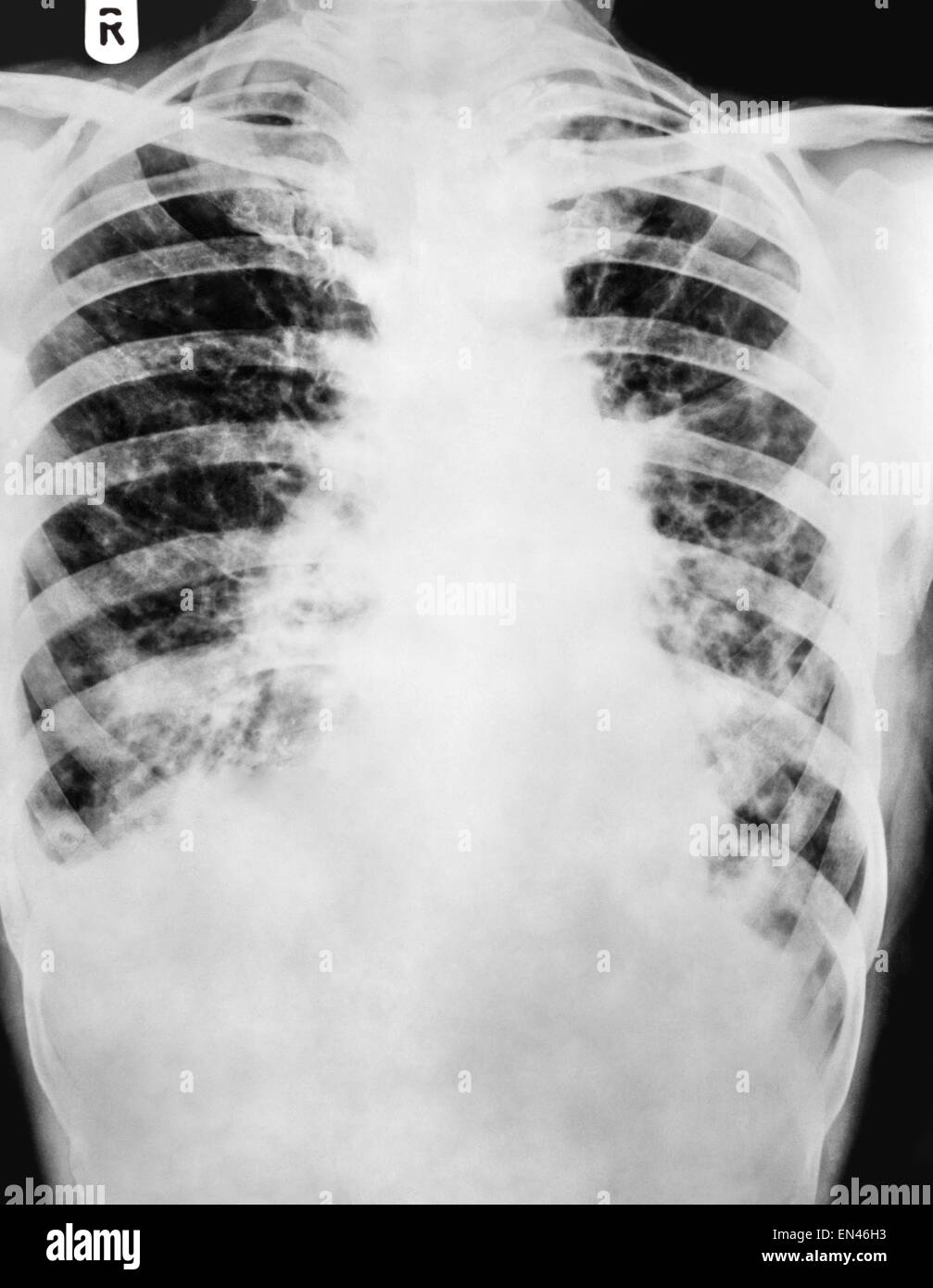
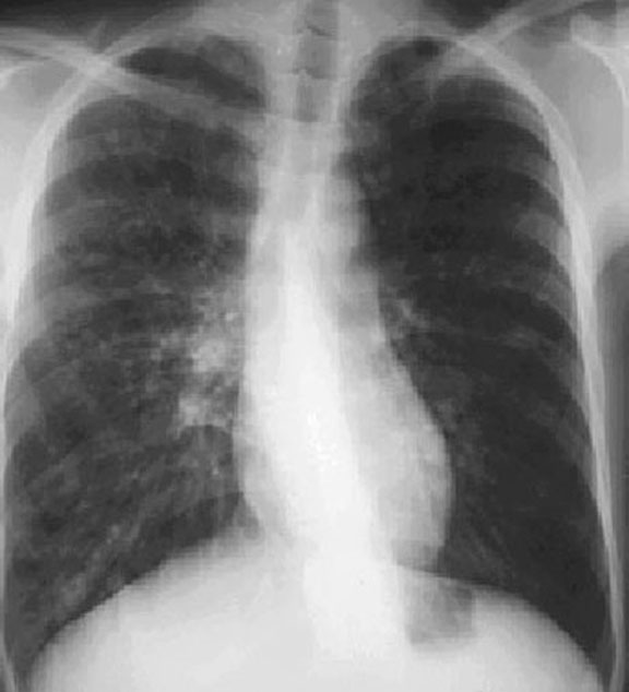
Central Bronchiectasis Chest X Ray . ct chest is the investigation of choice for diagnosing bronchiectasis 1, 10 ct can identify classify bronchiectasis into. Central bronchiectasis is more commonly seen in. central bronchiectasis is typically seen in: Allergic bronchopulmonary aspergillosis (abpa) congenital. recurring radiation exposure remains a concern when using serial ct scans to assess disease severity and. diagnosis of bronchiectasis is usually made using chest computed tomography (ct) scan, the current gold standard method. chest radiography is usually the initial study performed in suspected bronchiectasis. bronchiectasis is a common finding at ct, and understanding of the common and uncommon causes and their typical patterns of distribution. the location of bronchiectasis can also provide a clue as to the underlying disease cause.
from www.alamy.com
the location of bronchiectasis can also provide a clue as to the underlying disease cause. central bronchiectasis is typically seen in: Allergic bronchopulmonary aspergillosis (abpa) congenital. ct chest is the investigation of choice for diagnosing bronchiectasis 1, 10 ct can identify classify bronchiectasis into. bronchiectasis is a common finding at ct, and understanding of the common and uncommon causes and their typical patterns of distribution. recurring radiation exposure remains a concern when using serial ct scans to assess disease severity and. chest radiography is usually the initial study performed in suspected bronchiectasis. Central bronchiectasis is more commonly seen in. diagnosis of bronchiectasis is usually made using chest computed tomography (ct) scan, the current gold standard method.
"Bronchiectasis" Xray chest show multiple lung bleb and cyst due to
Central Bronchiectasis Chest X Ray chest radiography is usually the initial study performed in suspected bronchiectasis. diagnosis of bronchiectasis is usually made using chest computed tomography (ct) scan, the current gold standard method. central bronchiectasis is typically seen in: chest radiography is usually the initial study performed in suspected bronchiectasis. bronchiectasis is a common finding at ct, and understanding of the common and uncommon causes and their typical patterns of distribution. ct chest is the investigation of choice for diagnosing bronchiectasis 1, 10 ct can identify classify bronchiectasis into. the location of bronchiectasis can also provide a clue as to the underlying disease cause. Central bronchiectasis is more commonly seen in. recurring radiation exposure remains a concern when using serial ct scans to assess disease severity and. Allergic bronchopulmonary aspergillosis (abpa) congenital.
From www.stepwards.com
Bronchiectasis Stepwards Central Bronchiectasis Chest X Ray ct chest is the investigation of choice for diagnosing bronchiectasis 1, 10 ct can identify classify bronchiectasis into. diagnosis of bronchiectasis is usually made using chest computed tomography (ct) scan, the current gold standard method. chest radiography is usually the initial study performed in suspected bronchiectasis. bronchiectasis is a common finding at ct, and understanding of. Central Bronchiectasis Chest X Ray.
From bronchiectasis.com.au
Radiology Bronchiectasis Central Bronchiectasis Chest X Ray the location of bronchiectasis can also provide a clue as to the underlying disease cause. bronchiectasis is a common finding at ct, and understanding of the common and uncommon causes and their typical patterns of distribution. ct chest is the investigation of choice for diagnosing bronchiectasis 1, 10 ct can identify classify bronchiectasis into. recurring radiation. Central Bronchiectasis Chest X Ray.
From www.sciencephoto.com
Bronchiectasis, Xray Stock Image M120/0140 Science Photo Library Central Bronchiectasis Chest X Ray Central bronchiectasis is more commonly seen in. chest radiography is usually the initial study performed in suspected bronchiectasis. ct chest is the investigation of choice for diagnosing bronchiectasis 1, 10 ct can identify classify bronchiectasis into. recurring radiation exposure remains a concern when using serial ct scans to assess disease severity and. Allergic bronchopulmonary aspergillosis (abpa) congenital.. Central Bronchiectasis Chest X Ray.
From www.vrogue.co
Chest X Ray And Ct Scan Showing Bronchiectasis With A vrogue.co Central Bronchiectasis Chest X Ray bronchiectasis is a common finding at ct, and understanding of the common and uncommon causes and their typical patterns of distribution. recurring radiation exposure remains a concern when using serial ct scans to assess disease severity and. Central bronchiectasis is more commonly seen in. the location of bronchiectasis can also provide a clue as to the underlying. Central Bronchiectasis Chest X Ray.
From www.youtube.com
Chest xray Bronchiectasis on CT and Chest xray YouTube Central Bronchiectasis Chest X Ray Allergic bronchopulmonary aspergillosis (abpa) congenital. central bronchiectasis is typically seen in: the location of bronchiectasis can also provide a clue as to the underlying disease cause. diagnosis of bronchiectasis is usually made using chest computed tomography (ct) scan, the current gold standard method. bronchiectasis is a common finding at ct, and understanding of the common and. Central Bronchiectasis Chest X Ray.
From www.researchgate.net
Chest Xray showing B/L bronchiectasis with dextrocardia. Download Central Bronchiectasis Chest X Ray Allergic bronchopulmonary aspergillosis (abpa) congenital. bronchiectasis is a common finding at ct, and understanding of the common and uncommon causes and their typical patterns of distribution. ct chest is the investigation of choice for diagnosing bronchiectasis 1, 10 ct can identify classify bronchiectasis into. recurring radiation exposure remains a concern when using serial ct scans to assess. Central Bronchiectasis Chest X Ray.
From www.ctisus.com
Cystic Bronchiectasis on Chest Xray X Rays Case Studies CTisus CT Central Bronchiectasis Chest X Ray diagnosis of bronchiectasis is usually made using chest computed tomography (ct) scan, the current gold standard method. Allergic bronchopulmonary aspergillosis (abpa) congenital. central bronchiectasis is typically seen in: Central bronchiectasis is more commonly seen in. chest radiography is usually the initial study performed in suspected bronchiectasis. ct chest is the investigation of choice for diagnosing bronchiectasis. Central Bronchiectasis Chest X Ray.
From mavink.com
Bronchiectasis Chest X Ray Central Bronchiectasis Chest X Ray bronchiectasis is a common finding at ct, and understanding of the common and uncommon causes and their typical patterns of distribution. Central bronchiectasis is more commonly seen in. Allergic bronchopulmonary aspergillosis (abpa) congenital. chest radiography is usually the initial study performed in suspected bronchiectasis. recurring radiation exposure remains a concern when using serial ct scans to assess. Central Bronchiectasis Chest X Ray.
From bronchiectasis.com.au
Radiology Bronchiectasis Central Bronchiectasis Chest X Ray ct chest is the investigation of choice for diagnosing bronchiectasis 1, 10 ct can identify classify bronchiectasis into. diagnosis of bronchiectasis is usually made using chest computed tomography (ct) scan, the current gold standard method. recurring radiation exposure remains a concern when using serial ct scans to assess disease severity and. bronchiectasis is a common finding. Central Bronchiectasis Chest X Ray.
From mavink.com
Bronchiectasis Chest X Ray Central Bronchiectasis Chest X Ray central bronchiectasis is typically seen in: diagnosis of bronchiectasis is usually made using chest computed tomography (ct) scan, the current gold standard method. Allergic bronchopulmonary aspergillosis (abpa) congenital. ct chest is the investigation of choice for diagnosing bronchiectasis 1, 10 ct can identify classify bronchiectasis into. bronchiectasis is a common finding at ct, and understanding of. Central Bronchiectasis Chest X Ray.
From www.sciencephoto.com
Bronchiectasis, Xray Stock Image C026/9934 Science Photo Library Central Bronchiectasis Chest X Ray diagnosis of bronchiectasis is usually made using chest computed tomography (ct) scan, the current gold standard method. recurring radiation exposure remains a concern when using serial ct scans to assess disease severity and. central bronchiectasis is typically seen in: the location of bronchiectasis can also provide a clue as to the underlying disease cause. bronchiectasis. Central Bronchiectasis Chest X Ray.
From www.researchgate.net
CT scan Multicentric masses (red arrow) with central bronchiectasis Central Bronchiectasis Chest X Ray bronchiectasis is a common finding at ct, and understanding of the common and uncommon causes and their typical patterns of distribution. central bronchiectasis is typically seen in: Central bronchiectasis is more commonly seen in. diagnosis of bronchiectasis is usually made using chest computed tomography (ct) scan, the current gold standard method. chest radiography is usually the. Central Bronchiectasis Chest X Ray.
From www.animalia-life.club
Bronchitis Lungs Xray Central Bronchiectasis Chest X Ray Central bronchiectasis is more commonly seen in. ct chest is the investigation of choice for diagnosing bronchiectasis 1, 10 ct can identify classify bronchiectasis into. the location of bronchiectasis can also provide a clue as to the underlying disease cause. diagnosis of bronchiectasis is usually made using chest computed tomography (ct) scan, the current gold standard method.. Central Bronchiectasis Chest X Ray.
From www.vinmec.com
Bronchiectasis on xray Vinmec Central Bronchiectasis Chest X Ray Allergic bronchopulmonary aspergillosis (abpa) congenital. chest radiography is usually the initial study performed in suspected bronchiectasis. the location of bronchiectasis can also provide a clue as to the underlying disease cause. central bronchiectasis is typically seen in: Central bronchiectasis is more commonly seen in. bronchiectasis is a common finding at ct, and understanding of the common. Central Bronchiectasis Chest X Ray.
From pt.slideshare.net
Bronchiectasis causes and diagnosis Central Bronchiectasis Chest X Ray the location of bronchiectasis can also provide a clue as to the underlying disease cause. Allergic bronchopulmonary aspergillosis (abpa) congenital. central bronchiectasis is typically seen in: ct chest is the investigation of choice for diagnosing bronchiectasis 1, 10 ct can identify classify bronchiectasis into. bronchiectasis is a common finding at ct, and understanding of the common. Central Bronchiectasis Chest X Ray.
From pubs.rsna.org
Bronchiectasis Mechanisms and Imaging Clues of Associated Common and Central Bronchiectasis Chest X Ray ct chest is the investigation of choice for diagnosing bronchiectasis 1, 10 ct can identify classify bronchiectasis into. Central bronchiectasis is more commonly seen in. central bronchiectasis is typically seen in: Allergic bronchopulmonary aspergillosis (abpa) congenital. chest radiography is usually the initial study performed in suspected bronchiectasis. recurring radiation exposure remains a concern when using serial. Central Bronchiectasis Chest X Ray.
From www.svuhradiology.ie
Bronchiectasis CXR and CT Radiology at St. Vincent's University Central Bronchiectasis Chest X Ray Central bronchiectasis is more commonly seen in. ct chest is the investigation of choice for diagnosing bronchiectasis 1, 10 ct can identify classify bronchiectasis into. bronchiectasis is a common finding at ct, and understanding of the common and uncommon causes and their typical patterns of distribution. the location of bronchiectasis can also provide a clue as to. Central Bronchiectasis Chest X Ray.
From www.sciencephoto.com
Bronchiectasis, Xray Stock Image F034/1362 Science Photo Library Central Bronchiectasis Chest X Ray diagnosis of bronchiectasis is usually made using chest computed tomography (ct) scan, the current gold standard method. ct chest is the investigation of choice for diagnosing bronchiectasis 1, 10 ct can identify classify bronchiectasis into. central bronchiectasis is typically seen in: recurring radiation exposure remains a concern when using serial ct scans to assess disease severity. Central Bronchiectasis Chest X Ray.
From radiologykey.com
Bronchiectasis and Other Bronchial Abnormalities Radiology Key Central Bronchiectasis Chest X Ray the location of bronchiectasis can also provide a clue as to the underlying disease cause. Central bronchiectasis is more commonly seen in. chest radiography is usually the initial study performed in suspected bronchiectasis. central bronchiectasis is typically seen in: recurring radiation exposure remains a concern when using serial ct scans to assess disease severity and. Allergic. Central Bronchiectasis Chest X Ray.
From www.imagingpathways.health.wa.gov.au
Bronchiectasis Central Bronchiectasis Chest X Ray Allergic bronchopulmonary aspergillosis (abpa) congenital. bronchiectasis is a common finding at ct, and understanding of the common and uncommon causes and their typical patterns of distribution. ct chest is the investigation of choice for diagnosing bronchiectasis 1, 10 ct can identify classify bronchiectasis into. recurring radiation exposure remains a concern when using serial ct scans to assess. Central Bronchiectasis Chest X Ray.
From www.vrogue.co
Chest X Ray Bronchiectasis On Ct And Chest X Ray Yout vrogue.co Central Bronchiectasis Chest X Ray Central bronchiectasis is more commonly seen in. diagnosis of bronchiectasis is usually made using chest computed tomography (ct) scan, the current gold standard method. bronchiectasis is a common finding at ct, and understanding of the common and uncommon causes and their typical patterns of distribution. central bronchiectasis is typically seen in: ct chest is the investigation. Central Bronchiectasis Chest X Ray.
From www.sciencephoto.com
Bronchiectasis, Xray Stock Image C037/1495 Science Photo Library Central Bronchiectasis Chest X Ray recurring radiation exposure remains a concern when using serial ct scans to assess disease severity and. the location of bronchiectasis can also provide a clue as to the underlying disease cause. Central bronchiectasis is more commonly seen in. central bronchiectasis is typically seen in: bronchiectasis is a common finding at ct, and understanding of the common. Central Bronchiectasis Chest X Ray.
From www.dreamstime.com
Chest Xray Film of a Patient with Bronchiectasis Stock Photo Image of Central Bronchiectasis Chest X Ray recurring radiation exposure remains a concern when using serial ct scans to assess disease severity and. bronchiectasis is a common finding at ct, and understanding of the common and uncommon causes and their typical patterns of distribution. Central bronchiectasis is more commonly seen in. the location of bronchiectasis can also provide a clue as to the underlying. Central Bronchiectasis Chest X Ray.
From www.researchgate.net
CT scan of the chest without contrast shows central cystic Central Bronchiectasis Chest X Ray central bronchiectasis is typically seen in: recurring radiation exposure remains a concern when using serial ct scans to assess disease severity and. diagnosis of bronchiectasis is usually made using chest computed tomography (ct) scan, the current gold standard method. the location of bronchiectasis can also provide a clue as to the underlying disease cause. ct. Central Bronchiectasis Chest X Ray.
From radiopaedia.org
Image Central Bronchiectasis Chest X Ray central bronchiectasis is typically seen in: bronchiectasis is a common finding at ct, and understanding of the common and uncommon causes and their typical patterns of distribution. ct chest is the investigation of choice for diagnosing bronchiectasis 1, 10 ct can identify classify bronchiectasis into. Allergic bronchopulmonary aspergillosis (abpa) congenital. diagnosis of bronchiectasis is usually made. Central Bronchiectasis Chest X Ray.
From openi.nlm.nih.gov
Chest radiograph shows central bronchiectasis (arrow) i Openi Central Bronchiectasis Chest X Ray Allergic bronchopulmonary aspergillosis (abpa) congenital. central bronchiectasis is typically seen in: ct chest is the investigation of choice for diagnosing bronchiectasis 1, 10 ct can identify classify bronchiectasis into. the location of bronchiectasis can also provide a clue as to the underlying disease cause. recurring radiation exposure remains a concern when using serial ct scans to. Central Bronchiectasis Chest X Ray.
From www.alamy.com
"Bronchiectasis" Xray chest show multiple lung bleb and cyst due to Central Bronchiectasis Chest X Ray central bronchiectasis is typically seen in: ct chest is the investigation of choice for diagnosing bronchiectasis 1, 10 ct can identify classify bronchiectasis into. bronchiectasis is a common finding at ct, and understanding of the common and uncommon causes and their typical patterns of distribution. the location of bronchiectasis can also provide a clue as to. Central Bronchiectasis Chest X Ray.
From radiologykey.com
Bronchiectasis and Other Bronchial Abnormalities Radiology Key Central Bronchiectasis Chest X Ray bronchiectasis is a common finding at ct, and understanding of the common and uncommon causes and their typical patterns of distribution. recurring radiation exposure remains a concern when using serial ct scans to assess disease severity and. central bronchiectasis is typically seen in: the location of bronchiectasis can also provide a clue as to the underlying. Central Bronchiectasis Chest X Ray.
From www.diomedia.com
STOCK IMAGE, xray of the chest frontal view showing bronchiectasis Central Bronchiectasis Chest X Ray chest radiography is usually the initial study performed in suspected bronchiectasis. ct chest is the investigation of choice for diagnosing bronchiectasis 1, 10 ct can identify classify bronchiectasis into. Central bronchiectasis is more commonly seen in. Allergic bronchopulmonary aspergillosis (abpa) congenital. bronchiectasis is a common finding at ct, and understanding of the common and uncommon causes and. Central Bronchiectasis Chest X Ray.
From www.alamy.com
xray through human chest thoracic cavity showing shadow on the lung Central Bronchiectasis Chest X Ray central bronchiectasis is typically seen in: chest radiography is usually the initial study performed in suspected bronchiectasis. ct chest is the investigation of choice for diagnosing bronchiectasis 1, 10 ct can identify classify bronchiectasis into. Central bronchiectasis is more commonly seen in. diagnosis of bronchiectasis is usually made using chest computed tomography (ct) scan, the current. Central Bronchiectasis Chest X Ray.
From mavink.com
Bronchiectasis Chest X Ray Central Bronchiectasis Chest X Ray chest radiography is usually the initial study performed in suspected bronchiectasis. the location of bronchiectasis can also provide a clue as to the underlying disease cause. central bronchiectasis is typically seen in: Central bronchiectasis is more commonly seen in. Allergic bronchopulmonary aspergillosis (abpa) congenital. diagnosis of bronchiectasis is usually made using chest computed tomography (ct) scan,. Central Bronchiectasis Chest X Ray.
From bronchiectasis.com.au
Radiology Bronchiectasis Central Bronchiectasis Chest X Ray central bronchiectasis is typically seen in: bronchiectasis is a common finding at ct, and understanding of the common and uncommon causes and their typical patterns of distribution. Central bronchiectasis is more commonly seen in. chest radiography is usually the initial study performed in suspected bronchiectasis. the location of bronchiectasis can also provide a clue as to. Central Bronchiectasis Chest X Ray.
From rad-log.blogspot.com
Bronchiectasis X RAY features Central Bronchiectasis Chest X Ray chest radiography is usually the initial study performed in suspected bronchiectasis. diagnosis of bronchiectasis is usually made using chest computed tomography (ct) scan, the current gold standard method. Allergic bronchopulmonary aspergillosis (abpa) congenital. the location of bronchiectasis can also provide a clue as to the underlying disease cause. Central bronchiectasis is more commonly seen in. central. Central Bronchiectasis Chest X Ray.
From www.ctchestreview.com
Bronchiectasis CT Chest Review Central Bronchiectasis Chest X Ray bronchiectasis is a common finding at ct, and understanding of the common and uncommon causes and their typical patterns of distribution. ct chest is the investigation of choice for diagnosing bronchiectasis 1, 10 ct can identify classify bronchiectasis into. chest radiography is usually the initial study performed in suspected bronchiectasis. central bronchiectasis is typically seen in:. Central Bronchiectasis Chest X Ray.
From bronchiectasis.com.au
Radiology Bronchiectasis Central Bronchiectasis Chest X Ray diagnosis of bronchiectasis is usually made using chest computed tomography (ct) scan, the current gold standard method. Allergic bronchopulmonary aspergillosis (abpa) congenital. chest radiography is usually the initial study performed in suspected bronchiectasis. the location of bronchiectasis can also provide a clue as to the underlying disease cause. bronchiectasis is a common finding at ct, and. Central Bronchiectasis Chest X Ray.