What Is Hybrid Prosthesis . This article covers the basic concepts, indications, diagnostic data, and surgical techniques for this form of implant treatment. a hybrid prosthesis implant is a dental implant that combines the convenience of dentures with the permanence of dental implants. learn how to plan, place and restore implant supported hybrid prostheses for edentulous patients. hybrid denture is a dental prosthesis that combines the stability of implants with the affordability of removable dentures. Learn about the key components,. learn how to plan, place and restore implant supported hybrid prostheses, and how to maintain them and manage complications.
from www.armdynamics.com
hybrid denture is a dental prosthesis that combines the stability of implants with the affordability of removable dentures. learn how to plan, place and restore implant supported hybrid prostheses, and how to maintain them and manage complications. Learn about the key components,. This article covers the basic concepts, indications, diagnostic data, and surgical techniques for this form of implant treatment. a hybrid prosthesis implant is a dental implant that combines the convenience of dentures with the permanence of dental implants. learn how to plan, place and restore implant supported hybrid prostheses for edentulous patients.
What is a Hybrid Upper Limb Prosthesis?
What Is Hybrid Prosthesis Learn about the key components,. This article covers the basic concepts, indications, diagnostic data, and surgical techniques for this form of implant treatment. a hybrid prosthesis implant is a dental implant that combines the convenience of dentures with the permanence of dental implants. Learn about the key components,. learn how to plan, place and restore implant supported hybrid prostheses, and how to maintain them and manage complications. hybrid denture is a dental prosthesis that combines the stability of implants with the affordability of removable dentures. learn how to plan, place and restore implant supported hybrid prostheses for edentulous patients.
From www.boshamdentallab.co.uk
hybridimplantprosthesesacrylic1 Bosham Dental Laboratory What Is Hybrid Prosthesis Learn about the key components,. This article covers the basic concepts, indications, diagnostic data, and surgical techniques for this form of implant treatment. a hybrid prosthesis implant is a dental implant that combines the convenience of dentures with the permanence of dental implants. learn how to plan, place and restore implant supported hybrid prostheses for edentulous patients. . What Is Hybrid Prosthesis.
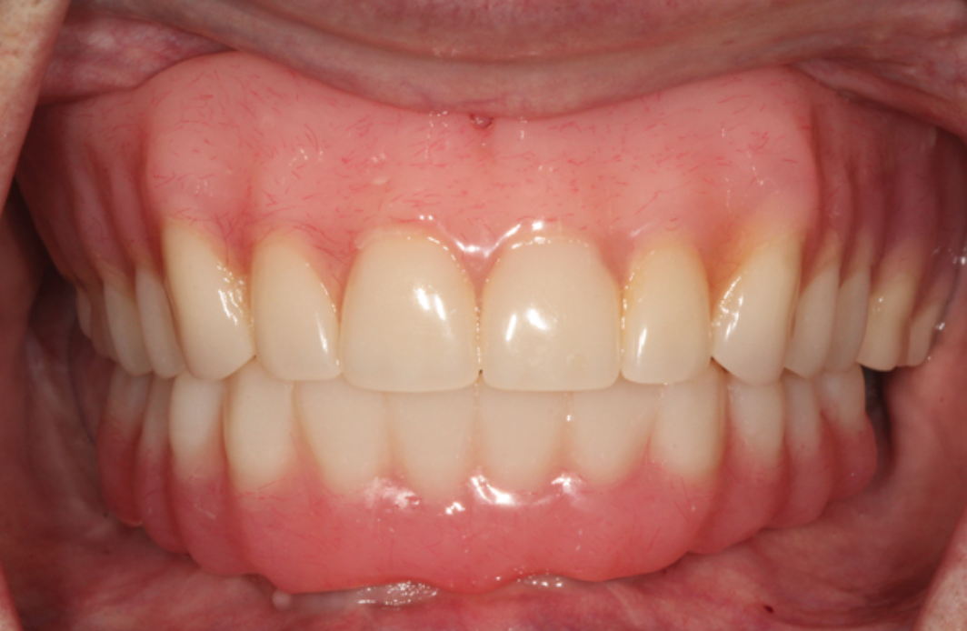
From www.aegisdentalnetwork.com
A ScrewFree Fixed Hybrid Prosthesis in Two Visits June 2021 Inside What Is Hybrid Prosthesis a hybrid prosthesis implant is a dental implant that combines the convenience of dentures with the permanence of dental implants. hybrid denture is a dental prosthesis that combines the stability of implants with the affordability of removable dentures. learn how to plan, place and restore implant supported hybrid prostheses, and how to maintain them and manage complications.. What Is Hybrid Prosthesis.
From dickermandental.com
Dickerman Dental Prosthetics Hybrid Prosthesis Dickerman Dental What Is Hybrid Prosthesis learn how to plan, place and restore implant supported hybrid prostheses, and how to maintain them and manage complications. a hybrid prosthesis implant is a dental implant that combines the convenience of dentures with the permanence of dental implants. hybrid denture is a dental prosthesis that combines the stability of implants with the affordability of removable dentures.. What Is Hybrid Prosthesis.
From burbankdental.com
Dental Implant Hybrid Restorations Burbank Dental Lab What Is Hybrid Prosthesis learn how to plan, place and restore implant supported hybrid prostheses, and how to maintain them and manage complications. Learn about the key components,. hybrid denture is a dental prosthesis that combines the stability of implants with the affordability of removable dentures. learn how to plan, place and restore implant supported hybrid prostheses for edentulous patients. . What Is Hybrid Prosthesis.
From www.researchgate.net
Hybrid prosthesis with zirconia framework and porcelain veneering What Is Hybrid Prosthesis learn how to plan, place and restore implant supported hybrid prostheses for edentulous patients. learn how to plan, place and restore implant supported hybrid prostheses, and how to maintain them and manage complications. Learn about the key components,. hybrid denture is a dental prosthesis that combines the stability of implants with the affordability of removable dentures. . What Is Hybrid Prosthesis.
From www.armdynamics.com
What is a Hybrid Upper Limb Prosthesis? What Is Hybrid Prosthesis Learn about the key components,. learn how to plan, place and restore implant supported hybrid prostheses for edentulous patients. a hybrid prosthesis implant is a dental implant that combines the convenience of dentures with the permanence of dental implants. learn how to plan, place and restore implant supported hybrid prostheses, and how to maintain them and manage. What Is Hybrid Prosthesis.
From www.youtube.com
Implant Supported Hybrid Prosthesis YouTube What Is Hybrid Prosthesis learn how to plan, place and restore implant supported hybrid prostheses, and how to maintain them and manage complications. Learn about the key components,. hybrid denture is a dental prosthesis that combines the stability of implants with the affordability of removable dentures. a hybrid prosthesis implant is a dental implant that combines the convenience of dentures with. What Is Hybrid Prosthesis.
From decisionsindentistry.com
Implant Treatment Planning for Hybrid Prostheses Decisions in Dentistry What Is Hybrid Prosthesis learn how to plan, place and restore implant supported hybrid prostheses for edentulous patients. hybrid denture is a dental prosthesis that combines the stability of implants with the affordability of removable dentures. Learn about the key components,. learn how to plan, place and restore implant supported hybrid prostheses, and how to maintain them and manage complications. This. What Is Hybrid Prosthesis.
From mungfali.com
Hybrid Prosthesis What Is Hybrid Prosthesis a hybrid prosthesis implant is a dental implant that combines the convenience of dentures with the permanence of dental implants. Learn about the key components,. learn how to plan, place and restore implant supported hybrid prostheses, and how to maintain them and manage complications. This article covers the basic concepts, indications, diagnostic data, and surgical techniques for this. What Is Hybrid Prosthesis.
From www.armdynamics.com
What is a Hybrid Upper Limb Prosthesis? What Is Hybrid Prosthesis learn how to plan, place and restore implant supported hybrid prostheses for edentulous patients. learn how to plan, place and restore implant supported hybrid prostheses, and how to maintain them and manage complications. This article covers the basic concepts, indications, diagnostic data, and surgical techniques for this form of implant treatment. hybrid denture is a dental prosthesis. What Is Hybrid Prosthesis.
From www.youtube.com
Hybrid Prosthesis என்றால் என்ன? What is hybrid prosthesis what is a What Is Hybrid Prosthesis learn how to plan, place and restore implant supported hybrid prostheses, and how to maintain them and manage complications. hybrid denture is a dental prosthesis that combines the stability of implants with the affordability of removable dentures. This article covers the basic concepts, indications, diagnostic data, and surgical techniques for this form of implant treatment. a hybrid. What Is Hybrid Prosthesis.
From pureprostho.com
Houston Prosthodontics Implant Dentistry What Is Hybrid Prosthesis This article covers the basic concepts, indications, diagnostic data, and surgical techniques for this form of implant treatment. hybrid denture is a dental prosthesis that combines the stability of implants with the affordability of removable dentures. learn how to plan, place and restore implant supported hybrid prostheses for edentulous patients. Learn about the key components,. learn how. What Is Hybrid Prosthesis.
From www.dentalimplantpro.com
A case for Fixed hybrid prosthesis vs. the removable overdenture What Is Hybrid Prosthesis Learn about the key components,. hybrid denture is a dental prosthesis that combines the stability of implants with the affordability of removable dentures. learn how to plan, place and restore implant supported hybrid prostheses, and how to maintain them and manage complications. a hybrid prosthesis implant is a dental implant that combines the convenience of dentures with. What Is Hybrid Prosthesis.
From troutmandental.com
Fixed Hybrid Prosthesis Piedmont Dental Associates What Is Hybrid Prosthesis learn how to plan, place and restore implant supported hybrid prostheses for edentulous patients. This article covers the basic concepts, indications, diagnostic data, and surgical techniques for this form of implant treatment. learn how to plan, place and restore implant supported hybrid prostheses, and how to maintain them and manage complications. Learn about the key components,. a. What Is Hybrid Prosthesis.
From miamiperfectsmile.com
Hybrid Prosthesis All you need to know What Is Hybrid Prosthesis This article covers the basic concepts, indications, diagnostic data, and surgical techniques for this form of implant treatment. a hybrid prosthesis implant is a dental implant that combines the convenience of dentures with the permanence of dental implants. Learn about the key components,. hybrid denture is a dental prosthesis that combines the stability of implants with the affordability. What Is Hybrid Prosthesis.
From www.boshamdentallab.co.uk
hybridimplantprosthesesacrylic2 Bosham Dental Laboratory What Is Hybrid Prosthesis learn how to plan, place and restore implant supported hybrid prostheses, and how to maintain them and manage complications. This article covers the basic concepts, indications, diagnostic data, and surgical techniques for this form of implant treatment. a hybrid prosthesis implant is a dental implant that combines the convenience of dentures with the permanence of dental implants. . What Is Hybrid Prosthesis.
From durabledentallab.com
Implant Supported Fixed Hybrid Prosthesis Durable Dental Laboratory What Is Hybrid Prosthesis This article covers the basic concepts, indications, diagnostic data, and surgical techniques for this form of implant treatment. learn how to plan, place and restore implant supported hybrid prostheses for edentulous patients. Learn about the key components,. learn how to plan, place and restore implant supported hybrid prostheses, and how to maintain them and manage complications. a. What Is Hybrid Prosthesis.
From southlincolnfamilydentistry.com
Hybrid Prosthesis Allon4 Implants Call SLFD Today What Is Hybrid Prosthesis Learn about the key components,. hybrid denture is a dental prosthesis that combines the stability of implants with the affordability of removable dentures. a hybrid prosthesis implant is a dental implant that combines the convenience of dentures with the permanence of dental implants. This article covers the basic concepts, indications, diagnostic data, and surgical techniques for this form. What Is Hybrid Prosthesis.
From burbankdental.com
AllOn4® Hybrid Treatment Options Burbank Dental Lab What Is Hybrid Prosthesis hybrid denture is a dental prosthesis that combines the stability of implants with the affordability of removable dentures. Learn about the key components,. learn how to plan, place and restore implant supported hybrid prostheses for edentulous patients. a hybrid prosthesis implant is a dental implant that combines the convenience of dentures with the permanence of dental implants.. What Is Hybrid Prosthesis.
From mungfali.com
Hybrid Prosthesis What Is Hybrid Prosthesis a hybrid prosthesis implant is a dental implant that combines the convenience of dentures with the permanence of dental implants. Learn about the key components,. hybrid denture is a dental prosthesis that combines the stability of implants with the affordability of removable dentures. learn how to plan, place and restore implant supported hybrid prostheses, and how to. What Is Hybrid Prosthesis.
From burbankdental.com
AllOn4® Hybrid Treatment Options Burbank Dental Lab What Is Hybrid Prosthesis hybrid denture is a dental prosthesis that combines the stability of implants with the affordability of removable dentures. learn how to plan, place and restore implant supported hybrid prostheses for edentulous patients. This article covers the basic concepts, indications, diagnostic data, and surgical techniques for this form of implant treatment. learn how to plan, place and restore. What Is Hybrid Prosthesis.
From www.facialart.com
Hybrid Bridge with 6 Implants Hybrid Bridge with 6 Implants Kazemi What Is Hybrid Prosthesis This article covers the basic concepts, indications, diagnostic data, and surgical techniques for this form of implant treatment. Learn about the key components,. learn how to plan, place and restore implant supported hybrid prostheses for edentulous patients. hybrid denture is a dental prosthesis that combines the stability of implants with the affordability of removable dentures. a hybrid. What Is Hybrid Prosthesis.
From www.researchgate.net
Finished Ribbond reinforced acrylic hybrid prosthesis intraorally What Is Hybrid Prosthesis hybrid denture is a dental prosthesis that combines the stability of implants with the affordability of removable dentures. a hybrid prosthesis implant is a dental implant that combines the convenience of dentures with the permanence of dental implants. learn how to plan, place and restore implant supported hybrid prostheses for edentulous patients. This article covers the basic. What Is Hybrid Prosthesis.
From www.odontologiavirtual.com
What is a hybrid prosthesis? Smiles Peru What Is Hybrid Prosthesis Learn about the key components,. learn how to plan, place and restore implant supported hybrid prostheses for edentulous patients. learn how to plan, place and restore implant supported hybrid prostheses, and how to maintain them and manage complications. This article covers the basic concepts, indications, diagnostic data, and surgical techniques for this form of implant treatment. a. What Is Hybrid Prosthesis.
From thelabguysusa.com
Hybrid Prosthesis The Lab Guys USA What Is Hybrid Prosthesis hybrid denture is a dental prosthesis that combines the stability of implants with the affordability of removable dentures. Learn about the key components,. learn how to plan, place and restore implant supported hybrid prostheses, and how to maintain them and manage complications. a hybrid prosthesis implant is a dental implant that combines the convenience of dentures with. What Is Hybrid Prosthesis.
From www.lincolndentistne.com
Hybrid Prosthesis Allon4Implants Call NELFD Today What Is Hybrid Prosthesis learn how to plan, place and restore implant supported hybrid prostheses for edentulous patients. a hybrid prosthesis implant is a dental implant that combines the convenience of dentures with the permanence of dental implants. This article covers the basic concepts, indications, diagnostic data, and surgical techniques for this form of implant treatment. Learn about the key components,. . What Is Hybrid Prosthesis.
From thelabguysusa.com
Hybrid Prosthesis The Lab Guys USA What Is Hybrid Prosthesis This article covers the basic concepts, indications, diagnostic data, and surgical techniques for this form of implant treatment. learn how to plan, place and restore implant supported hybrid prostheses, and how to maintain them and manage complications. learn how to plan, place and restore implant supported hybrid prostheses for edentulous patients. Learn about the key components,. a. What Is Hybrid Prosthesis.
From www.researchgate.net
Final acrylization of hybrid prosthesis Download Scientific Diagram What Is Hybrid Prosthesis This article covers the basic concepts, indications, diagnostic data, and surgical techniques for this form of implant treatment. hybrid denture is a dental prosthesis that combines the stability of implants with the affordability of removable dentures. Learn about the key components,. learn how to plan, place and restore implant supported hybrid prostheses, and how to maintain them and. What Is Hybrid Prosthesis.
From mungfali.com
Hybrid Prosthesis What Is Hybrid Prosthesis learn how to plan, place and restore implant supported hybrid prostheses for edentulous patients. This article covers the basic concepts, indications, diagnostic data, and surgical techniques for this form of implant treatment. Learn about the key components,. a hybrid prosthesis implant is a dental implant that combines the convenience of dentures with the permanence of dental implants. . What Is Hybrid Prosthesis.
From eriksdentalgroup.com
What Is A Hybrid Prosthesis? Eriks Dental Group What Is Hybrid Prosthesis a hybrid prosthesis implant is a dental implant that combines the convenience of dentures with the permanence of dental implants. This article covers the basic concepts, indications, diagnostic data, and surgical techniques for this form of implant treatment. learn how to plan, place and restore implant supported hybrid prostheses for edentulous patients. Learn about the key components,. . What Is Hybrid Prosthesis.
From bavliinternational.com
Hybrid Prosthesis Procedure & Cost Bavli International What Is Hybrid Prosthesis learn how to plan, place and restore implant supported hybrid prostheses, and how to maintain them and manage complications. This article covers the basic concepts, indications, diagnostic data, and surgical techniques for this form of implant treatment. a hybrid prosthesis implant is a dental implant that combines the convenience of dentures with the permanence of dental implants. . What Is Hybrid Prosthesis.
From dentalora.com
Dentalora Turkey İstanbul Dental Clinic What Is Hybrid Prosthesis This article covers the basic concepts, indications, diagnostic data, and surgical techniques for this form of implant treatment. learn how to plan, place and restore implant supported hybrid prostheses, and how to maintain them and manage complications. hybrid denture is a dental prosthesis that combines the stability of implants with the affordability of removable dentures. learn how. What Is Hybrid Prosthesis.
From triaddentalstudio.com
Hybrid Products • Triad Dental Studio What Is Hybrid Prosthesis learn how to plan, place and restore implant supported hybrid prostheses, and how to maintain them and manage complications. hybrid denture is a dental prosthesis that combines the stability of implants with the affordability of removable dentures. Learn about the key components,. a hybrid prosthesis implant is a dental implant that combines the convenience of dentures with. What Is Hybrid Prosthesis.
From www.firstimpressiondentalfresno.com
Hybrid Implant Dentures First Impression Dental Fresno General Dentists What Is Hybrid Prosthesis learn how to plan, place and restore implant supported hybrid prostheses, and how to maintain them and manage complications. This article covers the basic concepts, indications, diagnostic data, and surgical techniques for this form of implant treatment. hybrid denture is a dental prosthesis that combines the stability of implants with the affordability of removable dentures. Learn about the. What Is Hybrid Prosthesis.
From www.uniclassdental.com
What is “Hybrid Prosthesis?” What Is Hybrid Prosthesis learn how to plan, place and restore implant supported hybrid prostheses, and how to maintain them and manage complications. learn how to plan, place and restore implant supported hybrid prostheses for edentulous patients. hybrid denture is a dental prosthesis that combines the stability of implants with the affordability of removable dentures. Learn about the key components,. This. What Is Hybrid Prosthesis.