Stress Fracture Symptoms Femur . Pain that starts and gets worse during physical activity. Femoral stress fractures occur in two different regions namely: Stress fractures are tiny cracks in a bone. The most common symptoms of a stress fracture include: They're caused by repetitive force, often from overuse — such as repeatedly jumping up and down or running long distances. Femoral shaft stress fracture (fssf): Most common in young athletic individuals. What are the symptoms of a stress fracture? Pain during activity is localized to the involved bone. A femoral stress fracture often starts with a deep, dull gnawing or aching in the groin (inside of the leg) or front of the hip. Overuse injury in which abnormal stresses are placed on cancellous bone of the femoral shaft resulting in microfractures. Often a history of overuse.
from www.physiotutors.com
Stress fractures are tiny cracks in a bone. Often a history of overuse. Femoral stress fractures occur in two different regions namely: The most common symptoms of a stress fracture include: Femoral shaft stress fracture (fssf): A femoral stress fracture often starts with a deep, dull gnawing or aching in the groin (inside of the leg) or front of the hip. What are the symptoms of a stress fracture? Pain that starts and gets worse during physical activity. Pain during activity is localized to the involved bone. Overuse injury in which abnormal stresses are placed on cancellous bone of the femoral shaft resulting in microfractures.
Don’t miss Femoral Stress Fractures in the Female Runner!
Stress Fracture Symptoms Femur Femoral shaft stress fracture (fssf): Often a history of overuse. Femoral shaft stress fracture (fssf): Stress fractures are tiny cracks in a bone. Pain that starts and gets worse during physical activity. Overuse injury in which abnormal stresses are placed on cancellous bone of the femoral shaft resulting in microfractures. The most common symptoms of a stress fracture include: Pain during activity is localized to the involved bone. A femoral stress fracture often starts with a deep, dull gnawing or aching in the groin (inside of the leg) or front of the hip. Most common in young athletic individuals. They're caused by repetitive force, often from overuse — such as repeatedly jumping up and down or running long distances. What are the symptoms of a stress fracture? Femoral stress fractures occur in two different regions namely:
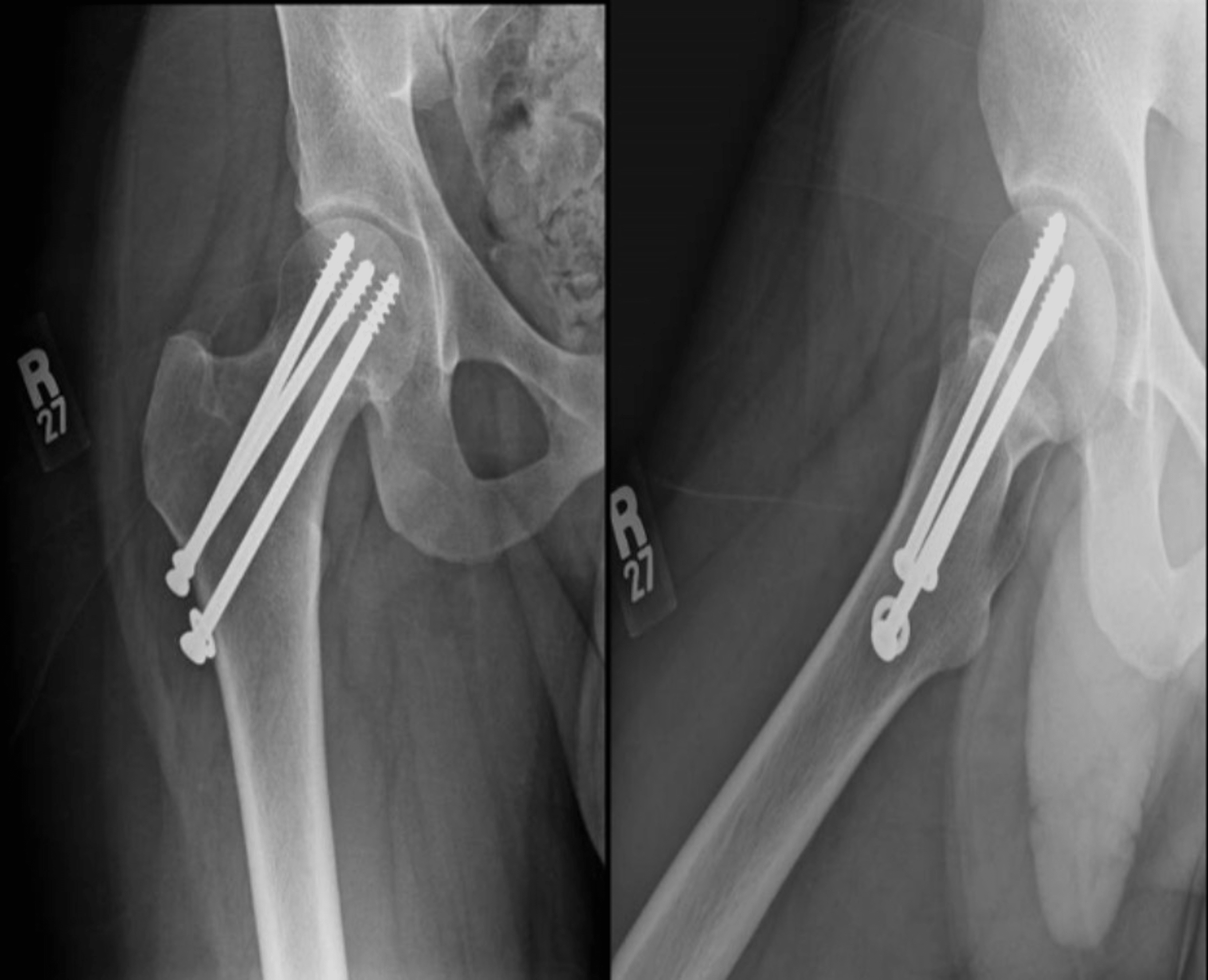
From bjsm.bmj.com
Stress fractures of the femoral shaft in athletes a new treatment Stress Fracture Symptoms Femur Overuse injury in which abnormal stresses are placed on cancellous bone of the femoral shaft resulting in microfractures. The most common symptoms of a stress fracture include: A femoral stress fracture often starts with a deep, dull gnawing or aching in the groin (inside of the leg) or front of the hip. Femoral stress fractures occur in two different regions. Stress Fracture Symptoms Femur.
From www.youtube.com
Femoral Stress Fracture YouTube Stress Fracture Symptoms Femur Most common in young athletic individuals. A femoral stress fracture often starts with a deep, dull gnawing or aching in the groin (inside of the leg) or front of the hip. What are the symptoms of a stress fracture? The most common symptoms of a stress fracture include: They're caused by repetitive force, often from overuse — such as repeatedly. Stress Fracture Symptoms Femur.
From kneeinjury.weebly.com
Radiography Knee Injury and Prevention Stress Fracture Symptoms Femur They're caused by repetitive force, often from overuse — such as repeatedly jumping up and down or running long distances. Overuse injury in which abnormal stresses are placed on cancellous bone of the femoral shaft resulting in microfractures. Often a history of overuse. Most common in young athletic individuals. What are the symptoms of a stress fracture? Stress fractures are. Stress Fracture Symptoms Femur.
From www.sports-health.com
Stress Fracture Symptoms Stress Fracture Symptoms Femur They're caused by repetitive force, often from overuse — such as repeatedly jumping up and down or running long distances. What are the symptoms of a stress fracture? Stress fractures are tiny cracks in a bone. A femoral stress fracture often starts with a deep, dull gnawing or aching in the groin (inside of the leg) or front of the. Stress Fracture Symptoms Femur.
From healthjade.com
Stress Fracture Foot & Shin Causes, Symptoms, Prevention & Treatment Stress Fracture Symptoms Femur Most common in young athletic individuals. The most common symptoms of a stress fracture include: Overuse injury in which abnormal stresses are placed on cancellous bone of the femoral shaft resulting in microfractures. A femoral stress fracture often starts with a deep, dull gnawing or aching in the groin (inside of the leg) or front of the hip. Stress fractures. Stress Fracture Symptoms Femur.
From integratedorthopedicsaz.com
Typical Bone Fractures Causes, Symptoms and Diagnosis Integrated Stress Fracture Symptoms Femur Femoral stress fractures occur in two different regions namely: Pain that starts and gets worse during physical activity. What are the symptoms of a stress fracture? The most common symptoms of a stress fracture include: Often a history of overuse. A femoral stress fracture often starts with a deep, dull gnawing or aching in the groin (inside of the leg). Stress Fracture Symptoms Femur.
From www.vivehealth.com
Fractured Knee The Complete Injury Guide Vive Health Stress Fracture Symptoms Femur What are the symptoms of a stress fracture? Overuse injury in which abnormal stresses are placed on cancellous bone of the femoral shaft resulting in microfractures. A femoral stress fracture often starts with a deep, dull gnawing or aching in the groin (inside of the leg) or front of the hip. Often a history of overuse. Pain during activity is. Stress Fracture Symptoms Femur.
From orthofixar.com
Femoral Stress Fracture OrthoFixar 2024 Stress Fracture Symptoms Femur Often a history of overuse. A femoral stress fracture often starts with a deep, dull gnawing or aching in the groin (inside of the leg) or front of the hip. Stress fractures are tiny cracks in a bone. The most common symptoms of a stress fracture include: Pain that starts and gets worse during physical activity. They're caused by repetitive. Stress Fracture Symptoms Femur.
From www.sysmedtechint.com
Femur fracture Symptoms and causes to SYS MEDTECH Stress Fracture Symptoms Femur The most common symptoms of a stress fracture include: Overuse injury in which abnormal stresses are placed on cancellous bone of the femoral shaft resulting in microfractures. They're caused by repetitive force, often from overuse — such as repeatedly jumping up and down or running long distances. Stress fractures are tiny cracks in a bone. What are the symptoms of. Stress Fracture Symptoms Femur.
From www.youtube.com
Stress Fractures Of The Femoral Neck Everything You Need To Know Dr Stress Fracture Symptoms Femur They're caused by repetitive force, often from overuse — such as repeatedly jumping up and down or running long distances. Pain that starts and gets worse during physical activity. Pain during activity is localized to the involved bone. Femoral shaft stress fracture (fssf): The most common symptoms of a stress fracture include: What are the symptoms of a stress fracture?. Stress Fracture Symptoms Femur.
From www.orthobullets.com
Femoral Shaft Stress Fractures Knee & Sports Orthobullets Stress Fracture Symptoms Femur Pain that starts and gets worse during physical activity. Often a history of overuse. Overuse injury in which abnormal stresses are placed on cancellous bone of the femoral shaft resulting in microfractures. Pain during activity is localized to the involved bone. The most common symptoms of a stress fracture include: A femoral stress fracture often starts with a deep, dull. Stress Fracture Symptoms Femur.
From orthopaedicprinciples.com
Femoral Neck Stress Fractures — Stress Fracture Symptoms Femur Pain that starts and gets worse during physical activity. Most common in young athletic individuals. What are the symptoms of a stress fracture? Femoral shaft stress fracture (fssf): The most common symptoms of a stress fracture include: Stress fractures are tiny cracks in a bone. They're caused by repetitive force, often from overuse — such as repeatedly jumping up and. Stress Fracture Symptoms Femur.
From www.vrogue.co
Femoral Neck Stress Fracture Signs Symptoms Diagnosis vrogue.co Stress Fracture Symptoms Femur Often a history of overuse. Pain during activity is localized to the involved bone. The most common symptoms of a stress fracture include: Femoral shaft stress fracture (fssf): Stress fractures are tiny cracks in a bone. What are the symptoms of a stress fracture? They're caused by repetitive force, often from overuse — such as repeatedly jumping up and down. Stress Fracture Symptoms Femur.
From flawlessphysio.co.uk
Neck of Femur Stress Fracture Femur Stress Fracture Explained Stress Fracture Symptoms Femur Femoral shaft stress fracture (fssf): What are the symptoms of a stress fracture? Femoral stress fractures occur in two different regions namely: A femoral stress fracture often starts with a deep, dull gnawing or aching in the groin (inside of the leg) or front of the hip. Most common in young athletic individuals. Pain that starts and gets worse during. Stress Fracture Symptoms Femur.
From www.physiotutors.com
Don’t miss Femoral Stress Fractures in the Female Runner! Stress Fracture Symptoms Femur They're caused by repetitive force, often from overuse — such as repeatedly jumping up and down or running long distances. What are the symptoms of a stress fracture? Stress fractures are tiny cracks in a bone. Pain that starts and gets worse during physical activity. A femoral stress fracture often starts with a deep, dull gnawing or aching in the. Stress Fracture Symptoms Femur.
From www.cureus.com
Completely Displaced Femoral Neck Stress Fracture in a Young Male Stress Fracture Symptoms Femur They're caused by repetitive force, often from overuse — such as repeatedly jumping up and down or running long distances. Often a history of overuse. Femoral stress fractures occur in two different regions namely: Most common in young athletic individuals. Pain that starts and gets worse during physical activity. Overuse injury in which abnormal stresses are placed on cancellous bone. Stress Fracture Symptoms Femur.
From wikimsk.org
Femoral Neck Stress Fracture WikiMSK Stress Fracture Symptoms Femur Pain that starts and gets worse during physical activity. Femoral stress fractures occur in two different regions namely: What are the symptoms of a stress fracture? Most common in young athletic individuals. They're caused by repetitive force, often from overuse — such as repeatedly jumping up and down or running long distances. Often a history of overuse. Overuse injury in. Stress Fracture Symptoms Femur.
From abodyinmotion.ca
Let's Talk Stress Fractures! A Body In Motion Rehabilitation Stress Fracture Symptoms Femur Overuse injury in which abnormal stresses are placed on cancellous bone of the femoral shaft resulting in microfractures. What are the symptoms of a stress fracture? Femoral shaft stress fracture (fssf): Stress fractures are tiny cracks in a bone. Femoral stress fractures occur in two different regions namely: They're caused by repetitive force, often from overuse — such as repeatedly. Stress Fracture Symptoms Femur.
From www.physiotutors.com
Don’t miss Femoral Stress Fractures in the Female Runner! Stress Fracture Symptoms Femur They're caused by repetitive force, often from overuse — such as repeatedly jumping up and down or running long distances. Pain during activity is localized to the involved bone. What are the symptoms of a stress fracture? Femoral stress fractures occur in two different regions namely: Femoral shaft stress fracture (fssf): A femoral stress fracture often starts with a deep,. Stress Fracture Symptoms Femur.
From www.vrogue.co
Femoral Neck Stress Fracture Signs Symptoms Diagnosis vrogue.co Stress Fracture Symptoms Femur Overuse injury in which abnormal stresses are placed on cancellous bone of the femoral shaft resulting in microfractures. The most common symptoms of a stress fracture include: Stress fractures are tiny cracks in a bone. Femoral stress fractures occur in two different regions namely: Pain during activity is localized to the involved bone. Most common in young athletic individuals. A. Stress Fracture Symptoms Femur.
From www.vrogue.co
Tibial Stress Fracture Symptoms Causes Treatment Reha vrogue.co Stress Fracture Symptoms Femur Femoral stress fractures occur in two different regions namely: Femoral shaft stress fracture (fssf): Most common in young athletic individuals. They're caused by repetitive force, often from overuse — such as repeatedly jumping up and down or running long distances. Overuse injury in which abnormal stresses are placed on cancellous bone of the femoral shaft resulting in microfractures. Often a. Stress Fracture Symptoms Femur.
From mavink.com
Femur Neck Fracture Stress Fracture Symptoms Femur Stress fractures are tiny cracks in a bone. Most common in young athletic individuals. Pain during activity is localized to the involved bone. Overuse injury in which abnormal stresses are placed on cancellous bone of the femoral shaft resulting in microfractures. Femoral stress fractures occur in two different regions namely: Femoral shaft stress fracture (fssf): Pain that starts and gets. Stress Fracture Symptoms Femur.
From james-mccormack.com
Hip Stress Fracture Stress Fracture In Hip Stress Fracture Symptoms Femur The most common symptoms of a stress fracture include: Often a history of overuse. Stress fractures are tiny cracks in a bone. Femoral shaft stress fracture (fssf): Overuse injury in which abnormal stresses are placed on cancellous bone of the femoral shaft resulting in microfractures. Femoral stress fractures occur in two different regions namely: Pain during activity is localized to. Stress Fracture Symptoms Femur.
From mavink.com
Subtrochanteric Femur Fracture Stress Fracture Symptoms Femur Often a history of overuse. The most common symptoms of a stress fracture include: Femoral shaft stress fracture (fssf): Overuse injury in which abnormal stresses are placed on cancellous bone of the femoral shaft resulting in microfractures. Most common in young athletic individuals. Pain that starts and gets worse during physical activity. Stress fractures are tiny cracks in a bone.. Stress Fracture Symptoms Femur.
From kneeinjury.weebly.com
Radiography Knee Injury and Prevention Stress Fracture Symptoms Femur The most common symptoms of a stress fracture include: Most common in young athletic individuals. Stress fractures are tiny cracks in a bone. Femoral stress fractures occur in two different regions namely: They're caused by repetitive force, often from overuse — such as repeatedly jumping up and down or running long distances. A femoral stress fracture often starts with a. Stress Fracture Symptoms Femur.
From johnsnyderdpt.com
Femoral Stress Fractures Identification and Management John Snyder, DPT Stress Fracture Symptoms Femur Overuse injury in which abnormal stresses are placed on cancellous bone of the femoral shaft resulting in microfractures. Femoral stress fractures occur in two different regions namely: A femoral stress fracture often starts with a deep, dull gnawing or aching in the groin (inside of the leg) or front of the hip. Femoral shaft stress fracture (fssf): They're caused by. Stress Fracture Symptoms Femur.
From www.sports-health.com
All About Stress Fractures Stress Fracture Symptoms Femur A femoral stress fracture often starts with a deep, dull gnawing or aching in the groin (inside of the leg) or front of the hip. Overuse injury in which abnormal stresses are placed on cancellous bone of the femoral shaft resulting in microfractures. They're caused by repetitive force, often from overuse — such as repeatedly jumping up and down or. Stress Fracture Symptoms Femur.
From www.verywellhealth.com
How to Treat a Femur Fracture (Broken Thigh Bone) Stress Fracture Symptoms Femur Femoral stress fractures occur in two different regions namely: Femoral shaft stress fracture (fssf): They're caused by repetitive force, often from overuse — such as repeatedly jumping up and down or running long distances. Stress fractures are tiny cracks in a bone. A femoral stress fracture often starts with a deep, dull gnawing or aching in the groin (inside of. Stress Fracture Symptoms Femur.
From www.researchgate.net
Plain radiograph of both femurs. Linear fracture line with lateral Stress Fracture Symptoms Femur Often a history of overuse. They're caused by repetitive force, often from overuse — such as repeatedly jumping up and down or running long distances. Femoral shaft stress fracture (fssf): The most common symptoms of a stress fracture include: What are the symptoms of a stress fracture? Pain during activity is localized to the involved bone. Overuse injury in which. Stress Fracture Symptoms Femur.
From www.vrogue.co
Femoral Neck Stress Fracture Signs Symptoms Diagnosis vrogue.co Stress Fracture Symptoms Femur Often a history of overuse. They're caused by repetitive force, often from overuse — such as repeatedly jumping up and down or running long distances. Stress fractures are tiny cracks in a bone. Femoral shaft stress fracture (fssf): Femoral stress fractures occur in two different regions namely: Most common in young athletic individuals. A femoral stress fracture often starts with. Stress Fracture Symptoms Femur.
From www.vrogue.co
Femoral Neck Stress Fracture Signs Symptoms Diagnosis vrogue.co Stress Fracture Symptoms Femur What are the symptoms of a stress fracture? Most common in young athletic individuals. A femoral stress fracture often starts with a deep, dull gnawing or aching in the groin (inside of the leg) or front of the hip. They're caused by repetitive force, often from overuse — such as repeatedly jumping up and down or running long distances. Stress. Stress Fracture Symptoms Femur.
From www.vrogue.co
Femur Fracture Radiology vrogue.co Stress Fracture Symptoms Femur The most common symptoms of a stress fracture include: Stress fractures are tiny cracks in a bone. Pain that starts and gets worse during physical activity. Pain during activity is localized to the involved bone. Femoral stress fractures occur in two different regions namely: Most common in young athletic individuals. Femoral shaft stress fracture (fssf): Overuse injury in which abnormal. Stress Fracture Symptoms Femur.
From www.mayoclinic.org
Stress fractures Symptoms and causes Mayo Clinic Stress Fracture Symptoms Femur Overuse injury in which abnormal stresses are placed on cancellous bone of the femoral shaft resulting in microfractures. Often a history of overuse. A femoral stress fracture often starts with a deep, dull gnawing or aching in the groin (inside of the leg) or front of the hip. They're caused by repetitive force, often from overuse — such as repeatedly. Stress Fracture Symptoms Femur.
From www.vrogue.co
Femoral Neck Stress Fracture Signs Symptoms Diagnosis vrogue.co Stress Fracture Symptoms Femur Femoral stress fractures occur in two different regions namely: A femoral stress fracture often starts with a deep, dull gnawing or aching in the groin (inside of the leg) or front of the hip. Pain that starts and gets worse during physical activity. Stress fractures are tiny cracks in a bone. What are the symptoms of a stress fracture? Most. Stress Fracture Symptoms Femur.
From www.vrogue.co
Femoral Neck Stress Fracture Signs Symptoms Diagnosis vrogue.co Stress Fracture Symptoms Femur They're caused by repetitive force, often from overuse — such as repeatedly jumping up and down or running long distances. A femoral stress fracture often starts with a deep, dull gnawing or aching in the groin (inside of the leg) or front of the hip. Pain that starts and gets worse during physical activity. The most common symptoms of a. Stress Fracture Symptoms Femur.