Dental Bridge Gum Irritation . This is often caused by bacteria accumulating just at the edges of the bridge— called the margins — and may be worse when a bridge is loose or has an improper fit. Can dental bridges get infected? Learn about the possible causes of dental bridge pain, such as decay, infection, or bite changes, and how to treat them at endicott dental in broken arrow, ok. An infection around a dental bridge is certainly possible, as are other issues involving the teeth and gums beneath and around the bridge. Learn how to recognize and prevent dental bridge infection, a common complication of this dental prosthesis. Learn what causes gum pain around a dental bridge and when to see a dentist. This symptom involves the gum line pulling away. Dental bridge pain can be normal after placement, but it should not last more than a week. Find out the causes, signs, and tips for good oral hygiene and regular checkups. Use gentle, circular motions to avoid putting excessive pressure on the bridge or causing irritation to the gums. Find out how to prevent infection, decay, and sensitivity with proper oral hygiene and care.
from www.youtube.com
Find out the causes, signs, and tips for good oral hygiene and regular checkups. Learn about the possible causes of dental bridge pain, such as decay, infection, or bite changes, and how to treat them at endicott dental in broken arrow, ok. Learn how to recognize and prevent dental bridge infection, a common complication of this dental prosthesis. Find out how to prevent infection, decay, and sensitivity with proper oral hygiene and care. An infection around a dental bridge is certainly possible, as are other issues involving the teeth and gums beneath and around the bridge. Learn what causes gum pain around a dental bridge and when to see a dentist. Dental bridge pain can be normal after placement, but it should not last more than a week. Use gentle, circular motions to avoid putting excessive pressure on the bridge or causing irritation to the gums. This is often caused by bacteria accumulating just at the edges of the bridge— called the margins — and may be worse when a bridge is loose or has an improper fit. Can dental bridges get infected?
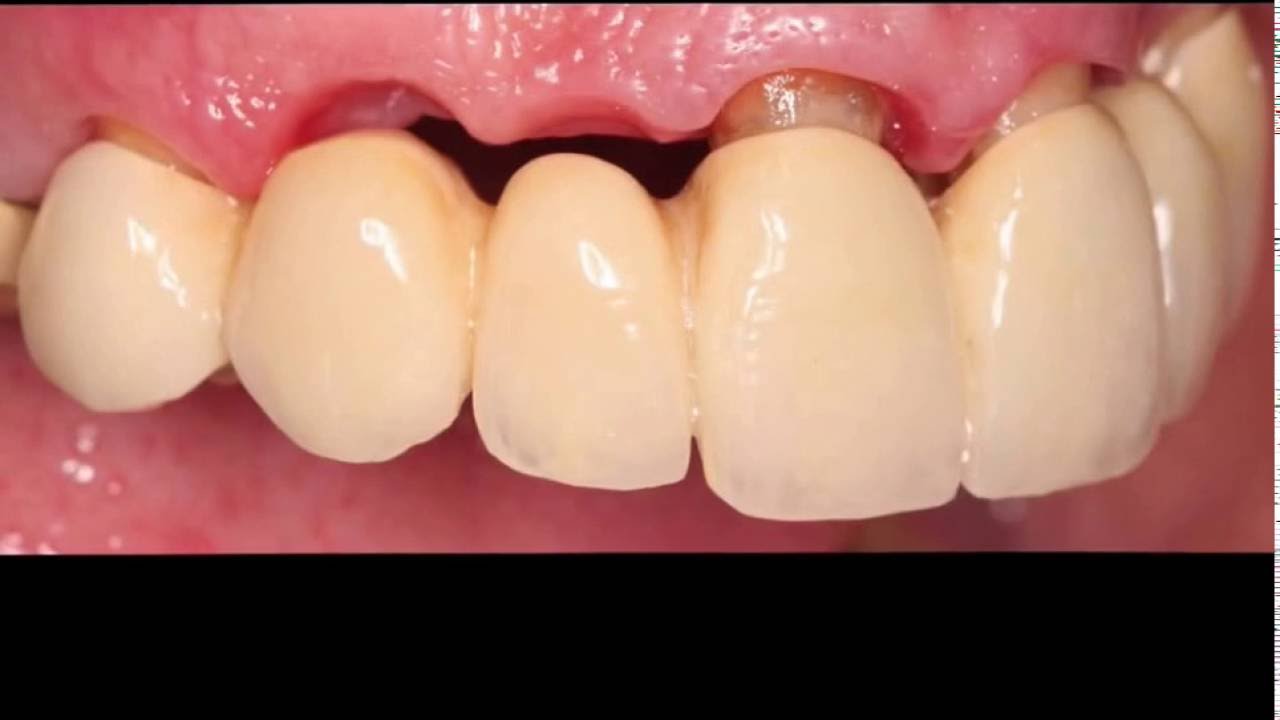
Gum contouring for final bridge YouTube
Dental Bridge Gum Irritation An infection around a dental bridge is certainly possible, as are other issues involving the teeth and gums beneath and around the bridge. Dental bridge pain can be normal after placement, but it should not last more than a week. Learn about the possible causes of dental bridge pain, such as decay, infection, or bite changes, and how to treat them at endicott dental in broken arrow, ok. Find out the causes, signs, and tips for good oral hygiene and regular checkups. Learn how to recognize and prevent dental bridge infection, a common complication of this dental prosthesis. Find out how to prevent infection, decay, and sensitivity with proper oral hygiene and care. Learn what causes gum pain around a dental bridge and when to see a dentist. Use gentle, circular motions to avoid putting excessive pressure on the bridge or causing irritation to the gums. This symptom involves the gum line pulling away. Can dental bridges get infected? An infection around a dental bridge is certainly possible, as are other issues involving the teeth and gums beneath and around the bridge. This is often caused by bacteria accumulating just at the edges of the bridge— called the margins — and may be worse when a bridge is loose or has an improper fit.
From valleyfairdental.com
Common Dental Bridge Complications Dental Bridge Gum Irritation An infection around a dental bridge is certainly possible, as are other issues involving the teeth and gums beneath and around the bridge. Can dental bridges get infected? Dental bridge pain can be normal after placement, but it should not last more than a week. Learn how to recognize and prevent dental bridge infection, a common complication of this dental. Dental Bridge Gum Irritation.
From www.irisdental.com.au
What causes gum irritation? Iris Dental Point Cook Dental Bridge Gum Irritation Find out how to prevent infection, decay, and sensitivity with proper oral hygiene and care. Dental bridge pain can be normal after placement, but it should not last more than a week. Find out the causes, signs, and tips for good oral hygiene and regular checkups. Learn what causes gum pain around a dental bridge and when to see a. Dental Bridge Gum Irritation.
From hauteliving.com
Gum Recession Causes, Symptoms, And Remedies Dental Bridge Gum Irritation Use gentle, circular motions to avoid putting excessive pressure on the bridge or causing irritation to the gums. This symptom involves the gum line pulling away. An infection around a dental bridge is certainly possible, as are other issues involving the teeth and gums beneath and around the bridge. Dental bridge pain can be normal after placement, but it should. Dental Bridge Gum Irritation.
From www.southtrailcrossingdental.com
Everything You Need to Know About Gum Disease South Trail Crossing Dental Dental Bridge Gum Irritation Dental bridge pain can be normal after placement, but it should not last more than a week. Can dental bridges get infected? This symptom involves the gum line pulling away. This is often caused by bacteria accumulating just at the edges of the bridge— called the margins — and may be worse when a bridge is loose or has an. Dental Bridge Gum Irritation.
From www.jacksonvilledentalspecialists.com
Gum Disease Periodontitis Jacksonville Dental Specialists Dental Bridge Gum Irritation Learn about the possible causes of dental bridge pain, such as decay, infection, or bite changes, and how to treat them at endicott dental in broken arrow, ok. This symptom involves the gum line pulling away. Find out the causes, signs, and tips for good oral hygiene and regular checkups. Find out how to prevent infection, decay, and sensitivity with. Dental Bridge Gum Irritation.
From www.oramd.com
Gum Infection What It Is And How To Treat It OraMD Dental Bridge Gum Irritation Learn about the possible causes of dental bridge pain, such as decay, infection, or bite changes, and how to treat them at endicott dental in broken arrow, ok. Find out how to prevent infection, decay, and sensitivity with proper oral hygiene and care. Learn how to recognize and prevent dental bridge infection, a common complication of this dental prosthesis. Dental. Dental Bridge Gum Irritation.
From springlovedentistry.com
What Does Gum Pain Around a Dental Bridge Suggest? Springlove Dentistry Dental Bridge Gum Irritation Learn how to recognize and prevent dental bridge infection, a common complication of this dental prosthesis. Find out the causes, signs, and tips for good oral hygiene and regular checkups. An infection around a dental bridge is certainly possible, as are other issues involving the teeth and gums beneath and around the bridge. Dental bridge pain can be normal after. Dental Bridge Gum Irritation.
From tooth-doctor.com
Can I Have A Dental Bridges If I Have Gum Disease? Dental Bridge Gum Irritation This is often caused by bacteria accumulating just at the edges of the bridge— called the margins — and may be worse when a bridge is loose or has an improper fit. This symptom involves the gum line pulling away. Learn how to recognize and prevent dental bridge infection, a common complication of this dental prosthesis. Use gentle, circular motions. Dental Bridge Gum Irritation.
From mygoldendentist.com
Gum Disease Denver Periodontal Disease Golden CO Dental Bridge Gum Irritation An infection around a dental bridge is certainly possible, as are other issues involving the teeth and gums beneath and around the bridge. Can dental bridges get infected? Find out the causes, signs, and tips for good oral hygiene and regular checkups. Find out how to prevent infection, decay, and sensitivity with proper oral hygiene and care. Dental bridge pain. Dental Bridge Gum Irritation.
From fightgumdisease.com
Learn About Gum Disease Gum Infection Stages Periodontitis Treatment Dental Bridge Gum Irritation Can dental bridges get infected? Learn about the possible causes of dental bridge pain, such as decay, infection, or bite changes, and how to treat them at endicott dental in broken arrow, ok. Learn how to recognize and prevent dental bridge infection, a common complication of this dental prosthesis. Find out the causes, signs, and tips for good oral hygiene. Dental Bridge Gum Irritation.
From casereports.bmj.com
Oral irritation fibroma associated with the pathological migration of a Dental Bridge Gum Irritation Can dental bridges get infected? An infection around a dental bridge is certainly possible, as are other issues involving the teeth and gums beneath and around the bridge. Find out the causes, signs, and tips for good oral hygiene and regular checkups. Dental bridge pain can be normal after placement, but it should not last more than a week. This. Dental Bridge Gum Irritation.
From www.midtownendodontistnyc.com
Swelling & Sore Gums After Root Canal MENYC Dental Bridge Gum Irritation An infection around a dental bridge is certainly possible, as are other issues involving the teeth and gums beneath and around the bridge. Use gentle, circular motions to avoid putting excessive pressure on the bridge or causing irritation to the gums. This symptom involves the gum line pulling away. Learn what causes gum pain around a dental bridge and when. Dental Bridge Gum Irritation.
From www.glebehousedentalcare.co.uk
Gum Disease Glebe House Dental Care Dentist Dental Bridge Gum Irritation Use gentle, circular motions to avoid putting excessive pressure on the bridge or causing irritation to the gums. Learn about the possible causes of dental bridge pain, such as decay, infection, or bite changes, and how to treat them at endicott dental in broken arrow, ok. Find out the causes, signs, and tips for good oral hygiene and regular checkups.. Dental Bridge Gum Irritation.
From www.enhancemyself.com
Dental Bridge Types, Procedure, Cost, Recovery Dental Bridge Gum Irritation Find out how to prevent infection, decay, and sensitivity with proper oral hygiene and care. Learn about the possible causes of dental bridge pain, such as decay, infection, or bite changes, and how to treat them at endicott dental in broken arrow, ok. Find out the causes, signs, and tips for good oral hygiene and regular checkups. Learn what causes. Dental Bridge Gum Irritation.
From www.northwestdds.com
Dental Bridges Northwest Dental Glyndon Maryland Dental Bridge Gum Irritation Find out how to prevent infection, decay, and sensitivity with proper oral hygiene and care. Find out the causes, signs, and tips for good oral hygiene and regular checkups. Learn what causes gum pain around a dental bridge and when to see a dentist. An infection around a dental bridge is certainly possible, as are other issues involving the teeth. Dental Bridge Gum Irritation.
From www.smilebrilliant.com
Gum Irritation caused by teeth whitening is normal... Dental Bridge Gum Irritation Find out how to prevent infection, decay, and sensitivity with proper oral hygiene and care. Learn what causes gum pain around a dental bridge and when to see a dentist. This symptom involves the gum line pulling away. An infection around a dental bridge is certainly possible, as are other issues involving the teeth and gums beneath and around the. Dental Bridge Gum Irritation.
From www.cranbournenorthdental.com.au
Gum Disease How can I tell? Cranbourne North Dental Dental Bridge Gum Irritation Use gentle, circular motions to avoid putting excessive pressure on the bridge or causing irritation to the gums. Dental bridge pain can be normal after placement, but it should not last more than a week. Find out how to prevent infection, decay, and sensitivity with proper oral hygiene and care. Learn about the possible causes of dental bridge pain, such. Dental Bridge Gum Irritation.
From www.rockville-all-smiles-dentistry.com
Common Symptoms of Gingival Hyperplasia rockvilleallsmilesdentistry Dental Bridge Gum Irritation Can dental bridges get infected? Use gentle, circular motions to avoid putting excessive pressure on the bridge or causing irritation to the gums. Find out the causes, signs, and tips for good oral hygiene and regular checkups. Find out how to prevent infection, decay, and sensitivity with proper oral hygiene and care. An infection around a dental bridge is certainly. Dental Bridge Gum Irritation.
From www.facialart.com
Gum Recession Around Dental Implants Gum Recession Around Dental Dental Bridge Gum Irritation This is often caused by bacteria accumulating just at the edges of the bridge— called the margins — and may be worse when a bridge is loose or has an improper fit. Dental bridge pain can be normal after placement, but it should not last more than a week. Find out how to prevent infection, decay, and sensitivity with proper. Dental Bridge Gum Irritation.
From canyongatedental.com
Facts about Gum Recession Canyon Gate Dental of Orem Dental Bridge Gum Irritation Learn about the possible causes of dental bridge pain, such as decay, infection, or bite changes, and how to treat them at endicott dental in broken arrow, ok. Dental bridge pain can be normal after placement, but it should not last more than a week. Learn what causes gum pain around a dental bridge and when to see a dentist.. Dental Bridge Gum Irritation.
From www.rockville-all-smiles-dentistry.com
Symptoms of IllFitting Dental Bridge Rockville All Smiles Dentistry Dental Bridge Gum Irritation This is often caused by bacteria accumulating just at the edges of the bridge— called the margins — and may be worse when a bridge is loose or has an improper fit. Can dental bridges get infected? Dental bridge pain can be normal after placement, but it should not last more than a week. Learn how to recognize and prevent. Dental Bridge Gum Irritation.
From www.yourhighlandsranchdentist.com
Swollen Gums Around The Tooth HR Family Dental Highlands Ranch, CO Dental Bridge Gum Irritation Dental bridge pain can be normal after placement, but it should not last more than a week. Learn what causes gum pain around a dental bridge and when to see a dentist. An infection around a dental bridge is certainly possible, as are other issues involving the teeth and gums beneath and around the bridge. Use gentle, circular motions to. Dental Bridge Gum Irritation.
From www.suttonpda.com
Sensitivity & gums’ irritation after teeth whitening the definitive Dental Bridge Gum Irritation Can dental bridges get infected? Find out how to prevent infection, decay, and sensitivity with proper oral hygiene and care. Dental bridge pain can be normal after placement, but it should not last more than a week. Learn about the possible causes of dental bridge pain, such as decay, infection, or bite changes, and how to treat them at endicott. Dental Bridge Gum Irritation.
From www.lovettdentistrykohrville.com
3 Stages of Gum Disease Dental Practice in Vintage Park Texas Dental Bridge Gum Irritation Find out how to prevent infection, decay, and sensitivity with proper oral hygiene and care. This symptom involves the gum line pulling away. An infection around a dental bridge is certainly possible, as are other issues involving the teeth and gums beneath and around the bridge. Dental bridge pain can be normal after placement, but it should not last more. Dental Bridge Gum Irritation.
From cypym.com
AllOn4 Dental Implant Problems And Complications (2022) Dental Bridge Gum Irritation Can dental bridges get infected? Learn how to recognize and prevent dental bridge infection, a common complication of this dental prosthesis. An infection around a dental bridge is certainly possible, as are other issues involving the teeth and gums beneath and around the bridge. This symptom involves the gum line pulling away. Dental bridge pain can be normal after placement,. Dental Bridge Gum Irritation.
From www.youtube.com
Gum contouring for final bridge YouTube Dental Bridge Gum Irritation Use gentle, circular motions to avoid putting excessive pressure on the bridge or causing irritation to the gums. Can dental bridges get infected? Learn what causes gum pain around a dental bridge and when to see a dentist. Dental bridge pain can be normal after placement, but it should not last more than a week. Learn about the possible causes. Dental Bridge Gum Irritation.
From www.toddshatkindds.com
Gum Irritation Causes and Treatments Buffalo Dentist Free Consultation Dental Bridge Gum Irritation Can dental bridges get infected? Learn what causes gum pain around a dental bridge and when to see a dentist. Find out how to prevent infection, decay, and sensitivity with proper oral hygiene and care. This is often caused by bacteria accumulating just at the edges of the bridge— called the margins — and may be worse when a bridge. Dental Bridge Gum Irritation.
From www.cureus.com
Biting Fibroma of the Lower Lip A Case Report and Literature Review on Dental Bridge Gum Irritation Learn what causes gum pain around a dental bridge and when to see a dentist. This symptom involves the gum line pulling away. Can dental bridges get infected? Dental bridge pain can be normal after placement, but it should not last more than a week. An infection around a dental bridge is certainly possible, as are other issues involving the. Dental Bridge Gum Irritation.
From tooth-doctor.com
Can I Have A Dental Bridges If I Have Gum Disease? Dental Bridge Gum Irritation Learn about the possible causes of dental bridge pain, such as decay, infection, or bite changes, and how to treat them at endicott dental in broken arrow, ok. Can dental bridges get infected? Learn what causes gum pain around a dental bridge and when to see a dentist. Dental bridge pain can be normal after placement, but it should not. Dental Bridge Gum Irritation.
From dentalworld.co.uk
Dental Bridge Work Explanation Alternative to Dental Implants Dental Bridge Gum Irritation This symptom involves the gum line pulling away. Learn what causes gum pain around a dental bridge and when to see a dentist. Find out the causes, signs, and tips for good oral hygiene and regular checkups. Find out how to prevent infection, decay, and sensitivity with proper oral hygiene and care. An infection around a dental bridge is certainly. Dental Bridge Gum Irritation.
From www.peninsuladentalexcellence.com
What Do I Do if My Dental Bridge Feels Loose? Peninsula Dental Dental Bridge Gum Irritation Learn what causes gum pain around a dental bridge and when to see a dentist. An infection around a dental bridge is certainly possible, as are other issues involving the teeth and gums beneath and around the bridge. Find out the causes, signs, and tips for good oral hygiene and regular checkups. Learn about the possible causes of dental bridge. Dental Bridge Gum Irritation.
From www.theknowledgelibrary.in
Gingivitis (Gum Disease) The Knowledge Library Dental Bridge Gum Irritation Learn about the possible causes of dental bridge pain, such as decay, infection, or bite changes, and how to treat them at endicott dental in broken arrow, ok. This is often caused by bacteria accumulating just at the edges of the bridge— called the margins — and may be worse when a bridge is loose or has an improper fit.. Dental Bridge Gum Irritation.
From theimplantexperts.com
Periodontal / Gum Disease Treatment in Maidstone, Kent TIE Dental Bridge Gum Irritation Dental bridge pain can be normal after placement, but it should not last more than a week. Learn what causes gum pain around a dental bridge and when to see a dentist. This is often caused by bacteria accumulating just at the edges of the bridge— called the margins — and may be worse when a bridge is loose or. Dental Bridge Gum Irritation.
From www.918dentist.com
Dental Bridge Tooth Infection Complete Cosmetic Care Dentistry Dental Bridge Gum Irritation An infection around a dental bridge is certainly possible, as are other issues involving the teeth and gums beneath and around the bridge. Learn what causes gum pain around a dental bridge and when to see a dentist. Use gentle, circular motions to avoid putting excessive pressure on the bridge or causing irritation to the gums. Learn about the possible. Dental Bridge Gum Irritation.
From www.facialart.com
Receding Gum Tissue After Dental Implant Treatments Receding Gum Dental Bridge Gum Irritation Find out the causes, signs, and tips for good oral hygiene and regular checkups. Find out how to prevent infection, decay, and sensitivity with proper oral hygiene and care. An infection around a dental bridge is certainly possible, as are other issues involving the teeth and gums beneath and around the bridge. Dental bridge pain can be normal after placement,. Dental Bridge Gum Irritation.