Can Gout Be In Elbows . This article discusses gout in the elbow, including symptoms, diagnosis, treatment options, and potential complications. Gout in the elbow joint, also known as gouty arthritis, can cause symptoms such as severe pain, swelling, redness, and limited range of. Gout develops from hyperuricemia —high urate levels in the body—which causes sharp crystals to build up in the joint. The main symptoms of gout are: Other commonly affected joints include the ankles, knees, elbows, wrists and fingers. Gout usually affects the big toe, but it can occur in any joint. Elbow gout or gout in elbow can cause swelling, redness, and pain to occur in that region of the body. The simple answer is yes. Medications and lifestyle changes can help reduce symptoms of gout in the elbow. Currently, there is no cure for gout in the elbow,. Symptoms of gout in the elbow can develop suddenly and cause intense pain.
from www.wisegeek.com
The main symptoms of gout are: Elbow gout or gout in elbow can cause swelling, redness, and pain to occur in that region of the body. Gout usually affects the big toe, but it can occur in any joint. Gout develops from hyperuricemia —high urate levels in the body—which causes sharp crystals to build up in the joint. Symptoms of gout in the elbow can develop suddenly and cause intense pain. Other commonly affected joints include the ankles, knees, elbows, wrists and fingers. Medications and lifestyle changes can help reduce symptoms of gout in the elbow. This article discusses gout in the elbow, including symptoms, diagnosis, treatment options, and potential complications. Currently, there is no cure for gout in the elbow,. Gout in the elbow joint, also known as gouty arthritis, can cause symptoms such as severe pain, swelling, redness, and limited range of.
what are the Symptoms of Gout of the Elbow? (with pictures)
Can Gout Be In Elbows Gout usually affects the big toe, but it can occur in any joint. Gout develops from hyperuricemia —high urate levels in the body—which causes sharp crystals to build up in the joint. Elbow gout or gout in elbow can cause swelling, redness, and pain to occur in that region of the body. Symptoms of gout in the elbow can develop suddenly and cause intense pain. The simple answer is yes. This article discusses gout in the elbow, including symptoms, diagnosis, treatment options, and potential complications. Currently, there is no cure for gout in the elbow,. Medications and lifestyle changes can help reduce symptoms of gout in the elbow. Gout usually affects the big toe, but it can occur in any joint. The main symptoms of gout are: Gout in the elbow joint, also known as gouty arthritis, can cause symptoms such as severe pain, swelling, redness, and limited range of. Other commonly affected joints include the ankles, knees, elbows, wrists and fingers.
From gouthealer.com
Gout On Knee Gout Healer Can Gout Be In Elbows Gout in the elbow joint, also known as gouty arthritis, can cause symptoms such as severe pain, swelling, redness, and limited range of. Medications and lifestyle changes can help reduce symptoms of gout in the elbow. This article discusses gout in the elbow, including symptoms, diagnosis, treatment options, and potential complications. Gout develops from hyperuricemia —high urate levels in the. Can Gout Be In Elbows.
From www.dreamstime.com
Xray Human S Elbow and Arthritis (Gout , Rheumatoid) Stock Photo Can Gout Be In Elbows The simple answer is yes. This article discusses gout in the elbow, including symptoms, diagnosis, treatment options, and potential complications. Other commonly affected joints include the ankles, knees, elbows, wrists and fingers. Currently, there is no cure for gout in the elbow,. Symptoms of gout in the elbow can develop suddenly and cause intense pain. The main symptoms of gout. Can Gout Be In Elbows.
From brandondonnellymd.com
Gout in the Elbow Elbow Specialist Brandon P. Donnelly, MD Can Gout Be In Elbows Medications and lifestyle changes can help reduce symptoms of gout in the elbow. Gout develops from hyperuricemia —high urate levels in the body—which causes sharp crystals to build up in the joint. The simple answer is yes. Elbow gout or gout in elbow can cause swelling, redness, and pain to occur in that region of the body. Currently, there is. Can Gout Be In Elbows.
From www.shutterstock.com
Xray Humans Elbow Arthritis Gout Rheumatoid Stock Photo 196668293 Can Gout Be In Elbows Currently, there is no cure for gout in the elbow,. Medications and lifestyle changes can help reduce symptoms of gout in the elbow. Other commonly affected joints include the ankles, knees, elbows, wrists and fingers. Gout in the elbow joint, also known as gouty arthritis, can cause symptoms such as severe pain, swelling, redness, and limited range of. Symptoms of. Can Gout Be In Elbows.
From www.goutinfoclub.com
What To Do For Gout In Elbow Can Gout Be In Elbows Medications and lifestyle changes can help reduce symptoms of gout in the elbow. Elbow gout or gout in elbow can cause swelling, redness, and pain to occur in that region of the body. This article discusses gout in the elbow, including symptoms, diagnosis, treatment options, and potential complications. Symptoms of gout in the elbow can develop suddenly and cause intense. Can Gout Be In Elbows.
From www.verywell.com
Gout Attack Explained Causes, Symptoms, and Frequency Can Gout Be In Elbows Currently, there is no cure for gout in the elbow,. Gout usually affects the big toe, but it can occur in any joint. Symptoms of gout in the elbow can develop suddenly and cause intense pain. This article discusses gout in the elbow, including symptoms, diagnosis, treatment options, and potential complications. The main symptoms of gout are: The simple answer. Can Gout Be In Elbows.
From facty.com
12 Signs of Gout Facty Health Can Gout Be In Elbows Symptoms of gout in the elbow can develop suddenly and cause intense pain. Currently, there is no cure for gout in the elbow,. The simple answer is yes. Gout develops from hyperuricemia —high urate levels in the body—which causes sharp crystals to build up in the joint. Gout in the elbow joint, also known as gouty arthritis, can cause symptoms. Can Gout Be In Elbows.
From www.pinterest.co.uk
Elbows and Gout Gout, Gout relief, Gout diet recipes Can Gout Be In Elbows Currently, there is no cure for gout in the elbow,. The simple answer is yes. Gout in the elbow joint, also known as gouty arthritis, can cause symptoms such as severe pain, swelling, redness, and limited range of. This article discusses gout in the elbow, including symptoms, diagnosis, treatment options, and potential complications. Gout develops from hyperuricemia —high urate levels. Can Gout Be In Elbows.
From gout.newlifeoutlook.com
What Is Gout? Everything You Need to Know About Gout Can Gout Be In Elbows Symptoms of gout in the elbow can develop suddenly and cause intense pain. Elbow gout or gout in elbow can cause swelling, redness, and pain to occur in that region of the body. Currently, there is no cure for gout in the elbow,. The simple answer is yes. The main symptoms of gout are: Gout develops from hyperuricemia —high urate. Can Gout Be In Elbows.
From www.wisegeek.com
what are the Symptoms of Gout of the Elbow? (with pictures) Can Gout Be In Elbows Elbow gout or gout in elbow can cause swelling, redness, and pain to occur in that region of the body. The simple answer is yes. Medications and lifestyle changes can help reduce symptoms of gout in the elbow. This article discusses gout in the elbow, including symptoms, diagnosis, treatment options, and potential complications. Symptoms of gout in the elbow can. Can Gout Be In Elbows.
From u.osu.edu
Pathophysiology Gout Can Gout Be In Elbows This article discusses gout in the elbow, including symptoms, diagnosis, treatment options, and potential complications. Currently, there is no cure for gout in the elbow,. Gout usually affects the big toe, but it can occur in any joint. Gout in the elbow joint, also known as gouty arthritis, can cause symptoms such as severe pain, swelling, redness, and limited range. Can Gout Be In Elbows.
From www.cureus.com
Cureus Massive Gouty Tophi Presenting as Pseudotumor of the Elbow A Can Gout Be In Elbows Gout in the elbow joint, also known as gouty arthritis, can cause symptoms such as severe pain, swelling, redness, and limited range of. Elbow gout or gout in elbow can cause swelling, redness, and pain to occur in that region of the body. Gout usually affects the big toe, but it can occur in any joint. The simple answer is. Can Gout Be In Elbows.
From www.dreamstime.com
Xray Human S Elbow and Arthritis (Gout , Rheumatoid) Stock Photo Can Gout Be In Elbows The main symptoms of gout are: Elbow gout or gout in elbow can cause swelling, redness, and pain to occur in that region of the body. This article discusses gout in the elbow, including symptoms, diagnosis, treatment options, and potential complications. Gout in the elbow joint, also known as gouty arthritis, can cause symptoms such as severe pain, swelling, redness,. Can Gout Be In Elbows.
From www.researchgate.net
Tophaceous gout of the posterior elbow in 3 different patients. (a Can Gout Be In Elbows Symptoms of gout in the elbow can develop suddenly and cause intense pain. Medications and lifestyle changes can help reduce symptoms of gout in the elbow. Other commonly affected joints include the ankles, knees, elbows, wrists and fingers. Gout usually affects the big toe, but it can occur in any joint. Currently, there is no cure for gout in the. Can Gout Be In Elbows.
From gout.newlifeoutlook.com
Gout in Elbow What You Need to Know about Elbow Gout Can Gout Be In Elbows Currently, there is no cure for gout in the elbow,. Gout develops from hyperuricemia —high urate levels in the body—which causes sharp crystals to build up in the joint. Symptoms of gout in the elbow can develop suddenly and cause intense pain. This article discusses gout in the elbow, including symptoms, diagnosis, treatment options, and potential complications. Gout in the. Can Gout Be In Elbows.
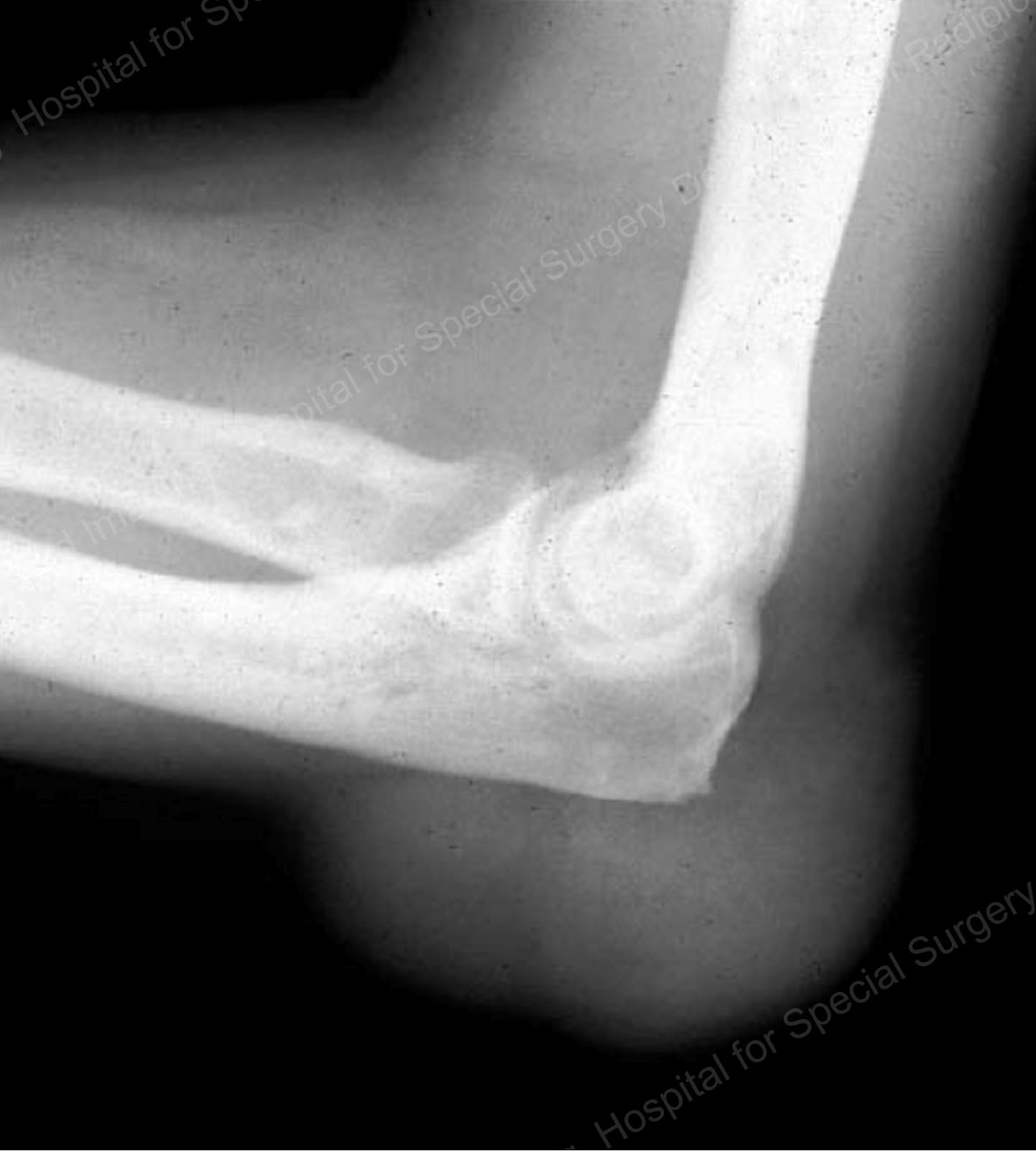
From www.svuhradiology.ie
Chronic tophaceous gout elbow Radiology at St. Vincent's University Can Gout Be In Elbows Medications and lifestyle changes can help reduce symptoms of gout in the elbow. Currently, there is no cure for gout in the elbow,. Gout usually affects the big toe, but it can occur in any joint. The main symptoms of gout are: Gout develops from hyperuricemia —high urate levels in the body—which causes sharp crystals to build up in the. Can Gout Be In Elbows.
From diseaeseshows.com
gout in elbow pictures, photos Can Gout Be In Elbows Gout develops from hyperuricemia —high urate levels in the body—which causes sharp crystals to build up in the joint. Medications and lifestyle changes can help reduce symptoms of gout in the elbow. Other commonly affected joints include the ankles, knees, elbows, wrists and fingers. This article discusses gout in the elbow, including symptoms, diagnosis, treatment options, and potential complications. Elbow. Can Gout Be In Elbows.
From mavink.com
Gout Elbow Bursitis Can Gout Be In Elbows Symptoms of gout in the elbow can develop suddenly and cause intense pain. Elbow gout or gout in elbow can cause swelling, redness, and pain to occur in that region of the body. Medications and lifestyle changes can help reduce symptoms of gout in the elbow. This article discusses gout in the elbow, including symptoms, diagnosis, treatment options, and potential. Can Gout Be In Elbows.
From fyoiraomr.blob.core.windows.net
Can Gout Go To Your Elbow at Krista Johnson blog Can Gout Be In Elbows Gout develops from hyperuricemia —high urate levels in the body—which causes sharp crystals to build up in the joint. Other commonly affected joints include the ankles, knees, elbows, wrists and fingers. The simple answer is yes. Elbow gout or gout in elbow can cause swelling, redness, and pain to occur in that region of the body. Gout in the elbow. Can Gout Be In Elbows.
From www.pcds.org.uk
Gouty tophi Can Gout Be In Elbows The simple answer is yes. Elbow gout or gout in elbow can cause swelling, redness, and pain to occur in that region of the body. Symptoms of gout in the elbow can develop suddenly and cause intense pain. Other commonly affected joints include the ankles, knees, elbows, wrists and fingers. Gout usually affects the big toe, but it can occur. Can Gout Be In Elbows.
From pngtree.com
Schematic Diagram Of Gout Elbow Gout, Elbow Gout, Wrist Gout, Ankle Can Gout Be In Elbows Medications and lifestyle changes can help reduce symptoms of gout in the elbow. Other commonly affected joints include the ankles, knees, elbows, wrists and fingers. Gout usually affects the big toe, but it can occur in any joint. Gout develops from hyperuricemia —high urate levels in the body—which causes sharp crystals to build up in the joint. This article discusses. Can Gout Be In Elbows.
From health-fts.blogspot.com
HEALTH FROM TRUSTED SOURCES Gout Can Gout Be In Elbows This article discusses gout in the elbow, including symptoms, diagnosis, treatment options, and potential complications. Elbow gout or gout in elbow can cause swelling, redness, and pain to occur in that region of the body. Gout develops from hyperuricemia —high urate levels in the body—which causes sharp crystals to build up in the joint. Symptoms of gout in the elbow. Can Gout Be In Elbows.
From health-fts.blogspot.com
HEALTH FROM TRUSTED SOURCES Gout Can Gout Be In Elbows The simple answer is yes. Currently, there is no cure for gout in the elbow,. Gout develops from hyperuricemia —high urate levels in the body—which causes sharp crystals to build up in the joint. The main symptoms of gout are: Gout usually affects the big toe, but it can occur in any joint. Elbow gout or gout in elbow can. Can Gout Be In Elbows.
From www.youtube.com
Gout Elbow 7 & 12 month follow up of tennis ball sized nodules removed Can Gout Be In Elbows This article discusses gout in the elbow, including symptoms, diagnosis, treatment options, and potential complications. Symptoms of gout in the elbow can develop suddenly and cause intense pain. Elbow gout or gout in elbow can cause swelling, redness, and pain to occur in that region of the body. Gout in the elbow joint, also known as gouty arthritis, can cause. Can Gout Be In Elbows.
From www.medicalnewstoday.com
Gout in elbow Causes, symptoms, and management Can Gout Be In Elbows The simple answer is yes. Currently, there is no cure for gout in the elbow,. Gout develops from hyperuricemia —high urate levels in the body—which causes sharp crystals to build up in the joint. Elbow gout or gout in elbow can cause swelling, redness, and pain to occur in that region of the body. Medications and lifestyle changes can help. Can Gout Be In Elbows.
From www.sciencephoto.com
Elbow with gout, Xray Stock Image C021/5428 Science Photo Library Can Gout Be In Elbows Gout usually affects the big toe, but it can occur in any joint. Elbow gout or gout in elbow can cause swelling, redness, and pain to occur in that region of the body. Currently, there is no cure for gout in the elbow,. Medications and lifestyle changes can help reduce symptoms of gout in the elbow. Gout in the elbow. Can Gout Be In Elbows.
From goutandyou.com
Gout and Elbows Experiments on Battling Gout Can Gout Be In Elbows Gout develops from hyperuricemia —high urate levels in the body—which causes sharp crystals to build up in the joint. Currently, there is no cure for gout in the elbow,. Symptoms of gout in the elbow can develop suddenly and cause intense pain. Other commonly affected joints include the ankles, knees, elbows, wrists and fingers. Elbow gout or gout in elbow. Can Gout Be In Elbows.
From www.slideserve.com
PPT Diagnosis of gout PowerPoint Presentation, free download ID6371400 Can Gout Be In Elbows Symptoms of gout in the elbow can develop suddenly and cause intense pain. The simple answer is yes. Elbow gout or gout in elbow can cause swelling, redness, and pain to occur in that region of the body. This article discusses gout in the elbow, including symptoms, diagnosis, treatment options, and potential complications. Gout in the elbow joint, also known. Can Gout Be In Elbows.
From www.verywellhealth.com
Gout Signs, Symptoms, and Complications Can Gout Be In Elbows Gout usually affects the big toe, but it can occur in any joint. Gout develops from hyperuricemia —high urate levels in the body—which causes sharp crystals to build up in the joint. Currently, there is no cure for gout in the elbow,. The main symptoms of gout are: Medications and lifestyle changes can help reduce symptoms of gout in the. Can Gout Be In Elbows.
From www.sciencephoto.com
Gout in the elbow Stock Image C034/5418 Science Photo Library Can Gout Be In Elbows This article discusses gout in the elbow, including symptoms, diagnosis, treatment options, and potential complications. Currently, there is no cure for gout in the elbow,. Other commonly affected joints include the ankles, knees, elbows, wrists and fingers. Symptoms of gout in the elbow can develop suddenly and cause intense pain. Medications and lifestyle changes can help reduce symptoms of gout. Can Gout Be In Elbows.
From gouteducation.org
Pictures of Gout Gout Education Can Gout Be In Elbows Gout develops from hyperuricemia —high urate levels in the body—which causes sharp crystals to build up in the joint. The main symptoms of gout are: Symptoms of gout in the elbow can develop suddenly and cause intense pain. This article discusses gout in the elbow, including symptoms, diagnosis, treatment options, and potential complications. Currently, there is no cure for gout. Can Gout Be In Elbows.
From gouteducation.org
Pictures of Gout Gout Education Can Gout Be In Elbows Medications and lifestyle changes can help reduce symptoms of gout in the elbow. Gout in the elbow joint, also known as gouty arthritis, can cause symptoms such as severe pain, swelling, redness, and limited range of. Elbow gout or gout in elbow can cause swelling, redness, and pain to occur in that region of the body. Gout usually affects the. Can Gout Be In Elbows.
From www.verywellhealth.com
Tophi Symptoms, Causes, Diagnosis, and Treatment Can Gout Be In Elbows Medications and lifestyle changes can help reduce symptoms of gout in the elbow. The simple answer is yes. Gout usually affects the big toe, but it can occur in any joint. Gout in the elbow joint, also known as gouty arthritis, can cause symptoms such as severe pain, swelling, redness, and limited range of. This article discusses gout in the. Can Gout Be In Elbows.
From www.sciencephoto.com
Gout tophi in the elbow Stock Image C014/2460 Science Photo Library Can Gout Be In Elbows This article discusses gout in the elbow, including symptoms, diagnosis, treatment options, and potential complications. The main symptoms of gout are: The simple answer is yes. Gout usually affects the big toe, but it can occur in any joint. Medications and lifestyle changes can help reduce symptoms of gout in the elbow. Gout in the elbow joint, also known as. Can Gout Be In Elbows.
From www.goutinfoclub.com
How Do You Get Diagnosed With Gout Can Gout Be In Elbows The main symptoms of gout are: Gout develops from hyperuricemia —high urate levels in the body—which causes sharp crystals to build up in the joint. Currently, there is no cure for gout in the elbow,. Elbow gout or gout in elbow can cause swelling, redness, and pain to occur in that region of the body. This article discusses gout in. Can Gout Be In Elbows.