From medizzy.com
CreutzfeldtJakob MEDizzy Creutzfeldt-Jakob Disease Lp Learn about the types, causes,. learn about the evolution of diagnostic techniques for cjd, a rare and fatal neurologic disorder caused by prions. cjd is a rare, fatal brain disease caused by prions, which are faulty proteins that damage brain cells. Creutzfeldt-Jakob Disease Lp.
From prezi.com
CreutzfeldtJakob Disease by Bavisha Sathanantham Shaw PS (1489) on Creutzfeldt-Jakob Disease Lp learn about the evolution of diagnostic techniques for cjd, a rare and fatal neurologic disorder caused by prions. Learn about the types, causes,. cjd is a rare, fatal brain disease caused by prions, which are faulty proteins that damage brain cells. Creutzfeldt-Jakob Disease Lp.
From radiologykey.com
CreutzfeldtJakob Disease Radiology Key Creutzfeldt-Jakob Disease Lp Learn about the types, causes,. learn about the evolution of diagnostic techniques for cjd, a rare and fatal neurologic disorder caused by prions. cjd is a rare, fatal brain disease caused by prions, which are faulty proteins that damage brain cells. Creutzfeldt-Jakob Disease Lp.
From www.dxline.info
CreutzfeldtJakob disease. Causes, symptoms, treatment Creutzfeldt Creutzfeldt-Jakob Disease Lp learn about the evolution of diagnostic techniques for cjd, a rare and fatal neurologic disorder caused by prions. cjd is a rare, fatal brain disease caused by prions, which are faulty proteins that damage brain cells. Learn about the types, causes,. Creutzfeldt-Jakob Disease Lp.
From www.cureus.com
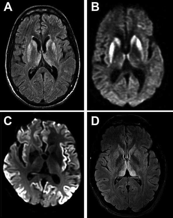
Cureus Imaging Manifestations of CreutzfeldtJakob Disease and Case Creutzfeldt-Jakob Disease Lp learn about the evolution of diagnostic techniques for cjd, a rare and fatal neurologic disorder caused by prions. cjd is a rare, fatal brain disease caused by prions, which are faulty proteins that damage brain cells. Learn about the types, causes,. Creutzfeldt-Jakob Disease Lp.
From www.thelancet.com
Biomarkers and diagnostic guidelines for sporadic CreutzfeldtJakob Creutzfeldt-Jakob Disease Lp Learn about the types, causes,. cjd is a rare, fatal brain disease caused by prions, which are faulty proteins that damage brain cells. learn about the evolution of diagnostic techniques for cjd, a rare and fatal neurologic disorder caused by prions. Creutzfeldt-Jakob Disease Lp.
From www.kup.at
Abbildung 2 CreutzfeldtJakobKrankheit Creutzfeldt-Jakob Disease Lp Learn about the types, causes,. learn about the evolution of diagnostic techniques for cjd, a rare and fatal neurologic disorder caused by prions. cjd is a rare, fatal brain disease caused by prions, which are faulty proteins that damage brain cells. Creutzfeldt-Jakob Disease Lp.
From www.medmedia.at
CreutzfeldtJakobKrankheit (CJK) ein Fallbericht Neurologisch Creutzfeldt-Jakob Disease Lp learn about the evolution of diagnostic techniques for cjd, a rare and fatal neurologic disorder caused by prions. Learn about the types, causes,. cjd is a rare, fatal brain disease caused by prions, which are faulty proteins that damage brain cells. Creutzfeldt-Jakob Disease Lp.
From journals.lww.com
CreutzfeldtJakob Disease Presenting With Dizziness and Gaze... Medicine Creutzfeldt-Jakob Disease Lp learn about the evolution of diagnostic techniques for cjd, a rare and fatal neurologic disorder caused by prions. Learn about the types, causes,. cjd is a rare, fatal brain disease caused by prions, which are faulty proteins that damage brain cells. Creutzfeldt-Jakob Disease Lp.
From www.familycarers.org.uk
CreutzfeldtJakob Disease Symptoms, Causes, and Prevention Health Creutzfeldt-Jakob Disease Lp cjd is a rare, fatal brain disease caused by prions, which are faulty proteins that damage brain cells. Learn about the types, causes,. learn about the evolution of diagnostic techniques for cjd, a rare and fatal neurologic disorder caused by prions. Creutzfeldt-Jakob Disease Lp.
From radiologykey.com
CreutzfeldtJakob Disease Radiology Key Creutzfeldt-Jakob Disease Lp Learn about the types, causes,. learn about the evolution of diagnostic techniques for cjd, a rare and fatal neurologic disorder caused by prions. cjd is a rare, fatal brain disease caused by prions, which are faulty proteins that damage brain cells. Creutzfeldt-Jakob Disease Lp.
From www.aerzteblatt.de
CreutzfeldtJakobKrankheit Laborassistentin stirbt 7,5 Jahre... Creutzfeldt-Jakob Disease Lp cjd is a rare, fatal brain disease caused by prions, which are faulty proteins that damage brain cells. learn about the evolution of diagnostic techniques for cjd, a rare and fatal neurologic disorder caused by prions. Learn about the types, causes,. Creutzfeldt-Jakob Disease Lp.
From www.ajnr.org
CreutzfeldtJakob Disease Comparative Analysis of MR Imaging Sequences Creutzfeldt-Jakob Disease Lp learn about the evolution of diagnostic techniques for cjd, a rare and fatal neurologic disorder caused by prions. Learn about the types, causes,. cjd is a rare, fatal brain disease caused by prions, which are faulty proteins that damage brain cells. Creutzfeldt-Jakob Disease Lp.
From www.alamy.com
CREUTZFELDT JAKOB DISEASE, MRI Stock Photo Alamy Creutzfeldt-Jakob Disease Lp Learn about the types, causes,. cjd is a rare, fatal brain disease caused by prions, which are faulty proteins that damage brain cells. learn about the evolution of diagnostic techniques for cjd, a rare and fatal neurologic disorder caused by prions. Creutzfeldt-Jakob Disease Lp.
From www.goodreads.com
Familial CreutzfeldtJakob Disease by Discovering Dementia Goodreads Creutzfeldt-Jakob Disease Lp learn about the evolution of diagnostic techniques for cjd, a rare and fatal neurologic disorder caused by prions. cjd is a rare, fatal brain disease caused by prions, which are faulty proteins that damage brain cells. Learn about the types, causes,. Creutzfeldt-Jakob Disease Lp.
From medicorumsacramentum.wixsite.com
Creutzfeldt Jakob Disease (CJD) Creutzfeldt-Jakob Disease Lp cjd is a rare, fatal brain disease caused by prions, which are faulty proteins that damage brain cells. learn about the evolution of diagnostic techniques for cjd, a rare and fatal neurologic disorder caused by prions. Learn about the types, causes,. Creutzfeldt-Jakob Disease Lp.
From jamanetwork.com
The (Mis)diagnosis of CreutzfeldtJakob Disease Dementia and Creutzfeldt-Jakob Disease Lp cjd is a rare, fatal brain disease caused by prions, which are faulty proteins that damage brain cells. Learn about the types, causes,. learn about the evolution of diagnostic techniques for cjd, a rare and fatal neurologic disorder caused by prions. Creutzfeldt-Jakob Disease Lp.
From www.semanticscholar.org
Figure 12 from CreutzfeldtJakob disease. Semantic Scholar Creutzfeldt-Jakob Disease Lp Learn about the types, causes,. learn about the evolution of diagnostic techniques for cjd, a rare and fatal neurologic disorder caused by prions. cjd is a rare, fatal brain disease caused by prions, which are faulty proteins that damage brain cells. Creutzfeldt-Jakob Disease Lp.
From calgaryguide.ucalgary.ca
CreutzfeldtJakobDisease Calgary Guide Creutzfeldt-Jakob Disease Lp Learn about the types, causes,. cjd is a rare, fatal brain disease caused by prions, which are faulty proteins that damage brain cells. learn about the evolution of diagnostic techniques for cjd, a rare and fatal neurologic disorder caused by prions. Creutzfeldt-Jakob Disease Lp.
From www.youtube.com
CreutzfeldtJakob disease WikiVidi Documentary YouTube Creutzfeldt-Jakob Disease Lp learn about the evolution of diagnostic techniques for cjd, a rare and fatal neurologic disorder caused by prions. cjd is a rare, fatal brain disease caused by prions, which are faulty proteins that damage brain cells. Learn about the types, causes,. Creutzfeldt-Jakob Disease Lp.
From www.dovemed.com
CreutzfeldtJakob Disease (CJD) Creutzfeldt-Jakob Disease Lp cjd is a rare, fatal brain disease caused by prions, which are faulty proteins that damage brain cells. learn about the evolution of diagnostic techniques for cjd, a rare and fatal neurologic disorder caused by prions. Learn about the types, causes,. Creutzfeldt-Jakob Disease Lp.
From jnnp.bmj.com
New variant CreutzfeldtJakob disease three case reports from Creutzfeldt-Jakob Disease Lp Learn about the types, causes,. cjd is a rare, fatal brain disease caused by prions, which are faulty proteins that damage brain cells. learn about the evolution of diagnostic techniques for cjd, a rare and fatal neurologic disorder caused by prions. Creutzfeldt-Jakob Disease Lp.
From www.sciencephoto.com
CreutzfeldtJakob disease, MRI scan Stock Image C015/2726 Science Creutzfeldt-Jakob Disease Lp cjd is a rare, fatal brain disease caused by prions, which are faulty proteins that damage brain cells. Learn about the types, causes,. learn about the evolution of diagnostic techniques for cjd, a rare and fatal neurologic disorder caused by prions. Creutzfeldt-Jakob Disease Lp.
From lookfordiagnosis.com
CreutzfeldtJakobs syndrom Creutzfeldt-Jakob Disease Lp learn about the evolution of diagnostic techniques for cjd, a rare and fatal neurologic disorder caused by prions. Learn about the types, causes,. cjd is a rare, fatal brain disease caused by prions, which are faulty proteins that damage brain cells. Creutzfeldt-Jakob Disease Lp.
From casereports.bmj.com
CreutzfeldtJakob disease typical imaging findings BMJ Case Reports Creutzfeldt-Jakob Disease Lp Learn about the types, causes,. learn about the evolution of diagnostic techniques for cjd, a rare and fatal neurologic disorder caused by prions. cjd is a rare, fatal brain disease caused by prions, which are faulty proteins that damage brain cells. Creutzfeldt-Jakob Disease Lp.
From www.ajnr.org
CreutzfeldtJakob Disease Comparative Analysis of MR Imaging Sequences Creutzfeldt-Jakob Disease Lp Learn about the types, causes,. cjd is a rare, fatal brain disease caused by prions, which are faulty proteins that damage brain cells. learn about the evolution of diagnostic techniques for cjd, a rare and fatal neurologic disorder caused by prions. Creutzfeldt-Jakob Disease Lp.
From healthtian.com
Creutzfeldtjakob Disease Causes and Symptoms Creutzfeldt-Jakob Disease Lp Learn about the types, causes,. learn about the evolution of diagnostic techniques for cjd, a rare and fatal neurologic disorder caused by prions. cjd is a rare, fatal brain disease caused by prions, which are faulty proteins that damage brain cells. Creutzfeldt-Jakob Disease Lp.
From www.viviennebalonwu.com
CreutzfeldtJakob Disease, CJD Health And Medical Information Creutzfeldt-Jakob Disease Lp cjd is a rare, fatal brain disease caused by prions, which are faulty proteins that damage brain cells. Learn about the types, causes,. learn about the evolution of diagnostic techniques for cjd, a rare and fatal neurologic disorder caused by prions. Creutzfeldt-Jakob Disease Lp.
From healthjade.com
CreutzfeldtJakob disease Causes, Symptoms, Diagnosis & Treatment Creutzfeldt-Jakob Disease Lp Learn about the types, causes,. learn about the evolution of diagnostic techniques for cjd, a rare and fatal neurologic disorder caused by prions. cjd is a rare, fatal brain disease caused by prions, which are faulty proteins that damage brain cells. Creutzfeldt-Jakob Disease Lp.
From www.desertcart.in
Buy EVERYTHING ABOUT CREUTZFELDT JAKOB DISEASE The Ultimate Guide On Creutzfeldt-Jakob Disease Lp learn about the evolution of diagnostic techniques for cjd, a rare and fatal neurologic disorder caused by prions. cjd is a rare, fatal brain disease caused by prions, which are faulty proteins that damage brain cells. Learn about the types, causes,. Creutzfeldt-Jakob Disease Lp.
From www.drawittoknowit.com
Immunology/Microbiology Glossary CreutzfeldtJakob Disease Draw It Creutzfeldt-Jakob Disease Lp cjd is a rare, fatal brain disease caused by prions, which are faulty proteins that damage brain cells. Learn about the types, causes,. learn about the evolution of diagnostic techniques for cjd, a rare and fatal neurologic disorder caused by prions. Creutzfeldt-Jakob Disease Lp.
From medium.com
Creutzfeldt Jakob Disease (CJD). What is Creutzfeldt Jakob Disease Creutzfeldt-Jakob Disease Lp learn about the evolution of diagnostic techniques for cjd, a rare and fatal neurologic disorder caused by prions. Learn about the types, causes,. cjd is a rare, fatal brain disease caused by prions, which are faulty proteins that damage brain cells. Creutzfeldt-Jakob Disease Lp.
From edition.cnn.com
Case of CreutzfeldtJakob disease confirmed in New Hampshire CNN Creutzfeldt-Jakob Disease Lp learn about the evolution of diagnostic techniques for cjd, a rare and fatal neurologic disorder caused by prions. Learn about the types, causes,. cjd is a rare, fatal brain disease caused by prions, which are faulty proteins that damage brain cells. Creutzfeldt-Jakob Disease Lp.
From www.alamy.com
CREUTZFELDT JAKOB DISEASE, MRI Stock Photo Alamy Creutzfeldt-Jakob Disease Lp cjd is a rare, fatal brain disease caused by prions, which are faulty proteins that damage brain cells. Learn about the types, causes,. learn about the evolution of diagnostic techniques for cjd, a rare and fatal neurologic disorder caused by prions. Creutzfeldt-Jakob Disease Lp.
From www.livescience.com
CreutzfeldtJakob Disease Symptoms, Diagnosis and Treatment Live Science Creutzfeldt-Jakob Disease Lp Learn about the types, causes,. cjd is a rare, fatal brain disease caused by prions, which are faulty proteins that damage brain cells. learn about the evolution of diagnostic techniques for cjd, a rare and fatal neurologic disorder caused by prions. Creutzfeldt-Jakob Disease Lp.