Root Canal Tooth Yellow . Root canal filling materials could be left in the crown (the top part of your tooth which is most visible). If you’re experiencing tooth discoloration after a root canal, it’s important to consult with. Root canal treatment, otherwise known as endodontic treatment, is used to treat the nerve of the tooth. If one of your teeth has experienced any type of trauma, this could be the cause for its. If you've had a root canal, your tooth will probably survive a little over 11 years, according to data from general dentistry practices. Another condition that can occur after a root canal is discoloration of the tooth. But that time can be nearly doubled by filling the tooth and putting a crown on it after the root canal procedure. Your dentist should try to keep. This reactive process can cause calcification within the tooth, leading to a yellowish hue. Usually, this teeth whitening procedure is done on a dead tooth that’s previously had a root canal, an endodontic procedure that removes the soft inner core of dental pulp. Sometimes, this will even happen when the nerve in the tooth dies and can be the first sign indicating that a root. Of your teeth can turn brown, yellow, or gray.
from www.sciencephoto.com
Your dentist should try to keep. But that time can be nearly doubled by filling the tooth and putting a crown on it after the root canal procedure. Of your teeth can turn brown, yellow, or gray. Another condition that can occur after a root canal is discoloration of the tooth. Root canal treatment, otherwise known as endodontic treatment, is used to treat the nerve of the tooth. Root canal filling materials could be left in the crown (the top part of your tooth which is most visible). If one of your teeth has experienced any type of trauma, this could be the cause for its. Sometimes, this will even happen when the nerve in the tooth dies and can be the first sign indicating that a root. This reactive process can cause calcification within the tooth, leading to a yellowish hue. Usually, this teeth whitening procedure is done on a dead tooth that’s previously had a root canal, an endodontic procedure that removes the soft inner core of dental pulp.
Root canal dental surgery Stock Image C029/0466 Science Photo Library
Root Canal Tooth Yellow If one of your teeth has experienced any type of trauma, this could be the cause for its. Usually, this teeth whitening procedure is done on a dead tooth that’s previously had a root canal, an endodontic procedure that removes the soft inner core of dental pulp. Root canal treatment, otherwise known as endodontic treatment, is used to treat the nerve of the tooth. Another condition that can occur after a root canal is discoloration of the tooth. If one of your teeth has experienced any type of trauma, this could be the cause for its. Sometimes, this will even happen when the nerve in the tooth dies and can be the first sign indicating that a root. This reactive process can cause calcification within the tooth, leading to a yellowish hue. If you've had a root canal, your tooth will probably survive a little over 11 years, according to data from general dentistry practices. Your dentist should try to keep. But that time can be nearly doubled by filling the tooth and putting a crown on it after the root canal procedure. Root canal filling materials could be left in the crown (the top part of your tooth which is most visible). If you’re experiencing tooth discoloration after a root canal, it’s important to consult with. Of your teeth can turn brown, yellow, or gray.
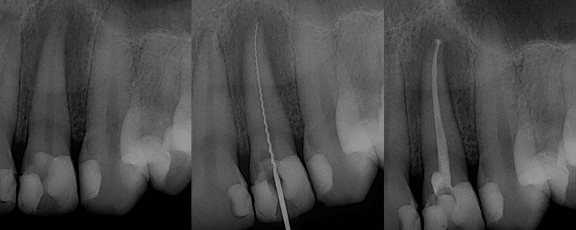
From luxedentalcaremd.com
Root Canal on Front Tooth Procedure and Cost Thompson Creek Dental Root Canal Tooth Yellow But that time can be nearly doubled by filling the tooth and putting a crown on it after the root canal procedure. Root canal treatment, otherwise known as endodontic treatment, is used to treat the nerve of the tooth. If you’re experiencing tooth discoloration after a root canal, it’s important to consult with. Root canal filling materials could be left. Root Canal Tooth Yellow.
From www.opalescence.com.au
Opalescence Root Canal Tooth Yellow But that time can be nearly doubled by filling the tooth and putting a crown on it after the root canal procedure. Root canal treatment, otherwise known as endodontic treatment, is used to treat the nerve of the tooth. Sometimes, this will even happen when the nerve in the tooth dies and can be the first sign indicating that a. Root Canal Tooth Yellow.
From www.jbdentist.com
Dentist Explains Why You May Need a Root Canal and How They Work Root Canal Tooth Yellow This reactive process can cause calcification within the tooth, leading to a yellowish hue. If one of your teeth has experienced any type of trauma, this could be the cause for its. Your dentist should try to keep. Root canal filling materials could be left in the crown (the top part of your tooth which is most visible). If you’re. Root Canal Tooth Yellow.
From www.putneydentalcare.com.au
Root Canal vs Filling What Procedure Do I Need? Putney Dental Care Root Canal Tooth Yellow If you've had a root canal, your tooth will probably survive a little over 11 years, according to data from general dentistry practices. If you’re experiencing tooth discoloration after a root canal, it’s important to consult with. If one of your teeth has experienced any type of trauma, this could be the cause for its. Your dentist should try to. Root Canal Tooth Yellow.
From www.youtube.com
Root Canal Treatment🔵Mandibular 2nd Molar🟡Access Opening🟢 Biomechanical Root Canal Tooth Yellow If you’re experiencing tooth discoloration after a root canal, it’s important to consult with. Root canal filling materials could be left in the crown (the top part of your tooth which is most visible). But that time can be nearly doubled by filling the tooth and putting a crown on it after the root canal procedure. If you've had a. Root Canal Tooth Yellow.
From idealdentalcare.co.uk
Root Canal Treatment (Endodontic Therapy) Ideal Dental Care Root Canal Tooth Yellow If you’re experiencing tooth discoloration after a root canal, it’s important to consult with. Another condition that can occur after a root canal is discoloration of the tooth. Usually, this teeth whitening procedure is done on a dead tooth that’s previously had a root canal, an endodontic procedure that removes the soft inner core of dental pulp. If you've had. Root Canal Tooth Yellow.
From clinichunter.com
Root Canal Treatment overview, costs procedure Root Canal Tooth Yellow Another condition that can occur after a root canal is discoloration of the tooth. This reactive process can cause calcification within the tooth, leading to a yellowish hue. Root canal filling materials could be left in the crown (the top part of your tooth which is most visible). If you've had a root canal, your tooth will probably survive a. Root Canal Tooth Yellow.
From www.summitfamilydentist.com
Pros and Cons of a Root Canal Summit Family Dentistry Root Canal Tooth Yellow But that time can be nearly doubled by filling the tooth and putting a crown on it after the root canal procedure. Sometimes, this will even happen when the nerve in the tooth dies and can be the first sign indicating that a root. Usually, this teeth whitening procedure is done on a dead tooth that’s previously had a root. Root Canal Tooth Yellow.
From www.centralavedentalny.com
Demystifying Root Canals What You Need to Know Central Avenue Dental Root Canal Tooth Yellow Another condition that can occur after a root canal is discoloration of the tooth. If one of your teeth has experienced any type of trauma, this could be the cause for its. Of your teeth can turn brown, yellow, or gray. This reactive process can cause calcification within the tooth, leading to a yellowish hue. But that time can be. Root Canal Tooth Yellow.
From www.youtube.com
Root Canal Treatment in Maxillary First Permanent Molar 🟠 How to locate Root Canal Tooth Yellow Root canal filling materials could be left in the crown (the top part of your tooth which is most visible). Sometimes, this will even happen when the nerve in the tooth dies and can be the first sign indicating that a root. If one of your teeth has experienced any type of trauma, this could be the cause for its.. Root Canal Tooth Yellow.
From www.devotedfamilydental.com
Root Canal Is Pain the Only Symptom Devoted Family Dental Root Canal Tooth Yellow If you've had a root canal, your tooth will probably survive a little over 11 years, according to data from general dentistry practices. Another condition that can occur after a root canal is discoloration of the tooth. Usually, this teeth whitening procedure is done on a dead tooth that’s previously had a root canal, an endodontic procedure that removes the. Root Canal Tooth Yellow.
From www.warrierdentistry.com
Is a Root Canal Tooth Dead After It's Treated? Warrier Dentistry Root Canal Tooth Yellow If one of your teeth has experienced any type of trauma, this could be the cause for its. Sometimes, this will even happen when the nerve in the tooth dies and can be the first sign indicating that a root. Of your teeth can turn brown, yellow, or gray. Usually, this teeth whitening procedure is done on a dead tooth. Root Canal Tooth Yellow.
From colonialbb.com
The Dental Cavity Procedure Just How To Turn Around The Procedure And Root Canal Tooth Yellow Sometimes, this will even happen when the nerve in the tooth dies and can be the first sign indicating that a root. Usually, this teeth whitening procedure is done on a dead tooth that’s previously had a root canal, an endodontic procedure that removes the soft inner core of dental pulp. If you've had a root canal, your tooth will. Root Canal Tooth Yellow.
From www.soladentalspa.com
Root canal aftercare in Staten Island Sola Dental Spa Root Canal Tooth Yellow Root canal filling materials could be left in the crown (the top part of your tooth which is most visible). But that time can be nearly doubled by filling the tooth and putting a crown on it after the root canal procedure. Root canal treatment, otherwise known as endodontic treatment, is used to treat the nerve of the tooth. Sometimes,. Root Canal Tooth Yellow.
From www.seamanfamilydentistrylenexa.com
Root Canal Treatment Seaman Family Dentistry Root Canal Tooth Yellow Another condition that can occur after a root canal is discoloration of the tooth. But that time can be nearly doubled by filling the tooth and putting a crown on it after the root canal procedure. This reactive process can cause calcification within the tooth, leading to a yellowish hue. Your dentist should try to keep. Root canal treatment, otherwise. Root Canal Tooth Yellow.
From www.wohlersdentistry.com
A Comprehensive Guide to Root Canal Procedures Root Canal Tooth Yellow Root canal treatment, otherwise known as endodontic treatment, is used to treat the nerve of the tooth. Your dentist should try to keep. Another condition that can occur after a root canal is discoloration of the tooth. If you've had a root canal, your tooth will probably survive a little over 11 years, according to data from general dentistry practices.. Root Canal Tooth Yellow.
From www.pinterest.com
Steps of Root Canal Procedure Dental assistant study, Dental Root Canal Tooth Yellow If you’re experiencing tooth discoloration after a root canal, it’s important to consult with. Sometimes, this will even happen when the nerve in the tooth dies and can be the first sign indicating that a root. Of your teeth can turn brown, yellow, or gray. If you've had a root canal, your tooth will probably survive a little over 11. Root Canal Tooth Yellow.
From bostondental.ca
Root Canals Boston Dental Root Canal Tooth Yellow But that time can be nearly doubled by filling the tooth and putting a crown on it after the root canal procedure. Sometimes, this will even happen when the nerve in the tooth dies and can be the first sign indicating that a root. Another condition that can occur after a root canal is discoloration of the tooth. Usually, this. Root Canal Tooth Yellow.
From parksidedentist.co.nz
Root Canal Treatment Dentist Parkside Root Canal Tooth Yellow If one of your teeth has experienced any type of trauma, this could be the cause for its. Usually, this teeth whitening procedure is done on a dead tooth that’s previously had a root canal, an endodontic procedure that removes the soft inner core of dental pulp. This reactive process can cause calcification within the tooth, leading to a yellowish. Root Canal Tooth Yellow.
From drcerniglia.com
Root Canal Treatment Dr. P. Cerniglia Metairie Louisiana Root Canal Tooth Yellow If one of your teeth has experienced any type of trauma, this could be the cause for its. If you’re experiencing tooth discoloration after a root canal, it’s important to consult with. Root canal treatment, otherwise known as endodontic treatment, is used to treat the nerve of the tooth. If you've had a root canal, your tooth will probably survive. Root Canal Tooth Yellow.
From robinsonsdental.co.uk
Root Canal Treatment Robinson's Dental Practice Christchurch Root Canal Tooth Yellow Your dentist should try to keep. If you've had a root canal, your tooth will probably survive a little over 11 years, according to data from general dentistry practices. But that time can be nearly doubled by filling the tooth and putting a crown on it after the root canal procedure. If one of your teeth has experienced any type. Root Canal Tooth Yellow.
From www.kaceyannthompson.com
Frequently Asked Questions About Root Canal Treatment Dove Dental Root Canal Tooth Yellow Sometimes, this will even happen when the nerve in the tooth dies and can be the first sign indicating that a root. But that time can be nearly doubled by filling the tooth and putting a crown on it after the root canal procedure. Another condition that can occur after a root canal is discoloration of the tooth. Root canal. Root Canal Tooth Yellow.
From pocketdentistry.com
Tooth, Root, and Canal Anatomy Pocket Dentistry Root Canal Tooth Yellow Root canal filling materials could be left in the crown (the top part of your tooth which is most visible). Of your teeth can turn brown, yellow, or gray. Root canal treatment, otherwise known as endodontic treatment, is used to treat the nerve of the tooth. Sometimes, this will even happen when the nerve in the tooth dies and can. Root Canal Tooth Yellow.
From www.sriramakrishnahospital.com
Comparing Tooth Extraction vs Root Canal What's the Difference? Sri Root Canal Tooth Yellow Another condition that can occur after a root canal is discoloration of the tooth. This reactive process can cause calcification within the tooth, leading to a yellowish hue. Sometimes, this will even happen when the nerve in the tooth dies and can be the first sign indicating that a root. But that time can be nearly doubled by filling the. Root Canal Tooth Yellow.
From www.dhamadison.com
Six Things to Know About Root Canals Dental Health Associates Root Canal Tooth Yellow Usually, this teeth whitening procedure is done on a dead tooth that’s previously had a root canal, an endodontic procedure that removes the soft inner core of dental pulp. Of your teeth can turn brown, yellow, or gray. Sometimes, this will even happen when the nerve in the tooth dies and can be the first sign indicating that a root.. Root Canal Tooth Yellow.
From www.jamiesondental.com
Why Root Canal Treated Teeth Break and How to Protect Them — Cambridge Root Canal Tooth Yellow If you’re experiencing tooth discoloration after a root canal, it’s important to consult with. Root canal treatment, otherwise known as endodontic treatment, is used to treat the nerve of the tooth. This reactive process can cause calcification within the tooth, leading to a yellowish hue. Of your teeth can turn brown, yellow, or gray. Sometimes, this will even happen when. Root Canal Tooth Yellow.
From informeddentalconsumer.com
Dental Cavity Stages Informed Dental Consumer Root Canal Tooth Yellow Usually, this teeth whitening procedure is done on a dead tooth that’s previously had a root canal, an endodontic procedure that removes the soft inner core of dental pulp. If one of your teeth has experienced any type of trauma, this could be the cause for its. Sometimes, this will even happen when the nerve in the tooth dies and. Root Canal Tooth Yellow.
From www.kingshilldental.co.uk
Root Canal West Malling Tooth Infection Endodontics Kent Root Canal Tooth Yellow Sometimes, this will even happen when the nerve in the tooth dies and can be the first sign indicating that a root. Root canal filling materials could be left in the crown (the top part of your tooth which is most visible). Usually, this teeth whitening procedure is done on a dead tooth that’s previously had a root canal, an. Root Canal Tooth Yellow.
From www.sciencephoto.com
Root canal dental surgery Stock Image C029/0466 Science Photo Library Root Canal Tooth Yellow Sometimes, this will even happen when the nerve in the tooth dies and can be the first sign indicating that a root. Root canal treatment, otherwise known as endodontic treatment, is used to treat the nerve of the tooth. But that time can be nearly doubled by filling the tooth and putting a crown on it after the root canal. Root Canal Tooth Yellow.
From www.deardoctor.com
Root Canal Treatment What You Need to Know Root Canal Tooth Yellow If you’re experiencing tooth discoloration after a root canal, it’s important to consult with. Root canal filling materials could be left in the crown (the top part of your tooth which is most visible). Your dentist should try to keep. Usually, this teeth whitening procedure is done on a dead tooth that’s previously had a root canal, an endodontic procedure. Root Canal Tooth Yellow.
From appletreedentistry.net
3 Signs You May Need a Root Canal Appletree DentistryTigard, OR Root Canal Tooth Yellow If one of your teeth has experienced any type of trauma, this could be the cause for its. Another condition that can occur after a root canal is discoloration of the tooth. But that time can be nearly doubled by filling the tooth and putting a crown on it after the root canal procedure. Your dentist should try to keep.. Root Canal Tooth Yellow.
From wagerevans.com
What Exactly Happens During A Root Canal? Reno, NV Root Canal Tooth Yellow Your dentist should try to keep. Usually, this teeth whitening procedure is done on a dead tooth that’s previously had a root canal, an endodontic procedure that removes the soft inner core of dental pulp. This reactive process can cause calcification within the tooth, leading to a yellowish hue. If you’re experiencing tooth discoloration after a root canal, it’s important. Root Canal Tooth Yellow.
From www.flemingfamilydental.com
Root Canals Fleming Family Dental & Aesthetics Root Canal Tooth Yellow Your dentist should try to keep. Root canal treatment, otherwise known as endodontic treatment, is used to treat the nerve of the tooth. Another condition that can occur after a root canal is discoloration of the tooth. If you’re experiencing tooth discoloration after a root canal, it’s important to consult with. This reactive process can cause calcification within the tooth,. Root Canal Tooth Yellow.
From www.allsmilesdental.sg
Root Canal Treatment AllSmiles Dental Care Root Canal Tooth Yellow Another condition that can occur after a root canal is discoloration of the tooth. Your dentist should try to keep. But that time can be nearly doubled by filling the tooth and putting a crown on it after the root canal procedure. Root canal filling materials could be left in the crown (the top part of your tooth which is. Root Canal Tooth Yellow.
From www.fitzgeralddentistry.com
When Do You Need a Root Canal Treatment Procedure Step by Step Root Canal Tooth Yellow If you’re experiencing tooth discoloration after a root canal, it’s important to consult with. Usually, this teeth whitening procedure is done on a dead tooth that’s previously had a root canal, an endodontic procedure that removes the soft inner core of dental pulp. Root canal filling materials could be left in the crown (the top part of your tooth which. Root Canal Tooth Yellow.