X Ray To Measure Leg Length . Leg length discrepancy is a common condition that may be caused by a congenital defect, disruption of the physis, or a paralytic disorder and presents with limb length. This exam is used to calculate the length of the. Your doctor may order a scanogram. It’s also the best way to. A tape measure is typically used to measure the length of each lower extremity by measuring the distance between the anterior superior iliac. One each centered over the hip, knees and ankle joints. Lower limbs scanogram is done with three radiographic exposures: A comprehensive report for a ‘leg length’ radiograph should compare measurements of the lengths of the left and right tibia and femur, and.
from www.researchgate.net
Lower limbs scanogram is done with three radiographic exposures: This exam is used to calculate the length of the. It’s also the best way to. Your doctor may order a scanogram. Leg length discrepancy is a common condition that may be caused by a congenital defect, disruption of the physis, or a paralytic disorder and presents with limb length. A tape measure is typically used to measure the length of each lower extremity by measuring the distance between the anterior superior iliac. One each centered over the hip, knees and ankle joints. A comprehensive report for a ‘leg length’ radiograph should compare measurements of the lengths of the left and right tibia and femur, and.
Bilateral weight bearing anteroposterior whole lower limb xray in full
X Ray To Measure Leg Length It’s also the best way to. Leg length discrepancy is a common condition that may be caused by a congenital defect, disruption of the physis, or a paralytic disorder and presents with limb length. A comprehensive report for a ‘leg length’ radiograph should compare measurements of the lengths of the left and right tibia and femur, and. This exam is used to calculate the length of the. One each centered over the hip, knees and ankle joints. It’s also the best way to. Lower limbs scanogram is done with three radiographic exposures: A tape measure is typically used to measure the length of each lower extremity by measuring the distance between the anterior superior iliac. Your doctor may order a scanogram.
From mavink.com
Ct Scanogram Of Legs X Ray To Measure Leg Length This exam is used to calculate the length of the. One each centered over the hip, knees and ankle joints. It’s also the best way to. Lower limbs scanogram is done with three radiographic exposures: Leg length discrepancy is a common condition that may be caused by a congenital defect, disruption of the physis, or a paralytic disorder and presents. X Ray To Measure Leg Length.
From www.semanticscholar.org
Assessment of lower limb alignment supine fluoroscopy compared with a X Ray To Measure Leg Length A comprehensive report for a ‘leg length’ radiograph should compare measurements of the lengths of the left and right tibia and femur, and. A tape measure is typically used to measure the length of each lower extremity by measuring the distance between the anterior superior iliac. This exam is used to calculate the length of the. It’s also the best. X Ray To Measure Leg Length.
From www.researchgate.net
Bilateral weight bearing anteroposterior whole lower limb xray in full X Ray To Measure Leg Length This exam is used to calculate the length of the. Leg length discrepancy is a common condition that may be caused by a congenital defect, disruption of the physis, or a paralytic disorder and presents with limb length. A comprehensive report for a ‘leg length’ radiograph should compare measurements of the lengths of the left and right tibia and femur,. X Ray To Measure Leg Length.
From www.dreamstime.com
Xray For Length Measurement On Both Legs Stock Image Image 15828075 X Ray To Measure Leg Length It’s also the best way to. Your doctor may order a scanogram. A comprehensive report for a ‘leg length’ radiograph should compare measurements of the lengths of the left and right tibia and femur, and. Lower limbs scanogram is done with three radiographic exposures: One each centered over the hip, knees and ankle joints. Leg length discrepancy is a common. X Ray To Measure Leg Length.
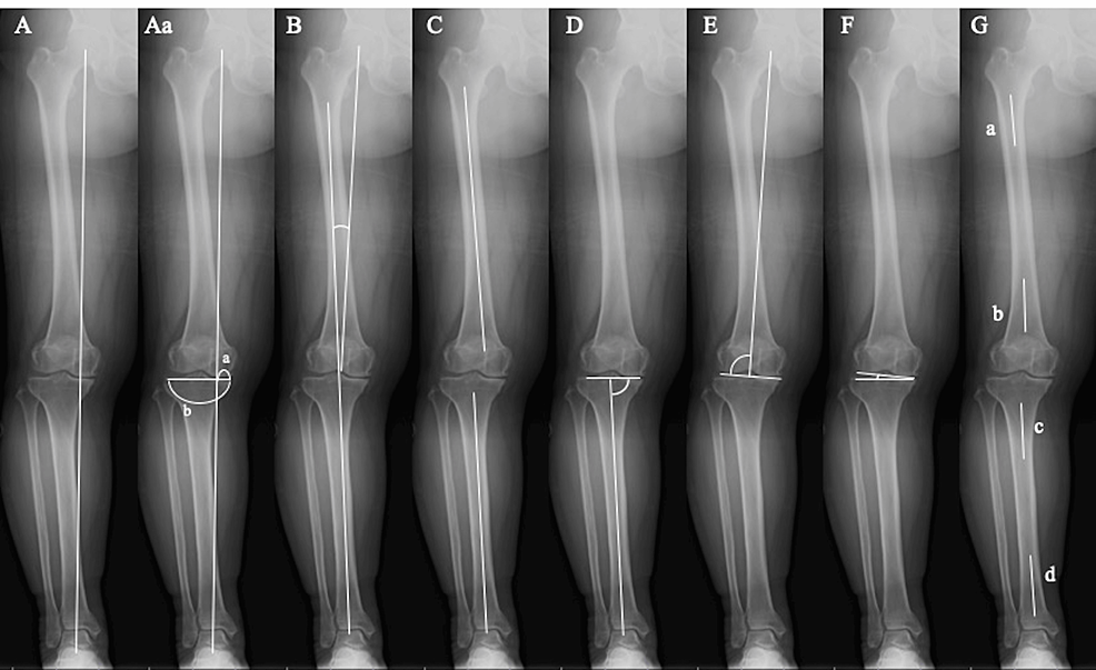
From www.cureus.com
A Morphological Study of Distal Femoral Varus Deformity Cureus X Ray To Measure Leg Length A comprehensive report for a ‘leg length’ radiograph should compare measurements of the lengths of the left and right tibia and femur, and. One each centered over the hip, knees and ankle joints. Lower limbs scanogram is done with three radiographic exposures: Leg length discrepancy is a common condition that may be caused by a congenital defect, disruption of the. X Ray To Measure Leg Length.
From radiologykey.com
Lower Limb Alignment Radiology Key X Ray To Measure Leg Length It’s also the best way to. A comprehensive report for a ‘leg length’ radiograph should compare measurements of the lengths of the left and right tibia and femur, and. Lower limbs scanogram is done with three radiographic exposures: One each centered over the hip, knees and ankle joints. Your doctor may order a scanogram. Leg length discrepancy is a common. X Ray To Measure Leg Length.
From radiologykey.com
Lower Limb Alignment Radiology Key X Ray To Measure Leg Length Leg length discrepancy is a common condition that may be caused by a congenital defect, disruption of the physis, or a paralytic disorder and presents with limb length. A tape measure is typically used to measure the length of each lower extremity by measuring the distance between the anterior superior iliac. It’s also the best way to. One each centered. X Ray To Measure Leg Length.
From www.researchgate.net
Preoperative longleg alignment and sample Xrays Download Scientific X Ray To Measure Leg Length It’s also the best way to. This exam is used to calculate the length of the. One each centered over the hip, knees and ankle joints. A comprehensive report for a ‘leg length’ radiograph should compare measurements of the lengths of the left and right tibia and femur, and. Lower limbs scanogram is done with three radiographic exposures: Your doctor. X Ray To Measure Leg Length.
From pubs.rsna.org
Deep Learning Measurement of Leg Length Discrepancy in Children Based X Ray To Measure Leg Length A comprehensive report for a ‘leg length’ radiograph should compare measurements of the lengths of the left and right tibia and femur, and. This exam is used to calculate the length of the. Your doctor may order a scanogram. A tape measure is typically used to measure the length of each lower extremity by measuring the distance between the anterior. X Ray To Measure Leg Length.
From www.researchgate.net
Measurements were performed on longstanding Xrays. a Limb length X Ray To Measure Leg Length A comprehensive report for a ‘leg length’ radiograph should compare measurements of the lengths of the left and right tibia and femur, and. This exam is used to calculate the length of the. One each centered over the hip, knees and ankle joints. A tape measure is typically used to measure the length of each lower extremity by measuring the. X Ray To Measure Leg Length.
From www.mdpi.com
Diagnostics Free FullText The Comparison of Lower Extremity Length X Ray To Measure Leg Length A comprehensive report for a ‘leg length’ radiograph should compare measurements of the lengths of the left and right tibia and femur, and. This exam is used to calculate the length of the. One each centered over the hip, knees and ankle joints. A tape measure is typically used to measure the length of each lower extremity by measuring the. X Ray To Measure Leg Length.
From www.limblength.org
Knock Knees International Center for Limb Lengthening X Ray To Measure Leg Length This exam is used to calculate the length of the. Lower limbs scanogram is done with three radiographic exposures: Your doctor may order a scanogram. It’s also the best way to. Leg length discrepancy is a common condition that may be caused by a congenital defect, disruption of the physis, or a paralytic disorder and presents with limb length. One. X Ray To Measure Leg Length.
From eor.bioscientifica.com
Radiological assessment of lower limb alignment in EFORT Open Reviews X Ray To Measure Leg Length It’s also the best way to. A comprehensive report for a ‘leg length’ radiograph should compare measurements of the lengths of the left and right tibia and femur, and. Your doctor may order a scanogram. This exam is used to calculate the length of the. A tape measure is typically used to measure the length of each lower extremity by. X Ray To Measure Leg Length.
From www.cortho.org
Leg Length Discrepancy After Hip Replacement Complete Orthopedics X Ray To Measure Leg Length It’s also the best way to. Lower limbs scanogram is done with three radiographic exposures: Leg length discrepancy is a common condition that may be caused by a congenital defect, disruption of the physis, or a paralytic disorder and presents with limb length. One each centered over the hip, knees and ankle joints. A comprehensive report for a ‘leg length’. X Ray To Measure Leg Length.
From nail.ftempo.com
Intramedullary Nail Femur Weight Bearing Nail Ftempo X Ray To Measure Leg Length It’s also the best way to. One each centered over the hip, knees and ankle joints. Your doctor may order a scanogram. Leg length discrepancy is a common condition that may be caused by a congenital defect, disruption of the physis, or a paralytic disorder and presents with limb length. This exam is used to calculate the length of the.. X Ray To Measure Leg Length.
From www.shutterstock.com
Scanogram Lower Limb Xray Image Total ilustración de stock 1475950502 X Ray To Measure Leg Length One each centered over the hip, knees and ankle joints. This exam is used to calculate the length of the. Leg length discrepancy is a common condition that may be caused by a congenital defect, disruption of the physis, or a paralytic disorder and presents with limb length. It’s also the best way to. Lower limbs scanogram is done with. X Ray To Measure Leg Length.
From boneandjoint.org.uk
Leg length discrepancy assessment in total hip arthroplasty is a X Ray To Measure Leg Length It’s also the best way to. Leg length discrepancy is a common condition that may be caused by a congenital defect, disruption of the physis, or a paralytic disorder and presents with limb length. A tape measure is typically used to measure the length of each lower extremity by measuring the distance between the anterior superior iliac. One each centered. X Ray To Measure Leg Length.
From mavink.com
Ct Scanogram Of Legs X Ray To Measure Leg Length Lower limbs scanogram is done with three radiographic exposures: One each centered over the hip, knees and ankle joints. Your doctor may order a scanogram. It’s also the best way to. A comprehensive report for a ‘leg length’ radiograph should compare measurements of the lengths of the left and right tibia and femur, and. Leg length discrepancy is a common. X Ray To Measure Leg Length.
From ubicaciondepersonas.cdmx.gob.mx
Leg Length Discrepancy Condition With Imbalanced Skeleton Outline X Ray To Measure Leg Length This exam is used to calculate the length of the. A tape measure is typically used to measure the length of each lower extremity by measuring the distance between the anterior superior iliac. A comprehensive report for a ‘leg length’ radiograph should compare measurements of the lengths of the left and right tibia and femur, and. One each centered over. X Ray To Measure Leg Length.
From www.youtube.com
Limb Length Discrepancy YouTube X Ray To Measure Leg Length It’s also the best way to. A comprehensive report for a ‘leg length’ radiograph should compare measurements of the lengths of the left and right tibia and femur, and. Leg length discrepancy is a common condition that may be caused by a congenital defect, disruption of the physis, or a paralytic disorder and presents with limb length. A tape measure. X Ray To Measure Leg Length.
From www.physio-pedia.com
FileLeg length discrepancy after hip replacement.jpg Physiopedia X Ray To Measure Leg Length One each centered over the hip, knees and ankle joints. This exam is used to calculate the length of the. A comprehensive report for a ‘leg length’ radiograph should compare measurements of the lengths of the left and right tibia and femur, and. Your doctor may order a scanogram. Leg length discrepancy is a common condition that may be caused. X Ray To Measure Leg Length.
From www.scielo.br
SciELO Brasil The role of stereoradiography in the evaluation of X Ray To Measure Leg Length A comprehensive report for a ‘leg length’ radiograph should compare measurements of the lengths of the left and right tibia and femur, and. It’s also the best way to. Lower limbs scanogram is done with three radiographic exposures: One each centered over the hip, knees and ankle joints. Your doctor may order a scanogram. A tape measure is typically used. X Ray To Measure Leg Length.
From www.myxxgirl.com
Long Leg Alignment Films Demonstrating Bilateral Genu Valgum The My X Ray To Measure Leg Length It’s also the best way to. This exam is used to calculate the length of the. Your doctor may order a scanogram. A comprehensive report for a ‘leg length’ radiograph should compare measurements of the lengths of the left and right tibia and femur, and. A tape measure is typically used to measure the length of each lower extremity by. X Ray To Measure Leg Length.
From www.semanticscholar.org
Digital slitbeam radiograph Semantic Scholar X Ray To Measure Leg Length This exam is used to calculate the length of the. Lower limbs scanogram is done with three radiographic exposures: Your doctor may order a scanogram. Leg length discrepancy is a common condition that may be caused by a congenital defect, disruption of the physis, or a paralytic disorder and presents with limb length. A tape measure is typically used to. X Ray To Measure Leg Length.
From www.researchgate.net
Definition of lower limb alignment parameters. mLDFA mechanical X Ray To Measure Leg Length Your doctor may order a scanogram. A tape measure is typically used to measure the length of each lower extremity by measuring the distance between the anterior superior iliac. It’s also the best way to. Lower limbs scanogram is done with three radiographic exposures: Leg length discrepancy is a common condition that may be caused by a congenital defect, disruption. X Ray To Measure Leg Length.
From www.researchgate.net
Longstanding Xray of a patient with limb length discrepancy X Ray To Measure Leg Length Leg length discrepancy is a common condition that may be caused by a congenital defect, disruption of the physis, or a paralytic disorder and presents with limb length. It’s also the best way to. A comprehensive report for a ‘leg length’ radiograph should compare measurements of the lengths of the left and right tibia and femur, and. This exam is. X Ray To Measure Leg Length.
From www.youtube.com
Leg length discrepancy what you should know YouTube X Ray To Measure Leg Length This exam is used to calculate the length of the. A tape measure is typically used to measure the length of each lower extremity by measuring the distance between the anterior superior iliac. One each centered over the hip, knees and ankle joints. Leg length discrepancy is a common condition that may be caused by a congenital defect, disruption of. X Ray To Measure Leg Length.
From mavink.com
Measure Leg Length Discrepancy X Ray To Measure Leg Length This exam is used to calculate the length of the. A tape measure is typically used to measure the length of each lower extremity by measuring the distance between the anterior superior iliac. Leg length discrepancy is a common condition that may be caused by a congenital defect, disruption of the physis, or a paralytic disorder and presents with limb. X Ray To Measure Leg Length.
From www.hss.edu
Osseointegration Limb Replacement More Control for Amputees X Ray To Measure Leg Length It’s also the best way to. One each centered over the hip, knees and ankle joints. Leg length discrepancy is a common condition that may be caused by a congenital defect, disruption of the physis, or a paralytic disorder and presents with limb length. Lower limbs scanogram is done with three radiographic exposures: Your doctor may order a scanogram. A. X Ray To Measure Leg Length.
From www.mdpi.com
Applied Sciences Free FullText Measurement of Lower Extremity X Ray To Measure Leg Length Lower limbs scanogram is done with three radiographic exposures: A tape measure is typically used to measure the length of each lower extremity by measuring the distance between the anterior superior iliac. This exam is used to calculate the length of the. Leg length discrepancy is a common condition that may be caused by a congenital defect, disruption of the. X Ray To Measure Leg Length.
From www.orthobullets.com
THA Leg Length Discrepancy Recon Orthobullets X Ray To Measure Leg Length Lower limbs scanogram is done with three radiographic exposures: This exam is used to calculate the length of the. One each centered over the hip, knees and ankle joints. Your doctor may order a scanogram. A comprehensive report for a ‘leg length’ radiograph should compare measurements of the lengths of the left and right tibia and femur, and. A tape. X Ray To Measure Leg Length.
From www.wjgnet.com
Limb length discrepancy after total knee arthroplasty A systematic X Ray To Measure Leg Length Leg length discrepancy is a common condition that may be caused by a congenital defect, disruption of the physis, or a paralytic disorder and presents with limb length. This exam is used to calculate the length of the. A tape measure is typically used to measure the length of each lower extremity by measuring the distance between the anterior superior. X Ray To Measure Leg Length.
From www.researchgate.net
Lower extremity alignment measurement methods for ( A ) limb length X Ray To Measure Leg Length Leg length discrepancy is a common condition that may be caused by a congenital defect, disruption of the physis, or a paralytic disorder and presents with limb length. Lower limbs scanogram is done with three radiographic exposures: One each centered over the hip, knees and ankle joints. A comprehensive report for a ‘leg length’ radiograph should compare measurements of the. X Ray To Measure Leg Length.
From www.vrogue.co
Interpreting Limb X Rays A Brief Guide Rradiology vrogue.co X Ray To Measure Leg Length Lower limbs scanogram is done with three radiographic exposures: Leg length discrepancy is a common condition that may be caused by a congenital defect, disruption of the physis, or a paralytic disorder and presents with limb length. Your doctor may order a scanogram. It’s also the best way to. This exam is used to calculate the length of the. A. X Ray To Measure Leg Length.
From www.dreamstime.com
Xray For Length Measurement On Both Legs Royalty Free Stock Photo X Ray To Measure Leg Length Your doctor may order a scanogram. One each centered over the hip, knees and ankle joints. It’s also the best way to. A tape measure is typically used to measure the length of each lower extremity by measuring the distance between the anterior superior iliac. This exam is used to calculate the length of the. Leg length discrepancy is a. X Ray To Measure Leg Length.