Spinning Top Urethra Treatment . Spinning top urethra (stu) deformity arises secondary to detrusor instability, leading to an increase in the intravesical pressure against a closed sphincter. Spinning top urethra (stu) denotes a particular urethral configuration that is a dilated posterior urethra mainly seen in young girls or. Lower urinary tract dysfunction (lutd) occurs frequently in girls and may display a spinning top urethra (stu) on. A spinning top urethra seen on voiding cystograms is diagnostic for dv (fig. The more common outlet dysfunction is the spinning top urethra with. Spinning top urethra (stu) is a term used to describe a widened posterior urethra seen mainly in girls. 2b) , characterized by dilation of the posterior. It is commonly regarded as a normal.
from www.researchgate.net
2b) , characterized by dilation of the posterior. Lower urinary tract dysfunction (lutd) occurs frequently in girls and may display a spinning top urethra (stu) on. The more common outlet dysfunction is the spinning top urethra with. Spinning top urethra (stu) deformity arises secondary to detrusor instability, leading to an increase in the intravesical pressure against a closed sphincter. It is commonly regarded as a normal. Spinning top urethra (stu) is a term used to describe a widened posterior urethra seen mainly in girls. A spinning top urethra seen on voiding cystograms is diagnostic for dv (fig. Spinning top urethra (stu) denotes a particular urethral configuration that is a dilated posterior urethra mainly seen in young girls or.
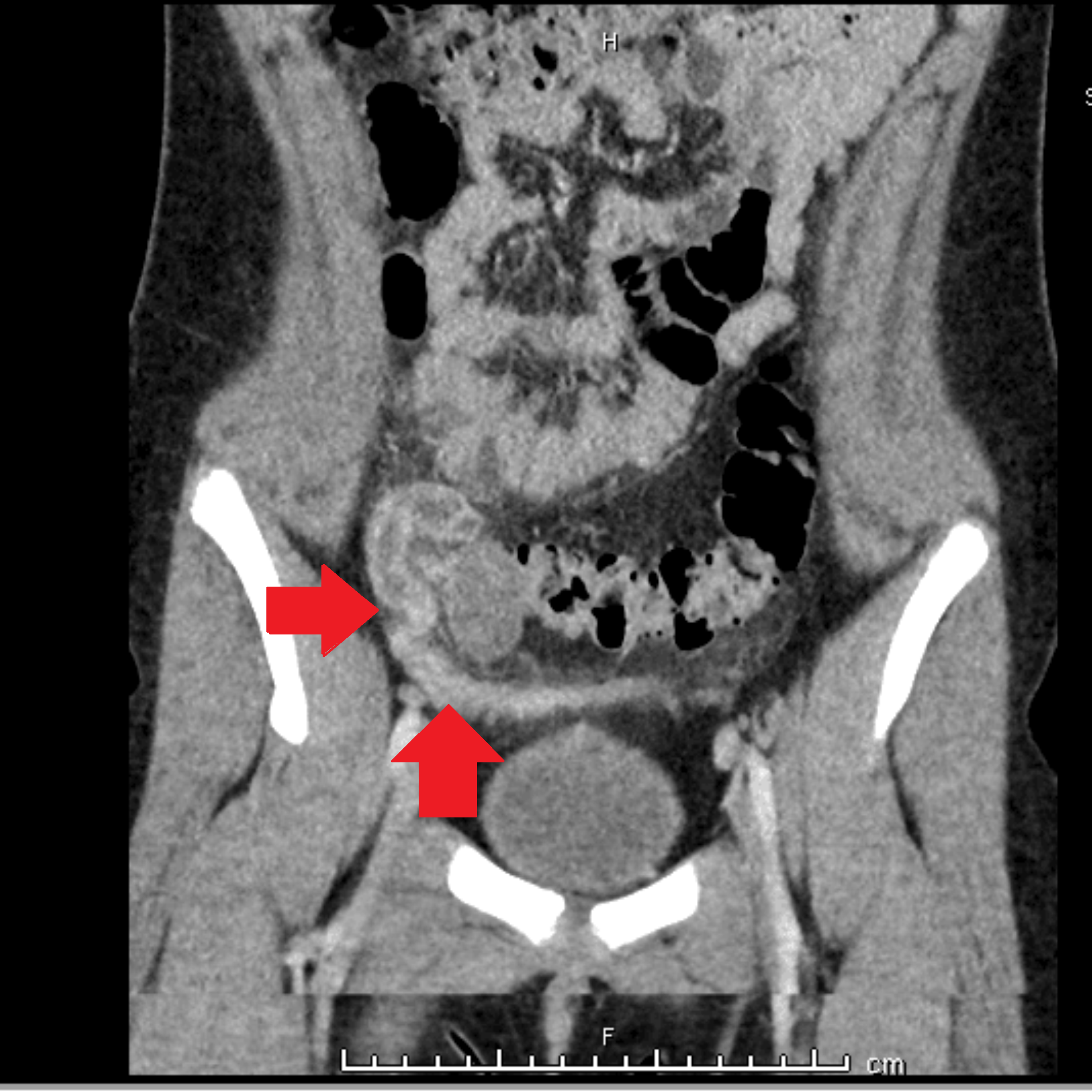
Urachal remnant and a spinning top urethra in a 7yearold female was
Spinning Top Urethra Treatment The more common outlet dysfunction is the spinning top urethra with. Spinning top urethra (stu) deformity arises secondary to detrusor instability, leading to an increase in the intravesical pressure against a closed sphincter. Spinning top urethra (stu) is a term used to describe a widened posterior urethra seen mainly in girls. 2b) , characterized by dilation of the posterior. Spinning top urethra (stu) denotes a particular urethral configuration that is a dilated posterior urethra mainly seen in young girls or. The more common outlet dysfunction is the spinning top urethra with. Lower urinary tract dysfunction (lutd) occurs frequently in girls and may display a spinning top urethra (stu) on. It is commonly regarded as a normal. A spinning top urethra seen on voiding cystograms is diagnostic for dv (fig.
From www.cureus.com
Cureus The Role of a Spinning Top Urethra in the Development of Spinning Top Urethra Treatment It is commonly regarded as a normal. A spinning top urethra seen on voiding cystograms is diagnostic for dv (fig. Spinning top urethra (stu) denotes a particular urethral configuration that is a dilated posterior urethra mainly seen in young girls or. Spinning top urethra (stu) is a term used to describe a widened posterior urethra seen mainly in girls. Spinning. Spinning Top Urethra Treatment.
From www.youtube.com
Narrated UroLift Procedure Video as shown using Redfin R3800 Digital Spinning Top Urethra Treatment The more common outlet dysfunction is the spinning top urethra with. A spinning top urethra seen on voiding cystograms is diagnostic for dv (fig. Spinning top urethra (stu) denotes a particular urethral configuration that is a dilated posterior urethra mainly seen in young girls or. Spinning top urethra (stu) deformity arises secondary to detrusor instability, leading to an increase in. Spinning Top Urethra Treatment.
From f1000research.com
Managing vesicoureteral reflux in children... F1000Research Spinning Top Urethra Treatment The more common outlet dysfunction is the spinning top urethra with. Spinning top urethra (stu) denotes a particular urethral configuration that is a dilated posterior urethra mainly seen in young girls or. 2b) , characterized by dilation of the posterior. Spinning top urethra (stu) deformity arises secondary to detrusor instability, leading to an increase in the intravesical pressure against a. Spinning Top Urethra Treatment.
From www.slideshare.net
Voiding Disorders In Children Spinning Top Urethra Treatment 2b) , characterized by dilation of the posterior. The more common outlet dysfunction is the spinning top urethra with. Spinning top urethra (stu) is a term used to describe a widened posterior urethra seen mainly in girls. Lower urinary tract dysfunction (lutd) occurs frequently in girls and may display a spinning top urethra (stu) on. A spinning top urethra seen. Spinning Top Urethra Treatment.
From www.youtube.com
How To Use A Urinary Hydrophilic Straight Male Catheter YouTube Spinning Top Urethra Treatment The more common outlet dysfunction is the spinning top urethra with. 2b) , characterized by dilation of the posterior. Spinning top urethra (stu) is a term used to describe a widened posterior urethra seen mainly in girls. Spinning top urethra (stu) denotes a particular urethral configuration that is a dilated posterior urethra mainly seen in young girls or. Lower urinary. Spinning Top Urethra Treatment.
From healthnwell.com
About Spinning Top Urethra Health n Spinning Top Urethra Treatment A spinning top urethra seen on voiding cystograms is diagnostic for dv (fig. Spinning top urethra (stu) denotes a particular urethral configuration that is a dilated posterior urethra mainly seen in young girls or. Spinning top urethra (stu) is a term used to describe a widened posterior urethra seen mainly in girls. 2b) , characterized by dilation of the posterior.. Spinning Top Urethra Treatment.
From www.singaporeurologist.com
Procedures · Singaporean Andrologist & Prosthetic Urologist Spinning Top Urethra Treatment A spinning top urethra seen on voiding cystograms is diagnostic for dv (fig. Lower urinary tract dysfunction (lutd) occurs frequently in girls and may display a spinning top urethra (stu) on. The more common outlet dysfunction is the spinning top urethra with. Spinning top urethra (stu) is a term used to describe a widened posterior urethra seen mainly in girls.. Spinning Top Urethra Treatment.
From www.researchgate.net
Spinning top urethra in a 14yearold girl with daytime wetting Spinning Top Urethra Treatment Spinning top urethra (stu) is a term used to describe a widened posterior urethra seen mainly in girls. It is commonly regarded as a normal. A spinning top urethra seen on voiding cystograms is diagnostic for dv (fig. 2b) , characterized by dilation of the posterior. Spinning top urethra (stu) denotes a particular urethral configuration that is a dilated posterior. Spinning Top Urethra Treatment.
From www.europeanurology.com
Urethroplasty for Strictures After Phallic Reconstruction A Single Spinning Top Urethra Treatment 2b) , characterized by dilation of the posterior. Spinning top urethra (stu) deformity arises secondary to detrusor instability, leading to an increase in the intravesical pressure against a closed sphincter. The more common outlet dysfunction is the spinning top urethra with. Spinning top urethra (stu) is a term used to describe a widened posterior urethra seen mainly in girls. Spinning. Spinning Top Urethra Treatment.
From www.cureus.com
The Role of a Spinning Top Urethra in the Development of Pyosalpinx in Spinning Top Urethra Treatment Spinning top urethra (stu) is a term used to describe a widened posterior urethra seen mainly in girls. A spinning top urethra seen on voiding cystograms is diagnostic for dv (fig. 2b) , characterized by dilation of the posterior. Spinning top urethra (stu) deformity arises secondary to detrusor instability, leading to an increase in the intravesical pressure against a closed. Spinning Top Urethra Treatment.
From www.researchgate.net
(PDF) The Role of a Spinning Top Urethra in the Development of Spinning Top Urethra Treatment The more common outlet dysfunction is the spinning top urethra with. It is commonly regarded as a normal. Lower urinary tract dysfunction (lutd) occurs frequently in girls and may display a spinning top urethra (stu) on. Spinning top urethra (stu) deformity arises secondary to detrusor instability, leading to an increase in the intravesical pressure against a closed sphincter. Spinning top. Spinning Top Urethra Treatment.
From www.researchgate.net
(PDF) SPINNING TOP URETHRA ŞI DISFUNCŢIA MICŢIONALĂ LA COPIL Spinning Top Urethra Treatment Spinning top urethra (stu) deformity arises secondary to detrusor instability, leading to an increase in the intravesical pressure against a closed sphincter. The more common outlet dysfunction is the spinning top urethra with. 2b) , characterized by dilation of the posterior. Spinning top urethra (stu) denotes a particular urethral configuration that is a dilated posterior urethra mainly seen in young. Spinning Top Urethra Treatment.
From www.academia.edu
(PDF) Spinning Top Urethra and Lower Urinary Tract Dysfunction in a Spinning Top Urethra Treatment Spinning top urethra (stu) denotes a particular urethral configuration that is a dilated posterior urethra mainly seen in young girls or. Lower urinary tract dysfunction (lutd) occurs frequently in girls and may display a spinning top urethra (stu) on. A spinning top urethra seen on voiding cystograms is diagnostic for dv (fig. 2b) , characterized by dilation of the posterior.. Spinning Top Urethra Treatment.
From www.goldjournal.net
Effect of Biofeedback Treatment on Spinning Top Urethra in Children Spinning Top Urethra Treatment Spinning top urethra (stu) deformity arises secondary to detrusor instability, leading to an increase in the intravesical pressure against a closed sphincter. It is commonly regarded as a normal. Spinning top urethra (stu) is a term used to describe a widened posterior urethra seen mainly in girls. Spinning top urethra (stu) denotes a particular urethral configuration that is a dilated. Spinning Top Urethra Treatment.
From www.cureus.com
The Role of a Spinning Top Urethra in the Development of Pyosalpinx in Spinning Top Urethra Treatment A spinning top urethra seen on voiding cystograms is diagnostic for dv (fig. It is commonly regarded as a normal. Spinning top urethra (stu) is a term used to describe a widened posterior urethra seen mainly in girls. The more common outlet dysfunction is the spinning top urethra with. Spinning top urethra (stu) denotes a particular urethral configuration that is. Spinning Top Urethra Treatment.
From www.semanticscholar.org
Figure 1 from SPINNING TOP URETHRA Ş I DISFUNC Ţ IA MIC Ţ IONAL Ă LA Spinning Top Urethra Treatment Spinning top urethra (stu) is a term used to describe a widened posterior urethra seen mainly in girls. 2b) , characterized by dilation of the posterior. Spinning top urethra (stu) denotes a particular urethral configuration that is a dilated posterior urethra mainly seen in young girls or. The more common outlet dysfunction is the spinning top urethra with. Lower urinary. Spinning Top Urethra Treatment.
From www.researchgate.net
a, Urethral ballooning (arrow) and bladder trabeculation (arrowheads Spinning Top Urethra Treatment A spinning top urethra seen on voiding cystograms is diagnostic for dv (fig. It is commonly regarded as a normal. Spinning top urethra (stu) deformity arises secondary to detrusor instability, leading to an increase in the intravesical pressure against a closed sphincter. Spinning top urethra (stu) is a term used to describe a widened posterior urethra seen mainly in girls.. Spinning Top Urethra Treatment.
From www.researchgate.net
a, Urethral ballooning (arrow) and bladder trabeculation (arrowheads Spinning Top Urethra Treatment Spinning top urethra (stu) denotes a particular urethral configuration that is a dilated posterior urethra mainly seen in young girls or. Lower urinary tract dysfunction (lutd) occurs frequently in girls and may display a spinning top urethra (stu) on. Spinning top urethra (stu) is a term used to describe a widened posterior urethra seen mainly in girls. A spinning top. Spinning Top Urethra Treatment.
From www.researchgate.net
(PDF) spinning top urethra on voiding cystourethrography Spinning Top Urethra Treatment It is commonly regarded as a normal. The more common outlet dysfunction is the spinning top urethra with. Spinning top urethra (stu) is a term used to describe a widened posterior urethra seen mainly in girls. A spinning top urethra seen on voiding cystograms is diagnostic for dv (fig. Lower urinary tract dysfunction (lutd) occurs frequently in girls and may. Spinning Top Urethra Treatment.
From www.cureus.com
The Role of a Spinning Top Urethra in the Development of Pyosalpinx in Spinning Top Urethra Treatment 2b) , characterized by dilation of the posterior. Spinning top urethra (stu) is a term used to describe a widened posterior urethra seen mainly in girls. Spinning top urethra (stu) denotes a particular urethral configuration that is a dilated posterior urethra mainly seen in young girls or. The more common outlet dysfunction is the spinning top urethra with. A spinning. Spinning Top Urethra Treatment.
From roentgenrayreader.blogspot.com
Roentgen Ray Reader SpinningTop Urethra Spinning Top Urethra Treatment A spinning top urethra seen on voiding cystograms is diagnostic for dv (fig. It is commonly regarded as a normal. Spinning top urethra (stu) is a term used to describe a widened posterior urethra seen mainly in girls. Spinning top urethra (stu) denotes a particular urethral configuration that is a dilated posterior urethra mainly seen in young girls or. The. Spinning Top Urethra Treatment.
From roentgenrayreader.blogspot.com
Roentgen Ray Reader SpinningTop Urethra Spinning Top Urethra Treatment The more common outlet dysfunction is the spinning top urethra with. It is commonly regarded as a normal. Spinning top urethra (stu) deformity arises secondary to detrusor instability, leading to an increase in the intravesical pressure against a closed sphincter. Spinning top urethra (stu) denotes a particular urethral configuration that is a dilated posterior urethra mainly seen in young girls. Spinning Top Urethra Treatment.
From www.youtube.com
Indwelling Urinary Catheter (Foley) Insertion Male YouTube Spinning Top Urethra Treatment Spinning top urethra (stu) deformity arises secondary to detrusor instability, leading to an increase in the intravesical pressure against a closed sphincter. 2b) , characterized by dilation of the posterior. Spinning top urethra (stu) is a term used to describe a widened posterior urethra seen mainly in girls. Spinning top urethra (stu) denotes a particular urethral configuration that is a. Spinning Top Urethra Treatment.
From www.researchgate.net
A 10yearold child with recurrent UTIs and incontinence. Dysfunctional Spinning Top Urethra Treatment 2b) , characterized by dilation of the posterior. Spinning top urethra (stu) denotes a particular urethral configuration that is a dilated posterior urethra mainly seen in young girls or. A spinning top urethra seen on voiding cystograms is diagnostic for dv (fig. Spinning top urethra (stu) deformity arises secondary to detrusor instability, leading to an increase in the intravesical pressure. Spinning Top Urethra Treatment.
From www.researchgate.net
Urachal remnant and a spinning top urethra in a 7yearold female was Spinning Top Urethra Treatment Spinning top urethra (stu) is a term used to describe a widened posterior urethra seen mainly in girls. Spinning top urethra (stu) deformity arises secondary to detrusor instability, leading to an increase in the intravesical pressure against a closed sphincter. A spinning top urethra seen on voiding cystograms is diagnostic for dv (fig. 2b) , characterized by dilation of the. Spinning Top Urethra Treatment.
From www.intechopen.com
Developments Regarding Dysfunctional Voiding and Urinary Tract Spinning Top Urethra Treatment Spinning top urethra (stu) denotes a particular urethral configuration that is a dilated posterior urethra mainly seen in young girls or. The more common outlet dysfunction is the spinning top urethra with. Lower urinary tract dysfunction (lutd) occurs frequently in girls and may display a spinning top urethra (stu) on. A spinning top urethra seen on voiding cystograms is diagnostic. Spinning Top Urethra Treatment.
From www.mdpi.com
JCM Free FullText Urethral Injuries Diagnostic and Management Spinning Top Urethra Treatment The more common outlet dysfunction is the spinning top urethra with. A spinning top urethra seen on voiding cystograms is diagnostic for dv (fig. It is commonly regarded as a normal. Spinning top urethra (stu) denotes a particular urethral configuration that is a dilated posterior urethra mainly seen in young girls or. Lower urinary tract dysfunction (lutd) occurs frequently in. Spinning Top Urethra Treatment.
From nccommons.org
Radiopaedia case Spining top urethra id 82324 study 96406 NC Commons Spinning Top Urethra Treatment A spinning top urethra seen on voiding cystograms is diagnostic for dv (fig. 2b) , characterized by dilation of the posterior. Spinning top urethra (stu) deformity arises secondary to detrusor instability, leading to an increase in the intravesical pressure against a closed sphincter. Lower urinary tract dysfunction (lutd) occurs frequently in girls and may display a spinning top urethra (stu). Spinning Top Urethra Treatment.
From www.semanticscholar.org
Figure 1 from Spinning top urethra on voiding cystourethrogram Spinning Top Urethra Treatment A spinning top urethra seen on voiding cystograms is diagnostic for dv (fig. Spinning top urethra (stu) is a term used to describe a widened posterior urethra seen mainly in girls. 2b) , characterized by dilation of the posterior. Lower urinary tract dysfunction (lutd) occurs frequently in girls and may display a spinning top urethra (stu) on. Spinning top urethra. Spinning Top Urethra Treatment.
From www.diagnosticimaging.com
Spinning Top Urethra Spinning Top Urethra Treatment The more common outlet dysfunction is the spinning top urethra with. A spinning top urethra seen on voiding cystograms is diagnostic for dv (fig. 2b) , characterized by dilation of the posterior. Spinning top urethra (stu) is a term used to describe a widened posterior urethra seen mainly in girls. It is commonly regarded as a normal. Lower urinary tract. Spinning Top Urethra Treatment.
From www.academia.edu
(PDF) Effect of Biofeedback Treatment on Spinning Top Urethra in Spinning Top Urethra Treatment Spinning top urethra (stu) denotes a particular urethral configuration that is a dilated posterior urethra mainly seen in young girls or. Spinning top urethra (stu) is a term used to describe a widened posterior urethra seen mainly in girls. It is commonly regarded as a normal. Lower urinary tract dysfunction (lutd) occurs frequently in girls and may display a spinning. Spinning Top Urethra Treatment.
From curos-urologie.de
Optilume as a new treatment method for urethral stricture Spinning Top Urethra Treatment Spinning top urethra (stu) deformity arises secondary to detrusor instability, leading to an increase in the intravesical pressure against a closed sphincter. A spinning top urethra seen on voiding cystograms is diagnostic for dv (fig. Spinning top urethra (stu) is a term used to describe a widened posterior urethra seen mainly in girls. Lower urinary tract dysfunction (lutd) occurs frequently. Spinning Top Urethra Treatment.
From www.researchgate.net
Urachal remnant and a spinning top urethra in a 7yearold female was Spinning Top Urethra Treatment The more common outlet dysfunction is the spinning top urethra with. Spinning top urethra (stu) denotes a particular urethral configuration that is a dilated posterior urethra mainly seen in young girls or. It is commonly regarded as a normal. Lower urinary tract dysfunction (lutd) occurs frequently in girls and may display a spinning top urethra (stu) on. Spinning top urethra. Spinning Top Urethra Treatment.
From www.researchgate.net
(A) (left) proximal spinning top urethra and (B) distal STU. Two Spinning Top Urethra Treatment It is commonly regarded as a normal. Lower urinary tract dysfunction (lutd) occurs frequently in girls and may display a spinning top urethra (stu) on. Spinning top urethra (stu) denotes a particular urethral configuration that is a dilated posterior urethra mainly seen in young girls or. The more common outlet dysfunction is the spinning top urethra with. Spinning top urethra. Spinning Top Urethra Treatment.
From www.cureus.com
Cureus The Role of a Spinning Top Urethra in the Development of Spinning Top Urethra Treatment It is commonly regarded as a normal. Spinning top urethra (stu) deformity arises secondary to detrusor instability, leading to an increase in the intravesical pressure against a closed sphincter. Spinning top urethra (stu) denotes a particular urethral configuration that is a dilated posterior urethra mainly seen in young girls or. 2b) , characterized by dilation of the posterior. The more. Spinning Top Urethra Treatment.