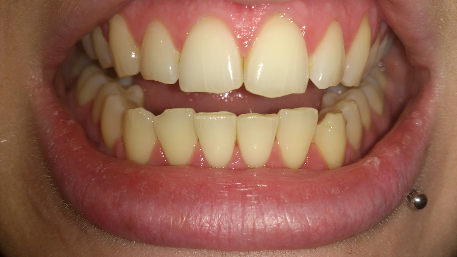
Can Crest White Strips Hurt Your Gums . brushing with a mild toothpaste like crest gum and sensitivity gentle whitening may help with some of the irritation by treating sensitivity pain. proctor and gamble, the manufacturer of crest whitestrips reports that you're more likely to suffer from sore gums if you've. Potential teeth whitening side effects associated with whitening strips include irritated gums and tooth sensitivity. make sure you recognize when your gums are irritated or burning so you can take fast action to soothe your gingival tissue. we asked an oral care expert. Next time you whiten your teeth, take preventive measures so that when you smile, your teeth dazzle, and your gums look pink and healthy. do not let the strips touch your gums if at all possible. Uv lights used with crest whitestrips may increase tooth sensitivity and potentially damage.
from exozsydot.blob.core.windows.net
brushing with a mild toothpaste like crest gum and sensitivity gentle whitening may help with some of the irritation by treating sensitivity pain. Next time you whiten your teeth, take preventive measures so that when you smile, your teeth dazzle, and your gums look pink and healthy. proctor and gamble, the manufacturer of crest whitestrips reports that you're more likely to suffer from sore gums if you've. Potential teeth whitening side effects associated with whitening strips include irritated gums and tooth sensitivity. make sure you recognize when your gums are irritated or burning so you can take fast action to soothe your gingival tissue. Uv lights used with crest whitestrips may increase tooth sensitivity and potentially damage. we asked an oral care expert. do not let the strips touch your gums if at all possible.
Crest White Strips Gum Sensitivity at Mary Prieto blog
Can Crest White Strips Hurt Your Gums Next time you whiten your teeth, take preventive measures so that when you smile, your teeth dazzle, and your gums look pink and healthy. proctor and gamble, the manufacturer of crest whitestrips reports that you're more likely to suffer from sore gums if you've. make sure you recognize when your gums are irritated or burning so you can take fast action to soothe your gingival tissue. Potential teeth whitening side effects associated with whitening strips include irritated gums and tooth sensitivity. Uv lights used with crest whitestrips may increase tooth sensitivity and potentially damage. do not let the strips touch your gums if at all possible. brushing with a mild toothpaste like crest gum and sensitivity gentle whitening may help with some of the irritation by treating sensitivity pain. Next time you whiten your teeth, take preventive measures so that when you smile, your teeth dazzle, and your gums look pink and healthy. we asked an oral care expert.
From www.pinterest.com
My crest white strips results! Crest white strips, Beauty skin care Can Crest White Strips Hurt Your Gums do not let the strips touch your gums if at all possible. we asked an oral care expert. Uv lights used with crest whitestrips may increase tooth sensitivity and potentially damage. Potential teeth whitening side effects associated with whitening strips include irritated gums and tooth sensitivity. brushing with a mild toothpaste like crest gum and sensitivity gentle. Can Crest White Strips Hurt Your Gums.
From exozsydot.blob.core.windows.net
Crest White Strips Gum Sensitivity at Mary Prieto blog Can Crest White Strips Hurt Your Gums Next time you whiten your teeth, take preventive measures so that when you smile, your teeth dazzle, and your gums look pink and healthy. we asked an oral care expert. brushing with a mild toothpaste like crest gum and sensitivity gentle whitening may help with some of the irritation by treating sensitivity pain. do not let the. Can Crest White Strips Hurt Your Gums.
From www.walmart.com
Crest 3DWhitestrips Professional Bright Athome Teeth Whitening Kit, 18 Can Crest White Strips Hurt Your Gums make sure you recognize when your gums are irritated or burning so you can take fast action to soothe your gingival tissue. Potential teeth whitening side effects associated with whitening strips include irritated gums and tooth sensitivity. Next time you whiten your teeth, take preventive measures so that when you smile, your teeth dazzle, and your gums look pink. Can Crest White Strips Hurt Your Gums.
From dxojsggnf.blob.core.windows.net
How Many Days To Use Crest 3D White Strips Reddit at Gary Stanton blog Can Crest White Strips Hurt Your Gums Potential teeth whitening side effects associated with whitening strips include irritated gums and tooth sensitivity. we asked an oral care expert. do not let the strips touch your gums if at all possible. brushing with a mild toothpaste like crest gum and sensitivity gentle whitening may help with some of the irritation by treating sensitivity pain. Uv. Can Crest White Strips Hurt Your Gums.
From exozsydot.blob.core.windows.net
Crest White Strips Gum Sensitivity at Mary Prieto blog Can Crest White Strips Hurt Your Gums we asked an oral care expert. do not let the strips touch your gums if at all possible. Next time you whiten your teeth, take preventive measures so that when you smile, your teeth dazzle, and your gums look pink and healthy. Uv lights used with crest whitestrips may increase tooth sensitivity and potentially damage. Potential teeth whitening. Can Crest White Strips Hurt Your Gums.
From hip2save.com
Crest Gum Detoxify & Sensitivity Toothpaste 3Pack as Low as 9.99 on Can Crest White Strips Hurt Your Gums Uv lights used with crest whitestrips may increase tooth sensitivity and potentially damage. proctor and gamble, the manufacturer of crest whitestrips reports that you're more likely to suffer from sore gums if you've. Next time you whiten your teeth, take preventive measures so that when you smile, your teeth dazzle, and your gums look pink and healthy. we. Can Crest White Strips Hurt Your Gums.
From www.nwph.net
The Best Way to Use Crest Whitestrips for Safe and Easy Teeth Whitening Can Crest White Strips Hurt Your Gums Potential teeth whitening side effects associated with whitening strips include irritated gums and tooth sensitivity. make sure you recognize when your gums are irritated or burning so you can take fast action to soothe your gingival tissue. we asked an oral care expert. Uv lights used with crest whitestrips may increase tooth sensitivity and potentially damage. proctor. Can Crest White Strips Hurt Your Gums.
From skincare-au.com
Crest Advanced Vivid Whitestrips 3D White Skincare Australia Can Crest White Strips Hurt Your Gums do not let the strips touch your gums if at all possible. Next time you whiten your teeth, take preventive measures so that when you smile, your teeth dazzle, and your gums look pink and healthy. we asked an oral care expert. Potential teeth whitening side effects associated with whitening strips include irritated gums and tooth sensitivity. . Can Crest White Strips Hurt Your Gums.
From exolxplie.blob.core.windows.net
How To Use Crest White Strips at Paula Carr blog Can Crest White Strips Hurt Your Gums proctor and gamble, the manufacturer of crest whitestrips reports that you're more likely to suffer from sore gums if you've. Uv lights used with crest whitestrips may increase tooth sensitivity and potentially damage. Next time you whiten your teeth, take preventive measures so that when you smile, your teeth dazzle, and your gums look pink and healthy. brushing. Can Crest White Strips Hurt Your Gums.
From www.walmart.com
Crest 3D White Professional Effects Whitestrips Whitening Strips Kit Can Crest White Strips Hurt Your Gums do not let the strips touch your gums if at all possible. Uv lights used with crest whitestrips may increase tooth sensitivity and potentially damage. proctor and gamble, the manufacturer of crest whitestrips reports that you're more likely to suffer from sore gums if you've. Potential teeth whitening side effects associated with whitening strips include irritated gums and. Can Crest White Strips Hurt Your Gums.
From www.smilebrilliant.com
Gum Irritation caused by teeth whitening is normal... Can Crest White Strips Hurt Your Gums do not let the strips touch your gums if at all possible. we asked an oral care expert. brushing with a mild toothpaste like crest gum and sensitivity gentle whitening may help with some of the irritation by treating sensitivity pain. make sure you recognize when your gums are irritated or burning so you can take. Can Crest White Strips Hurt Your Gums.
From exolxplie.blob.core.windows.net
How To Use Crest White Strips at Paula Carr blog Can Crest White Strips Hurt Your Gums Next time you whiten your teeth, take preventive measures so that when you smile, your teeth dazzle, and your gums look pink and healthy. brushing with a mild toothpaste like crest gum and sensitivity gentle whitening may help with some of the irritation by treating sensitivity pain. Potential teeth whitening side effects associated with whitening strips include irritated gums. Can Crest White Strips Hurt Your Gums.
From www.walmart.com
Crest 3D Whitestrips 1 Hour Express Teeth Whitening Kit 8 Strips EXP 11 Can Crest White Strips Hurt Your Gums Potential teeth whitening side effects associated with whitening strips include irritated gums and tooth sensitivity. do not let the strips touch your gums if at all possible. we asked an oral care expert. proctor and gamble, the manufacturer of crest whitestrips reports that you're more likely to suffer from sore gums if you've. make sure you. Can Crest White Strips Hurt Your Gums.
From www.walmart.com
Crest 3D Whitestrips Sensitive White Teeth Whitening Kit, 26 Strips Can Crest White Strips Hurt Your Gums Next time you whiten your teeth, take preventive measures so that when you smile, your teeth dazzle, and your gums look pink and healthy. brushing with a mild toothpaste like crest gum and sensitivity gentle whitening may help with some of the irritation by treating sensitivity pain. Potential teeth whitening side effects associated with whitening strips include irritated gums. Can Crest White Strips Hurt Your Gums.
From 2022.markettraders.com
Do Whitening Strips Work? Eagle Harbor Dentist, 51 OFF Can Crest White Strips Hurt Your Gums do not let the strips touch your gums if at all possible. we asked an oral care expert. brushing with a mild toothpaste like crest gum and sensitivity gentle whitening may help with some of the irritation by treating sensitivity pain. Potential teeth whitening side effects associated with whitening strips include irritated gums and tooth sensitivity. Next. Can Crest White Strips Hurt Your Gums.
From yakarandamag.com
¿Por Qué Me Duelen Los Dientes Después Del Blanqueamiento? / Lane and Can Crest White Strips Hurt Your Gums we asked an oral care expert. Uv lights used with crest whitestrips may increase tooth sensitivity and potentially damage. brushing with a mild toothpaste like crest gum and sensitivity gentle whitening may help with some of the irritation by treating sensitivity pain. make sure you recognize when your gums are irritated or burning so you can take. Can Crest White Strips Hurt Your Gums.
From www.walmart.com
Crest 3D White Professional Effects Whitening Teeth Strips Kit, 40 Can Crest White Strips Hurt Your Gums Uv lights used with crest whitestrips may increase tooth sensitivity and potentially damage. Potential teeth whitening side effects associated with whitening strips include irritated gums and tooth sensitivity. Next time you whiten your teeth, take preventive measures so that when you smile, your teeth dazzle, and your gums look pink and healthy. do not let the strips touch your. Can Crest White Strips Hurt Your Gums.
From exomubvcc.blob.core.windows.net
Crest Whitening Strips Professional Effects Uk at Joey Moore blog Can Crest White Strips Hurt Your Gums Next time you whiten your teeth, take preventive measures so that when you smile, your teeth dazzle, and your gums look pink and healthy. Uv lights used with crest whitestrips may increase tooth sensitivity and potentially damage. Potential teeth whitening side effects associated with whitening strips include irritated gums and tooth sensitivity. we asked an oral care expert. . Can Crest White Strips Hurt Your Gums.
From exodghtwa.blob.core.windows.net
Teeth Whitening Strips Turned My Gums White at Larry Nobles blog Can Crest White Strips Hurt Your Gums brushing with a mild toothpaste like crest gum and sensitivity gentle whitening may help with some of the irritation by treating sensitivity pain. Potential teeth whitening side effects associated with whitening strips include irritated gums and tooth sensitivity. Uv lights used with crest whitestrips may increase tooth sensitivity and potentially damage. do not let the strips touch your. Can Crest White Strips Hurt Your Gums.
From crest.com
Gum Irritation and Sensitive Teeth from Whitestrips Crest Can Crest White Strips Hurt Your Gums proctor and gamble, the manufacturer of crest whitestrips reports that you're more likely to suffer from sore gums if you've. Potential teeth whitening side effects associated with whitening strips include irritated gums and tooth sensitivity. Uv lights used with crest whitestrips may increase tooth sensitivity and potentially damage. Next time you whiten your teeth, take preventive measures so that. Can Crest White Strips Hurt Your Gums.
From crest.com
How to Use Crest Whitening Emulsions? Crest Can Crest White Strips Hurt Your Gums Uv lights used with crest whitestrips may increase tooth sensitivity and potentially damage. make sure you recognize when your gums are irritated or burning so you can take fast action to soothe your gingival tissue. Next time you whiten your teeth, take preventive measures so that when you smile, your teeth dazzle, and your gums look pink and healthy.. Can Crest White Strips Hurt Your Gums.
From www.nwph.net
The Best Way to Use Crest Whitestrips for Safe and Easy Teeth Whitening Can Crest White Strips Hurt Your Gums make sure you recognize when your gums are irritated or burning so you can take fast action to soothe your gingival tissue. Next time you whiten your teeth, take preventive measures so that when you smile, your teeth dazzle, and your gums look pink and healthy. do not let the strips touch your gums if at all possible.. Can Crest White Strips Hurt Your Gums.
From giotohlnq.blob.core.windows.net
Used Teeth Whitening Strips Now My Teeth Hurt at Patrica Rosario blog Can Crest White Strips Hurt Your Gums proctor and gamble, the manufacturer of crest whitestrips reports that you're more likely to suffer from sore gums if you've. Next time you whiten your teeth, take preventive measures so that when you smile, your teeth dazzle, and your gums look pink and healthy. make sure you recognize when your gums are irritated or burning so you can. Can Crest White Strips Hurt Your Gums.
From www.austindentalspa.com
Can Teeth Whitening Damage Gums? Can Crest White Strips Hurt Your Gums Uv lights used with crest whitestrips may increase tooth sensitivity and potentially damage. make sure you recognize when your gums are irritated or burning so you can take fast action to soothe your gingival tissue. Next time you whiten your teeth, take preventive measures so that when you smile, your teeth dazzle, and your gums look pink and healthy.. Can Crest White Strips Hurt Your Gums.
From paperiocenter.com
Is teeth whitening safe for my gums? PA Center For Periodontology Can Crest White Strips Hurt Your Gums we asked an oral care expert. Next time you whiten your teeth, take preventive measures so that when you smile, your teeth dazzle, and your gums look pink and healthy. Uv lights used with crest whitestrips may increase tooth sensitivity and potentially damage. Potential teeth whitening side effects associated with whitening strips include irritated gums and tooth sensitivity. . Can Crest White Strips Hurt Your Gums.
From www.walmart.com
Crest 3DWhitestrips Professional Effects Athome Teeth Whitening Kit Can Crest White Strips Hurt Your Gums make sure you recognize when your gums are irritated or burning so you can take fast action to soothe your gingival tissue. we asked an oral care expert. Uv lights used with crest whitestrips may increase tooth sensitivity and potentially damage. Potential teeth whitening side effects associated with whitening strips include irritated gums and tooth sensitivity. proctor. Can Crest White Strips Hurt Your Gums.
From www.walmart.com
Crest 3DWhitestrips Sensitive Bright atHome Teeth Whitening Strip Kit Can Crest White Strips Hurt Your Gums make sure you recognize when your gums are irritated or burning so you can take fast action to soothe your gingival tissue. proctor and gamble, the manufacturer of crest whitestrips reports that you're more likely to suffer from sore gums if you've. do not let the strips touch your gums if at all possible. brushing with. Can Crest White Strips Hurt Your Gums.
From www.vrogue.co
White Spots On Gums Cancer vrogue.co Can Crest White Strips Hurt Your Gums proctor and gamble, the manufacturer of crest whitestrips reports that you're more likely to suffer from sore gums if you've. Next time you whiten your teeth, take preventive measures so that when you smile, your teeth dazzle, and your gums look pink and healthy. Potential teeth whitening side effects associated with whitening strips include irritated gums and tooth sensitivity.. Can Crest White Strips Hurt Your Gums.
From exolitjgf.blob.core.windows.net
How To Use Crest 3D White Strips Luxe at Theresa Kirkland blog Can Crest White Strips Hurt Your Gums do not let the strips touch your gums if at all possible. make sure you recognize when your gums are irritated or burning so you can take fast action to soothe your gingival tissue. Uv lights used with crest whitestrips may increase tooth sensitivity and potentially damage. we asked an oral care expert. brushing with a. Can Crest White Strips Hurt Your Gums.
From summitdentistryspokane.com
Why You Should Get Professional Teeth Whitening Over Teeth Whitening Strips Can Crest White Strips Hurt Your Gums Uv lights used with crest whitestrips may increase tooth sensitivity and potentially damage. brushing with a mild toothpaste like crest gum and sensitivity gentle whitening may help with some of the irritation by treating sensitivity pain. Potential teeth whitening side effects associated with whitening strips include irritated gums and tooth sensitivity. proctor and gamble, the manufacturer of crest. Can Crest White Strips Hurt Your Gums.
From exoxsryij.blob.core.windows.net
Why Do Whitening Strips Burn My Gums at Paul Lambert blog Can Crest White Strips Hurt Your Gums brushing with a mild toothpaste like crest gum and sensitivity gentle whitening may help with some of the irritation by treating sensitivity pain. do not let the strips touch your gums if at all possible. Uv lights used with crest whitestrips may increase tooth sensitivity and potentially damage. proctor and gamble, the manufacturer of crest whitestrips reports. Can Crest White Strips Hurt Your Gums.
From www.healthline.com
White Gums Causes, Treatments, and More Can Crest White Strips Hurt Your Gums Potential teeth whitening side effects associated with whitening strips include irritated gums and tooth sensitivity. brushing with a mild toothpaste like crest gum and sensitivity gentle whitening may help with some of the irritation by treating sensitivity pain. proctor and gamble, the manufacturer of crest whitestrips reports that you're more likely to suffer from sore gums if you've.. Can Crest White Strips Hurt Your Gums.
From www.glasgowbeautyblogger.com
Crest 3D White Strips 2h Express Review Glasgow Beauty Blogger Can Crest White Strips Hurt Your Gums we asked an oral care expert. make sure you recognize when your gums are irritated or burning so you can take fast action to soothe your gingival tissue. do not let the strips touch your gums if at all possible. proctor and gamble, the manufacturer of crest whitestrips reports that you're more likely to suffer from. Can Crest White Strips Hurt Your Gums.
From bweisshealth.com
What are White Spots on Gums and How to Prevent Them Can Crest White Strips Hurt Your Gums make sure you recognize when your gums are irritated or burning so you can take fast action to soothe your gingival tissue. brushing with a mild toothpaste like crest gum and sensitivity gentle whitening may help with some of the irritation by treating sensitivity pain. Uv lights used with crest whitestrips may increase tooth sensitivity and potentially damage.. Can Crest White Strips Hurt Your Gums.
From dxojhmgwv.blob.core.windows.net
Crest Whitening Strips Uk at Richard Jenkins blog Can Crest White Strips Hurt Your Gums make sure you recognize when your gums are irritated or burning so you can take fast action to soothe your gingival tissue. Next time you whiten your teeth, take preventive measures so that when you smile, your teeth dazzle, and your gums look pink and healthy. we asked an oral care expert. brushing with a mild toothpaste. Can Crest White Strips Hurt Your Gums.