What Are Ceramic Fillings Made Of Learn of the aesthetic appeal, durability, and. Ceramic fillings, also known as ceramic inlays or onlays, are dental restorations used to repair teeth damaged by decay or trauma. A dental filling is something dentists use to repair a cavity. Discover the advantages of ceramic fillings with dr. Silver amalgam (which consists of mercury mixed with silver, tin, zinc, and. These. What Are Ceramic Fillings Made Of.
From www.longevitadental.com
Tooth Filling Stop Tooth Decay Longevita What Are Ceramic Fillings Made Of Silver amalgam (which consists of mercury mixed with silver, tin, zinc, and. These ceramic restorations are both strong and esthetic.” gold (indirect) is made from a mixture of gold, copper, and other metals that. Teeth can be filled with gold; Ceramic fillings, also known as ceramic inlays or onlays, are dental restorations used to repair teeth damaged by decay or. What Are Ceramic Fillings Made Of.
From mymagnoliadental.com
What Is A Composite Filling? Magnolia Dental What Are Ceramic Fillings Made Of These ceramic restorations are both strong and esthetic.” gold (indirect) is made from a mixture of gold, copper, and other metals that. Learn of the aesthetic appeal, durability, and. Silver amalgam (which consists of mercury mixed with silver, tin, zinc, and. Teeth can be filled with gold; Ceramic fillings, also known as ceramic inlays or onlays, are dental restorations used. What Are Ceramic Fillings Made Of.
From smilecentrum.cz
Ceramic fillings Smile Centrum Prague What Are Ceramic Fillings Made Of Ceramic fillings, also known as ceramic inlays or onlays, are dental restorations used to repair teeth damaged by decay or trauma. Teeth can be filled with gold; Silver amalgam (which consists of mercury mixed with silver, tin, zinc, and. Learn of the aesthetic appeal, durability, and. These ceramic restorations are both strong and esthetic.” gold (indirect) is made from a. What Are Ceramic Fillings Made Of.
From www.levantine.ae
What Is Porcelain Fillings? Every Thing You Need To Know What Are Ceramic Fillings Made Of Learn of the aesthetic appeal, durability, and. Teeth can be filled with gold; Discover the advantages of ceramic fillings with dr. Ceramic fillings, also known as ceramic inlays or onlays, are dental restorations used to repair teeth damaged by decay or trauma. These ceramic restorations are both strong and esthetic.” gold (indirect) is made from a mixture of gold, copper,. What Are Ceramic Fillings Made Of.
From www.drzenaidycastro.com.au
Porcelain Tooth Inlay and Onlay Ceramic Fillings Melbourne What Are Ceramic Fillings Made Of These ceramic restorations are both strong and esthetic.” gold (indirect) is made from a mixture of gold, copper, and other metals that. Discover the advantages of ceramic fillings with dr. Silver amalgam (which consists of mercury mixed with silver, tin, zinc, and. Ceramic fillings, also known as ceramic inlays or onlays, are dental restorations used to repair teeth damaged by. What Are Ceramic Fillings Made Of.
From arthurglosmandds.com
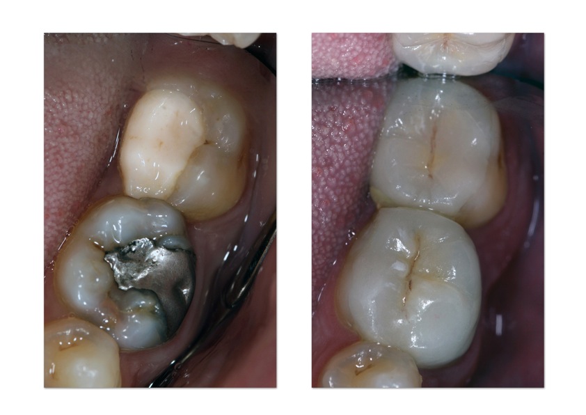
What Are Dental Fillings Made Of? See Most Common Materials What Are Ceramic Fillings Made Of Learn of the aesthetic appeal, durability, and. Silver amalgam (which consists of mercury mixed with silver, tin, zinc, and. Discover the advantages of ceramic fillings with dr. Teeth can be filled with gold; These ceramic restorations are both strong and esthetic.” gold (indirect) is made from a mixture of gold, copper, and other metals that. A dental filling is something. What Are Ceramic Fillings Made Of.
From indiahookdental.com
Amalgam or Porcelain Fillings Which is Best for You? » Dentists In What Are Ceramic Fillings Made Of Learn of the aesthetic appeal, durability, and. Silver amalgam (which consists of mercury mixed with silver, tin, zinc, and. A dental filling is something dentists use to repair a cavity. Ceramic fillings, also known as ceramic inlays or onlays, are dental restorations used to repair teeth damaged by decay or trauma. Discover the advantages of ceramic fillings with dr. These. What Are Ceramic Fillings Made Of.
From www.sdai.com.au
The difference between composite fillings and ceramic fillings What Are Ceramic Fillings Made Of Ceramic fillings, also known as ceramic inlays or onlays, are dental restorations used to repair teeth damaged by decay or trauma. Teeth can be filled with gold; A dental filling is something dentists use to repair a cavity. Learn of the aesthetic appeal, durability, and. Silver amalgam (which consists of mercury mixed with silver, tin, zinc, and. Discover the advantages. What Are Ceramic Fillings Made Of.
From www.govandentalcare.co.uk
White Fillings in Glasgow Govan Dental Care What Are Ceramic Fillings Made Of These ceramic restorations are both strong and esthetic.” gold (indirect) is made from a mixture of gold, copper, and other metals that. Teeth can be filled with gold; Discover the advantages of ceramic fillings with dr. Ceramic fillings, also known as ceramic inlays or onlays, are dental restorations used to repair teeth damaged by decay or trauma. Learn of the. What Are Ceramic Fillings Made Of.
From www.dentalparkmcallen.com
Ceramic Fillings in McAllen, TX, by Dental Park What Are Ceramic Fillings Made Of Teeth can be filled with gold; Discover the advantages of ceramic fillings with dr. These ceramic restorations are both strong and esthetic.” gold (indirect) is made from a mixture of gold, copper, and other metals that. Ceramic fillings, also known as ceramic inlays or onlays, are dental restorations used to repair teeth damaged by decay or trauma. Silver amalgam (which. What Are Ceramic Fillings Made Of.
From arthurglosmandds.com
Porcelain Fillings vs Composite Fillings Comparison What Are Ceramic Fillings Made Of These ceramic restorations are both strong and esthetic.” gold (indirect) is made from a mixture of gold, copper, and other metals that. Discover the advantages of ceramic fillings with dr. Silver amalgam (which consists of mercury mixed with silver, tin, zinc, and. A dental filling is something dentists use to repair a cavity. Teeth can be filled with gold; Learn. What Are Ceramic Fillings Made Of.
From northsidedental.com
Northside Dental Clinic Pros and Cons of Ceramic Fillings What Are Ceramic Fillings Made Of Teeth can be filled with gold; These ceramic restorations are both strong and esthetic.” gold (indirect) is made from a mixture of gold, copper, and other metals that. Ceramic fillings, also known as ceramic inlays or onlays, are dental restorations used to repair teeth damaged by decay or trauma. Discover the advantages of ceramic fillings with dr. Learn of the. What Are Ceramic Fillings Made Of.
From www.goulburnfamilydental.com.au
RESTORATIVE DENTISTRY PORCELAIN FILLINGS Goulburn Family Dental What Are Ceramic Fillings Made Of These ceramic restorations are both strong and esthetic.” gold (indirect) is made from a mixture of gold, copper, and other metals that. Discover the advantages of ceramic fillings with dr. A dental filling is something dentists use to repair a cavity. Learn of the aesthetic appeal, durability, and. Silver amalgam (which consists of mercury mixed with silver, tin, zinc, and.. What Are Ceramic Fillings Made Of.
From dentallaid.com
Porcelain Fillings What Are Ceramic Fillings Made Of Learn of the aesthetic appeal, durability, and. Ceramic fillings, also known as ceramic inlays or onlays, are dental restorations used to repair teeth damaged by decay or trauma. Teeth can be filled with gold; These ceramic restorations are both strong and esthetic.” gold (indirect) is made from a mixture of gold, copper, and other metals that. A dental filling is. What Are Ceramic Fillings Made Of.
From www.dentistrytoday.com
Ceramic Restorations Guidelines for Cementing or Bonding What Are Ceramic Fillings Made Of These ceramic restorations are both strong and esthetic.” gold (indirect) is made from a mixture of gold, copper, and other metals that. A dental filling is something dentists use to repair a cavity. Ceramic fillings, also known as ceramic inlays or onlays, are dental restorations used to repair teeth damaged by decay or trauma. Teeth can be filled with gold;. What Are Ceramic Fillings Made Of.
From www.dmsdentistry.com
Ceramic Inlays and Onlays DMS Dentistry What Are Ceramic Fillings Made Of These ceramic restorations are both strong and esthetic.” gold (indirect) is made from a mixture of gold, copper, and other metals that. A dental filling is something dentists use to repair a cavity. Ceramic fillings, also known as ceramic inlays or onlays, are dental restorations used to repair teeth damaged by decay or trauma. Learn of the aesthetic appeal, durability,. What Are Ceramic Fillings Made Of.
From www.drcalinpop.com
CERAMIC FILLINGS (ONLAYS) Dr. Calin Pop What Are Ceramic Fillings Made Of These ceramic restorations are both strong and esthetic.” gold (indirect) is made from a mixture of gold, copper, and other metals that. Learn of the aesthetic appeal, durability, and. Discover the advantages of ceramic fillings with dr. Silver amalgam (which consists of mercury mixed with silver, tin, zinc, and. Ceramic fillings, also known as ceramic inlays or onlays, are dental. What Are Ceramic Fillings Made Of.
From smilebookdental.in
Porcelain & Composite Fillings Smilebook Dental What Are Ceramic Fillings Made Of Silver amalgam (which consists of mercury mixed with silver, tin, zinc, and. Learn of the aesthetic appeal, durability, and. Discover the advantages of ceramic fillings with dr. A dental filling is something dentists use to repair a cavity. Ceramic fillings, also known as ceramic inlays or onlays, are dental restorations used to repair teeth damaged by decay or trauma. Teeth. What Are Ceramic Fillings Made Of.
From 172nycdental.com
Porcelain & Composite Fillings NYC 172 NYC Dental What Are Ceramic Fillings Made Of Ceramic fillings, also known as ceramic inlays or onlays, are dental restorations used to repair teeth damaged by decay or trauma. Silver amalgam (which consists of mercury mixed with silver, tin, zinc, and. These ceramic restorations are both strong and esthetic.” gold (indirect) is made from a mixture of gold, copper, and other metals that. Discover the advantages of ceramic. What Are Ceramic Fillings Made Of.
From www.clarencetam.co.nz
Sculpting Ceramic Fillings by Hand Restorative Dentist Auckland What Are Ceramic Fillings Made Of Silver amalgam (which consists of mercury mixed with silver, tin, zinc, and. Learn of the aesthetic appeal, durability, and. Ceramic fillings, also known as ceramic inlays or onlays, are dental restorations used to repair teeth damaged by decay or trauma. Teeth can be filled with gold; A dental filling is something dentists use to repair a cavity. These ceramic restorations. What Are Ceramic Fillings Made Of.
From casuarinadental.com.au
Ceramic Fillings Casuarina Dental What Are Ceramic Fillings Made Of Silver amalgam (which consists of mercury mixed with silver, tin, zinc, and. A dental filling is something dentists use to repair a cavity. These ceramic restorations are both strong and esthetic.” gold (indirect) is made from a mixture of gold, copper, and other metals that. Ceramic fillings, also known as ceramic inlays or onlays, are dental restorations used to repair. What Are Ceramic Fillings Made Of.
From www.sdai.com.au
The difference between composite fillings and ceramic fillings What Are Ceramic Fillings Made Of These ceramic restorations are both strong and esthetic.” gold (indirect) is made from a mixture of gold, copper, and other metals that. Teeth can be filled with gold; Learn of the aesthetic appeal, durability, and. Discover the advantages of ceramic fillings with dr. Silver amalgam (which consists of mercury mixed with silver, tin, zinc, and. A dental filling is something. What Are Ceramic Fillings Made Of.
From pureblissdental.com.au
Porcelain fillings and onlays Pure Bliss Dental Care What Are Ceramic Fillings Made Of Ceramic fillings, also known as ceramic inlays or onlays, are dental restorations used to repair teeth damaged by decay or trauma. These ceramic restorations are both strong and esthetic.” gold (indirect) is made from a mixture of gold, copper, and other metals that. Silver amalgam (which consists of mercury mixed with silver, tin, zinc, and. Teeth can be filled with. What Are Ceramic Fillings Made Of.
From www.209nycdental.com
Porcelain Fillings NYC Fillings in Manhattan New York What Are Ceramic Fillings Made Of A dental filling is something dentists use to repair a cavity. Silver amalgam (which consists of mercury mixed with silver, tin, zinc, and. Teeth can be filled with gold; Discover the advantages of ceramic fillings with dr. Learn of the aesthetic appeal, durability, and. Ceramic fillings, also known as ceramic inlays or onlays, are dental restorations used to repair teeth. What Are Ceramic Fillings Made Of.
From www.esthetixdentalspa.com
Everything You Need to Know About Tooth Fillings What Are Ceramic Fillings Made Of These ceramic restorations are both strong and esthetic.” gold (indirect) is made from a mixture of gold, copper, and other metals that. Discover the advantages of ceramic fillings with dr. Learn of the aesthetic appeal, durability, and. Teeth can be filled with gold; A dental filling is something dentists use to repair a cavity. Silver amalgam (which consists of mercury. What Are Ceramic Fillings Made Of.
From smilecentrum.cz
Ceramic fillings Smile Centrum Prague What Are Ceramic Fillings Made Of A dental filling is something dentists use to repair a cavity. Teeth can be filled with gold; These ceramic restorations are both strong and esthetic.” gold (indirect) is made from a mixture of gold, copper, and other metals that. Learn of the aesthetic appeal, durability, and. Discover the advantages of ceramic fillings with dr. Ceramic fillings, also known as ceramic. What Are Ceramic Fillings Made Of.
From www.209nycdental.com
Porcelain Fillings NYC Fillings in Manhattan New York What Are Ceramic Fillings Made Of Teeth can be filled with gold; Ceramic fillings, also known as ceramic inlays or onlays, are dental restorations used to repair teeth damaged by decay or trauma. Discover the advantages of ceramic fillings with dr. These ceramic restorations are both strong and esthetic.” gold (indirect) is made from a mixture of gold, copper, and other metals that. Silver amalgam (which. What Are Ceramic Fillings Made Of.
From www.lakeareadentistry.com
Types of Dental Fillings Composite, Silver What Are Ceramic Fillings Made Of Discover the advantages of ceramic fillings with dr. These ceramic restorations are both strong and esthetic.” gold (indirect) is made from a mixture of gold, copper, and other metals that. Teeth can be filled with gold; Learn of the aesthetic appeal, durability, and. Ceramic fillings, also known as ceramic inlays or onlays, are dental restorations used to repair teeth damaged. What Are Ceramic Fillings Made Of.
From www.authoritydental.org
What types of fillings are available for cavities? Authority Dental What Are Ceramic Fillings Made Of A dental filling is something dentists use to repair a cavity. Ceramic fillings, also known as ceramic inlays or onlays, are dental restorations used to repair teeth damaged by decay or trauma. Discover the advantages of ceramic fillings with dr. These ceramic restorations are both strong and esthetic.” gold (indirect) is made from a mixture of gold, copper, and other. What Are Ceramic Fillings Made Of.
From www.drjoydentalclinic.com
What are the various types of dental fillings? What Are Ceramic Fillings Made Of Ceramic fillings, also known as ceramic inlays or onlays, are dental restorations used to repair teeth damaged by decay or trauma. These ceramic restorations are both strong and esthetic.” gold (indirect) is made from a mixture of gold, copper, and other metals that. Discover the advantages of ceramic fillings with dr. Learn of the aesthetic appeal, durability, and. Teeth can. What Are Ceramic Fillings Made Of.