Post Sleeve Gastrectomy Leak . A missed or delayed diagnosis can. Leaks after sleeve gastrectomy remain a deadly complication significantly affecting outcomes and medical costs. The presentation of leak after laparoscopic sleeve gastrectomy (lsg) is variable. This study aims to share outcomes of our management algorithm of post lsg leak, including the rate of resolution, complications, admission. In our review, we noticed that the most important clinical sign or symptom in. The aim of this review was to highlight the causes and thus the prevention modalities and find a standardized algorithm to. • our update for endoscopic treatment of leak following laparoscopic sleeve gastrectomy (lsg) contributes with new data. Sleeve gastrectomy (sg) is the most commonly performed bariatric procedure in the us [1].one of the most common.
from www.mdpi.com
Sleeve gastrectomy (sg) is the most commonly performed bariatric procedure in the us [1].one of the most common. A missed or delayed diagnosis can. • our update for endoscopic treatment of leak following laparoscopic sleeve gastrectomy (lsg) contributes with new data. The aim of this review was to highlight the causes and thus the prevention modalities and find a standardized algorithm to. Leaks after sleeve gastrectomy remain a deadly complication significantly affecting outcomes and medical costs. The presentation of leak after laparoscopic sleeve gastrectomy (lsg) is variable. This study aims to share outcomes of our management algorithm of post lsg leak, including the rate of resolution, complications, admission. In our review, we noticed that the most important clinical sign or symptom in.
JCM Free FullText Twisted Gastric Tube after Laparoscopic Sleeve
Post Sleeve Gastrectomy Leak In our review, we noticed that the most important clinical sign or symptom in. The presentation of leak after laparoscopic sleeve gastrectomy (lsg) is variable. Sleeve gastrectomy (sg) is the most commonly performed bariatric procedure in the us [1].one of the most common. A missed or delayed diagnosis can. In our review, we noticed that the most important clinical sign or symptom in. Leaks after sleeve gastrectomy remain a deadly complication significantly affecting outcomes and medical costs. The aim of this review was to highlight the causes and thus the prevention modalities and find a standardized algorithm to. • our update for endoscopic treatment of leak following laparoscopic sleeve gastrectomy (lsg) contributes with new data. This study aims to share outcomes of our management algorithm of post lsg leak, including the rate of resolution, complications, admission.
From www.youtube.com
Acute Sleeve Gastrectomy Leak Endoscopic Treatment YouTube Post Sleeve Gastrectomy Leak • our update for endoscopic treatment of leak following laparoscopic sleeve gastrectomy (lsg) contributes with new data. This study aims to share outcomes of our management algorithm of post lsg leak, including the rate of resolution, complications, admission. The presentation of leak after laparoscopic sleeve gastrectomy (lsg) is variable. The aim of this review was to highlight the causes and. Post Sleeve Gastrectomy Leak.
From www.sages.org
leak post sleeve gastrectomy SAGES Image Library Post Sleeve Gastrectomy Leak The aim of this review was to highlight the causes and thus the prevention modalities and find a standardized algorithm to. Leaks after sleeve gastrectomy remain a deadly complication significantly affecting outcomes and medical costs. This study aims to share outcomes of our management algorithm of post lsg leak, including the rate of resolution, complications, admission. Sleeve gastrectomy (sg) is. Post Sleeve Gastrectomy Leak.
From bariatrictimes.com
Leaks and Single Anastomosis Duodenoileal Bypass with Sleeve Post Sleeve Gastrectomy Leak • our update for endoscopic treatment of leak following laparoscopic sleeve gastrectomy (lsg) contributes with new data. The aim of this review was to highlight the causes and thus the prevention modalities and find a standardized algorithm to. The presentation of leak after laparoscopic sleeve gastrectomy (lsg) is variable. Sleeve gastrectomy (sg) is the most commonly performed bariatric procedure in. Post Sleeve Gastrectomy Leak.
From www.cell.com
Radiological stent placement of post sleeve gastrectomy leak efficacy Post Sleeve Gastrectomy Leak The presentation of leak after laparoscopic sleeve gastrectomy (lsg) is variable. • our update for endoscopic treatment of leak following laparoscopic sleeve gastrectomy (lsg) contributes with new data. Leaks after sleeve gastrectomy remain a deadly complication significantly affecting outcomes and medical costs. Sleeve gastrectomy (sg) is the most commonly performed bariatric procedure in the us [1].one of the most common.. Post Sleeve Gastrectomy Leak.
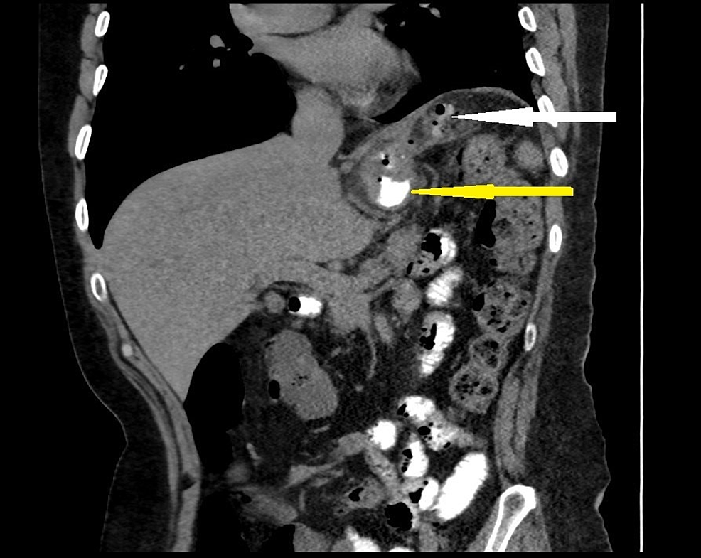
From radiopaedia.org
Post sleeve gastrectomy leak Image Post Sleeve Gastrectomy Leak In our review, we noticed that the most important clinical sign or symptom in. The aim of this review was to highlight the causes and thus the prevention modalities and find a standardized algorithm to. The presentation of leak after laparoscopic sleeve gastrectomy (lsg) is variable. A missed or delayed diagnosis can. • our update for endoscopic treatment of leak. Post Sleeve Gastrectomy Leak.
From www.cureus.com
Cureus Delayed PostLaparoscopic Sleeve Gastrectomy Leak Successfully Post Sleeve Gastrectomy Leak Leaks after sleeve gastrectomy remain a deadly complication significantly affecting outcomes and medical costs. The aim of this review was to highlight the causes and thus the prevention modalities and find a standardized algorithm to. In our review, we noticed that the most important clinical sign or symptom in. A missed or delayed diagnosis can. The presentation of leak after. Post Sleeve Gastrectomy Leak.
From www.cell.com
Radiological stent placement of post sleeve gastrectomy leak efficacy Post Sleeve Gastrectomy Leak The presentation of leak after laparoscopic sleeve gastrectomy (lsg) is variable. • our update for endoscopic treatment of leak following laparoscopic sleeve gastrectomy (lsg) contributes with new data. A missed or delayed diagnosis can. This study aims to share outcomes of our management algorithm of post lsg leak, including the rate of resolution, complications, admission. The aim of this review. Post Sleeve Gastrectomy Leak.
From www.researchgate.net
Multiple post fundoplicated sleeve gastrectomy leak in a 29yearold Post Sleeve Gastrectomy Leak In our review, we noticed that the most important clinical sign or symptom in. A missed or delayed diagnosis can. • our update for endoscopic treatment of leak following laparoscopic sleeve gastrectomy (lsg) contributes with new data. Sleeve gastrectomy (sg) is the most commonly performed bariatric procedure in the us [1].one of the most common. The presentation of leak after. Post Sleeve Gastrectomy Leak.
From www.soard.org
New endoscopic technique for the treatment of large gastric fistula or Post Sleeve Gastrectomy Leak The aim of this review was to highlight the causes and thus the prevention modalities and find a standardized algorithm to. Leaks after sleeve gastrectomy remain a deadly complication significantly affecting outcomes and medical costs. • our update for endoscopic treatment of leak following laparoscopic sleeve gastrectomy (lsg) contributes with new data. The presentation of leak after laparoscopic sleeve gastrectomy. Post Sleeve Gastrectomy Leak.
From www.barilife.com
Gastric sleeve leak Post Sleeve Gastrectomy Leak This study aims to share outcomes of our management algorithm of post lsg leak, including the rate of resolution, complications, admission. • our update for endoscopic treatment of leak following laparoscopic sleeve gastrectomy (lsg) contributes with new data. A missed or delayed diagnosis can. Leaks after sleeve gastrectomy remain a deadly complication significantly affecting outcomes and medical costs. The presentation. Post Sleeve Gastrectomy Leak.
From www.researchgate.net
Management algorithm of patients with post sleeve gastrectomy leak Post Sleeve Gastrectomy Leak Sleeve gastrectomy (sg) is the most commonly performed bariatric procedure in the us [1].one of the most common. The aim of this review was to highlight the causes and thus the prevention modalities and find a standardized algorithm to. • our update for endoscopic treatment of leak following laparoscopic sleeve gastrectomy (lsg) contributes with new data. The presentation of leak. Post Sleeve Gastrectomy Leak.
From www.researchgate.net
Upper GI series revealing gastric leak. Download Scientific Diagram Post Sleeve Gastrectomy Leak A missed or delayed diagnosis can. The presentation of leak after laparoscopic sleeve gastrectomy (lsg) is variable. This study aims to share outcomes of our management algorithm of post lsg leak, including the rate of resolution, complications, admission. Leaks after sleeve gastrectomy remain a deadly complication significantly affecting outcomes and medical costs. • our update for endoscopic treatment of leak. Post Sleeve Gastrectomy Leak.
From www.researchgate.net
Sleeve gastrectomy leak treated with internal drainage. A Endoscopic Post Sleeve Gastrectomy Leak This study aims to share outcomes of our management algorithm of post lsg leak, including the rate of resolution, complications, admission. Leaks after sleeve gastrectomy remain a deadly complication significantly affecting outcomes and medical costs. The aim of this review was to highlight the causes and thus the prevention modalities and find a standardized algorithm to. • our update for. Post Sleeve Gastrectomy Leak.
From www.semanticscholar.org
Figure 1 from Gastroesophageal stenting for the management of post Post Sleeve Gastrectomy Leak The presentation of leak after laparoscopic sleeve gastrectomy (lsg) is variable. This study aims to share outcomes of our management algorithm of post lsg leak, including the rate of resolution, complications, admission. • our update for endoscopic treatment of leak following laparoscopic sleeve gastrectomy (lsg) contributes with new data. A missed or delayed diagnosis can. The aim of this review. Post Sleeve Gastrectomy Leak.
From clinicalimagingscience.org
Computed Tomographybased Diagnosis of Postlaparoscopic Sleeve Post Sleeve Gastrectomy Leak In our review, we noticed that the most important clinical sign or symptom in. Leaks after sleeve gastrectomy remain a deadly complication significantly affecting outcomes and medical costs. • our update for endoscopic treatment of leak following laparoscopic sleeve gastrectomy (lsg) contributes with new data. A missed or delayed diagnosis can. This study aims to share outcomes of our management. Post Sleeve Gastrectomy Leak.
From www.cureus.com
Cureus Delayed PostLaparoscopic Sleeve Gastrectomy Leak Successfully Post Sleeve Gastrectomy Leak The aim of this review was to highlight the causes and thus the prevention modalities and find a standardized algorithm to. In our review, we noticed that the most important clinical sign or symptom in. Sleeve gastrectomy (sg) is the most commonly performed bariatric procedure in the us [1].one of the most common. A missed or delayed diagnosis can. Leaks. Post Sleeve Gastrectomy Leak.
From www.researchgate.net
(PDF) Computed Tomographybased Diagnosis of Postlaparoscopic Sleeve Post Sleeve Gastrectomy Leak A missed or delayed diagnosis can. In our review, we noticed that the most important clinical sign or symptom in. • our update for endoscopic treatment of leak following laparoscopic sleeve gastrectomy (lsg) contributes with new data. This study aims to share outcomes of our management algorithm of post lsg leak, including the rate of resolution, complications, admission. Sleeve gastrectomy. Post Sleeve Gastrectomy Leak.
From pubs.rsna.org
Imaging of Bariatric Surgery Normal Anatomy and Postoperative Post Sleeve Gastrectomy Leak • our update for endoscopic treatment of leak following laparoscopic sleeve gastrectomy (lsg) contributes with new data. Leaks after sleeve gastrectomy remain a deadly complication significantly affecting outcomes and medical costs. Sleeve gastrectomy (sg) is the most commonly performed bariatric procedure in the us [1].one of the most common. The presentation of leak after laparoscopic sleeve gastrectomy (lsg) is variable.. Post Sleeve Gastrectomy Leak.
From smj.org.sa
Gastroesophageal stenting for the management of post sleeve gastrectomy Post Sleeve Gastrectomy Leak Leaks after sleeve gastrectomy remain a deadly complication significantly affecting outcomes and medical costs. • our update for endoscopic treatment of leak following laparoscopic sleeve gastrectomy (lsg) contributes with new data. The presentation of leak after laparoscopic sleeve gastrectomy (lsg) is variable. A missed or delayed diagnosis can. This study aims to share outcomes of our management algorithm of post. Post Sleeve Gastrectomy Leak.
From www.mdpi.com
JCM Free FullText Twisted Gastric Tube after Laparoscopic Sleeve Post Sleeve Gastrectomy Leak Sleeve gastrectomy (sg) is the most commonly performed bariatric procedure in the us [1].one of the most common. This study aims to share outcomes of our management algorithm of post lsg leak, including the rate of resolution, complications, admission. The presentation of leak after laparoscopic sleeve gastrectomy (lsg) is variable. The aim of this review was to highlight the causes. Post Sleeve Gastrectomy Leak.
From healthjade.net
Gastrectomy types, post gastrectomy diet and life after total gastrectomy Post Sleeve Gastrectomy Leak The aim of this review was to highlight the causes and thus the prevention modalities and find a standardized algorithm to. The presentation of leak after laparoscopic sleeve gastrectomy (lsg) is variable. This study aims to share outcomes of our management algorithm of post lsg leak, including the rate of resolution, complications, admission. In our review, we noticed that the. Post Sleeve Gastrectomy Leak.
From www.cell.com
Radiological stent placement of post sleeve gastrectomy leak efficacy Post Sleeve Gastrectomy Leak A missed or delayed diagnosis can. • our update for endoscopic treatment of leak following laparoscopic sleeve gastrectomy (lsg) contributes with new data. Sleeve gastrectomy (sg) is the most commonly performed bariatric procedure in the us [1].one of the most common. The aim of this review was to highlight the causes and thus the prevention modalities and find a standardized. Post Sleeve Gastrectomy Leak.
From www.cell.com
Radiological stent placement of post sleeve gastrectomy leak efficacy Post Sleeve Gastrectomy Leak This study aims to share outcomes of our management algorithm of post lsg leak, including the rate of resolution, complications, admission. Sleeve gastrectomy (sg) is the most commonly performed bariatric procedure in the us [1].one of the most common. The presentation of leak after laparoscopic sleeve gastrectomy (lsg) is variable. • our update for endoscopic treatment of leak following laparoscopic. Post Sleeve Gastrectomy Leak.
From teachmesurgery.com
Consent Sleeve Gastrectomy TeachMeSurgery Post Sleeve Gastrectomy Leak The presentation of leak after laparoscopic sleeve gastrectomy (lsg) is variable. • our update for endoscopic treatment of leak following laparoscopic sleeve gastrectomy (lsg) contributes with new data. The aim of this review was to highlight the causes and thus the prevention modalities and find a standardized algorithm to. A missed or delayed diagnosis can. Sleeve gastrectomy (sg) is the. Post Sleeve Gastrectomy Leak.
From www.youtube.com
Complications after sleeve gastrectomy Leaks & stenosis YouTube Post Sleeve Gastrectomy Leak In our review, we noticed that the most important clinical sign or symptom in. Leaks after sleeve gastrectomy remain a deadly complication significantly affecting outcomes and medical costs. • our update for endoscopic treatment of leak following laparoscopic sleeve gastrectomy (lsg) contributes with new data. This study aims to share outcomes of our management algorithm of post lsg leak, including. Post Sleeve Gastrectomy Leak.
From www.cell.com
Radiological stent placement of post sleeve gastrectomy leak efficacy Post Sleeve Gastrectomy Leak • our update for endoscopic treatment of leak following laparoscopic sleeve gastrectomy (lsg) contributes with new data. Leaks after sleeve gastrectomy remain a deadly complication significantly affecting outcomes and medical costs. The aim of this review was to highlight the causes and thus the prevention modalities and find a standardized algorithm to. In our review, we noticed that the most. Post Sleeve Gastrectomy Leak.
From www.youtube.com
FC SEMS removal post sleeve gastrectomy leak YouTube Post Sleeve Gastrectomy Leak A missed or delayed diagnosis can. • our update for endoscopic treatment of leak following laparoscopic sleeve gastrectomy (lsg) contributes with new data. The aim of this review was to highlight the causes and thus the prevention modalities and find a standardized algorithm to. This study aims to share outcomes of our management algorithm of post lsg leak, including the. Post Sleeve Gastrectomy Leak.
From clinicalimagingscience.org
Computed Tomographybased Diagnosis of Postlaparoscopic Sleeve Post Sleeve Gastrectomy Leak • our update for endoscopic treatment of leak following laparoscopic sleeve gastrectomy (lsg) contributes with new data. Sleeve gastrectomy (sg) is the most commonly performed bariatric procedure in the us [1].one of the most common. The presentation of leak after laparoscopic sleeve gastrectomy (lsg) is variable. This study aims to share outcomes of our management algorithm of post lsg leak,. Post Sleeve Gastrectomy Leak.
From www.researchgate.net
(PDF) Percutaneous CTGuided Drainage of Gastric Leaks PostSleeve Post Sleeve Gastrectomy Leak • our update for endoscopic treatment of leak following laparoscopic sleeve gastrectomy (lsg) contributes with new data. In our review, we noticed that the most important clinical sign or symptom in. The presentation of leak after laparoscopic sleeve gastrectomy (lsg) is variable. A missed or delayed diagnosis can. The aim of this review was to highlight the causes and thus. Post Sleeve Gastrectomy Leak.
From mexicobariatriccenter.com
Gastric Sleeve Leak Vertical Sleeve Gastrectomy VSG Stomach Leak Post Sleeve Gastrectomy Leak • our update for endoscopic treatment of leak following laparoscopic sleeve gastrectomy (lsg) contributes with new data. The presentation of leak after laparoscopic sleeve gastrectomy (lsg) is variable. Sleeve gastrectomy (sg) is the most commonly performed bariatric procedure in the us [1].one of the most common. In our review, we noticed that the most important clinical sign or symptom in.. Post Sleeve Gastrectomy Leak.
From www.barilife.com
Gastric sleeve leak Post Sleeve Gastrectomy Leak In our review, we noticed that the most important clinical sign or symptom in. The presentation of leak after laparoscopic sleeve gastrectomy (lsg) is variable. Sleeve gastrectomy (sg) is the most commonly performed bariatric procedure in the us [1].one of the most common. • our update for endoscopic treatment of leak following laparoscopic sleeve gastrectomy (lsg) contributes with new data.. Post Sleeve Gastrectomy Leak.
From sciforschenonline.org
Acute Conversion of Early Sleeve Gastrectomy Leak to RouxenY Gastric Post Sleeve Gastrectomy Leak • our update for endoscopic treatment of leak following laparoscopic sleeve gastrectomy (lsg) contributes with new data. The aim of this review was to highlight the causes and thus the prevention modalities and find a standardized algorithm to. The presentation of leak after laparoscopic sleeve gastrectomy (lsg) is variable. In our review, we noticed that the most important clinical sign. Post Sleeve Gastrectomy Leak.
From www.eurorad.org
Complicating leak after sleeve gastrectomy Eurorad Post Sleeve Gastrectomy Leak Leaks after sleeve gastrectomy remain a deadly complication significantly affecting outcomes and medical costs. • our update for endoscopic treatment of leak following laparoscopic sleeve gastrectomy (lsg) contributes with new data. This study aims to share outcomes of our management algorithm of post lsg leak, including the rate of resolution, complications, admission. In our review, we noticed that the most. Post Sleeve Gastrectomy Leak.
From clinicalimagingscience.org
Computed Tomographybased Diagnosis of Postlaparoscopic Sleeve Post Sleeve Gastrectomy Leak • our update for endoscopic treatment of leak following laparoscopic sleeve gastrectomy (lsg) contributes with new data. The aim of this review was to highlight the causes and thus the prevention modalities and find a standardized algorithm to. Leaks after sleeve gastrectomy remain a deadly complication significantly affecting outcomes and medical costs. The presentation of leak after laparoscopic sleeve gastrectomy. Post Sleeve Gastrectomy Leak.
From radiopaedia.org
Post sleeve gastrectomy leak with abscess Image Post Sleeve Gastrectomy Leak The presentation of leak after laparoscopic sleeve gastrectomy (lsg) is variable. Sleeve gastrectomy (sg) is the most commonly performed bariatric procedure in the us [1].one of the most common. A missed or delayed diagnosis can. Leaks after sleeve gastrectomy remain a deadly complication significantly affecting outcomes and medical costs. This study aims to share outcomes of our management algorithm of. Post Sleeve Gastrectomy Leak.