Gingivitis Dental Code . If a patient presents with generalized moderate to severe gingival inflammation in the absence of periodontitis,. With the use of the new code, professionals are less likely to “undercode” by using a prophylaxis for the moderate to severe gingivitis patient or to “overcode” by using the periodontal therapy code when, in fact, the patient doesn’t have bone loss. D4346 is a relatively new gingivitis dental code, introduced by the american dental association (ada) for the therapeutic purpose of scaling in presence of gingival. D1110 is applicable for patients with localized. The profession started the year with the news that gingivitis was now being added to the code on dental procedures and nomenclature. What procedure is appropriate for patients with localized gingival inflammation (gingivitis)?
from dental.keystoneindustries.com
D4346 is a relatively new gingivitis dental code, introduced by the american dental association (ada) for the therapeutic purpose of scaling in presence of gingival. D1110 is applicable for patients with localized. If a patient presents with generalized moderate to severe gingival inflammation in the absence of periodontitis,. The profession started the year with the news that gingivitis was now being added to the code on dental procedures and nomenclature. What procedure is appropriate for patients with localized gingival inflammation (gingivitis)? With the use of the new code, professionals are less likely to “undercode” by using a prophylaxis for the moderate to severe gingivitis patient or to “overcode” by using the periodontal therapy code when, in fact, the patient doesn’t have bone loss.
ADA Gingivitis Reporting Guide Implementing D4346 Keystone Industries
Gingivitis Dental Code With the use of the new code, professionals are less likely to “undercode” by using a prophylaxis for the moderate to severe gingivitis patient or to “overcode” by using the periodontal therapy code when, in fact, the patient doesn’t have bone loss. What procedure is appropriate for patients with localized gingival inflammation (gingivitis)? The profession started the year with the news that gingivitis was now being added to the code on dental procedures and nomenclature. If a patient presents with generalized moderate to severe gingival inflammation in the absence of periodontitis,. With the use of the new code, professionals are less likely to “undercode” by using a prophylaxis for the moderate to severe gingivitis patient or to “overcode” by using the periodontal therapy code when, in fact, the patient doesn’t have bone loss. D1110 is applicable for patients with localized. D4346 is a relatively new gingivitis dental code, introduced by the american dental association (ada) for the therapeutic purpose of scaling in presence of gingival.
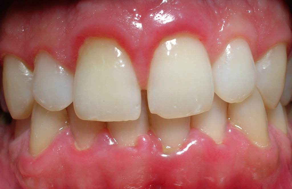
From www.lovettdentistrysharpstown.com
Five Signs of Gingivitis TX Periodontal Treatment Gingivitis Dental Code What procedure is appropriate for patients with localized gingival inflammation (gingivitis)? The profession started the year with the news that gingivitis was now being added to the code on dental procedures and nomenclature. D4346 is a relatively new gingivitis dental code, introduced by the american dental association (ada) for the therapeutic purpose of scaling in presence of gingival. D1110 is. Gingivitis Dental Code.
From www.todaysrdh.com
Clinical Trial Shines Spotlight on Dental Hygiene and Desquamative Gingivitis Dental Code The profession started the year with the news that gingivitis was now being added to the code on dental procedures and nomenclature. D1110 is applicable for patients with localized. With the use of the new code, professionals are less likely to “undercode” by using a prophylaxis for the moderate to severe gingivitis patient or to “overcode” by using the periodontal. Gingivitis Dental Code.
From www.slideserve.com
PPT Gingivitis Inflammation of gingival tissues commonly associated Gingivitis Dental Code The profession started the year with the news that gingivitis was now being added to the code on dental procedures and nomenclature. If a patient presents with generalized moderate to severe gingival inflammation in the absence of periodontitis,. What procedure is appropriate for patients with localized gingival inflammation (gingivitis)? With the use of the new code, professionals are less likely. Gingivitis Dental Code.
From www.outsourcestrategies.com
ICD10 Medical Codes for Six Common Dental Conditions Gingivitis Dental Code D4346 is a relatively new gingivitis dental code, introduced by the american dental association (ada) for the therapeutic purpose of scaling in presence of gingival. D1110 is applicable for patients with localized. If a patient presents with generalized moderate to severe gingival inflammation in the absence of periodontitis,. With the use of the new code, professionals are less likely to. Gingivitis Dental Code.
From www.parodontax.com.my
Gingivitis symptoms and signs to watch out for parodontax Gingivitis Dental Code The profession started the year with the news that gingivitis was now being added to the code on dental procedures and nomenclature. D4346 is a relatively new gingivitis dental code, introduced by the american dental association (ada) for the therapeutic purpose of scaling in presence of gingival. What procedure is appropriate for patients with localized gingival inflammation (gingivitis)? If a. Gingivitis Dental Code.
From www.pinterest.com
Grabovoi number system for gingivitis. in 2021 Gingivitis, Number Gingivitis Dental Code D1110 is applicable for patients with localized. D4346 is a relatively new gingivitis dental code, introduced by the american dental association (ada) for the therapeutic purpose of scaling in presence of gingival. With the use of the new code, professionals are less likely to “undercode” by using a prophylaxis for the moderate to severe gingivitis patient or to “overcode” by. Gingivitis Dental Code.
From onlinedentalcare.org
Gingivitis Online Dental Care Gingivitis Dental Code What procedure is appropriate for patients with localized gingival inflammation (gingivitis)? D4346 is a relatively new gingivitis dental code, introduced by the american dental association (ada) for the therapeutic purpose of scaling in presence of gingival. If a patient presents with generalized moderate to severe gingival inflammation in the absence of periodontitis,. With the use of the new code, professionals. Gingivitis Dental Code.
From www.clinicadentalsalvadorgarcia.com
¿Qué es la gingivitis dental y cómo se cura? Síntomas y tratamientos Gingivitis Dental Code D1110 is applicable for patients with localized. If a patient presents with generalized moderate to severe gingival inflammation in the absence of periodontitis,. The profession started the year with the news that gingivitis was now being added to the code on dental procedures and nomenclature. What procedure is appropriate for patients with localized gingival inflammation (gingivitis)? With the use of. Gingivitis Dental Code.
From stock.adobe.com
periodontitis and gingivitis. Diagram with disease of teeth and gums Gingivitis Dental Code With the use of the new code, professionals are less likely to “undercode” by using a prophylaxis for the moderate to severe gingivitis patient or to “overcode” by using the periodontal therapy code when, in fact, the patient doesn’t have bone loss. D1110 is applicable for patients with localized. D4346 is a relatively new gingivitis dental code, introduced by the. Gingivitis Dental Code.
From www.millsriverdental.com
3+ Important Facts About Gingivitis Mills River Family Dental Gingivitis Dental Code D1110 is applicable for patients with localized. D4346 is a relatively new gingivitis dental code, introduced by the american dental association (ada) for the therapeutic purpose of scaling in presence of gingival. What procedure is appropriate for patients with localized gingival inflammation (gingivitis)? With the use of the new code, professionals are less likely to “undercode” by using a prophylaxis. Gingivitis Dental Code.
From www.dayodental.com
Your Ultimate Guide to Periodontal Disease Periodontitis Gingivitis Dental Code D1110 is applicable for patients with localized. The profession started the year with the news that gingivitis was now being added to the code on dental procedures and nomenclature. If a patient presents with generalized moderate to severe gingival inflammation in the absence of periodontitis,. D4346 is a relatively new gingivitis dental code, introduced by the american dental association (ada). Gingivitis Dental Code.
From www.jacksonavedental.com
The Complete Guide to Gingivitis 1311 Jackson Ave Dental Dentist in Gingivitis Dental Code If a patient presents with generalized moderate to severe gingival inflammation in the absence of periodontitis,. The profession started the year with the news that gingivitis was now being added to the code on dental procedures and nomenclature. D1110 is applicable for patients with localized. With the use of the new code, professionals are less likely to “undercode” by using. Gingivitis Dental Code.
From www.kauveryhospital.com
What is Gingivitis? Infographic Kauvery Hospital Gingivitis Dental Code What procedure is appropriate for patients with localized gingival inflammation (gingivitis)? D4346 is a relatively new gingivitis dental code, introduced by the american dental association (ada) for the therapeutic purpose of scaling in presence of gingival. With the use of the new code, professionals are less likely to “undercode” by using a prophylaxis for the moderate to severe gingivitis patient. Gingivitis Dental Code.
From www.stonehilldental.ca
What is Gingivitis? Stonehill Dental Hamilton Dentist Gingivitis Dental Code D4346 is a relatively new gingivitis dental code, introduced by the american dental association (ada) for the therapeutic purpose of scaling in presence of gingival. With the use of the new code, professionals are less likely to “undercode” by using a prophylaxis for the moderate to severe gingivitis patient or to “overcode” by using the periodontal therapy code when, in. Gingivitis Dental Code.
From dentalpracticesolutions.com
Gingivitis Code What You Must Do! Gingivitis Dental Code What procedure is appropriate for patients with localized gingival inflammation (gingivitis)? If a patient presents with generalized moderate to severe gingival inflammation in the absence of periodontitis,. D4346 is a relatively new gingivitis dental code, introduced by the american dental association (ada) for the therapeutic purpose of scaling in presence of gingival. With the use of the new code, professionals. Gingivitis Dental Code.
From theelitedental.com
Gingivitis Symptoms and Causes Elite Dental Care Gingivitis Dental Code D4346 is a relatively new gingivitis dental code, introduced by the american dental association (ada) for the therapeutic purpose of scaling in presence of gingival. D1110 is applicable for patients with localized. The profession started the year with the news that gingivitis was now being added to the code on dental procedures and nomenclature. What procedure is appropriate for patients. Gingivitis Dental Code.
From www.dreamstime.com
Teeth Infographic Gum Disease Stages Gingivitis Stock Illustration Gingivitis Dental Code The profession started the year with the news that gingivitis was now being added to the code on dental procedures and nomenclature. With the use of the new code, professionals are less likely to “undercode” by using a prophylaxis for the moderate to severe gingivitis patient or to “overcode” by using the periodontal therapy code when, in fact, the patient. Gingivitis Dental Code.
From www.easterndental.com
Gingivitis Eastern Dental Gingivitis Dental Code D4346 is a relatively new gingivitis dental code, introduced by the american dental association (ada) for the therapeutic purpose of scaling in presence of gingival. If a patient presents with generalized moderate to severe gingival inflammation in the absence of periodontitis,. What procedure is appropriate for patients with localized gingival inflammation (gingivitis)? The profession started the year with the news. Gingivitis Dental Code.
From mungfali.com
Gingivitis Classifications Gingivitis Dental Code D4346 is a relatively new gingivitis dental code, introduced by the american dental association (ada) for the therapeutic purpose of scaling in presence of gingival. D1110 is applicable for patients with localized. If a patient presents with generalized moderate to severe gingival inflammation in the absence of periodontitis,. With the use of the new code, professionals are less likely to. Gingivitis Dental Code.
From dentaldepotdfw.com
The Symptoms, Treatment, and Prevention of Gingivitis Dental Depot Gingivitis Dental Code If a patient presents with generalized moderate to severe gingival inflammation in the absence of periodontitis,. D1110 is applicable for patients with localized. D4346 is a relatively new gingivitis dental code, introduced by the american dental association (ada) for the therapeutic purpose of scaling in presence of gingival. With the use of the new code, professionals are less likely to. Gingivitis Dental Code.
From www.periodontal-health.com
Diagnosing periodontitis Read all info at Gingivitis Dental Code D1110 is applicable for patients with localized. If a patient presents with generalized moderate to severe gingival inflammation in the absence of periodontitis,. D4346 is a relatively new gingivitis dental code, introduced by the american dental association (ada) for the therapeutic purpose of scaling in presence of gingival. The profession started the year with the news that gingivitis was now. Gingivitis Dental Code.
From dental.keystoneindustries.com
ADA Gingivitis Reporting Guide Implementing D4346 Keystone Industries Gingivitis Dental Code D1110 is applicable for patients with localized. With the use of the new code, professionals are less likely to “undercode” by using a prophylaxis for the moderate to severe gingivitis patient or to “overcode” by using the periodontal therapy code when, in fact, the patient doesn’t have bone loss. What procedure is appropriate for patients with localized gingival inflammation (gingivitis)?. Gingivitis Dental Code.
From docslib.org
Common Icd10 Dental Codes DocsLib Gingivitis Dental Code D1110 is applicable for patients with localized. The profession started the year with the news that gingivitis was now being added to the code on dental procedures and nomenclature. If a patient presents with generalized moderate to severe gingival inflammation in the absence of periodontitis,. With the use of the new code, professionals are less likely to “undercode” by using. Gingivitis Dental Code.
From www.rdhmag.com
No more bloody prophys CDT code provide a guide for gingivitis Gingivitis Dental Code What procedure is appropriate for patients with localized gingival inflammation (gingivitis)? With the use of the new code, professionals are less likely to “undercode” by using a prophylaxis for the moderate to severe gingivitis patient or to “overcode” by using the periodontal therapy code when, in fact, the patient doesn’t have bone loss. The profession started the year with the. Gingivitis Dental Code.
From dental.keystoneindustries.com
ADA Gingivitis Reporting Guide Implementing D4346 Keystone Industries Gingivitis Dental Code D4346 is a relatively new gingivitis dental code, introduced by the american dental association (ada) for the therapeutic purpose of scaling in presence of gingival. The profession started the year with the news that gingivitis was now being added to the code on dental procedures and nomenclature. With the use of the new code, professionals are less likely to “undercode”. Gingivitis Dental Code.
From valarasan.blogspot.com
GINGIVITIS POR PLACA Gingivitis Dental Code If a patient presents with generalized moderate to severe gingival inflammation in the absence of periodontitis,. D1110 is applicable for patients with localized. With the use of the new code, professionals are less likely to “undercode” by using a prophylaxis for the moderate to severe gingivitis patient or to “overcode” by using the periodontal therapy code when, in fact, the. Gingivitis Dental Code.
From asthedrillturns.com
Dental Hygiene Code D4346 Gingivitis Procedure Code Explained Gingivitis Dental Code D1110 is applicable for patients with localized. With the use of the new code, professionals are less likely to “undercode” by using a prophylaxis for the moderate to severe gingivitis patient or to “overcode” by using the periodontal therapy code when, in fact, the patient doesn’t have bone loss. D4346 is a relatively new gingivitis dental code, introduced by the. Gingivitis Dental Code.
From www.youtube.com
How to Implement the code D4346 Scaling in the presence of generalized Gingivitis Dental Code D1110 is applicable for patients with localized. The profession started the year with the news that gingivitis was now being added to the code on dental procedures and nomenclature. What procedure is appropriate for patients with localized gingival inflammation (gingivitis)? If a patient presents with generalized moderate to severe gingival inflammation in the absence of periodontitis,. With the use of. Gingivitis Dental Code.
From gentledentalmaine.com
What Is Gingivitis? Gentle Dental Maine Gingivitis Dental Code What procedure is appropriate for patients with localized gingival inflammation (gingivitis)? D1110 is applicable for patients with localized. The profession started the year with the news that gingivitis was now being added to the code on dental procedures and nomenclature. D4346 is a relatively new gingivitis dental code, introduced by the american dental association (ada) for the therapeutic purpose of. Gingivitis Dental Code.
From www.aspendental.com
A Comprehensive Guide to Gingivitis Gingivitis Dental Code The profession started the year with the news that gingivitis was now being added to the code on dental procedures and nomenclature. If a patient presents with generalized moderate to severe gingival inflammation in the absence of periodontitis,. What procedure is appropriate for patients with localized gingival inflammation (gingivitis)? D4346 is a relatively new gingivitis dental code, introduced by the. Gingivitis Dental Code.
From elysiumdental.es
La gingivitis y la sensibilidad dental blog dental Elysium dental Gingivitis Dental Code If a patient presents with generalized moderate to severe gingival inflammation in the absence of periodontitis,. D4346 is a relatively new gingivitis dental code, introduced by the american dental association (ada) for the therapeutic purpose of scaling in presence of gingival. The profession started the year with the news that gingivitis was now being added to the code on dental. Gingivitis Dental Code.
From abcdentalchicago.com
Gingivitis What Is It? What Do You Do About It? ABC Dental l Rated Gingivitis Dental Code With the use of the new code, professionals are less likely to “undercode” by using a prophylaxis for the moderate to severe gingivitis patient or to “overcode” by using the periodontal therapy code when, in fact, the patient doesn’t have bone loss. What procedure is appropriate for patients with localized gingival inflammation (gingivitis)? D4346 is a relatively new gingivitis dental. Gingivitis Dental Code.
From www.lovettdentistrykohrville.com
What Is Gingivitis? Your Guide To Your Gums General Dentistry Texas Gingivitis Dental Code What procedure is appropriate for patients with localized gingival inflammation (gingivitis)? With the use of the new code, professionals are less likely to “undercode” by using a prophylaxis for the moderate to severe gingivitis patient or to “overcode” by using the periodontal therapy code when, in fact, the patient doesn’t have bone loss. If a patient presents with generalized moderate. Gingivitis Dental Code.
From www.msdmanuals.com
Gingivitis Mouth and Dental Disorders MSD Manual Consumer Version Gingivitis Dental Code The profession started the year with the news that gingivitis was now being added to the code on dental procedures and nomenclature. What procedure is appropriate for patients with localized gingival inflammation (gingivitis)? D4346 is a relatively new gingivitis dental code, introduced by the american dental association (ada) for the therapeutic purpose of scaling in presence of gingival. With the. Gingivitis Dental Code.
From flintlockdental.com
What Exactly is Gingivitis? Flintlock Dental Gingivitis Dental Code D1110 is applicable for patients with localized. D4346 is a relatively new gingivitis dental code, introduced by the american dental association (ada) for the therapeutic purpose of scaling in presence of gingival. With the use of the new code, professionals are less likely to “undercode” by using a prophylaxis for the moderate to severe gingivitis patient or to “overcode” by. Gingivitis Dental Code.