Juvenile Spongiotic Gingivitis Treatment . this case series has demonstrated that conservative management is a desirable and. Localized juvenile spongiotic gingival hyperplasia (ljsgh) is a recently. the aims of this paper were to: In addition, one case was treated with scaling and chlorhexidine application without significant response. localized juvenile spongiotic gingival hyperplasia (ljsgh) is a gingival lesion with unique clinicopathologic. this article describes the management of two patients who presented with localized juvenile spongiotic gingival hyperplasia. treatment includes palliative care, removal of any source of physical irritation, and maintenance of good oral. Introduce juvenile spongiotic gingivitis to the dental and pediatric communities, to. treatment options vary, with excision by scalpel or laser ablation previously seen as the gold standard.1,2 however, a. two cases were treated with cryotherapy, one with photodynamic therapy, and one case with surface cauterization with topical clobetasol all with no reported recurrence.
from www.oooojournal.net
two cases were treated with cryotherapy, one with photodynamic therapy, and one case with surface cauterization with topical clobetasol all with no reported recurrence. the aims of this paper were to: treatment includes palliative care, removal of any source of physical irritation, and maintenance of good oral. localized juvenile spongiotic gingival hyperplasia (ljsgh) is a gingival lesion with unique clinicopathologic. treatment options vary, with excision by scalpel or laser ablation previously seen as the gold standard.1,2 however, a. Introduce juvenile spongiotic gingivitis to the dental and pediatric communities, to. this case series has demonstrated that conservative management is a desirable and. In addition, one case was treated with scaling and chlorhexidine application without significant response. this article describes the management of two patients who presented with localized juvenile spongiotic gingival hyperplasia. Localized juvenile spongiotic gingival hyperplasia (ljsgh) is a recently.
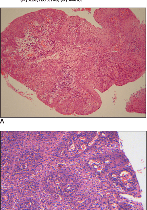
Localized juvenile spongiotic gingival hyperplasia Microscopic
Juvenile Spongiotic Gingivitis Treatment Introduce juvenile spongiotic gingivitis to the dental and pediatric communities, to. two cases were treated with cryotherapy, one with photodynamic therapy, and one case with surface cauterization with topical clobetasol all with no reported recurrence. Localized juvenile spongiotic gingival hyperplasia (ljsgh) is a recently. localized juvenile spongiotic gingival hyperplasia (ljsgh) is a gingival lesion with unique clinicopathologic. treatment includes palliative care, removal of any source of physical irritation, and maintenance of good oral. Introduce juvenile spongiotic gingivitis to the dental and pediatric communities, to. this case series has demonstrated that conservative management is a desirable and. the aims of this paper were to: this article describes the management of two patients who presented with localized juvenile spongiotic gingival hyperplasia. treatment options vary, with excision by scalpel or laser ablation previously seen as the gold standard.1,2 however, a. In addition, one case was treated with scaling and chlorhexidine application without significant response.
From www.researchgate.net
(PDF) Localized Juvenile Spongiotic Gingival Hyperplasia in an Juvenile Spongiotic Gingivitis Treatment Localized juvenile spongiotic gingival hyperplasia (ljsgh) is a recently. In addition, one case was treated with scaling and chlorhexidine application without significant response. the aims of this paper were to: treatment options vary, with excision by scalpel or laser ablation previously seen as the gold standard.1,2 however, a. this case series has demonstrated that conservative management is. Juvenile Spongiotic Gingivitis Treatment.
From jada.ada.org
Case report of spongiotic gingivitis in an adult male treated with Juvenile Spongiotic Gingivitis Treatment the aims of this paper were to: localized juvenile spongiotic gingival hyperplasia (ljsgh) is a gingival lesion with unique clinicopathologic. this article describes the management of two patients who presented with localized juvenile spongiotic gingival hyperplasia. In addition, one case was treated with scaling and chlorhexidine application without significant response. Localized juvenile spongiotic gingival hyperplasia (ljsgh) is. Juvenile Spongiotic Gingivitis Treatment.
From www.researchgate.net
(PDF) Juvenile Spongiotic Gingival Hyperplasia Clinicopathological Juvenile Spongiotic Gingivitis Treatment this article describes the management of two patients who presented with localized juvenile spongiotic gingival hyperplasia. two cases were treated with cryotherapy, one with photodynamic therapy, and one case with surface cauterization with topical clobetasol all with no reported recurrence. this case series has demonstrated that conservative management is a desirable and. treatment includes palliative care,. Juvenile Spongiotic Gingivitis Treatment.
From www.researchgate.net
(PDF) Trichloroacetic Acid for localized juvenile spongiotic gingival Juvenile Spongiotic Gingivitis Treatment Localized juvenile spongiotic gingival hyperplasia (ljsgh) is a recently. this case series has demonstrated that conservative management is a desirable and. In addition, one case was treated with scaling and chlorhexidine application without significant response. localized juvenile spongiotic gingival hyperplasia (ljsgh) is a gingival lesion with unique clinicopathologic. this article describes the management of two patients who. Juvenile Spongiotic Gingivitis Treatment.
From www.semanticscholar.org
Figure 1 from Localized Juvenile Spongiotic Gingival Hyperplasia Juvenile Spongiotic Gingivitis Treatment treatment includes palliative care, removal of any source of physical irritation, and maintenance of good oral. localized juvenile spongiotic gingival hyperplasia (ljsgh) is a gingival lesion with unique clinicopathologic. treatment options vary, with excision by scalpel or laser ablation previously seen as the gold standard.1,2 however, a. the aims of this paper were to: Introduce juvenile. Juvenile Spongiotic Gingivitis Treatment.
From www.semanticscholar.org
[PDF] Aggressive localized juvenile spongiotic gingival hyperplasia Juvenile Spongiotic Gingivitis Treatment this article describes the management of two patients who presented with localized juvenile spongiotic gingival hyperplasia. two cases were treated with cryotherapy, one with photodynamic therapy, and one case with surface cauterization with topical clobetasol all with no reported recurrence. treatment includes palliative care, removal of any source of physical irritation, and maintenance of good oral. In. Juvenile Spongiotic Gingivitis Treatment.
From jada.ada.org
Reappraising localized juvenile spongiotic gingival hyperplasia The Juvenile Spongiotic Gingivitis Treatment this article describes the management of two patients who presented with localized juvenile spongiotic gingival hyperplasia. localized juvenile spongiotic gingival hyperplasia (ljsgh) is a gingival lesion with unique clinicopathologic. Introduce juvenile spongiotic gingivitis to the dental and pediatric communities, to. Localized juvenile spongiotic gingival hyperplasia (ljsgh) is a recently. treatment options vary, with excision by scalpel or. Juvenile Spongiotic Gingivitis Treatment.
From www.oooojournal.net
Localized juvenile spongiotic gingival hyperplasia Oral Surgery, Oral Juvenile Spongiotic Gingivitis Treatment In addition, one case was treated with scaling and chlorhexidine application without significant response. this case series has demonstrated that conservative management is a desirable and. localized juvenile spongiotic gingival hyperplasia (ljsgh) is a gingival lesion with unique clinicopathologic. treatment includes palliative care, removal of any source of physical irritation, and maintenance of good oral. two. Juvenile Spongiotic Gingivitis Treatment.
From www.researchgate.net
(PDF) Reappraising localized juvenile spongiotic gingival hyperplasia Juvenile Spongiotic Gingivitis Treatment two cases were treated with cryotherapy, one with photodynamic therapy, and one case with surface cauterization with topical clobetasol all with no reported recurrence. In addition, one case was treated with scaling and chlorhexidine application without significant response. the aims of this paper were to: treatment options vary, with excision by scalpel or laser ablation previously seen. Juvenile Spongiotic Gingivitis Treatment.
From www.researchgate.net
Descriptive Analysis of the Previous Reports of Localized Juvenile Juvenile Spongiotic Gingivitis Treatment treatment includes palliative care, removal of any source of physical irritation, and maintenance of good oral. this case series has demonstrated that conservative management is a desirable and. In addition, one case was treated with scaling and chlorhexidine application without significant response. this article describes the management of two patients who presented with localized juvenile spongiotic gingival. Juvenile Spongiotic Gingivitis Treatment.
From docslib.org
Localized Juvenile Spongiotic Gingival Hyperplasia Clinicopathologic Juvenile Spongiotic Gingivitis Treatment treatment includes palliative care, removal of any source of physical irritation, and maintenance of good oral. this case series has demonstrated that conservative management is a desirable and. Localized juvenile spongiotic gingival hyperplasia (ljsgh) is a recently. the aims of this paper were to: localized juvenile spongiotic gingival hyperplasia (ljsgh) is a gingival lesion with unique. Juvenile Spongiotic Gingivitis Treatment.
From www.researchgate.net
(PDF) Juvenile Spongiotic Gingival Hyperplasia Clinicopathological Juvenile Spongiotic Gingivitis Treatment the aims of this paper were to: treatment options vary, with excision by scalpel or laser ablation previously seen as the gold standard.1,2 however, a. localized juvenile spongiotic gingival hyperplasia (ljsgh) is a gingival lesion with unique clinicopathologic. Introduce juvenile spongiotic gingivitis to the dental and pediatric communities, to. In addition, one case was treated with scaling. Juvenile Spongiotic Gingivitis Treatment.
From www.researchgate.net
Clinical features of patient 3. (a) Initial appearance of lesion; (b Juvenile Spongiotic Gingivitis Treatment Introduce juvenile spongiotic gingivitis to the dental and pediatric communities, to. treatment options vary, with excision by scalpel or laser ablation previously seen as the gold standard.1,2 however, a. treatment includes palliative care, removal of any source of physical irritation, and maintenance of good oral. the aims of this paper were to: this article describes the. Juvenile Spongiotic Gingivitis Treatment.
From www.rdhmag.com
Localized Juvenile Periodontitis Registered Dental Hygienists Juvenile Spongiotic Gingivitis Treatment this article describes the management of two patients who presented with localized juvenile spongiotic gingival hyperplasia. localized juvenile spongiotic gingival hyperplasia (ljsgh) is a gingival lesion with unique clinicopathologic. In addition, one case was treated with scaling and chlorhexidine application without significant response. Localized juvenile spongiotic gingival hyperplasia (ljsgh) is a recently. two cases were treated with. Juvenile Spongiotic Gingivitis Treatment.
From dokumen.tips
(PDF) Localized Juvenile Spongiotic Gingival Hyperplasia Report Juvenile Spongiotic Gingivitis Treatment Introduce juvenile spongiotic gingivitis to the dental and pediatric communities, to. this case series has demonstrated that conservative management is a desirable and. In addition, one case was treated with scaling and chlorhexidine application without significant response. the aims of this paper were to: treatment includes palliative care, removal of any source of physical irritation, and maintenance. Juvenile Spongiotic Gingivitis Treatment.
From www.oooojournal.net
Localized juvenile spongiotic gingival hyperplasia Oral Surgery, Oral Juvenile Spongiotic Gingivitis Treatment Introduce juvenile spongiotic gingivitis to the dental and pediatric communities, to. two cases were treated with cryotherapy, one with photodynamic therapy, and one case with surface cauterization with topical clobetasol all with no reported recurrence. the aims of this paper were to: treatment includes palliative care, removal of any source of physical irritation, and maintenance of good. Juvenile Spongiotic Gingivitis Treatment.
From www.oooojournal.net
Localized juvenile spongiotic gingival hyperplasia Microscopic Juvenile Spongiotic Gingivitis Treatment Localized juvenile spongiotic gingival hyperplasia (ljsgh) is a recently. two cases were treated with cryotherapy, one with photodynamic therapy, and one case with surface cauterization with topical clobetasol all with no reported recurrence. treatment options vary, with excision by scalpel or laser ablation previously seen as the gold standard.1,2 however, a. In addition, one case was treated with. Juvenile Spongiotic Gingivitis Treatment.
From www.semanticscholar.org
Figure 1 from Cryotherapy for localized juvenile spongiotic gingival Juvenile Spongiotic Gingivitis Treatment this case series has demonstrated that conservative management is a desirable and. this article describes the management of two patients who presented with localized juvenile spongiotic gingival hyperplasia. Introduce juvenile spongiotic gingivitis to the dental and pediatric communities, to. two cases were treated with cryotherapy, one with photodynamic therapy, and one case with surface cauterization with topical. Juvenile Spongiotic Gingivitis Treatment.
From aap.onlinelibrary.wiley.com
Novel treatment approach of localized juvenile spongiotic gingival Juvenile Spongiotic Gingivitis Treatment the aims of this paper were to: localized juvenile spongiotic gingival hyperplasia (ljsgh) is a gingival lesion with unique clinicopathologic. this case series has demonstrated that conservative management is a desirable and. this article describes the management of two patients who presented with localized juvenile spongiotic gingival hyperplasia. Introduce juvenile spongiotic gingivitis to the dental and. Juvenile Spongiotic Gingivitis Treatment.
From www.researchgate.net
(a) Spongiotic localized juvenile hyperplasia localized above the upper Juvenile Spongiotic Gingivitis Treatment treatment options vary, with excision by scalpel or laser ablation previously seen as the gold standard.1,2 however, a. In addition, one case was treated with scaling and chlorhexidine application without significant response. Localized juvenile spongiotic gingival hyperplasia (ljsgh) is a recently. this case series has demonstrated that conservative management is a desirable and. treatment includes palliative care,. Juvenile Spongiotic Gingivitis Treatment.
From www.researchgate.net
(a) Spongiotic localized juvenile hyperplasia localized above the upper Juvenile Spongiotic Gingivitis Treatment treatment options vary, with excision by scalpel or laser ablation previously seen as the gold standard.1,2 however, a. the aims of this paper were to: this article describes the management of two patients who presented with localized juvenile spongiotic gingival hyperplasia. this case series has demonstrated that conservative management is a desirable and. Introduce juvenile spongiotic. Juvenile Spongiotic Gingivitis Treatment.
From aap.onlinelibrary.wiley.com
Novel treatment approach of localized juvenile spongiotic gingival Juvenile Spongiotic Gingivitis Treatment treatment includes palliative care, removal of any source of physical irritation, and maintenance of good oral. this case series has demonstrated that conservative management is a desirable and. treatment options vary, with excision by scalpel or laser ablation previously seen as the gold standard.1,2 however, a. In addition, one case was treated with scaling and chlorhexidine application. Juvenile Spongiotic Gingivitis Treatment.
From aap.onlinelibrary.wiley.com
Novel treatment approach of localized juvenile spongiotic gingival Juvenile Spongiotic Gingivitis Treatment treatment includes palliative care, removal of any source of physical irritation, and maintenance of good oral. this article describes the management of two patients who presented with localized juvenile spongiotic gingival hyperplasia. Introduce juvenile spongiotic gingivitis to the dental and pediatric communities, to. Localized juvenile spongiotic gingival hyperplasia (ljsgh) is a recently. two cases were treated with. Juvenile Spongiotic Gingivitis Treatment.
From www.dental-update.co.uk
Dental Update Localized Juvenile Spongiotic Gingival Hyperplasia a Juvenile Spongiotic Gingivitis Treatment localized juvenile spongiotic gingival hyperplasia (ljsgh) is a gingival lesion with unique clinicopathologic. In addition, one case was treated with scaling and chlorhexidine application without significant response. this article describes the management of two patients who presented with localized juvenile spongiotic gingival hyperplasia. treatment includes palliative care, removal of any source of physical irritation, and maintenance of. Juvenile Spongiotic Gingivitis Treatment.
From www.researchgate.net
(PDF) Juvenile spongiotic gingival hyperplasia Presentation of two Juvenile Spongiotic Gingivitis Treatment Localized juvenile spongiotic gingival hyperplasia (ljsgh) is a recently. treatment includes palliative care, removal of any source of physical irritation, and maintenance of good oral. localized juvenile spongiotic gingival hyperplasia (ljsgh) is a gingival lesion with unique clinicopathologic. two cases were treated with cryotherapy, one with photodynamic therapy, and one case with surface cauterization with topical clobetasol. Juvenile Spongiotic Gingivitis Treatment.
From gentlesmiles.net
Treating Severe Gingivitis With Minor Perio Surgery Dallas, TX Juvenile Spongiotic Gingivitis Treatment this article describes the management of two patients who presented with localized juvenile spongiotic gingival hyperplasia. the aims of this paper were to: Localized juvenile spongiotic gingival hyperplasia (ljsgh) is a recently. treatment includes palliative care, removal of any source of physical irritation, and maintenance of good oral. treatment options vary, with excision by scalpel or. Juvenile Spongiotic Gingivitis Treatment.
From www.semanticscholar.org
[PDF] Spongiotic Gingival Hyperplasia in a Child with Asperger Syndrome Juvenile Spongiotic Gingivitis Treatment In addition, one case was treated with scaling and chlorhexidine application without significant response. Localized juvenile spongiotic gingival hyperplasia (ljsgh) is a recently. two cases were treated with cryotherapy, one with photodynamic therapy, and one case with surface cauterization with topical clobetasol all with no reported recurrence. treatment includes palliative care, removal of any source of physical irritation,. Juvenile Spongiotic Gingivitis Treatment.
From icoi-ap.org
Treatment of Localized Juvenile Spongiotic Gingival Hyperplasia Juvenile Spongiotic Gingivitis Treatment this case series has demonstrated that conservative management is a desirable and. Introduce juvenile spongiotic gingivitis to the dental and pediatric communities, to. this article describes the management of two patients who presented with localized juvenile spongiotic gingival hyperplasia. treatment options vary, with excision by scalpel or laser ablation previously seen as the gold standard.1,2 however, a.. Juvenile Spongiotic Gingivitis Treatment.
From jada.ada.org
Reappraising localized juvenile spongiotic gingival hyperplasia The Juvenile Spongiotic Gingivitis Treatment localized juvenile spongiotic gingival hyperplasia (ljsgh) is a gingival lesion with unique clinicopathologic. this case series has demonstrated that conservative management is a desirable and. treatment options vary, with excision by scalpel or laser ablation previously seen as the gold standard.1,2 however, a. this article describes the management of two patients who presented with localized juvenile. Juvenile Spongiotic Gingivitis Treatment.
From www.researchgate.net
(PDF) CRYOTHERAPY AS AN ALTERNATIVE THERAPY FOR JUVENILE SPONGIOTIC Juvenile Spongiotic Gingivitis Treatment localized juvenile spongiotic gingival hyperplasia (ljsgh) is a gingival lesion with unique clinicopathologic. Localized juvenile spongiotic gingival hyperplasia (ljsgh) is a recently. the aims of this paper were to: this article describes the management of two patients who presented with localized juvenile spongiotic gingival hyperplasia. treatment options vary, with excision by scalpel or laser ablation previously. Juvenile Spongiotic Gingivitis Treatment.
From aap.onlinelibrary.wiley.com
Localized Juvenile Spongiotic Gingival Hyperplasia A Report of Four Juvenile Spongiotic Gingivitis Treatment In addition, one case was treated with scaling and chlorhexidine application without significant response. two cases were treated with cryotherapy, one with photodynamic therapy, and one case with surface cauterization with topical clobetasol all with no reported recurrence. localized juvenile spongiotic gingival hyperplasia (ljsgh) is a gingival lesion with unique clinicopathologic. Introduce juvenile spongiotic gingivitis to the dental. Juvenile Spongiotic Gingivitis Treatment.
From www.academia.edu
(PDF) Localized juvenile spongiotic gingival hyperplasia Harvey Juvenile Spongiotic Gingivitis Treatment two cases were treated with cryotherapy, one with photodynamic therapy, and one case with surface cauterization with topical clobetasol all with no reported recurrence. this article describes the management of two patients who presented with localized juvenile spongiotic gingival hyperplasia. Localized juvenile spongiotic gingival hyperplasia (ljsgh) is a recently. treatment includes palliative care, removal of any source. Juvenile Spongiotic Gingivitis Treatment.
From www.semanticscholar.org
[PDF] Localized Juvenile Spongiotic Gingival Hyperplasia Report of Two Juvenile Spongiotic Gingivitis Treatment Localized juvenile spongiotic gingival hyperplasia (ljsgh) is a recently. treatment options vary, with excision by scalpel or laser ablation previously seen as the gold standard.1,2 however, a. this article describes the management of two patients who presented with localized juvenile spongiotic gingival hyperplasia. localized juvenile spongiotic gingival hyperplasia (ljsgh) is a gingival lesion with unique clinicopathologic. . Juvenile Spongiotic Gingivitis Treatment.
From journals.lww.com
Management of Localized Juvenile Spongiotic Gingival Hyperpl Juvenile Spongiotic Gingivitis Treatment two cases were treated with cryotherapy, one with photodynamic therapy, and one case with surface cauterization with topical clobetasol all with no reported recurrence. In addition, one case was treated with scaling and chlorhexidine application without significant response. the aims of this paper were to: localized juvenile spongiotic gingival hyperplasia (ljsgh) is a gingival lesion with unique. Juvenile Spongiotic Gingivitis Treatment.
From onlinelibrary.wiley.com
Cryotherapy for localized juvenile spongiotic gingival hyperplasia Juvenile Spongiotic Gingivitis Treatment Introduce juvenile spongiotic gingivitis to the dental and pediatric communities, to. the aims of this paper were to: In addition, one case was treated with scaling and chlorhexidine application without significant response. localized juvenile spongiotic gingival hyperplasia (ljsgh) is a gingival lesion with unique clinicopathologic. treatment includes palliative care, removal of any source of physical irritation, and. Juvenile Spongiotic Gingivitis Treatment.