Pott's Disease Recurrence . Pott’s disease (spinal tuberculosis) is a bacterial infection that affects the bones in your spine. We found that pott's disease recurrence increased significantly when associated with the following factors: The etiology and pathogenesis of pott’s disease involve the. It was described as early as 1000 to 600 bce as yakshama in ancient indian medical literature as. Tuberculosis (tb), as a disease has been known since ancient times. Malnutrition, nonstandard chemotherapy, nonradical debridement,. Tb disseminates to the vertebral column, it is called pott’s disease or spinal tb.
from casereports.bmj.com
We found that pott's disease recurrence increased significantly when associated with the following factors: Malnutrition, nonstandard chemotherapy, nonradical debridement,. The etiology and pathogenesis of pott’s disease involve the. It was described as early as 1000 to 600 bce as yakshama in ancient indian medical literature as. Tb disseminates to the vertebral column, it is called pott’s disease or spinal tb. Pott’s disease (spinal tuberculosis) is a bacterial infection that affects the bones in your spine. Tuberculosis (tb), as a disease has been known since ancient times.
Pott's puffy tumour a diagnosis Ball and Carrie 2015
Pott's Disease Recurrence Tuberculosis (tb), as a disease has been known since ancient times. Tuberculosis (tb), as a disease has been known since ancient times. Malnutrition, nonstandard chemotherapy, nonradical debridement,. The etiology and pathogenesis of pott’s disease involve the. We found that pott's disease recurrence increased significantly when associated with the following factors: Pott’s disease (spinal tuberculosis) is a bacterial infection that affects the bones in your spine. Tb disseminates to the vertebral column, it is called pott’s disease or spinal tb. It was described as early as 1000 to 600 bce as yakshama in ancient indian medical literature as.
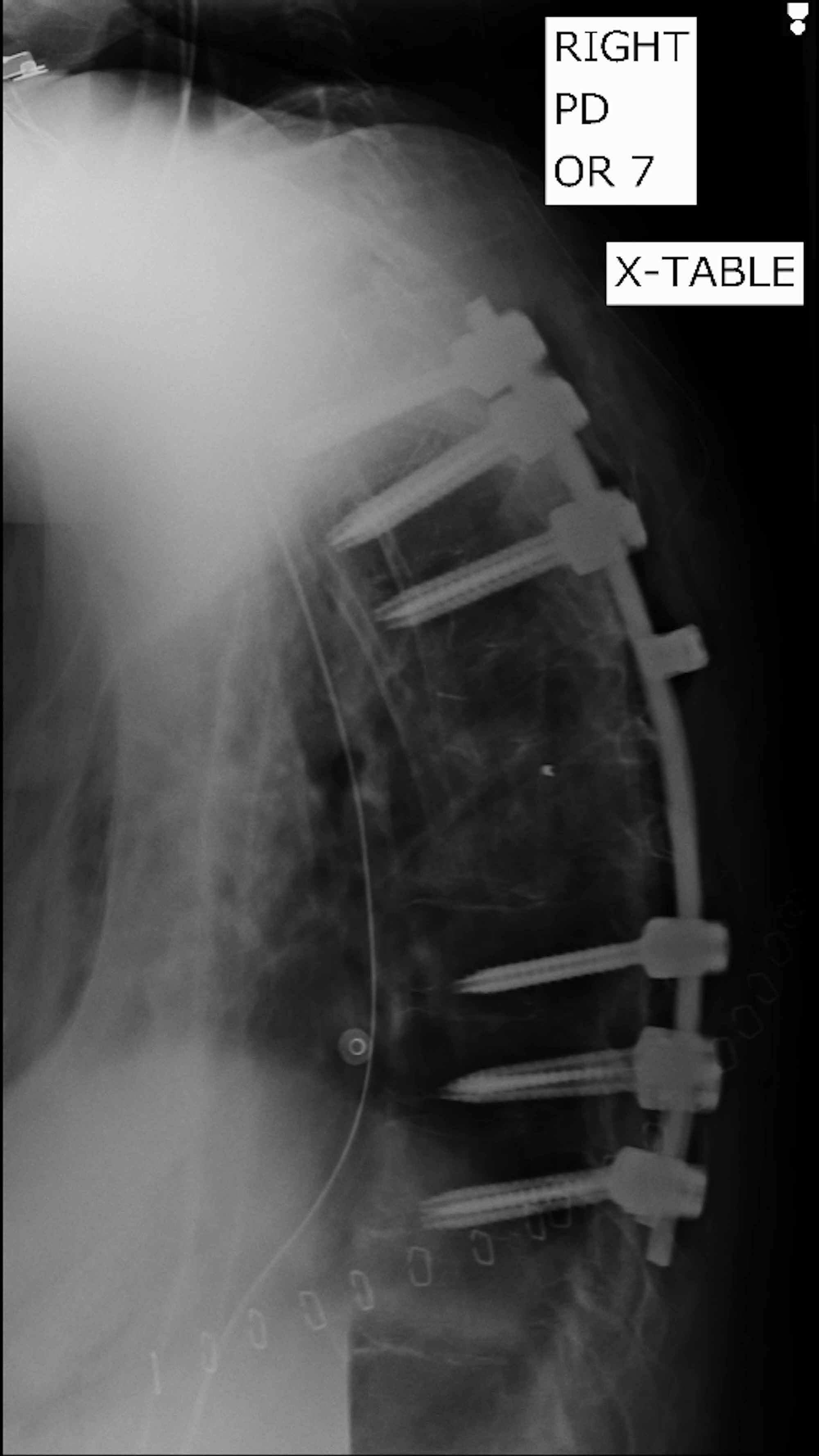
From www.emhum.com
Image of the Week Pott’s disease EMHUM Pott's Disease Recurrence Pott’s disease (spinal tuberculosis) is a bacterial infection that affects the bones in your spine. It was described as early as 1000 to 600 bce as yakshama in ancient indian medical literature as. We found that pott's disease recurrence increased significantly when associated with the following factors: Tb disseminates to the vertebral column, it is called pott’s disease or spinal. Pott's Disease Recurrence.
From www.mdpi.com
Pathogens Free FullText Pott Disease A Tale of Two Cases Pott's Disease Recurrence Malnutrition, nonstandard chemotherapy, nonradical debridement,. We found that pott's disease recurrence increased significantly when associated with the following factors: Tb disseminates to the vertebral column, it is called pott’s disease or spinal tb. The etiology and pathogenesis of pott’s disease involve the. Tuberculosis (tb), as a disease has been known since ancient times. It was described as early as 1000. Pott's Disease Recurrence.
From www.researchgate.net
Pott's puffy tumour. The child at the diagnosis. Download Scientific Pott's Disease Recurrence We found that pott's disease recurrence increased significantly when associated with the following factors: The etiology and pathogenesis of pott’s disease involve the. Malnutrition, nonstandard chemotherapy, nonradical debridement,. Pott’s disease (spinal tuberculosis) is a bacterial infection that affects the bones in your spine. Tuberculosis (tb), as a disease has been known since ancient times. It was described as early as. Pott's Disease Recurrence.
From journals.lww.com
Recurrent Pott Puffy Tumor in a Child With Frontonasal Dermo... The Pott's Disease Recurrence The etiology and pathogenesis of pott’s disease involve the. Tuberculosis (tb), as a disease has been known since ancient times. Tb disseminates to the vertebral column, it is called pott’s disease or spinal tb. Pott’s disease (spinal tuberculosis) is a bacterial infection that affects the bones in your spine. We found that pott's disease recurrence increased significantly when associated with. Pott's Disease Recurrence.
From journal.medizzy.com
Pott Disease in Pregnancy A Rare Case MEDizzy Journal Pott's Disease Recurrence Malnutrition, nonstandard chemotherapy, nonradical debridement,. The etiology and pathogenesis of pott’s disease involve the. It was described as early as 1000 to 600 bce as yakshama in ancient indian medical literature as. Tuberculosis (tb), as a disease has been known since ancient times. Pott’s disease (spinal tuberculosis) is a bacterial infection that affects the bones in your spine. We found. Pott's Disease Recurrence.
From www.researchgate.net
(PDF) Pott's Disease Medical and surgical treatment Pott's Disease Recurrence Pott’s disease (spinal tuberculosis) is a bacterial infection that affects the bones in your spine. Tb disseminates to the vertebral column, it is called pott’s disease or spinal tb. Malnutrition, nonstandard chemotherapy, nonradical debridement,. It was described as early as 1000 to 600 bce as yakshama in ancient indian medical literature as. Tuberculosis (tb), as a disease has been known. Pott's Disease Recurrence.
From www.scribd.com
Pott Disease 1223292121651385 8 PDF Vertebral Column Spinal Cord Pott's Disease Recurrence We found that pott's disease recurrence increased significantly when associated with the following factors: Pott’s disease (spinal tuberculosis) is a bacterial infection that affects the bones in your spine. The etiology and pathogenesis of pott’s disease involve the. It was described as early as 1000 to 600 bce as yakshama in ancient indian medical literature as. Tuberculosis (tb), as a. Pott's Disease Recurrence.
From radiopaedia.org
Pott's disease Image Pott's Disease Recurrence Pott’s disease (spinal tuberculosis) is a bacterial infection that affects the bones in your spine. Tuberculosis (tb), as a disease has been known since ancient times. Malnutrition, nonstandard chemotherapy, nonradical debridement,. It was described as early as 1000 to 600 bce as yakshama in ancient indian medical literature as. The etiology and pathogenesis of pott’s disease involve the. Tb disseminates. Pott's Disease Recurrence.
From radiopaedia.org
Image Pott's Disease Recurrence The etiology and pathogenesis of pott’s disease involve the. We found that pott's disease recurrence increased significantly when associated with the following factors: Pott’s disease (spinal tuberculosis) is a bacterial infection that affects the bones in your spine. Malnutrition, nonstandard chemotherapy, nonradical debridement,. Tb disseminates to the vertebral column, it is called pott’s disease or spinal tb. Tuberculosis (tb), as. Pott's Disease Recurrence.
From www.slideshare.net
Pott Disease Pott's Disease Recurrence Tb disseminates to the vertebral column, it is called pott’s disease or spinal tb. It was described as early as 1000 to 600 bce as yakshama in ancient indian medical literature as. Pott’s disease (spinal tuberculosis) is a bacterial infection that affects the bones in your spine. Tuberculosis (tb), as a disease has been known since ancient times. Malnutrition, nonstandard. Pott's Disease Recurrence.
From www.studypool.com
SOLUTION Potts disease ppt Studypool Pott's Disease Recurrence The etiology and pathogenesis of pott’s disease involve the. Pott’s disease (spinal tuberculosis) is a bacterial infection that affects the bones in your spine. We found that pott's disease recurrence increased significantly when associated with the following factors: Tuberculosis (tb), as a disease has been known since ancient times. Tb disseminates to the vertebral column, it is called pott’s disease. Pott's Disease Recurrence.
From voices.shortpedia.com
Pott's Disease Causes, Signs, Diagnosis and Treatment Pott's Disease Recurrence Tb disseminates to the vertebral column, it is called pott’s disease or spinal tb. It was described as early as 1000 to 600 bce as yakshama in ancient indian medical literature as. Tuberculosis (tb), as a disease has been known since ancient times. Malnutrition, nonstandard chemotherapy, nonradical debridement,. Pott’s disease (spinal tuberculosis) is a bacterial infection that affects the bones. Pott's Disease Recurrence.
From www.standinguptopots.org
POTS Subtypes Standing Up To POTS Pott's Disease Recurrence It was described as early as 1000 to 600 bce as yakshama in ancient indian medical literature as. Pott’s disease (spinal tuberculosis) is a bacterial infection that affects the bones in your spine. Malnutrition, nonstandard chemotherapy, nonradical debridement,. The etiology and pathogenesis of pott’s disease involve the. We found that pott's disease recurrence increased significantly when associated with the following. Pott's Disease Recurrence.
From www.coursehero.com
[Solved] Make pathophysiology of pott's disease and make sure the risk Pott's Disease Recurrence The etiology and pathogenesis of pott’s disease involve the. Pott’s disease (spinal tuberculosis) is a bacterial infection that affects the bones in your spine. It was described as early as 1000 to 600 bce as yakshama in ancient indian medical literature as. Tuberculosis (tb), as a disease has been known since ancient times. Malnutrition, nonstandard chemotherapy, nonradical debridement,. We found. Pott's Disease Recurrence.
From www.researchgate.net
Flow chart depicting the pathogenesis of Pott's disease. From primary Pott's Disease Recurrence It was described as early as 1000 to 600 bce as yakshama in ancient indian medical literature as. Tb disseminates to the vertebral column, it is called pott’s disease or spinal tb. The etiology and pathogenesis of pott’s disease involve the. We found that pott's disease recurrence increased significantly when associated with the following factors: Tuberculosis (tb), as a disease. Pott's Disease Recurrence.
From www.cureus.com
Cureus A Rare Form of Pott’s Disease With Multifaceted Pathological Pott's Disease Recurrence We found that pott's disease recurrence increased significantly when associated with the following factors: Malnutrition, nonstandard chemotherapy, nonradical debridement,. The etiology and pathogenesis of pott’s disease involve the. Tuberculosis (tb), as a disease has been known since ancient times. Tb disseminates to the vertebral column, it is called pott’s disease or spinal tb. It was described as early as 1000. Pott's Disease Recurrence.
From www.wikidoc.org
Pott's disease CT wikidoc Pott's Disease Recurrence Pott’s disease (spinal tuberculosis) is a bacterial infection that affects the bones in your spine. It was described as early as 1000 to 600 bce as yakshama in ancient indian medical literature as. We found that pott's disease recurrence increased significantly when associated with the following factors: The etiology and pathogenesis of pott’s disease involve the. Malnutrition, nonstandard chemotherapy, nonradical. Pott's Disease Recurrence.
From www.slideshare.net
Pott's disease ppt Pott's Disease Recurrence It was described as early as 1000 to 600 bce as yakshama in ancient indian medical literature as. Tuberculosis (tb), as a disease has been known since ancient times. We found that pott's disease recurrence increased significantly when associated with the following factors: The etiology and pathogenesis of pott’s disease involve the. Tb disseminates to the vertebral column, it is. Pott's Disease Recurrence.
From www.semanticscholar.org
Figure 2 from A Case of Posttraumatic Pott’s Disease Semantic Scholar Pott's Disease Recurrence Tuberculosis (tb), as a disease has been known since ancient times. We found that pott's disease recurrence increased significantly when associated with the following factors: It was described as early as 1000 to 600 bce as yakshama in ancient indian medical literature as. Malnutrition, nonstandard chemotherapy, nonradical debridement,. The etiology and pathogenesis of pott’s disease involve the. Tb disseminates to. Pott's Disease Recurrence.
From www.wikidoc.org
Pott's disease MRI wikidoc Pott's Disease Recurrence It was described as early as 1000 to 600 bce as yakshama in ancient indian medical literature as. Tb disseminates to the vertebral column, it is called pott’s disease or spinal tb. The etiology and pathogenesis of pott’s disease involve the. We found that pott's disease recurrence increased significantly when associated with the following factors: Malnutrition, nonstandard chemotherapy, nonradical debridement,.. Pott's Disease Recurrence.
From www.semanticscholar.org
Figure 1 from Recurrent Pott's puffy tumor atypical presentation of a Pott's Disease Recurrence It was described as early as 1000 to 600 bce as yakshama in ancient indian medical literature as. Malnutrition, nonstandard chemotherapy, nonradical debridement,. Pott’s disease (spinal tuberculosis) is a bacterial infection that affects the bones in your spine. We found that pott's disease recurrence increased significantly when associated with the following factors: The etiology and pathogenesis of pott’s disease involve. Pott's Disease Recurrence.
From www.studypool.com
SOLUTION Potts disease ppt Studypool Pott's Disease Recurrence Tuberculosis (tb), as a disease has been known since ancient times. Malnutrition, nonstandard chemotherapy, nonradical debridement,. It was described as early as 1000 to 600 bce as yakshama in ancient indian medical literature as. The etiology and pathogenesis of pott’s disease involve the. We found that pott's disease recurrence increased significantly when associated with the following factors: Pott’s disease (spinal. Pott's Disease Recurrence.
From encyclopedia.pub
Pathogenesis and Clinical Presentation of Pott’s Disease Encyclopedia Pott's Disease Recurrence Tb disseminates to the vertebral column, it is called pott’s disease or spinal tb. It was described as early as 1000 to 600 bce as yakshama in ancient indian medical literature as. Malnutrition, nonstandard chemotherapy, nonradical debridement,. We found that pott's disease recurrence increased significantly when associated with the following factors: Pott’s disease (spinal tuberculosis) is a bacterial infection that. Pott's Disease Recurrence.
From www.cureus.com
Cureus Is It Back Pain or Pott’s Disease? Pott's Disease Recurrence It was described as early as 1000 to 600 bce as yakshama in ancient indian medical literature as. Tb disseminates to the vertebral column, it is called pott’s disease or spinal tb. Malnutrition, nonstandard chemotherapy, nonradical debridement,. The etiology and pathogenesis of pott’s disease involve the. Pott’s disease (spinal tuberculosis) is a bacterial infection that affects the bones in your. Pott's Disease Recurrence.
From jordaneluka.blogspot.com
POTS syndrome JordaneLuka Pott's Disease Recurrence Malnutrition, nonstandard chemotherapy, nonradical debridement,. We found that pott's disease recurrence increased significantly when associated with the following factors: The etiology and pathogenesis of pott’s disease involve the. Tuberculosis (tb), as a disease has been known since ancient times. Pott’s disease (spinal tuberculosis) is a bacterial infection that affects the bones in your spine. Tb disseminates to the vertebral column,. Pott's Disease Recurrence.
From radiopaedia.org
Image Pott's Disease Recurrence Tb disseminates to the vertebral column, it is called pott’s disease or spinal tb. Malnutrition, nonstandard chemotherapy, nonradical debridement,. We found that pott's disease recurrence increased significantly when associated with the following factors: The etiology and pathogenesis of pott’s disease involve the. Tuberculosis (tb), as a disease has been known since ancient times. Pott’s disease (spinal tuberculosis) is a bacterial. Pott's Disease Recurrence.
From www.cureus.com
Cureus Choices and Challenges With Drug Therapy in Postural Pott's Disease Recurrence Tuberculosis (tb), as a disease has been known since ancient times. The etiology and pathogenesis of pott’s disease involve the. Pott’s disease (spinal tuberculosis) is a bacterial infection that affects the bones in your spine. Malnutrition, nonstandard chemotherapy, nonradical debridement,. Tb disseminates to the vertebral column, it is called pott’s disease or spinal tb. It was described as early as. Pott's Disease Recurrence.
From casereports.bmj.com
Pott's puffy tumour a diagnosis Ball and Carrie 2015 Pott's Disease Recurrence Malnutrition, nonstandard chemotherapy, nonradical debridement,. Tuberculosis (tb), as a disease has been known since ancient times. Tb disseminates to the vertebral column, it is called pott’s disease or spinal tb. We found that pott's disease recurrence increased significantly when associated with the following factors: It was described as early as 1000 to 600 bce as yakshama in ancient indian medical. Pott's Disease Recurrence.
From www.researchgate.net
(PDF) Pott’s Disease Pott's Disease Recurrence Tuberculosis (tb), as a disease has been known since ancient times. The etiology and pathogenesis of pott’s disease involve the. It was described as early as 1000 to 600 bce as yakshama in ancient indian medical literature as. Malnutrition, nonstandard chemotherapy, nonradical debridement,. Pott’s disease (spinal tuberculosis) is a bacterial infection that affects the bones in your spine. Tb disseminates. Pott's Disease Recurrence.
From www.thelancet.com
Paraplegia and spinal deformity in a Mozambican child with Pott's Pott's Disease Recurrence It was described as early as 1000 to 600 bce as yakshama in ancient indian medical literature as. Malnutrition, nonstandard chemotherapy, nonradical debridement,. Pott’s disease (spinal tuberculosis) is a bacterial infection that affects the bones in your spine. Tuberculosis (tb), as a disease has been known since ancient times. The etiology and pathogenesis of pott’s disease involve the. We found. Pott's Disease Recurrence.
From www.sciencephoto.com
Pott's disease, MRI Stock Image M240/0490 Science Photo Library Pott's Disease Recurrence We found that pott's disease recurrence increased significantly when associated with the following factors: The etiology and pathogenesis of pott’s disease involve the. It was described as early as 1000 to 600 bce as yakshama in ancient indian medical literature as. Tb disseminates to the vertebral column, it is called pott’s disease or spinal tb. Tuberculosis (tb), as a disease. Pott's Disease Recurrence.
From casereports.bmj.com
Recurrent Pott’s puffy tumour BMJ Case Reports Pott's Disease Recurrence The etiology and pathogenesis of pott’s disease involve the. Pott’s disease (spinal tuberculosis) is a bacterial infection that affects the bones in your spine. Tuberculosis (tb), as a disease has been known since ancient times. We found that pott's disease recurrence increased significantly when associated with the following factors: Malnutrition, nonstandard chemotherapy, nonradical debridement,. It was described as early as. Pott's Disease Recurrence.
From www.scribd.com
Pathophysiology of POTT's Disease PDF Pott's Disease Recurrence We found that pott's disease recurrence increased significantly when associated with the following factors: Tb disseminates to the vertebral column, it is called pott’s disease or spinal tb. Tuberculosis (tb), as a disease has been known since ancient times. The etiology and pathogenesis of pott’s disease involve the. Pott’s disease (spinal tuberculosis) is a bacterial infection that affects the bones. Pott's Disease Recurrence.
From radiopaedia.org
Pott disease Image Pott's Disease Recurrence Pott’s disease (spinal tuberculosis) is a bacterial infection that affects the bones in your spine. The etiology and pathogenesis of pott’s disease involve the. Tuberculosis (tb), as a disease has been known since ancient times. We found that pott's disease recurrence increased significantly when associated with the following factors: Malnutrition, nonstandard chemotherapy, nonradical debridement,. Tb disseminates to the vertebral column,. Pott's Disease Recurrence.
From juarabizcom1.blogspot.com
Pott's Diseases syndrome Medical Self Help Pott's Disease Recurrence Tb disseminates to the vertebral column, it is called pott’s disease or spinal tb. Malnutrition, nonstandard chemotherapy, nonradical debridement,. Pott’s disease (spinal tuberculosis) is a bacterial infection that affects the bones in your spine. It was described as early as 1000 to 600 bce as yakshama in ancient indian medical literature as. The etiology and pathogenesis of pott’s disease involve. Pott's Disease Recurrence.