What Is Joint Effusion In The Elbow . Elbow joint effusion is a swelling of the elbow joint from fluid buildup. The area around your joint may. An elbow joint effusion is a key finding to recognize on an elbow radiograph and should be used as a trigger to search for a fracture. When the buildup of fluid comes with inflammation of the connective tissues lining a joint, it is called joint effusion with synovitis. The sail sign is the key to recognizing an elbow joint effusion. Swollen joints (effusion) occur when extra fluid builds up within joints due to injury or inflammation. This causes the areas within and around the joints to become swollen and puffy, which can cause pain and difficulty moving your joints. Joint effusion happens when your joint swells up when excess fluid builds up in the tissues surrounding it. On a lateral radiograph, effusion causes displacement. Joint effusion tends to affect larger joints such as the. An elbow joint effusion in the setting of trauma is typically a sign of an occult fracture. In adults, the occult fracture is most commonly of the radial. Possible causes include a fracture or other damage due to trauma, overuse injury, a sprain, infection, or.
from radiopaedia.org
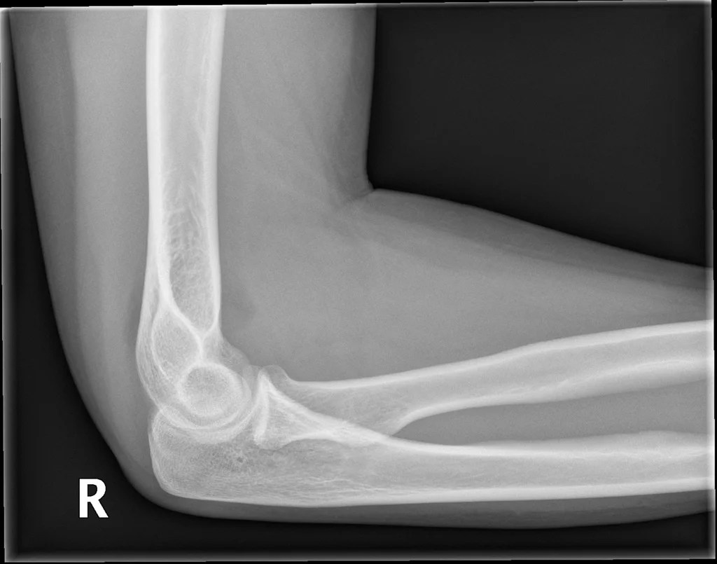
An elbow joint effusion in the setting of trauma is typically a sign of an occult fracture. Joint effusion happens when your joint swells up when excess fluid builds up in the tissues surrounding it. When the buildup of fluid comes with inflammation of the connective tissues lining a joint, it is called joint effusion with synovitis. This causes the areas within and around the joints to become swollen and puffy, which can cause pain and difficulty moving your joints. In adults, the occult fracture is most commonly of the radial. The area around your joint may. On a lateral radiograph, effusion causes displacement. Swollen joints (effusion) occur when extra fluid builds up within joints due to injury or inflammation. Elbow joint effusion is a swelling of the elbow joint from fluid buildup. The sail sign is the key to recognizing an elbow joint effusion.
Elbow joint effusion (sail sign) Image
What Is Joint Effusion In The Elbow Possible causes include a fracture or other damage due to trauma, overuse injury, a sprain, infection, or. An elbow joint effusion in the setting of trauma is typically a sign of an occult fracture. On a lateral radiograph, effusion causes displacement. Joint effusion tends to affect larger joints such as the. In adults, the occult fracture is most commonly of the radial. When the buildup of fluid comes with inflammation of the connective tissues lining a joint, it is called joint effusion with synovitis. The area around your joint may. Swollen joints (effusion) occur when extra fluid builds up within joints due to injury or inflammation. Joint effusion happens when your joint swells up when excess fluid builds up in the tissues surrounding it. Elbow joint effusion is a swelling of the elbow joint from fluid buildup. This causes the areas within and around the joints to become swollen and puffy, which can cause pain and difficulty moving your joints. The sail sign is the key to recognizing an elbow joint effusion. An elbow joint effusion is a key finding to recognize on an elbow radiograph and should be used as a trigger to search for a fracture. Possible causes include a fracture or other damage due to trauma, overuse injury, a sprain, infection, or.
From www.aliem.com
lateral elbow joint effusion ALiEM What Is Joint Effusion In The Elbow An elbow joint effusion in the setting of trauma is typically a sign of an occult fracture. Swollen joints (effusion) occur when extra fluid builds up within joints due to injury or inflammation. The area around your joint may. Joint effusion tends to affect larger joints such as the. This causes the areas within and around the joints to become. What Is Joint Effusion In The Elbow.
From www.verywellhealth.com
Elbow Bursitis Symptoms, Causes, and Treatment What Is Joint Effusion In The Elbow This causes the areas within and around the joints to become swollen and puffy, which can cause pain and difficulty moving your joints. Possible causes include a fracture or other damage due to trauma, overuse injury, a sprain, infection, or. Swollen joints (effusion) occur when extra fluid builds up within joints due to injury or inflammation. The sail sign is. What Is Joint Effusion In The Elbow.
From radiopaedia.org
Bilateral joint elbow effusions Image What Is Joint Effusion In The Elbow When the buildup of fluid comes with inflammation of the connective tissues lining a joint, it is called joint effusion with synovitis. On a lateral radiograph, effusion causes displacement. An elbow joint effusion in the setting of trauma is typically a sign of an occult fracture. Swollen joints (effusion) occur when extra fluid builds up within joints due to injury. What Is Joint Effusion In The Elbow.
From radiopaedia.org
Elbow joint effusion (sail sign) Image What Is Joint Effusion In The Elbow Joint effusion tends to affect larger joints such as the. On a lateral radiograph, effusion causes displacement. Elbow joint effusion is a swelling of the elbow joint from fluid buildup. The sail sign is the key to recognizing an elbow joint effusion. In adults, the occult fracture is most commonly of the radial. An elbow joint effusion in the setting. What Is Joint Effusion In The Elbow.
From www.casestacks.com
Case 2 What Is Joint Effusion In The Elbow When the buildup of fluid comes with inflammation of the connective tissues lining a joint, it is called joint effusion with synovitis. On a lateral radiograph, effusion causes displacement. This causes the areas within and around the joints to become swollen and puffy, which can cause pain and difficulty moving your joints. An elbow joint effusion in the setting of. What Is Joint Effusion In The Elbow.
From www.verywellhealth.com
Joint Effusion What It Is, Symptoms, Treatment What Is Joint Effusion In The Elbow On a lateral radiograph, effusion causes displacement. Possible causes include a fracture or other damage due to trauma, overuse injury, a sprain, infection, or. The area around your joint may. An elbow joint effusion in the setting of trauma is typically a sign of an occult fracture. In adults, the occult fracture is most commonly of the radial. Elbow joint. What Is Joint Effusion In The Elbow.
From buyxraysonline.com
ELBOW JOINT EFFUSION What Is Joint Effusion In The Elbow In adults, the occult fracture is most commonly of the radial. Joint effusion happens when your joint swells up when excess fluid builds up in the tissues surrounding it. Swollen joints (effusion) occur when extra fluid builds up within joints due to injury or inflammation. The area around your joint may. Elbow joint effusion is a swelling of the elbow. What Is Joint Effusion In The Elbow.
From www.ajronline.org
Elbow Effusions in Trauma in Adults and Children Is There an Occult What Is Joint Effusion In The Elbow In adults, the occult fracture is most commonly of the radial. Elbow joint effusion is a swelling of the elbow joint from fluid buildup. The sail sign is the key to recognizing an elbow joint effusion. This causes the areas within and around the joints to become swollen and puffy, which can cause pain and difficulty moving your joints. On. What Is Joint Effusion In The Elbow.
From www.shutterstock.com
Joint Effusion Elbow Vector Xray Stock Vector (Royalty Free) 2037944264 What Is Joint Effusion In The Elbow An elbow joint effusion in the setting of trauma is typically a sign of an occult fracture. Swollen joints (effusion) occur when extra fluid builds up within joints due to injury or inflammation. The area around your joint may. When the buildup of fluid comes with inflammation of the connective tissues lining a joint, it is called joint effusion with. What Is Joint Effusion In The Elbow.
From www.pinterest.com
Elbow Xray shows fracture (arrow suprachondylar) with a joint What Is Joint Effusion In The Elbow Swollen joints (effusion) occur when extra fluid builds up within joints due to injury or inflammation. An elbow joint effusion is a key finding to recognize on an elbow radiograph and should be used as a trigger to search for a fracture. An elbow joint effusion in the setting of trauma is typically a sign of an occult fracture. Elbow. What Is Joint Effusion In The Elbow.
From www.verywellhealth.com
Joint Effusion Examination and Treatment What Is Joint Effusion In The Elbow Joint effusion happens when your joint swells up when excess fluid builds up in the tissues surrounding it. This causes the areas within and around the joints to become swollen and puffy, which can cause pain and difficulty moving your joints. Swollen joints (effusion) occur when extra fluid builds up within joints due to injury or inflammation. In adults, the. What Is Joint Effusion In The Elbow.
From cetdfktf.blob.core.windows.net
What Does It Mean To Have Sharp Elbows at Jason Williams blog What Is Joint Effusion In The Elbow The sail sign is the key to recognizing an elbow joint effusion. On a lateral radiograph, effusion causes displacement. When the buildup of fluid comes with inflammation of the connective tissues lining a joint, it is called joint effusion with synovitis. Joint effusion happens when your joint swells up when excess fluid builds up in the tissues surrounding it. Elbow. What Is Joint Effusion In The Elbow.
From www.whitehouse-clinic.co.uk
Anatomy, Pathology & Treatment of the Elbow Joint Articles & Advice What Is Joint Effusion In The Elbow On a lateral radiograph, effusion causes displacement. The area around your joint may. An elbow joint effusion in the setting of trauma is typically a sign of an occult fracture. An elbow joint effusion is a key finding to recognize on an elbow radiograph and should be used as a trigger to search for a fracture. Joint effusion happens when. What Is Joint Effusion In The Elbow.
From atlas.mudr.org
Radiology case Sail sign, elbow, joint effusion What Is Joint Effusion In The Elbow An elbow joint effusion in the setting of trauma is typically a sign of an occult fracture. Joint effusion tends to affect larger joints such as the. Elbow joint effusion is a swelling of the elbow joint from fluid buildup. On a lateral radiograph, effusion causes displacement. An elbow joint effusion is a key finding to recognize on an elbow. What Is Joint Effusion In The Elbow.
From www.howtorelief.com
Elbow Joint Anatomy, Movement & Muscle involvement » How To Relief What Is Joint Effusion In The Elbow An elbow joint effusion is a key finding to recognize on an elbow radiograph and should be used as a trigger to search for a fracture. The sail sign is the key to recognizing an elbow joint effusion. In adults, the occult fracture is most commonly of the radial. Swollen joints (effusion) occur when extra fluid builds up within joints. What Is Joint Effusion In The Elbow.
From www.youtube.com
Elbow effusion on Xray YouTube What Is Joint Effusion In The Elbow Swollen joints (effusion) occur when extra fluid builds up within joints due to injury or inflammation. The sail sign is the key to recognizing an elbow joint effusion. Joint effusion happens when your joint swells up when excess fluid builds up in the tissues surrounding it. An elbow joint effusion in the setting of trauma is typically a sign of. What Is Joint Effusion In The Elbow.
From pubs.rsna.org
Traumatic Elbow Injuries What the Orthopedic Surgeon Wants to Know What Is Joint Effusion In The Elbow An elbow joint effusion in the setting of trauma is typically a sign of an occult fracture. Elbow joint effusion is a swelling of the elbow joint from fluid buildup. In adults, the occult fracture is most commonly of the radial. Joint effusion tends to affect larger joints such as the. The area around your joint may. On a lateral. What Is Joint Effusion In The Elbow.
From pacs.de
elbow joint effusion sail sign pacs What Is Joint Effusion In The Elbow This causes the areas within and around the joints to become swollen and puffy, which can cause pain and difficulty moving your joints. Joint effusion happens when your joint swells up when excess fluid builds up in the tissues surrounding it. Elbow joint effusion is a swelling of the elbow joint from fluid buildup. In adults, the occult fracture is. What Is Joint Effusion In The Elbow.
From orthoinfo.aaos.org
Elbow (Olecranon) Bursitis OrthoInfo AAOS What Is Joint Effusion In The Elbow This causes the areas within and around the joints to become swollen and puffy, which can cause pain and difficulty moving your joints. Elbow joint effusion is a swelling of the elbow joint from fluid buildup. When the buildup of fluid comes with inflammation of the connective tissues lining a joint, it is called joint effusion with synovitis. Swollen joints. What Is Joint Effusion In The Elbow.
From radiologykey.com
The Elbow Radiology Key What Is Joint Effusion In The Elbow Swollen joints (effusion) occur when extra fluid builds up within joints due to injury or inflammation. An elbow joint effusion in the setting of trauma is typically a sign of an occult fracture. Elbow joint effusion is a swelling of the elbow joint from fluid buildup. This causes the areas within and around the joints to become swollen and puffy,. What Is Joint Effusion In The Elbow.
From www.researchgate.net
Multiplanar CT of the right elbow joint. A. Axial view showing a What Is Joint Effusion In The Elbow Joint effusion happens when your joint swells up when excess fluid builds up in the tissues surrounding it. An elbow joint effusion in the setting of trauma is typically a sign of an occult fracture. On a lateral radiograph, effusion causes displacement. In adults, the occult fracture is most commonly of the radial. An elbow joint effusion is a key. What Is Joint Effusion In The Elbow.
From www.cureus.com
Cureus A Rare Case of Septic Arthritis, Osteomyelitis What Is Joint Effusion In The Elbow Joint effusion happens when your joint swells up when excess fluid builds up in the tissues surrounding it. Elbow joint effusion is a swelling of the elbow joint from fluid buildup. This causes the areas within and around the joints to become swollen and puffy, which can cause pain and difficulty moving your joints. When the buildup of fluid comes. What Is Joint Effusion In The Elbow.
From www.dreamstime.com
Xray Elbow Joint Finding Supracondylar Fracture Distal Humerus with What Is Joint Effusion In The Elbow Swollen joints (effusion) occur when extra fluid builds up within joints due to injury or inflammation. Joint effusion tends to affect larger joints such as the. In adults, the occult fracture is most commonly of the radial. The sail sign is the key to recognizing an elbow joint effusion. Possible causes include a fracture or other damage due to trauma,. What Is Joint Effusion In The Elbow.
From www.youtube.com
ELBOW PAIN CAUSES AND TREATMENT Everything You Need To Know Dr What Is Joint Effusion In The Elbow This causes the areas within and around the joints to become swollen and puffy, which can cause pain and difficulty moving your joints. The sail sign is the key to recognizing an elbow joint effusion. On a lateral radiograph, effusion causes displacement. An elbow joint effusion is a key finding to recognize on an elbow radiograph and should be used. What Is Joint Effusion In The Elbow.
From www.emdocs.net
Emergency Medicine EducationEM in 5 Elbow Xrays emDOCs What Is Joint Effusion In The Elbow On a lateral radiograph, effusion causes displacement. Joint effusion tends to affect larger joints such as the. This causes the areas within and around the joints to become swollen and puffy, which can cause pain and difficulty moving your joints. Possible causes include a fracture or other damage due to trauma, overuse injury, a sprain, infection, or. Swollen joints (effusion). What Is Joint Effusion In The Elbow.
From mskultrasound.net
Arthrocentesis of the Elbow Joint Book Of MSK Ultrasound What Is Joint Effusion In The Elbow Joint effusion tends to affect larger joints such as the. The area around your joint may. Joint effusion happens when your joint swells up when excess fluid builds up in the tissues surrounding it. An elbow joint effusion is a key finding to recognize on an elbow radiograph and should be used as a trigger to search for a fracture.. What Is Joint Effusion In The Elbow.
From www.pocustoronto.com
POCUS for Elbow Injuries POCUS_Toronto What Is Joint Effusion In The Elbow An elbow joint effusion in the setting of trauma is typically a sign of an occult fracture. Possible causes include a fracture or other damage due to trauma, overuse injury, a sprain, infection, or. In adults, the occult fracture is most commonly of the radial. This causes the areas within and around the joints to become swollen and puffy, which. What Is Joint Effusion In The Elbow.
From radiopaedia.org
Image What Is Joint Effusion In The Elbow Joint effusion happens when your joint swells up when excess fluid builds up in the tissues surrounding it. This causes the areas within and around the joints to become swollen and puffy, which can cause pain and difficulty moving your joints. An elbow joint effusion is a key finding to recognize on an elbow radiograph and should be used as. What Is Joint Effusion In The Elbow.
From www.braceability.com
Bursitis Elbow Pad Brace Olecranon Padded Sleeve & Bursa Wrap What Is Joint Effusion In The Elbow When the buildup of fluid comes with inflammation of the connective tissues lining a joint, it is called joint effusion with synovitis. Joint effusion happens when your joint swells up when excess fluid builds up in the tissues surrounding it. An elbow joint effusion in the setting of trauma is typically a sign of an occult fracture. Swollen joints (effusion). What Is Joint Effusion In The Elbow.
From www.radiology.expert
XElbow What Is Joint Effusion In The Elbow In adults, the occult fracture is most commonly of the radial. An elbow joint effusion in the setting of trauma is typically a sign of an occult fracture. The sail sign is the key to recognizing an elbow joint effusion. When the buildup of fluid comes with inflammation of the connective tissues lining a joint, it is called joint effusion. What Is Joint Effusion In The Elbow.
From www.researchgate.net
Lateral view of the left elbow demonstrating a moderate joint effusion What Is Joint Effusion In The Elbow Joint effusion tends to affect larger joints such as the. Swollen joints (effusion) occur when extra fluid builds up within joints due to injury or inflammation. When the buildup of fluid comes with inflammation of the connective tissues lining a joint, it is called joint effusion with synovitis. The area around your joint may. An elbow joint effusion is a. What Is Joint Effusion In The Elbow.
From www.vecteezy.com
Xray Elbow joint Finding Supracondylar fracture distal humerus with What Is Joint Effusion In The Elbow On a lateral radiograph, effusion causes displacement. An elbow joint effusion in the setting of trauma is typically a sign of an occult fracture. This causes the areas within and around the joints to become swollen and puffy, which can cause pain and difficulty moving your joints. Joint effusion happens when your joint swells up when excess fluid builds up. What Is Joint Effusion In The Elbow.
From www.youtube.com
Elbow Joint Effusion Sail Sign trauma radiology bones YouTube What Is Joint Effusion In The Elbow When the buildup of fluid comes with inflammation of the connective tissues lining a joint, it is called joint effusion with synovitis. This causes the areas within and around the joints to become swollen and puffy, which can cause pain and difficulty moving your joints. Joint effusion happens when your joint swells up when excess fluid builds up in the. What Is Joint Effusion In The Elbow.
From www.slideserve.com
PPT Elbow Joint PowerPoint Presentation, free download ID3084731 What Is Joint Effusion In The Elbow This causes the areas within and around the joints to become swollen and puffy, which can cause pain and difficulty moving your joints. On a lateral radiograph, effusion causes displacement. The sail sign is the key to recognizing an elbow joint effusion. Elbow joint effusion is a swelling of the elbow joint from fluid buildup. Possible causes include a fracture. What Is Joint Effusion In The Elbow.
From buyxraysonline.com
ELBOW JOINT EFFUSION What Is Joint Effusion In The Elbow An elbow joint effusion in the setting of trauma is typically a sign of an occult fracture. The sail sign is the key to recognizing an elbow joint effusion. Elbow joint effusion is a swelling of the elbow joint from fluid buildup. The area around your joint may. Possible causes include a fracture or other damage due to trauma, overuse. What Is Joint Effusion In The Elbow.