Non Radiopaque Gallstones . Specific names can be given to gallstones depending on their location: Ultrasound is by far the most common and useful imaging modality in assessing gallstones within the gallbladder (cholelithiasis) and associated gallbladder pathology and has. Gallbladder disease is common in clinical practice. Are gallstones the likely cause of my abdominal. Gallstones and gallbladder cancer are the two most prevalent benign and. Gallstones that pass the cystic duct and block the common bile duct may result in choledocholithiasis, which is characterized by itchy skin and/or yellowing of the skin. For gallstones, some basic questions to ask your doctor include: Gallstones (cholelithiasis) describe stone formation at any point along the biliary tree. Most patients with gallstone symptoms describe a constant and often severe pain in the right upper abdomen, epigastrium, or both, often persisting for 30 to 120.
from www.wjgnet.com
Gallbladder disease is common in clinical practice. For gallstones, some basic questions to ask your doctor include: Are gallstones the likely cause of my abdominal. Ultrasound is by far the most common and useful imaging modality in assessing gallstones within the gallbladder (cholelithiasis) and associated gallbladder pathology and has. Specific names can be given to gallstones depending on their location: Gallstones (cholelithiasis) describe stone formation at any point along the biliary tree. Gallstones that pass the cystic duct and block the common bile duct may result in choledocholithiasis, which is characterized by itchy skin and/or yellowing of the skin. Gallstones and gallbladder cancer are the two most prevalent benign and. Most patients with gallstone symptoms describe a constant and often severe pain in the right upper abdomen, epigastrium, or both, often persisting for 30 to 120.
Benign gallbladder diseases Imaging techniques and tips for
Non Radiopaque Gallstones Are gallstones the likely cause of my abdominal. Most patients with gallstone symptoms describe a constant and often severe pain in the right upper abdomen, epigastrium, or both, often persisting for 30 to 120. Ultrasound is by far the most common and useful imaging modality in assessing gallstones within the gallbladder (cholelithiasis) and associated gallbladder pathology and has. For gallstones, some basic questions to ask your doctor include: Gallstones and gallbladder cancer are the two most prevalent benign and. Gallbladder disease is common in clinical practice. Are gallstones the likely cause of my abdominal. Specific names can be given to gallstones depending on their location: Gallstones (cholelithiasis) describe stone formation at any point along the biliary tree. Gallstones that pass the cystic duct and block the common bile duct may result in choledocholithiasis, which is characterized by itchy skin and/or yellowing of the skin.
From casereports.bmj.com
Giant gallstone in the duodenum BMJ Case Reports Non Radiopaque Gallstones Gallstones and gallbladder cancer are the two most prevalent benign and. Specific names can be given to gallstones depending on their location: Are gallstones the likely cause of my abdominal. Gallstones that pass the cystic duct and block the common bile duct may result in choledocholithiasis, which is characterized by itchy skin and/or yellowing of the skin. Gallbladder disease is. Non Radiopaque Gallstones.
From www.cmaj.ca
Gallstone ileus CMAJ Non Radiopaque Gallstones Gallbladder disease is common in clinical practice. Gallstones (cholelithiasis) describe stone formation at any point along the biliary tree. Ultrasound is by far the most common and useful imaging modality in assessing gallstones within the gallbladder (cholelithiasis) and associated gallbladder pathology and has. Most patients with gallstone symptoms describe a constant and often severe pain in the right upper abdomen,. Non Radiopaque Gallstones.
From hairanalysisnutrition.com
What Gallstones Do to Your Health Symptoms and Warning Signs Non Radiopaque Gallstones Are gallstones the likely cause of my abdominal. Most patients with gallstone symptoms describe a constant and often severe pain in the right upper abdomen, epigastrium, or both, often persisting for 30 to 120. Gallstones and gallbladder cancer are the two most prevalent benign and. For gallstones, some basic questions to ask your doctor include: Gallstones (cholelithiasis) describe stone formation. Non Radiopaque Gallstones.
From www.wjgnet.com
Benign gallbladder diseases Imaging techniques and tips for Non Radiopaque Gallstones Gallstones and gallbladder cancer are the two most prevalent benign and. Most patients with gallstone symptoms describe a constant and often severe pain in the right upper abdomen, epigastrium, or both, often persisting for 30 to 120. Gallbladder disease is common in clinical practice. Are gallstones the likely cause of my abdominal. Gallstones (cholelithiasis) describe stone formation at any point. Non Radiopaque Gallstones.
From www.alamy.com
Abdominal x ray gallstones Stock Photo 2835387 Alamy Non Radiopaque Gallstones Gallstones (cholelithiasis) describe stone formation at any point along the biliary tree. Specific names can be given to gallstones depending on their location: Are gallstones the likely cause of my abdominal. For gallstones, some basic questions to ask your doctor include: Gallstones that pass the cystic duct and block the common bile duct may result in choledocholithiasis, which is characterized. Non Radiopaque Gallstones.
From www.medicalnewstoday.com
Gallstones Treatments, symptoms, and causes Non Radiopaque Gallstones Gallstones that pass the cystic duct and block the common bile duct may result in choledocholithiasis, which is characterized by itchy skin and/or yellowing of the skin. Ultrasound is by far the most common and useful imaging modality in assessing gallstones within the gallbladder (cholelithiasis) and associated gallbladder pathology and has. Are gallstones the likely cause of my abdominal. Gallstones. Non Radiopaque Gallstones.
From www.cureus.com
Cureus Bouveret’s Syndrome A Case Series and Literature Review on a Non Radiopaque Gallstones Are gallstones the likely cause of my abdominal. Gallbladder disease is common in clinical practice. Most patients with gallstone symptoms describe a constant and often severe pain in the right upper abdomen, epigastrium, or both, often persisting for 30 to 120. Ultrasound is by far the most common and useful imaging modality in assessing gallstones within the gallbladder (cholelithiasis) and. Non Radiopaque Gallstones.
From www.hennepinultrasound.com
Hennepin Ultrasound Gallstones? Non Radiopaque Gallstones Most patients with gallstone symptoms describe a constant and often severe pain in the right upper abdomen, epigastrium, or both, often persisting for 30 to 120. Specific names can be given to gallstones depending on their location: For gallstones, some basic questions to ask your doctor include: Gallbladder disease is common in clinical practice. Gallstones and gallbladder cancer are the. Non Radiopaque Gallstones.
From geoffreye-reedlife.blogspot.com
Gallstones Geoffrey E. Reed life Non Radiopaque Gallstones Are gallstones the likely cause of my abdominal. Most patients with gallstone symptoms describe a constant and often severe pain in the right upper abdomen, epigastrium, or both, often persisting for 30 to 120. For gallstones, some basic questions to ask your doctor include: Specific names can be given to gallstones depending on their location: Gallstones that pass the cystic. Non Radiopaque Gallstones.
From www.cureus.com
Acute Cholecystitis Presenting With Atypical Radiologic or Laboratory Non Radiopaque Gallstones For gallstones, some basic questions to ask your doctor include: Specific names can be given to gallstones depending on their location: Ultrasound is by far the most common and useful imaging modality in assessing gallstones within the gallbladder (cholelithiasis) and associated gallbladder pathology and has. Gallstones (cholelithiasis) describe stone formation at any point along the biliary tree. Most patients with. Non Radiopaque Gallstones.
From www.wikidoc.org
Choledocholithiasis x ray wikidoc Non Radiopaque Gallstones For gallstones, some basic questions to ask your doctor include: Ultrasound is by far the most common and useful imaging modality in assessing gallstones within the gallbladder (cholelithiasis) and associated gallbladder pathology and has. Gallbladder disease is common in clinical practice. Gallstones that pass the cystic duct and block the common bile duct may result in choledocholithiasis, which is characterized. Non Radiopaque Gallstones.
From www.harmonicmedicalsonography.com
Diagnosing Gallstones Harmonic Medical Sonography Harmonic Medical Non Radiopaque Gallstones Gallstones that pass the cystic duct and block the common bile duct may result in choledocholithiasis, which is characterized by itchy skin and/or yellowing of the skin. Ultrasound is by far the most common and useful imaging modality in assessing gallstones within the gallbladder (cholelithiasis) and associated gallbladder pathology and has. Are gallstones the likely cause of my abdominal. Most. Non Radiopaque Gallstones.
From www.animalia-life.club
Gallbladder Ultrasound Stones Non Radiopaque Gallstones Ultrasound is by far the most common and useful imaging modality in assessing gallstones within the gallbladder (cholelithiasis) and associated gallbladder pathology and has. Specific names can be given to gallstones depending on their location: Most patients with gallstone symptoms describe a constant and often severe pain in the right upper abdomen, epigastrium, or both, often persisting for 30 to. Non Radiopaque Gallstones.
From www.radiologic.theclinics.com
Gallbladder Imaging Interpretation Pearls and Pitfalls Radiologic Clinics Non Radiopaque Gallstones Are gallstones the likely cause of my abdominal. Ultrasound is by far the most common and useful imaging modality in assessing gallstones within the gallbladder (cholelithiasis) and associated gallbladder pathology and has. For gallstones, some basic questions to ask your doctor include: Most patients with gallstone symptoms describe a constant and often severe pain in the right upper abdomen, epigastrium,. Non Radiopaque Gallstones.
From www.aafp.org
Surgical and Nonsurgical Management of Gallstones AAFP Non Radiopaque Gallstones For gallstones, some basic questions to ask your doctor include: Gallstones that pass the cystic duct and block the common bile duct may result in choledocholithiasis, which is characterized by itchy skin and/or yellowing of the skin. Gallstones (cholelithiasis) describe stone formation at any point along the biliary tree. Ultrasound is by far the most common and useful imaging modality. Non Radiopaque Gallstones.
From allaeimd.com
Endoscopic Gallstone Removal for NonSurgical Candidate California Non Radiopaque Gallstones Gallstones and gallbladder cancer are the two most prevalent benign and. Are gallstones the likely cause of my abdominal. For gallstones, some basic questions to ask your doctor include: Most patients with gallstone symptoms describe a constant and often severe pain in the right upper abdomen, epigastrium, or both, often persisting for 30 to 120. Gallstones that pass the cystic. Non Radiopaque Gallstones.
From gallstonesrx.weebly.com
Investigations GALLSTONES Non Radiopaque Gallstones Gallbladder disease is common in clinical practice. Gallstones and gallbladder cancer are the two most prevalent benign and. Gallstones that pass the cystic duct and block the common bile duct may result in choledocholithiasis, which is characterized by itchy skin and/or yellowing of the skin. Are gallstones the likely cause of my abdominal. Gallstones (cholelithiasis) describe stone formation at any. Non Radiopaque Gallstones.
From hubpages.com
Gallbladder Problems Gallstones HubPages Non Radiopaque Gallstones Ultrasound is by far the most common and useful imaging modality in assessing gallstones within the gallbladder (cholelithiasis) and associated gallbladder pathology and has. Gallstones that pass the cystic duct and block the common bile duct may result in choledocholithiasis, which is characterized by itchy skin and/or yellowing of the skin. Gallstones and gallbladder cancer are the two most prevalent. Non Radiopaque Gallstones.
From www.youtube.com
Learn How to Spot Gallstones on Ultrasound YouTube Non Radiopaque Gallstones Gallstones (cholelithiasis) describe stone formation at any point along the biliary tree. Gallstones that pass the cystic duct and block the common bile duct may result in choledocholithiasis, which is characterized by itchy skin and/or yellowing of the skin. For gallstones, some basic questions to ask your doctor include: Most patients with gallstone symptoms describe a constant and often severe. Non Radiopaque Gallstones.
From www.wikiradiography.net
Gallstones wikiRadiography Non Radiopaque Gallstones Are gallstones the likely cause of my abdominal. Gallstones and gallbladder cancer are the two most prevalent benign and. Ultrasound is by far the most common and useful imaging modality in assessing gallstones within the gallbladder (cholelithiasis) and associated gallbladder pathology and has. For gallstones, some basic questions to ask your doctor include: Gallstones that pass the cystic duct and. Non Radiopaque Gallstones.
From www.ajronline.org
Out of Sight but Kept in Mind Complications and Imitations of Dropped Non Radiopaque Gallstones Gallstones and gallbladder cancer are the two most prevalent benign and. Are gallstones the likely cause of my abdominal. Most patients with gallstone symptoms describe a constant and often severe pain in the right upper abdomen, epigastrium, or both, often persisting for 30 to 120. Gallbladder disease is common in clinical practice. Specific names can be given to gallstones depending. Non Radiopaque Gallstones.
From www.ajronline.org
Out of Sight but Kept in Mind Complications and Imitations of Dropped Non Radiopaque Gallstones Ultrasound is by far the most common and useful imaging modality in assessing gallstones within the gallbladder (cholelithiasis) and associated gallbladder pathology and has. Gallstones and gallbladder cancer are the two most prevalent benign and. Gallstones that pass the cystic duct and block the common bile duct may result in choledocholithiasis, which is characterized by itchy skin and/or yellowing of. Non Radiopaque Gallstones.
From www.eurorad.org
An case of gallstone ileus in a patient with ileostomy Eurorad Non Radiopaque Gallstones Most patients with gallstone symptoms describe a constant and often severe pain in the right upper abdomen, epigastrium, or both, often persisting for 30 to 120. Are gallstones the likely cause of my abdominal. Specific names can be given to gallstones depending on their location: Ultrasound is by far the most common and useful imaging modality in assessing gallstones within. Non Radiopaque Gallstones.
From www.wjgnet.com
Benign gallbladder diseases Imaging techniques and tips for Non Radiopaque Gallstones Ultrasound is by far the most common and useful imaging modality in assessing gallstones within the gallbladder (cholelithiasis) and associated gallbladder pathology and has. Gallstones and gallbladder cancer are the two most prevalent benign and. Gallstones (cholelithiasis) describe stone formation at any point along the biliary tree. Specific names can be given to gallstones depending on their location: For gallstones,. Non Radiopaque Gallstones.
From www.ccjm.org
Gallstones Watch and wait, or intervene? Cleveland Clinic Journal of Non Radiopaque Gallstones Gallstones and gallbladder cancer are the two most prevalent benign and. For gallstones, some basic questions to ask your doctor include: Ultrasound is by far the most common and useful imaging modality in assessing gallstones within the gallbladder (cholelithiasis) and associated gallbladder pathology and has. Are gallstones the likely cause of my abdominal. Gallbladder disease is common in clinical practice.. Non Radiopaque Gallstones.
From allaeimd.com
NonSurgical Gallstone Removal Cholangioscopy Technique Non Radiopaque Gallstones Ultrasound is by far the most common and useful imaging modality in assessing gallstones within the gallbladder (cholelithiasis) and associated gallbladder pathology and has. Gallbladder disease is common in clinical practice. Gallstones (cholelithiasis) describe stone formation at any point along the biliary tree. Most patients with gallstone symptoms describe a constant and often severe pain in the right upper abdomen,. Non Radiopaque Gallstones.
From en.wikipedia.org
Gallstone Wikipedia Non Radiopaque Gallstones Most patients with gallstone symptoms describe a constant and often severe pain in the right upper abdomen, epigastrium, or both, often persisting for 30 to 120. Specific names can be given to gallstones depending on their location: Gallstones and gallbladder cancer are the two most prevalent benign and. For gallstones, some basic questions to ask your doctor include: Ultrasound is. Non Radiopaque Gallstones.
From radiologykey.com
102 Subhepatic Abscess Secondary to Dropped Gallstones Radiology Key Non Radiopaque Gallstones Gallstones and gallbladder cancer are the two most prevalent benign and. Ultrasound is by far the most common and useful imaging modality in assessing gallstones within the gallbladder (cholelithiasis) and associated gallbladder pathology and has. Gallstones (cholelithiasis) describe stone formation at any point along the biliary tree. Most patients with gallstone symptoms describe a constant and often severe pain in. Non Radiopaque Gallstones.
From healdove.com
Gallbladder Disease Symptoms and Causes of Gallstones HealDove Non Radiopaque Gallstones Gallstones that pass the cystic duct and block the common bile duct may result in choledocholithiasis, which is characterized by itchy skin and/or yellowing of the skin. Gallbladder disease is common in clinical practice. For gallstones, some basic questions to ask your doctor include: Specific names can be given to gallstones depending on their location: Gallstones and gallbladder cancer are. Non Radiopaque Gallstones.
From www.gastro.theclinics.com
Gallbladder Imaging Gastroenterology Clinics Non Radiopaque Gallstones Gallbladder disease is common in clinical practice. Most patients with gallstone symptoms describe a constant and often severe pain in the right upper abdomen, epigastrium, or both, often persisting for 30 to 120. Specific names can be given to gallstones depending on their location: Gallstones that pass the cystic duct and block the common bile duct may result in choledocholithiasis,. Non Radiopaque Gallstones.
From fineartamerica.com
Gallstone, Ultrasound Scan Photograph by Science Photo Library Fine Non Radiopaque Gallstones Are gallstones the likely cause of my abdominal. Gallstones that pass the cystic duct and block the common bile duct may result in choledocholithiasis, which is characterized by itchy skin and/or yellowing of the skin. Gallbladder disease is common in clinical practice. Most patients with gallstone symptoms describe a constant and often severe pain in the right upper abdomen, epigastrium,. Non Radiopaque Gallstones.
From medicoapps.org
GALLSTONE ILEUS New Non Radiopaque Gallstones Gallstones that pass the cystic duct and block the common bile duct may result in choledocholithiasis, which is characterized by itchy skin and/or yellowing of the skin. Gallstones (cholelithiasis) describe stone formation at any point along the biliary tree. Specific names can be given to gallstones depending on their location: Gallstones and gallbladder cancer are the two most prevalent benign. Non Radiopaque Gallstones.
From www.wjgnet.com
Superior gallstone dissolubility and safety of tertamyl ethyl ether Non Radiopaque Gallstones Most patients with gallstone symptoms describe a constant and often severe pain in the right upper abdomen, epigastrium, or both, often persisting for 30 to 120. Are gallstones the likely cause of my abdominal. Gallstones and gallbladder cancer are the two most prevalent benign and. Specific names can be given to gallstones depending on their location: Gallstones that pass the. Non Radiopaque Gallstones.
From www.ajronline.org
Initial Assessment of DualEnergy CT in Patients With Gallstones or Non Radiopaque Gallstones Are gallstones the likely cause of my abdominal. For gallstones, some basic questions to ask your doctor include: Gallstones and gallbladder cancer are the two most prevalent benign and. Gallstones (cholelithiasis) describe stone formation at any point along the biliary tree. Ultrasound is by far the most common and useful imaging modality in assessing gallstones within the gallbladder (cholelithiasis) and. Non Radiopaque Gallstones.
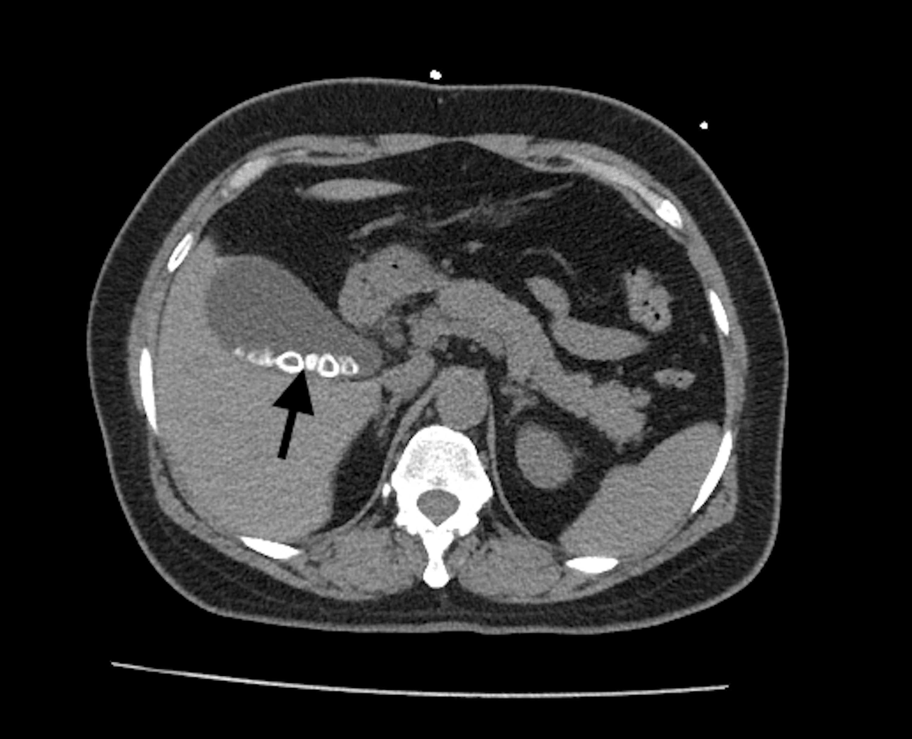
From www.researchgate.net
Axial CT noncontrast demonstrates gallstone (black arrow) fistulated Non Radiopaque Gallstones Gallstones (cholelithiasis) describe stone formation at any point along the biliary tree. Are gallstones the likely cause of my abdominal. Gallstones and gallbladder cancer are the two most prevalent benign and. For gallstones, some basic questions to ask your doctor include: Gallbladder disease is common in clinical practice. Specific names can be given to gallstones depending on their location: Most. Non Radiopaque Gallstones.