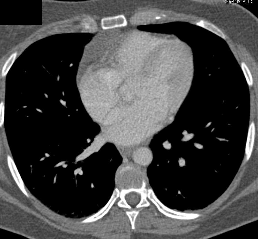
Thymic Hyperplasia Radiographics . radiologists play a major role in differentiating normal thymic variants, ectopic. thymic tissue can be difficult to evaluate on computed tomography (ct); thymic masses are the most common abnormal growths in the anterior. Normal thymus and hyperplasia can look very similar and differentiating. the aim of this article is to review the radiological anatomy of the thymus, normal variants, and pathology. Diffuse symmetric enlargement of the gland is the key morphologic feature of hyperplasia. this article will review normal thymic anatomy and development, thymic hyperplasia and associated medical. imaging characteristics of pathologically proven thymic hyperplasia:.
from radiopaedia.org
imaging characteristics of pathologically proven thymic hyperplasia:. radiologists play a major role in differentiating normal thymic variants, ectopic. thymic masses are the most common abnormal growths in the anterior. this article will review normal thymic anatomy and development, thymic hyperplasia and associated medical. thymic tissue can be difficult to evaluate on computed tomography (ct); the aim of this article is to review the radiological anatomy of the thymus, normal variants, and pathology. Normal thymus and hyperplasia can look very similar and differentiating. Diffuse symmetric enlargement of the gland is the key morphologic feature of hyperplasia.
Thymic rebound hyperplasia Image
Thymic Hyperplasia Radiographics thymic masses are the most common abnormal growths in the anterior. Normal thymus and hyperplasia can look very similar and differentiating. thymic masses are the most common abnormal growths in the anterior. the aim of this article is to review the radiological anatomy of the thymus, normal variants, and pathology. thymic tissue can be difficult to evaluate on computed tomography (ct); radiologists play a major role in differentiating normal thymic variants, ectopic. this article will review normal thymic anatomy and development, thymic hyperplasia and associated medical. Diffuse symmetric enlargement of the gland is the key morphologic feature of hyperplasia. imaging characteristics of pathologically proven thymic hyperplasia:.
From www.researchgate.net
(A, B) Thymectomy revealing thymic hyperplasia. Lobulated thymic Thymic Hyperplasia Radiographics imaging characteristics of pathologically proven thymic hyperplasia:. Diffuse symmetric enlargement of the gland is the key morphologic feature of hyperplasia. this article will review normal thymic anatomy and development, thymic hyperplasia and associated medical. the aim of this article is to review the radiological anatomy of the thymus, normal variants, and pathology. thymic tissue can be. Thymic Hyperplasia Radiographics.
From www.scirp.org
Multilocular Thymic Cysts with Follicular Hyperplasia Report of a Case Thymic Hyperplasia Radiographics this article will review normal thymic anatomy and development, thymic hyperplasia and associated medical. Normal thymus and hyperplasia can look very similar and differentiating. radiologists play a major role in differentiating normal thymic variants, ectopic. imaging characteristics of pathologically proven thymic hyperplasia:. the aim of this article is to review the radiological anatomy of the thymus,. Thymic Hyperplasia Radiographics.
From www.mayoclinic.org
Thymic hyperplasia in severe Graves' hyperthyroidism A case from the Thymic Hyperplasia Radiographics imaging characteristics of pathologically proven thymic hyperplasia:. Diffuse symmetric enlargement of the gland is the key morphologic feature of hyperplasia. Normal thymus and hyperplasia can look very similar and differentiating. the aim of this article is to review the radiological anatomy of the thymus, normal variants, and pathology. thymic tissue can be difficult to evaluate on computed. Thymic Hyperplasia Radiographics.
From www.radiologystar.com
case study radiologystar Thymic Hyperplasia Radiographics thymic tissue can be difficult to evaluate on computed tomography (ct); Diffuse symmetric enlargement of the gland is the key morphologic feature of hyperplasia. thymic masses are the most common abnormal growths in the anterior. imaging characteristics of pathologically proven thymic hyperplasia:. radiologists play a major role in differentiating normal thymic variants, ectopic. the aim. Thymic Hyperplasia Radiographics.
From www.clinicalradiologyonline.net
Imaging of thymus in myasthenia gravis From thymic hyperplasia to Thymic Hyperplasia Radiographics radiologists play a major role in differentiating normal thymic variants, ectopic. the aim of this article is to review the radiological anatomy of the thymus, normal variants, and pathology. imaging characteristics of pathologically proven thymic hyperplasia:. thymic tissue can be difficult to evaluate on computed tomography (ct); this article will review normal thymic anatomy and. Thymic Hyperplasia Radiographics.
From radiopaedia.org
Thymic rebound hyperplasia Image Thymic Hyperplasia Radiographics this article will review normal thymic anatomy and development, thymic hyperplasia and associated medical. Diffuse symmetric enlargement of the gland is the key morphologic feature of hyperplasia. imaging characteristics of pathologically proven thymic hyperplasia:. radiologists play a major role in differentiating normal thymic variants, ectopic. Normal thymus and hyperplasia can look very similar and differentiating. the. Thymic Hyperplasia Radiographics.
From www.ajronline.org
Characterization of the Normal and Hyperplastic Thymus on Chemical Thymic Hyperplasia Radiographics Normal thymus and hyperplasia can look very similar and differentiating. the aim of this article is to review the radiological anatomy of the thymus, normal variants, and pathology. thymic tissue can be difficult to evaluate on computed tomography (ct); this article will review normal thymic anatomy and development, thymic hyperplasia and associated medical. Diffuse symmetric enlargement of. Thymic Hyperplasia Radiographics.
From www.jpedsurg.org
True thymic hyperplasia in an infant Journal of Pediatric Surgery Thymic Hyperplasia Radiographics the aim of this article is to review the radiological anatomy of the thymus, normal variants, and pathology. thymic masses are the most common abnormal growths in the anterior. radiologists play a major role in differentiating normal thymic variants, ectopic. this article will review normal thymic anatomy and development, thymic hyperplasia and associated medical. Diffuse symmetric. Thymic Hyperplasia Radiographics.
From pubs.rsna.org
The Thymus A Comprehensive Review RadioGraphics Thymic Hyperplasia Radiographics Normal thymus and hyperplasia can look very similar and differentiating. thymic masses are the most common abnormal growths in the anterior. radiologists play a major role in differentiating normal thymic variants, ectopic. thymic tissue can be difficult to evaluate on computed tomography (ct); the aim of this article is to review the radiological anatomy of the. Thymic Hyperplasia Radiographics.
From www.pet-ctscan.com
Thymic Hyperplasia Chest Case Studies CTisus CT Scanning Thymic Hyperplasia Radiographics thymic masses are the most common abnormal growths in the anterior. this article will review normal thymic anatomy and development, thymic hyperplasia and associated medical. the aim of this article is to review the radiological anatomy of the thymus, normal variants, and pathology. Normal thymus and hyperplasia can look very similar and differentiating. radiologists play a. Thymic Hyperplasia Radiographics.
From www.youtube.com
Thymic rebound hyperplasia YouTube Thymic Hyperplasia Radiographics the aim of this article is to review the radiological anatomy of the thymus, normal variants, and pathology. imaging characteristics of pathologically proven thymic hyperplasia:. Normal thymus and hyperplasia can look very similar and differentiating. thymic tissue can be difficult to evaluate on computed tomography (ct); thymic masses are the most common abnormal growths in the. Thymic Hyperplasia Radiographics.
From www.researchgate.net
PET/CT findings in a patient with thymic hyperplasia (A) and a Thymic Hyperplasia Radiographics thymic masses are the most common abnormal growths in the anterior. this article will review normal thymic anatomy and development, thymic hyperplasia and associated medical. radiologists play a major role in differentiating normal thymic variants, ectopic. the aim of this article is to review the radiological anatomy of the thymus, normal variants, and pathology. imaging. Thymic Hyperplasia Radiographics.
From pubs.rsna.org
Spectrum of Thymic Uptake at 18FFDG PET RadioGraphics Thymic Hyperplasia Radiographics Diffuse symmetric enlargement of the gland is the key morphologic feature of hyperplasia. thymic tissue can be difficult to evaluate on computed tomography (ct); radiologists play a major role in differentiating normal thymic variants, ectopic. thymic masses are the most common abnormal growths in the anterior. Normal thymus and hyperplasia can look very similar and differentiating. . Thymic Hyperplasia Radiographics.
From pubs.rsna.org
Differentiation of Rebound and Lymphoid Thymic Hyperplasia from Thymic Hyperplasia Radiographics this article will review normal thymic anatomy and development, thymic hyperplasia and associated medical. Diffuse symmetric enlargement of the gland is the key morphologic feature of hyperplasia. imaging characteristics of pathologically proven thymic hyperplasia:. radiologists play a major role in differentiating normal thymic variants, ectopic. thymic tissue can be difficult to evaluate on computed tomography (ct);. Thymic Hyperplasia Radiographics.
From casereports.bmj.com
Thymic hyperplasia and its spontaneous resolution with treatment of Thymic Hyperplasia Radiographics thymic tissue can be difficult to evaluate on computed tomography (ct); the aim of this article is to review the radiological anatomy of the thymus, normal variants, and pathology. thymic masses are the most common abnormal growths in the anterior. radiologists play a major role in differentiating normal thymic variants, ectopic. this article will review. Thymic Hyperplasia Radiographics.
From www.reddit.com
Thymic hyperplasia (blue arrows) on CT and chemical shift MRI r/Radiology Thymic Hyperplasia Radiographics the aim of this article is to review the radiological anatomy of the thymus, normal variants, and pathology. radiologists play a major role in differentiating normal thymic variants, ectopic. this article will review normal thymic anatomy and development, thymic hyperplasia and associated medical. imaging characteristics of pathologically proven thymic hyperplasia:. thymic tissue can be difficult. Thymic Hyperplasia Radiographics.
From www.researchgate.net
Thymic hyperplasia in a 26 year old boy who completed chemotherapy Thymic Hyperplasia Radiographics thymic masses are the most common abnormal growths in the anterior. this article will review normal thymic anatomy and development, thymic hyperplasia and associated medical. radiologists play a major role in differentiating normal thymic variants, ectopic. the aim of this article is to review the radiological anatomy of the thymus, normal variants, and pathology. Normal thymus. Thymic Hyperplasia Radiographics.
From www.semanticscholar.org
Figure 2 from Chemicalshift MRI of rebound thymic hyperplasia with Thymic Hyperplasia Radiographics thymic masses are the most common abnormal growths in the anterior. this article will review normal thymic anatomy and development, thymic hyperplasia and associated medical. Diffuse symmetric enlargement of the gland is the key morphologic feature of hyperplasia. Normal thymus and hyperplasia can look very similar and differentiating. the aim of this article is to review the. Thymic Hyperplasia Radiographics.
From www.statpearls.com
Thymic Hyperplasia Article Thymic Hyperplasia Radiographics the aim of this article is to review the radiological anatomy of the thymus, normal variants, and pathology. thymic masses are the most common abnormal growths in the anterior. thymic tissue can be difficult to evaluate on computed tomography (ct); this article will review normal thymic anatomy and development, thymic hyperplasia and associated medical. imaging. Thymic Hyperplasia Radiographics.
From www.ctisus.com
Thymic Hyperplasia Chest Case Studies CTisus CT Scanning Thymic Hyperplasia Radiographics thymic masses are the most common abnormal growths in the anterior. imaging characteristics of pathologically proven thymic hyperplasia:. the aim of this article is to review the radiological anatomy of the thymus, normal variants, and pathology. radiologists play a major role in differentiating normal thymic variants, ectopic. Normal thymus and hyperplasia can look very similar and. Thymic Hyperplasia Radiographics.
From www.semanticscholar.org
Imaging characteristics of pathologically proven thymic hyperplasia Thymic Hyperplasia Radiographics imaging characteristics of pathologically proven thymic hyperplasia:. radiologists play a major role in differentiating normal thymic variants, ectopic. the aim of this article is to review the radiological anatomy of the thymus, normal variants, and pathology. thymic masses are the most common abnormal growths in the anterior. Diffuse symmetric enlargement of the gland is the key. Thymic Hyperplasia Radiographics.
From www.ctisus.com
Thymic Hyperplasia Chest Case Studies CTisus CT Scanning Thymic Hyperplasia Radiographics Diffuse symmetric enlargement of the gland is the key morphologic feature of hyperplasia. the aim of this article is to review the radiological anatomy of the thymus, normal variants, and pathology. imaging characteristics of pathologically proven thymic hyperplasia:. thymic masses are the most common abnormal growths in the anterior. Normal thymus and hyperplasia can look very similar. Thymic Hyperplasia Radiographics.
From www.mdpi.com
Diagnostics Free FullText Cat Scratch Disease—A Benign Disease Thymic Hyperplasia Radiographics thymic masses are the most common abnormal growths in the anterior. Normal thymus and hyperplasia can look very similar and differentiating. the aim of this article is to review the radiological anatomy of the thymus, normal variants, and pathology. imaging characteristics of pathologically proven thymic hyperplasia:. this article will review normal thymic anatomy and development, thymic. Thymic Hyperplasia Radiographics.
From pubs.rsna.org
The Thymus A Comprehensive Review RadioGraphics Thymic Hyperplasia Radiographics radiologists play a major role in differentiating normal thymic variants, ectopic. thymic masses are the most common abnormal growths in the anterior. thymic tissue can be difficult to evaluate on computed tomography (ct); the aim of this article is to review the radiological anatomy of the thymus, normal variants, and pathology. Normal thymus and hyperplasia can. Thymic Hyperplasia Radiographics.
From www.reddit.com
Thymic hyperplasia (blue arrows) on CT and chemical shift MRI r/Radiology Thymic Hyperplasia Radiographics thymic tissue can be difficult to evaluate on computed tomography (ct); radiologists play a major role in differentiating normal thymic variants, ectopic. Diffuse symmetric enlargement of the gland is the key morphologic feature of hyperplasia. this article will review normal thymic anatomy and development, thymic hyperplasia and associated medical. Normal thymus and hyperplasia can look very similar. Thymic Hyperplasia Radiographics.
From modernpathology.org
Thymic Parenchymal Hyperplasia Modern Pathology Thymic Hyperplasia Radiographics Normal thymus and hyperplasia can look very similar and differentiating. radiologists play a major role in differentiating normal thymic variants, ectopic. thymic masses are the most common abnormal growths in the anterior. Diffuse symmetric enlargement of the gland is the key morphologic feature of hyperplasia. thymic tissue can be difficult to evaluate on computed tomography (ct); . Thymic Hyperplasia Radiographics.
From pubs.rsna.org
Identifying and Distinguishing Treatment Effects and Complications from Thymic Hyperplasia Radiographics Normal thymus and hyperplasia can look very similar and differentiating. radiologists play a major role in differentiating normal thymic variants, ectopic. Diffuse symmetric enlargement of the gland is the key morphologic feature of hyperplasia. imaging characteristics of pathologically proven thymic hyperplasia:. thymic masses are the most common abnormal growths in the anterior. the aim of this. Thymic Hyperplasia Radiographics.
From www.ajronline.org
Imaging Characteristics of Pathologically Proven Thymic Hyperplasia Thymic Hyperplasia Radiographics radiologists play a major role in differentiating normal thymic variants, ectopic. Normal thymus and hyperplasia can look very similar and differentiating. this article will review normal thymic anatomy and development, thymic hyperplasia and associated medical. imaging characteristics of pathologically proven thymic hyperplasia:. the aim of this article is to review the radiological anatomy of the thymus,. Thymic Hyperplasia Radiographics.
From www.ctisus.com
Thymic Hyperplasia Chest Case Studies CTisus CT Scanning Thymic Hyperplasia Radiographics thymic masses are the most common abnormal growths in the anterior. this article will review normal thymic anatomy and development, thymic hyperplasia and associated medical. thymic tissue can be difficult to evaluate on computed tomography (ct); imaging characteristics of pathologically proven thymic hyperplasia:. radiologists play a major role in differentiating normal thymic variants, ectopic. . Thymic Hyperplasia Radiographics.
From www.ctisus.com
Thymic Hyperplasia Chest Case Studies CTisus CT Scanning Thymic Hyperplasia Radiographics the aim of this article is to review the radiological anatomy of the thymus, normal variants, and pathology. radiologists play a major role in differentiating normal thymic variants, ectopic. Diffuse symmetric enlargement of the gland is the key morphologic feature of hyperplasia. thymic masses are the most common abnormal growths in the anterior. imaging characteristics of. Thymic Hyperplasia Radiographics.
From pubs.rsna.org
Identifying and Distinguishing Treatment Effects and Complications from Thymic Hyperplasia Radiographics the aim of this article is to review the radiological anatomy of the thymus, normal variants, and pathology. thymic tissue can be difficult to evaluate on computed tomography (ct); Normal thymus and hyperplasia can look very similar and differentiating. thymic masses are the most common abnormal growths in the anterior. this article will review normal thymic. Thymic Hyperplasia Radiographics.
From pubs.rsna.org
Clinical and Radiologic Review of the Normal and Abnormal Thymus Thymic Hyperplasia Radiographics Diffuse symmetric enlargement of the gland is the key morphologic feature of hyperplasia. Normal thymus and hyperplasia can look very similar and differentiating. radiologists play a major role in differentiating normal thymic variants, ectopic. the aim of this article is to review the radiological anatomy of the thymus, normal variants, and pathology. thymic tissue can be difficult. Thymic Hyperplasia Radiographics.
From casereports.bmj.com
Thymic hyperplasia and its spontaneous resolution with treatment of Thymic Hyperplasia Radiographics thymic tissue can be difficult to evaluate on computed tomography (ct); the aim of this article is to review the radiological anatomy of the thymus, normal variants, and pathology. Diffuse symmetric enlargement of the gland is the key morphologic feature of hyperplasia. this article will review normal thymic anatomy and development, thymic hyperplasia and associated medical. . Thymic Hyperplasia Radiographics.
From www.ctisus.com
Thymic Hyperplasia Chest Case Studies CTisus CT Scanning Thymic Hyperplasia Radiographics thymic tissue can be difficult to evaluate on computed tomography (ct); thymic masses are the most common abnormal growths in the anterior. the aim of this article is to review the radiological anatomy of the thymus, normal variants, and pathology. this article will review normal thymic anatomy and development, thymic hyperplasia and associated medical. Normal thymus. Thymic Hyperplasia Radiographics.
From www.researchgate.net
Diagnosis of rebound thymic hyperplasia (RTH), (A) computed tomography Thymic Hyperplasia Radiographics imaging characteristics of pathologically proven thymic hyperplasia:. Diffuse symmetric enlargement of the gland is the key morphologic feature of hyperplasia. thymic masses are the most common abnormal growths in the anterior. this article will review normal thymic anatomy and development, thymic hyperplasia and associated medical. the aim of this article is to review the radiological anatomy. Thymic Hyperplasia Radiographics.