What Is Enamel Abrasion . Enamel helps protect your teeth from daily use such as chewing, biting, crunching,. what does tooth enamel do? enamel microabrasion is a cosmetic dentistry treatment that involves removing a very thin layer of enamel from. this technique removes superficial and intrinsic defects from teeth with minimal tissue loss. Ideal for removing superficial white and brown decalcification stains due to enamel.
from www.youtube.com
Ideal for removing superficial white and brown decalcification stains due to enamel. what does tooth enamel do? this technique removes superficial and intrinsic defects from teeth with minimal tissue loss. Enamel helps protect your teeth from daily use such as chewing, biting, crunching,. enamel microabrasion is a cosmetic dentistry treatment that involves removing a very thin layer of enamel from.
Case Selection for Enamel Microabrasion YouTube
What Is Enamel Abrasion this technique removes superficial and intrinsic defects from teeth with minimal tissue loss. this technique removes superficial and intrinsic defects from teeth with minimal tissue loss. what does tooth enamel do? enamel microabrasion is a cosmetic dentistry treatment that involves removing a very thin layer of enamel from. Enamel helps protect your teeth from daily use such as chewing, biting, crunching,. Ideal for removing superficial white and brown decalcification stains due to enamel.
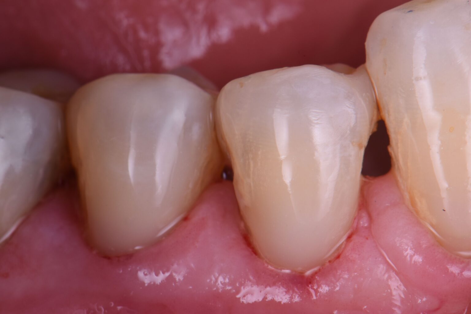
From www.clarencetam.co.nz
Restoring combination abrasion and hypocalcified enamel Restoring What Is Enamel Abrasion Enamel helps protect your teeth from daily use such as chewing, biting, crunching,. this technique removes superficial and intrinsic defects from teeth with minimal tissue loss. what does tooth enamel do? enamel microabrasion is a cosmetic dentistry treatment that involves removing a very thin layer of enamel from. Ideal for removing superficial white and brown decalcification stains. What Is Enamel Abrasion.
From dentagama.com
Enamel Microabrasion News Dentagama What Is Enamel Abrasion what does tooth enamel do? enamel microabrasion is a cosmetic dentistry treatment that involves removing a very thin layer of enamel from. this technique removes superficial and intrinsic defects from teeth with minimal tissue loss. Ideal for removing superficial white and brown decalcification stains due to enamel. Enamel helps protect your teeth from daily use such as. What Is Enamel Abrasion.
From smilekyle.com
acid erosion causes tooth enamel erosion Smile Kyle NEO Dentistry What Is Enamel Abrasion Ideal for removing superficial white and brown decalcification stains due to enamel. Enamel helps protect your teeth from daily use such as chewing, biting, crunching,. this technique removes superficial and intrinsic defects from teeth with minimal tissue loss. enamel microabrasion is a cosmetic dentistry treatment that involves removing a very thin layer of enamel from. what does. What Is Enamel Abrasion.
From dentagama.com
What is the difference between dental attrition, abfraction, erosion What Is Enamel Abrasion Ideal for removing superficial white and brown decalcification stains due to enamel. this technique removes superficial and intrinsic defects from teeth with minimal tissue loss. enamel microabrasion is a cosmetic dentistry treatment that involves removing a very thin layer of enamel from. Enamel helps protect your teeth from daily use such as chewing, biting, crunching,. what does. What Is Enamel Abrasion.
From www.healthline.com
Abfraction Symptoms, Causes, and Treatment What Is Enamel Abrasion Ideal for removing superficial white and brown decalcification stains due to enamel. what does tooth enamel do? this technique removes superficial and intrinsic defects from teeth with minimal tissue loss. Enamel helps protect your teeth from daily use such as chewing, biting, crunching,. enamel microabrasion is a cosmetic dentistry treatment that involves removing a very thin layer. What Is Enamel Abrasion.
From greeleydental.com
Dental Abrasion What is it and do You Need it? Ascent Family Dental What Is Enamel Abrasion Enamel helps protect your teeth from daily use such as chewing, biting, crunching,. this technique removes superficial and intrinsic defects from teeth with minimal tissue loss. Ideal for removing superficial white and brown decalcification stains due to enamel. enamel microabrasion is a cosmetic dentistry treatment that involves removing a very thin layer of enamel from. what does. What Is Enamel Abrasion.
From timesofindia.indiatimes.com
Is the silent shield of your teeth under attack? Enamel Erosion Its What Is Enamel Abrasion Ideal for removing superficial white and brown decalcification stains due to enamel. this technique removes superficial and intrinsic defects from teeth with minimal tissue loss. enamel microabrasion is a cosmetic dentistry treatment that involves removing a very thin layer of enamel from. what does tooth enamel do? Enamel helps protect your teeth from daily use such as. What Is Enamel Abrasion.
From dentagama.com
Enamel Microabrasion News Dentagama What Is Enamel Abrasion this technique removes superficial and intrinsic defects from teeth with minimal tissue loss. Enamel helps protect your teeth from daily use such as chewing, biting, crunching,. Ideal for removing superficial white and brown decalcification stains due to enamel. enamel microabrasion is a cosmetic dentistry treatment that involves removing a very thin layer of enamel from. what does. What Is Enamel Abrasion.
From fraufowler.com
Enamel Abrasion RDA Enamel Abrasion Question and Answer What Is Enamel Abrasion this technique removes superficial and intrinsic defects from teeth with minimal tissue loss. Enamel helps protect your teeth from daily use such as chewing, biting, crunching,. Ideal for removing superficial white and brown decalcification stains due to enamel. enamel microabrasion is a cosmetic dentistry treatment that involves removing a very thin layer of enamel from. what does. What Is Enamel Abrasion.
From www.pccdental.com
Enamel Microabrasion Patient Education Patient Education What Is Enamel Abrasion Ideal for removing superficial white and brown decalcification stains due to enamel. Enamel helps protect your teeth from daily use such as chewing, biting, crunching,. enamel microabrasion is a cosmetic dentistry treatment that involves removing a very thin layer of enamel from. what does tooth enamel do? this technique removes superficial and intrinsic defects from teeth with. What Is Enamel Abrasion.
From dxojxxrus.blob.core.windows.net
Enamel Microabrasion Dublin at Shawn Stewart blog What Is Enamel Abrasion Enamel helps protect your teeth from daily use such as chewing, biting, crunching,. Ideal for removing superficial white and brown decalcification stains due to enamel. what does tooth enamel do? enamel microabrasion is a cosmetic dentistry treatment that involves removing a very thin layer of enamel from. this technique removes superficial and intrinsic defects from teeth with. What Is Enamel Abrasion.
From en.ultradent.blog
Enamel Microabrasion StepbyStep Technique What Is Enamel Abrasion Enamel helps protect your teeth from daily use such as chewing, biting, crunching,. this technique removes superficial and intrinsic defects from teeth with minimal tissue loss. what does tooth enamel do? Ideal for removing superficial white and brown decalcification stains due to enamel. enamel microabrasion is a cosmetic dentistry treatment that involves removing a very thin layer. What Is Enamel Abrasion.
From alrezfamilydentistry.com
Enamel Microabrasion in Glen Mills, PA Alrez Family Dentistry What Is Enamel Abrasion Ideal for removing superficial white and brown decalcification stains due to enamel. Enamel helps protect your teeth from daily use such as chewing, biting, crunching,. enamel microabrasion is a cosmetic dentistry treatment that involves removing a very thin layer of enamel from. this technique removes superficial and intrinsic defects from teeth with minimal tissue loss. what does. What Is Enamel Abrasion.
From chestertonfamilydental.com
Transformation Tuesday Dental Microabrasion Chesterton Family Dental What Is Enamel Abrasion Enamel helps protect your teeth from daily use such as chewing, biting, crunching,. what does tooth enamel do? this technique removes superficial and intrinsic defects from teeth with minimal tissue loss. enamel microabrasion is a cosmetic dentistry treatment that involves removing a very thin layer of enamel from. Ideal for removing superficial white and brown decalcification stains. What Is Enamel Abrasion.
From ancellsfarmdentalclinic.com
What causes worn teeth? Teeth Erosion Treatment Fleet Dentist What Is Enamel Abrasion Enamel helps protect your teeth from daily use such as chewing, biting, crunching,. Ideal for removing superficial white and brown decalcification stains due to enamel. enamel microabrasion is a cosmetic dentistry treatment that involves removing a very thin layer of enamel from. what does tooth enamel do? this technique removes superficial and intrinsic defects from teeth with. What Is Enamel Abrasion.
From directorioodontologico.blogspot.com
What You Need to Know About Tooth Enamel Erosion Directorio Odontológico What Is Enamel Abrasion Ideal for removing superficial white and brown decalcification stains due to enamel. this technique removes superficial and intrinsic defects from teeth with minimal tissue loss. what does tooth enamel do? enamel microabrasion is a cosmetic dentistry treatment that involves removing a very thin layer of enamel from. Enamel helps protect your teeth from daily use such as. What Is Enamel Abrasion.
From theelitedental.com
01 Enamel Erosion Causes, Treatment & Prevention Elite Dental Care What Is Enamel Abrasion this technique removes superficial and intrinsic defects from teeth with minimal tissue loss. what does tooth enamel do? enamel microabrasion is a cosmetic dentistry treatment that involves removing a very thin layer of enamel from. Enamel helps protect your teeth from daily use such as chewing, biting, crunching,. Ideal for removing superficial white and brown decalcification stains. What Is Enamel Abrasion.
From dentagama.com
What is the difference between dental attrition, abfraction, erosion What Is Enamel Abrasion Enamel helps protect your teeth from daily use such as chewing, biting, crunching,. this technique removes superficial and intrinsic defects from teeth with minimal tissue loss. what does tooth enamel do? Ideal for removing superficial white and brown decalcification stains due to enamel. enamel microabrasion is a cosmetic dentistry treatment that involves removing a very thin layer. What Is Enamel Abrasion.
From ostrowon.usc.edu
The Dentist's Guide to Tooth Erosion, Attrition, Abrasion & Abfraction What Is Enamel Abrasion Ideal for removing superficial white and brown decalcification stains due to enamel. this technique removes superficial and intrinsic defects from teeth with minimal tissue loss. what does tooth enamel do? Enamel helps protect your teeth from daily use such as chewing, biting, crunching,. enamel microabrasion is a cosmetic dentistry treatment that involves removing a very thin layer. What Is Enamel Abrasion.
From www.youtube.com
Case Selection for Enamel Microabrasion YouTube What Is Enamel Abrasion Enamel helps protect your teeth from daily use such as chewing, biting, crunching,. this technique removes superficial and intrinsic defects from teeth with minimal tissue loss. enamel microabrasion is a cosmetic dentistry treatment that involves removing a very thin layer of enamel from. Ideal for removing superficial white and brown decalcification stains due to enamel. what does. What Is Enamel Abrasion.
From www.tcdentalpros.com
What Is Enamel Erosion? What Is Enamel Abrasion this technique removes superficial and intrinsic defects from teeth with minimal tissue loss. Enamel helps protect your teeth from daily use such as chewing, biting, crunching,. what does tooth enamel do? enamel microabrasion is a cosmetic dentistry treatment that involves removing a very thin layer of enamel from. Ideal for removing superficial white and brown decalcification stains. What Is Enamel Abrasion.
From lemesosdental.com
Tooth Abrasion & Tooth Erosion Lemesos Dental Clinic Ltd What Is Enamel Abrasion Enamel helps protect your teeth from daily use such as chewing, biting, crunching,. this technique removes superficial and intrinsic defects from teeth with minimal tissue loss. enamel microabrasion is a cosmetic dentistry treatment that involves removing a very thin layer of enamel from. what does tooth enamel do? Ideal for removing superficial white and brown decalcification stains. What Is Enamel Abrasion.
From www.alamy.com
vector illustration of abrasion of enamel. the affected tooth Stock What Is Enamel Abrasion Ideal for removing superficial white and brown decalcification stains due to enamel. Enamel helps protect your teeth from daily use such as chewing, biting, crunching,. this technique removes superficial and intrinsic defects from teeth with minimal tissue loss. what does tooth enamel do? enamel microabrasion is a cosmetic dentistry treatment that involves removing a very thin layer. What Is Enamel Abrasion.
From dentagama.com
Enamel Microabrasion News Dentagama What Is Enamel Abrasion enamel microabrasion is a cosmetic dentistry treatment that involves removing a very thin layer of enamel from. this technique removes superficial and intrinsic defects from teeth with minimal tissue loss. what does tooth enamel do? Enamel helps protect your teeth from daily use such as chewing, biting, crunching,. Ideal for removing superficial white and brown decalcification stains. What Is Enamel Abrasion.
From www.researchgate.net
Attrition loss of enamel, dentin, or restoration by toothtotooth What Is Enamel Abrasion what does tooth enamel do? Enamel helps protect your teeth from daily use such as chewing, biting, crunching,. enamel microabrasion is a cosmetic dentistry treatment that involves removing a very thin layer of enamel from. Ideal for removing superficial white and brown decalcification stains due to enamel. this technique removes superficial and intrinsic defects from teeth with. What Is Enamel Abrasion.
From 32smiledesign.com.au
Dental Erosion and Dental Abrasion 32 Smile Design Schofields Dentistry What Is Enamel Abrasion enamel microabrasion is a cosmetic dentistry treatment that involves removing a very thin layer of enamel from. Ideal for removing superficial white and brown decalcification stains due to enamel. this technique removes superficial and intrinsic defects from teeth with minimal tissue loss. what does tooth enamel do? Enamel helps protect your teeth from daily use such as. What Is Enamel Abrasion.
From www.semanticscholar.org
Enamel Microabrasion Semantic Scholar What Is Enamel Abrasion enamel microabrasion is a cosmetic dentistry treatment that involves removing a very thin layer of enamel from. Enamel helps protect your teeth from daily use such as chewing, biting, crunching,. Ideal for removing superficial white and brown decalcification stains due to enamel. this technique removes superficial and intrinsic defects from teeth with minimal tissue loss. what does. What Is Enamel Abrasion.
From en.ultradent.blog
Enamel Microabrasion StepbyStep Technique What Is Enamel Abrasion Ideal for removing superficial white and brown decalcification stains due to enamel. enamel microabrasion is a cosmetic dentistry treatment that involves removing a very thin layer of enamel from. what does tooth enamel do? this technique removes superficial and intrinsic defects from teeth with minimal tissue loss. Enamel helps protect your teeth from daily use such as. What Is Enamel Abrasion.
From 32smiledesign.com.au
Dental Erosion and Dental Abrasion 32 Smile Design Schofields Dentistry What Is Enamel Abrasion what does tooth enamel do? Enamel helps protect your teeth from daily use such as chewing, biting, crunching,. enamel microabrasion is a cosmetic dentistry treatment that involves removing a very thin layer of enamel from. this technique removes superficial and intrinsic defects from teeth with minimal tissue loss. Ideal for removing superficial white and brown decalcification stains. What Is Enamel Abrasion.
From www.vrogue.co
Acid Erosion Causes Tooth Enamel Erosion Smile Kyle N vrogue.co What Is Enamel Abrasion what does tooth enamel do? this technique removes superficial and intrinsic defects from teeth with minimal tissue loss. Ideal for removing superficial white and brown decalcification stains due to enamel. Enamel helps protect your teeth from daily use such as chewing, biting, crunching,. enamel microabrasion is a cosmetic dentistry treatment that involves removing a very thin layer. What Is Enamel Abrasion.
From auroradentalgroup.com
Enamel Microabrasion Erasing Stains and Flaws for a Radiant Smile What Is Enamel Abrasion Ideal for removing superficial white and brown decalcification stains due to enamel. this technique removes superficial and intrinsic defects from teeth with minimal tissue loss. what does tooth enamel do? enamel microabrasion is a cosmetic dentistry treatment that involves removing a very thin layer of enamel from. Enamel helps protect your teeth from daily use such as. What Is Enamel Abrasion.
From theelitedental.com
Signs of Enamel Erosion Elite Dental Care What Is Enamel Abrasion enamel microabrasion is a cosmetic dentistry treatment that involves removing a very thin layer of enamel from. Ideal for removing superficial white and brown decalcification stains due to enamel. what does tooth enamel do? this technique removes superficial and intrinsic defects from teeth with minimal tissue loss. Enamel helps protect your teeth from daily use such as. What Is Enamel Abrasion.
From www.pinterest.com
Difference between dental erosion, enamel attrition, abfraction and What Is Enamel Abrasion Ideal for removing superficial white and brown decalcification stains due to enamel. enamel microabrasion is a cosmetic dentistry treatment that involves removing a very thin layer of enamel from. Enamel helps protect your teeth from daily use such as chewing, biting, crunching,. what does tooth enamel do? this technique removes superficial and intrinsic defects from teeth with. What Is Enamel Abrasion.
From wayzatadental.com
Enamel Microabrasion What It Is & How It Works (2022 Guide) What Is Enamel Abrasion enamel microabrasion is a cosmetic dentistry treatment that involves removing a very thin layer of enamel from. this technique removes superficial and intrinsic defects from teeth with minimal tissue loss. what does tooth enamel do? Enamel helps protect your teeth from daily use such as chewing, biting, crunching,. Ideal for removing superficial white and brown decalcification stains. What Is Enamel Abrasion.
From www.dentavita.md
Tooth enamel Teeth Abrasion After 30 Normal or Pathology What Is Enamel Abrasion Ideal for removing superficial white and brown decalcification stains due to enamel. enamel microabrasion is a cosmetic dentistry treatment that involves removing a very thin layer of enamel from. this technique removes superficial and intrinsic defects from teeth with minimal tissue loss. what does tooth enamel do? Enamel helps protect your teeth from daily use such as. What Is Enamel Abrasion.